When a Rapid Accurate Diagnosis Changes Therapeutic Approach: Recognizing Acute Abdominal Pain with Ascites as a Possible Presentation of Systemic Lupus Erythematosus
Abstract
1. Introduction
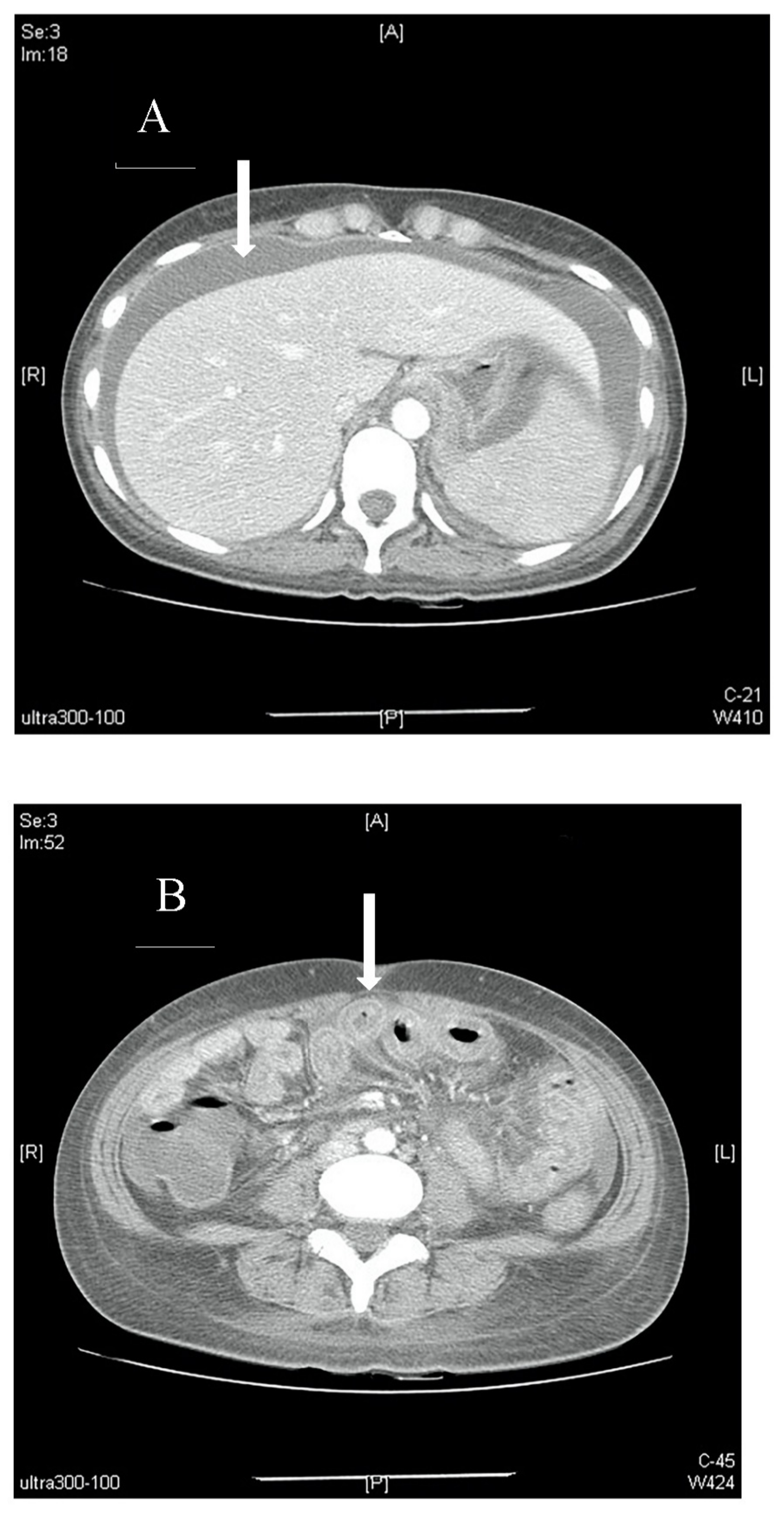
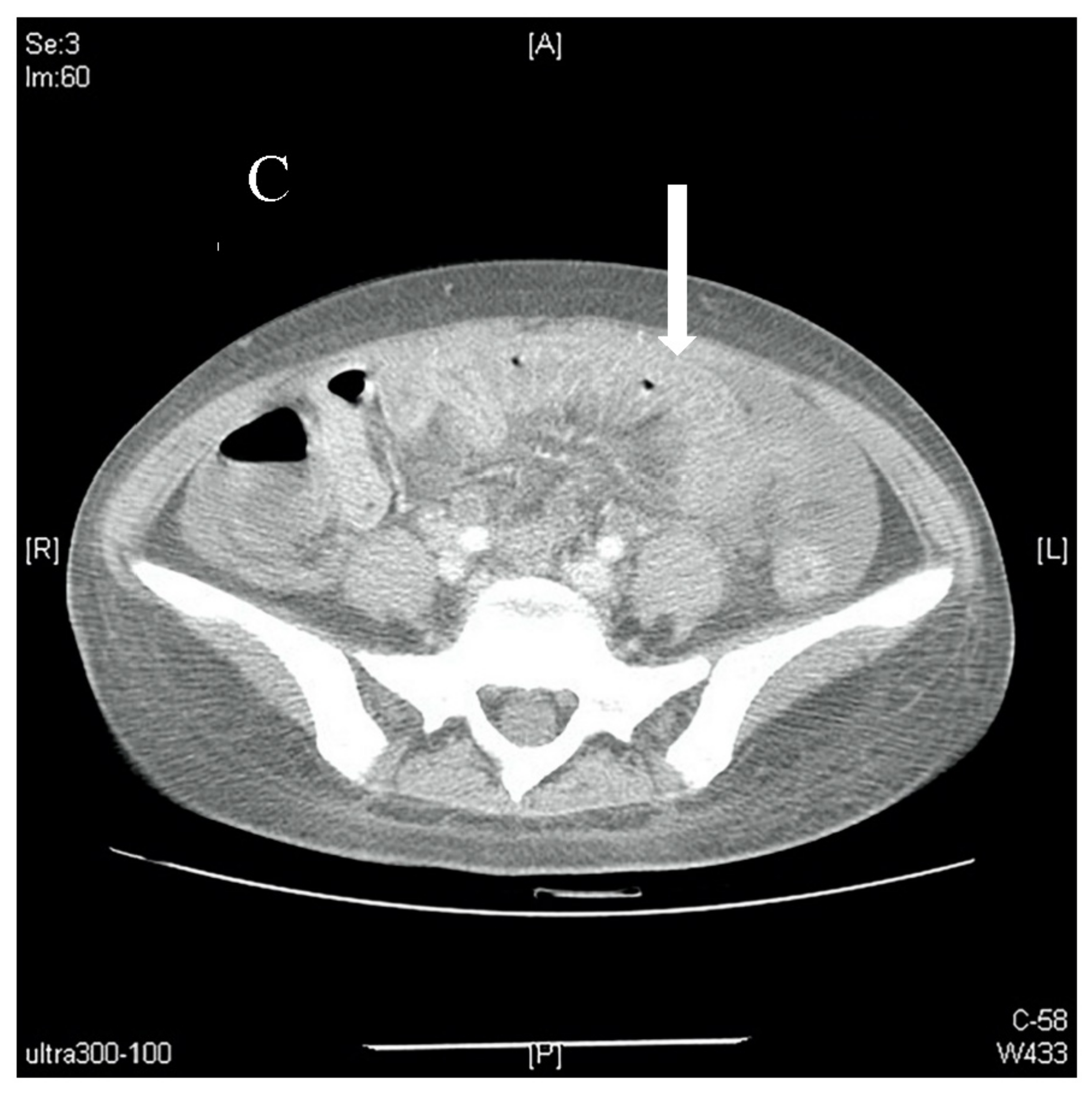
2. Case Presentation
3. Discussion
Author Contributions
Funding
Institutional Review Board Statement
Informed Consent Statement
Data Availability Statement
Conflicts of Interest
References
- Janssens, P.; Arnaud, L.; Galicier, L.; Mathian, A.; Hie, M.; Sene, D.; Haroche, J.; Veyssier-Belot, C.; Huynh-Charlier, I.; Grenier, P.A.; et al. Lupus enteritis: From clinical findings to therapeutic management. Orphanet J. Rare Dis. 2013, 8, 67. [Google Scholar] [CrossRef] [PubMed]
- Zhou, L.; Sun, C.M.; Chen, W.L.; Zhang, H.; Wang, P.; Wu, J. Massive and painful ascites as a presenting manifestation of systemic lupus erythematosus flare: A case report and literature review. Rev. Med. Chil. 2014, 142, 255–260. [Google Scholar] [CrossRef] [PubMed][Green Version]
- Yang, H.; Liu, H.; Zhou, Z.; Zhao, L.; Fei, Y.; Chen, H.; Zhang, F.; Zhang, X. Management of Severe Refractory Systemic Lupus Erythematosus: Real-World Experience and Literature Review. Clin. Rev. Allergy Immunol. 2021, 60, 17–30. [Google Scholar] [CrossRef] [PubMed]
- Yeh, Y.S.; Chen, C.F.; Lin, P.C.; Lin, C.L.; Huang, T.F.; Su, C.M. Synchronous Appendiceal Triple Primary Neoplasms and Acute Abdomen-A Case Report. J. Acute Med. 2018, 8, 182–185. [Google Scholar] [PubMed]
- Aringer, M.; Costenbader, K.; Daikh, D.; Brinks, R.; Mosca, M.; Ramsey-Goldman, R.; Smolen, J.S.; Wofsy, D.; Boumpas, D.T.; Kamen, D.L.; et al. 2019 European League Against Rheumatism/American College of Rheumatology classification criteria for systemic lupus erythematosus. Arthritis Rheumatol. 2019, 71, 1400–1412. [Google Scholar] [CrossRef]
- Aringer, M.; Costenbader, K.; Daikh, D.; Brinks, R.; Mosca, M.; Ramsey-Goldman, R.; Smolen, J.S.; Wofsy, D.; Boumpas, D.T.; Kamen, D.L.; et al. 2019 European League Against Rheumatism/American College of Rheumatology classification criteria for systemic lupus erythematosus. Ann Rheum Dis. 2019, 78, 1151–1159. [Google Scholar] [CrossRef] [PubMed]
- Ko, S.F.; Lee, T.Y.; Cheng, T.T.; Ng, S.H.; Lai, H.M.; Cheng, Y.F.; Tsai, C.C. CT findings at lupus mesenteric vasculitis. Acta Radiol. 1997, 38, 115–120. [Google Scholar] [CrossRef] [PubMed]
- Brewer, B.N.; Kamen, D.L. Gastrointestinal and hepatic disease in systemic lupus erythematosus. Rheum. Dis. Clin. N. Am. 2018, 44, 165–175. [Google Scholar] [CrossRef]
- Ju, J.H.; Min, J.K.; Jung, C.K.; Oh, S.N.; Kwok, S.K.; Kang, K.Y.; Park, K.S.; Ko, H.J.; Yoon, C.H.; Park, S.H.; et al. Lupus mesenteric vasculitis can cause acute abdominal pain in patients with SLE. Nat. Rev. Rheumatol. 2009, 5, 273–281. [Google Scholar] [CrossRef] [PubMed]
- Shadhu, K.; Ramlagun, D.; Ping, X. A rare case of laparoscopy towards SLE with lupus mesenteric vasculitis induced ascites. BMC Surg. 2019, 19, 73. [Google Scholar] [CrossRef] [PubMed]



| Laboratory Investigation | Reference Range | Initial Admission | On 1-Month Follow-Up |
|---|---|---|---|
| Anti-dsDNA antibodies (units/mL) | <92.6 | 492 | 273 |
| Complement C3 (mg/dL) | 90–180 | 27 | 62.1 |
| Complement C4 (mg/dL) | 10–40 | 4.77 | 9.63 |
| Anti-nuclear antibodies | ≤1:80 | >1:1280, speckled (AC-4,5) | - |
| Anti-Smith antibodies (units/mL) | <5 | 10 | - |
Publisher’s Note: MDPI stays neutral with regard to jurisdictional claims in published maps and institutional affiliations. |
© 2022 by the authors. Licensee MDPI, Basel, Switzerland. This article is an open access article distributed under the terms and conditions of the Creative Commons Attribution (CC BY) license (https://creativecommons.org/licenses/by/4.0/).
Share and Cite
Huang, S.-C.; Chan, Y.-L.; Cheng, H.-T.; Goh, Z.N.L.; Wong, Y.-C.; Seak, C.-K.; Seak, J.C.-Y.; Li, C.-H.; Chen, H.-Y.; Seak, C.-J. When a Rapid Accurate Diagnosis Changes Therapeutic Approach: Recognizing Acute Abdominal Pain with Ascites as a Possible Presentation of Systemic Lupus Erythematosus. Diagnostics 2022, 12, 2605. https://doi.org/10.3390/diagnostics12112605
Huang S-C, Chan Y-L, Cheng H-T, Goh ZNL, Wong Y-C, Seak C-K, Seak JC-Y, Li C-H, Chen H-Y, Seak C-J. When a Rapid Accurate Diagnosis Changes Therapeutic Approach: Recognizing Acute Abdominal Pain with Ascites as a Possible Presentation of Systemic Lupus Erythematosus. Diagnostics. 2022; 12(11):2605. https://doi.org/10.3390/diagnostics12112605
Chicago/Turabian StyleHuang, Szu-Cheng, Yi-Ling Chan, Hao-Tsai Cheng, Zhong Ning Leonard Goh, Yon-Cheong Wong, Chen-Ken Seak, Joanna Chen-Yeen Seak, Chih-Huang Li, Hsien-Yi Chen, and Chen-June Seak. 2022. "When a Rapid Accurate Diagnosis Changes Therapeutic Approach: Recognizing Acute Abdominal Pain with Ascites as a Possible Presentation of Systemic Lupus Erythematosus" Diagnostics 12, no. 11: 2605. https://doi.org/10.3390/diagnostics12112605
APA StyleHuang, S.-C., Chan, Y.-L., Cheng, H.-T., Goh, Z. N. L., Wong, Y.-C., Seak, C.-K., Seak, J. C.-Y., Li, C.-H., Chen, H.-Y., & Seak, C.-J. (2022). When a Rapid Accurate Diagnosis Changes Therapeutic Approach: Recognizing Acute Abdominal Pain with Ascites as a Possible Presentation of Systemic Lupus Erythematosus. Diagnostics, 12(11), 2605. https://doi.org/10.3390/diagnostics12112605

