Comparison of Sensitivity and Specificity of Biparametric versus Multiparametric Prostate MRI in the Detection of Prostate Cancer in 431 Men with Elevated Prostate-Specific Antigen Levels
Abstract
:1. Introduction
2. Materials and Methods
2.1. Study Design and Patients
2.2. MRI Technique
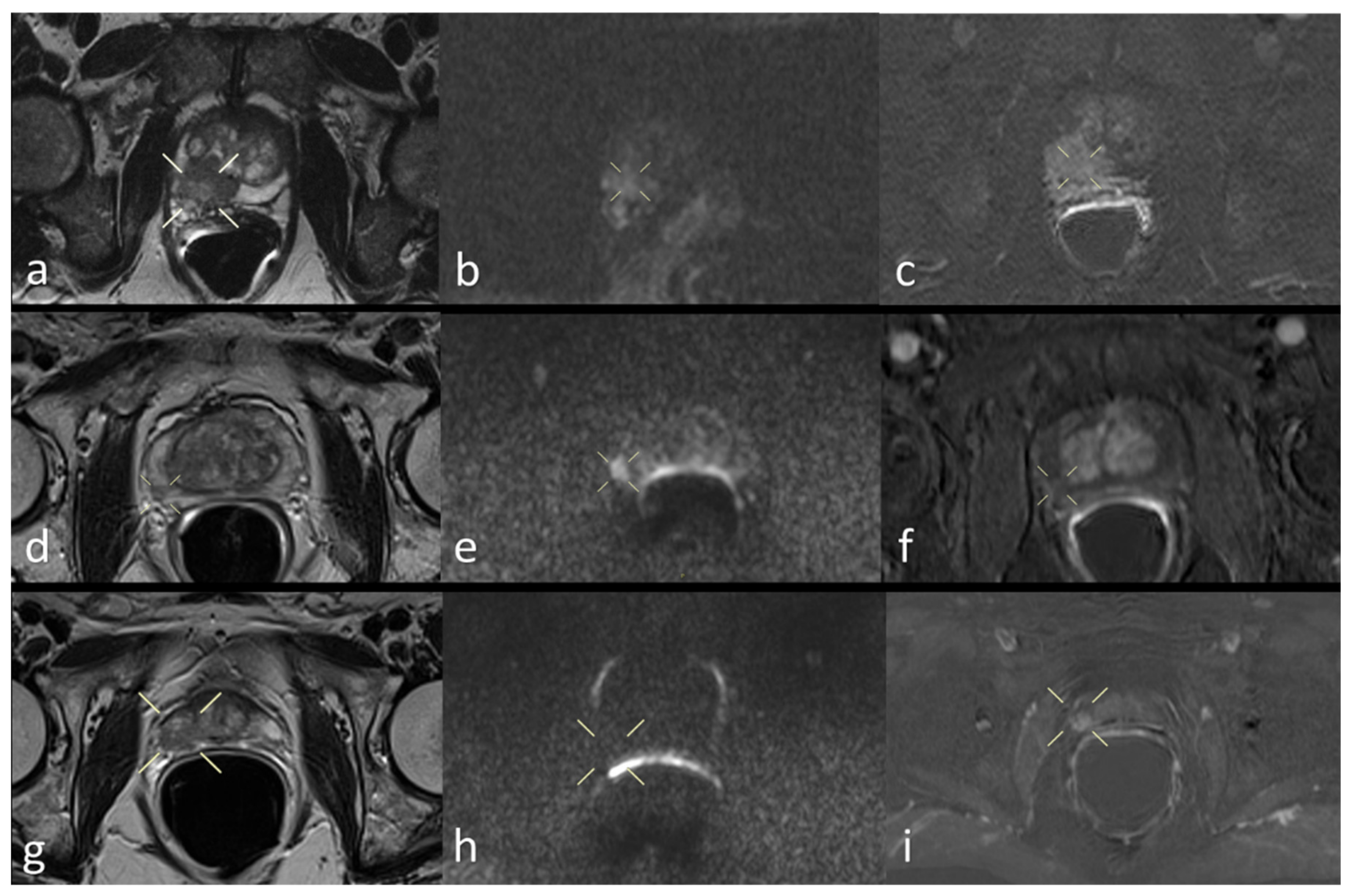
2.3. Image Analysis
2.4. Statistical Analysis
3. Results
4. Discussion
5. Conclusions
Author Contributions
Funding
Institutional Review Board Statement
Data Availability Statement
Conflicts of Interest
Abbreviations
| bpMRI | biparametric MRI |
| mpMRI | multiparametric MRI |
| ERC | endorectal coil |
| GBCA | gadolinium-based contrast agent |
| GS | Gleason score |
| PCa | prostate cancer |
| PZ | peripheral zone |
| RP | radical prostatectomy |
| TZ | transition zone |
References
- Catalona, W.J.; Southwick, P.C.; Slawin, K.M.; Partin, A.W.; Brawer, M.K.; Flanigan, R.C.; Patel, A.; Richie, J.P.; Walsh, P.C.; Scardino, P.T.; et al. Comparison of percent free PSA, PSA density, and age-specific PSA cutoffs for prostate cancer detection and staging. Urology 2000, 56, 255–260. [Google Scholar] [CrossRef]
- Eggener, S.E.; Cifu, A.S.; Nabhan, C. Prostate Cancer Screening. JAMA 2015, 314, 825–826. [Google Scholar] [CrossRef] [PubMed]
- Ahmed, H.U.; Bosaily, A.E.S.; Brown, L.C.; Gabe, R.; Kaplan, R.; Parmar, M.K.; Collaco-Moraes, Y.; Ward, K.; Hindley, R.G.; Freeman, A.; et al. Diagnostic accuracy of multi-parametric MRI and TRUS biopsy in prostate cancer (PROMIS): A paired validating confirmatory study. Lancet 2017. [Google Scholar] [CrossRef] [Green Version]
- Barentsz, J.O.; Richenberg, J.; Clements, R.; Choyke, P.; Verma, S.; Villeirs, G.; Rouviere, O.; Logager, V.; Futterer, J.J. European Society of Urogenital, R. ESUR prostate MR guidelines 2012. Eur. Radiol. 2012, 22, 746–757. [Google Scholar] [CrossRef] [PubMed] [Green Version]
- McDonald, R.J.; McDonald, J.S.; Kallmes, D.F.; Jentoft, M.E.; Paolini, M.A.; Murray, D.L.; Williamson, E.E.; Eckel, L.J. Gadolinium Deposition in Human Brain Tissues after Contrast-enhanced MR Imaging in Adult Patients without Intracranial Abnormalities. Radiology 2017. [Google Scholar] [CrossRef]
- Junker, D.; Steinkohl, F.; Fritz, V.; Bektic, J.; Tokas, T.; Aigner, F.; Herrmann, T.R.W.; Rieger, M.; Nagele, U. Comparison of multiparametric and biparametric MRI of the prostate: Are gadolinium-based contrast agents needed for routine examinations? World J. Urol. 2018. [Google Scholar] [CrossRef]
- De Visschere, P.; Lumen, N.; Ost, P.; Decaestecker, K.; Pattyn, E.; Villeirs, G. Dynamic contrast-enhanced imaging has limited added value over T2-weighted imaging and diffusion-weighted imaging when using PI-RADSv2 for diagnosis of clinically significant prostate cancer in patients with elevated PSA. Clin. Radio. L. 2017, 72, 23–32. [Google Scholar] [CrossRef]
- Di Campli, E.; Delli Pizzi, A.; Seccia, B.; Cianci, R.; d’Annibale, M.; Colasante, A.; Cinalli, S.; Castellan, P.; Navarra, R.; Iantorno, R.; et al. Diagnostic accuracy of biparametric vs multiparametric MRI in clinically significant prostate cancer: Comparison between readers with different experience. Eur. J. Radiol. 2018, 101, 17–23. [Google Scholar] [CrossRef]
- Stanzione, A.; Imbriaco, M.; Cocozza, S.; Fusco, F.; Rusconi, G.; Nappi, C.; Mirone, V.; Mangiapia, F.; Brunetti, A.; Ragozzino, A.; et al. Biparametric 3T Magnetic Resonance Imaging for prostatic cancer detection in a biopsy-naive patient population: A further improvement of PI-RADS v2? Eur. J. Radiol. 2016, 85, 2269–2274. [Google Scholar] [CrossRef]
- Turkbey, B.; Rosenkrantz, A.B.; Haider, M.A.; Padhani, A.R.; Villeirs, G.; Macura, K.J.; Tempany, C.M.; Choyke, P.L.; Cornud, F.; Margolis, D.J.; et al. Prostate Imaging Reporting and Data System Version 2.1: 2019 Update of Prostate Imaging Reporting and Data System Version 2. Eur. Urol. 2019. [Google Scholar] [CrossRef]
- Weinreb, J.C.; Barentsz, J.O.; Choyke, P.L.; Cornud, F.; Haider, M.A.; Macura, K.J.; Margolis, D.; Schnall, M.D.; Shtern, F.; Tempany, C.M.; et al. PI-RADS Prostate Imaging-Reporting and Data System: 2015, Version 2. Eur. Urol. 2016, 69, 16–40. [Google Scholar] [CrossRef]
- Rais-Bahrami, S.; Siddiqui, M.M.; Vourganti, S.; Turkbey, B.; Rastinehad, A.R.; Stamatakis, L.; Truong, H.; Walton-Diaz, A.; Hoang, A.N.; Nix, J.W.; et al. Diagnostic value of biparametric magnetic resonance imaging (MRI) as an adjunct to prostate-specific antigen (PSA)-based detection of prostate cancer in men without prior biopsies. BJU Int. 2015, 115, 381–388. [Google Scholar] [CrossRef] [Green Version]
- Gordetsky, J.; Epstein, J. Grading of prostatic adenocarcinoma: Current state and prognostic implications. Diagn. Pathol. 2016, 11, 25. [Google Scholar] [CrossRef] [Green Version]
- Samaratunga, H.; Montironi, R.; True, L.; Epstein, J.I.; Griffiths, D.F.; Humphrey, P.A.; van der Kwast, T.; Wheeler, T.M.; Srigley, J.R.; Delahunt, B.; et al. International Society of Urological Pathology (ISUP) Consensus Conference on Handling and Staging of Radical Prostatectomy Specimens. Working group 1: Specimen handling. Mod. Pathol. 2011, 24, 6–15. [Google Scholar] [CrossRef] [Green Version]
- Landis, J.R.; Koch, G.G. The measurement of observer agreement for categorical data. Biometrics 1977, 33, 159–174. [Google Scholar] [CrossRef] [Green Version]
- Niu, X.K.; Chen, X.H.; Chen, Z.F.; Chen, L.; Li, J.; Peng, T. Diagnostic Performance of Biparametric MRI for Detection of Prostate Cancer: A Systematic Review and Meta-Analysis. Am. J. Roentgenol. 2018, 211, 369–378. [Google Scholar] [CrossRef]
- Choi, M.H.; Lee, Y.J.; Jung, S.E.; Rha, S.E.; Byun, J.Y. Prebiopsy biparametric MRI: Differences of PI-RADS version 2 in patients with different PSA levels. Clin. Radiol. 2018, 73, 810–817. [Google Scholar] [CrossRef]
- Liss, M.A.; Ehdaie, B.; Loeb, S.; Meng, M.V.; Raman, J.D.; Spears, V.; Stroup, S.P. An Update of the American Urological Association White Paper on the Prevention and Treatment of the More Common Complications Related to Prostate Biopsy. J. Urol. 2017, 198, 329–334. [Google Scholar] [CrossRef]
- Wagner, B.; Drel, V.; Gorin, Y. Pathophysiology of gadolinium-associated systemic fibrosis. Am. J. Physiol. Ren. Physiol. 2016, 311, F1–F11. [Google Scholar] [CrossRef] [Green Version]
- Jung, J.W.; Kang, H.R.; Kim, M.H.; Lee, W.; Min, K.U.; Han, M.H.; Cho, S.H. Immediate hypersensitivity reaction to gadolinium-based MR contrast media. Radiology 2012, 264, 414–422. [Google Scholar] [CrossRef]
- Delongchamps, N.B.; Rouanne, M.; Flam, T.; Beuvon, F.; Liberatore, M.; Zerbib, M.; Cornud, F. Multiparametric magnetic resonance imaging for the detection and localization of prostate cancer: Combination of T2-weighted, dynamic contrast-enhanced and diffusion-weighted imaging. BJU Int. 2011, 107, 1411–1418. [Google Scholar] [CrossRef]
- Pesapane, F.; Standaert, C.; De Visschere, P.; Villeirs, G. T-staging of prostate cancer: Identification of useful signs to standardize detection of posterolateral extraprostatic extension on prostate MRI. Clin. Imaging 2020, 59, 1–7. [Google Scholar] [CrossRef] [Green Version]
- Liang, Z.; Hu, R.; Yang, Y.; An, N.; Duo, X.; Liu, Z.; Shi, S.; Liu, X. Is dynamic contrast enhancement still necessary in multiparametric magnetic resonance for diagnosis of prostate cancer: A systematic review and meta-analysis. Transl. Androl. Urol. 2020, 9, 553–573. [Google Scholar] [CrossRef]
- Tamada, T.; Sone, T.; Higashi, H.; Jo, Y.; Yamamoto, A.; Kanki, A.; Ito, K. Prostate cancer detection in patients with total serum prostate-specific antigen levels of 4-10 ng/mL: Diagnostic efficacy of diffusion-weighted imaging, dynamic contrast-enhanced MRI, and T2-weighted imaging. Am. J. Roentgenol. 2011, 197, 664–670. [Google Scholar] [CrossRef]
- Delongchamps, N.B.; Beuvon, F.; Eiss, D.; Flam, T.; Muradyan, N.; Zerbib, M.; Peyromaure, M.; Cornud, F. Multiparametric MRI is helpful to predict tumor focality, stage, and size in patients diagnosed with unilateral low-risk prostate cancer. Prostate Cancer Prostatic Dis. 2011, 14, 232–237. [Google Scholar] [CrossRef] [Green Version]
- Schimmoller, L.; Quentin, M.; Arsov, C.; Hiester, A.; Buchbender, C.; Rabenalt, R.; Albers, P.; Antoch, G.; Blondin, D. MR-sequences for prostate cancer diagnostics: Validation based on the PI-RADS scoring system and targeted MR-guided in-bore biopsy. Eur. Radiol. 2014, 24, 2582–2589. [Google Scholar] [CrossRef]
- Woo, S.; Suh, C.H.; Kim, S.Y.; Cho, J.Y.; Kim, S.H.; Moon, M.H. Head-to-Head Comparison Between Biparametric and Multiparametric MRI for the Diagnosis of Prostate Cancer: A Systematic Review and Meta-Analysis. Am. J. Roentgenol. 2018, 211, W226–W241. [Google Scholar] [CrossRef]
- Barth, B.K.; De Visschere, P.J.L.; Cornelius, A.; Nicolau, C.; Vargas, H.A.; Eberli, D.; Donati, O.F. Detection of Clinically Significant Prostate Cancer: Short Dual-Pulse Sequence versus Standard Multiparametric MR Imaging-A Multireader Study. Radiology 2017, 284, 725–736. [Google Scholar] [CrossRef]
- Greer, M.D.; Shih, J.H.; Lay, N.; Barrett, T.; Kayat Bittencourt, L.; Borofsky, S.; Kabakus, I.M.; Law, Y.M.; Marko, J.; Shebel, H.; et al. Validation of the Dominant Sequence Paradigm and Role of Dynamic Contrast-enhanced Imaging in PI-RADS Version 2. Radiology 2017, 285, 859–869. [Google Scholar] [CrossRef] [Green Version]



| Magnetom Sonata, A Tim System 1.5 T eco, Siemens Healthineers, Germany | Magnetom Symphony, A Tim System 1.5 T eco, Siemens Healthineers, Germany | |
|---|---|---|
| T2-weighted imaging | Axial, coronal, sagittal T2 TSE, 3 mm slice thickness, multi-slice mode: interleaved | Axial, coronal, sagittal T2 TSE, 3 mm slice thickness, multi-slice mode: interleaved |
| TR 5100 ms, TE 111 ms, FA 150°, FOV 240 mm × 100 mm, base resolution 256 with voxel 1.1 mm × 0.9 mm × 3.0 mm, number of averages 1 | TR 5540 ms, TE 101 ms, FA 150°, FOV 240 mm × 100 mm, base resolution 256 with voxel 1.1 mm× 0.9 mm × 3.0 mm, number of averages 1 | |
| Diffusion weighted imaging | Transverse REVEAL, 3 mm slice thickness | Transverse REVEAL, 3 mm slice thickness |
| b-values 0, 700, and 1400 (calculated) | b-values 0, 700, and 1400 (calculated) | |
| TR 5100 ms *, TE 90 ms *, number of averages: 2 | TR 6000 ms *, TE 111 ms *, number of averages: 2 | |
| Dynamic contrast enhanced imaging | Transverse T1-VIBE (fat saturated) | Transverse T1-VIBE (fat saturated) |
| 3 mm slice thickness | 3 mm slice thickness | |
| Perfusion temporal resolution: 15 s (total time length: 360 s) TR 8.8 ms *, TE 3.88 ms, FA 14° | Perfusion temporal resolution: 15 s (total time length: 360 s) TR 8.7 ms *, TE 3.88 ms, FA 14° |
| PATIENT CHARACTERISTICS | MEAN/MEDIAN (RANGE) | SD/IQR |
|---|---|---|
| AGE | 61.5 (49–84) years | 8.3 (SD) |
| PROSTATE VOLUME | 58 (25–108) mL | 19–201 (IQR) |
| PSA | 12.0 (4.4–90) ng/mL | 4.4–87.2 (IQR) |
| FREE PSA | 19% | 8.2–52.4 (IQR) |
| PSA DENSITY | 0.18 ng/mL2 | 0.09–0.39 (IQR) |
| bpMRI | ||||||||||||
| Detection of PCa (Any GS) | Detection of High-Grade PCa (GS > 7) | |||||||||||
| Reader 1 | Reader 2 | Reader 1 | Reader 2 | |||||||||
| 95 % CI | 95 % CI | 95 % CI | 95 % CI | |||||||||
| Sens | 0.84 | 0.79 | 0.89 | 0.80 | 0.74 | 0.86 | 0.84 | 0.75 | 0.93 | 0.80 | 0.70 | 0.90 |
| Spec | 0.77 | 0.72 | 0.82 | 0.74 | 0.68 | 0.80 | 0.77 | 0.73 | 0.81 | 0.74 | 0.70 | 0.78 |
| PPV | 0.75 | 0.69 | 0.81 | 0.72 | 0.66 | 0.78 | 0.39 | 0.31 | 0.47 | 0.35 | 0.28 | 0.43 |
| NPV | 0.85 | 0.81 | 0.90 | 0.82 | 0.77 | 0.87 | 0.96 | 0.94 | 0.99 | 0.95 | 0.93 | 0.98 |
| 1-NPV | 0.15 | 0.10 | 0.19 | 0.18 | 0.13 | 0.23 | 0.04 | 0.01 | 0.06 | 0.05 | 0.02 | 0.07 |
| LR+ | 3.65 | 2.87 | 4.65 | 3.08 | 2.45 | 3.86 | 3.65 | 2.94 | 4.53 | 3.08 | 2.49 | 3.80 |
| LR− | 0.21 | 0.15 | 3.82 | 0.27 | 0.20 | 3.21 | 0.21 | 0.12 | 1.71 | 0.27 | 0.17 | 1.52 |
| DOR | 17.58 | 10.79 | 28.64 | 11.38 | 7.22 | 17.96 | 17.58 | 8.67 | 35.62 | 11.38 | 5.94 | 21.83 |
| Accuracy | 0.80 | 0.77 | 0.78 | 0.75 | ||||||||
| mpMRI | ||||||||||||
| Detection of PCa (Any GS) | Detection of High-Grade PCa (GS > 7) | |||||||||||
| Reader 1 | Reader 2 | Reader 1 | Reader 2 | |||||||||
| 95 % CI | 95 % CI | 95 % CI | 95 % CI | |||||||||
| Sens | 0.86 | 0.81 | 0.91 | 0.82 | 0.77 | 0.87 | 0.86 | 0.78 | 0.94 | 0.80 | 0.70 | 0.90 |
| Spec | 0.78 | 0.73 | 0.83 | 0.75 | 0.69 | 0.81 | 0.78 | 0.74 | 0.82 | 0.74 | 0.70 | 0.78 |
| PPV | 0.76 | 0.71 | 0.82 | 0.73 | 0.67 | 0.79 | 0.41 | 0.33 | 0.49 | 0.35 | 0.28 | 0.43 |
| NPV | 0.87 | 0.83 | 0.92 | 0.83 | 0.78 | 0.88 | 0.97 | 0.95 | 0.99 | 0.95 | 0.93 | 0.98 |
| 1-NPV | 0.13 | 0.08 | 0.17 | 0.17 | 0.12 | 0.22 | 0.03 | 0.01 | 0.05 | 0.05 | 0.02 | 0.07 |
| LR+ | 3.91 | 3.05 | 5.00 | 3.28 | 2.60 | 4.13 | 3.91 | 3.15 | 4.85 | 3.08 | 2.49 | 3.80 |
| LR− | 0.18 | 0.13 | 4.10 | 0.24 | 0.18 | 3.43 | 0.18 | 0.10 | 1.81 | 0.27 | 0.17 | 1.52 |
| DOR | 21.78 | 13.10 | 36.21 | 13.67 | 8.55 | 21.85 | 21.78 | 10.36 | 45.78 | 11.38 | 5.94 | 21.83 |
| Accuracy | 0.82 | 0.78 | 0.79 | 0.76 | ||||||||
| Reader 1 | ||||||
| mpMRI | bpMRI | Difference mpMRI vs. bpMRI | ||||
| PI-RADS 2.0 Score | n | % | n | % | n | % |
| 1 | 4 | 0.9 | 3 | 0.7 | −1 | 0.4 |
| 2 | 209 | 48.5 | 210 | 48.7 | +1 | 0.4 |
| 3 | 95 | 22.3 | 119 | 27.6 | +24 | 5.6 |
| 4 | 87 | 20.4 | 63 | 14.6 | −24 | 5.6 |
| 5 | 36 | 8.3 | 36 | 8.3 | 0 | 0 |
| Reader 2 | ||||||
| mpMRI | bpMRI | Difference +/− | ||||
| PI-RADS 2.0 Score | n | % | n | % | n | % |
| 1 | 15 | 3.5 | 14 | 3.2 | −1 | 0.2 |
| 2 | 197 | 45.7 | 200 | 46.4 | +3 | 0.7 |
| 3 | 100 | 23.2 | 132 | 30.6 | +32 | 7.4 |
| 4 | 81 | 18.8 | 49 | 11.4 | −32 | 7.4 |
| 5 | 38 | 8.8 | 36 | 8.4 | −2 | 0.5 |
Publisher’s Note: MDPI stays neutral with regard to jurisdictional claims in published maps and institutional affiliations. |
© 2021 by the authors. Licensee MDPI, Basel, Switzerland. This article is an open access article distributed under the terms and conditions of the Creative Commons Attribution (CC BY) license (https://creativecommons.org/licenses/by/4.0/).
Share and Cite
Pesapane, F.; Acquasanta, M.; Meo, R.D.; Agazzi, G.M.; Tantrige, P.; Codari, M.; Schiaffino, S.; Patella, F.; Esseridou, A.; Sardanelli, F. Comparison of Sensitivity and Specificity of Biparametric versus Multiparametric Prostate MRI in the Detection of Prostate Cancer in 431 Men with Elevated Prostate-Specific Antigen Levels. Diagnostics 2021, 11, 1223. https://doi.org/10.3390/diagnostics11071223
Pesapane F, Acquasanta M, Meo RD, Agazzi GM, Tantrige P, Codari M, Schiaffino S, Patella F, Esseridou A, Sardanelli F. Comparison of Sensitivity and Specificity of Biparametric versus Multiparametric Prostate MRI in the Detection of Prostate Cancer in 431 Men with Elevated Prostate-Specific Antigen Levels. Diagnostics. 2021; 11(7):1223. https://doi.org/10.3390/diagnostics11071223
Chicago/Turabian StylePesapane, Filippo, Marzia Acquasanta, Rosario Di Meo, Giorgio Maria Agazzi, Priyan Tantrige, Marina Codari, Simone Schiaffino, Francesca Patella, Anastasia Esseridou, and Francesco Sardanelli. 2021. "Comparison of Sensitivity and Specificity of Biparametric versus Multiparametric Prostate MRI in the Detection of Prostate Cancer in 431 Men with Elevated Prostate-Specific Antigen Levels" Diagnostics 11, no. 7: 1223. https://doi.org/10.3390/diagnostics11071223
APA StylePesapane, F., Acquasanta, M., Meo, R. D., Agazzi, G. M., Tantrige, P., Codari, M., Schiaffino, S., Patella, F., Esseridou, A., & Sardanelli, F. (2021). Comparison of Sensitivity and Specificity of Biparametric versus Multiparametric Prostate MRI in the Detection of Prostate Cancer in 431 Men with Elevated Prostate-Specific Antigen Levels. Diagnostics, 11(7), 1223. https://doi.org/10.3390/diagnostics11071223

