PTH-rP and PTH-R1 Expression in Placentas from Pregnancies Complicated by Gestational Diabetes: New Insights into the Pathophysiology of Hyperglycemia in Pregnancy
Abstract
1. Introduction
2. Materials and Methods
3. Results
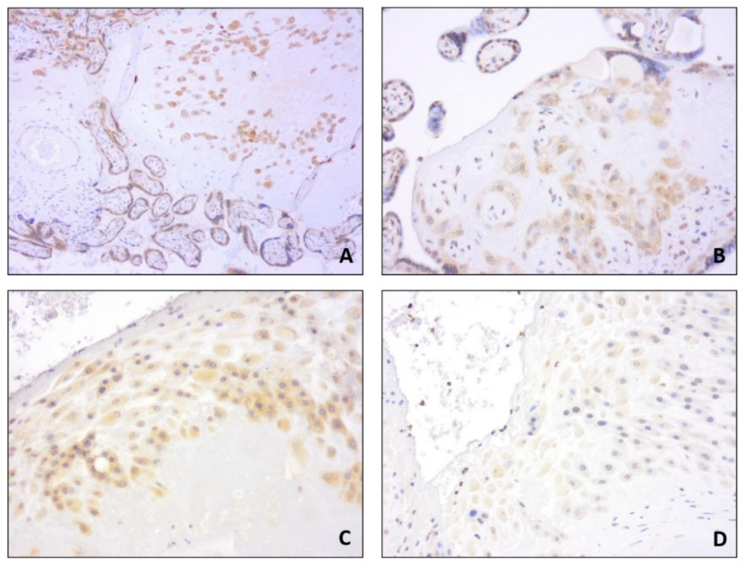
3.1. Expression of Parathyroid Hormone-Related Protein (PTH-rP) and PTH-R1 according to Placental Layers
3.2. Expression of PTH-rP and PTH-R1 according to Pregnancy Characteristics
4. Discussion
5. Conclusions
Supplementary Materials
Author Contributions
Funding
Institutional Review Board Statement
Informed Consent Statement
Data Availability Statement
Conflicts of Interest
References
- American Diabetes Association. Standards of Medical Care in Diabetes-2019 Diabetes Care; American Diabetes Association: Alexandria, VA, USA, 2019; Volume 42, pp. S124–S138. [Google Scholar]
- Gortazar, L.; Flores-Le Roux, J.A.; Benaiges, D.; Sarsanedas, E.; Payà, A.; Mañé, L.; Pedro-Botet, J.; Goday, A. Diagestcat Study: Trends in Prevalence of Gestational Diabetes and Perinatal Outcomes in Catalonia, Spain, 2006–2015. Diabetes Metab. Res. Rev. 2019, 13, e3151. [Google Scholar] [CrossRef]
- Mitanchez, D.; Yzydorczyk, C.; Siddeek, B.; Boubred, F.; Benahmed, M.; Simeoni, U. The offspring of the diabetic mother–short- and long-term implications. Best Pract. Res. Clin. Obstet. Gynaecol. 2015, 29, 256–269. [Google Scholar] [CrossRef]
- Cruikshank, D.P.; Pitkin, R.M.; Varner, M.W.; Williams, G.A.; Hargis, G.K. Calcium metabolism in diabetic mother, fetus, and newborn infant. Am. J. Obstet. Gynecol. 1983, 145, 1010–1016. [Google Scholar] [CrossRef]
- Curtis, N.E.; Thomas, R.J.; Gillespie, M.T.; King, R.G.; Rice, G.E.; Wlodek, M.E. Parathyroid hormone-related protein (PTH-rP) mRNA splicing and parathyroid hormone/PTH-rP receptor mRNA expression in human placenta and fetal membranes. J. Mol. Endocrinol. 1998, 21, 225–234. [Google Scholar] [CrossRef][Green Version]
- Bertelloni, S.; Baroncelli, G.I.; Pelletti, A.; Battini, R.; Saggese, G. Parathyroid hormone-related protein in healthy pregnant women. Calcif. Tissue Int. 1994, 54, 195–197. [Google Scholar] [CrossRef] [PubMed]
- Hysaj, O.; Marqués-Gallego, P.; Richard, A.; Elgizouli, M.; Nieters, A.; Quack Lötscher, K.C.; Rohrmann, S. Parathyroid Hormone in Pregnancy: Vitamin D and Other Determinants. Nutrients 2021, 13, 360. [Google Scholar] [CrossRef] [PubMed]
- Legakis, I. The role of parathyroid hormone-related protein (PTH-rP) in the pathophysiology of diabetes mellitus. Mini Rev. Med. Chem. 2009, 9, 717–723. [Google Scholar] [CrossRef] [PubMed]
- De Marinis, L.; Merlini, G.; Makhoul, O.; Barbarino, A. Calcium antagonists and hormone release. Role of calcium in glucose-stimulated early phase insulin in vivo. J. Endocrinol. Investig. 1982, 5, 121–124. [Google Scholar] [CrossRef]
- International Association of Diabetes; Pregnancy Study Groups Consensus Panel. International Association of Diabetes and Pregnancy Study Groups recommendations on the diagnosis and classification of hyperglycemia in pregnancy. Diabetes Care 2010, 33, 676–682. [Google Scholar] [CrossRef]
- Strewler, G.J.; Nissenson, R.A. Hypercalcemia in malignancy. West. J. Med. 1990, 153, 635–640. [Google Scholar] [PubMed]
- Wysolmerski, J.J.; Broadus, A.E. Hypercalcemia of malignancy: The central role of parathyroid hormone-related protein. Annu. Rev. Med. 1994, 45, 189–200. [Google Scholar] [CrossRef]
- Strewler, G.J. The physiology of parathyroid hormone-related protein. N. Engl. J. Med. 2000, 342, 177–185. [Google Scholar] [CrossRef]
- Wysolmerski, J.J.; Stewart, A.F. The physiology of parathyroid hormone-related protein: An emerging role as a developmental factor. Annu. Rev. Physiol. 1998, 60, 431–460. [Google Scholar] [CrossRef] [PubMed]
- Clemens, T.L.; Cormier, S.; Eichinger, A.; Endlich, K.; Fiaschi-Taesch, N.; Fischer, E.; Friedman, P.A.; Karaplis, A.C.; Massfelder, T.; Rossert, J.; et al. Parathyroid hormone-related protein and its receptors: Nuclear functions and roles in the renal and cardiovascular systems, the placental trophoblasts and the pancreatic islets. Br. J. Pharmacol. 2001, 134, 1113–1136. [Google Scholar] [CrossRef] [PubMed]
- Lam, M.H.; Thomas, R.J.; Martin, T.J.; Gillespie, M.T.; Jans, D.A. Nuclear and nucleolar localization of parathyroid hormone-related protein. Immunol. Cell Biol. 2000, 78, 395–402. [Google Scholar] [CrossRef]
- Kovacs, C.S.; Kronenberg, H.M. Maternal-Fetal Calcium and Bone Metabolism during Pregnancy, Puerperium, and Lactation. Endocr. Rev. 1997, 18, 832–872. [Google Scholar] [CrossRef]
- Kovacs, C.S.; Manley, N.R.; Moseley, J.M.; Martin, T.J.; Kronenberg, H.M. Fetal parathyroids are not required to maintain placental calcium transport. J. Clin. Investig. 2001, 107, 1007–1015. [Google Scholar] [CrossRef] [PubMed]
- Mathieu, C.L.; Burnett, S.H.; Mills, S.E.; Overpeck, J.G.; Bruns, D.E.; Bruns, M.E. Gestational changes in calbindin-D9k in rat uterus, yolk sac, and placenta: Implications for maternal-fetal calcium transport and uterine muscle function. Proc. Natl. Acad. Sci. USA 1989, 86, 3433–3437. [Google Scholar] [CrossRef]
- MacManus, J.P.; Brewer, L.M.; Whitfeld, J.F. The widely-distributed tumour protein, oncomodulin, is a normal constituent of human and rodent placentas. Cancer Lett. 1985, 27, 145–151. [Google Scholar] [CrossRef]
- Emoto, Y.; Kobayashi, R.; Akatsuka, H.; Hidaka, H. Purification and characterization of a new member of the S-100 protein family from human placenta. Biochem. Biophys. Res. Commun. 1992, 182, 1246–1253. [Google Scholar] [CrossRef]
- Massfelder, T.; Helwig, J.J.; Stewart, A.F. Parathyroid hormone-related protein as a cardiovascular regulatory peptide. Endocrinology 1996, 137, 3151–3153. [Google Scholar] [CrossRef]
- Takahashi, K.; Inoue, D.; Ando, K.; Matsumoto, T.; Ikeda, K.; Fujita, T. Parathyroid hormone-related peptide as a locally produced vasorelaxant: Regulation of its mRNA by hypertension in rats. Biochem. Biophys. Res. Commun. 1995, 208, 447–455. [Google Scholar] [CrossRef] [PubMed]
- Macgill, K.; Moseley, J.M.; Martin, T.J.; Brennecke, S.P.; Rice, G.E.; Wlodek, M.E. Vascular effects of PTH-rP (1–34) and PTH (1–34) in the human fetal-placental circulation. Placenta 1997, 18, 587–592. [Google Scholar] [CrossRef]
- Crocker, I.; Kaur, M.; Hosking, D.J.; Baker, P.N. Rescue of trophoblast apoptosis by parathyroid hormone-related protein. BJOG 2002, 109, 218–220. [Google Scholar] [CrossRef]
- Van De Stolpe, A.; Karperien, M.; Löwik, C.W.; Jüppner, H.; Segre, G.V.; Abou-Samra, A.B.; de Laat, S.W.; Defize, L.H. Parathyroid hormone-related peptide as an endogenous inducer of parietal endoderm differentiation. J. Cell Biol. 1993, 120, 235–243. [Google Scholar] [CrossRef]
- Duval, C.; Dilworth, M.R.; Tunster, S.J.; Kimber, S.J.; Glazier, J.D. PTH-rP is essential for normal morphogenetic and functional development of the murine placenta. Dev. Biol. 2017, 430, 325–336. [Google Scholar] [CrossRef]
- Duval, C.; Dilworth, M.R.; Tunster, S.J.; Kimber, S.J.; Glazier, J.D. PTH/PTH-rP receptor and mid-molecule PTH-rP regulation of intrauterine PTH-rP: PTH/PTH-rP receptor antagonism increases SHR fetal weight. Placenta 2004, 25, 53–61. [Google Scholar] [CrossRef]
- Taylor, C.W.; Tovey, S.C. From parathyroid hormone to cytosolic Ca2+ signals. Biochem. Soc. Trans. 2012, 40, 147–152. [Google Scholar] [CrossRef] [PubMed]
- Ureña, P. El receptor PTH/PTH-rP: Implicaciones biológicas [The PTH/PTH-rP receptor: Biological implications]. Nefrologia 2003, 23 (Suppl. 2), 12–17. [Google Scholar] [PubMed]
- Cipriani, C.; Colangelo, L.; Santori, R.; Renella, M.; Mastrantonio, M.; Minisola, S.; Pepe, J. The Interplay between Bone and Glucose Metabolism. Front. Endocrinol. 2020, 11, 122. [Google Scholar] [CrossRef] [PubMed]
- Ishida, H.; Suzuki, K.; Someya, Y. Possible compensatory role of parathyroid hormone –related peptide on maintenance of calcium homeostasis in patients with noninsulin–dependent diabetes mellitus. Acta Endocrinol. 1993, 129, 519–524. [Google Scholar] [CrossRef]
- Wu, T.L.; Vasavada, R.C.; Yang, K.; Massfelder, T.; Ganz, M.; Abbas, S.K.; Care, A.D.; Stewart, A.F. Structural and physiologic characterization of the mid-region secretory species of parathyroid hormone-related protein. J. Biol. Chem. 1996, 271, 24371–24381. [Google Scholar] [CrossRef]
- Sass, M.R.; Albrechtsen, N.J.W.; Pedersen, J.; Hare, K.J.; Borbye-Lorenzen, N.; Kiss, K.; Vilsbøll, T.; Knop, F.K.; Poulsen, S.S.; Jørgensen, N.R.; et al. Secretion of parathyroid hormone may be coupled to insulin secretion in humans. Endocr. Connect. 2020, 9, 747–754. [Google Scholar] [CrossRef]
- Maghbooli, Z.; Hossein-nezhad, A.; Karimi, F.; Shafaei, A.R.; Larijani, B. Correlation between vitamin D3 deficiency and insulin resistance in pregnancy. Diabetes Metab. Res. Rev. 2008, 24, 27–32. [Google Scholar] [CrossRef]
- Kramer, C.K.; Swaminathan, B.; Hanley, A.J.; Connelly, P.W.; Sermer, M.; Zinman, B.; Retnakaran, R. Vitamin D and parathyroid hormone status in pregnancy: Effect on insulin sensitivity, β-cell function, and gestational diabetes mellitus. J. Clin. Endocrinol. Metab. 2014, 99, 4506–4513. [Google Scholar] [CrossRef] [PubMed]
- Zhang, B.; Hosaka, M.; Sawada, Y.; Torii, S.; Mizutani, S.; Ogata, M.; Izumi, T.; Takeuchi, T. Parathyroid hormone-related protein induces insulin expression through activation of MAP kinase-specific phosphatase-1 that dephosphorylates c-Jun NH2-terminal kinase in pancreatic beta-cells. Diabetes 2003, 52, 2720–2730. [Google Scholar] [CrossRef] [PubMed][Green Version]
- Roca-Rodríguez, M.M.; El Bekay, R.; Garrido-Sanchez, L.; Gómez-Serrano, M.; Coin-Aragüez, L.; Oliva-Olivera, W.; Lhamyani, S.; Clemente-Postigo, M.; García-Santos, E.; de Luna Diaz, R.; et al. Parathyroid Hormone-Related Protein, Human Adipose-Derived Stem Cells Adipogenic Capacity and Healthy Obesity. J. Clin. Endocrinol. Metab. 2015, 100, E826–E835. [Google Scholar] [CrossRef] [PubMed]




| Pregnancy Characteristics | n = 78 | p * |
|---|---|---|
| Maternal age (years) | 35 (7) | 0.233 |
| Pregestational weight (kg) | 68.51 (14.77) | <0.001 |
| Pregestational BMI (kg/m2) | 25.71 (5.91) | <0.001 |
| Maternal BMI ≥ 30 kg/m2 | 15 (19.2%) | |
| Previous GDM | 9 (11.1%) | |
| Nullipara | 37 (47.4%) | |
| Insulin or metformin therapy | 38 (48.8%) | |
| Third-trimester ultrasound-estimated fetal weight percentile | 64.31 (28.24) | 0.001 |
| Gestational week at delivery (weeks) | 38.93 (1.06) | 0.030 |
| Preterm birth | 4 (5.1%) | |
| Vaginal delivery | 52 (66.7%) | |
| Induction of labor | 22 (28.2%) | |
| Urgent CS or OVD | 9 (11.5%) | |
| Non-reassuring CTG | 7 (7.1%) | |
| Neonatal sex (male) | 38 (48.7%) | |
| Neonatal birthweight (g) | 3240 (500) | 0.256 |
| Placental weight (g) | 529 (151) | 0.642 |
| Fetoplacental weight ratio | 6.17 (1.04) | 0.017 |
| Neonatal birthweight percentile | 51.59 (30.56) | 0.002 |
| Neonatal LGA | 11 (14.1%) | |
| Neonatal RDS | 4 (5.1%) | |
| Apgar at 1 ≤ 7 | 4 (5.1%) | |
| Arterial cord blood pH ≤ 7.15 | 4 (5.1%) | |
| Neonatal admission to NICU or neonatal ward | 5 (6.4%) | |
| Composite neonatal adverse outcome | 11 (14.1%) |
| Immunochemistry Expression | n = 78 |
|---|---|
| PTH-rP extravillous cytotrophoblast | 31 (39%) |
| PTH-rP syncytiotrophoblast | 9 (11.5%) |
| PTH-rP villous cytotrophoblast | 13 (16.7%) |
| PTH-rP decidua | 29 (37.2%) |
| PTH-rP villous stroma | 0 (0%) |
| PTH-R1 extravillous cytotrophoblast | 52 (66.7%) |
| PTH-R1 syncytiotrophoblast | 11 (14.1%) |
| PTH-R1 villous cytotrophoblast | 41 (52.6%) |
| PTH-R1 decidua | 58 (74.4%) |
| PTH-R1 villous stroma | 0 (0%) |
Publisher’s Note: MDPI stays neutral with regard to jurisdictional claims in published maps and institutional affiliations. |
© 2021 by the authors. Licensee MDPI, Basel, Switzerland. This article is an open access article distributed under the terms and conditions of the Creative Commons Attribution (CC BY) license (https://creativecommons.org/licenses/by/4.0/).
Share and Cite
Sirico, A.; Dell’Aquila, M.; Tartaglione, L.; Moresi, S.; Farì, G.; Pitocco, D.; Arena, V.; Lanzone, A. PTH-rP and PTH-R1 Expression in Placentas from Pregnancies Complicated by Gestational Diabetes: New Insights into the Pathophysiology of Hyperglycemia in Pregnancy. Diagnostics 2021, 11, 1356. https://doi.org/10.3390/diagnostics11081356
Sirico A, Dell’Aquila M, Tartaglione L, Moresi S, Farì G, Pitocco D, Arena V, Lanzone A. PTH-rP and PTH-R1 Expression in Placentas from Pregnancies Complicated by Gestational Diabetes: New Insights into the Pathophysiology of Hyperglycemia in Pregnancy. Diagnostics. 2021; 11(8):1356. https://doi.org/10.3390/diagnostics11081356
Chicago/Turabian StyleSirico, Angelo, Marco Dell’Aquila, Linda Tartaglione, Sascia Moresi, Giorgia Farì, Dario Pitocco, Vincenzo Arena, and Antonio Lanzone. 2021. "PTH-rP and PTH-R1 Expression in Placentas from Pregnancies Complicated by Gestational Diabetes: New Insights into the Pathophysiology of Hyperglycemia in Pregnancy" Diagnostics 11, no. 8: 1356. https://doi.org/10.3390/diagnostics11081356
APA StyleSirico, A., Dell’Aquila, M., Tartaglione, L., Moresi, S., Farì, G., Pitocco, D., Arena, V., & Lanzone, A. (2021). PTH-rP and PTH-R1 Expression in Placentas from Pregnancies Complicated by Gestational Diabetes: New Insights into the Pathophysiology of Hyperglycemia in Pregnancy. Diagnostics, 11(8), 1356. https://doi.org/10.3390/diagnostics11081356

