Renal Tumors with Oncocytic and Papillary Features: A Phenotypic and Genotypic Study
Abstract
1. Introduction
2. Material and Methods
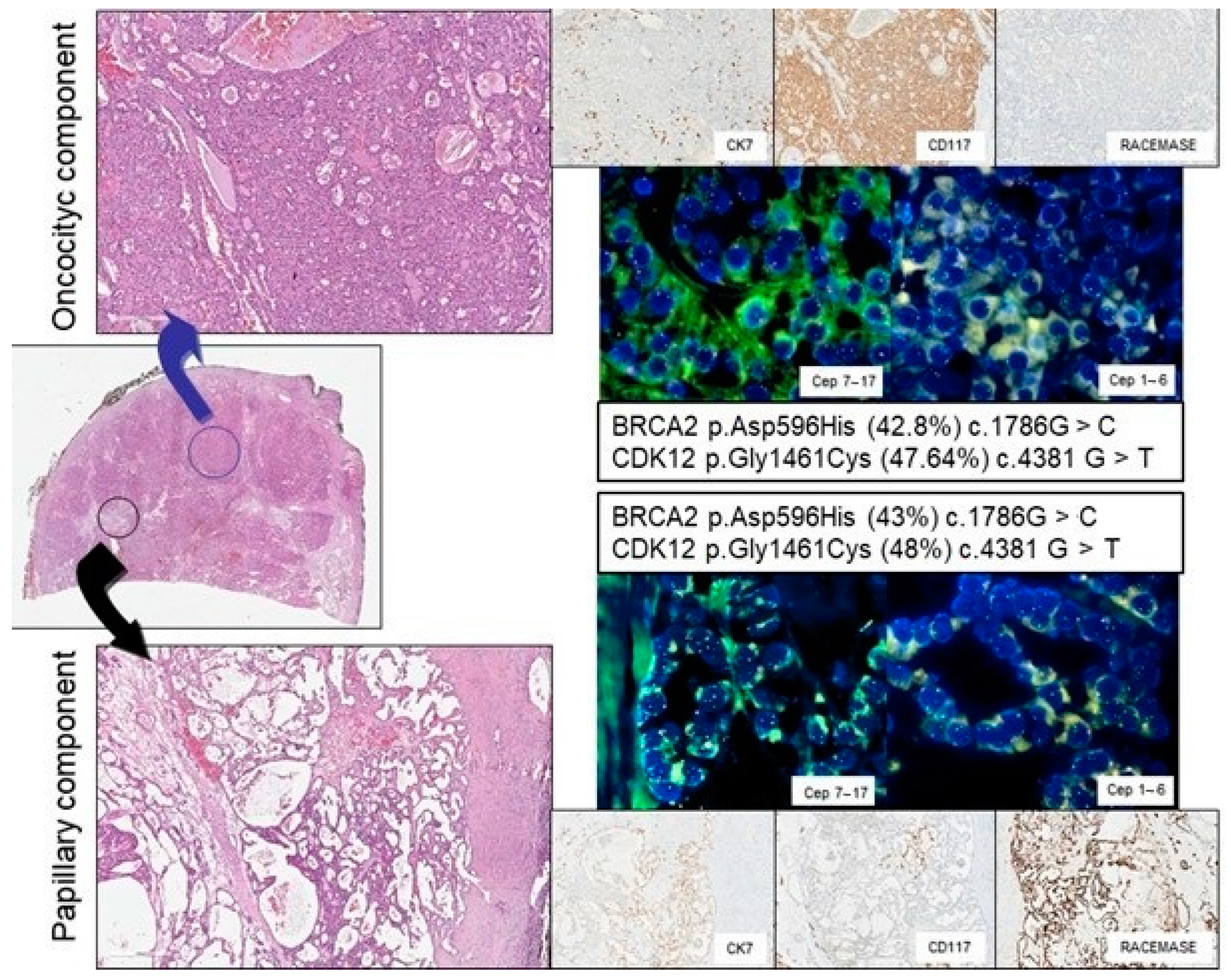
3. Results
4. Discussion
Author Contributions
Funding
Institutional Review Board Statement
Informed Consent Statement
Data Availability Statement
Conflicts of Interest
References
- Moch, H.; Humphrey, P.A.; Ulbright, T.M.; Reuter, V.E. WHO Classification of Tumours of the Urinary System and Male Genital Organs; International Agency for Research on Cancer (IARC): Lyon, France, 2016; pp. 11–43. [Google Scholar]
- Giunchi, F.; Fiorentino, M.; Vagnoni, V.; Capizzi, E.; Bertolo, R.; Porpiglia, F.; Vatrano, S.; Tamberi, S.; Schiavina, R.; Papotti, M.; et al. Re-nal oncocytosis: A clinicopathological and cytogenetic study of 42 tumours occurring in 11 patients. Pathology 2016, 48, 41–46. [Google Scholar] [CrossRef] [PubMed]
- Moch, H.; Cubilla, A.L.; Humphrey, P.A.; Reuter, V.E.; Ulbright, T.M. The 2016 WHO Classification of Tumours of the Urinary System and Male Genital Organs—Part A: Renal, Penile, and Testicular Tumours. Eur. Urol. 2016, 70, 93–105. [Google Scholar] [CrossRef] [PubMed]
- Goyal, R.; Parwani, A.; Gellert, L.; Hameed, O.; Giannico, G.A. A Collision Tumor of Papillary Renal Cell Carcinoma and Oncocytoma: Case Report and Literature Review. Am. J. Clin. Pathol. 2015, 144, 811–816. [Google Scholar] [CrossRef] [PubMed]
- McCroskey, Z.; Sim, S.J.; Selzman, A.A.; Ayala, A.G.; Ro, J.Y. Primary collision tumors of the kidney composed of oncocytoma and papil-lary renal cell carcinoma: A review. Ann. Diagn. Pathol. 2017, 29, 32–36. [Google Scholar] [CrossRef] [PubMed]
- Bulte, C.A.; Hoegler, K.M.; Khachemoune, A. Collision tumors: A review of their types, pathogenesis, and diagnostic challenges. Dermatol. Ther. 2020, 33. [Google Scholar] [CrossRef] [PubMed]
- Williamson, S.R.; Cheng, L.; Gadde, R.; Giannico, G.A.; Wasco, M.J.; Smith, P.J.T.; Gupta, N.S.; Grignon, D.J.; Jorda, M.; Kryvenko, O.N. Re-nal cell tumors with an entrapped papillary component: A collision with predilection for oncocytic tumors. Virchows Arch. 2020, 476, 399–407. [Google Scholar] [CrossRef] [PubMed]
- Kattar, M.M.; Grignon, D.J.; Wallis, T.; Haas, G.P.; Sakr, W.A.; Pontes, J.E.; Visscher, D.W. Clinicopathologic and interphase cytogenetic analysis of papillary (chromophilic) renal cell carcinoma. Mod. Pathol. 1997, 10, 1143–1150. [Google Scholar] [PubMed]
- Srigley, J.R.; Delahunt, B.; Eble, J.N.; Egevad, L.; Epstein, J.I.; Grignon, D.; Hes, O.; Holger, M.; Rodolfo, M.; Tickoo, S.; et al. The International Society of Urological Pathology (ISUP) Vancouver Classification of Renal Neoplasia. Am. J. Surg. Pathol. 2013, 37, 1469–1489. [Google Scholar] [CrossRef]
- Reuter, V.E.; Argani, P.; Zhou, M.; Delahunt, B.; Members of the ISUP Immunohistochemistry in Diagnostic Urologic Pathology Group. Best practices recommendations in the application of immunohistochemistry in the kidney tumors: Report from the Interna-tional Society of Urologic Pathology consensus conference. Am. J. Surg. Pathol. 2014, 38, e35–e49. [Google Scholar] [CrossRef] [PubMed]
- Zhang, Z.; Min, J.; Yu, D.; Shi, H.; Xie, D. Renal collision tumour of papillary cell carcinoma and chromophobe cell carcinoma with sar-comatoid transformation: A case report and review of the literature. Can. Urol. Assoc. J. 2014, 8, E536–E539. [Google Scholar] [PubMed]
- Anani, W.; Amin, M.; Pantanowitz, L.; Parwani, A.V. A series of collision tumors in the genitourinary tract with a review of the litera-ture. Pathol. Res. Pract. 2014, 210, 217–223. [Google Scholar] [CrossRef] [PubMed]
- Gurzu, S.; Banias, L.; Bara, T.; Feher, I.; Bara, T., Jr.; Jung, I. The Epithelial-Mesenchymal Transition Pathway in Two Cases with Gastric Me-tastasis Originating from Breast Carcinoma, One with a Metachronous Primary Gastric Cancer. Recent. Pat. Anti. Cancer Drug Discov. 2018, 13, 118–124. [Google Scholar] [CrossRef] [PubMed]
- Yamada, R.; Tonooka, A.; Horiguchi, S.-I.; Motoi, T.; Horio, H.; Hishima, T. An unusual case of pulmonary hamartoma with predominant bronchial mucous glands in the peripheral lung. Pathol. Int. 2018, 68, 431–435. [Google Scholar] [CrossRef] [PubMed]
- Rewsuwan, S.; Satabongkoch, N.; Suprasert, P.; Khunamornpong, S. Ovarian Carcinosarcoma and Its Association with Mature Cystic Teratoma and Primary Tubal Carcinoma. Case Rep. Pathol. 2016, 2016, 1–5. [Google Scholar] [CrossRef] [PubMed]
- Brunelli, M.; Eble, J.N.; Zhang, S.; Martignoni, G.; Cheng, L. Metanephric adenoma lacks the gains of chromosomes 7 and 17 and loss of Y that are typical of papillary renal cell carcinoma and papillary adenoma. Mod Pathol. 2003, 16, 1060–1063. [Google Scholar] [CrossRef] [PubMed][Green Version]
- Giunchi, F.; Franceschini, T.; Gruppioni, E.; Altimari, A.; Capizzi, E.; Massari, F.; Schiavina, R.; Brunelli, M.; Martignoni, G.; Fiorentino, M. Similarities and Differences between Clear Cell Tubulo-Papillary and Conventional Clear Cell Renal Cell Carcinoma: A Comparative Phenotypical and Mutational Analysis. Diagnostics 2020, 10, 123. [Google Scholar] [CrossRef] [PubMed]

| Case | Sex | Age | Size | Side |
|---|---|---|---|---|
| 1 | M | 66 | 3.5 cm | left kidney |
| 2 | F | 42 | 3 cm | right kidney |
| 3 | F | 49 | 2.5 cm | left kidney |
| 4 | F | 80 | NA | right kidney |
| 5 | M | 45 | 3 cm | right kidney |
| 6 | M | 68 | 2.6 cm | right kidney |
| 7 | M | 49 | 2.6 cm | left kidney |
| 8 | M | 56 | 8 cm | left kidney |
| 9 | F | 65 | 3 cm | right kidney |
| 10 | F | 56 | 6 cm | right kidney |
| 11 | M | 72 | 3 cm | right kidney |
| Case | Histology | IHC | FISH Profile | Mutated Genes at NGS |
|---|---|---|---|---|
| 1 | Oncocytoma | CK7(−) AMACR(−) CD117(+) | Disomy | BRCA2 and CDK12 |
| Papillary | CK7(+) AMACR(+) CD117(−) | Gain 7 | BRCA2 and CDK12 | |
| 2 | HOT | CK7(−) AMACR(−) CD117(+) | Disomy | NA |
| Papillary | CK7(+) AMACR(+) CD117(−) | Disomy | ||
| 3 | Oncocytoma | CK7(−) AMACR(−) CD117(+) | Disomy | NBN and MRE11 |
| Papillary | CK7(+) AMACR(+) CD117(-) | Disomy | NBN and MRE11 | |
| 4 | HOT | CK7(−) AMACR(−) CD117(+) | Disomy | No geneticvariants |
| Papillary | CK7(+) AMACR(+) CD117(−) | Disomy | No geneticvariants | |
| 5 | Oncocytoma | CK7(−) AMACR(−) CD117(+) | Disomy | CCND2, FANCI; FGFR4, RNF43 |
| Papillary | CK7(+) AMACR(+) CD117(−) | Gain 7 and 17 | CCND2, FANCI; FGFR4, RNF43 | |
| 6 | Oncocytoma | CK7(−) AMACR(−) CD117(+) | Disomy | NA |
| Papillary | CK7(+) AMACR(+) CD117(−) | Disomy | ||
| 7 | HOT | CK7(−) AMACR(−) CD117(+) | Loss 1 and 6 | NA |
| Papillary | CK7(+) AMACR(+) CD117(−) | Loss 1 and 6 | ||
| 8 | HOT | CK7(−) AMACR(−) CD117(+) | Disomy | MET, SLX4 |
| Papillary | CK7(+) AMACR(+) CD117(−) | Disomico | MET, SLX4 | |
| 9 | HOT | CK7(−) AMACR(−) CD117(+) | Disomy | No genetic variants |
| Papillary | CK7(+) AMACR(+) CD117(−) | Gain 7 and 17 | No genetic variants | |
| 10 | HOT | CK7(−) AMACR(−) CD117(+) | Gain 1 | ERCC2, RNF43 |
| Papillary | CK7(+) AMACR(+) CD117(−) | Gain 1 | ERCC2, RNF43 | |
| 11 | Oncocytoma | CK7(−) AMACR(−) CD117(+) | Disomy | NA |
| Papillary | CK7(+) AMACR(+) CD117(−) | Disomy |
Publisher’s Note: MDPI stays neutral with regard to jurisdictional claims in published maps and institutional affiliations. |
© 2021 by the authors. Licensee MDPI, Basel, Switzerland. This article is an open access article distributed under the terms and conditions of the Creative Commons Attribution (CC BY) license (http://creativecommons.org/licenses/by/4.0/).
Share and Cite
Franceschini, T.; Giunchi, F.; Mollica, V.; Altimari, A.; Capizzi, E.; Banfi, M.; Schiavina, R.; Fiorentino, M.; Massari, F. Renal Tumors with Oncocytic and Papillary Features: A Phenotypic and Genotypic Study. Diagnostics 2021, 11, 184. https://doi.org/10.3390/diagnostics11020184
Franceschini T, Giunchi F, Mollica V, Altimari A, Capizzi E, Banfi M, Schiavina R, Fiorentino M, Massari F. Renal Tumors with Oncocytic and Papillary Features: A Phenotypic and Genotypic Study. Diagnostics. 2021; 11(2):184. https://doi.org/10.3390/diagnostics11020184
Chicago/Turabian StyleFranceschini, Tania, Francesca Giunchi, Veronica Mollica, Annalisa Altimari, Elisa Capizzi, Mattia Banfi, Riccardo Schiavina, Michelangelo Fiorentino, and Francesco Massari. 2021. "Renal Tumors with Oncocytic and Papillary Features: A Phenotypic and Genotypic Study" Diagnostics 11, no. 2: 184. https://doi.org/10.3390/diagnostics11020184
APA StyleFranceschini, T., Giunchi, F., Mollica, V., Altimari, A., Capizzi, E., Banfi, M., Schiavina, R., Fiorentino, M., & Massari, F. (2021). Renal Tumors with Oncocytic and Papillary Features: A Phenotypic and Genotypic Study. Diagnostics, 11(2), 184. https://doi.org/10.3390/diagnostics11020184

