Diagnosis and Management of Mixed Transcortical Aphasia Due to Multiple Predisposing Factors, including Postpartum and Severe Inherited Thrombophilia, Affecting Multiple Cerebral Venous and Dural Sinus Thrombosis: Case Report and Literature Review
Abstract
:1. Introduction
2. Case Report
2.1. Clinical Presentation
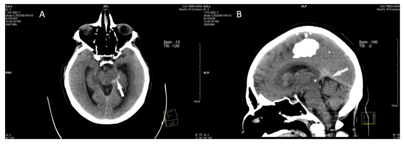
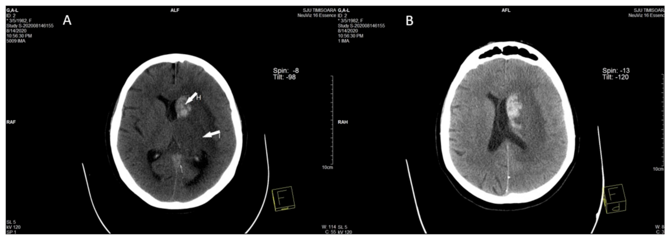
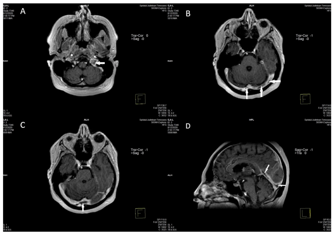
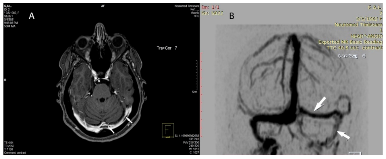
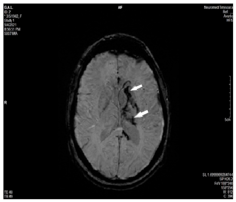
2.2. Imaging
2.3. Laboratory Testing: Thrombophilia Testing
2.4. Diagnosis
2.5. Management in the Acute Phase
2.6. Management after the Acute Phase
3. Discussion
4. Conclusions
Author Contributions
Funding
Institutional Review Board Statement
Informed Consent Statement
Data Availability Statement
Conflicts of Interest
References
- Stam, J. Thrombosis of the cerebral veins and sinuses. N. Engl. J. Med. 2005, 352, 1791–1798. [Google Scholar] [CrossRef] [PubMed] [Green Version]
- Bousser, M.G.; Barnett, H.J.M. Chapter 12: Cerebral venous thrombosis. In Stroke (Pathophysiology, Diagnosis, and Management), 4th ed.; Mohr, J.P., Choi, D.W., Grotta, J.C., Weir, B., Wolf, P.A., Eds.; Churchill Livingstone: Philadelphia, PA, USA, 2004; pp. 301–325. [Google Scholar]
- Ferro, J.M.; Canhão, P. Chapter 10: Cerebral venous sinus thrombosis. In Evidence-Based Management of Stroke, 1st ed.; Biller, J., Ferro, J.M., Eds.; Gutenberg Press Ltd.: Tarxien, Malta, 2011; pp. 205–220. [Google Scholar]
- Singh, V.; Gress, D.R. Chapter 12: Cerebral venous thrombosis. In Imaging Cerebrovascular Disease, 1st ed.; Babikian, V.L., Wechsler, L.R., Higashida, R.T., Eds.; Butterworth-Heinemann: Philadelphia, PA, USA, 2003; pp. 209–224. [Google Scholar]
- Piazza, G. Cerebral venous thrombosis. Circulation 2012, 125, 1704–1709. [Google Scholar] [CrossRef] [Green Version]
- Ganesh, D. Cerebral venous sinus thrombosis presenting in pregnancy and puerperium. BMJ Case Rep. 2009, 2009, bcr06.2009.2045. [Google Scholar] [CrossRef] [Green Version]
- Kertesz, A. The Western Aphasia Battery; Grune & Stratton: New York, NY, USA, 1982. [Google Scholar]
- Korry-Calomfirescu, S.; Mercea Korry, M. Aphasia in Ischemic Stroke; Casa Cărţii de Ştiinţă: Cluj-Napoca, Romania, 1996. [Google Scholar]
- Masuhr, F.; Mehraein, S.; Einhäupl, K. Cerebral venous and sinus thrombosis. J. Neurol. 2004, 251, 11–23. [Google Scholar] [CrossRef] [PubMed]
- Fazeel, M.S.; Ayeesha, K.K. Incidence and epidemiology of cerebral venous thrombosis. J. Pak. Med. Assoc. 2006, 56, 485–487. [Google Scholar]
- Weih, M.; Vetter, B.; Castell, S.; Ziemer, S.; Kulozik, A.E.; Einhäupl, K.M. Hereditary thrombophilia in cerebral venous thrombosis. Cerebrovasc. Dis. 2000, 10, 161–162. [Google Scholar] [CrossRef]
- Gogu, A.E.; Motoc, A.G.; Stroe, A.Z.; Axelerad, A.D.; Axelerad, D.D.; Petrica, L.; Jianu, D.C. Plasminogen activator inhibitor-1 (PAI-1) gene polymorphisms associated with cardiovascular risk factors involved in cerebral venous sinus thrombosis. Metabolites 2021, 11, 266. [Google Scholar] [CrossRef]
- Gogu, A.E.; Jianu, D.C.; Dumitrascu, V.; Ples, H.; Stroe, A.Z.; Axelerad, D.D.; Axelerad, A.D. MTHFR gene polymorphisms and cardiovascular risk factors, clinical-imagistic features and outcome in cerebral venous sinus thrombosis. Brain Sci. 2021, 11, 23. [Google Scholar] [CrossRef]
- Jianu, D.C.; Jianu, S.N.; Munteanu, G.; Dan, T.F.; Bârsan, C. Chapter 3: Cerebral Vein and Dural Sinus Thrombosis, 45–76. In Ischemic Stroke of Brain; Sanchetee, P., Ed.; IntechOpen: London, UK, 2018. [Google Scholar] [CrossRef] [Green Version]
- Einhäupl, K.; Bousser, M.G.; de Bruijn, S.F.; Ferro, M.; Martinelli, I.; Masuhr, F.; Stam, J. FEFNS guideline on the treatment of cerebral venous sinus thrombosis. Eur. J. Neurol. 2006, 13, 553–559. [Google Scholar] [CrossRef] [PubMed]
- Ferro, J.M.; Canhão, P. Chapter 45: Cerebral venous thrombosis. In Stroke (Pathophysiology, Diagnosis, and Management), 6th ed.; Grotta, J.C., Albers, G.W., Broderick, J.P., Kasner, S.E., Lo, E.H., Mendelow, A.D., Sacco, R.L., Wong, L.K.S., Eds.; Elsevier: Beijing, China, 2016; pp. 716–730. [Google Scholar]
- Royal College of Obstetricians and Gynaecologists. Reducing the Risk of Venous Thromboembolism during Pregnancy and Puerperium; Green-top Guideline No. 37a; Royal College of Obstetricians and Gynaecologists: London, UK, 2015. [Google Scholar]
- Saposnik, G.; Brown, R.D., Jr.; Bushnell, C.D.; Cucchiara, B.; Cushman, M.; deVeber, G.; Barinagarrementeria, F.; Ferro, J.M.; Tsai, F.Y. Diagnosis and management of cerebral venous thrombosis. A statement for healthcare professionals from the American Heart Association/American Stroke Association. Stroke 2011, 42, 1158–1192. [Google Scholar] [CrossRef] [PubMed] [Green Version]
- Wasay, M.; Saadatnia, M.; Venketasubramanian, N.; Kaul, S.; Menon, B.; Gunaratne, P.; Malik, A.; Mehmood, K.; Ahmed, S.; Awan, S.; et al. Predictors of cerebral venous thrombosis and arterial ischemic stroke in young Asian women. J. Stroke Cerebrovasc. Dis. 2012, 21, 689–694. [Google Scholar] [CrossRef]
- Lanska, D.J.; Kryscio, R.J. Stroke and intracranial venous thrombosis during pregnancy and puerperium. Neurology 1998, 51, 1622–1628. [Google Scholar] [CrossRef]
- Kashkoush, A.I.; Maa, H.; Agarwal, N.; Panczykowski, D.; Tonetti, D.; Weiner, G.M.; Ares, W.; Kenmuir, C.; Jadhav, A.; Jovin, T.; et al. Cerebral venous sinus thrombosis in pregnancy and puerperium: A pooled, systematic review. J. Clin. Neurosci. 2017, 39, 9–15. [Google Scholar] [CrossRef]
- Einhäupl, K.; Stam, J.; Bousser, M.-G.; de Bruijnd, S.F.T.M.; Ferro, J.M.; Martinelli, I.; Mashur, F. EFNS guideline on the treatment of cerebral venous and sinus thrombosis in adult patients. J. Neurol. 2010, 17, 1229–1235. [Google Scholar] [CrossRef] [PubMed]
- Caplan, L.R. Chapter 16: Cerebral venous thrombosis. In Caplan’s Stroke (A Clinical Approach), 4th ed.; Caplan, L.R., Ed.; Elsevier: Philadelphia, PA, USA, 2010; pp. 554–578. [Google Scholar]
- Jianu, D.C.; Jianu, N.S.; Motoc, A.G.M.; Poenaru, M.; Petrica, L.; Vlad, A.; Ursoniu, S.; Gogu, A.E.; Dan, T.F. Diagnosis and management of a young woman with acute isolated lateral sinus thrombosis. Rom. J. Morphol. Embryol. 2017, 58, 1515–1518. [Google Scholar] [PubMed]
- Jianu, D.C.; Jianu, S.N.; Dan, T.F.; Motoc, A.G.M.; Poenaru, M. Pulsatile tinnitus caused by a dilated left petrosquamosal sinus. Rom. J. Morphol. Embryol. 2016, 57, 319–322. [Google Scholar]
- Roach, E.S.; Bettermann, K.; Biller, J. Chapter 20: Sinovenous occlusion. In Toole’s Cerebrovascular Disorders, 6th ed.; Roach, E.S., Bettermann, K., Biller, J., Eds.; Cambridge Medicine University Press: New York, NY, USA, 2010; pp. 283–292. [Google Scholar]
- Abou Zeki, D.; Hillis, A. Chapter 12: Acquired disorders of language and speech. In Oxford Textbook of Cognitive Neurology and Dementia; Masud, H., Schott, J.M., Eds.; Oxford University Press: Oxford, UK, 2016; pp. 123–133. [Google Scholar]
- Croquelois, A.; Godefroy, O. Chapter 7: Vascular aphasias. In The Behavioral and Cognitive Neurology of Stroke, 2nd ed.; Godefroy, O., Ed.; Cambridge University Press: Cambridge, UK, 2013; pp. 65–75. [Google Scholar]
- Ardila, A. Chapter 5: Other aphasic syndromes. In Aphasia Handbook 2; Florida International University: Miami, FL, USA, 2014; pp. 87–89. [Google Scholar]
- Cimino-Knight, A.; Hollingsworth, A.L.; Gonzalez Rothi, L.J. Chapter 11: The transcortical aphasias. In Aphasia and Related Neurogenic Language Disorders, 3rd ed.; La Pointe, L.L., Ed.; Thieme: New York, NY, USA; Stuttgart, Germany, 2005; pp. 169–185. [Google Scholar]
- Jianu, D.C. Chapter 9: Transcortical aphasias. In Elements of Aphasiology; Jianu, D.C., Ed.; Mirton: Timisoara, Romania, 2001; pp. 156–173. [Google Scholar]
- Kreisler, A.; Godefroy, O.; Delmaire, C.; Debachy, B.; Leclercq, M.; Pruvo, J.-P.; Leys, D. The anatomy of aphasia revisited. Neurology 2000, 54, 49–113. [Google Scholar] [CrossRef] [PubMed]
- Thompson, C.K. Chapter 2: Functional neuroimaging. In Aphasia and Related Neurogenic Language Disorders, 3rd ed.; La Pointe, L.L., Ed.; Thieme: New York, NY, USA; Stuttgart, Germany, 2005; pp. 19–38. [Google Scholar]
- Jianu, D.C.; Jianu, S.N.; Dan, T.F.; Munteanu, G. Extra and transcranial color-coded sonography findings in aphasics with internal carotid artery, and/or left middle cerebral artery stenosis or occlusion. Eur. J. Neurol. 2018, 25 (Suppl. 1), 35–36. [Google Scholar] [CrossRef]
- Jianu, D.C.; Jianu, S.N.; Petrica, L.; Deme, S.M.; Dan, F.; Falup-Pecurariu, C.; Muresanu, D.F. Cerebrolysin adjuvant treatment in Broca’s aphasics following first acute ischemic stroke of the left middle cerebral artery. Int. J. Stroke 2015, 10, 439–458. [Google Scholar]
- Alvis-Miranda, H.R.; Castellar-Leones, M.S.; Alcala-Cerra, G.; Moscote-Salazar, L.R. Cerebral sinus venous thrombosis. J. Neurosci. Rural Pract. 2013, 4, 427–438. [Google Scholar] [CrossRef]
- Coutinho, J.; de Bruijn, S.F.; Deveber, G.; Stam, J. Anticoagulation for cerebral venous sinus thrombosis. Cochrane Database Syst Rev. 2011, 2011, CD002005. [Google Scholar] [CrossRef] [PubMed]
- Bushnell, C.; McCullough, L.D.; Awad, I.A.; Chireau, M.V.; Fedder, W.N.; Furie, K.L.; Howard, V.J.; Lichtman, J.H.; Lisabeth, L.D.; Pina, I.L.; et al. Guidelines for the prevention of stroke in women: A statement for healthcare professionals from the American Heart Association/American Stroke Association. Stroke 2014, 45, 1545–1588. [Google Scholar] [CrossRef] [PubMed] [Green Version]






Publisher’s Note: MDPI stays neutral with regard to jurisdictional claims in published maps and institutional affiliations. |
© 2021 by the authors. Licensee MDPI, Basel, Switzerland. This article is an open access article distributed under the terms and conditions of the Creative Commons Attribution (CC BY) license (https://creativecommons.org/licenses/by/4.0/).
Share and Cite
Jianu, D.C.; Jianu, S.N.; Dan, T.F.; Iacob, N.; Munteanu, G.; Motoc, A.G.M.; Băloi, A.; Hodorogea, D.; Axelerad, A.D.; Pleș, H.; et al. Diagnosis and Management of Mixed Transcortical Aphasia Due to Multiple Predisposing Factors, including Postpartum and Severe Inherited Thrombophilia, Affecting Multiple Cerebral Venous and Dural Sinus Thrombosis: Case Report and Literature Review. Diagnostics 2021, 11, 1425. https://doi.org/10.3390/diagnostics11081425
Jianu DC, Jianu SN, Dan TF, Iacob N, Munteanu G, Motoc AGM, Băloi A, Hodorogea D, Axelerad AD, Pleș H, et al. Diagnosis and Management of Mixed Transcortical Aphasia Due to Multiple Predisposing Factors, including Postpartum and Severe Inherited Thrombophilia, Affecting Multiple Cerebral Venous and Dural Sinus Thrombosis: Case Report and Literature Review. Diagnostics. 2021; 11(8):1425. https://doi.org/10.3390/diagnostics11081425
Chicago/Turabian StyleJianu, Dragoș Cătălin, Silviana Nina Jianu, Traian Flavius Dan, Nicoleta Iacob, Georgiana Munteanu, Andrei Gheorghe Marius Motoc, Adelina Băloi, Daniela Hodorogea, Any Docu Axelerad, Horia Pleș, and et al. 2021. "Diagnosis and Management of Mixed Transcortical Aphasia Due to Multiple Predisposing Factors, including Postpartum and Severe Inherited Thrombophilia, Affecting Multiple Cerebral Venous and Dural Sinus Thrombosis: Case Report and Literature Review" Diagnostics 11, no. 8: 1425. https://doi.org/10.3390/diagnostics11081425
APA StyleJianu, D. C., Jianu, S. N., Dan, T. F., Iacob, N., Munteanu, G., Motoc, A. G. M., Băloi, A., Hodorogea, D., Axelerad, A. D., Pleș, H., Petrica, L., & Gogu, A. E. (2021). Diagnosis and Management of Mixed Transcortical Aphasia Due to Multiple Predisposing Factors, including Postpartum and Severe Inherited Thrombophilia, Affecting Multiple Cerebral Venous and Dural Sinus Thrombosis: Case Report and Literature Review. Diagnostics, 11(8), 1425. https://doi.org/10.3390/diagnostics11081425

