Percutaneous Implantation of a Microcatheter-Port System for Hepatic Arterial Infusion Chemotherapy of Unresectable Liver Tumors: Technical Feasibility, Functionality, and Complications
Abstract
1. Introduction
2. Materials and Methods
2.1. Study Population
2.2. Percutaneous Microcatheter-Port System Implantation
2.3. Functional Assessment of the Port Catheter
2.4. Intraarterial Chemotherapy Treatment
2.5. Data Collection and Definitions
2.6. Statistical Analysis
3. Results
3.1. Patient Characteristics
3.2. Primary Technical Success
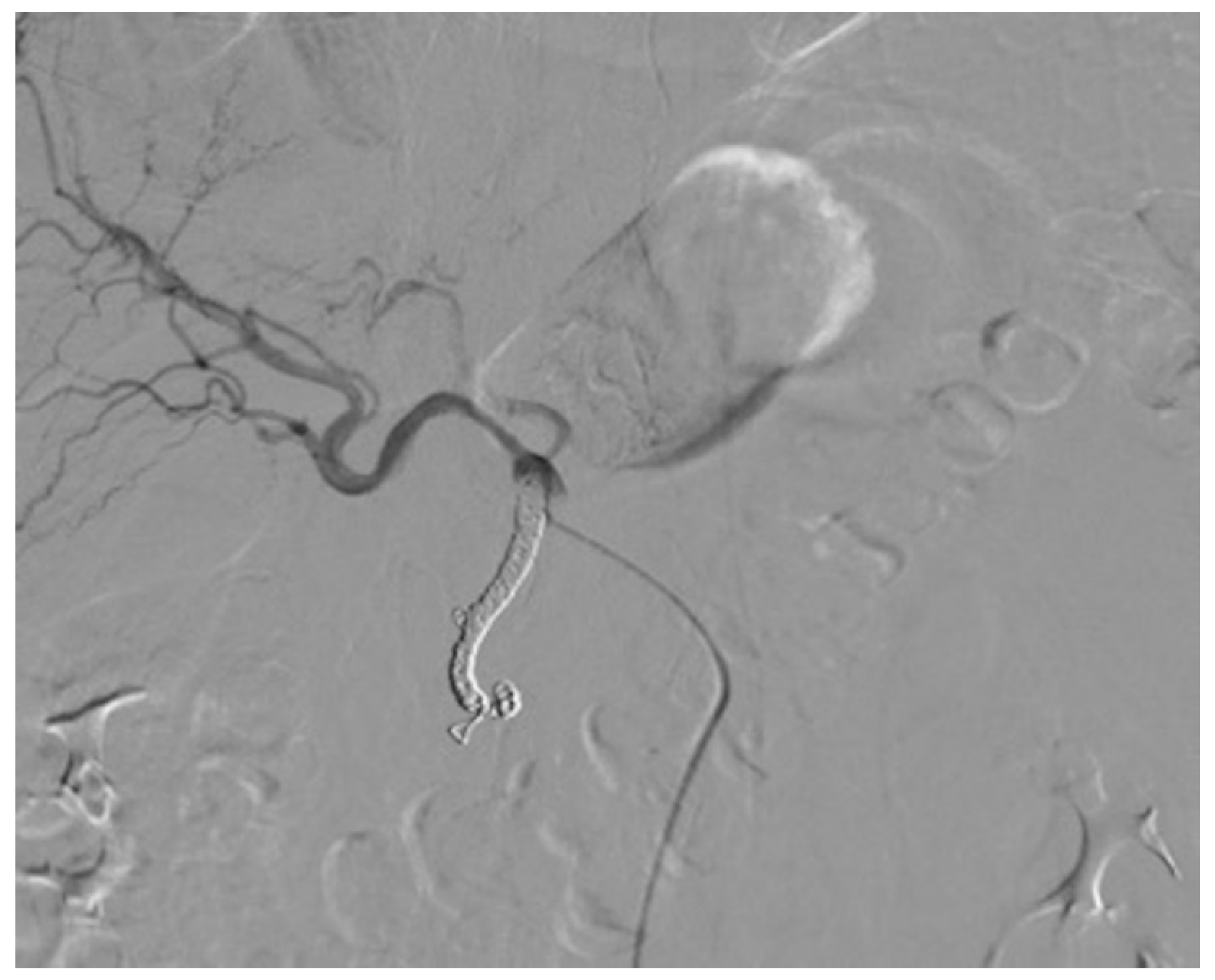
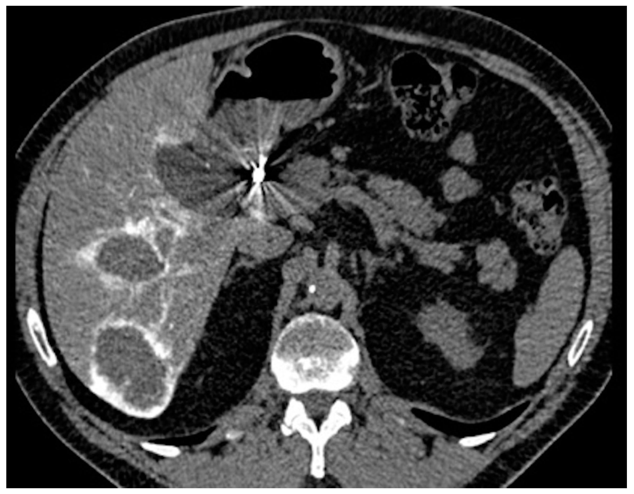
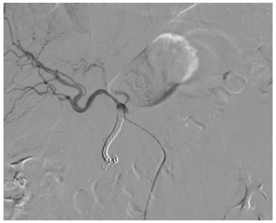
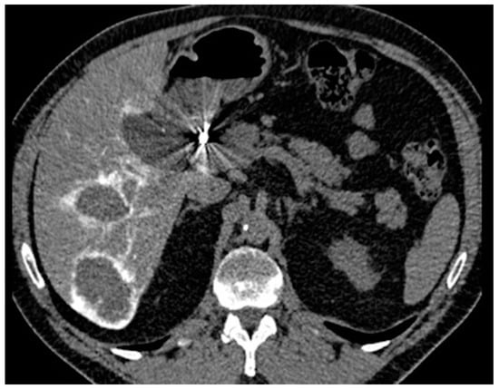
3.3. Complications
3.4. Clinical and Secondary Technical Success
4. Discussion
5. Conclusions
Author Contributions
Funding
Institutional Review Board Statement
Informed Consent Statement
Data Availability Statement
Acknowledgments
Conflicts of Interest
References
- Deschamps, F.; Rao, P.; Teriitehau, C.; Hakime, A.; Malka, D.; Boige, V.; Ducreux, M.; Elias, D.; Goere, D.; de Baere, T. Percutaneous femoral implantation of an arterial port catheter for intraarterial chemotherapy: Feasibility and predictive factors of long-term functionality. J. Vasc. Interv. Radiol. 2010, 21, 1681–1688. [Google Scholar] [CrossRef] [PubMed]
- Pellerin, O.; Geschwind, J.F. Intra-arterial treatment of liver metastases from colorectal carcinoma. J. Radiol. 2011, 92, 835–841. [Google Scholar] [CrossRef][Green Version]
- Grosso, M.; Scarrone, A.; Pedrazzini, F.; Priotto, R.; Testa, F.; Lingua, G.; Mondino, I.; Zanon, C. Intra-arterial hepatic chemotherapy: Management of liver tumors by percutaneous port-a-cath positioning. J. Exp. Clin. Cancer Res. 2003, 22, 171–175. [Google Scholar]
- Groot Koerkamp, B.; Sadot, E.; Kemeny, N.E.; Gönen, M.; Leal, J.N.; Allen, P.J.; Cercek, A.; DeMatteo, R.P.; Kingham, T.P.; Jarnagin, W.R.; et al. Perioperative hepatic arterial infusion pump chemotherapy is associated with longer survival after resection of colorectal liver metastases: A propensity score analysis. J. Clin. Oncol. 2017, 35, 1938–1944. [Google Scholar] [CrossRef]
- Herrmann, K.A.; Waggershauser, T.; Sittek, H.; Reiser, M.F. Liver intraarterial chemotherapy: Use of the femoral artery for percutaneous implantation of catheter-port systems. Radiology 2000, 215, 294–299. [Google Scholar] [CrossRef]
- Favelier, S.; Germain, T.; Genson, P.Y.; Cercueil, J.P.; Denys, A.; Krausé, D.; Guiu, B. Anatomy of liver arteries for interventional radiology. Diagn. Interv. Imaging 2015, 96, 537–546. [Google Scholar] [CrossRef]
- Barnett, K.T.; Malafa, M.P. Complications of hepatic artery infusion: A review of 4580 reported cases. Int. J. Gastrointest. Cancer 2001, 30, 147–160. [Google Scholar] [CrossRef]
- Tanaka, T.; Arai, Y.; Inaba, Y.; Matsueda, K.; Aramaki, T.; Takeuchi, Y.; Kichikawa, K. Radiologic placement of side-hole catheter with tip fixation for hepatic arterial infusion chemotherapy. J. Vasc. Interv. Radiol. 2003, 14, 63–68. [Google Scholar] [CrossRef]
- Zhu, A.L.; Liu, L.X.; Piao, D.X.; Lin, Y.X.; Zhao, J.P.; Jiang, H.C. Liver regional continuous chemotherapy: Use of femoral or subclavian artery for percutaneous implantation of catheter-port systems. World J. Gastroenterol. 2004, 10, 1659–1662. [Google Scholar] [CrossRef] [PubMed]
- Arai, Y.; Takeuchi, Y.; Inabba, Y.; Yamaura, H.; Sato, Y.; Aramaki, T.; Matsueda, K.; Seki, H. Percutaneous catheter placement for hepatic arterial infusion chemotherapy. Tech. Vasc. Interv. Radiol. 2007, 10, 30–37. [Google Scholar] [CrossRef]
- Sacks, D.; McClenny, T.E.; Cardella, J.F.; Lewis, C.A. Society of Interventional Radiology clinical practice guidelines. J. Vasc. Interv. Radiol. 2003, 14, S199–S202. [Google Scholar] [CrossRef]
- Allen, P.J.; Nissan, A.; Picon, A.I.; Kemeny, N.; Dudrick, P.; Ben-Porat, L.; Espat, J.; Stojadinovic, A.; Cohen, A.M.; Fong, Y.; et al. Technical complications and durability of hepatic artery infusion pumps for unresectable colorectal liver metastases: An institutional experience of 544 consecutive cases. J. Am. Coll. Surg. 2005, 201, 57–65. [Google Scholar] [CrossRef] [PubMed]
- Honoré, C.; Goéré, D.; Dumont, F.; Elias, D. Catheter placement for intra-arterial hepatic chemotherapy. J. Visc. Surg. 2012, 149, 389–394. [Google Scholar] [CrossRef]
- Jung, H.Y.; Shim, H.J.; Kwak, B.K.; Choi, Y.H.; Yoon, S.J.; Song, I.S.; Choi, Y.H.; Kim, Y.S.; Lee, J.B.; Lee, Y.C.; et al. Percutaneously implantable catheter-port system for chemotherapeutic infusion through the hepatic artery. AJR Am. J. Roentgenol. 1999, 172, 641–644. [Google Scholar] [CrossRef][Green Version]
- Irie, T. Intraarterial chemotherapy of liver metastases: Implantation of a microcatheter-port system with use of modified fixed catheter tip technique. J. Vasc. Interv. Radiol. 2001, 12, 1215–1218. [Google Scholar] [CrossRef]
- Habbe, T.G.; McCowan, T.C.; Goertzen, T.C.; Leveen, R.F.; Culp, W.C.; Tempero, M.A. Complications and technical limitations of hepatic arterial infusion catheter placement for chemotherapy. J. Vasc. Interv. Radiol. 1998, 9, 233–239. [Google Scholar] [CrossRef]
- Tajima, T.; Yoshimitsu, K.; Kuroiwa, T.; Ishibashi, T.; Irie, H.; Aibe, H.; Shinozaki, K.; Nishie, A.; Yabbuuchi, H.; Honda, H. Percutaneous femoral catheter placement for long-term chemotherapy infusions: Preliminary technical results. AJR Am. J. Roentgenol. 2005, 184, 906–914. [Google Scholar] [CrossRef]
- Venturini, M.; Angeli, E.; Salvioni, M.; De Cobelli, F.; Ronzoni, M.; Aldrighetti, L.; Stella, M.; Carlucci, M.; Staudacher, C.; Di Carlo, V.; et al. Complications after percutaneous transaxillary implantation of a catheter for intraarterial chemotherapy of liver tumors: Clinical relevance and management in 204 patients. AJR Am. J. Roentgenol. 2004, 182, 1417–1426. [Google Scholar] [CrossRef]
- Yamagami, T.; Iida, S.; Kato, T.; Tanaka, O.; Hirota, T.; Nakamura, T.; Nishimura, T. Using n-butyl cyanoacrylate and the fixed-catheter-tip technique in percutaneous implantation of a port-catheter system in patients undergoing repeated hepatic arterial chemotherapy. AJR Am. J. Roentgenol. 2002, 179, 1611–1617. [Google Scholar] [CrossRef]
- Yamagami, T.; Kato, T.; Iida, S.; Tanaka, O.; Nishimura, T. Value of transcatheter arterial embolization with coils and n-butyl cyanoacrylate for long-term hepatic arterial infusion chemotherapy. Radiology 2004, 230, 792–802. [Google Scholar] [CrossRef]
- Seki, H.; Ozaki, T.; Shiina, M. Side-hole catheter placement for hepatic arterial infusion chemotherapy in patients with liver metastases from colorectal cancer: Long-term treatment and survival benefit. AJR Am. J. Roentgenol. 2008, 190, 111–120. [Google Scholar] [CrossRef] [PubMed]
- Yamagami, T.; Kato, T.; Iida, S.; Hirota, T.; Nishimura, T. Management of end ole in placement of port-catheter system for continuous hepatic arterial infusion chemotherapy using the fixed catheter tip method. AJR Am. J. Roentgenol. 2005, 184, 1332–1339. [Google Scholar] [CrossRef] [PubMed]
- Kelly, R.J.; Kemeny, N.E.; Leonard, G.D. Current strategies using hepatic arterial infusion chemotherapy for the treatment of colorectal cancer. Clin. Colorectal Cancer 2005, 5, 166–174. [Google Scholar] [CrossRef] [PubMed]
- Goéré, D.; Pignon, J.P.; Gelli, M.; Elias, D.; Benhaim, L.; Deschamps, F.; Caramella, C.; Boige, V.; Ducreux, M.; de Baere, T.; et al. Postoperative hepatic arterial infusion chemotherapy in high-risk patients as adjuvant treatment after resection of colorectal liver metastases—A randomized phase II/III trial—PACHA –01 (NCT02494973). BMC Cancer 2018, 18, 787. [Google Scholar] [CrossRef] [PubMed]
- Levy, J.; Zuckerman, J.; Garfinkle, R.; Acuna, S.A.; Touchette, J.; Vanounou, T.; Pelletier, J.S. Intra-arterial therapies for unresectable and chemorefractory colorectal cancer liver metastases: A systematic review and meta-analysis. HBP Oxford 2018, 20, 905–915. [Google Scholar] [CrossRef]
- Zacharias, A.J.; Jayakrishnan, T.T.; Rajeev, R.; Rilling, W.S.; Thomas, J.P.; George, B.; Johnston, F.M.; Gamblin, T.C.; Turaga, K.K. Comparative effectiveness of hepatic artery based therapies for unresectable colorectal liver metastases: A meta-analysis. PLoS ONE 2015, 10, e0139940. [Google Scholar] [CrossRef]
- Sato, K.; Lewandowski, R.J.; Bui, J.T.; Omary, R.; Hunter, R.D.; Kulik, L.; Mulcahy, M.; Liu, D.; Chrisman, H.; Resnick, S.; et al. Treatment of unresectable primary and metastatic liver cancer with yttrium-90 microspheres (Therasphere): Assessment of hepatic arterial embolization. Cardiovasc. Interv. Radiol. 2006, 29, 522–529. [Google Scholar] [CrossRef]






| Variable | Mean ± SD (Range) or N (%) |
|---|---|
| Age, years | 58.3 ± 9.4 (40–80) |
| Sex | |
| Men | 30 (69.8) |
| Women | 13 (30.2) |
| Underlying malignancy | |
| Colorectal cancer | 30 (69.8) |
| Cholangiocarcinoma | 11 (25.6) |
| Ovarian cancer | 1 (2.3) |
| SCC of the anal canal | 1 (2.3) |
| Hepatic artery anatomy | |
| Classic celiac trunk | 30 (69.8) |
| RHA | 2 (4.7) |
| LHA | 4 (9.3) |
| RHA + LHA | 2 (4.7) |
| RHA + LHA + MHA | 1 (2.3) |
| Other variants | 4 (9.3) |
| Catheter-port implantation approach | |
| Technique 1 (free tip) | 16 (40) |
| Technique 2 (fixed tip) | 18 (45) |
| Technique 3 (back-up) | 6 (15) |
| Type of Complication | Overall | Early (<1 Month) | Late (>1 Month) |
|---|---|---|---|
| N (%) | N Overall/N Salvaged | N Overall/N Salvaged | |
| Minor complications | 4 (9.3) | 4/4 | 0/NA |
| Small groin hematoma | 3 (7.0) | 3/3 | 0/NA |
| Arterial dissection * | 1 (2.3) | 1/1 | 0/NA |
| Major complications | 6 (14.0) | 2/1 | 4/2 |
| Arterial thrombosis ** | 1 (2.3) | 1/0 | 0/NA |
| Port-site infection | 2 (4.7) | 0/NA | 2/1 |
| Gastrointestinal ulcer | 2 (4.7) | 0/NA | 2/1 |
| Major groin hematoma *** | 1 (2.3) | 1/1 | 0/NA |
| Pump & catheter malfunction | 22 (51.2) | 15/12 | 7/4 |
| Occlusion | 2 (4.7) | 0/0 | 2/1 |
| Migration | 7 (16.3) | 7/6 | 0/NA |
| Extrahepatic perfusion | 13 (30.2) | 8/6 | 5/3 |
| Procedure-related mortality | 0 (0) | 0/NA | 0/NA |
| Variable | N (%) |
|---|---|
| Revision rate by procedure type | 13/40 (32.5) |
| One-stage procedure | 9/25 (36.0) |
| Two-stage procedure | 4/15 (26.7) |
| Migration rate by technique | 7/40 (17.5) |
| Technique 1 | 6/16 (37.5) |
| Technique 2 | 1/18 (5.6) |
| Technique 3 | 0/6 (0) |
Publisher’s Note: MDPI stays neutral with regard to jurisdictional claims in published maps and institutional affiliations. |
© 2021 by the authors. Licensee MDPI, Basel, Switzerland. This article is an open access article distributed under the terms and conditions of the Creative Commons Attribution (CC BY) license (http://creativecommons.org/licenses/by/4.0/).
Share and Cite
Chevallier, O.; Mvouama, S.; Pellegrinelli, J.; Guillen, K.; Manfredi, S.; Ghiringhelli, F.; Falvo, N.; Midulla, M.; Loffroy, R. Percutaneous Implantation of a Microcatheter-Port System for Hepatic Arterial Infusion Chemotherapy of Unresectable Liver Tumors: Technical Feasibility, Functionality, and Complications. Diagnostics 2021, 11, 399. https://doi.org/10.3390/diagnostics11030399
Chevallier O, Mvouama S, Pellegrinelli J, Guillen K, Manfredi S, Ghiringhelli F, Falvo N, Midulla M, Loffroy R. Percutaneous Implantation of a Microcatheter-Port System for Hepatic Arterial Infusion Chemotherapy of Unresectable Liver Tumors: Technical Feasibility, Functionality, and Complications. Diagnostics. 2021; 11(3):399. https://doi.org/10.3390/diagnostics11030399
Chicago/Turabian StyleChevallier, Olivier, Ségolène Mvouama, Julie Pellegrinelli, Kévin Guillen, Sylvain Manfredi, François Ghiringhelli, Nicolas Falvo, Marco Midulla, and Romaric Loffroy. 2021. "Percutaneous Implantation of a Microcatheter-Port System for Hepatic Arterial Infusion Chemotherapy of Unresectable Liver Tumors: Technical Feasibility, Functionality, and Complications" Diagnostics 11, no. 3: 399. https://doi.org/10.3390/diagnostics11030399
APA StyleChevallier, O., Mvouama, S., Pellegrinelli, J., Guillen, K., Manfredi, S., Ghiringhelli, F., Falvo, N., Midulla, M., & Loffroy, R. (2021). Percutaneous Implantation of a Microcatheter-Port System for Hepatic Arterial Infusion Chemotherapy of Unresectable Liver Tumors: Technical Feasibility, Functionality, and Complications. Diagnostics, 11(3), 399. https://doi.org/10.3390/diagnostics11030399

