Pancreatic Fibrosis (Early Chronic Pancreatitis) as Emerging Diagnosis in Structural Causes of Dyspepsia: Evidence from Endoscopic Ultrasonography and Shear Wave Elastography
Abstract
:1. Introduction
2. Methods
2.1. Western Blot Analysis
2.2. Statistical Analysis
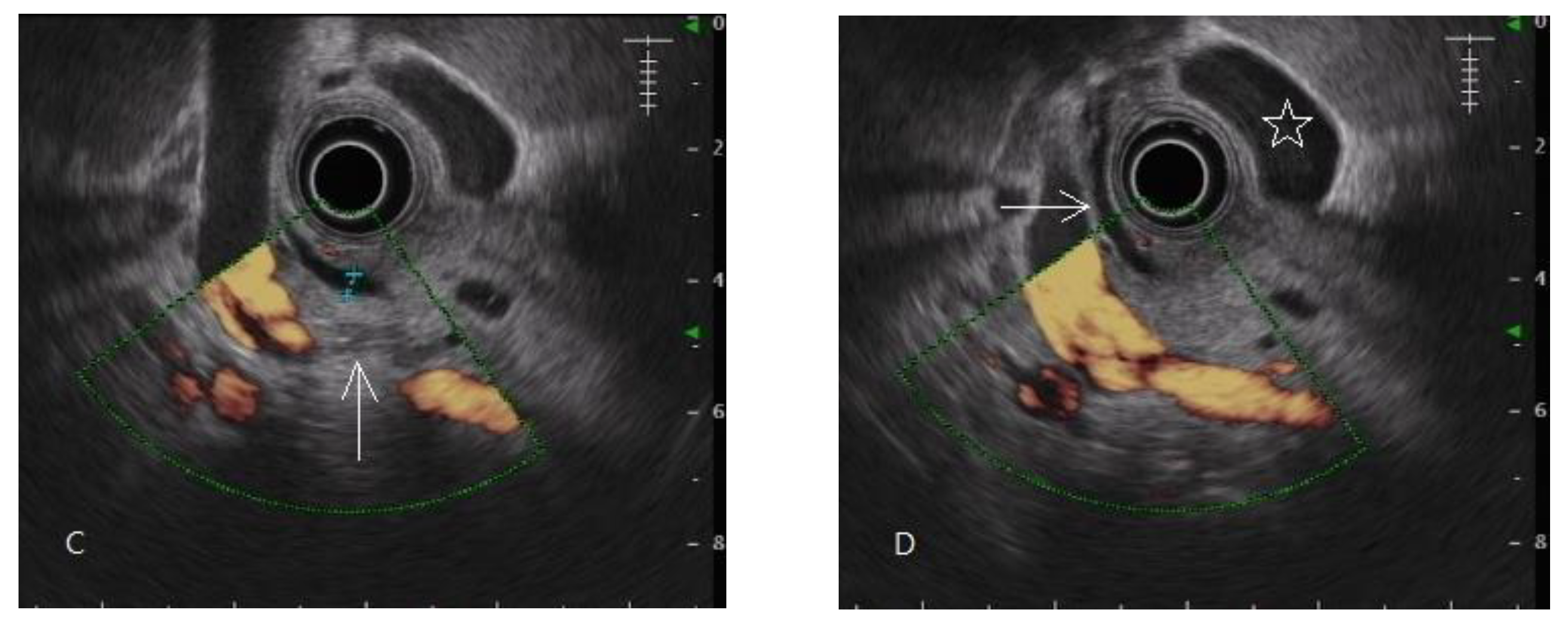
3. Results
4. Discussion
5. Conclusions
Author Contributions
Funding
Institutional Review Board Statement
Informed Consent Statement
Conflicts of Interest
References
- Ford, A.C.; Mahadeva, S.; Carbone, M.F.; Lacy, B.E.; Talley, N.J. Functional dyspepsia. Lancet 2020, 396, 1689–1702. [Google Scholar] [CrossRef]
- Ford, A.C.; Marwaha, A.; Sood, R.; Moayyedi, P. Global prevalence of, and risk factors for, uninvestigated dyspepsia: A meta-analysis. Gut 2015, 64, 1049–1057. [Google Scholar] [CrossRef]
- Harmon, R.C.; Peura, D.A. Review: Evaluation and management of dyspepsia. Ther. Adv. Gastroenterol. 2010, 3, 87–98. [Google Scholar] [CrossRef] [Green Version]
- Drossman, D.A.; Hasler, W.L. Rome IV—Functional GI Disorders: Disorders of Gut-Brain Interaction. Gastroenterology 2016, 150, 1257–1261. [Google Scholar] [CrossRef]
- Eusebi, L.H.; Black, C.J.; Howden, C.W.; Ford, A.C. Effectiveness of management strategies for uninvestigated dyspepsia: Systematic review and network meta-analysis. Bmj 2019, 367, l6483. [Google Scholar] [CrossRef] [Green Version]
- Xia, B.; Xia, H.H.X.; Ma, C.W.; Wong, K.W.; Fung, F.M.Y.; Hui, C.K.; Chan, C.K.; Chan, A.O.O.; Lai, K.C.; Yuen, M.F.; et al. Trends in the prevalence of peptic ulcer disease and Helicobacter pylori infection in family physician-referred uninvestigated dyspeptic patients in Hong Kong. Aliment. Pharmacol. Ther. 2005, 22, 243–249. [Google Scholar] [CrossRef]
- Wu, C.Y.; Wu, C.H.; Wu, M.S.; Wang, C.B.; Cheng, J.S.; Kuo, K.N.; Lin, J.T. A nationwide population-based cohort study shows reduced hospitalization for peptic ulcer disease associated with H pylori eradication and proton pump inhibitor use. Clin. Gastroenterol. Hepatol. 2009, 7, 427–431. [Google Scholar] [CrossRef]
- Ouyang, G.; Pan, G.; Liu, Q.; Wu, Y.; Liu, Z.; Lu, W.; Li, S.; Zhou, Z.; Wen, Y. The global, regional, and national burden of pancreatitis in 195 countries and territories, 1990–2017: A systematic analysis for the Global Burden of Disease Study 2017. BMC Med. 2020, 18, 1–13. [Google Scholar] [CrossRef]
- Masamune, A.; Society, F.T.J.P.; Kikuta, K.; Kume, K.; Hamada, S.; Tsuji, I.; Takeyama, Y.; Shimosegawa, T.; Okazaki, K. Nationwide epidemiological survey of chronic pancreatitis in Japan: Introduction and validation of the new Japanese diagnostic criteria 2019. J. Gastroenterol. 2020, 55, 1062–1071. [Google Scholar] [CrossRef]
- Gupte, A.R.; Forsmark, C.E. Chronic pancreatitis. Bmj 2018, 361, k2126. [Google Scholar] [CrossRef]
- Smith, R.C.; Talley, N.J.; Dent, O.F.; Jones, M.; Waller, S.L. Exocrine pancreatic function and chronic unexplained dyspepsia. A case-control study. Int. J. Pancreatol. 1991, 8, 253–262. [Google Scholar] [CrossRef]
- Andersen, B.N.; Scheel, J.; Rune, S.J.; Worning, H. Exocrine pancreatic function in patients with dyspepsia. Hepatogastroenterology 1982, 29, 35–37. [Google Scholar]
- Kahl, S.; Glasbrenner, B.; Leodolter, A.; Pross, M.; Schulz, H.-U.; Malfertheiner, P. EUS in the diagnosis of early chronic pancreatitis: A prospective follow-up study. Gastrointest. Endosc. 2002, 55, 507–511. [Google Scholar] [CrossRef]
- Sheel, A.R.; Baron, R.D.; Sarantitis, I.; Ramesh, J.; Ghaneh, P.; Raraty, M.G.; Yip, V.; Sutton, R.; Gouldend, M.R.; Campbell, F. The diagnostic value of Rosemont and Japanese diagnostic criteria for ‘indeterminate’, ‘suggestive’, ‘possible’ and ‘early’ chronic pancreatitis. Pancreatology 2018, 18, 774–784. [Google Scholar] [CrossRef]
- Takasaki, Y.; Ishii, S.; Fujisawa, T.; Ushio, M.; Takahashi, S.; Yamagata, W.; Ito, K.; Suzuki, A.; Ochiai, K.; Tomishima, K.; et al. Endoscopic Ultrasonography Findings of Early and Suspected Early Chronic Pancreatitis. Diagnostics 2020, 10, 1018. [Google Scholar] [CrossRef]
- Huang, C.-T.; Lin, C.-K.; Lee, T.-H.; Liang, Y.-J. Pancreatic Fibrosis and Chronic Pancreatitis: Mini-Review of Non-Histologic Diagnosis for Clinical Applications. Diagnostics 2020, 10, 87. [Google Scholar] [CrossRef] [Green Version]
- Fujita, Y.; Kitago, M.; Abe, T.; Itano, O.; Shinoda, M.; Abe, Y.; Yagi, H.; Hibi, T.; Ishii, M.; Nakano, Y.; et al. Evaluation of Pancreatic Fibrosis with Acoustic Radiation Force Impulse Imaging and Automated Quantification of Pancreatic Tissue Components. Pancreas 2018, 47, 1277–1282. [Google Scholar] [CrossRef] [PubMed]
- Wilcox, C.M.; Gress, T.; Boermeester, M.; Masamune, A.; Lévy, P.; Itoi, T.; Varadarajulu, S.; Irisawa, A.; Levy, M.; Kitano, M.; et al. International consensus guidelines on the role of diagnostic endoscopic ultrasound in the management of chronic pancreatitis. Recommendations from the working group for the international consensus guidelines for chronic pancreatitis in collaboration with the International Association of Pancreatology, the American Pancreatic Association, the Japan Pancreas Society, and European Pancreatic Club. Pancreatology 2020, 20, 822–827. [Google Scholar] [CrossRef]
- Whitcomb, D.C.; Shimosegawa, T.; Chari, S.T.; Forsmark, C.E.; Frulloni, L.; Garg, P.; Hegyi, P.; Hirooka, Y.; Irisawa, A.; Ishikawa, T.; et al. International consensus statements on early chronic Pancreatitis. Recommendations from the working group for the international consensus guidelines for chronic pancreatitis in collaboration with The International Association of Pancreatology, American Pancreatic Association, Japan Pancreas Society, PancreasFest Working Group and European Pancreatic Club. Pancreatology 2018, 18, 516–527. [Google Scholar] [CrossRef]
- Jayaraj, M.; Makar, R.; Ohning, G. Evaluation and Management of Suspected Early Chronic Pancreatitis (ECP). Curr. Gastroenterol. Rep. 2020, 22, 1–8. [Google Scholar] [CrossRef]
- Yamabe, A.; Irisawa, A.; Shibukawa, G.; Sato, A.; Fujisawa, M.; Arakawa, N.; Yoshida, Y.; Abe, Y.; Igarashi, R.; Maki, T.; et al. Early diagnosis of chronic pancreatitis: Understanding the factors associated with the development of chronic pancreatitis. Fukushima J. Med. Sci. 2017, 63, 1–7. [Google Scholar] [CrossRef]
- Beyer, G.; Habtezion, A.; Werner, J.; Lerch, M.M.; Mayerle, J. Chronic pancreatitis. Lancet 2020, 396, 499–512. [Google Scholar] [CrossRef]
- Whitcomb, D.C. TIGAR-O Version 2 Risk/Etiology Checklist with Topic Reviews, Updates, and Use Primers. Clin. Transl. Gastroenterol. 2019, 10, e00027. [Google Scholar] [CrossRef]
- Kleeff, J.; Whitcomb, D.C.; Shimosegawa, T.; Esposito, I.; Lerch, M.M.; Gress, T. Chronic pancreatitis. Nat. Rev. Dis. Primers 2017, 3, 17060. [Google Scholar] [CrossRef]
- Cruz-Monserrate, Z.; Gumpper, K.; Pita, V.; Hart, P.A.; Forsmark, C.; Whitcomb, D.C.; Yadav, D.; Waldron, R.T.; Pandol, S.; Steen, H.; et al. Biomarkers of Chronic Pancreatitis: A systematic literature review. Pancreatology 2021, 21, 323–333. [Google Scholar] [CrossRef]
- Lariño-Noia, J.; De La Iglesia, D.; Iglesias-Garcia, J.; Macías, F.; Nieto, L.; Bastón, I.; Villalba, C.; Domínguez-Muńoz, J.E.; De La Iglesia-Garcia, D. Morphological and functional changes of chronic pancreatitis in patients with dyspepsia: A prospective, observational, cross-sectional study. Pancreatology 2018, 18, 280–285. [Google Scholar] [CrossRef]
- Wakabayashi, M.; Futagami, S.; Yamawaki, H.; Tatsuguchi, A.; Kaneko, K.; Agawa, S.; Higuchi, K.; Sakasegawa, N.; Murakami, M.; Akimoto, T.; et al. Comparison of clinical symptoms, gastric motility and fat intake in the early chronic pancreatitis patients with anti-acid therapy-resistant functional dyspepsia patients. PLoS ONE 2018, 13, e0205165. [Google Scholar] [CrossRef] [PubMed]
- Moayyedi, P.M.; E Lacy, B.; Andrews, C.N.; Enns, R.A.; Howden, C.W.; Vakil, N. ACG and CAG Clinical Guideline: Management of Dyspepsia. Am. J. Gastroenterol. 2017, 112, 988–1013. [Google Scholar] [CrossRef] [PubMed]
- Sugiyama, T.; Shiotani, A. The Cutting Edge Research of Functional Gastrointestinal Disorders in Japan: Review on JGA Core Symposium 2018–2020. Digestion 2021, 102, 6–11. [Google Scholar] [CrossRef] [PubMed]
- Carson, D.A.; O’Grady, G.; Du, P.; Gharibans, A.A.; Andrews, C.N. Body surface mapping of the stomach: New directions for clinically evaluating gastric electrical activity. Neurogastroenterol. Motil. 2021, 33, e14048. [Google Scholar] [CrossRef] [PubMed]
- Cangemi, D.J.; Lacy, B.E. Gastroparesis and functional dyspepsia: Different diseases or different ends of the spectrum? Curr. Opin. Gastroenterol. 2020, 36, 509–517. [Google Scholar] [CrossRef]
- Muntjewerff, E.M.; Tang, K.; Lutter, L.; Christoffersson, G.; Nicolasen, M.J.T.; Gao, H.; Katkar, G.D.; Das, S.; Ter Beest, M.; Ying, W.; et al. Chromogranin A regulates gut permeability via the antagonistic actions of its proteolytic peptides. Acta Physiol. 2021, 232, e13655. [Google Scholar] [CrossRef]
- Wölnerhanssen, B.; Moran, A.W.; Burdyga, G.; Meyer-Gerspach, A.C.; Peterli, R.; Manz, M.; Thumshirn, M.; Daly, K.; Beglinger, C.; Shirazi-Beechey, S.P. Deregulation of transcription factors controlling intestinal epithelial cell differentiation; a predisposing factor for reduced enteroendocrine cell number in morbidly obese individuals. Sci. Rep. 2017, 7, 1–13. [Google Scholar] [CrossRef] [Green Version]
- Huang, C.-T.; Liang, Y.-J. Comparison of Duodenal Mucosal Chromogranin-A Expression in Non-Alcoholic Fatty Pancreas Dyspeptic Patients with and without Endosonography-Diagnosed Early Chronic Pancreatitis: A Case Series Study. Case Rep. Gastroenterol. 2019, 13, 102–112. [Google Scholar] [CrossRef] [PubMed]
- Ito, T.; Ishiguro, H.; Ohara, H.; Kamisawa, T.; Sakagami, J.; Sata, N.; Takeyama, Y.; Hirota, M.; Miyakawa, H.; Igarashi, H.; et al. Evidence-based clinical practice guidelines for chronic pancreatitis 2015. J. Gastroenterol. 2016, 51, 85–92. [Google Scholar] [CrossRef] [Green Version]
- Cengiz, M.; Sentürk, S.; Cetin, B.; Bayrak, A.H.; Bilek, S.U. Sonographic assessment of fatty liver: Intraobserver and interobserver variability. Int. J. Clin. Exp. Med. 2014, 7, 5453–5460. [Google Scholar] [PubMed]
- Smereczyński, A.; Kołaczyk, K. Is a fatty pancreas a banal lesion? J. Ultrason. 2016, 16, 273–280. [Google Scholar] [CrossRef]
- Dietrich, C.F.; Hocke, M. Elastography of the Pancreas, Current View. Clin. Endosc. 2019, 52, 533–540. [Google Scholar] [CrossRef] [Green Version]
- Wiersema, M.J.; Wiersema, L.M. Endosonography of the pancreas: Normal variation versus changes of early chronic pancreatitis. Gastrointest. Endosc. Clin. N. Am. 1995, 5, 487–496. [Google Scholar] [CrossRef]
- Raimondo, M.; Wallace, M.B. Diagnosis of early chronic pancreatitis by endoscopic ultrasound. Are we there yet? JOP 2004, 5, 1–7. [Google Scholar]
- Forsmark, C.E. The Early Diagnosis of Chronic Pancreatitis. Clin. Gastroenterol. Hepatol. 2008, 6, 1291–1293. [Google Scholar] [CrossRef]
- Petrone, M.C.; Arcidiacono, P.G.; Perri, F.; Carrara, S.; Boemo, C.; Testoni, P.A. Chronic Pancreatitis-Like Changes Detected by Endoscopic Ultrasound in Subjects without Signs of Pancreatic Disease: Do These Indicate Age-Related Changes, Effects of Xenobiotics, or Early Chronic Pancreatitis? Pancreatology 2010, 10, 597–602. [Google Scholar] [CrossRef]
- Irisawa, A.; Sato, A.; Bhutani, M.; Shibukawa, G.; Yamabe, A.; Fujisawa, M.; Igarashi, R.; Arakawa, N.; Yoshida, Y.; Abe, Y.; et al. Significance of normal appearance on endoscopic ultrasonography in the diagnosis of early chronic pancreatitis. Endosc. Ultrasound 2017, 7, 110–118. [Google Scholar] [CrossRef]
- Hashimoto, S.; Futagami, S.; Yamawaki, H.; Kaneko, K.; Kodaka, Y.; Wakabayashi, M.; Sakasegawa, N.; Agawa, S.; Higuchi, K.; Akimoto, T.; et al. Epigastric pain syndrome accompanying pancreatic enzyme abnormalities was overlapped with early chronic pancreatitis using endosonography. J. Clin. Biochem. Nutr. 2017, 61, 140–145. [Google Scholar] [CrossRef] [Green Version]
- Domínguez-Muñoz, J.E.; Lariño-Noia, J.; Alvarez-Castro, A.; Nieto, L.; Lojo, S.; Leal, S.; Iglesia-Garcia, D.; Iglesias-Garcia, J. Endoscopic ultrasound-based multimodal evaluation of the pancreas in patients with suspected early chronic pancreatitis. United Eur. Gastroenterol. J. 2020, 8, 790–797. [Google Scholar] [CrossRef]
- Conwell, D.L.; Lee, L.S.; Yadav, D.; Longnecker, D.S.; Miller, F.H.; Mortele, K.J.; Levy, M.J.; Kwon, R.; Lieb, J.G.; Stevens, T.; et al. American Pancreatic Association Practice Guidelines in Chronic Pancreatitis: Evidence-based report on diagnostic guidelines. Pancreas 2014, 43, 1143–1162. [Google Scholar] [CrossRef] [PubMed] [Green Version]
- Albashir, S.; Bronner, M.P.; A Parsi, M.; Walsh, M.R.; Stevens, T. Endoscopic Ultrasound, Secretin Endoscopic Pancreatic Function Test, and Histology: Correlation in Chronic Pancreatitis. Am. J. Gastroenterol. 2010, 105, 2498–2503. [Google Scholar] [CrossRef] [PubMed]
- De Korwin, J.D. Helicobacter pylori: When to look for an infection and treat it in adults? Rev. Med. Interne 2021, 42, 482–491. [Google Scholar] [CrossRef]
- Yamamiya, A.; Irisawa, A.; Tominaga, K.; Tsuchida, K.; Sugaya, T.; Tsunemi, M.; Hoshi, K.; Jinnai, H.; Yamabe, A.; Izawa, N.; et al. Interobserver Reliability of the Endoscopic Ultrasound Criteria for the Diagnosis of Early Chronic Pancreatitis: Comparison between the 2009 and 2019 Japanese Diagnostic Criteria. Diagnostics 2021, 11, 431. [Google Scholar] [CrossRef]
- Yamashita, Y.; Tanioka, K.; Kawaji, Y.; Tamura, T.; Nuta, J.; Hatamaru, K.; Itonaga, M.; Ida, Y.; Maekita, T.; Iguchi, M.; et al. Endoscopic ultrasonography shear wave as a predictive factor of endocrine/exocrine dysfunction in chronic pancreatitis. J. Gastroenterol. Hepatol. 2021, 36, 391–396. [Google Scholar] [CrossRef] [PubMed]
- Yamashita, Y.; Tanioka, K.; Kawaji, Y.; Tamura, T.; Nuta, J.; Hatamaru, K.; Itonaga, M.; Yoshida, T.; Ida, Y.; Maekita, T.; et al. Utility of Elastography with Endoscopic Ultrasonography Shear-Wave Measurement for Diagnosing Chronic Pancreatitis. Gut Liver 2020, 14, 659–664. [Google Scholar] [CrossRef]
- Chandra, R.; Liddle, R.A. Modulation of pancreatic exocrine and endocrine secretion. Curr. Opin. Gastroenterol. 2013, 29, 517–522. [Google Scholar] [CrossRef] [Green Version]
- Gribble, F.; Reimann, F. Function and mechanisms of enteroendocrine cells and gut hormones in metabolism. Nat. Rev. Endocrinol. 2019, 15, 226–237. [Google Scholar] [CrossRef]






| Characteristics | Pancreatic Fibrosis (Early Chronic Pancreatitis) n= 24 | Peptic Ulcer Disease n = 13 | Helicobacter Pylori Infection n = 28 | Functional Dyspepsia n = 75 |
|---|---|---|---|---|
| Percentage of the 141-case group | 17% | 9.2% | 19.9% | 53.2% |
| Female/male | 15/9 | 4/9 | 13/15 | 42/33 |
| Age (median) | 53.5 | 56 | 57 | 43 |
| BMI (median) | 24.9 | 24.5 | 24.5 | 23.7 |
| H. pylori (%) | 29.2 | DU 87.5 GU 50 | 100 | 0 |
| Gallstone Cholecystectomy (%) | 14.3 0 | 15.4 0 | 7.1 0 | 5.3 1.3 |
| Fatty liver (≥grade 2) (%) | 25 | 7.7 | 17.9 | 8 |
| Fatty pancreas (≥grade 2) (%) | 66.7 | 15.4 | 14.3 | 17.3 |
| Type 2 DM (%) | 20.1 | 15.4 | 25 | 9.3 |
Publisher’s Note: MDPI stays neutral with regard to jurisdictional claims in published maps and institutional affiliations. |
© 2021 by the authors. Licensee MDPI, Basel, Switzerland. This article is an open access article distributed under the terms and conditions of the Creative Commons Attribution (CC BY) license (https://creativecommons.org/licenses/by/4.0/).
Share and Cite
Huang, C.-T.; Lee, T.-H.; Lin, C.-K.; Chen, C.-Y.; Yang, Y.-F.; Liang, Y.-J. Pancreatic Fibrosis (Early Chronic Pancreatitis) as Emerging Diagnosis in Structural Causes of Dyspepsia: Evidence from Endoscopic Ultrasonography and Shear Wave Elastography. Diagnostics 2021, 11, 1252. https://doi.org/10.3390/diagnostics11071252
Huang C-T, Lee T-H, Lin C-K, Chen C-Y, Yang Y-F, Liang Y-J. Pancreatic Fibrosis (Early Chronic Pancreatitis) as Emerging Diagnosis in Structural Causes of Dyspepsia: Evidence from Endoscopic Ultrasonography and Shear Wave Elastography. Diagnostics. 2021; 11(7):1252. https://doi.org/10.3390/diagnostics11071252
Chicago/Turabian StyleHuang, Chung-Tsui, Tzong-Hsi Lee, Cheng-Kuan Lin, Chao-Yi Chen, Yi-Feng Yang, and Yao-Jen Liang. 2021. "Pancreatic Fibrosis (Early Chronic Pancreatitis) as Emerging Diagnosis in Structural Causes of Dyspepsia: Evidence from Endoscopic Ultrasonography and Shear Wave Elastography" Diagnostics 11, no. 7: 1252. https://doi.org/10.3390/diagnostics11071252
APA StyleHuang, C.-T., Lee, T.-H., Lin, C.-K., Chen, C.-Y., Yang, Y.-F., & Liang, Y.-J. (2021). Pancreatic Fibrosis (Early Chronic Pancreatitis) as Emerging Diagnosis in Structural Causes of Dyspepsia: Evidence from Endoscopic Ultrasonography and Shear Wave Elastography. Diagnostics, 11(7), 1252. https://doi.org/10.3390/diagnostics11071252

