Ephrin Receptors (Ephs) Expression in Thymic Epithelial Tumors: Prognostic Implications and Future Therapeutic Approaches
Abstract
1. Introduction
2. Materials and Methods
2.1. Patient Material Collection and Patient Characteristics
2.2. TMA Construction
2.3. Immunohistochemistry Procedure and Evaluation
2.4. Statistical Correlations
2.5. Evaluation of Eph Expression in Normal Thymus
3. Results
3.1. Eph Receptors Type A
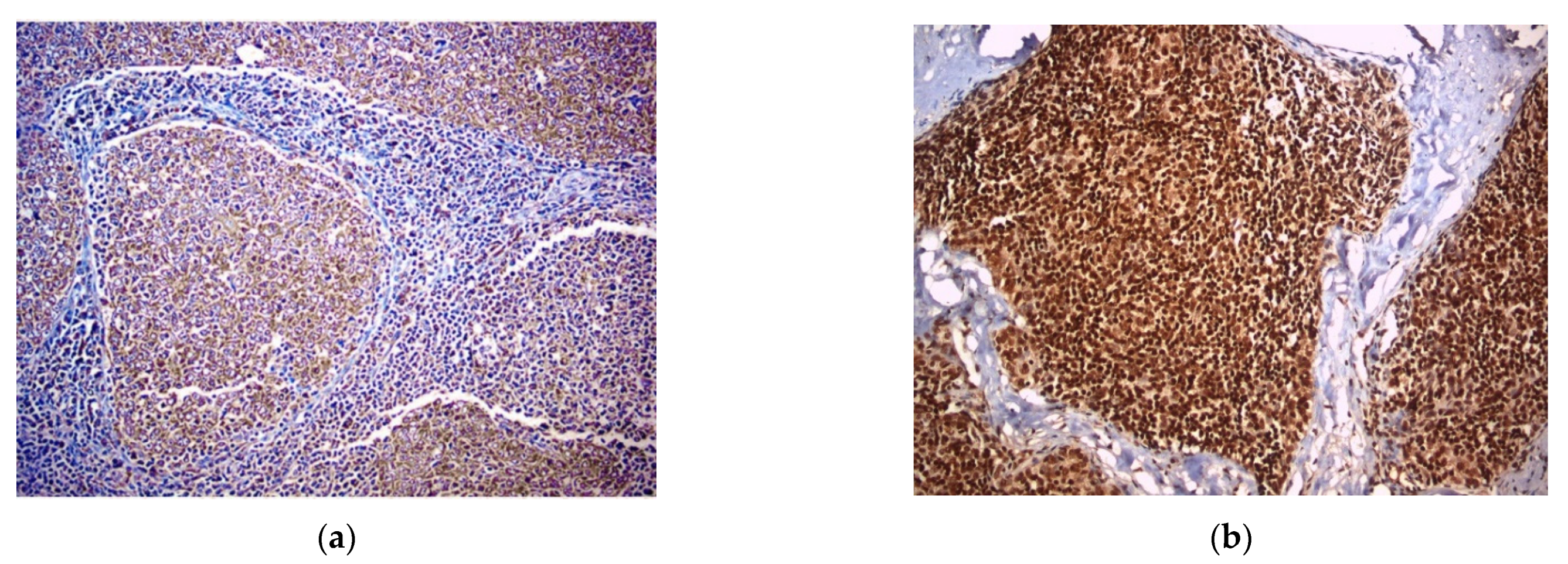
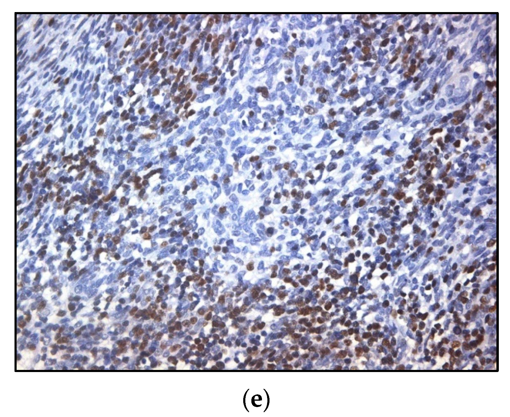
3.1.1. Subcellular Topography
3.1.2. Expression Levels
3.1.3. Clinicopathological Correlations
3.2. Eph Receptors Type B
3.2.1. Subcellular Topography
3.2.2. Expression Levels
3.2.3. Clinicopathological Correlations
3.3. Eph Expression in Normal Thymus
4. Discussion
5. Conclusions
Author Contributions
Funding
Institutional Review Board Statement
Informed Consent Statement
Data Availability Statement
Conflicts of Interest
References
- Rashid, O.M.; Cassano, A.D.; Takabe, K. Thymic Neoplasm: A Rare Disease with a Complex Clinical Presentation. J. Thorac. Dis. 2013, 5, 173–183. [Google Scholar] [CrossRef] [PubMed]
- Morgenthaler, T.I.; Brown, L.R.; Colby, T.V.; Harper, C.M.J.; Coles, D.T. Thymoma. Mayo Clin. Proc. 1993, 68, 1110–1123. [Google Scholar] [CrossRef]
- Girard, N.; Mornex, F.; Van Houtte, P.; Cordier, J.-F.; van Schil, P. Thymoma: A Focus on Current Therapeutic Management. J. Thorac. Oncol. 2009, 4, 119–126. [Google Scholar] [CrossRef]
- Kania, A.; Klein, R. Mechanisms of Ephrin-Eph Signalling in Development, Physiology and Disease. Nat. Rev. Mol. Cell Biol. 2016, 17, 240–256. [Google Scholar] [CrossRef] [PubMed]
- Pasquale, E.B. Eph Receptors and Ephrins in Cancer: Bidirectional Signalling and beyond. Nat. Rev. Cancer 2010, 10, 165–180. [Google Scholar] [CrossRef]
- Dodelet, V.C.; Pasquale, E.B. Eph Receptors and Ephrin Ligands: Embryogenesis to Tumorigenesis. Oncogene 2000, 19, 5614–5619. [Google Scholar] [CrossRef] [PubMed]
- Fagotto, F.; Winklbauer, R.; Rohani, N. Ephrin-Eph Signaling in Embryonic Tissue Separation. Cell Adh. Migr. 2014, 8, 308–326. [Google Scholar] [CrossRef] [PubMed]
- Palmer, A.; Klein, R. Multiple Roles of Ephrins in Morphogenesis, Neuronal Networking, and Brain Function. Genes Dev. 2003, 17, 1429–1450. [Google Scholar] [CrossRef] [PubMed]
- Pasquale, E.B. Eph-Ephrin Bidirectional Signaling in Physiology and Disease. Cell 2008, 133, 38–52. [Google Scholar] [CrossRef]
- Pergaris, A.; Danas, E.; Goutas, D.; Sykaras, A.G.; Soranidis, A.; Theocharis, S. The Clinical Impact of the EPH/Ephrin System in Cancer: Unwinding the Thread. Int. J. Mol. Sci. 2021, 22, 8412. [Google Scholar] [CrossRef] [PubMed]
- Karidis, N.P.; Giaginis, C.; Tsourouflis, G.; Alexandrou, P.; Delladetsima, I.; Theocharis, S. Eph-A2 and Eph-A4 Expression in Human Benign and Malignant Thyroid Lesions: An Immunohistochemical Study. Med. Sci. Monit. 2011, 17, BR257–BR265. [Google Scholar] [CrossRef]
- Giaginis, C.; Tsoukalas, N.; Bournakis, E.; Alexandrou, P.; Kavantzas, N.; Patsouris, E.; Theocharis, S. Ephrin (Eph) Receptor A1, A4, A5 and A7 Expression in Human Non-Small Cell Lung Carcinoma: Associations with Clinicopathological Parameters, Tumor Proliferative Capacity and Patients’ Survival. BMC Clin. Pathol. 2014, 14, 8. [Google Scholar] [CrossRef] [PubMed]
- Giaginis, C.; Alexandrou, P.; Poulaki, E.; Delladetsima, I.; Troungos, C.; Patsouris, E.; Theocharis, S. Clinical Significance of EphB4 and EphB6 Expression in Human Malignant and Benign Thyroid Lesions. Pathol. Oncol. Res. 2016, 22, 269–275. [Google Scholar] [CrossRef]
- Theocharis, S.; Klijanienko, J.; Giaginis, C.; Alexandrou, P.; Patsouris, E.; Sastre-Garau, X. Ephrin Receptor (Eph)-A1, -A2, -A4 and -A7 Expression in Mobile Tongue Squamous Cell Carcinoma: Associations with Clinicopathological Parameters and Patients Survival. Pathol. Oncol. Res. 2014, 20, 277–284. [Google Scholar] [CrossRef] [PubMed]
- Meyerholz, D.K.; Beck, A.P. Principles and Approaches for Reproducible Scoring of Tissue Stains in Research. Lab. Investig. 2018, 98, 844–855. [Google Scholar] [CrossRef] [PubMed]
- Uhlén, M.; Fagerberg, L.; Hallström, B.M.; Lindskog, C.; Oksvold, P.; Mardinoglu, A.; Sivertsson, Å.; Kampf, C.; Sjöstedt, E.; Asplund, A.; et al. Proteomics. Tissue-Based Map of the Human Proteome. Science 2015, 347, 1260419. [Google Scholar] [CrossRef]
- Furuhashi, S.; Morita, Y.; Ida, S.; Muraki, R.; Kitajima, R.; Takeda, M.; Kikuchi, H.; Hiramatsu, Y.; Setou, M.; Takeuchi, H. Ephrin Receptor A4 Expression Enhances Migration, Invasion and Neurotropism in Pancreatic Ductal Adenocarcinoma Cells. Anticancer Res. 2021, 41, 1733–1744. [Google Scholar] [CrossRef] [PubMed]
- Zhao, Y.; Cai, C.; Zhang, M.; Shi, L.; Wang, J.; Zhang, H.; Ma, P.; Li, S. Ephrin-A2 Promotes Prostate Cancer Metastasis by Enhancing Angiogenesis and Promoting EMT. J. Cancer Res. Clin. Oncol. 2021, 147, 2013–2023. [Google Scholar] [CrossRef] [PubMed]
- Zhou, D.; Ren, K.; Wang, J.; Ren, H.; Yang, W.; Wang, W.; Li, Q.; Liu, X.; Tang, F. Erythropoietin-Producing Hepatocellular A6 Overexpression Is a Novel Biomarker of Poor Prognosis in Patients with Breast Cancer. Oncol. Lett. 2018, 15, 5257–5263. [Google Scholar] [CrossRef]
- Li, S.; Ma, Y.; Xie, C.; Wu, Z.; Kang, Z.; Fang, Z.; Su, B.; Guan, M. EphA6 Promotes Angiogenesis and Prostate Cancer Metastasis and Is Associated with Human Prostate Cancer Progression. Oncotarget 2015, 6, 22587–22597. [Google Scholar] [CrossRef] [PubMed]
- Iiizumi, M.; Hosokawa, M.; Takehara, A.; Chung, S.; Nakamura, T.; Katagiri, T.; Eguchi, H.; Ohigashi, H.; Ishikawa, O.; Nakamura, Y.; et al. EphA4 Receptor, Overexpressed in Pancreatic Ductal Adenocarcinoma, Promotes Cancer Cell Growth. Cancer Sci. 2006, 97, 1211–1216. [Google Scholar] [CrossRef] [PubMed]
- Miyazaki, K.; Inokuchi, M.; Takagi, Y.; Kato, K.; Kojima, K.; Sugihara, K. EphA4 Is a Prognostic Factor in Gastric Cancer. BMC Clin. Pathol. 2013, 13, 19. [Google Scholar] [CrossRef] [PubMed]
- Lin, C.-Y.; Lee, Y.-E.; Tian, Y.-F.; Sun, D.-P.; Sheu, M.-J.; Lin, C.-Y.; Li, C.-F.; Lee, S.-W.; Lin, L.-C.; Chang, I.-W.; et al. High Expression of EphA4 Predicted Lesser Degree of Tumor Regression after Neoadjuvant Chemoradiotherapy in Rectal Cancer. J. Cancer 2017, 8, 1089–1096. [Google Scholar] [CrossRef] [PubMed]
- de Marcondes, P.G.; Bastos, L.G.; de-Freitas-Junior, J.C.M.; Rocha, M.R.; Morgado-Díaz, J.A. EphA4-Mediated Signaling Regulates the Aggressive Phenotype of Irradiation Survivor Colorectal Cancer Cells. Tumour Biol. 2016, 37, 12411–12422. [Google Scholar] [CrossRef] [PubMed]
- Freywald, A.; Sharfe, N.; Rashotte, C.; Grunberger, T.; Roifman, C.M. The EphB6 Receptor Inhibits JNK Activation in T Lymphocytes and Modulates T Cell Receptor-Mediated Responses. J. Biol. Chem. 2003, 278, 10150–10156. [Google Scholar] [CrossRef]
- Mateo-Lozano, S.; Bazzocco, S.; Rodrigues, P.; Mazzolini, R.; Andretta, E.; Dopeso, H.; Fernández, Y.; Del Llano, E.; Bilic, J.; Suárez-López, L.; et al. Loss of the EPH Receptor B6 Contributes to Colorectal Cancer Metastasis. Sci. Rep. 2017, 7, 43702. [Google Scholar] [CrossRef] [PubMed]
- Yu, J.; Bulk, E.; Ji, P.; Hascher, A.; Tang, M.; Metzger, R.; Marra, A.; Serve, H.; Berdel, W.E.; Wiewroth, R.; et al. The EPHB6 Receptor Tyrosine Kinase Is a Metastasis Suppressor That Is Frequently Silenced by Promoter DNA Hypermethylation in Non-Small Cell Lung Cancer. Clin. Cancer Res. 2010, 16, 2275–2283. [Google Scholar] [CrossRef]
- Hafner, C.; Bataille, F.; Meyer, S.; Becker, B.; Roesch, A.; Landthaler, M.; Vogt, T. Loss of EphB6 Expression in Metastatic Melanoma. Int. J. Oncol. 2003, 23, 1553–1559. [Google Scholar] [CrossRef] [PubMed]
- Toosi, B.M.; El Zawily, A.; Truitt, L.; Shannon, M.; Allonby, O.; Babu, M.; DeCoteau, J.; Mousseau, D.; Ali, M.; Freywald, T.; et al. EPHB6 Augments Both Development and Drug Sensitivity of Triple-Negative Breast Cancer Tumours. Oncogene 2018, 37, 4073–4093. [Google Scholar] [CrossRef]
- García-Ceca, J.; Alfaro, D.; Montero-Herradón, S.; Tobajas, E.; Muñoz, J.J.; Zapata, A.G. Eph/Ephrins-Mediated Thymocyte-Thymic Epithelial Cell Interactions Control Numerous Processes of Thymus Biology. Front. Immunol. 2015, 6, 333. [Google Scholar] [CrossRef] [PubMed][Green Version]
- Alfaro, D.; Muñoz, J.J.; García-Ceca, J.; Cejalvo, T.; Jiménez, E.; Zapata, A. Alterations in the Thymocyte Phenotype of EphB-Deficient Mice Largely Affect the Double Negative Cell Compartment. Immunology 2008, 125, 131–143. [Google Scholar] [CrossRef]
- Alfaro, D.; García-Ceca, J.J.; Cejalvo, T.; Jiménez, E.; Jenkinson, E.J.; Anderson, G.; Muñoz, J.J.; Zapata, A. EphrinB1-EphB Signaling Regulates Thymocyte-Epithelium Interactions Involved in Functional T Cell Development. Eur. J. Immunol. 2007, 37, 2596–2605. [Google Scholar] [CrossRef] [PubMed]
- García-Ceca, J.; Jiménez, E.; Alfaro, D.; Cejalvo, T.; Chumley, M.J.; Henkemeyer, M.; Muñoz, J.-J.; Zapata, A.G. On the Role of Eph Signalling in Thymus Histogenesis; EphB2/B3 and the Organizing of the Thymic Epithelial Network. Int. J. Dev. Biol. 2009, 53, 971–982. [Google Scholar] [CrossRef] [PubMed]
- Muñoz, J.J.; García-Ceca, J.; Montero-Herradón, S.; Sánchez Del Collado, B.; Alfaro, D.; Zapata, A. Can a Proper T-Cell Development Occur in an Altered Thymic Epithelium? Lessons from EphB-Deficient Thymi. Front. Endocrinol. 2018, 9, 135. [Google Scholar] [CrossRef] [PubMed]
- Chukkapalli, S.; Amessou, M.; Dilly, A.K.; Dekhil, H.; Zhao, J.; Liu, Q.; Bejna, A.; Thomas, R.D.; Bandyopadhyay, S.; Bismar, T.A.; et al. Role of the EphB2 Receptor in Autophagy, Apoptosis and Invasion in Human Breast Cancer Cells. Exp. Cell Res. 2014, 320, 233–246. [Google Scholar] [CrossRef] [PubMed]
- Liu, W.; Jung, Y.D.; Ahmad, S.A.; McCarty, M.F.; Stoeltzing, O.; Reinmuth, N.; Fan, F.; Ellis, L.M. Effects of Overexpression of Ephrin-B2 on Tumour Growth in Human Colorectal Cancer. Br. J. Cancer 2004, 90, 1620–1626. [Google Scholar] [CrossRef] [PubMed]
- Buckens, O.J.; El Hassouni, B.; Giovannetti, E.; Peters, G.J. The Role of Eph Receptors in Cancer and How to Target Them: Novel Approaches in Cancer Treatment. Expert Opin. Investig. Drugs 2020, 29, 567–582. [Google Scholar] [CrossRef] [PubMed]
- Taki, S.; Kamada, H.; Inoue, M.; Nagano, K.; Mukai, Y.; Higashisaka, K.; Yoshioka, Y.; Tsutsumi, Y.; Tsunoda, S.-I. A Novel Bispecific Antibody against Human CD3 and Ephrin Receptor A10 for Breast Cancer Therapy. PLoS ONE 2015, 10, e0144712. [Google Scholar] [CrossRef]
- Lodola, A.; Giorgio, C.; Incerti, M.; Zanotti, I.; Tognolini, M. Targeting Eph/ephrin System in Cancer Therapy. Eur. J. Med. Chem. 2017, 142, 152–162. [Google Scholar] [CrossRef] [PubMed]
- Saha, N.; Robev, D.; Mason, E.O.; Himanen, J.P.; Nikolov, D.B. Therapeutic Potential of Targeting the Eph/ephrin Signaling Complex. Int. J. Biochem. Cell Biol. 2018, 105, 123–133. [Google Scholar] [CrossRef]
- Xi, H.-Q.; Wu, X.-S.; Wei, B.; Chen, L. Eph Receptors and Ephrins as Targets for Cancer Therapy. J. Cell. Mol. Med. 2012, 16, 2894–2909. [Google Scholar] [CrossRef] [PubMed]
- Shiuan, E.; Chen, J. Eph Receptor Tyrosine Kinases in Tumor Immunity. Cancer Res. 2016, 76, 6452–6457. [Google Scholar] [CrossRef] [PubMed]








| Ephs | Epithelial Cells | Lymphoid Cells |
|---|---|---|
| EphA1 | no staining | |
| EphA2 | cytoplasm | cytoplasm |
| EphA4 | cytoplasm; nucleus | nucleus |
| EphA6 | cytoplasm; nucleus | cytoplasm |
| EphB1 | cytoplasm; nucleus | nucleus |
| EphB2 | cytoplasm (weak) | cytoplasm (weak) |
| EphB4 | rare weak endothelial staining | |
| EphB6 | nucleus | nucleus |
Publisher’s Note: MDPI stays neutral with regard to jurisdictional claims in published maps and institutional affiliations. |
© 2021 by the authors. Licensee MDPI, Basel, Switzerland. This article is an open access article distributed under the terms and conditions of the Creative Commons Attribution (CC BY) license (https://creativecommons.org/licenses/by/4.0/).
Share and Cite
Masaoutis, C.; Georgantzoglou, N.; Sarantis, P.; Theochari, I.; Tsoukalas, N.; Bobos, M.; Alexandrou, P.; Pergaris, A.; Rontogianni, D.; Theocharis, S. Ephrin Receptors (Ephs) Expression in Thymic Epithelial Tumors: Prognostic Implications and Future Therapeutic Approaches. Diagnostics 2021, 11, 2265. https://doi.org/10.3390/diagnostics11122265
Masaoutis C, Georgantzoglou N, Sarantis P, Theochari I, Tsoukalas N, Bobos M, Alexandrou P, Pergaris A, Rontogianni D, Theocharis S. Ephrin Receptors (Ephs) Expression in Thymic Epithelial Tumors: Prognostic Implications and Future Therapeutic Approaches. Diagnostics. 2021; 11(12):2265. https://doi.org/10.3390/diagnostics11122265
Chicago/Turabian StyleMasaoutis, Christos, Natalia Georgantzoglou, Panagiotis Sarantis, Irene Theochari, Nikolaos Tsoukalas, Mattheos Bobos, Paraskevi Alexandrou, Alexandros Pergaris, Dimitra Rontogianni, and Stamatios Theocharis. 2021. "Ephrin Receptors (Ephs) Expression in Thymic Epithelial Tumors: Prognostic Implications and Future Therapeutic Approaches" Diagnostics 11, no. 12: 2265. https://doi.org/10.3390/diagnostics11122265
APA StyleMasaoutis, C., Georgantzoglou, N., Sarantis, P., Theochari, I., Tsoukalas, N., Bobos, M., Alexandrou, P., Pergaris, A., Rontogianni, D., & Theocharis, S. (2021). Ephrin Receptors (Ephs) Expression in Thymic Epithelial Tumors: Prognostic Implications and Future Therapeutic Approaches. Diagnostics, 11(12), 2265. https://doi.org/10.3390/diagnostics11122265

