Next Article in Journal
Utility of Integrated PET/MRI for the Primary Diagnostic Work-Up of Patients with Ewing Sarcoma: Preliminary Results
Next Article in Special Issue
Multiple Synchronous Mucosa-Associated Lymphoid Lymphomas Involving in the Stomach, Duodenum, Ileum, and Sigmoid
Previous Article in Journal
miR-145, miR-92a and miR-375 Show Differential Expression in Serum from Patients with Diabetic Retinopathies
 
 
Font Type:
Arial Georgia Verdana
Font Size:
Aa Aa Aa
Line Spacing:
Column Width:
Background:
Interesting Images

Migration of a Retained Surgical Suture Needle in the Common Bile Duct

1
Department of Gastroenterology, Endoscopy Center, Changhua Christian Hospital, Changhua 500, Taiwan
2
Department of Gastroenterology, Changhua Christian Hospital, Changhua 500, Taiwan
*
Author to whom correspondence should be addressed.
Diagnostics 2022, 12(10), 2276; https://doi.org/10.3390/diagnostics12102276
Submission received: 24 August 2022 / Revised: 13 September 2022 / Accepted: 18 September 2022 / Published: 21 September 2022
(This article belongs to the Special Issue Advances in the Diagnosis and Treatment of Hepatogastroenterology)

Abstract

Retained surgical foreign bodies have been a cause of concern since physicians began operating on patients. Retained surgical foreign bodies in the common bile duct (CBD) are rare and may cause cholangitis and jaundice. We report the case of a patient who initially presented with fever and right upper-quadrant abdominal pain. He had received cholecystectomy and choledochojejunostomy 28 years ago and had been well since then. Abdominal computed tomography (CT) revealed left-lobe liver abscess and a linear curve of high-density material. Endoscopic retrograde cholangiopancreatography (ERCP) displayed mild dilatation of the common bile duct (CBD) and choledojejunostomic fistula of the middle CBD. A curved, linear, rusty, metallic surgical suture needle was detected and successfully removed under ERCP.

 

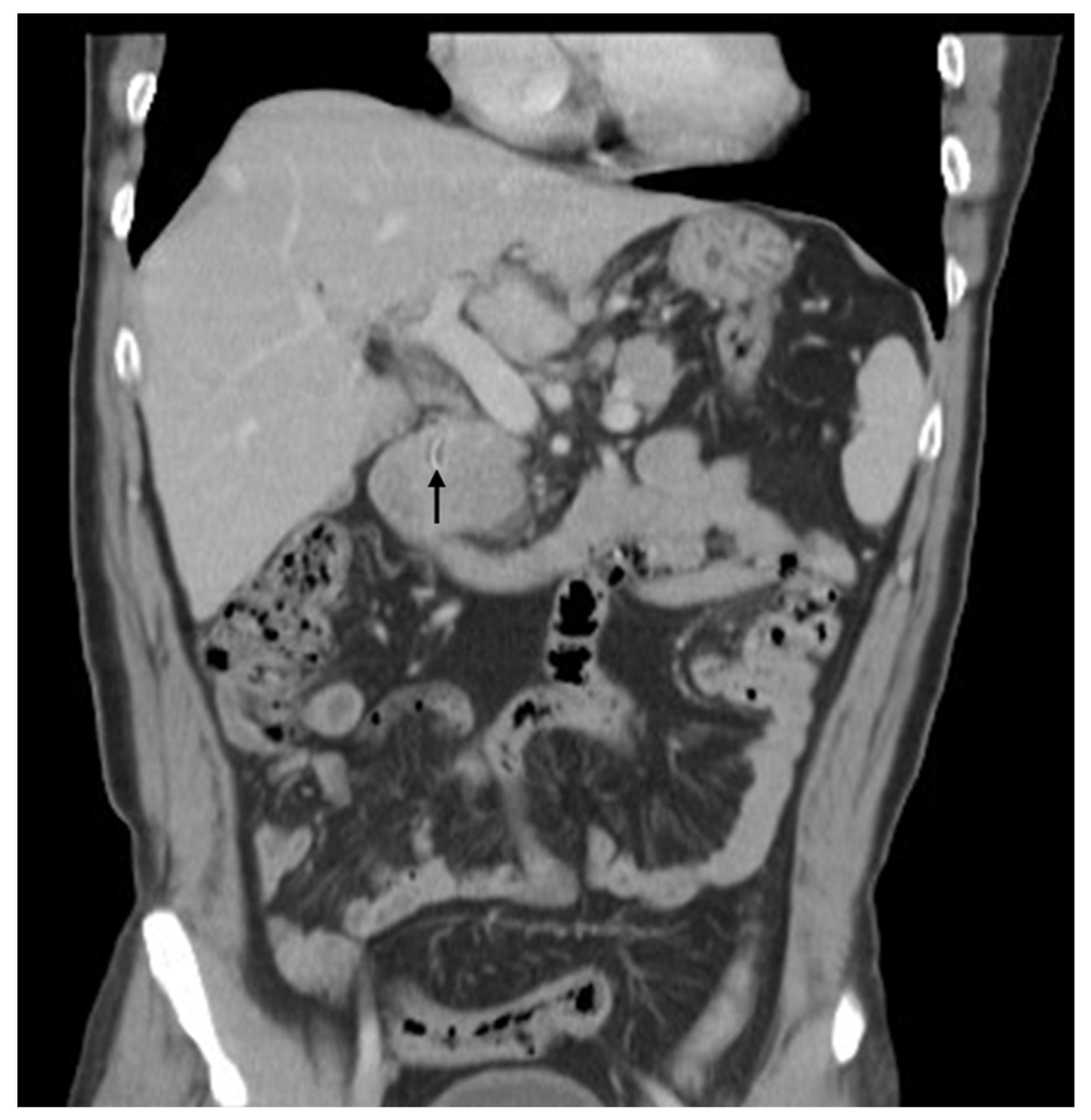
Figure 1. A computed tomography (CT) scan of the abdomen demonstrated abscess over the left lobe of the liver and a linear curve of high-density material within a mass. A 58-year-old man presented at our hospital with right upper-quadrant pain and fever. He had undergone laparotomic cholecystectomy and choledochojejunostomy 28 years prior at another hospital. He had been healthy until 3 days before his admission, when his symptoms appeared. A computed tomography (CT) scan of the abdomen demonstrated abscess over the left lobe of the liver and a linear curve of high-density material within a mass (Figure 1; arrow). The patient received antibiotics and underwent aspiration of liver abscess. Endoscopic retrograde cholangiopancreatography (ERCP) was performed after the symptoms and signs had subsided. ERCP depicted mild dilatation of the CBD and choledojejunostomic fistula of the middle CBD. The patient underwent a biopsy forceps, which removed a 1.7 cm curved, linear, rusty, metallic surgical suture needle containing bile (Figure 2). We examined the patient’s abdominal radiographs, which revealed that the needle was on the right side of the third lumbar spine vertebra (Figure 3; arrow). We followed up with abdominal radiography and detected no further evidence of the needle. The patient was discharged without further events.
Figure 1. A computed tomography (CT) scan of the abdomen demonstrated abscess over the left lobe of the liver and a linear curve of high-density material within a mass. A 58-year-old man presented at our hospital with right upper-quadrant pain and fever. He had undergone laparotomic cholecystectomy and choledochojejunostomy 28 years prior at another hospital. He had been healthy until 3 days before his admission, when his symptoms appeared. A computed tomography (CT) scan of the abdomen demonstrated abscess over the left lobe of the liver and a linear curve of high-density material within a mass (Figure 1; arrow). The patient received antibiotics and underwent aspiration of liver abscess. Endoscopic retrograde cholangiopancreatography (ERCP) was performed after the symptoms and signs had subsided. ERCP depicted mild dilatation of the CBD and choledojejunostomic fistula of the middle CBD. The patient underwent a biopsy forceps, which removed a 1.7 cm curved, linear, rusty, metallic surgical suture needle containing bile (Figure 2). We examined the patient’s abdominal radiographs, which revealed that the needle was on the right side of the third lumbar spine vertebra (Figure 3; arrow). We followed up with abdominal radiography and detected no further evidence of the needle. The patient was discharged without further events.
Diagnostics 12 02276 g001
Figure 2. The patient underwent a biopsy, which revealed a 1.7 cm curved, linear, rusty, metallic surgical suture needle containing bile. A retained surgical item poses a hazard to surgical safety and occurs occasionally despite various systems and safeguards [1,2,3]. Any surgical material, including tools, supplies, and equipment, can inadvertently be left inside a patient’s abdomen and can cause subsequent harm to the patient. Several factors increase the risk of the retention of surgical foreign bodies including patient characteristics such as obesity, case-specific conditions such as emergencies, complex surgical procedures, involvement of more than one surgical team, unplanned changes in the procedure, prolonged surgical procedures, and operating room’s culture and environment [4]. Intraoperative and postoperative imaging may assist in the rapid identification of the site of foreign bodies, as it did with our patient’s retained needle [5]. Although radiography easily detects retained surgical needles longer than 1 cm, the detection of smaller needles less than 1 cm in length is more difficult [6]. Compared with plain radiography, abdominal CT can provide more accurate findings.
Figure 2. The patient underwent a biopsy, which revealed a 1.7 cm curved, linear, rusty, metallic surgical suture needle containing bile. A retained surgical item poses a hazard to surgical safety and occurs occasionally despite various systems and safeguards [1,2,3]. Any surgical material, including tools, supplies, and equipment, can inadvertently be left inside a patient’s abdomen and can cause subsequent harm to the patient. Several factors increase the risk of the retention of surgical foreign bodies including patient characteristics such as obesity, case-specific conditions such as emergencies, complex surgical procedures, involvement of more than one surgical team, unplanned changes in the procedure, prolonged surgical procedures, and operating room’s culture and environment [4]. Intraoperative and postoperative imaging may assist in the rapid identification of the site of foreign bodies, as it did with our patient’s retained needle [5]. Although radiography easily detects retained surgical needles longer than 1 cm, the detection of smaller needles less than 1 cm in length is more difficult [6]. Compared with plain radiography, abdominal CT can provide more accurate findings.
Diagnostics 12 02276 g002
Figure 3. Abdominal radiographs, which revealed that the needle was on the right side of the third lumbar spine vertebra. The symptoms and signs of a retained surgical item include adhesion, foreign body migration, visceral perforation, and abscess formation [1]. These symptoms can occur early in the postoperative period or may develop after months or years [5]. In prior instances, retained surgical suture needles were surgically removed. However, our patient developed symptoms and signs of a retained needle 28 years after his surgery, by which point the needle had migrated to the ampulla of vater, from where it was easily removed through ERCP. Migrated surgical clips, stents, gauze pieces, suture materials, and fragments of t-tubes have all been reported as retained iatrogenic foreign bodies causing CBD obstruction and subsequent sequelae [2]. To our knowledge, this is the first reported case in which a retained surgical needle migrated to the ampulla of vater. Needles comprise 0.06–0.11% of foreign bodies that are retained during surgery [7]. Preventing instances of unintentionally retained surgical materials is a critical problem. A nationwide Brazilian study of retained surgical foreign bodies reported that challenging medical situations, security protocol omission, and inadequate work conditions contributed to retained foreign bodies. Sponges are notoriously overlooked because they are routinely inserted into cavities to expose the operative field. Thus, a preventive protocol could involve the introduction of the use of sponge-holding forceps [8]. In conclusion, CBD obstruction caused by foreign bodies can be safely ameliorated through ERCP without complications noted during follow-up.
Figure 3. Abdominal radiographs, which revealed that the needle was on the right side of the third lumbar spine vertebra. The symptoms and signs of a retained surgical item include adhesion, foreign body migration, visceral perforation, and abscess formation [1]. These symptoms can occur early in the postoperative period or may develop after months or years [5]. In prior instances, retained surgical suture needles were surgically removed. However, our patient developed symptoms and signs of a retained needle 28 years after his surgery, by which point the needle had migrated to the ampulla of vater, from where it was easily removed through ERCP. Migrated surgical clips, stents, gauze pieces, suture materials, and fragments of t-tubes have all been reported as retained iatrogenic foreign bodies causing CBD obstruction and subsequent sequelae [2]. To our knowledge, this is the first reported case in which a retained surgical needle migrated to the ampulla of vater. Needles comprise 0.06–0.11% of foreign bodies that are retained during surgery [7]. Preventing instances of unintentionally retained surgical materials is a critical problem. A nationwide Brazilian study of retained surgical foreign bodies reported that challenging medical situations, security protocol omission, and inadequate work conditions contributed to retained foreign bodies. Sponges are notoriously overlooked because they are routinely inserted into cavities to expose the operative field. Thus, a preventive protocol could involve the introduction of the use of sponge-holding forceps [8]. In conclusion, CBD obstruction caused by foreign bodies can be safely ameliorated through ERCP without complications noted during follow-up.
Diagnostics 12 02276 g003

References

  1. Giestas, S.; Mendes, S.; Gomes, D.; Sofia, C. Obstructive Jaundice Due to Foreign Body in the Bile Duct: An Unusual Finding. GE Port. J. Gastroenterol. 2016, 23, 228–230. [Google Scholar] [CrossRef] [PubMed]
  2. Desai, P.N.; Patel, C.N.; Kabrawala, M.V.; Nandwani, S.K.; Mehta, R.M.; Kalra, P.; Prajapati, R.; Patel, N.; Parekh, A.K.K. Foreign bodies in common bile duct in post cholecystectomy status—Case series of 8 cases—A single center experience in western India. Int. J. Gastrointest. Interv. 2021, 10, 84–88. [Google Scholar] [CrossRef]
  3. Whang, G.; Mogel, G.T.; Tsai, J.; Palmer, S.L. Left behind: Unintentionally retained surgically placed foreign bodies and how to reduce their incidence—Pictorial review. AJR Am. J. Roentgenol. 2009, 193, S79–S89. [Google Scholar] [CrossRef] [PubMed]
  4. Gibbs, V.C. Retained surgical items and minimally invasive surgery. World J. Surg. 2011, 35, 1532–1539. [Google Scholar] [CrossRef] [PubMed]
  5. Ponrartana, S.; Coakley, F.V.; Yeh, B.M.; Breiman, R.S.; Qayyum, A.; Joe, B.N.; Poder, L.; Lu, Y.; Gibbs, V.C.; Roberts, J.P. Accuracy of plain abdominal radiographs in the detection of retained surgical needles in the peritoneal cavity. Ann. Surg. 2008, 247, 8–12. [Google Scholar] [CrossRef] [PubMed]
  6. Bhandari, V.; Singh, M.; Vyas, H.G.; Sharma, N.; Chejara, R. Diagnostic dilemma in an unusual case of common bile duct obstruction. Gut Liver 2011, 5, 245–247. [Google Scholar] [CrossRef] [PubMed]
  7. Medina, L.G.; Martin, O.; Cacciamani, G.E.; Ahmadi, N.; Castro, J.C.; Sotelo, R. Needle lost in minimally invasive surgery: Management proposal and literature review. J. Robot. Surg. 2018, 12, 391–395. [Google Scholar] [CrossRef] [PubMed]
  8. Birolini, D.V.; Rasslan, S.; Utiyama, E.M. Unintentionally retained foreign bodies after surgical procedures. Analysis of 4547 cases. Rev. Col. Bras. Cir. 2016, 43, 12–17. [Google Scholar] [CrossRef]
Publisher’s Note: MDPI stays neutral with regard to jurisdictional claims in published maps and institutional affiliations.

Share and Cite

MDPI and ACS Style

Wen, T.-C.; Lin, K.-H.; Chen, Y.-Y. Migration of a Retained Surgical Suture Needle in the Common Bile Duct. Diagnostics 2022, 12, 2276. https://doi.org/10.3390/diagnostics12102276

AMA Style

Wen T-C, Lin K-H, Chen Y-Y. Migration of a Retained Surgical Suture Needle in the Common Bile Duct. Diagnostics. 2022; 12(10):2276. https://doi.org/10.3390/diagnostics12102276

Chicago/Turabian Style

Wen, Tzu-Cheng, Kuo-Hua Lin, and Yang-Yuan Chen. 2022. "Migration of a Retained Surgical Suture Needle in the Common Bile Duct" Diagnostics 12, no. 10: 2276. https://doi.org/10.3390/diagnostics12102276

APA Style

Wen, T.-C., Lin, K.-H., & Chen, Y.-Y. (2022). Migration of a Retained Surgical Suture Needle in the Common Bile Duct. Diagnostics, 12(10), 2276. https://doi.org/10.3390/diagnostics12102276

Note that from the first issue of 2016, this journal uses article numbers instead of page numbers. See further details here.

Article Metrics

Back to TopTop