One Step Histological Detection and Staining of the PTEN Tumor Suppressor Protein by a Single Strand DNA
Abstract
1. Introduction
2. Materials and Methods
2.1. Reagents and Preparation
2.2. Preparation of DNA Oligomer Stock Solution
2.3. Tissue Specimens
2.4. Tissue Preparation
2.5. Immunohistochemistry
2.6. Histochemistry
2.7. Peroxidase Development
2.8. Mounting Tissue Sections
3. Results
3.1. Addition of the PS2.M DNAzyme to the 5′ End of Single Strand DNA Maintains Its Peroxidase Activity
3.2. PTENz7-87 Aptamer Detects PTEN Protein in Human Endometrium Histological Sections
3.3. The Dual DNAzyme/Aptamer Recognizes and Stain PTEN Protein in the Mouse Cerebellum in One Step
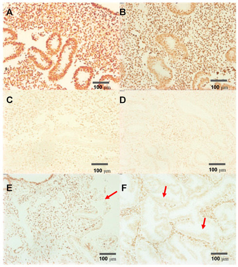
3.4. The Dual DNAzyme/Aptamer without the Stem Linker Simultaneously Recognize and Stain PTEN Protein in Colon and Endometrial Cancer
4. Discussion
5. Conclusions
Author Contributions
Funding
Institutional Review Board Statement
Informed Consent Statement
Data Availability Statement
Acknowledgments
Conflicts of Interest
References
- Colas, P.; Cohen, B.; Jessen, T.; Grishina, I.; McCoy, J.; Brent, R. Genetic selection of peptide aptamers that recognize and inhibit cyclin-dependent kinase 2. Nature 1996, 380, 548–550. [Google Scholar] [CrossRef] [PubMed]
- Keefe, A.D.; Pai, S.; Ellington, A. Aptamers as therapeutics. Nat. Rev. Drug Discov. 2010, 9, 537–550. [Google Scholar] [CrossRef] [PubMed]
- Lee, J.F.; Stovall, G.M.; Ellington, A.D. Aptamer therapeutics advance. Curr. Opin. Chem. Biol. 2006, 10, 282–289. [Google Scholar] [CrossRef] [PubMed]
- Romero-López, C.; Berzal-Herranz, A. Aptamers: Biomedical Interest and Applications. Pharmaceuticals 2017, 10, 32. [Google Scholar] [CrossRef]
- Xu, W.; Ellington, A.D. Anti-Peptide aptamers recognize amino acid sequence and bind a protein epitope. Proc. Natl. Acad. Sci. USA 1996, 93, 7475–7480. [Google Scholar] [CrossRef] [PubMed]
- Ellington, A.D.; Szostak, J.W. In vitro selection of RNA molecules that bind specific ligands. Nature 1990, 346, 818–822. [Google Scholar] [CrossRef]
- Tuerk, C.; Gold, L. Systematic evolution of ligands by exponential enrichment: RNA ligands to bacteriophage T4 DNA polymerase. Science 1990, 249, 505–510. [Google Scholar] [CrossRef]
- Jayasena, S.D. Aptamers: An emerging class of molecules that rival antibodies in diagnostics. Clin. Chem. 1999, 45, 1628–1650. [Google Scholar] [CrossRef]
- Radrizzani, M.; Broccardo, M.; González Solveyra, C.; Bianchini, M.; Reyes, G.B.; Cafferata, E.G.; Santa-Coloma, T.A. Oligobodies: Bench made synthetic antibodies. Medicina 1999, 59, 753–758. [Google Scholar]
- Radrizzani, M.; Brocardo, M.G.; Gonzalez Solveyra, C.; Bianchini, M.; Reyes, G.B.; Cafferata, E.G.; Vilá Ortiz, G.; Santa-Coloma, T.A. Development of monoclonal oligobodies and chemically synthesized oligobodies. Medicina 2000, 60, 55–60. [Google Scholar]
- Blank, M.; Weinschenk, T.; Priemer, M.; Schluesener, H. Systematic evolution of a DNA aptamer binding to rat brain tumor microvessels. selective targeting of endothelial regulatory protein pigpen. J. Biol. Chem. 2001, 276, 16464–16468. [Google Scholar] [CrossRef] [PubMed]
- Ferreira, C.S.; Matthews, C.S.; Missailidis, S. DNA aptamers that bind to MUC1 tumour marker: Design and characterization of MUC1-binding single-stranded DNA aptamers. Tumour Biol. 2006, 27, 289–301. [Google Scholar] [CrossRef] [PubMed]
- Costanzo, R.V.; Vilá-Ortíz, G.J.; Perandones, C.; Carminatti, H.; Matilla, A.; Radrizzani, M. Anp32e/Cpd1 regulates protein phosphatase 2A activity at synapses during synaptogenesis. Eur. J. Neurosci. 2006, 23, 309–324. [Google Scholar] [CrossRef] [PubMed]
- Radrizzani, M.; Vilá-Ortiz, G.; Cafferata, E.G.; Di Tella, M.C.; González-Guerrico, A.; Perandones, C.; Pivetta, O.H.; Carminatti, H.; Idoyaga Vargas, V.P.; Santa-Coloma, T.A. Differential expression of CPD1 during postnatal development in the mouse cerebellum. Brain Res. 2001, 907, 162–174. [Google Scholar] [CrossRef]
- Bianchini, M.; Radrizzani, M.; Brocardo, M.G.; Reyes, G.B.; Gonzalez Solveyra, C.; Santa-Coloma, T.A. Specific oligobodies against ERK-2 that recognize both the native and the denatured state of the protein. J. Immunol. Methods 2001, 252, 191–197. [Google Scholar] [CrossRef]
- Zeng, Z.; Zhang, P.; Zhao, N.; Sheehan, A.M.; Tung, C.H.; Chang, C.C.; Zu, Y. Using oligonucleotide aptamer probes for immunostaining of formalin-fixed and paraffin-embedded tissues. Mod. Pathol. 2010, 23, 1553–1558. [Google Scholar] [CrossRef]
- Travascio, P.; Li, Y.; Sen, D. DNA-Enhanced peroxidase activity of a DNA-aptamer-hemin complex. Chem. Biol. 1998, 5, 505–517. [Google Scholar] [CrossRef]
- Nakayama, S.; Wang, J.; Sintim, H.O. DNA-Based peroxidation catalyst—What is the exact role of topology on catalysis and is there a special binding site for catalysis? Chemistry 2011, 17, 5691–5698. [Google Scholar] [CrossRef]
- Gribas, A.V.; Korolev, S.P.; Zatsepin, T.S.; Gottikh, M.B.; Sakharov, I.Y. Structure-Activity relationship study for design of highly active covalent peroxidase-mimicking DNAzyme. RSC Adv. 2015, 5, 51672–51677. [Google Scholar] [CrossRef]
- Wang, Z.; Zhao, J.; Bao, J.; Dai, Z. Construction of Metal-Ion-Free G-quadruplex-Hemin DNAzyme and Its Application in S1 Nuclease Detection. ACS Appl. Mater. Interfaces 2016, 8, 827–833. [Google Scholar] [CrossRef]
- Thirstrup, D.; Baird, G.S. Histochemical application of a peroxidase DNAzyme with a covalently attached hemin cofactor. Anal. Chem. 2010, 82, 2498–2504. [Google Scholar] [CrossRef] [PubMed]
- Carnero, A. The PKB/AKT pathway in cancer. Curr. Pharm. Des. 2010, 16, 34–44. [Google Scholar] [CrossRef] [PubMed]
- Carracedo, A.; Pandolfi, P.P. The PTEN-PI3K pathway: Of feedbacks and cross-talks. Oncogene 2008, 27, 5527–5541. [Google Scholar] [CrossRef] [PubMed]
- Li, J.; Yen, C.; Liaw, D.; Podsypanina, K.; Bose, S.; Wang, S.I.; Puc, J.; Miliaresis, C.; Rodgers, L.; McCombie, R.; et al. PTEN, a putative protein tyrosine phosphatase gene mutated in human brain, breast, and prostate cancer. Science 1997, 275, 1943–1947. [Google Scholar] [CrossRef] [PubMed]
- Stavropoulos, A.; Varras, M.; Vasilakaki, T.; Varra, V.K.; Tsavari, A.; Varra, F.N.; Nonni, A.; Kavantzas, N.; Lazaris, A.C. Expression of p53 and PTEN in human primary endometrial carcinomas: Clinicopathological and immunohistochemical analysis and study of their concomitant expression. Oncol. Lett. 2019, 17, 4575–4589. [Google Scholar] [CrossRef] [PubMed]
- Mutter, G.L.; Lin, M.C.; Fitzgerald, J.T.; Kum, J.B.; Baak, J.P.; Lees, J.A.; Weng, L.P.; Eng, C. Altered PTEN expression as a diagnostic marker for the earliest endometrial precancers. J. Natl. Cancer Inst. 2000, 92, 924–930. [Google Scholar] [CrossRef]
- Moncalero, V.L.; Costanzo, R.V.; Perandones, C.; Radrizzani, M. Different conformations of phosphatase and tensin homolog, deleted on chromosome 10 (PTEN) protein within the nucleus and cytoplasm of neurons. PLoS ONE 2011, 6, e18857. [Google Scholar] [CrossRef]
- Perandones, C.; Costanzo, R.V.; Kowaljow, V.; Pivetta, O.H.; Carminatti, H.; Radrizzani, M. Correlation between synaptogenesis and the PTEN phosphatase expression in dendrites during postnatal brain development. Brain Res. Mol. Brain Res. 2004, 128, 8–19. [Google Scholar] [CrossRef]
- Ferapontova, E.E.; Olsen, E.M.; Gothelf, K.V. An RNA aptamer-based electrochemical biosensor for detection of theophylline in serum. J. Am. Chem. Soc. 2008, 130, 4256–4258. [Google Scholar] [CrossRef]
- Álvarez-Martos, I.; Ferapontova, E.E. Electrochemical Label-Free Aptasensor for Specific Analysis of Dopamine in Serum in the Presence of Structurally Related Neurotransmitters. Anal. Chem. 2016, 88, 3608–3616. [Google Scholar] [CrossRef] [PubMed]
- Zhang, C.; Zhang, H.; Wu, P.; Zhang, X.; Liu, J. Suppressing the background activity of hemin for boosting the sensitivity of DNAzyme-based biosensors by SYBR Green, I. Biosens. Bioelectron. 2020, 169, 112603. [Google Scholar] [CrossRef] [PubMed]
- Murali, R.; Soslow, R.A.; Weigelt, B. Classification of endometrial carcinoma: More than two types. Lancet Oncol. 2014, 15, e268–e278. [Google Scholar] [CrossRef]
- Veta, M.; Pluim, J.P.; van Diest, P.J.; Viergever, M.A. Breast cancer histopathology image analysis: A review. IEEE Trans. Biomed. Eng. 2014, 61, 1400–1411. [Google Scholar] [CrossRef] [PubMed]
- Sidransky, D. Emerging molecular markers of cancer. Nat. Rev. Cancer 2002, 2, 210–219. [Google Scholar] [CrossRef] [PubMed]





| Aptamer | Sequence |
|---|---|
| Dual 5′ Aptazyme PTENz14 106 | 5′-GTGGGTAGGGCGGGTTGGCCGGAATTCCGAGCGTGGGCGTGAGCCCTAAACACAAGTCCGCAGGGGTGTGGTAATATTCGCAGTTGTGTGTACGCCCACGCTCGAG-3′ |
| PTENz7 87-biotin | Biotin 5′-CGGAATTCCGAGCGTGGGCGTGGTCATACCGCGCCTATCGAACTCGCCACTCGCGTGCAGCTCTGTGTAGGTACGCCCACGCTCGAG-3′ |
| Dual 5′Aptazyme PTENz7 106 | 5′-GTGGGTAGGGCGGGTTGGCCGGAATTCCGAGCGTGGGCGTGGTCATACCGCGCCTATCGAACTCGCCACTCGCGTGCAGCTCTGTGTAGGTACGCCCACGCTCGAG-3′ |
| Dual 3′Aptazyme PTENz7 106 | 5′-CGGAATTCCGAGCGTGGGCGTGGTCATACCGCGCCTATCGAACTCGCCACTCGCGTGCAGCTCTGTGTAGGTACGCCCACGCTCGAGCGTGGGTAGGGCGGGTTGG-3′ |
| dual Aptazyme-PTENz7 70 | 5′-GTGGGTAGGGCGGGTTGGCGGTCATACCGCGCCTATCGAACTCGCCACTCGCGTGCAGCTCTGTGTAGGT-3′ |
| PTENz7 51-biotin | Biotin 5′-GGTCATACCGCGCCTATCGAACTCGCCACTCGCGTGCAGCTCTGTGTAGGT-3′ |
| PS2.M-H1 | 5′-GTGGGTAGGGCGGGTTGGCCGGAATTCCGAGCGTGGGCGT-3 |
| PTEN | Typical Hyperplasia n = 18 | Atypical Hyperplasia n = 24 | Adenocarcinoma n = 18 | ||||||
|---|---|---|---|---|---|---|---|---|---|
| stain | + | +/− | − | + | +/− | − | + | +/− | − |
| PTENz7-70 | 10 | 6 | 2 | 7 | 11 | 6 | - | 3 | 15 |
| MAb-6 H2 | 10 | 6 | 2 | 7 | 11 | 6 | - | 3 | 15 |
Publisher’s Note: MDPI stays neutral with regard to jurisdictional claims in published maps and institutional affiliations. |
© 2021 by the authors. Licensee MDPI, Basel, Switzerland. This article is an open access article distributed under the terms and conditions of the Creative Commons Attribution (CC BY) license (http://creativecommons.org/licenses/by/4.0/).
Share and Cite
Longinotti, G.; Ybarra, G.; Vighi, S.; Perandones, C.; Montserrat, J.; Yakisich, J.S.; Grasselli, M.; Radrizzani, M. One Step Histological Detection and Staining of the PTEN Tumor Suppressor Protein by a Single Strand DNA. Diagnostics 2021, 11, 171. https://doi.org/10.3390/diagnostics11020171
Longinotti G, Ybarra G, Vighi S, Perandones C, Montserrat J, Yakisich JS, Grasselli M, Radrizzani M. One Step Histological Detection and Staining of the PTEN Tumor Suppressor Protein by a Single Strand DNA. Diagnostics. 2021; 11(2):171. https://doi.org/10.3390/diagnostics11020171
Chicago/Turabian StyleLonginotti, Gloria, Gabriel Ybarra, Susana Vighi, Claudia Perandones, Javier Montserrat, Juan Sebastian Yakisich, Mariano Grasselli, and Martin Radrizzani. 2021. "One Step Histological Detection and Staining of the PTEN Tumor Suppressor Protein by a Single Strand DNA" Diagnostics 11, no. 2: 171. https://doi.org/10.3390/diagnostics11020171
APA StyleLonginotti, G., Ybarra, G., Vighi, S., Perandones, C., Montserrat, J., Yakisich, J. S., Grasselli, M., & Radrizzani, M. (2021). One Step Histological Detection and Staining of the PTEN Tumor Suppressor Protein by a Single Strand DNA. Diagnostics, 11(2), 171. https://doi.org/10.3390/diagnostics11020171

