Preoperative Diagnosis Failure for a Rare Gastric Collision Tumor: A Case Report
Abstract
1. Introduction
2. Material and Methods
2.1. Preoperative Findings
2.1.1. Clinical Data
2.1.2. Medical History
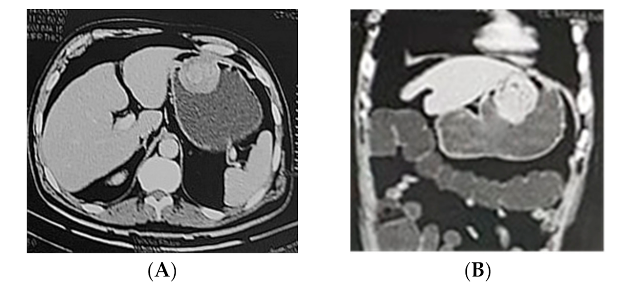
2.1.3. CT Enterocolongraphy
2.2. Endoscopic Examination
2.3. Clinical Assessment and Intra-Operative Findings
2.4. Operative Findings
Gross Findings
2.5. Histopathology Examination
2.6. Immunohistochemical Assessment
3. Results
3.1. CT Enterocolongraphy
3.2. Endoscopic Findings
3.3. The Intra-Operative Findings
3.4. Gross Findings
3.5. Histopathology Description and Immunohistochemistry
4. Discussions
5. Conclusions
Author Contributions
Funding
Institutional Review Board Statement
Informed Consent Statement
Data Availability Statement
Conflicts of Interest
References
- Michalinos, A.; Constantinidou, A.; Kontos, M. Gastric Collision Tumors: An Insight into Their Origin and Clinical Significance. Gastroenterol. Res. Pract. 2015, 2015, 1–8. [Google Scholar] [CrossRef]
- Schizas, D.; Katsaros, I.; Michalinos, A.; Damaskos, C.; Garmpis, N.; Ntomi, V.; Agrogiannis, G.; Stergiopoulos, S.; Tsaroucha, A.K. Collision Tumors of the Gastrointestinal Tract: A Systematic Review of the Literature. Anticancer Res. 2018, 38, 6047–6057. [Google Scholar] [CrossRef] [PubMed]
- Barry, R.G.; Wolbert, T.T.; Denning, D.A. Gastrointestinal Stromal Tumors (GIST). In Gastrointestinal Surgery—New Technical Proposals; Neri, V., Ed.; InTech: Cambridge, UK, 2018; Available online: https://www.intechopen.com/books/gastrointestinal-surgery-new-technical-proposals/gastrointestinal-stromal-tumors-gist- (accessed on 27 January 2021).
- Miettinen, M.; Lasota, J. Histopathology of Gastrointestinal Stromal Tumor: Histopathology of GIST. J. Surg. Oncol. 2011, 104, 865–873. [Google Scholar] [CrossRef] [PubMed]
- Rammohan, A. A Gist of Gastrointestinal Stromal Tumors: A Review. World J. Gastrointest. Oncol. 2012, 5, 102. [Google Scholar] [CrossRef] [PubMed]
- Van Roggen, J.F.G. The Histopathological Differential Diagnosis of Gastrointestinal Stromal Tumours. J. Clin. Pathol. 2001, 54, 96–102. [Google Scholar] [CrossRef] [PubMed]
- Zhang, H.; Liu, Q. Prognostic Indicators for Gastrointestinal Stromal Tumors: A Review. Transl. Oncol. 2020, 13, 100812. [Google Scholar] [CrossRef] [PubMed]
- Klingbeil, K.D.; Balaban, A.; Fertig, R.M.; Gamret, A.C.; Gong, Y.; Torres, C.; Satahoo, S.S. Inflammatory Fibroid Polyp of the Gastric Antrum Presenting as Hypovolemic Shock: Case Report and Literature Review. Intractable Rare Dis. Res. 2017, 6, 304–309. [Google Scholar] [CrossRef] [PubMed]
- Liu, G.; Cheresh, P.; Kamp, D.W. Molecular Basis of Asbestos-Induced Lung Disease. Annu. Rev. Pathol. Mech. Dis. 2013, 8, 161–187. [Google Scholar] [CrossRef] [PubMed]
- Liu, D.; Wang, J.; Chen, M.; Xiao, Q.; Zhu, C.R.; Jiang, J.X.; Wang, C.M.; Gu, X.W. [Inflammatory fibroid polyp of the gastrointestinal tract: A clinicopathologic features of 37 cases]. Zhonghua Bing Li Xue Za Zhi 2016, 45, 381–386. [Google Scholar] [PubMed]
- Kleist, B.; Lasota, J.; Miettinen, M. Gastrointestinal Stromal Tumor and Gastric Adenocarcinoma Collision Tumors. Hum. Pathol. 2010, 41, 1034–1039. [Google Scholar] [CrossRef] [PubMed]
- Ünal, B.; Elpek, G.Ö.; Gelen, T.; Gürkan, A.; Yildirim, B. Gastric Collision Tumor: Case Report of a Rare Adenocarcinoma and a Typical Carcinoid Tumor. Oncol. Lett. 2013, 6, 212–214. [Google Scholar] [CrossRef] [PubMed][Green Version]
- Kadowaki, Y.; Nishimura, T.; Komoto, S.; Yuasa, T.; Tamura, R.; Okamoto, T.; Ishido, N. Gastroduodenal Intussusception Caused by a Gastric Collision Tumor Consisting of Adenocarcinoma and Neuroendocrine Carcinoma. Case Rep. Gastroenterol. 2014, 8, 89–94. [Google Scholar] [CrossRef] [PubMed]
- Shin, H.C.; Gu, M.J.; Kim, S.W.; Kim, J.W.; Choi, J.H. Coexistence of Gastrointestinal Stromal Tumor and Inflammatory Myofibroblastic Tumor of the Stomach Presenting as a Collision Tumor: First Case Report and Literature Review. Diagn. Pathol. 2015, 10, 181. [Google Scholar] [CrossRef] [PubMed][Green Version]
- Adhikari, M.; Li-cheng Wu, M.; Zhao, X. Gastrointestinal Stromal Tumor Colliding With Angiosarcoma. Int. J. Surg. Pathol. 2006, 14, 252–256. [Google Scholar] [CrossRef] [PubMed]
- Jung, S.H.; Suh, K.S.; Kang, D.Y.; Kang, D.W.; Kim, Y.-B.; Kim, E.-S. Expression of DOG1, PDGFRA, and P16 in Gastrointestinal Stromal Tumors. Gut Liver 2011, 5, 171–180. [Google Scholar] [CrossRef] [PubMed]
- Macías-García, L.; De la Hoz-Herazo, H.; Robles-Frías, A.; Pareja-Megía, M.J.; López-Garrido, J.; López, J.I. Collision Tumour Involving a Rectal Gastrointestinal Stromal Tumour with Invasion of the Prostate and a Prostatic Adenocarcinoma. Diagn. Pathol. 2012, 7, 150. [Google Scholar] [CrossRef] [PubMed]
- Hiremath, S.; Nanjappa, N.; Kamath, S. Inflammatory Fibroid Polyp (IFP) of the Terminal Ileum Presenting as Acute Intestinal Obstruction without Intussusception. BMJ Case Rep. 2015, 2015, bcr2015211029. [Google Scholar] [CrossRef] [PubMed]
- Miettinen, M.; Lasota, J. Gastrointestinal Stromal Tumors: Rev-iew on Morphology, Molecular Pathology, Prognosis, and Differential Diagnosis. Arch. Pathol. Lab. Med. 2006, 130, 1466–1478. [Google Scholar] [CrossRef] [PubMed]
- Guler, B.; Ozyilmaz, F.; Tokuc, B.; Can, N.; Tastekin, E. Histopathological Features of Gastrointestinal Stromal Tumors and the Contribution of DOG1 Expression to the Diagnosis. Balk. Med. J. 2015, 32, 388–396. [Google Scholar] [CrossRef] [PubMed]






Publisher’s Note: MDPI stays neutral with regard to jurisdictional claims in published maps and institutional affiliations. |
© 2021 by the authors. Licensee MDPI, Basel, Switzerland. This article is an open access article distributed under the terms and conditions of the Creative Commons Attribution (CC BY) license (http://creativecommons.org/licenses/by/4.0/).
Share and Cite
Elshaer, R.E.; Elgammal, E.R.; Elmistekawy, A.M.; Ghannam, W.A.; Elshamy, A.E.; Abed, S.Y.; Zaitone, S.A. Preoperative Diagnosis Failure for a Rare Gastric Collision Tumor: A Case Report. Diagnostics 2021, 11, 633. https://doi.org/10.3390/diagnostics11040633
Elshaer RE, Elgammal ER, Elmistekawy AM, Ghannam WA, Elshamy AE, Abed SY, Zaitone SA. Preoperative Diagnosis Failure for a Rare Gastric Collision Tumor: A Case Report. Diagnostics. 2021; 11(4):633. https://doi.org/10.3390/diagnostics11040633
Chicago/Turabian StyleElshaer, Rabie E., Eid R. Elgammal, Amr M. Elmistekawy, Walaa A. Ghannam, Ahmed E. Elshamy, Sally Y. Abed, and Sawsan A. Zaitone. 2021. "Preoperative Diagnosis Failure for a Rare Gastric Collision Tumor: A Case Report" Diagnostics 11, no. 4: 633. https://doi.org/10.3390/diagnostics11040633
APA StyleElshaer, R. E., Elgammal, E. R., Elmistekawy, A. M., Ghannam, W. A., Elshamy, A. E., Abed, S. Y., & Zaitone, S. A. (2021). Preoperative Diagnosis Failure for a Rare Gastric Collision Tumor: A Case Report. Diagnostics, 11(4), 633. https://doi.org/10.3390/diagnostics11040633

