Development of a Versatile Half-Strip Lateral Flow Assay toward the Detection of Rift Valley Fever Virus Antibodies
Abstract
1. Introduction
2. Methods
2.1. RVFV Recombinant Nucleocapsid Protein Biomarker Development
2.2. RVFV Lateral Flow Assay Development
2.2.1. Biomarkers, Membranes and Pads
2.2.2. Buffers
2.2.3. Gold Nanoparticle Synthesis
2.2.4. Preparation of the ProA-AuNPs Detection Conjugate
2.2.5. Preparation of Conjugate Pads
2.2.6. Assembly of the Strip
2.2.7. The Dipstick (Half-Strip) Liquid Conjugate Testing
3. Results
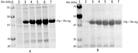
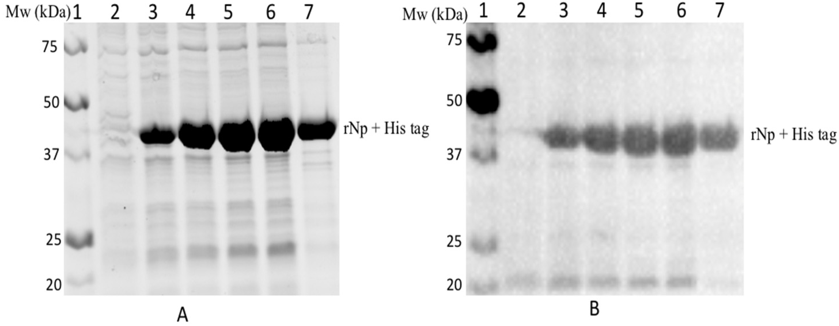
3.1. RVFV rNp Biomarker Development
3.2. RVFV Lateral Flow Assay Development
4. Discussion
RVFV Lateral Flow Assay Development
5. Conclusions
Author Contributions
Funding
Institutional Review Board Statement
Informed Consent Statement
Data Availability Statement
Acknowledgments
Conflicts of Interest
References
- Bishop, D.H.; Calisher, C.H.; Casals, J.; Chumakov, M.P.; Gaidamovich, S.Y.; Hannoun, C.; Lvov, D.K.; Marshall, I.D.; Oker-Blom, N.; Pettersson, R.F.; et al. Bunyaviridae. Intervirology 1980, 14, 125–143. [Google Scholar] [CrossRef] [PubMed]
- Hartman, A. Rift Valley Fever. Clin. Lab. Med. 2017, 37, 285–301. [Google Scholar] [CrossRef] [PubMed]
- Archer, B.N.; Weyer, J.; Paweska, J.; Nkosi, D.; Leman, P.; Tint, K.S.; Blumberg, L. Outbreak of Rift Valley Fever Affecting Veterinarians and Farmers in South Africa, 2008. S. Afr. Med. J. 2011, 101, 263–266. [Google Scholar] [CrossRef] [PubMed]
- Daubney, R.; Hudson, J.R.; Garnham, P.C. Enzootic Hepatitis or Rift Valley Fever. An Undescribed Virus Disease of Sheep Cattle and Man from East Africa. J. Pathol. 1931, 34, 545–579. [Google Scholar] [CrossRef]
- Ikegami, T. Molecular Biology and Genetic Diversity of Rift Valley Fever Virus. Antivir. Res. 2012, 95, 293–310. [Google Scholar] [CrossRef]
- Adam, A.A.; Karsany, M.S.; Adam, I. Manifestations of Severe Rift Valley Fever in Sudan. Int. J. Infect. Dis. 2010, 14, e179–e180. [Google Scholar] [CrossRef][Green Version]
- Ikegami, T.; Makino, S. The Pathogenesis of Rift Valley Fever. Viruses 2011, 3, 493–519. [Google Scholar] [CrossRef]
- Mansfield, K.L.; Banyard, A.C.; McElhinney, L.; Johnson, N.; Horton, D.L.; Hernández-Triana, L.M.; Fooks, A.R. Rift Valley Fever Virus: A Review of Diagnosis and Vaccination, and Implications for Emergence in Europe. Vaccine 2015, 33, 5520–5531. [Google Scholar] [CrossRef]
- Balenghien, T.; Cardinale, E.; Chevalier, V.; Elissa, N.; Failloux, A.-B.; Jean Jose Nipomichene, T.N.; Nicolas, G.; Rakotoharinome, V.M.; Roger, M.; Zumbo, B. Towards a Better Understanding of Rift Valley Fever Epidemiology in the South-West of the Indian Ocean. Vet. Res. 2013, 44, 78. [Google Scholar] [CrossRef]
- WHO|Rift Valley Fever. Available online: http://www.who.int/emergencies/diseases/rift-valley-fever/en/ (accessed on 11 September 2018).
- Outbreak Summaries|Rift Valley Fever|CDC. Available online: https://www.cdc.gov/vhf/rvf/outbreaks/summaries.html (accessed on 17 September 2020).
- Rift Valley Fever Outbreak-Kenya, November 2006–January 2007. Cent. Dis. Control. Prev. (CDC) 2007, 56, 73–76.
- WHO|Rift Valley Fever in Sudan-Update 5. Available online: https://www.who.int/csr/don/2008_01_22/en/ (accessed on 17 September 2020).
- WHO|Rift Valley Fever in South Africa. Available online: https://www.who.int/csr/don/2010_03_30a/en/ (accessed on 17 September 2020).
- Faye, O.; Ba, H.; Ba, Y.; Freire, C.C.M.; Faye, O.; Ndiaye, O.; Elgady, I.O.; Zanotto, P.M.A.; Diallo, M.; Sall, A.A. Reemergence of Rift Valley Fever, Mauritania, 2010. Emerg. Infect. Dis. 2014, 20, 300–303. [Google Scholar] [CrossRef] [PubMed]
- Kifaro, E.G.; Nkangaga, J.; Joshua, G.; Sallu, R.; Yongolo, M.; Dautu, G.; Kasanga, C.J. Epidemiological Study of Rift Valley Fever Virus in Kigoma, Tanzania. Onderstepoort J. Vet. Res. 2014, 81, 1–5. [Google Scholar] [CrossRef]
- Anyamba, A.; Linthicum, K.J.; Small, J.; Britch, S.C.; Pak, E.; de La Rocque, S.; Formenty, P.; Hightower, A.W.; Breiman, R.F.; Chretien, J.-P.; et al. Prediction, Assessment of the Rift Valley Fever Activity in East and Southern Africa 2006–2008 and Possible Vector Control Strategies. Am. J. Trop. Med. Hyg. 2010, 83, 43–51. [Google Scholar] [CrossRef] [PubMed]
- Mwaengo, D.; Lorenzo, G.; Iglesias, J.; Warigia, M.; Sang, R.; Bishop, R.P.; Brun, A. Detection and Identification of Rift Valley Fever Virus in Mosquito Vectors by Quantitative Real-Time PCR. Virus Res. 2012, 169, 137–143. [Google Scholar] [CrossRef] [PubMed]
- Fafetine, J.M.; Tijhaar, E.; Paweska, J.T.; Neves, L.C.B.G.; Hendriks, J.; Swanepoel, R.; Coetzer, J.A.W.; Egberink, H.F.; Rutten, V.P.M.G. Cloning and Expression of Rift Valley Fever Virus Nucleocapsid (N) Protein and Evaluation of a N-Protein Based Indirect ELISA for the Detection of Specific IgG and IgM Antibodies in Domestic Ruminants. Vet. Microbiol. 2007, 121, 29–38. [Google Scholar] [CrossRef]
- Paweska, J.T.; van Vuren, P.J.; Swanepoel, R. Validation of an Indirect ELISA Based on a Recombinant Nucleocapsid Protein of Rift Valley Fever Virus for the Detection of IgG Antibody in Humans. J. Virol. Methods 2007, 146, 119–124. [Google Scholar] [CrossRef]
- OIE-World Organisation for Animal Health (Ed.) Manual of Diagnostic Tests and Vaccines for Terrestrial Animals, 5th ed.; OIE: Paris, France, 2004; ISBN 978-92-9044-622-4. [Google Scholar]
- Sayed, R.H.; Abousenna, M.S.; Mohamoud, D.; Saad, M.A. Development of a Lateral Flow Kit for Detection of IgG and IgM Antibodies Against Rift Valley Fever Virus in Sheep. IJ Vet. Sci. Biotechnol. 2019, 15, 63–68. [Google Scholar] [CrossRef]
- Cêtre-Sossah, C.; Pédarrieu, A.; Juremalm, M.; Van Vuren, P.J.; Brun, A.; Ould EL Mamy, A.B.; Héraud, J.-M.; Filippone, C.; Ravalohery, J.-P.; Chaabihi, H.; et al. Development and Validation of a Pen Side Test for Rift Valley Fever. PLoS Negl. Trop. Dis. 2019, 13, e0007700. [Google Scholar] [CrossRef]
- van Vuren, P.J.; Potgieter, A.C.; Paweska, J.T.; van Dijk, A.A. Preparation and Evaluation of a Recombinant Rift Valley Fever Virus N Protein for the Detection of IgG and IgM Antibodies in Humans and Animals by Indirect ELISA. J. Virol. Methods 2007, 140, 106–114. [Google Scholar] [CrossRef]
- Turkevich, J.; Stevenson, P.C.; Hillier, J. A Study of the Nucleation and Growth Processes in the Synthesis of Colloidal Gold. Discuss. Faraday Soc. 1951, 11, 55–75. [Google Scholar] [CrossRef]
- Mdluli, P.; Tetyana, P.; Sosibo, N.; van der Walt, H.; Mlambo, M.; Skepu, A.; Tshikhudo, R. Gold Nanoparticle Based Tuberculosis Immunochromatographic Assay: The Quantitative ESE Quanti Analysis of the Intensity of Test and Control Lines. Biosens. Bioelectron. 2014, 54, 1–6. [Google Scholar] [CrossRef] [PubMed]
- Borse, V.; Konwar, A.N. Synthesis and Characterization of Gold Nanoparticles as a Sensing Tool for the Lateral Flow Immunoassay Development. Sens. Int. 2020, 1, 100051. [Google Scholar] [CrossRef]
- Protein G and Protein A Bind to Different IgG. Available online: https://www.sigmaaldrich.com/ZA/en/technical-documents/technical-article/protein-biology/protein-pulldown/protein-a-g-binding (accessed on 3 October 2022).
- Inganas, M. Comparison of Mechanisms of Interaction between Protein A from Staphylococcus Aureus and Human Monoclonal IgG, IgA and IgM in Relation to the Classical Fcgamma and the Alternative F(Ab’)2gamma Protein A Interactions. Scand. J. Immunol. 1981, 13, 343–352. [Google Scholar] [CrossRef] [PubMed]
- Protein LA, a Novel Hybrid Protein with Unique Single-chain Fv Antibody- and Fab-binding Properties. Eur. J. Biochem. 1998, 258, 890–896. Available online: https://febs.onlinelibrary.wiley.com/doi/abs/10.1046/j.1432-1327.1998.2580890.x (accessed on 14 September 2022). [CrossRef] [PubMed]
- Huse, K.; Böhme, H.-J.; Scholz, G.H. Purification of Antibodies by Affinity Chromatography. J. Biochem. Biophys. Methods 2002, 51, 217–231. [Google Scholar] [CrossRef]
- Manasa, M.; Revathi, P.; Chand, M.P.; Maroudam, V.; Navaneetha, P.; Raj, G.D.; Kishor, P.B.K.; De, B.; Rathnagiri, P. Protein-G-Based Lateral Flow Assay for Rapid Serodiagnosis of Brucellosis in Domesticated Animals. J. Immunoass. Immunochem. 2019, 40, 149–158. [Google Scholar] [CrossRef]
- Cavalera, S.; Colitti, B.; Rosati, S.; Ferrara, G.; Bertolotti, L.; Nogarol, C.; Guiotto, C.; Cagnazzo, C.; Denina, M.; Fagioli, F.; et al. A Multi-Target Lateral Flow Immunoassay Enabling the Specific and Sensitive Detection of Total Antibodies to SARS COV-2. Talanta 2021, 223, 121737. [Google Scholar] [CrossRef]
- Anfossi, L.; Di Nardo, F.; Profiti, M.; Nogarol, C.; Cavalera, S.; Baggiani, C.; Giovannoli, C.; Spano, G.; Ferroglio, E.; Mignone, W.; et al. A Versatile and Sensitive Lateral Flow Immunoassay for the Rapid Diagnosis of Visceral Leishmaniasis. Anal. Bioanal. Chem. 2018, 410, 4123–4134. [Google Scholar] [CrossRef]







Publisher’s Note: MDPI stays neutral with regard to jurisdictional claims in published maps and institutional affiliations. |
© 2022 by the authors. Licensee MDPI, Basel, Switzerland. This article is an open access article distributed under the terms and conditions of the Creative Commons Attribution (CC BY) license (https://creativecommons.org/licenses/by/4.0/).
Share and Cite
Domfe, T.; Njengele-Tetyana, Z.; Mhlanga, N.; Tetyana, P.; Skepu, A.; Ngila, J.C.; Sikhwivhilu, L.M. Development of a Versatile Half-Strip Lateral Flow Assay toward the Detection of Rift Valley Fever Virus Antibodies. Diagnostics 2022, 12, 2664. https://doi.org/10.3390/diagnostics12112664
Domfe T, Njengele-Tetyana Z, Mhlanga N, Tetyana P, Skepu A, Ngila JC, Sikhwivhilu LM. Development of a Versatile Half-Strip Lateral Flow Assay toward the Detection of Rift Valley Fever Virus Antibodies. Diagnostics. 2022; 12(11):2664. https://doi.org/10.3390/diagnostics12112664
Chicago/Turabian StyleDomfe, Thulaganyo, Zikhona Njengele-Tetyana, Nikiwe Mhlanga, Phumlani Tetyana, Amanda Skepu, Jane Catherine Ngila, and Lucky Mashudu Sikhwivhilu. 2022. "Development of a Versatile Half-Strip Lateral Flow Assay toward the Detection of Rift Valley Fever Virus Antibodies" Diagnostics 12, no. 11: 2664. https://doi.org/10.3390/diagnostics12112664
APA StyleDomfe, T., Njengele-Tetyana, Z., Mhlanga, N., Tetyana, P., Skepu, A., Ngila, J. C., & Sikhwivhilu, L. M. (2022). Development of a Versatile Half-Strip Lateral Flow Assay toward the Detection of Rift Valley Fever Virus Antibodies. Diagnostics, 12(11), 2664. https://doi.org/10.3390/diagnostics12112664

