Nucleic Acid-Based Lateral Flow Biosensor for Salmonella Typhi and Salmonella Paratyphi: A Detection in Stool Samples of Suspected Carriers
Abstract
1. Introduction
2. Materials and Methods
2.1. Reagents and Apparatus
2.2. Collection of Bacterial Strains and Stool Samples
2.3. Preparation and Extraction of DNA from Stool Samples
2.4. Multiplex PCR Assay
2.5. Preparation of the Lateral-Flow Biosensor Strip
2.6. Visual Detection of PCR Amplicons Using the Lateral Flow Biosensor
2.7. Validation of the Primers for the mPCR-LFB
2.8. Determination of Analytical Sensitivity and Validation of the mPCR-LFB
2.9. Detection of Carriers among Food Handlers Using the mPCR-LFB and Culture Method
3. Results
3.1. mPCR-LFB
3.2. Validation of the Primers for the mPCR-LFB
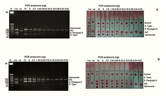
3.3. Comparison of the Analytical Sensitivity of the mPCR-LFB and mPCR-AGE
3.4. Limit of Detection and Evaluation of the mPCR-LFB Using Spiked Stool Samples
3.5. Performance of Carriers’ Detection among Food Handlers Using the mPCR-LFB Compared to Culture Method
4. Discussion
5. Conclusions
Author Contributions
Funding
Institutional Review Board Statement
Informed Consent Statement
Acknowledgments
Conflicts of Interest
References
- Procaccianti, M.; Motta, A.; Giordani, S.; Riscassi, S.; Guidi, B.; Ruffini, M.; Maffini, V.; Esposito, S.; Dodi, I. First Case of Typhoid Fever due to Extensively Drug-resistant Salmonella enterica serovar Typhi in Italy. Pathogens 2020, 9, 151. [Google Scholar] [CrossRef] [PubMed]
- Chua, A.L.; Aziah, I.; Balaram, P.; Bhuvanendran, S.; Anthony, A.A.; Mohmad, S.N.; Nasir, N.M.; Hassan, H.; Naim, R.; Meran, L.P.; et al. Identification of carriers among individuals recruited in the typhoid registry in Malaysia using stool culture, polymerase chain reaction, and dot enzyme immunoassay as detection tools. Asia Pac. J. Public Health 2012, 27, NP2740–NP2748. [Google Scholar] [CrossRef] [PubMed]
- WHO. Background Document: The Diagnosis, Treatment and Prevention of Typhoid Fever. Communicable Disease Surveillance and Response Vaccines and Biologicals; Retrieved from WHO/V&B/03.07; WHO: Geneva, Switzerland, 2013; pp. 1–33. [Google Scholar]
- Zhou, L.; Pollard, A.J. A fast and highly sensitive blood culture PCR method for clinical detection of Salmonella enterica serovar Typhi. Ann. Clin. Microbiol. Antimicrob. 2010, 9, 14. [Google Scholar] [CrossRef]
- Hatta, M.; Smits, H.L. Detection of Salmonella Typhi by nested polymerase chain reaction in blood, urine and stool samples. Am. J. Trop. Med. Hyg. 2007, 76, 139–143. [Google Scholar] [CrossRef] [PubMed]
- Kumar, S.; Balakrishna, K.; Singh, G.P.; Batra, H.V. Rapid detection of Salmonella typhi in foods by combination of immunomagnetic separation and polymerase chain reaction. World J. Microbiol. Biotechnol. 2005, 21, 625–628. [Google Scholar] [CrossRef]
- Osek, J. Rapid and specific identification of Shiga toxin-producing Escherichia coli in faeces by multiplex PCR. Lett. Appl. Microbiol. 2002, 34, 304–310. [Google Scholar] [CrossRef]
- Losonsky, G.A.; Ferreccio, C.; Kotloff, K.L.; Kaintuck, S.; Robbins, J.B.; Levine, M.M. Development and evaluation of an enzyme-linked immunosorbent assay for serum Vi antibodies for detection of chronic Salmonella typhi carriers. J. Clin. Microbiol. 1987, 25, 2266–2269. [Google Scholar] [CrossRef]
- Gupta, A.; My Thanh, N.T.; Olsen, S.J.; Sivapalasingam, S.; My Trinh, T.T.; Phuong Lan, N.T.; Hoekstra, R.M.; Bibb, W.; Minh, N.T. Evaluation of community-based serologic screening for identification of chronic Salmonella Typhi carriers in Vietnam. Int. J. Infect. Dis. 2006, 10, 309–314. [Google Scholar] [CrossRef] [PubMed]
- Yager, P.; Domingo, G.J.; Gerdes, J. Point-of-care diagnostics for global health. Annu Rev. Biomed. Eng. 2008, 10, 107–144. [Google Scholar] [CrossRef]
- Aziah, I.; Ravichandran, M.; Ismail, A. Amplification of ST50 gene using dry-reagent-based polymerase chain reaction for the detection of Salmonella typhi. Diagn Microbiol. Infect. Dis. 2007, 59, 373–377. [Google Scholar] [CrossRef] [PubMed]
- Banavandi, M.J.S.; Hasan, S.; Shahbazzadeh, D.; Mirzahosseini, H.; Mahboudi, F.; Abachi, M.; Karimi, V.; Gh, R.J. Selective amplification of prt, tyV and invA genes by multiplex PCR. Iran. Biomed. J. 2005, 9, 135–138. [Google Scholar]
- Hirose, K.; Itoh, K.; Nakajima, H.; Kurazono, T.; Yamaguchi, M.; Moriya, K.; Ezaki, T.; Kawamura, Y.; Tamura, K.; Watanabe, H. Selective amplification of tyv (rfbE). prt (rfbS), viaB, and fliC genes by multiplex PCR for identification of Salmonella enterica serovars Typhi and Paratyphi A. J. Clin. Microbiol. 2002, 40, 633–636. [Google Scholar] [CrossRef]
- Levy, H.; Diallo, S.; Tennant, S.M.; Livio, S.; Sow, S.O.; Tapia, M.; Fields, P.I.; Mikoleit, M.; Tamboura, B.; Kotloff, K.L. PCR method to identify Salmonella enterica serovars Typhi, Paratyphi A, and Paratyphi B among Salmonella isolates from the blood of patients with clinical enteric fever. J. Clin. Microbiol. 2008, 46, 1861–1866. [Google Scholar] [CrossRef]
- Pouzol, S.; Tanmoy, A.M.; Ahmed, D.; Khanam, F.; Brooks, W.A.; Bhuyan, G.S.; Fabre, L.; Bryant, J.E.; Gustin, M.P.; Vanhems, P.; et al. Clinical evaluation of a multiplex PCR for the detection of Salmonella enterica serovars Typhi and Paratyphi A from blood specimens in a high-endemic setting. Am. J. Trop. Med. Hyg. 2019, 101, 513–520. [Google Scholar] [CrossRef] [PubMed]
- Song, J.H.; Cho, H.; Park, M.Y.; Na, D.S.; Moon, H.B.; Pai, C.H. Detection of Salmonella typhi in the blood of patients with typhoid fever by polymerase chain reaction. J. Clin. Microbiol. 1993, 31, 1439–1443. [Google Scholar] [CrossRef]
- Ngan, G.J.Y.; Ng, L.M.; Lin, R.T.P.; Teo, J.W.P. Development of a novel multiplex PCR for the detection and differentiation of Salmonella enterica serovars Typhi and Paratyphi A. Res. Microbiol. 2010, 161, 243–248. [Google Scholar] [CrossRef] [PubMed]
- Teh, C.S.J.; Chua, K.H.; Puthucheary, S.D.; Thong, K.L. Further evaluation of a multiplex PCR for differentiation of Salmonella paratyphi A from other Salmonellae. Jpn. J. Infect. Dis. 2008, 61, 313–314. [Google Scholar] [PubMed]
- Tennant, S.M.; Toema, D.; Qamar, F.; Iqbal, N.; Boyd, M.A.; Marshall, J.M.; Blackwelder, W.C.; Wu, Y.; Quadri, F.; Khan, A.; et al. Detection of Typhoidal and Paratyphoidal Salmonella in blood by Real-time Polymerase Chain Reaction. Clin. Infect. Dis. 2015, 61, 241–250. [Google Scholar] [CrossRef] [PubMed]
- Das, S.; Ray, U.; Akhter, I.; Chattopadhyay, A.; Paul, D.K.; Dutta, S. Evaluation of fliC-d based direct blood PCR assays for typhoid diagnosis. BMC Microbiol. 2016, 16, 108. [Google Scholar] [CrossRef] [PubMed]
- Martín, A.; Pérez-Ayala, A.; Chaves, F.; Lora, D.; Orellana, M.Á. Evaluation of the multiplex PCR Allplex-GI assay in the detection of bacterial pathogens in diarrheic stool samples. J. Microbiol. Methods 2018, 144, 33–36. [Google Scholar] [CrossRef] [PubMed]
- Teh, C.S.J.; Lau, M.Y.; Chong, C.W.; Ngoi, S.T.; Chua, K.H.; Lee, W.S.; Thong, K.L. One-step differential detection of Salmonella enterica serovar Typhi, serovar Paratyphi A and other Salmonella spp. by using a quadruplex real-time PCR assay. J. Microbiol. Methods 2021, 183, 106184. [Google Scholar] [CrossRef]
- Valledor, S.; Valledor, I.; Gil-Rodríguez, M.C.; Seral, C.; Castillo, J. Comparison of several real-time PCR kits versus a culture-dependent algorithm to identify enteropathogens in stool samples. Sci. Rep. 2020, 10, 4301. [Google Scholar] [CrossRef] [PubMed]
- Khan, I.H.; Sayeed, M.A.; Sultana, N.; Islam, K.; Amin, J.; Faruk, M.O.; Khan, U.; Khanam, F.; Ryan, E.T.; Qadri, F. Development of a simple, peripheral-blood-based lateral-flow dipstick assay for accurate detection of patients with enteric fever. Clin. Vaccine Immunol. 2016, 23, 403–409. [Google Scholar] [CrossRef] [PubMed]
- Kumar, S.; Nodoushani, A.; Khanam, F.; DeCruz, A.T.; Lambotte, P.; Scott, R.; Bogoch, I.I.; Vaidya, K.; Calderwood, S.B.; Bhuiyan, T.R.; et al. Evaluation of a Rapid Point-of-Care Multiplex Immunochromatographic Assay for the Diagnosis of Enteric Fever. Msphere 2020, 5, e00253-20. [Google Scholar] [CrossRef] [PubMed]
- Anfossi, L.; Di Nardo, F.; Cavalera, S.; Giovannoli, C.; Baggiani, C. Multiplex Lateral Flow Immunoassay: An Overview of Strategies towards High-throughput Point-of-Need Testing. Biosensors 2018, 9, 2. [Google Scholar] [CrossRef]
- Akinwale, O.P.; Laurent, T.; Mertens, P.; Leclipteux, T.; Rollinson, D.; Kane, R.; Emery, A.; Ajayi, M.B.; Akande, D.O.; Fesobi, T.W. Detection of schistosomes polymerase chain reaction amplified DNA by oligochromatographic dipstick. Mol. Biochem Parasitol. 2008, 160, 167–170. [Google Scholar] [CrossRef]
- Blazkova, M.; Koets, M.; Wichers, J.H.; van Amerongen, A.; Fukal, L.; Rauch, P. Nucleic acid lateral flow immunoassay for the detection of pathogenic bacteria from food. Czech. J. Food Sci. 2009, 27, 350–353. [Google Scholar] [CrossRef]
- Deborggraeve, S.; Coronado, X.; Solari, A.; Zulantay, I.; Apt, W.; Mertens, P.; Laurent, T.; Leclipteux, T.; Stessens, T.; Dujardin, J.C.; et al. cruzi OligoC-TesT: A simplified and standardized polymerase chain reaction format for diagnosis of Chagas disease. PLoS Negl Trop Dis. 2009, 3, e450. [Google Scholar] [CrossRef][Green Version]
- Mens, P.F.; Amerongen, A.V.; Sawa, P.; Kager, P.A.; Schallig, H.D.F.H. Molecular diagnosis of malaria for the field: Development of a novel, 1-step nucleic acid lateral flow immunoassay for the detection of all 4 human Plasmodium spp. and its evaluation Mbita, Kenya. Diagn Microbiol. Infect. Dis. 2008, 61, 421–427. [Google Scholar] [CrossRef] [PubMed]
- Hsieh, H.V.; Dantzler, J.L.; Weigl, B.H. Analytical Tools to Improve Optimization Procedures for Lateral Flow Assays. Diagnostics 2017, 7, 29. [Google Scholar] [CrossRef]
- Zhan, L.; Guo, S.Z.; Song, F.; Gong, Y.; Xu, F.; Boulware, D.R.; McAlpine, M.C.; Chan, W.C.W.; Bischof, J.C. The Role of Nanoparticle Design in Determining Analytical Performance of Lateral Flow Immunoassays. Nano Lett. 2017, 17, 7207–7212. [Google Scholar] [CrossRef]
- Mugasa, C.M.; Laurent, T.; Schoone, G.J.; Kager, P.A.; Lubega, G.W.; Schallig, H.D. Nucleic Acid Sequence-Based Amplification with Oligochromatography for Detection of Trypanosoma brucei in Clinical Samples. J. Clin. Microbiol. 2009, 47, 630–635. [Google Scholar] [CrossRef]
- Ang, G.Y.; Yu, C.Y.; Yean, C.Y. Ambient temperature detection of PCR amplicons with a novel sequence-specific nucleic acid lateral flow biosensor. Biosens. Bioelectron. 2012, 38, 151–156. [Google Scholar] [CrossRef] [PubMed]
- Chua, A.; Yean, C.Y.; Ravichandran, M.; Lim, B.; Lalitha, P. A rapid DNA biosensor for the molecular diagnosis of infectious disease. Biosens. Bioelectron. 2011, 26, 3825–3831. [Google Scholar] [CrossRef]
- Kalogianni, D.P.; Litos, I.K.; Christopoulos, T.K.; Ioannou, P.C. Dipstick-type biosensor for visual detection of DNA with oligonucleotide-decorated colored polystyrene microspheres as reporters. Biosens. Bioelectron. 2009, 24, 1811–1815. [Google Scholar] [CrossRef] [PubMed]
- Hoorfar, J.; Cook, N.; Malorny, B.; Wagner, M.; De Medici, D.; Abdulmawjood, A.; Fach, P. Making internal amplification control mandatory for diagnostic PCR. J. Clin. Microbiol. 2003, 41, 5835. [Google Scholar] [CrossRef]
- Zhang, C.; Zhang, Y.; Wang, S. Development of multianalyte flow-through and lateral-flow assays using gold particles and horseradish peroxidase as tracers for the rapid determination of carbaryl and endosulfan in agricultural products. J. Agric. Food Chem. 2006, 54, 2502–2507. [Google Scholar] [CrossRef] [PubMed]
- Sajid, M.; Kawde, A.N.; Daud, M. Designs, formats and applications of lateral flow assay: A literature review. J. Saudi Chem. Soc. 2015, 19, 689–705. [Google Scholar] [CrossRef]
- Quesada-González, D.; Merkoçi, A. Nanoparticle-based lateral flow biosensors. Biosens. Bioelectron. 2015, 73, 47–63. [Google Scholar] [CrossRef]
- Jung, Y.L.; Jung, C.; Parab, H.; Li, T.; Park, H.G. Direct colorimetric diagnosis of pathogen infections by utilizing thiol-labeled PCR primers and unmodified gold nanoparticles. Biosens. Bioelectron. 2010, 25, 1941–1946. [Google Scholar] [CrossRef]
- Posthuma-Trumpie, G.A.; Korf, J.; Amerongen, A.V. Lateral flow (immuno)assay: Its strengths, weaknesses, opportunities and threats. A literature survey. Anal. Bioanal. Chem. 2009, 393, 569–582. [Google Scholar] [CrossRef]
- Storhoff, J.J.; Lazarides, A.A.; Mucic, R.C.; Mirkin, C.A.; Letsinger, R.L.; Schatz, G.C. What Controls the Optical Properties of DNA-Linked Gold Nanoparticle Assemblies? J. Am. Chem. Soc. 2000, 122, 4640–4650. [Google Scholar] [CrossRef]
- Goay, Y.X.; Chin, K.L.; Tan, C.L.; Yeoh, C.Y.; Ja’afar, J.N.; Zaidah, A.R.; Chinni, S.V.; Phua, K.K. Identification of Five Novel Salmonella Typhi-Specific Genes as Markers for Diagnosis of Typhoidal Fever Using Single-Gene Target PCR Assay. Biomed. Res. Int. 2016. [Google Scholar] [CrossRef]
- Pratap, C.B.; Kumar, G.; Patel, S.K.; Shukla, V.K.; Kumar, K.; Singh, T.B.; Nath, G. Mix infection of S. typhi and S. paratyphi A in typhoid fever and chronic typhoid carriers: A nested PCR-based study in North India. J. Clin. Diagn Res. 2014, 8, 9–14. [Google Scholar] [CrossRef] [PubMed]
- Deborggraeve, S.; Claes, F.; Laurent, T.; Mertens, P.; Leclipteux, T.; Dujardin, J.C.; Herdewijn, P.; Büscher, P. Molecular dipstick test for diagnosis of sleeping sickness. J. Clin. Microbiol. 2006, 44, 2884–2889. [Google Scholar] [CrossRef] [PubMed]
- Glynou, K.; Ioannou, P.C.; Christopoulos, T.K.; Syriopoulou, V. Oligonucleotide-functionalized gold nanoparticles as probes in a dry-reagent strip biosensor for DNA analysis by hybridization. Anal. Chem. 2003, 75, 4155–4160. [Google Scholar] [CrossRef] [PubMed]
- Park, S.H.; Ricke, S.C. Development of multiplex PCR assay for simultaneous detection of Salmonella genus, Salmonella subspecies I, Salm. Enteritidis, Salm. Heidelberg and Salm. Typhimurium. J. Appl. Microbiol. 2015, 118, 152–160. [Google Scholar] [CrossRef]




| Primer | Primer Sequence | 5′-Label | Target Gene (Accession Number) | Target Bacterium | Amplicon Size (bp) |
|---|---|---|---|---|---|
| FITC_ stgAF | TGATGGCACCGTTCACTTCCTTG | FITC | stgA (AL627280.1) | S. Typhi | 70 |
| Biotin_ stgAR | ATCAGCGGTTTGTGGCGTAAC | Biotin | |||
| Texas red_ SPAintF | CGAACCTGGCAACATACCATTAGAT | Texas red | Intergenic region between SSPA 1723a and SSPA 1724 (FM200053.1) | S. Paratyphi A | 93 |
| Biotin_ SPAintR | TGCCTCAAATCATCAGTAATCTCTC | Biotin | |||
| DNP_ ompCF | GCAGCGTGAGCGGTGAAAACAC | DNP | ompC (NC_006511) | Pan-Salmonella | 146 |
| Biotin_ ompCR | GTTCTGATCGGCAGTACGTTTAG | Biotin | |||
| DIG_ IACF | GCAGATATTAGGACAAGTTAAGCAAG | DIG | hemM (AF22752) | Non-competitive IAC | 123 |
| Biotin_ IACR | GTTTCTGTTCTTACCCGTTTC | Biotin |
| Strains (n = 100) | No. of Strains | No. of Positive Test | |||||
|---|---|---|---|---|---|---|---|
| mPCR-LFB Results | mPCR-AGE Results | ||||||
| stgA | SPAint | OmpC | stgA | SPAint | OmpC | ||
| Salmonella Typhi | 25 | 25 | 0 | 25 | 25 | 0 | 25 |
| Salmonella Paratyphi A | 25 | 0 | 25 | 25 | 0 | 25 | 25 |
| Other Salmonella serovars | |||||||
| Salmonella Branderup | 1 | 0 | 0 | 1 | 0 | 0 | 1 |
| Salmonella Choleraesuis | 1 | 0 | 0 | 1 | 0 | 0 | 1 |
| Salmonella Paratyphi B | 2 | 0 | 0 | 2 | 0 | 0 | 2 |
| Salmonella Paratyphi C | 1 | 0 | 0 | 1 | 0 | 0 | 1 |
| Salmonella Typhimurium | 1 | 0 | 0 | 1 | 0 | 0 | 1 |
| Salmonella Walter | 1 | 0 | 0 | 1 | 0 | 0 | 1 |
| Salmonella Farsta | 1 | 0 | 0 | 1 | 0 | 0 | 1 |
| Salmonella Richmond | 1 | 0 | 0 | 1 | 0 | 0 | 1 |
| Salmonella Bordes | 1 | 0 | 0 | 1 | 0 | 0 | 1 |
| Salmonella Bordeaux | 1 | 0 | 0 | 1 | 0 | 0 | 1 |
| Salmonella Ayton | 1 | 0 | 0 | 1 | 0 | 0 | 1 |
| Salmonella Virchow | 1 | 0 | 0 | 1 | 0 | 0 | 1 |
| Salmonella Rissen | 1 | 0 | 0 | 1 | 0 | 0 | 1 |
| Salmonella Idikan | 1 | 0 | 0 | 1 | 0 | 0 | 1 |
| Salmonella Abony | 1 | 0 | 0 | 1 | 0 | 0 | 1 |
| Salmonella Albert | 1 | 0 | 0 | 1 | 0 | 0 | 1 |
| Salmonella Eppendorf | 1 | 0 | 0 | 1 | 0 | 0 | 1 |
| Salmonella Corvallis | 1 | 0 | 0 | 1 | 0 | 0 | 1 |
| Salmonella Poona | 1 | 0 | 0 | 1 | 0 | 0 | 1 |
| Salmonella Heidelberg | 1 | 0 | 0 | 1 | 0 | 0 | 1 |
| Salmonella Emek | 1 | 0 | 0 | 1 | 0 | 0 | 1 |
| Salmonella Kissi | 1 | 0 | 0 | 1 | 0 | 0 | 1 |
| Salmonella Djakarta | 1 | 0 | 0 | 1 | 0 | 0 | 1 |
| Salmonella Bareilly | 1 | 0 | 0 | 1 | 0 | 0 | 1 |
| Other bacterial strains | |||||||
| Acinetobacter baumanii | 1 | 0 | 0 | 0 | 0 | 0 | 0 |
| Citrobacter freundii | 1 | 0 | 0 | 0 | 0 | 0 | 0 |
| E. coli | 1 | 0 | 0 | 0 | 0 | 0 | 0 |
| EHEC | 1 | 0 | 0 | 0 | 0 | 0 | 0 |
| EIEC | 1 | 0 | 0 | 0 | 0 | 0 | 0 |
| EPEC | 1 | 0 | 0 | 0 | 0 | 0 | 0 |
| Klebsiella pneumoniae | 1 | 0 | 0 | 0 | 0 | 0 | 0 |
| Proteus mirabilis | 1 | 0 | 0 | 0 | 0 | 0 | 0 |
| Proteus vulgaris | 1 | 0 | 0 | 0 | 0 | 0 | 0 |
| Pseudomonas aeruginosa | 1 | 0 | 0 | 0 | 0 | 0 | 0 |
| Shigella boydii | 1 | 0 | 0 | 0 | 0 | 0 | 0 |
| Shigella dysenteriae | 1 | 0 | 0 | 0 | 0 | 0 | 0 |
| Shigella flexneri | 1 | 0 | 0 | 0 | 0 | 0 | 0 |
| Shigella sonnei | 1 | 0 | 0 | 0 | 0 | 0 | 0 |
| Vibrio cholerae | 3 | 0 | 0 | 0 | 0 | 0 | 0 |
| Yersinia enterocolotica | 1 | 0 | 0 | 0 | 0 | 0 | 0 |
| TOTAL | 100 | 25 | 25 | 75 | 25 | 25 | 75 |
| N = 1176 (Stool Samples) | Salmonella Typhi (Percentage Positivity) | Salmonella Paratyphi A |
|---|---|---|
| Culture method | 3 (0.3%) | 1 (0.1%) |
| mPCR-LFB | 23 (2.0%) | 3 (0.3%) |
Publisher’s Note: MDPI stays neutral with regard to jurisdictional claims in published maps and institutional affiliations. |
© 2021 by the authors. Licensee MDPI, Basel, Switzerland. This article is an open access article distributed under the terms and conditions of the Creative Commons Attribution (CC BY) license (https://creativecommons.org/licenses/by/4.0/).
Share and Cite
Amalina, Z.N.; Khalid, M.F.; Rahman, S.F.; Ahmad, M.N.; Ahmad Najib, M.; Ismail, A.; Aziah, I. Nucleic Acid-Based Lateral Flow Biosensor for Salmonella Typhi and Salmonella Paratyphi: A Detection in Stool Samples of Suspected Carriers. Diagnostics 2021, 11, 700. https://doi.org/10.3390/diagnostics11040700
Amalina ZN, Khalid MF, Rahman SF, Ahmad MN, Ahmad Najib M, Ismail A, Aziah I. Nucleic Acid-Based Lateral Flow Biosensor for Salmonella Typhi and Salmonella Paratyphi: A Detection in Stool Samples of Suspected Carriers. Diagnostics. 2021; 11(4):700. https://doi.org/10.3390/diagnostics11040700
Chicago/Turabian StyleAmalina, Zulkiply Nor, Muhammad Fazli Khalid, Sjafri Faizul Rahman, Muhamad Nuramin Ahmad, Mohamad Ahmad Najib, Asma Ismail, and Ismail Aziah. 2021. "Nucleic Acid-Based Lateral Flow Biosensor for Salmonella Typhi and Salmonella Paratyphi: A Detection in Stool Samples of Suspected Carriers" Diagnostics 11, no. 4: 700. https://doi.org/10.3390/diagnostics11040700
APA StyleAmalina, Z. N., Khalid, M. F., Rahman, S. F., Ahmad, M. N., Ahmad Najib, M., Ismail, A., & Aziah, I. (2021). Nucleic Acid-Based Lateral Flow Biosensor for Salmonella Typhi and Salmonella Paratyphi: A Detection in Stool Samples of Suspected Carriers. Diagnostics, 11(4), 700. https://doi.org/10.3390/diagnostics11040700

