Challenging Mimickers in the Diagnosis of Sarcoidosis: A Case Study
Abstract
1. Introduction
2. Materials and Methods
3. Clinical Cases
3.1. Infectious Diseases
3.1.1. Case Description
3.1.2. Discussion
3.2. Neoplastic Disorders
3.2.1. Case Description
3.2.2. Discussion
3.3. Inflammatory Disorders and Systemic Diseases
3.3.1. Case Description
3.3.2. Discussion
3.4. Drug-Implant- and Device-Induced Sarcoidosis
3.4.1. Case Description
3.4.2. Discussion
3.5. Primary Immune Deficiencies
3.5.1. Case Description
3.5.2. Discussion
3.6. Opportunistic Infections
3.6.1. Case Description
3.6.2. Discussion
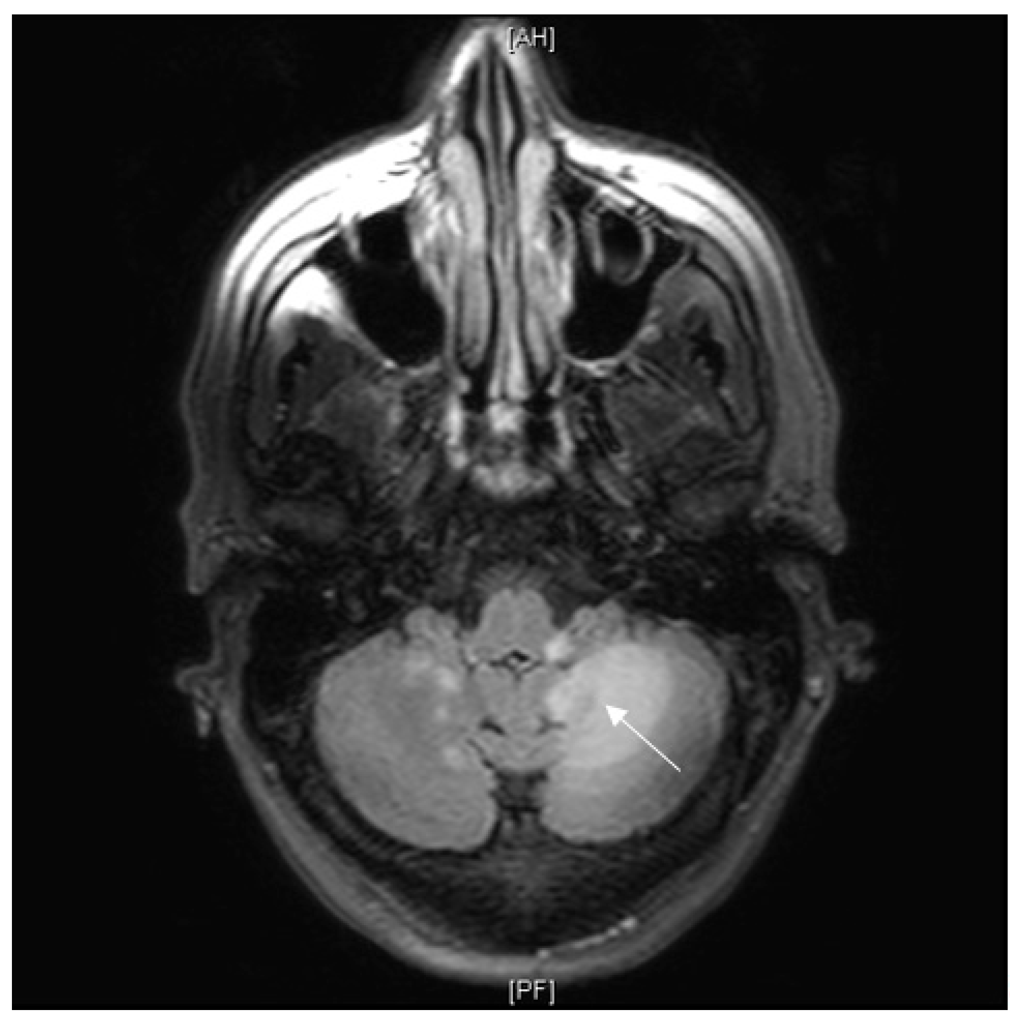
3.7. Neurosarcoidosis
3.7.1. Case Description
3.7.2. Discussion
| Diagnostic Subset | Diagnostic Features Shared with Neurosarcoidosis | References |
|---|---|---|
| CNS inflammatory disorders | ||
| Multiple sclerosis | WM lesions, short myelitis, ON | [192,193,194,195] |
| NMO-SD and MOGAD | ON especially if bilateral/papilledema, LTEM | [192,196,197] |
| PACNS | Stroke, leptomeningeal involvement | [192,198] |
| CLIPPERS | Response to steroids, punctate enhancement | [192,199] |
| Anti-GFAP associated disorders | Myelitis, meningitis, papilledema, punctate enhancement | [192,200] |
| Infections | ||
| Bacterial: tuberculosis (and other mycobacteria),syphilis, Lyme disease, Whipple disease, brucellosis | Meningitis (hypoglycorrachia), myelitis, ON | [10,192,201] |
| Fungal: cryptococcosis, histoplasmosis… | Meningitis (hypoglycorrachia) | [54,192,202] |
| Parasitic: toxoplasmosis, toxocarosis… | Myelitis and ON for toxocarosis, brain mass lesion(s) for toxoplasmosis | [192,203] |
| Tumoral conditions | ||
| Lymphoma | Response to steroids, uveitis | [192,204] |
| Lymphomatoid granulomatosis | Vasculitis, punctate enhancement | [192,205] |
| Meningeal carcinomatosis | Cranial nerve involvement, leptomeningeal involvement, hypoglycorrachia | [192] |
| Metastases | Brain mass or meningeal lesions | [192] |
| Meningioma | Pachymeningeal involvement | [192] |
| Histiocytic diseases: Langerhans cell histiocytosis, Erdheim–Chester disease and Rosai–Dorfman syndrome | Hypothalamic-pituitary involvement, brain mass lesions | [90,192,206,207] |
| Ependymoma | Spinal cord involvement | [192] |
| Germinoma | Hypothalamic-pituitary or optic nerve involvement | [192] |
| Glioma | Brain mass lesion(s) | [192] |
| Systemic inflammatory disorders | ||
| Behcet’s disease | Meningitis, uveitis, ON, myelitis | [192,195,208] |
| GPA | Pachymeningeal involvement, vasculitis | [192,209] |
| Sjögren syndrome | ON, myelitis | [192,195] |
| SLE | Myelitis, vasculitis | [192] |
| IgG4-related pachymeningitis | Pachymeningeal involvement | [187] |
4. Discussion
5. Conclusions
Supplementary Materials
Author Contributions
Funding
Institutional Review Board Statement
Informed Consent Statement
Data Availability Statement
Conflicts of Interest
References
- Hutchinson, J. Illustrations of Clinical Surgery; Churchill: London, UK; p. 42.
- Valeyre, D.; Prasse, A.; Nunes, H.; Uzunhan, Y.; Brillet, P.-Y.; Müller-Quernheim, J. Sarcoidosis. Lancet 2014, 383, 1155–1167. [Google Scholar] [CrossRef]
- El Jammal, T.; Jamilloux, Y.; Gerfaud-Valentin, M.; Valeyre, D.; Sève, P. Refractory Sarcoidosis: A Review. TCRM 2020, 16, 323–345. [Google Scholar] [CrossRef]
- Arkema, E.V.; Cozier, Y.C. Epidemiology of Sarcoidosis: Current Findings and Future Directions. Ther. Adv. Chronic Dis. 2018, 9, 227–240. [Google Scholar] [CrossRef]
- Hunninghake, G.; Costabel, U. Statement on Sarcoidosis. Am. J. Respir. Crit. Care Med. 1999, 160, 20. [Google Scholar] [CrossRef]
- Crouser, E.D.; Maier, L.A.; Wilson, K.C.; Bonham, C.A.; Morgenthau, A.S.; Patterson, K.C.; Abston, E.; Bernstein, R.C.; Blankstein, R.; Chen, E.S.; et al. Diagnosis and Detection of Sarcoidosis. An Official American Thoracic Society Clinical Practice Guideline. Am. J. Respir. Crit. Care Med. 2020, 201, e26–e51. [Google Scholar] [CrossRef]
- Duréault, A.; Chapelon, C.; Biard, L.; Domont, F.; Savey, L.; Bodaghi, B.; Pourcher, V.; Rigon, M.R.; Cacoub, P.; Saadoun, D. Severe Infections in Sarcoidosis: Incidence, Predictors and Long-Term Outcome in a Cohort of 585 Patients. Medicine 2017, 96, e8846. [Google Scholar] [CrossRef] [PubMed]
- Jamilloux, Y.; Valeyre, D.; Lortholary, O.; Bernard, C.; Kerever, S.; Lelievre, L.; Neel, A.; Broussolle, C.; Seve, P. The Spectrum of Opportunistic Diseases Complicating Sarcoidosis. Autoimmun. Rev. 2015, 14, 64–74. [Google Scholar] [CrossRef]
- El Jammal, T.; Pavic, M.; Gerfaud-Valentin, M.; Jamilloux, Y.; Seve, P. Sarcoidosis and Cancer: A Complex Relationship. Front. Med. 2020. Accepted for publication. [Google Scholar] [CrossRef]
- Gupta, D.; Agarwal, R.; Aggarwal, A.N.; Jindal, S.K. Sarcoidosis and Tuberculosis: The Same Disease with Different Manifestations or Similar Manifestations of Different Disorders. Curr. Opin. Pulm. Med. 2012, 18, 506–516. [Google Scholar] [CrossRef]
- Gopalaswamy, R.; Shanmugam, S.; Mondal, R.; Subbian, S. Of Tuberculosis and Non-Tuberculous Mycobacterial Infections—A Comparative Analysis of Epidemiology, Diagnosis and Treatment. J. Biomed. Sci. 2020, 27, 74. [Google Scholar] [CrossRef] [PubMed]
- Kaushik, J.; Jain, V.K.; Parihar, J.K.S.; Dhar, S.; Agarwal, S. Leprosy Presenting with Iridocyclitis: A Diagnostic Dilemma. J. Ophthalmic Vis. Res. 2017, 12, 437–439. [Google Scholar] [CrossRef]
- Gousseff, M.; Mechaï, F.; Lecuit, M.; Lortholary, O. Les granulomatoses systémiques d’origine infectieuse. Rev. Méd. Interne 2008, 29, 15–27. [Google Scholar] [CrossRef]
- White, C.; Franco-Paredes, C. Leprosy in the 21st Century. Clin. Microbiol. Rev. 2015, 28, 80–94. [Google Scholar] [CrossRef]
- Franco, M.P.; Mulder, M.; Gilman, R.H.; Smits, H.L. Human Brucellosis. Lancet Infect. Dis 2007, 7, 775–786. [Google Scholar] [CrossRef]
- Gellin, B.G. Listeriosis. JAMA 1989, 261, 1313. [Google Scholar] [CrossRef]
- Mert, A.; Tabak, F.; Ozaras, R.; Ozturk, R.; Aki, H.; Aktuglu, Y. Typhoid Fever as a Rare Cause of Hepatic, Splenic, and Bone Marrow Granulomas. Intern. Med. 2004, 43, 436–439. [Google Scholar] [CrossRef][Green Version]
- Singh, A.; Chhina, D.; Soni, R.; Kakkar, C.; Sidhu, U. Clinical Spectrum and Outcome of Pulmonary Nocardiosis: 5-Year Experience. Lung India 2016, 33, 398. [Google Scholar] [CrossRef] [PubMed]
- Rodríguez-Gutiérrez, G.; Toussaint, S.; Hernández-Castro, R.; del Carmen Sánchez-León, M.; Arenas, R. Nocardia brasiliensis Infection: An Emergent Suppurative Granuloma after Mesotherapy. Int J. Derm. 2014, 53, 888–890. [Google Scholar] [CrossRef]
- Terrada, C.; Azza, S.; Bodaghi, B.; Le Hoang, P.; Drancourt, M. Rabbit Hunter Uveitis: Case Report of Tularemia Uveitis. BMC Ophthalmol. 2016, 16, 157. [Google Scholar] [CrossRef]
- Asano, S. Granulomatous Lymphadenitis. J. Clin. Exp. Hematop. 2012, 52, 1–16. [Google Scholar] [CrossRef]
- Kocabaş, E.; Özgür Gündeşlioğlu, Ö.; Kılıç Çil, M.; Çay, Ü.; Doran, F.; Soyupak, S. A Rare Cause of Granulomatous Hepatitis: Tularemia. J. Infect. Public Health 2020, 13, 1003–1005. [Google Scholar] [CrossRef] [PubMed]
- Marth, T.; Moos, V.; Müller, C.; Biagi, F.; Schneider, T. Tropheryma Whipplei Infection and Whipple’s Disease. Lancet Infect. Dis. 2016, 16, e13–e22. [Google Scholar] [CrossRef]
- Lins, K.d.A.; Drummond, M.R.; Velho, P.E.N.F. Cutaneous Manifestations of Bartonellosis. An. Bras. Derm. 2019, 94, 594–602. [Google Scholar] [CrossRef] [PubMed]
- Mabra, D.; Yeh, S.; Shantha, J.G. Ocular Manifestations of Bartonellosis. Curr. Opin. Ophthalmol. 2018, 29, 582–587. [Google Scholar] [CrossRef]
- Murano, I.; Yoshii, H.; Kurashige, H.; Sugio, Y.; Tsukahara, M. Giant Hepatic Granuloma Caused by Bartonella Henselae. Pediatr. Infect. Dis. J. 2001, 20, 319–320. [Google Scholar] [CrossRef]
- Drummond, M.R.; de Almeida, A.R.; Valandro, L.; Pavan, M.H.P.; Stucchi, R.S.B.; Aoki, F.H.; Velho, P.E.N.F. Bartonella Henselae Endocarditis in an Elderly Patient. PLoS Negl. Trop Dis. 2020, 14, e0008376. [Google Scholar] [CrossRef]
- Delaby, A.; Gorvel, L.; Espinosa, L.; Lépolard, C.; Raoult, D.; Ghigo, E.; Capo, C.; Mege, J.-L. Defective Monocyte Dynamics in Q Fever Granuloma Deficiency. J. Infect. Dis. 2012, 205, 1086–1094. [Google Scholar] [CrossRef]
- Szablewski, V.; Costes, V.; Rousset, T.; Mania, E.; El Aoufi, N. [Q fever: Bone marrow characteristic granuloma]. Ann. Pathol. 2012, 32, 263–266. [Google Scholar] [CrossRef]
- Little, J.W. Syphilis: An Update. Oral Surg. Oral Med. Oral Pathol. Oral Radiol. Endodontol. 2005, 100, 3–9. [Google Scholar] [CrossRef]
- Boyanova, L.; Kolarov, R.; Mateva, L.; Markovska, R.; Mitov, I. Actinomycosis: A Frequently Forgotten Disease. Future Microbiol. 2015, 10, 613–628. [Google Scholar] [CrossRef]
- Wong, K.T.; Puthucheary, S.D.; Vadivelu, J. The Histopathology of Human Melioidosis. Histopathology 1995, 26, 51–55. [Google Scholar] [CrossRef]
- Lamps, L.W.; Madhusudhan, K.T.; Greenson, J.K.; Pierce, R.H.; Massoll, N.A.; Chiles, M.C.; Dean, P.J.; Scott, M.A. The Role of Yersinia Enterocolitica and Yersinia Pseudotuberculosis in Granulomatous Appendicitis: A Histologic and Molecular Study. Am. J. Surg. Pathol. 2001, 25, 508–515. [Google Scholar] [CrossRef]
- Belda Junior, W. Donovanosis. An. Bras. Derm. 2020, 95, 675–683. [Google Scholar] [CrossRef] [PubMed]
- Mabey, D.; Peeling, R.W. Lymphogranuloma Venereum. Sex. Transm Infect. 2002, 78, 90–92. [Google Scholar] [CrossRef]
- Bentata-Pessayre, M.; Beaugrand, M.; Callard, P.; Brun-Vesinet, F.; Krivitsky, A.; Mornet, P.; Delzant, G. [Granulomatous hepatitis in cytomegalovirus infection in healthy adults]. Ann. Med. Interne 1987, 138, 353–357. [Google Scholar]
- Zhang, D.; Glover, S.C.; Liu, W.; Liu, X.; Lai, J. Small Bowel Pyogenic Granuloma With Cytomegalovirus Infection in a Patient With Crohn’s Disease (Report of a Case and Review of the Literature). In Vivo 2019, 33, 251–254. [Google Scholar] [CrossRef]
- Alexandra, G.; Claudia, G. Lymphomatoid Granulomatosis Mimicking Cancer and Sarcoidosis. Ann. Hematol. 2019, 98, 1309–1311. [Google Scholar] [CrossRef]
- Martinez-Mera, C.; Hospital, M.; López-Negrete, E.; Suarez Massa, D. Atypical Herpes Simplex Presenting Necrotizing Granulomas in an Immunocompromised Patient. Am. J. Derm. 2020, 42, 305–306. [Google Scholar] [CrossRef] [PubMed]
- McCoy, W.H.; Otchere, E.; Musiek, A.C.; Anadkat, M.J. Granulomatous Dermatitis as a Postherpetic Isotopic Response in Immunocompromised Patients: A Report of 5 Cases. JAAD Case Rep. 2018, 4, 752–760. [Google Scholar] [CrossRef]
- Prieto Herman Reinehr, C.; Corrêa Martins, C.; Trein Cunha, V.; Elen Lira, F.; Sprinz, E.; Cartell, A.; Bakos, R.M. Cutaneous Human Immunodeficiency Virus (HIV)-Associated Lymphomatoid Granulomatosis: Complete Regression Following Antiretroviral Therapy. Int. J. Derm. 2017, 56, e100–e102. [Google Scholar] [CrossRef]
- Costiniuk, C.T.; Karamchandani, J.; Bessissow, A.; Routy, J.-P.; Szabo, J.; Frenette, C. Angiocentric Lymph Proliferative Disorder (Lymphomatoid Granulomatosis) in a Person with Newly-Diagnosed HIV Infection: A Case Report. BMC Infect. Dis. 2018, 18, 210. [Google Scholar] [CrossRef]
- Domínguez-Durán, E.; Luque-Márquez, R.; Fontillón-Alberdi, M.; Abrante-Jiménez, A. Laryngeal Lymphomatoid Granulomatosis in a HIV Patient. Enferm. Infecc. Microbiol. Clin. 2011, 29, 552–553. [Google Scholar] [CrossRef]
- Tahan, V.; Ozaras, R.; Lacevic, N.; Ozden, E.; Yemisen, M.; Ozdogan, O.; Mert, A.; Tabak, F.; Avsar, E.; Celikel, C.A.; et al. Prevalence of Hepatic Granulomas in Chronic Hepatitis B. Dig. Dis. Sci. 2004, 49, 1575–1577. [Google Scholar] [CrossRef] [PubMed]
- Ma, H.J.; Zhu, W.Y.; Yue, X.Z. Generalized Granuloma Annulare Associated with Chronic Hepatitis B Virus Infection. J. Eur. Acad. Derm. Venereol. 2006, 20, 186–189. [Google Scholar] [CrossRef]
- Snyder, N.; Martinez, J.G.; Xiao, S.-Y. Chronic Hepatitis C Is a Common Associated with Hepatic Granulomas. World J. Gastroenterol. 2008, 14, 6366–6369. [Google Scholar] [CrossRef] [PubMed]
- Vakiani, E.; Hunt, K.K.; Mazziotta, R.M.; Emond, J.C.; Brown, R.S.; Lefkowitch, J.H.; Bhagat, G. Hepatitis C-Associated Granulomas after Liver Transplantation: Morphologic Spectrum and Clinical Implications. Am. J. Clin. Pathol. 2007, 127, 128–134. [Google Scholar] [CrossRef] [PubMed]
- García-Gil, M.F.; Monte Serrano, J.; García García, M.; Matovelle Ochoa, C.; Ara-Martín, M. Granuloma Annulare Triggered by SARS-CoV-2 Infection. The First Reported Case. J. Derm. 2021, 48, e1–e2. [Google Scholar] [CrossRef]
- Monte-Serrano, J.; García-Gil, M.F.; García-García, M.; Casas-Flecha, I.; Matovelle-Ochoa, C.; Ara-Martín, M. Granuloma Annulare Triggered by SARS-CoV-2 Infection: Immunohistochemical Staining. Dermatol. Ther. 2021, e14897. [Google Scholar] [CrossRef]
- Szajek, K.; Kajdi, M.-E.; Luyckx, V.A.; Fehr, T.H.; Gaspert, A.; Cusini, A.; Hohloch, K.; Grosse, P. Granulomatous Interstitial Nephritis in a Patient with SARS-CoV-2 Infection. BMC Nephrol. 2021, 22, 19. [Google Scholar] [CrossRef]
- Schwartz, C.; Fallon, P.G. Schistosoma “Eggs-Iting” the Host: Granuloma Formation and Egg Excretion. Front. Immunol. 2018, 9, 2492. [Google Scholar] [CrossRef]
- López Aventín, D.; Martín-Ezquerra, G.; Villar García, J.; Pujol, R.M. Immune Reconstitution-Associated Cutaneous Sarcoid-like Eruption in a Patient with Previous Disseminated Cutaneous Leishmaniasis: A Diagnostic Challenge. J. Dermatol. 2014, 41, 648–649. [Google Scholar] [CrossRef]
- Giorgio, S.; Gallo-Francisco, P.H.; Roque, G.A.S.; Flóro e Silva, M. Granulomas in Parasitic Diseases: The Good and the Bad. Parasitol. Res. 2020, 119, 3165–3180. [Google Scholar] [CrossRef] [PubMed]
- Bernard, C.; Maucort-Boulch, D.; Varron, L.; Charlier, C.; Sitbon, K.; Freymond, N.; Bouhour, D.; Hot, A.; Masquelet, A.C.; Valeyre, D.; et al. Cryptococcosis in Sarcoidosis: CryptOsarc, a Comparative Study of 18 Cases. QJM 2013, 106, 523–539. [Google Scholar] [CrossRef]
- Sicherman, H.J.; Andersen, H.A.; DeRemee, R.A. Sarcoidosis or Fungal Disease? Chest 1973, 64, 36–38. [Google Scholar] [CrossRef] [PubMed]
- Sundaram, C.; Murthy, J.M.K. Intracranial Aspergillus Granuloma. Pathol. Res. Int. 2011, 2011, e157320. [Google Scholar] [CrossRef]
- Hartel, P.H.; Shilo, K.; Klassen-Fischer, M.; Neafie, R.C.; Franks, T.J. Granulomatous Reaction to Pneumocystis Jirovecii. Am. J. Surg. Pathol. 2010, 34, 5. [Google Scholar] [CrossRef] [PubMed]
- Jeny, F.; Bernaudin, J.-F.; Cohen Aubart, F.; Brillet, P.-Y.; Bouvry, D.; Nunes, H.; Valeyre, D. Diagnosis Issues in Sarcoidosis. Respir. Med. Res. 2020, 77, 37–45. [Google Scholar] [CrossRef]
- Agrawal, R.; Kee, A.R.; Ang, L.; Hang, Y.T.; Gupta, V.; Kon, O.M.; Mitchell, D.; Zierhutf, M.; Pavesio, C. Tuberculosis or Sarcoidosis: Opposite Ends of the Same Disease Spectrum? Tuberculosis 2016, 98. [Google Scholar] [CrossRef]
- Piotrowski, W.J.; Białas, A.J.; Gwadera, Ł.; Kumor-Kisielewska, A.; Fijałkowski, M.; Kurmanowska, Z.; Marczak, J.; Gwadera, Ł.; Angowski, W.; Górski, P.; et al. QuantiFERON-TB-GOLD In-Tube in Patients with Sarcoidosis. Adv. Respir. Med. 2018, 86, 234–239. [Google Scholar] [CrossRef] [PubMed]
- Walzl, G.; McNerney, R.; du Plessis, N.; Bates, M.; McHugh, T.D.; Chegou, N.N.; Zumla, A. Tuberculosis: Advances and Challenges in Development of New Diagnostics and Biomarkers. Lancet Infect. Dis. 2018, 18, e199–e210. [Google Scholar] [CrossRef]
- Boehme, C.C.; Nabeta, P.; Hillemann, D.; Nicol, M.P.; Shenai, S.; Krapp, F.; Allen, J.; Tahirli, R.; Blakemore, R.; Rustomjee, R.; et al. Rapid Molecular Detection of Tuberculosis and Rifampin Resistance. N. Engl. J. Med. 2010, 363, 1005–1015. [Google Scholar] [CrossRef]
- Li, S.; Liu, B.; Peng, M.; Chen, M.; Yin, W.; Tang, H.; Luo, Y.; Hu, P.; Ren, H. Diagnostic Accuracy of Xpert MTB/RIF for Tuberculosis Detection in Different Regions with Different Endemic Burden: A Systematic Review and Meta-Analysis. PLoS ONE 2017, 12. [Google Scholar] [CrossRef] [PubMed]
- Mortaz, E.; Adcock, I.M.; Barnes, P.J. Sarcoidosis: Role of Non-Tuberculosis Mycobacteria and Mycobacterium Tuberculosis. Int. J. Mycobacteriol. 2014, 3, 225–229. [Google Scholar] [CrossRef]
- Lee, H.; Eom, M.; Kim, S.; Wang, H.; Lee, H.; Choi, E.H. Identification of Mycobacterium Tuberculosis and Non-tuberculous Mycobacteria from Cutaneous Sarcoidosis Lesions by Reverse Blot Hybridization Assay. J. Derm. 2019, 46, 917–921. [Google Scholar] [CrossRef] [PubMed]
- Lisby, G.; Milman, N.; Jacobsen, G.K. Search for Mycobacterium Paratuberculosis DNA in Tissue from Patients with Sarcoidosis by Enzymatic Gene Amplification. APMIS 1993, 101, 876–878. [Google Scholar] [CrossRef] [PubMed]
- Jeny, F.; Grutters, J.C. Experimental Models of Sarcoidosis: Where Are We Now? Curr. Opin. Pulm. Med. 2020, 26, 554–561. [Google Scholar] [CrossRef] [PubMed]
- Tjwa, M.; De Hertogh, G.; Neuville, B.; Roskams, T.; Nevens, F.; Van Steenbergen, W. Hepatic Fibrin-Ring Granulomas in Granulomatous Hepatitis: Report of Four Cases and Review of the Literature. Acta Clin. Belg. 2001, 56, 341–348. [Google Scholar] [CrossRef]
- Wheat, L.J.; Azar, M.M.; Bahr, N.C.; Spec, A.; Relich, R.F.; Hage, C. Histoplasmosis. Infect. Dis. Clin. North. Am. 2016, 30, 207–227. [Google Scholar] [CrossRef]
- Shah, K.K.; Pritt, B.S.; Alexander, M.P. Histopathologic Review of Granulomatous Inflammation. J. Clin. Tuberc. Other Mycobact. Dis. 2017, 7, 1–12. [Google Scholar] [CrossRef] [PubMed]
- Adigun, R.; Basit, H.; Murray, J. Cell Liquefactive Necrosis. In StatPearls; StatPearls Publishing: Treasure Island, FL, USA, 2021. [Google Scholar]
- Brincker, H. Sarcoid Reactions and Sarcoidosis in Hodgkin’s Disease and Other Malignant Lymphomata. Br. J. Cancer 1972, 26, 120–128. [Google Scholar] [CrossRef]
- O’Connell, M.J. Epithelioid Granulomas in Hodgkin Disease. A Favorable Prognostic Sign? JAMA J. Am. Med. Assoc. 1975, 233, 886–889. [Google Scholar] [CrossRef]
- Sacks, E.L.; Donaldson, S.S.; Gordon, J.; Dorfman, R.F. Epithelioid Granulomas Associated with Hodgkin’s Disease. Clinical Correlations in 55 Previously Untreated Patients. Cancer 1978, 41, 562–567. [Google Scholar] [CrossRef]
- Takeuchi, H.; Suchi, T.; Suzuki, R.; Sato, T. Histological Study of Immune Parameters of Regional Lymph Nodes of Gastric Cancer Patients. Gan 1982, 73, 420–428. [Google Scholar]
- Steinfort, D.P.; Irving, L.B. Sarcoidal Reactions in Regional Lymph Nodes of Patients with Non-Small Cell Lung Cancer: Incidence and Implications for Minimally Invasive Staging with Endobronchial Ultrasound. Lung Cancer 2009, 66, 305–308. [Google Scholar] [CrossRef] [PubMed]
- Arish, N.; Kuint, R.; Sapir, E.; Levy, L.; Abutbul, A.; Fridlender, Z.; Laxer, U.; Berkman, N. Characteristics of Sarcoidosis in Patients with Previous Malignancy: Causality or Coincidence? Respiration 2017, 93, 247–252. [Google Scholar] [CrossRef]
- Hou, W.; Wei, P.; Xie, J.; Zheng, Y.; Zhou, X. Classical Hodgkin Lymphoma with Necrotic Granuloma-like Morphological Features. Int. J. Clin. Exp. Med. 2018, 11, 9593–9602. [Google Scholar]
- Brincker, H.; Wilbek, E. The Incidence of Malignant Tumours in Patients with Respiratory Sarcoidosis. Br. J. Cancer 1974, 29, 247–251. [Google Scholar] [CrossRef]
- Brincker, H. The Sarcoidosis-Lymphoma Syndrome. Br. J. Cancer 1986, 54, 467–473. [Google Scholar] [CrossRef]
- Song, J.Y.; Pittaluga, S.; Dunleavy, K.; Grant, N.; White, T.; Jiang, L.; Davies-Hill, T.; Raffeld, M.; Wilson, W.H.; Jaffe, E.S. Lymphomatoid Granulomatosis—A Single Institute Experience: Pathologic Findings and Clinical Correlations. Am. J. Surg. Pathol. 2015, 39, 141–156. [Google Scholar] [CrossRef] [PubMed]
- de Boysson, H.; Geffray, L. Granulomatose lymphomatoïde. Rev. Méd. Interne 2013, 34, 349–357. [Google Scholar] [CrossRef]
- Padilla, M.L.; Schilero, G.J.; Teirstein, A.S. Donor-Acquired Sarcoidosis. Sarcoidosis Vasc Diffus. Lung Dis. 2002, 19, 18–24. [Google Scholar]
- Morita, R.; Hashino, S.; Kubota, K.; Onozawa, M.; Kahata, K.; Kondo, T.; Suzuki, S.; Matsuno, Y.; Imamura, M.; Asaka, M. Donor Cell-Derived Sarcoidosis after Allogenic BMT. Bone Marrow Transplant. 2009, 43, 507–508. [Google Scholar] [CrossRef]
- Schattenberg, A.V.M.B.; Baynes, C.; van Dijk, M.C.R.F.; Koster, A.; van Cleef, P.H.J.; Preijers, F.W.M.B.; Hermus, A.D.R.; Raemaekers, J.M.M. A Mediastinal Mass after Donor Lymphocyte Infusion for Relapse of Chronic Myeloid Leukemia after Allogeneic Stem Cell Transplantation. Leuk. Lymphoma 2006, 47, 1188–1190. [Google Scholar] [CrossRef] [PubMed]
- Bhagat, R.; Rizzieri, D.A.; Vredenburgh, J.J.; Chao, N.J.; Folz, R.J. Pulmonary Sarcoidosis Following Stem Cell Transplantation. Chest 2004, 126, 642–644. [Google Scholar] [CrossRef] [PubMed][Green Version]
- Kushima, H.; Ishii, H.; Ikewaki, J.; Takano, K.; Ogata, M.; Kadota, J. Sarcoidosis in Donor-Derived Tissues after Haematopoietic Stem Cell Transplantation: Table 1. Eur. Respir. J. 2013, 41, 1452–1453. [Google Scholar] [CrossRef]
- Marchal, A.; Charlotte, F.; Maksud, P.; Haroche, J.; Lifferman, F.; Miyara, M.; Choquet, S.; Amoura, Z.; Cohen Aubart, F. Sarcoidosis flare after autologous stem cell transplantation: An immune paradox? Rev. Med. Interne 2017, 38, 619–622. [Google Scholar] [CrossRef]
- Landi, C.; Bargagli, E.; Carleo, A.; Bianchi, L.; Gagliardi, A.; Cillis, G.; Perari, M.G.; Refini, R.M.; Prasse, A.; Bini, L.; et al. A Functional Proteomics Approach to the Comprehension of Sarcoidosis. J. Proteom. 2015, 128, 375–387. [Google Scholar] [CrossRef]
- Bicart-Sée, L.; Roriz, M.; Chabriat, H.; Buffon-Porcher, F.; Cognat, E. Neurosarcoidosis: Leptomeninigeal, Cavernous Sinus and Pituitary Involvement. QJM An. Int. J. Med. 2017, 110, 397–398. [Google Scholar] [CrossRef]
- Bateman, A.C.; Ashton-Key, M.R.; Jogai, S. Lymph Node Granulomas in Immunoglobulin G4-Related Disease. Histopathology 2015, 67, 557–561. [Google Scholar] [CrossRef]
- Bruce-Brand, C.; Schneider, J.W.; Schubert, P. Rosai-Dorfman Disease: An Overview. J. Clin. Pathol. 2020, 73, 697–705. [Google Scholar] [CrossRef]
- Gaviria, J.G.; Johnson, D.A.; Kinney, M.C.; Proffer, L.H.; Losi-Sasaki, J.M.; Kraus, E.W. Bilateral Anterior Granulomatous Uveitis Associated with Cutaneous Rosai-Dorfman Disease. Graefes Arch. Clin. Exp. Ophthalmol. 2005, 243, 281–284. [Google Scholar] [CrossRef]
- Johnston, J.M.; Limbrick, D.D.; Ray, W.Z.; Brown, S.; Shimony, J.; Park, T.S. Isolated Cerebellar Rosai-Dorfman Granuloma Mimicking Lhermitte-Duclos Disease: Case Report. J. Neurosurg. Pediatrics 2009, 4, 118–120. [Google Scholar] [CrossRef]
- McCarthy, E. Erdheim-Chester Disease. In Tumors and Tumor-Like Lesions of Bone: For Surgical Pathologists, Orthopedic Surgeons and Radiologists; Santini-Araujo, E., Kalil, R.K., Bertoni, F., Park, Y.-K., Eds.; Springer: London, UK, 2015; pp. 951–955. ISBN 978-1-4471-6578-1. [Google Scholar]
- Gutmann, E.J. Granulomatous Inflammation Related to Amyloid Deposition in a Focus of Multiple Myeloma. Report of a Case with Diagnosis by Fine Needle Aspiration Biopsy. Acta Cytol. 1995, 39, 793–797. [Google Scholar] [PubMed]
- Hirano, T.; Numakura, T.; Moriyama, H.; Saito, R.; Shishikura, Y.; Shiihara, J.; Sugiura, H.; Ichinose, M. The First Case of Multiple Pulmonary Granulomas with Amyloid Deposition in a Dental Technician; a Rare Manifestation as an Occupational Lung Disease. BMC Pulm. Med. 2018, 18, 77. [Google Scholar] [CrossRef]
- Rao, N.A. Pathology of Vogt-Koyanagi-Harada Disease. Int. Ophthalmol. 2007, 27, 81–85. [Google Scholar] [CrossRef] [PubMed]
- Caso, F.; Galozzi, P.; Costa, L.; Sfriso, P.; Cantarini, L.; Punzi, L. Autoinflammatory Granulomatous Diseases: From Blau Syndrome and Early-Onset Sarcoidosis to NOD2-Mediated Disease and Crohn’s Disease. RMD Open 2015, 1. [Google Scholar] [CrossRef] [PubMed]
- Torisu, Y.; Horai, Y.; Michitsuji, T.; Kawahara, C.; Mori, T.; Iwanaga, N.; Izumi, Y.; Kawakami, A. Giant Cell Arteritis with Generalized Granuloma Annulare. Intern. Med. 2019, 58, 1173–1177. [Google Scholar] [CrossRef]
- Gómez-Mariscal, M.; Oleñik, A.; Arriba-Palomero, P.; García-Cosio, M.; Muñoz-Negrete, F.J. Recurrent Bilateral Anterior Uveitis with Kikuchi–Fujimoto Disease. Ocul. Immunol. Inflamm. 2017, 25, 866–869. [Google Scholar] [CrossRef]
- Schwerd, T.; Pandey, S.; Yang, H.-T.; Bagola, K.; Jameson, E.; Jung, J.; Lachmann, R.H.; Shah, N.; Patel, S.Y.; Booth, C.; et al. Impaired Antibacterial Autophagy Links Granulomatous Intestinal Inflammation in Niemann–Pick Disease Type C1 and XIAP Deficiency with NOD2 Variants in Crohn’s Disease. Gut 2017, 66, 1060–1073. [Google Scholar] [CrossRef]
- Ohshimo, S.; Guzman, J.; Costabel, U.; Bonella, F. Differential Diagnosis of Granulomatous Lung Disease: Clues and Pitfalls: Number 4 in the Series “Pathology for the Clinician” Edited by Peter Dorfmüller and Alberto Cavazza. Eur. Respir. Rev. 2017, 26, 170012. [Google Scholar] [CrossRef]
- Finkielman, J.D.; Lee, A.S.; Hummel, A.M.; Viss, M.A.; Jacob, G.L.; Homburger, H.A.; Peikert, T.; Hoffman, G.S.; Merkel, P.A.; Spiera, R.; et al. ANCA Are Detectable in Nearly All Patients with Active Severe Wegener’s Granulomatosis. Am. J. Med. 2007, 120, 643.e9–643.e14. [Google Scholar] [CrossRef]
- Rosen, Y. Four Decades of Necrotizing Sarcoid Granulomatosis: What Do We Know Now? Arch. Pathol. Lab. Med. 2015, 139, 252–262. [Google Scholar] [CrossRef] [PubMed]
- Kallel, L.; Fekih, M.; Ghorbel, I.B.; Chelly, I.; Houman, H.; Filali, A. Un cas exceptionnel de sarcoïdose systémique suivie par une maladie de Crohn: Une association fortuite ou lien étiopathogénique? Presse Méd. 2010, 39, 148–150. [Google Scholar] [CrossRef]
- Rajoriya, N.; Wotton, C.J.; Yeates, D.G.R.; Travis, S.P.L.; Goldacre, M.J. Immune-Mediated and Chronic Inflammatory Disease in People with Sarcoidosis: Disease Associations in a Large UK Database. Postgrad. Med. J. 2009, 85, 233–237. [Google Scholar] [CrossRef] [PubMed]
- Halling, M.L.; Kjeldsen, J.; Knudsen, T.; Nielsen, J.; Hansen, L.K. Patients with Inflammatory Bowel Disease Have Increased Risk of Autoimmune and Inflammatory Diseases. World J. Gastroenterol. 2017, 23, 6137–6146. [Google Scholar] [CrossRef] [PubMed]
- Ghrenassia, E.; Mekinian, A.; Chapelon-Albric, C.; Levy, P.; Cosnes, J.; Sève, P.; Lefèvre, G.; Dhôte, R.; Launay, D.; Prendki, V.; et al. Digestive-Tract Sarcoidosis: French Nationwide Case-Control Study of 25 Cases. Medicine 2016, 95, e4279. [Google Scholar] [CrossRef] [PubMed]
- Brown, I.; Kumarasinghe, M.P. Granulomas in the Gastrointestinal Tract: Deciphering the Pandora’s Box. Virchows Arch. 2018, 472, 3–14. [Google Scholar] [CrossRef] [PubMed]
- Hugot, J.P.; Chamaillard, M.; Zouali, H.; Lesage, S.; Cézard, J.P.; Belaiche, J.; Almer, S.; Tysk, C.; O’Morain, C.A.; Gassull, M.; et al. Association of NOD2 Leucine-Rich Repeat Variants with Susceptibility to Crohn’s Disease. Nature 2001, 411, 599–603. [Google Scholar] [CrossRef]
- Martin, J.; Kodjikian, L.; Duquesne, A.; Le Scanff, J.; Sève, P. Blau Syndrome. QJM An. Int. J. Med. 2011, 104, 997–998. [Google Scholar] [CrossRef][Green Version]
- Aróstegui, J.I.; Arnal, C.; Merino, R.; Modesto, C.; Antonia Carballo, M.; Moreno, P.; García-Consuegra, J.; Naranjo, A.; Ramos, E.; de Paz, P.; et al. NOD2 Gene-Associated Pediatric Granulomatous Arthritis: Clinical Diversity, Novel and Recurrent Mutations, and Evidence of Clinical Improvement with Interleukin-1 Blockade in a Spanish Cohort. Arthritis Rheum 2007, 56, 3805–3813. [Google Scholar] [CrossRef]
- Poline, J.; Fogel, O.; Pajot, C.; Miceli-Richard, C.; Rybojad, M.; Galeotti, C.; Grouteau, E.; Hachulla, E.; Brissaud, P.; Cantagrel, A.; et al. Early-Onset Granulomatous Arthritis, Uveitis and Skin Rash: Characterization of Skin Involvement in Blau Syndrome. J. Eur. Acad. Dermatol. Venereol. 2020, 34, 340–348. [Google Scholar] [CrossRef] [PubMed]
- Caso, F.; Costa, L.; Rigante, D.; Vitale, A.; Cimaz, R.; Lucherini, O.M.; Sfriso, P.; Verrecchia, E.; Tognon, S.; Bascherini, V.; et al. Caveats and Truths in Genetic, Clinical, Autoimmune and Autoinflammatory Issues in Blau Syndrome and Early Onset Sarcoidosis. Autoimmun. Rev. 2014, 13, 1220–1229. [Google Scholar] [CrossRef]
- Rosé, C.D.; Pans, S.; Casteels, I.; Anton, J.; Bader-Meunier, B.; Brissaud, P.; Cimaz, R.; Espada, G.; Fernandez-Martin, J.; Hachulla, E.; et al. Blau Syndrome: Cross-Sectional Data from a Multicentre Study of Clinical, Radiological and Functional Outcomes. Rheumatology 2015, 54, 1008–1016. [Google Scholar] [CrossRef] [PubMed]
- Stoevesandt, J.; Morbach, H.; Martin, T.M.; Zierhut, M.; Girschick, H.; Hamm, H. Sporadic Blau Syndrome with Onset of Widespread Granulomatous Dermatitis in the Newborn Period. Pediatr. Derm. 2010, 27, 69–73. [Google Scholar] [CrossRef]
- Imayoshi, M.; Ogata, Y.; Yamamoto, S. A Case of Sporadic Blau Syndrome with an Uncommon Clinical Course. Case Rep. Rheumatol. 2018, 2018. [Google Scholar] [CrossRef]
- Chopra, A.; Nautiyal, A.; Kalkanis, A.; Judson, M.A. Drug-Induced Sarcoidosis-Like Reactions. Chest 2018, 154, 664–677. [Google Scholar] [CrossRef]
- Ramos-Casals, M.; Mañá, J.; Nardi, N.; Brito-Zerón, P.; Xaubet, A.; Sánchez-Tapias, J.M.; Cervera, R.; Font, J. Sarcoidosis in Patients With Chronic Hepatitis C Virus Infection: Analysis of 68 Cases. Medicine 2005, 84, 69–80. [Google Scholar] [CrossRef] [PubMed]
- Rodrigues-Fernandes, C.I.; Migliorati, C.A.; Gueiros, L.A.M.; de Lima Morais, T.M.; Vargas, P.A.; de Almeida, O.P.; Lopes, M.A.; Santos-Silva, A.R. Adalimumab-Induced Sarcoidosis-like Reaction Involving Oral Cavity in Rheumatoid Arthritis: A Case-Based Review. Clin. Rheumatol. 2021. [Google Scholar] [CrossRef] [PubMed]
- Cohen Aubart, F.; Lhote, R.; Amoura, A.; Valeyre, D.; Haroche, J.; Amoura, Z.; Lebrun-Vignes, B. Drug-induced Sarcoidosis: An Overview of the WHO Pharmacovigilance Database. J. Intern. Med. 2019. [Google Scholar] [CrossRef]
- Mayer, A.; Hamzeh, N.; Maier, L. Sarcoidosis and Chronic Beryllium Disease: Similarities and Differences. Semin. Respir. Crit. Care Med. 2014, 35, 316–329. [Google Scholar] [CrossRef]
- Chong, H.; Brady, K.; Metze, D.; Calonje, E. Persistent Nodules at Injection Sites (Aluminium Granuloma) -- Clinicopathological Study of 14 Cases with a Diverse Range of Histological Reaction Patterns. Histopathology 2006, 48, 182–188. [Google Scholar] [CrossRef]
- Igbokwe, I.O.; Igwenagu, E.; Igbokwe, N.A. Aluminium Toxicosis: A Review of Toxic Actions and Effects. InterDis.cip Toxicol 2019, 12, 45–70. [Google Scholar] [CrossRef]
- Hou, M.; Zhu, W.; Ye, Y. Cutaneous Silica Granuloma with Generalized Involvement of Lymph Nodes. J. Derm. 2011, 38, 697–701. [Google Scholar] [CrossRef]
- Ligthelm, A.J.; Bütow, K.W.; Weber, A. Silica Granuloma of a Lymph Node. Int. J. Oral. Maxillofac. Surg. 1988, 17, 352–353. [Google Scholar] [CrossRef]
- Mowry, R.G.; Sams, W.M.; Caulfield, J.B. Cutaneous Silica Granuloma. A Rare Entity or Rarely Diagnosed? Report of Two Cases with Review of the Literature. Arch. Derm. 1991, 127, 692–694. [Google Scholar] [CrossRef]
- Nakata, T.; Suzuki, M.; Maruo, M.; Yamasaki, Y.; Ishida, K.; Kudo, A.; Hashinaga, E.; Aoki, K.; Higashi, H.; Nawata, T.; et al. Granulomatous Interstitial Nephritis Associated with Silica. Nephrology 2018, 23, 190. [Google Scholar] [CrossRef]
- Creery, R.D.; Mcclure, D.M.; Rutherford, R.J. Talc Granuloma of the Umbilicus. Lancet 1957, 272, 667–668. [Google Scholar] [CrossRef] [PubMed]
- Jasuja, S.; Kuhn, B.T.; Schivo, M.; Adams, J.Y. Cosmetic Talc-Related Pulmonary Granulomatosis. J. Investig. Med. High Impact Case Rep. 2017, 5, 2324709617728527. [Google Scholar] [CrossRef]
- Molos, M.A.; Litton, N.; Schubert, T.T. Talc Liver. J. Clin. Gastroenterol. 1987, 9, 198–203. [Google Scholar] [CrossRef] [PubMed]
- Pelstring, R.J.; Kim, C.K.; Lower, E.E.; Swerdlow, S.H. Marrow Granulomas in Coal Workers’ Pneumoconiosis. A Histologic Study with Elemental Analysis. Am. J. Clin. Pathol. 1988, 89, 553–556. [Google Scholar] [CrossRef][Green Version]
- Salvador, G.L. de O.; Barbieri, P.P.; Maschke, L.; Nunes, A.L.A.; Louveira, M.H.; Budel, V.M. Charcoal Granuloma Mimicking Breast Cancer: An Emerging Diagnosis. Acta Radiol. Open 2018, 7. [Google Scholar] [CrossRef]
- Gavoille, A.; Vincent, M.; Kiakouama, L.; Catinon, M.; Lamkhioued, M.; Devouassoux, M.; Grumet, P.; Jamilloux, Y.; Sève, P. Sarcoidosis after Breast Implant Rupture: Looking beyond Granulomas. Autoimmun. Rev. 2020, 19, 102673. [Google Scholar] [CrossRef] [PubMed]
- Yoshida, T.; Tanaka, M.; Okamoto, K.; Hirai, S. Neurosarcoidosis Following Augmentation Mammoplasty with Silicone. Neurol. Res. 1996, 18, 319–320. [Google Scholar] [CrossRef]
- Nutz, A.; Pernet, C.; Combe, B.; Cohen, J.-D. Sarcoidosis Induced by Tocilizumab: A Paradoxical Event? J. Rheumatol. 2013, 40, 1773–1774. [Google Scholar] [CrossRef] [PubMed]
- Bustamente, L.; Buscot, M.; Marquette, C.H.; Roux, C. Sarcoidosis and Tocilizumab: Is There a Link? Clin. Exp. Rheumatol. 2017, 35, 716. [Google Scholar]
- Del Giorno, R.; Iodice, A.; Mangas, C.; Gabutti, L. New-Onset Cutaneous Sarcoidosis under Tocilizumab Treatment for Giant Cell Arteritis: A Quasi-Paradoxical Adverse Drug Reaction. Case Report and Literature Review. Ther. Adv. Musculoskelet. Dis. 2019, 11, 1759720X1984179. [Google Scholar] [CrossRef]
- Shono, Y.; Kamata, M.; Takeoka, S.; Ikawa, T.; Tateishi, M.; Fukaya, S.; Hayashi, K.; Fukuyasu, A.; Tanaka, T.; Ishikawa, T.; et al. Cutaneous Sarcoidosis in a Patient with Rheumatoid Arthritis Receiving Tocilizumab. J. Derm. 2018, 45, e217–e218. [Google Scholar] [CrossRef]
- Theodosiou, G.; Luu, H.; Svensson, Å. Tocilizumab-Induced Sarcoidosis-like Reaction in a Patient with Giant Cell Arteritis. Clinical Implications of a Paradoxical Phenomenon. Int. J. Derm. 2020, 59, 888–889. [Google Scholar] [CrossRef]
- Le Burel, S.; Champiat, S.; Mateus, C.; Marabelle, A.; Michot, J.-M.; Robert, C.; Belkhir, R.; Soria, J.-C.; Laghouati, S.; Voisin, A.-L.; et al. Prevalence of Immune-Related Systemic Adverse Events in Patients Treated with Anti-Programmed Cell Death 1/Anti-Programmed Cell Death-Ligand 1 Agents: A Single-Centre Pharmacovigilance Database Analysis. Eur. J. Cancer 2017, 82, 34–44. [Google Scholar] [CrossRef]
- Jespersen, H.; Bjursten, S.; Ny, L.; Levin, M. Checkpoint Inhibitor-Induced Sarcoid Reaction Mimicking Bone Metastases. Lancet Oncol. 2018, 19, e327. [Google Scholar] [CrossRef]
- Kim, S.T.; Pundole, X.; Dadu, R.; Lambotte, O.; Ramos-Casals, M.; Suarez-Almazor, M.E. Use of Immune Checkpoint Inhibitors in Cancer Patients with Pre-Existing Sarcoidosis. Immunotherapy 2021, 13, 465–475. [Google Scholar] [CrossRef]
- Balbouzis, T.; Georgiadis, T.; Grigoris, P. Granulomatous Lung Disease: A Novel Complication Following Metallosis from Hip Arthroplasty. Hip Pelvis 2016, 28, 249–253. [Google Scholar] [CrossRef] [PubMed]
- Shoenfeld, Y.; Agmon-Levin, N. “ASIA”—Autoimmune/Inflammatory Syndrome Induced by Adjuvants. J. Autoimmun. 2011, 36, 4–8. [Google Scholar] [CrossRef] [PubMed]
- Cohen Tervaert, J.W. Autoinflammatory/Autoimmunity Syndrome Induced by Adjuvants (ASIA.; Shoenfeld’s Syndrome): A New Flame. Autoimmun. Rev. 2018, 17, 1259–1264. [Google Scholar] [CrossRef]
- Tangye, S.G.; Al-Herz, W.; Bousfiha, A.; Cunningham-Rundles, C.; Franco, J.L.; Holland, S.M.; Klein, C.; Morio, T.; Oksenhendler, E.; Picard, C.; et al. The Ever-Increasing Array of Novel Inborn Errors of Immunity: An Interim Update by the IUIS Committee. J. Clin. Immunol. 2021, 41, 666–679. [Google Scholar] [CrossRef] [PubMed]
- Tangye, S.G.; Al-Herz, W.; Bousfiha, A.; Chatila, T.; Cunningham-Rundles, C.; Etzioni, A.; Franco, J.L.; Holland, S.M.; Klein, C.; Morio, T.; et al. Human Inborn Errors of Immunity: 2019 Update on the Classification from the International Union of Immunological Societies Expert Committee. J. Clin. Immunol. 2020, 40, 24–64. [Google Scholar] [CrossRef] [PubMed]
- Chapel, H.; Cunningham-Rundles, C. Update in Understanding Common Variable Immunodeficiency Disorders (CVIDs) and the Management of Patients with These Conditions. Br. J. Haematol. 2009, 145, 709–727. [Google Scholar] [CrossRef]
- Bonilla, F.A.; Barlan, I.; Chapel, H.; Costa-Carvalho, B.T.; Cunningham-Rundles, C.; de la Morena, M.T.; Espinosa-Rosales, F.J.; Hammarström, L.; Nonoyama, S.; Quinti, I.; et al. International Consensus Document (ICON): Common Variable Immunodeficiency Disorders. J. Allergy Clin. Immunol. Pract. 2016, 4, 38–59. [Google Scholar] [CrossRef] [PubMed]
- Bertinchamp, R.; Gérard, L.; Boutboul, D.; Malphettes, M.; Fieschi, C.; Oksenhendler, E.; DEFI study Group. Exclusion of Patients with a Severe T-Cell Defect Improves the Definition of Common Variable Immunodeficiency. J. Allergy Clin. Immunol. Pract. 2016, 4, 1147–1157. [Google Scholar] [CrossRef]
- Prasad, R. Pulmonary Sarcoidosis and Chronic Cutaneous Atypical Mycobacter Ulcer. Aust. Fam. Physician 1993, 22, 755–758. [Google Scholar] [PubMed]
- Fasano, M.B.; Sullivan, K.E.; Sarpong, S.B.; Wood, R.A.; Jones, S.M.; Johns, C.J.; Lederman, H.M.; Bykowsky, M.J.; Greene, J.M.; Winkelstein, J.A. Sarcoidosis and Common Variable Immunodeficiency. Report of 8 Cases and Review of the Literature. Medicine 1996, 75, 251–261. [Google Scholar] [CrossRef]
- Nunes, H.; Bouvry, D.; Soler, P.; Valeyre, D. Sarcoidosis. Orphanet J. Rare Dis. 2007, 2, 46. [Google Scholar] [CrossRef]
- Hunninghake, G.W.; Crystal, R.G. Mechanisms of Hypergammaglobulinemia in Pulmonary Sarcoidosis. J. Clin. Invest. 1981, 67, 86–92. [Google Scholar] [CrossRef]
- Bouvry, D.; Mouthon, L.; Brillet, P.-Y.; Kambouchner, M.; Ducroix, J.-P.; Cottin, V.; Haroche, J.; Viallard, J.-F.; Lazor, R.; Lebargy, F.; et al. Granulomatosis-Associated Common Variable Immunodeficiency Disorder: A Case-Control Study versus Sarcoidosis. Eur. Respir. J. 2013, 41, 115–122. [Google Scholar] [CrossRef]
- Jamee, M.; Hosseinzadeh, S.; Sharifinejad, N.; Zaki-Dizaji, M.; Matloubi, M.; Hasani, M.; Baris, S.; Alsabbagh, M.; Lo, B.; Azizi, G. Comprehensive Comparison between 222 CTLA-4 Haploinsufficiency and 212 LRBA Deficiency Patients: A Systematic Review. Clin. Exp. Immunol. 2021. [Google Scholar] [CrossRef]
- Schwab, C.; Gabrysch, A.; Olbrich, P.; Patiño, V.; Warnatz, K.; Wolff, D.; Hoshino, A.; Kobayashi, M.; Imai, K.; Takagi, M.; et al. Phenotype, Penetrance, and Treatment of 133 CTLA-4-Insufficient Subjects. J. Allergy Clin. Immunol. 2018, 142, 1932–1946. [Google Scholar] [CrossRef] [PubMed]
- Schindler, M.K.; Pittaluga, S.; Enose-Akahata, Y.; Su, H.C.; Rao, V.K.; Rump, A.; Jacobson, S.; Cortese, I.; Reich, D.S.; Uzel, G. Haploinsufficiency of Immune Checkpoint Receptor CTLA4 Induces a Distinct Neuroinflammatory Disorder. J. Clin. Invest. 2020, 130, 5551–5561. [Google Scholar] [CrossRef] [PubMed]
- Roos, D. Chronic Granulomatous Disease. Br. Med. Bull. 2016, 118, 50–63. [Google Scholar] [CrossRef] [PubMed]
- Salvator, H.; Mahlaoui, N.; Catherinot, E.; Rivaud, E.; Pilmis, B.; Borie, R.; Crestani, B.; Tcherakian, C.; Suarez, F.; Dunogue, B.; et al. Pulmonary Manifestations in Adult Patients with Chronic Granulomatous Disease. Eur. Respir. J. 2015, 45, 1613–1623. [Google Scholar] [CrossRef] [PubMed]
- Mather, M.W.; Hayhurst, H.; Bacon, C.M.; Cole, T.S.; Pan-Hammarström, Q.; Misbah, S.; Gennery, A.R. Mutation of TNFRSF13B in a Child with 22q11 Deletion Syndrome Associated with Granulomatous Lymphoproliferation. J. Allergy Clin. Immunol. 2015, 135, 559–561. [Google Scholar] [CrossRef] [PubMed]
- Germinaro, M.; Reynolds, P.; Knight, V.; Alam, R. Association of B-Cell Activating Factor Receptor Deficiency with the P21R Polymorphism and Common Variable Immunodeficiency. Ann. Allergy Asthma Immunol. 2015, 115, 82–83. [Google Scholar] [CrossRef] [PubMed][Green Version]
- Yu, H.-H.; Yang, Y.-H.; Chiang, B.-L. Chronic Granulomatous Disease: A Comprehensive Review. Clin. Rev. Allerg. Immunol. 2020. [Google Scholar] [CrossRef] [PubMed]
- De Ravin, S.S.; Cowen, E.W.; Zarember, K.A.; Whiting-Theobald, N.L.; Kuhns, D.B.; Sandler, N.G.; Douek, D.C.; Pittaluga, S.; Poliani, P.L.; Lee, Y.N.; et al. Hypomorphic Rag Mutations Can Cause Destructive Midline Granulomatous Disease. Blood 2010, 116, 1263–1271. [Google Scholar] [CrossRef] [PubMed]
- Law-Ping-Man, S.; Toutain, F.; Rieux-Laucat, F.; Picard, C.; Kammerer-Jacquet, S.; Magérus-Chatinet, A.; Dupuy, A.; Adamski, H. Chronic Granulomatous Skin Lesions Leading to a Diagnosis of TAP1 Deficiency Syndrome. Pediatr. Derm. 2018, 35, e375–e377. [Google Scholar] [CrossRef] [PubMed]
- Aderibigbe, O.M.; Priel, D.L.; Lee, C.-C.R.; Ombrello, M.J.; Prajapati, V.H.; Liang, M.G.; Lyons, J.J.; Kuhns, D.B.; Cowen, E.W.; Milner, J.D. Distinct Cutaneous Manifestations and Cold-Induced Leukocyte Activation Associated With PLCG2 Mutations. Jama Derm. 2015, 151, 627–634. [Google Scholar] [CrossRef]
- Woelke, S.; Valesky, E.; Bakhtiar, S.; Pommerening, H.; Pfeffermann, L.M.; Schubert, R.; Zielen, S. Treatment of Granulomas in Patients With Ataxia Telangiectasia. Front. Immunol. 2018, 9. [Google Scholar] [CrossRef]
- Jiang, Y.; Firan, M.; Nandiwada, S.L.; Reyes, A.; Marsh, R.A.; Vogel, T.P.; Hajjar, J. The Natural History of X-Linked Lymphoproliferative Disease (XLP1): Lessons from a Long-Term Survivor. Case Rep. Immunol. 2020, 2020. [Google Scholar] [CrossRef]
- Salvaggio, H.L.; Graeber, K.E.; Clarke, L.E.; Schlosser, B.J.; Orlow, S.J.; Clarke, J.T. Mucocutaneous Granulomatous Disease in a Patient With Hermansky-Pudlak Syndrome. JAMA Derm. 2014, 150, 1083. [Google Scholar] [CrossRef][Green Version]
- Schinella, R.A.; Greco, M.A.; Cobert, B.L.; Denmark, L.W.; Cox, R.P. Hermansky-Pudlak Syndrome with Granulomatous Colitis. Ann. Intern. Med. 1980, 92, 20–23. [Google Scholar] [CrossRef]
- Corvilain, E.; Casanova, J.-L.; Puel, A. Inherited CARD9 Deficiency: Invasive Disease Caused by Ascomycete Fungi in Previously Healthy Children and Adults. J. Clin. Immunol. 2018, 38, 656–693. [Google Scholar] [CrossRef]
- Pacheco, Y.; Lim, C.X.; Weichhart, T.; Valeyre, D.; Bentaher, A.; Calender, A. Sarcoidosis and the MTOR, Rac1, and Autophagy Triad. Trends Immunol. 2020, 41, 286–299. [Google Scholar] [CrossRef] [PubMed]
- Jamilloux, Y.; Néel, A.; Lecouffe-Desprets, M.; Fèvre, A.; Kerever, S.; Guillon, B.; Bouvry, D.; Varron, L.; Redares, C.; Dominique, S. Progressive Multifocal Leukoencephalopathy in Patients with Sarcoidosis. Neurology 2014, 82, 1307–1313. [Google Scholar] [CrossRef] [PubMed]
- Latgé, J.-P.; Chamilos, G. Aspergillus Fumigatus and Aspergillosis in 2019. Clin. Microbiol. Rev. 2019, 33. [Google Scholar] [CrossRef] [PubMed]
- Uzunhan, Y.; Nunes, H.; Jeny, F.; Lacroix, M.; Brun, S.; Brillet, P.-Y.; Martinod, E.; Carette, M.-F.; Bouvry, D.; Charlier, C.; et al. Chronic Pulmonary Aspergillosis Complicating Sarcoidosis. Eur. Respir. J. 2017, 49. [Google Scholar] [CrossRef]
- Miyara, M.; Amoura, Z.; Parizot, C.; Badoual, C.; Dorgham, K.; Trad, S.; Kambouchner, M.; Valeyre, D.; Chapelon-Abric, C.; Debré, P.; et al. The Immune Paradox of Sarcoidosis and Regulatory T Cells. J. Exp. Med. 2006, 203, 359–370. [Google Scholar] [CrossRef]
- Espert, L.; Beaumelle, B.; Vergne, I. Autophagy in Mycobacterium Tuberculosis and HIV Infections. Front. Cell Infect. Microbiol. 2015, 5. [Google Scholar] [CrossRef]
- Kim, Y.S.; Silwal, P.; Kim, S.Y.; Yoshimori, T.; Jo, E.-K. Autophagy-Activating Strategies to Promote Innate Defense against Mycobacteria. Exp. Mol. Med. 2019, 51, 1–10. [Google Scholar] [CrossRef] [PubMed]
- Nicola, A.M.; Albuquerque, P.; Martinez, L.R.; Dal-Rosso, R.A.; Saylor, C.; De Jesus, M.; Nosanchuk, J.D.; Casadevall, A. Macrophage Autophagy in Immunity to Cryptococcus Neoformans and Candida Albicans. Infect. Immun. 2012, 80, 3065–3076. [Google Scholar] [CrossRef] [PubMed]
- Jamilloux, Y.; Cohen-Aubart, F.; Chapelon-Abric, C.; Maucort-Boulch, D.; Marquet, A.; Pérard, L.; Bouillet, L.; Deroux, A.; Abad, S.; Bielefeld, P.; et al. Efficacy and Safety of Tumor Necrosis Factor Antagonists in Refractory Sarcoidosis: A Multicenter Study of 132 Patients. Semin. Arthritis Rheum. 2017, 47, 288–294. [Google Scholar] [CrossRef] [PubMed]
- Sweiss, N.J.; Salloum, R.; Ghandi, S.; Alegre, M.-L.; Sawaqed, R.; Badaracco, M.; Pursell, K.; Pitrak, D.; Baughman, R.P.; Moller, D.R.; et al. Significant CD4, CD8, and CD19 Lymphopenia in Peripheral Blood of Sarcoidosis Patients Correlates with Severe Disease Manifestations. PLoS ONE 2010, 5, e9088. [Google Scholar] [CrossRef]
- Guffroy, A.; Solis, M.; Gies, V.; Dieudonne, Y.; Kuhnert, C.; Lenormand, C.; Kremer, L.; Molitor, A.; Carapito, R.; Hansmann, Y.; et al. Progressive Multifocal Leukoencephalopathy and Sarcoidosis under Interleukin 7: The Price of Healing. Neurol. Neuroimmunol. Neuroinflamm. 2020, 7. [Google Scholar] [CrossRef] [PubMed]
- Jarius, S.; Ruprecht, K.; Kleiter, I.; Borisow, N.; Asgari, N.; Pitarokoili, K.; Pache, F.; Stich, O.; Beume, L.-A.; Hümmert, M.W.; et al. MOG-IgG in NMO and Related Disorders: A Multicenter Study of 50 Patients. Part 1: Frequency, Syndrome Specificity, Influence of Disease Activity, Long-Term Course, Association with AQP4-IgG, and Origin. J. Neuroinflamm. 2016, 13, 279. [Google Scholar] [CrossRef] [PubMed]
- Ramanathan, S.; Fraser, C.; Curnow, S.R.; Ghaly, M.; Leventer, R.J.; Lechner-Scott, J.; Henderson, A.; Reddel, S.; Dale, R.C.; Brilot, F. Uveitis and Optic Perineuritis in the Context of Myelin Oligodendrocyte Glycoprotein Antibody Seropositivity. Eur. J. Neurol. 2019, 26, 1137-e75. [Google Scholar] [CrossRef]
- Stern, B.J.; Royal, W.; Gelfand, J.M.; Clifford, D.B.; Tavee, J.; Pawate, S.; Berger, J.R.; Aksamit, A.J.; Krumholz, A.; Pardo, C.A.; et al. Definition and Consensus Diagnostic Criteria for Neurosarcoidosis: From the Neurosarcoidosis Consortium Consensus Group. JAMA Neurol 2018, 75, 1546. [Google Scholar] [CrossRef]
- Voortman, M.; Drent, M.; Baughman, R.P. Management of Neurosarcoidosis: A Clinical Challenge. Curr. Opin. Neurol. 2019, 32, 475–483. [Google Scholar] [CrossRef] [PubMed]
- Hoitsma, E.; Faber, C.G.; Drent, M.; Sharma, O.P. Neurosarcoidosis: A Clinical Dilemma. Lancet Neurol. 2004, 3, 397–407. [Google Scholar] [CrossRef]
- Kidd, D.P. Neurosarcoidosis: Clinical Manifestations, Investigation and Treatment. Pract. Neurol. 2020, 20, 199–212. [Google Scholar] [CrossRef]
- Fritz, D.; van de Beek, D.; Brouwer, M.C. Clinical Features, Treatment and Outcome in Neurosarcoidosis: Systematic Review and Meta-Analysis. BMC Neurol. 2016, 16, 220. [Google Scholar] [CrossRef]
- Chazal, T.; Costopoulos, M.; Maillart, E.; Fleury, C.; Psimaras, D.; Legendre, P.; Pineton de Chambrun, M.; Haroche, J.; Lubetzki, C.; Amoura, Z.; et al. The Cerebrospinal Fluid CD4/CD8 Ratio and Interleukin-6 and -10 Levels in Neurosarcoidosis: A Multicenter, Pragmatic, Comparative Study. Eur. J. Neurol. 2019, 26, 1274–1280. [Google Scholar] [CrossRef]
- Thompson, A.J.; Banwell, B.L.; Barkhof, F.; Carroll, W.M.; Coetzee, T.; Comi, G.; Correale, J.; Fazekas, F.; Filippi, M.; Freedman, M.S.; et al. Diagnosis of Multiple Sclerosis: 2017 Revisions of the McDonald Criteria. Lancet Neurol. 2018, 17, 162–173. [Google Scholar] [CrossRef]
- Maggi, P.; Absinta, M.; Sati, P.; Perrotta, G.; Massacesi, L.; Dachy, B.; Pot, C.; Meuli, R.; Reich, D.S.; Filippi, M.; et al. The “Central Vein Sign” in Patients with Diagnostic “Red Flags” for Multiple Sclerosis: A Prospective Multicenter 3T Study. Mult. Scler. J. 2020, 26, 421–432. [Google Scholar] [CrossRef]
- Braithwaite, T.; Subramanian, A.; Petzold, A.; Galloway, J.; Adderley, N.J.; Mollan, S.P.; Plant, G.T.; Nirantharakumar, K.; Denniston, A.K. Trends in Optic Neuritis Incidence and Prevalence in the UK and Association With Systemic and Neurologic Disease. JAMA Neurol. 2020, 77, 1514–1523. [Google Scholar] [CrossRef]
- Flanagan, E.P.; Kaufmann, T.J.; Krecke, K.N.; Aksamit, A.J.; Pittock, S.J.; Keegan, B.M.; Giannini, C.; Weinshenker, B.G. Discriminating Long Myelitis of Neuromyelitis Optica from Sarcoidosis. Ann. Neurol. 2016, 79, 437–447. [Google Scholar] [CrossRef] [PubMed]
- Cobo-Calvo, A.; Vukusic, S.; Marignier, R. Clinical Spectrum of Central Nervous System Myelin Oligodendrocyte Glycoprotein Autoimmunity in Adults. Curr Opin Neurol 2019, 32, 459–466. [Google Scholar] [CrossRef] [PubMed]
- Saygin, D.; Jones, S.; Sundaram, P.; Calabrese, L.H.; Messner, W.; Tavee, J.O.; Hajj-Ali, R.A. Differentiation between Neurosarcoidosis and Primary Central Nervous System Vasculitis Based on Demographic, Cerebrospinal and Imaging Features. Clin. Exp. Rheumatol. 2020, 38 (Suppl 124), 135–138. [Google Scholar]
- Taieb, G.; Mulero, P.; Psimaras, D.; van Oosten, B.W.; Seebach, J.D.; Marignier, R.; Pico, F.; Rigau, V.; Ueno, Y.; Duflos, C.; et al. CLIPPERS and Its Mimics: Evaluation of New Criteria for the Diagnosis of CLIPPERS. J. Neurol. Neurosurg. Psychiatry 2019, 90, 1027–1038. [Google Scholar] [CrossRef]
- Kunchok, A.; Zekeridou, A.; McKeon, A. Autoimmune Glial Fibrillary Acidic Protein Astrocytopathy. Curr. Opin. Neurol. 2019, 32, 452–458. [Google Scholar] [CrossRef] [PubMed]
- Schaller, M.A.; Wicke, F.; Foerch, C.; Weidauer, S. Central Nervous System Tuberculosis: Etiology, Clinical Manifestations and Neuroradiological Features. Clin. Neuroradiol. 2019, 29, 3–18. [Google Scholar] [CrossRef] [PubMed]
- Leonhard, S.E.; Fritz, D.; van de Beek, D.; Brouwer, M.C. Cryptococcal Meningitis Complicating Sarcoidosis. Medicine 2016, 95, e4587. [Google Scholar] [CrossRef]
- Meliou, M.; Mavridis, I.N.; Pyrgelis, E.-S.; Agapiou, E. Toxocariasis of the Nervous System. Acta Parasitol. 2020, 65, 291–299. [Google Scholar] [CrossRef]
- Wartique, L.; Jamilloux, Y.; De Parisot De Bernecourt, A.; Kodjikian, L.; Ghesquieres, H.; Ide, C.; Sève, P. Development of Vitreoretinal Lymphoma in a Patient with Sarcoid Uveitis. Ocul. Immunol. Inflamm. 2020, 28, 647–650. [Google Scholar] [CrossRef] [PubMed]
- He, C.; Wang, Y.; Zhang, L.; Lu, C.; Ge, W.; Zhang, Q.; Gui, Q.; Liu, R.; Yu, S. Isolated Lymphomatoid Granulomatosis of the Central Nervous System: A Case Report and Literature Review. Neuropathology 2019, 39, 479–488. [Google Scholar] [CrossRef] [PubMed]
- Grois, N.; Fahrner, B.; Arceci, R.J.; Henter, J.-I.; McClain, K.; Lassmann, H.; Nanduri, V.; Prosch, H.; Prayer, D.; Histiocyte Society CNS LCH Study Group. Central Nervous System Disease in Langerhans Cell Histiocytosis. J. Pediatr. 2010, 156, 873–881. [Google Scholar] [CrossRef]
- Pan, Z.; Kleinschmidt-DeMasters, B.K. CNS Erdheim-Chester Disease: A Challenge to Diagnose. J. Neuropathol. Exp. Neurol. 2017, 76, 986–996. [Google Scholar] [CrossRef]
- Borhani-Haghighi, A.; Kardeh, B.; Banerjee, S.; Yadollahikhales, G.; Safari, A.; Sahraian, M.A.; Shapiro, L. Neuro-Behcet’s Disease: An Update on Diagnosis, Differential Diagnoses, and Treatment. Mult. Scler. Relat. Disord. 2019, 39, 101906. [Google Scholar] [CrossRef]
- Marques, C.; Roriz, M.; Chabriat, H.; Buffon-Porcher, F.; Cognat, E. Differential Diagnosis between Sarcoidosis and Granulomatosis with Polyangiitis in a Patient with Leptomeningeal, Cavernous Sinus and Pituitary Lesions. QJM 2017, 110, 691–692. [Google Scholar] [CrossRef]
- Sève, P.; Pacheco, Y.; Durupt, F.; Jamilloux, Y.; Gerfaud-Valentin, M.; Isaac, S.; Boussel, L.; Calender, A.; Androdias, G.; Valeyre, D.; et al. Sarcoidosis: A Clinical Overview from Symptoms to Diagnosis. Cells 2021, 10, 766. [Google Scholar] [CrossRef] [PubMed]
- Bouvry, D.; Uzunhan, Y.; Naccache, J.-M.; Nunes, H.; Brillet, P.-Y.; Valeyre, D. Sarcoïdose à présentation atypique. Rev. Méd. Interne 2008, 29, 46–53. [Google Scholar] [CrossRef] [PubMed]
- Khan, A.; Al-Jahdali, H.; Rajiah, P.; Koteyar, S.; Allen, C. Atypical Radiological Manifestations of Thoracic Sarcoidosis: A Review and Pictorial Essay. Ann. Thorac. Med. 2013, 8, 186. [Google Scholar] [CrossRef]
- Criado, E.; Sánchez, M.; Ramírez, J.; Arguis, P.; de Caralt, T.M.; Perea, R.J.; Xaubet, A. Pulmonary Sarcoidosis: Typical and Atypical Manifestations at High-Resolution CT with Pathologic Correlation. RadioGraphics 2010, 30, 1567–1586. [Google Scholar] [CrossRef]
- Meenakshi, M.; Arnold, C.; Broadley, S.A. The Value of [18F]-Fluorodeoxyglucose-Positron Emission Tomography/CT Scanning in the Diagnosis of Neurosarcoidosis. J. Clin. Neurosci. 2012, 19, 1461–1462. [Google Scholar] [CrossRef] [PubMed]
- Lococo, F.; Muoio, B.; Chiappetta, M.; Nachira, D.; Petracca Ciavarella, L.; Margaritora, S.; Treglia, G. Diagnostic Performance of PET or PET/CT with Different Radiotracers in Patients with Suspicious Lung Cancer or Pleural Tumours According to Published Meta-Analyses. Contrast Media Mol. Imaging 2020, 2020, 1–7. [Google Scholar] [CrossRef]
- Moller, D.R.; Koth, L.L.; Maier, L.A.; Morris, A.; Drake, W.; Rossman, M.; Leader, J.K.; Collman, R.G.; Hamzeh, N.; Sweiss, N.J.; et al. Rationale and Design of the Genomic Research in Alpha-1 Antitrypsin Deficiency and Sarcoidosis (GRADS) Study. Sarcoidosis Protocol. Ann. Am. Thorac. Soc. 2015, 12, 1561–1571. [Google Scholar] [CrossRef]
- Neuschlova, M.; Vladarova, M.; Kompanikova, J.; Sadlonova, V.; Novakova, E. Identification of Mycobacterium Species by MALDI-TOF Mass Spectrometry. Adv. Exp. Med. Biol. 2017, 1021, 37–42. [Google Scholar] [CrossRef]





| Diagnostic Subset | Infectious Agent | Involved Organs | Specific Notes | References |
|---|---|---|---|---|
| Bacteria | ||||
| Mycobacterium tuberculosis | Lung, lymph nodes, eye, skin, liver, arthritis | X | [10] | |
| Mycobacterium avium complex or other atypical mycobacteria | Lung, lymph nodes, skin, eye, digestive tract (M. bovis), liver | M. bovis is associated with digestive involvement. | [11,12] | |
| Bacille de Calmette et Guérin | Lung, lymph nodes, disseminated | Intravesical for bladder cancer | [13] | |
| Mycobacterium leprae | Skin, PNS, lymph nodes, eye, joint | X | [14] | |
| Brucella spp. (melitensis/abortus) | Spleen, liver, bone marrow, lymph nodes, arthritis | X | [15] | |
| Listeria monocytogenes | Eye, heart, CNS, granulomatosis infantiseptica in the newborn | Granulomatosis infantiseptica in infants | [16] | |
| Salmonella spp. | Mesenteric lymph nodes, liver, spleen, bone marrow. NB: CGD promotes Salmonella infections | CGD promotes Salmonella infections and infections with other intracellular bacteria (defective oxidative burst) | [17] | |
| Nocardia spp. | Lung, brain, skin, liver | Nocardiosis also occurs in sarcoidosis patients | [18,19] | |
| Francisella tularensis | Lymph nodes, eye, skin, heart, lung | X | [20,21,22] | |
| Tropheryma Whipplei | Joints, CNS, eye, heart, liver, skin, gut | X | [23] | |
| Bartonella spp. | Liver, spleen, skin, lymph nodes, eye, heart | X | [24,25,26,27] | |
| Q fever (Coxiella burnetii) | lung, liver, bone marrow, heart, lymph nodes, arthritis | Granulomas are associated with acute forms, chronic courses of Q fever are more often non granulomatous. Characteristic granuloma in Q fever is called “doughnut granuloma”. Preferentially non necrotizing granulomas. | [28,29] | |
| Lyme disease | Skin, joint, bone, eye, heart, muscle | [13] | ||
| Syphilis (Treponema pallidum) | Skin, eye, lymph nodes, liver, vascular and gummatous syphilis | Granuloma are especially found in tertiary forms (gummatous syphilis and proliferative granuloma) | [30] | |
| Actinomycosis | Skin, lung, lymph nodes, CNS, digestive tract, liver, pelvis | X | [31] | |
| Melioidosis (Burkholderia pseudomallei) | Lung, skin, joint, bone, CNS, heart | X | [32] | |
| Yersinia spp. | Digestive tract, lymph nodes | X | [33] | |
| Donovanosis (K. granulomatosis) | Lymph nodes, genitals | Context of unsafe sexual practices | [34] | |
| Lymphogranuloma venereum (C. trachomatis serovar L1-L3) | Lymph nodes, genitals, anus | Context of unsafe sexual practices | [35] | |
| Viruses | ||||
| CMV | Any organ | X | [36,37] | |
| EBV | Lung, skin, lymph nodes (LYG) | X | [38] | |
| HSV-1, HSV-2 and VZV | Skin, eye, CNS, lung, liver | X | [39,40] | |
| HIV | Skin (granuloma annulare), any organ (LYG) | Other associated conditions (mycobacteria, CMV, syphilis, …) | [41,42,43] | |
| HBV | Skin (granuloma annulare), liver | X | [44,45] | |
| HCV | Skin (granuloma annulare), liver | Possible interferon-induced granulomas | [46,47] | |
| SARS-CoV2 | Skin (granuloma annulare), kidney | X | [48,49,50] | |
| Parasites | ||||
| Toxoplasma gondii | CNS, lymph node, eye | X | [13] | |
| Schistosoma spp. | Digestive tract, pelvis, liver | X | [51] | |
| Leishmaniasis | Skin, spleen, bone marrow, lymph nodes | X | [52] | |
| Echinococcus spp. | Liver, lung | X | [13] | |
| Toxocarosis | Liver, lung, eye, CNS | X | [13] | |
| Cysticercosis | CNS, muscle, eye | X | [53] | |
| Fungi | ||||
| Cryptococcosis | CNS, skin, lymph nodes, lung, joints | Sarcoidosis patients may develop cryptococcosis without immunosuppression | [54] | |
| Histoplasmosis | Lung, CNS, digestive tract | X | [6,55] | |
| Aspergillus spp. | Lung, skin, disseminated | X | [6,56] | |
| Blastomycosis | Lung, skin | X | [6] | |
| Pneumocystis jiroveci | Lung | X | [57] | |
| Ref | ||
|---|---|---|
| Crohn’s disease | Digestive tract, eye, skin, joints, lung | [6] |
| Granulomatosis with polyangiitis | Lung (consolidations without adenopathies), kidney, sinonasal involvement, peripheral nervous system, skin, eye, joints | |
| IgG4 related disease | Lymph nodes, pancreas, large vessels, exocrine glands, kidney | [91] |
| Rheumatoid arthritis | Lung (rheumatoid nodule), joints | [6] |
| Rosai Dorfman disease | Lymph nodes, skin, CNS | [92,93,94] |
| Erdeim Chester disease | Pseudo granulomas (any organ) | [95] |
| Amyloidosis | Any organ | [96,97] |
| Vogt Koyanagi Harada disease | Eye, CNS, skin | [98] |
| Blau syndrome | Eye, skin, joints, lymph nodes | [99] |
| Giant cell arteritis | Vessels, skin | [100] |
| Autoimmune hepatitis | Liver | [6] |
| Primary biliary cholangitis | ||
| Primary sclerosing cholangitis | ||
| Kikuchi’s disease | Lymph nodes | [101] |
| Nieman Pick disease type C | IBD with granulomas | [102] |
| Ref | ||
|---|---|---|
| Drug-induced sarcoid-like reactions | ||
| Interferon (alpha or beta) | Lungs, lymph nodes, eyes | [122] |
| Ribavirin | ||
| Anti-TNF agents (etanercept >adalimumab > infliximab > others) | ||
| Endothelin receptor antagonists (ambrisentan > bosentan > macitentan) | ||
| Checkpoint inhibitors (PD1 and PDL1 antagonists > CTLA4 antagonists) | ||
| BRAF inhibitors/MEK inhibitors | ||
| Tocilizumab | ||
| Brentuximab vedotin | ||
| Microparticles-induced sarcoid-like reactions | ||
| Chronic beryllium disease | Lung, bone marrow, liver, lymph nodes, heart, skin | [123] |
| Aluminium | Lung, digestive tract, injection sites | [124,125] |
| Silicosis | Skin, lymph nodes | [126,127,128,129] |
| Talc | Skin, liver, lung | [130,131,132] |
| Coal | Bone marrow, local exposure | [133,134] |
| Silicone | Breast (local exposure), disseminated if implant rupture | [135,136] |
| Ref | ||
|---|---|---|
| CVID | ||
| LRBA deficiency | GLILD | [158] |
| CTLA4 haploinsufficiency | ||
| Other primary immune deficiencies | ||
| Chronic granulomatous disease | Skin, lung, sinuses | [165] |
| RAG1-2 deficiency | Skin, lung, sinuses (GPA-like) | [166] |
| TAP1/2 and TAPBP deficiency | Skin | [167] |
| PLAID (PLCG2) | Skin | [99,168] |
| Ataxia Telangiectasia | Skin, joints, bones | [169] |
| NAID | Digestive tract, joints, skin, eyes | [99] |
| XLP1-2 | LYG | [170] |
| Hermansky Pudlak syndrome | Digestive tract, skin | [171,172] |
| CARD9 deficiency | Skin (dermatophytosis) | [173] |
| XIAP deficiency | Lymph nodes, digestive tract | [102] |
| Case | Sex | Age | Ethnicity | Clinical Features | Atypical Features for Sarcoidosis | Time to Correct Diagnosis | Diagnosis | Treatment | Outcome |
|---|---|---|---|---|---|---|---|---|---|
| 1 * | M | 56 | Caucasian | Hemoptysis, mediastinal lymph nodes, multiple parenchymal condensations with excavations | Hemoptysis, excavated parenchymal condensation on chest CT | 4 weeks | Tularemia | 21 days doxycyclin course | Healing |
| 2 | F | 55 | Caucasian | Isolated necrotic left sus clavicular adenopathy with hepatomegaly. Heterogenous liver echogenicity | Isolated extramediastinal lymph node without parenchymal involvement | 5 months | Cat scratch disease | 1 month course doxycyclin | Healing |
| 3 | M | 45 | Maghrebian | Altered general condition with 2 kg weight loss. Hard, fixed and painless left sus clavicular and cervical adenopathies. Sino nasal obstruction with retropharyngeal adenopathies with cavum mucosal thickening | Atypical lymphadenopathies, exclusive extrathoracic multi organ involvement. | 24 months | Hodgkin’s lymphoma | Chemotherapy (ABVD, ICE) | Currently continuing chemotherapy |
| 4 | F | 56 | Caucasian | Cervical and axilar lymph nodes. Cavum tumefaction. Granulomas without atypical features. Atypical CD30+ cells on repeated lymph nodes sampling. | Cavum infiltration and exclusive extrathoracic lymph nodes. | 72 months | Biclonal lymphoma (Hodgkin and Diffuse large B cell lymphoma). Hodgkin disease was already present at disease onset 6 years before (second-look histological examination). | Chemotherapy (R-CHOP 8x) | Healing |
| 5 | M | 54 | Maghrebian | Lower esophagus stenosis with peri esophageal adenopathies and dysphagia. Paratracheal and subcarinal and antero superior mediastinal lymph nodes. Histological examination concordant with Piringer Kuchinka’s lymphadenitis. | Compressive phenomenon. No hilar lymph nodes with anterior mediastinal lymph nodes. | 40 months | EBV positive Hodgkin’s lymphoma | ABVD 6 courses | Healing |
| 6 | M | 75 | Hispanic | Compressive right orbital infiltrate. Isolated enlarged lymph node of Barety area. | Compressive phenomenon. Isolated mediastinal lymph node without hilar lymph node. | 17 months | Right oribtal marginal zone lymphoma (previously improved by local corticosteroids more than a year before for suspected scleritis). | Surgical resection. | Healing |
| 7* | F | 63 | Caucasian | Bilateral anterior and intermediate uveitis. Granuloma on MSGB. Gait disturbance with multiple supra tentorial demyelinating lesions on FLAIR-weighted sequences. | Corticoresistant uveitis and neurological involvement. | 3 years | Vitroretinal lymphoma. | R-Metho AraC chemotherapy followed by ibrutinib and R-VP16-Holoxan. | The patient died 3 months after the diagnosis [204]. |
| 8 | M | 53 | Caucasian | Granulomatous kidney (renal failure) and liver disease (cirrhosis and portal hypertension). Mesenteric and cervical lymph nodes. Monoclonal gammopathy. | Exclusive extrathoracic disease with severe renal involvement. | 47 months | Multiple myeloma | Granulomatosis was treated with corticosteroids, azathioprine and mycophenolate mofetil without clear improvement. | The patient died a few days after trans jugular portal shunt procedure. |
| 9 | M | 50 | Caucasian | Sus and subdiaphragmatic lymph nodes in the course of rheumatoid arthritis. | Ground glass opacities and compressive lymph nodes. | NA | Sarcoid like reaction to ETN (at introduction) | ETN withdrawal. Monoclonal antibody to TNFa did not provoke SLR recurrence. Rheumatoid arthritis and SLR improved under ustekinumab. | Healing |
| 10* | F | 59 | Caucasian | Bilateral anterior and intermediate uveitis mediastinal lymphadenopathy. Previously treated with ADA for rheumatoid arthritis. | No atypical features | Concomittant | SLR to ADA | ADA withdrawal, Switch to tofacitinib + MTX + CS | Free of symptoms under tofacitinib and MTX. |
| 11 | M | 80 | Caucasian | Bilateral intermediate uveitis and mediastinal lymphadenopathies | No atypical features | Concomittant | SLR to ETN | Switch to ADA | Free of symptoms under ADA. |
| 12 | F | 38 | Caucasian | Uveitis, sarcoids. Lung parenchymal involvement and mediastino hilar lymphadenopathies. Melanoma with vemurafenib and cobimetinib treatment. | No atypical features. | Concomittant | SLR to vemurafenib and cobimetinib (9 months exposure) | CS | The patient died of her melanoma without severe organ involvement due to SLR. CS improved SLR. |
| 13 | F | 56 | Caucasian | Bilateral panuveitis and sarcoids. | No atypical features. | NA | SLR to ADA (no exposure data). | Local CS and ADA withdrawal. | Healing without recurrence. |
| 14 | M | 59 | Caucasian | Parenchymal lung involvement, hepatosplenomegaly, bone marrow failure. Renal failure. | Febrile pancytopenia | Concomittant | Mycobacterium genavense in a previously known sarcoidosis. | Ansatipine, clarithromycin and moxifloxacin | Healing. |
| 15 | M | 18 | Maghrebian | Liver, spleen, lung and bone marrow involvement. Diffusely enlarged lymph nodes; | Early onset (18 years old), past medical history of opportunistic infections (actinomycosis) and hypogammaglobulinemia | 180 months | LOCID | CS and IVIg | Stable pulmonary function under CS. No infection under IVIg. |
| 16 | F | 37 | Caucasian | Hypercalcemia, parenchymal lung involvement with mediastino hilar lymph nodes. Skin granulomas. | Repeated pulmonary infections and hypogammaglobulinemia. | 264 months | CVID-RGD | CS | Healing. The patient remained free from infections under IVIg. |
Publisher’s Note: MDPI stays neutral with regard to jurisdictional claims in published maps and institutional affiliations. |
© 2021 by the authors. Licensee MDPI, Basel, Switzerland. This article is an open access article distributed under the terms and conditions of the Creative Commons Attribution (CC BY) license (https://creativecommons.org/licenses/by/4.0/).
Share and Cite
El Jammal, T.; Jamilloux, Y.; Gerfaud-Valentin, M.; Richard-Colmant, G.; Weber, E.; Bert, A.; Androdias, G.; Sève, P. Challenging Mimickers in the Diagnosis of Sarcoidosis: A Case Study. Diagnostics 2021, 11, 1240. https://doi.org/10.3390/diagnostics11071240
El Jammal T, Jamilloux Y, Gerfaud-Valentin M, Richard-Colmant G, Weber E, Bert A, Androdias G, Sève P. Challenging Mimickers in the Diagnosis of Sarcoidosis: A Case Study. Diagnostics. 2021; 11(7):1240. https://doi.org/10.3390/diagnostics11071240
Chicago/Turabian StyleEl Jammal, Thomas, Yvan Jamilloux, Mathieu Gerfaud-Valentin, Gaëlle Richard-Colmant, Emmanuelle Weber, Arthur Bert, Géraldine Androdias, and Pascal Sève. 2021. "Challenging Mimickers in the Diagnosis of Sarcoidosis: A Case Study" Diagnostics 11, no. 7: 1240. https://doi.org/10.3390/diagnostics11071240
APA StyleEl Jammal, T., Jamilloux, Y., Gerfaud-Valentin, M., Richard-Colmant, G., Weber, E., Bert, A., Androdias, G., & Sève, P. (2021). Challenging Mimickers in the Diagnosis of Sarcoidosis: A Case Study. Diagnostics, 11(7), 1240. https://doi.org/10.3390/diagnostics11071240

