Two Novel Mutations in the JAG1 Gene in Pediatric Patients with Alagille Syndrome: The First Case Series in Czech Republic
Abstract
1. Introduction
2. Material and Methods
Mutation Analysis
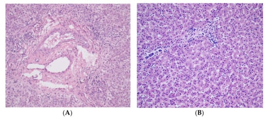
3. Results
4. Discussion
5. Conclusions
Author Contributions
Funding
Institutional Review Board Statement
Informed Consent Statement
Acknowledgments
Conflicts of Interest
Abbreviations
| ALGS | Alagille syndrome |
| ALGS1 | Alagille syndrome type 1 |
| ALGS2 | Alagille syndrome type 2 |
References
- Oda, T.; Elkahloun, A.G.; Pike, B.L.; Okajima, K.; Krantz, I.D.; Genin, A.; Piccoli, D.A.; Meltzer, P.S.; Spinner, N.B.; Collins, F.S.; et al. Mutations in the human Jagged 1 gene are responsible for Alagille syndrome. Nat. Genet. 1997, 16, 235–242. [Google Scholar] [CrossRef] [PubMed]
- Li, L.; Krantz, I.D.; Deng, Y.; Genin, A.; Banta, A.B.; Collins, C.C.; Qi, M.; Trask, B.J.; Kuo, W.L.; Cochran, J.; et al. Alagille syndrome is caused by mutations in human Jagged1, which encodes a ligand for Notch 1. Nat. Genet. 1997, 16, 243–251. [Google Scholar] [CrossRef] [PubMed]
- Krantz, I.D.; Colliton, R.P.; Genin, A.; Rand, E.B.; Li, L.; Piccoli, D.A.; Spinner, N.B. Spectrum and frequency of jagged1 (JAG1) mutations in Alagille syndrome patients and their families. Am. J. Hum. Genet. 1998, 62, 1361–1369. [Google Scholar] [CrossRef] [PubMed]
- Crosnier, C.; Driancourt, C.; Raynaud, N.; Dhorne–Pollet, S.; Pollet, N.; Bernard, O.; Hadchouel, M.; Meunier–Rotival, M. Mutations in JAGGED1 gene are predominantly sporadic in Alagille syndrome. Gastroenterology 1999, 116, 1141–1148. [Google Scholar] [CrossRef]
- McDaniell, R.; Warthen, D.M.; Sanchez-Lara, P.A.; Pai, A.; Krantz, I.D.; Piccoli, D.A.; Spinner, N.B. NOTCH2 mutations cause Alagille syndrome, a heterogeneous disorder of the Notch signaling pathway. Am. J. Hum. Genet. 2006, 79, 169–173. [Google Scholar] [CrossRef] [PubMed]
- Danks, D.; Campbell, P.; Jack, I.; Rogers, J.; Smith, A.L. Studies of the aetiology of neonatal hepatitis and biliary atresia. Arch. Dis. Child 1977, 52, 360–367. [Google Scholar] [CrossRef] [PubMed]
- Ayuob, M.D.; Kamath, B.M. Alagille Syndrome: Diagnostic Challenges and Advances in management. Diagnostics 2020, 10, 907. [Google Scholar] [CrossRef] [PubMed]
- Spinner, N.B.; Colliton, R.P.; Crosnier, C.; Krantz, I.D.; Hadchouel, M.; Meunier-Rotival, M. Jagged 1 mutations in Alagille syndrome. Hum. Mutat. 2001, 17, 18–33. [Google Scholar] [CrossRef]
- Kohsaka, T.; Yuan, Z.R.; Guo, S.X.; Tagawa, M.; Nakamura, A.; Nakano, M.; Kawasasaki, H.; Inomata, Y.; Tanaka, K.; Miyauchi, J. The significance of human jagged1 mutations detected in severe cases of extrahepatic biliary atresia. Hepatology 2002, 36, 904–912. [Google Scholar]
- Warthen, D.M.; Moore, E.C.; Kamath, B.M.; Morrissette, J.J.D.; Sanchez, P.; Piccoli, D.A.; Krantz, I.D.; Spinner, N.B. Jagged1 (JAG1) mutations in Alagille syndrome: Increasing the mutation detection rate. Hum. Mutat. 2006, 27, 436–443. [Google Scholar] [CrossRef]
- Jurkiewicz, D.; Gliwicz, D.; Ciara, E.; Gerfen, J.; Pelc, M.; Piekutowska-Abramczuk, D.; Kugaudo, M.; Chrzanowska, K.; Spinner, N.B.; Krajewska-Walasek, M. Spectrum of JAG1 gene mutations in Polish patients with Alagille syndrome. J. Appl. Genet. 2014, 55, 329–336. [Google Scholar] [CrossRef] [PubMed]
- Dědič, T.; Jirsa, M.; Kell, R.; Rygl, M.; Šnajdauf, J.; Kotalová, R. Alagille syndrome mimicking biliary atresia in early infancy. PLoS ONE 2015, 10, e0143939. [Google Scholar] [CrossRef] [PubMed]
- Emmerick, K.M.; Rans, E.B.; Goldmuntz, E.; Krantz, I.D.; Spinner, N.B.; Piccoli, D.A. Features of Alagille syndrome in 92 patients: Frequency and relation to prognosis. Hepatology 1999, 29, 822–829. [Google Scholar] [CrossRef]
- Turpenny, P.D.; Ellard, S. Alagille syndrome: Pathogenesis, diagnosis and management. Eur. J. Hum. Genet. 2012, 20, 251–257. [Google Scholar] [CrossRef] [PubMed]
- Kamath, B.M.; Thiel, B.D.; Gai, X.; Conlin, L.K.; Munoz, P.S.; Glessner, J.; Clark, D.; Warthen, D.M.; Shaikh, T.H.; Mihci, E.; et al. SNP array mapping of chromosome 20p deletions: Genotypes, phenotypes, and copy number variations. Hum. Mutat. 2009, 30, 371–378. [Google Scholar] [CrossRef]
- Stehlíková, K.; Skálová, D.; Zídková, J.; Mrázová, L.; Vondráček, P.; Mazanec, R.; Voháňka, S.; Haberlová, J.; Hermanová, M.; Zámečník, J.; et al. Autosomal recessive limb-girdle muscular dystrophies in the Czech Republic. BMC Neurol. 2014, 14, 1–9. [Google Scholar] [CrossRef]
- Bučková, H.; Nosková, H.; Borská, R.; Réblová, K.; Pinkova, B.; Zapletalová, E.; Kopečková, L.; Horký, O.; Němečková, J.; Gaillyová, R.; et al. Autosomal recessive congenital ichtyoses in the Czech Republic. Br. J. Dermatol. 2016, 174, 405–407. [Google Scholar] [CrossRef]
- Kopečková, L.; Bučková, H.; Kýrová, J.; Gaillyová, R.; Němečková, J.; Jeřábková, B.; Veselý, K.; Stehlíková, K. and Fajkusová, L. Ten years of DNA diagnostics of epidermolysis bullosa in the Czech Republic. Br. J. Dermatol. 2016, 174, 1388–1391. [Google Scholar] [CrossRef]
- Gilbert, M.A.; Bauer, R.C.; Rajagopalan, R.; Grochowski, C.M.; Chao, G.; McEldrew, D.; Nassur, J.A.; Rand, E.B.; Krock, B.L.; Kamath, B.M.; et al. Alagille syndrome mutation update: Comprehensive overview of JAG1 and NOTCH2 mutation frequencies and insight into missense variant classification. Hum. Mutat. 2019, 40, 2197–2220. [Google Scholar] [CrossRef]
- Krantz, I.D.; Piccoli, D.A.; Spinner, N.B. Syndrome of the month: Alagille syndrome. J. Med. Genet. 1997, 34, 152–157. [Google Scholar] [CrossRef]
- Kamath, B.M.; Bauer, R.C.; Loomes, K.M.; Chao, G.; Gerfen, J.; Hutchinson, A.; Hardikar, W.; Hirschfield, G.; Jara, P.; Krantz, I.D.; et al. NOTCH2 mutations in Alagille syndrome. J. Med. Genet. 2012, 49, 138–144. [Google Scholar] [CrossRef] [PubMed]
- Wu, K.Y.; Treece, A.L.; Russo, P.A.; Wen, J.W. An Atypical Presentation of Alagille Syndrome. Pediatr. Dev. Pathol. 2018, 21, 79–83. [Google Scholar] [CrossRef] [PubMed]
- Ohashi, K.; Togawa, T.; Sugiura, T.; Ito, K.; Endo, T.; Aoyama, K.; Negishi, Y.; Kudo, T.; Ito, R.; Saitoh, S. Combined genetic analyses can achieve efficient diagnostic yields for subjects with Alagille syndrome and incomplete Alagille syndrome. Acta Pediatr. 2017, 106, 1817–1824. [Google Scholar] [CrossRef] [PubMed]
- Kamath, B.M.; Baker, A.; Houven, R.; Todorova, L.; Kerkar, N. Systemic Review: The Epidemiology, Natural History and Burden of Alagille Syndrome. J. Pediatr. Gastroenterol. Nutr. 2018, 67. [Google Scholar] [CrossRef] [PubMed]
- Eldadah, Z.A.; Hamosh, A.; Biery, N.J.; Montgomery, R.A.; Duke, M.; Elkins, R.; Dietz, H.C. Familial Tetralogy of Fallot caused by mutation in the jagged1 gene. Hum. Mol. Genet. 2001, 10, 163–169. [Google Scholar] [CrossRef] [PubMed]


| Patient | Diagnosis | Peculiar | Cholestasis | Liver Biopsy | Heart Disease | Ocular | Skeletal | Renal | Others |
|---|---|---|---|---|---|---|---|---|---|
| Age | Face | Anomalies | Anomalies | Anomalies | |||||
| 1 | 16 month | yes | yes | intrahepatic bile duct | peripheral pulmonary | no | butterfly | no | learning disability |
| paucity | artery stenosis | vertebrae | |||||||
| 2 | 6 years | yes | yes | intrahepatic bile duct | peripheral pulmonary | no | no | no | |
| paucity | artery stenosis | ||||||||
| 3 | 7 month | yes | yes | intrahepatic bile duct | peripheral pulmonary | no | no | ren | behavioral disorders |
| paucity | artery stenosis | arcuatus | |||||||
| 4 | 3 month | yes | yes | intrahepatic bile duct | peripheral pulmonary | embryotoxon | rib | cystic | hypothyroidism |
| paucity | artery stenosis | posterior | anomalies | disease | growth retardation |
| Patient | Identified Sequence Variants | Mutation | Exon | cDNA | Protein | Mutation | Reference |
|---|---|---|---|---|---|---|---|
| Origin | Type | ||||||
| 1 | gene JAG1 (NM_000214.2):c.3189dupG in heterozygous state | not investigated | 25 | c.3189dupG | p.Asn1064Glufs*45 | frameshift | this study |
| novel, duplication | |||||||
| 2 | gene JAG1(NM_000214.2): c.2039delG in heterozygous state | mother | 16 | c.2039delG | p.Gly680Alafs*63 | frameshift | Gilbert et al., 2019 [19] |
| deletion | |||||||
| 3 | gene JAG1 (NM_000214.2):c.1913delG in heterozygous state | father | 15 | c.1913delG | p.Cys638Leufs*105 | frameshift | this study |
| novel, deletion | |||||||
| 4 | gene JAG1 (NM_000214.2):c.2230C>T p.(Arg744Ter) in heterozygous state | de novo | 18 | c.2230C>T | p.Arg744Ter | nonsense | Krantz et al, 1998 [3] |
| substitution |
Publisher’s Note: MDPI stays neutral with regard to jurisdictional claims in published maps and institutional affiliations. |
© 2021 by the authors. Licensee MDPI, Basel, Switzerland. This article is an open access article distributed under the terms and conditions of the Creative Commons Attribution (CC BY) license (https://creativecommons.org/licenses/by/4.0/).
Share and Cite
Procházková, D.; Borská, R.; Fajkusová, L.; Konečná, P.; Hloušková, E.; Pavlovský, Z.; Slabý, O.; Pospíšilová, Š. Two Novel Mutations in the JAG1 Gene in Pediatric Patients with Alagille Syndrome: The First Case Series in Czech Republic. Diagnostics 2021, 11, 983. https://doi.org/10.3390/diagnostics11060983
Procházková D, Borská R, Fajkusová L, Konečná P, Hloušková E, Pavlovský Z, Slabý O, Pospíšilová Š. Two Novel Mutations in the JAG1 Gene in Pediatric Patients with Alagille Syndrome: The First Case Series in Czech Republic. Diagnostics. 2021; 11(6):983. https://doi.org/10.3390/diagnostics11060983
Chicago/Turabian StyleProcházková, Dagmar, Romana Borská, Lenka Fajkusová, Petra Konečná, Eliška Hloušková, Zdeněk Pavlovský, Ondřej Slabý, and Šárka Pospíšilová. 2021. "Two Novel Mutations in the JAG1 Gene in Pediatric Patients with Alagille Syndrome: The First Case Series in Czech Republic" Diagnostics 11, no. 6: 983. https://doi.org/10.3390/diagnostics11060983
APA StyleProcházková, D., Borská, R., Fajkusová, L., Konečná, P., Hloušková, E., Pavlovský, Z., Slabý, O., & Pospíšilová, Š. (2021). Two Novel Mutations in the JAG1 Gene in Pediatric Patients with Alagille Syndrome: The First Case Series in Czech Republic. Diagnostics, 11(6), 983. https://doi.org/10.3390/diagnostics11060983
