WT1 and Cyclin D1 Immunohistochemistry: A Useful Adjunct for Diagnosis of Pediatric Small Round Blue Cell Tumors on Small Biopsies
Abstract
:1. Introduction
2. Materials and Methods
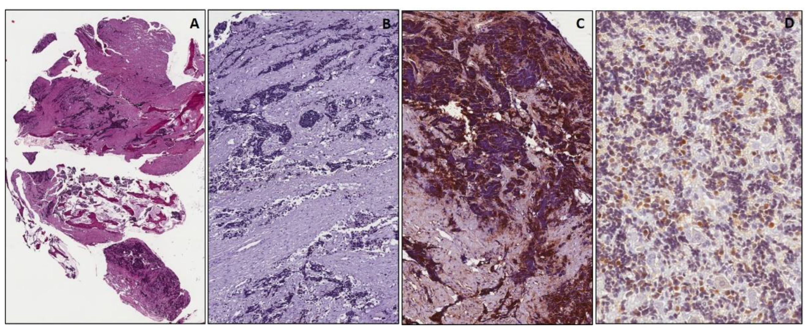
3. Results
4. Discussion
Author Contributions
Funding
Institutional Review Board Statement
Informed Consent Statement
Data Availability Statement
Conflicts of Interest
References
- Coffin, C.M.; Alaggio, R.; Dehner, L.P. Some general considerations about the clinicopathologic aspects of soft tissue tumors in children and adolescents. Pediatr. Dev. Pathol. 2012, 15, 11–25. [Google Scholar] [CrossRef] [PubMed]
- Magro, G.; Longo, F.R.; Angelico, G.; Spadola, S.; Amore, F.F.; Salvatorelli, L. Immunohistochemistry as potential diagnostic pitfall in the most common solid tumors of children and adolescents. Acta Histochem. 2015, 117, 397–414. [Google Scholar] [CrossRef]
- Arnold, M.A.; Schoenfield, L.; Limketkai, B.N.; Arnold, C.A. Diagnostic pitfalls of differentiating desmoplastic small round cell tumor (DSRCT) from Wilms tumor (WT): Overlapping morphologic and immunohistochemical features. Am. J. Surg. Pathol. 2014, 38, 1220–1226. [Google Scholar] [CrossRef]
- Alaggio, R.; Boldrini, R.; Di Venosa, B.; Rosolen, A.; Bisogno, G.; Magro, G. Pediatric extra-renal rhabdoid tumors with unusual morphology: A diagnostic pitfall for small biopsies. Pathol. Res. Pract. 2009, 205, 451–457. [Google Scholar] [CrossRef]
- Magro, G.; Greco, P.; Alaggio, R.; Gangemi, P.; Ninfo, V. Polypoid angiomyofibroblastoma-like tumor of the oral cavity: A hitherto unreported soft tissue tumor mimicking embryonal rhabdomyosarcoma. Pathol. Res. Pract. 2008, 204, 837–843. [Google Scholar] [CrossRef]
- Bahrami, A.; Gown, A.M.; Baird, G.S.; Hicks, M.J.; Folpe, A.L. Aberrant expression of epithelial and neuroendocrine markers in alveolar rhabdomyosarcoma: A potentially serious diagnostic pitfall. Mod. Pathol. 2008, 21, 795–806. [Google Scholar] [CrossRef] [PubMed] [Green Version]
- Wang, H.; Li, F.; Liu, J.; Zhang, S. Ultrasound-guided core needle biopsy in diagnosis of abdominal and pelvic neoplasm in pediatric patients. Pediatr. Surg. Int. 2014, 30, 31–37. [Google Scholar] [CrossRef]
- Gustafson, S.; Medeiros, L.J.; Kalhor, N.; Bueso-Ramos, C.E. Anaplastic large cell lymphoma: Another entity in the differential diagnosis of small round blue cell tumors. Ann. Diagn. Pathol. 2009, 13, 413–427. [Google Scholar] [CrossRef]
- Fowler, D.J.; Malone, M.; Chisholm, J.; Roebuck, D.; Sebire, N.J. Primary thoracic myxoid variant of extrarenal rhabdoid tumor in childhood. Fetal Pediatr. Pathol. 2006, 25, 159–168. [Google Scholar] [CrossRef]
- Call, K.M.; Glaser, T.; Ito, C.Y.; Buckler, A.J.; Pelletier, J.; Haber, D.A.; Rose, E.A.; Kral, A.; Yeger, H.; Lewis, W.H.; et al. Isolation and characterization of a zinc finger polypeptide gene at the human chromosome 11 Wilms’ tumor locus. Cell 1990, 60, 509–520. [Google Scholar] [CrossRef]
- Gessler, M.; Poustka, A.; Cavenee, W.; Neve, R.L.; Orkin, S.H.; Bruns, G.A. Homozygous deletion in Wilms tumours of a zinc-finger gene identified by chromosome jumping. Nature 1990, 343, 774–778. [Google Scholar] [CrossRef]
- Hohenstein, P.; Hastie, N.D. The many facets of the Wilms’ tumour gene, WT1. Hum. Mol. Genet. 2006, 15, R196–R201. [Google Scholar] [CrossRef]
- Lee, S.B.; Haber, D.A. Wilms tumor and the WT1 gene. Exp. Cell Res. 2001, 264, 74–99. [Google Scholar] [CrossRef]
- Parenti, R.; Puzzo, L.; Vecchio, G.M.; Gravina, L.; Salvatorelli, L.; Musumeci, G.; Vasquez, E.; Magro, G. Immunolocalization of Wilms’ Tumor protein (WT1) in developing human peripheral sympathetic and gastroenteric nervous system. Acta Histochem. 2014, 116, 48–54. [Google Scholar] [CrossRef]
- Menke, A.L.; van der Eb, A.J.; Jochemsen, A.G. The Wilms’ tumor 1 gene: Oncogene or tumor suppressor gene? Int. Rev. Cytol. 1998, 181, 151–212. [Google Scholar] [CrossRef]
- Roberts, S.G. The modulation of WTI transcription function bycofactors. Biochem. Soc. Symp. 2006, 73, 191–201. [Google Scholar] [CrossRef]
- Hartkamp, J.; Roberts, S.G. The role of the Wilms’ tumour-suppressor protein WT1 in apoptosis. Biochem. Soc. Trans. 2008, 36, 629–631. [Google Scholar] [CrossRef]
- Huff, V. Wilms’ tumours: About tumour suppressor genes, an onco-gene and a chameleon gene. Nat. Rev. Cancer 2011, 11, 111–121. [Google Scholar] [CrossRef] [Green Version]
- Salvatorelli, L.; Calabrese, G.; Parenti, R.; Vecchio, G.M.; Puzzo, L.; Caltabiano, R.; Musumeci, G.; Magro, G. Immunohistochemical Expression of Wilms’ Tumor 1 Protein in Human Tissues: From Ontogenesis to Neoplastic Tissues. Appl. Sci. 2020, 10, 40. [Google Scholar] [CrossRef] [Green Version]
- Magro, G.; Salvatorelli, L.; Puzzo, L.; Musumeci, G.; Bisceglia, M.; Parenti, R. Oncofetal expression of Wilms’ tumor 1 (WT1) protein in human fetal, adult and neoplastic skeletal muscle tissues. Acta Histochem. 2015, 117, 492–504. [Google Scholar] [CrossRef]
- Magro, G.; Salvatorelli, L.; Vecchio, G.M.; Musumeci, G.; Rita, A.; Parenti, R. Cytoplasmic expression of Wilms tumor transcription factor-1 (WT1): A useful immunomarker for young-type fibromatoses and infantile fibrosarcoma. Acta Histochem. 2014, 116, 1134–1140. [Google Scholar] [CrossRef]
- Magro, G.; Broggi, G.; Zin, A.; Di Benedetto, V.; Meli, M.; Di Cataldo, A.; Alaggio, R.; Salvatorelli, L. Desmoplastic Small Round Cell Tumor with “Pure” Spindle Cell Morphology and Novel EWS-WT1 Fusion Transcript: Expanding the Morphological and Molecular Spectrum of This Rare Entity. Diagnostics 2021, 11, 545. [Google Scholar] [CrossRef] [PubMed]
- Parenti, R.; Perris, R.; Vecchio, G.M.; Salvatorelli, L.; Torrisi, A.; Gravina, L.; Magro, G. Immunohistochemical expression of Wilms’ tumor protein (WT1) in developing human epithelial and mesenchymal tissues. Acta Histochem. 2013, 115, 70–75. [Google Scholar] [CrossRef]
- Parenti, R.; Salvatorelli, L.; Musumeci, G.; Parenti, C.; Giorlandino, A.; Motta, F.; Magro, G. Wilms’ tumor 1 (WT1) protein expression in human developing tissues. Acta Histochem. 2015, 117, 386–396. [Google Scholar] [CrossRef] [PubMed]
- Salvatorelli, L.; Parenti, R.; Leone, G.; Musumeci, G.; Vasquez, E.; Magro, G. Wilms tumor 1 (WT1) protein: Diagnostic utility in pediatric tumors. Acta Histochem. 2015, 117, 367–378. [Google Scholar] [CrossRef] [PubMed]
- Piombino, E.; Broggi, G.; Barbareschi, M.; Castorina, S.; Parenti, R.; Bartoloni, G.; Salvatorelli, L.; Magro, G. Wilms’ Tumor 1 (WT1): A Novel Immunomarker of Dermatofibrosarcoma Protuberans-An Immunohistochemical Study on a Series of 114 Cases of Bland-Looking Mesenchymal Spindle Cell Lesions of the Dermis/Subcutaneous Tissues. Cancers 2021, 13, 252. [Google Scholar] [CrossRef]
- Zukerberg, L.R.; Yang, W.I.; Arnold, A.; Harris, N.L. Cyclin D1 expression in non-Hodgkin’s lymphomas. Detection by immunohistochemistry. Am. J. Clin. Pathol. 1995, 103, 756–760. [Google Scholar] [CrossRef] [PubMed]
- Musgrove, E.A.; Caldon, C.E.; Barraclough, J.; Stone, A.; Sutherland, R.L. Cyclin D as a therapeutic target in cancer. Nat. Rev. Cancer 2011, 11, 558–572. [Google Scholar] [CrossRef] [PubMed]
- Kim, J.K.; Diehl, J.A. Nuclear cyclin D1: An oncogenic driver in human cancer. J. Cell Physiol. 2009, 220, 292–296. [Google Scholar] [CrossRef] [PubMed] [Green Version]
- Pestell, R.G. New roles of cyclin D1. Am. J. Pathol. 2013, 183, 3–9. [Google Scholar] [CrossRef] [Green Version]
- Magro, G.; Salvatorelli, L.; Ludwig, K.; Alaggio, R. Diagnostic utility of cyclin D1 in the diagnosis of small round blue cell tumors in children and adolescents: Beware of cyclin D1 expression in clear cell sarcoma of the kidney and CIC-DUX4 fusion-positive sarcomas. Comment on Magro et al. (2016)-reply. Hum. Pathol. 2017, 67, 226–228. [Google Scholar] [CrossRef]
- Magro, G.; Salvatorelli, L.; Alaggio, R.; D’Agata, V.; Nicoletti, F.; Di Cataldo, A.; Parenti, R. Diagnostic utility of cyclin D1 in the diagnosis of small round blue cell tumors in children and adolescents. Hum. Pathol. 2017, 60, 58–65. [Google Scholar] [CrossRef] [PubMed]
- Magro, G.; Salvatorelli, L.; Di Cataldo, A.; Musumeci, G.; Spoto, G.; Parenti, R. Cyclin D1 in human neuroblastic tumors recapitulates its developmental expression: An immunohistochemical study. Acta Histochem. 2015, 117, 415–424. [Google Scholar] [CrossRef]
- Magro, G.; Brancato, F.; Musumeci, G.; Alaggio, R.; Parenti, R.; Salvatorelli, L. Cyclin D1 is a useful marker for soft tissue Ewing’s sarcoma/peripheral Primitive Neuroectodermal Tumor in children and adolescents: A comparative immunohistochemical study with rhabdomyosarcoma. Acta Histochem. 2015, 117, 460–467. [Google Scholar] [CrossRef] [PubMed]
- Fagone, P.; Nicoletti, F.; Salvatorelli, L.; Musumeci, G.; Magro, G. Cyclin D1 and Ewing’s sarcoma/PNET: A microarray analysis. Acta Histochem. 2015, 117, 824–828. [Google Scholar] [CrossRef] [PubMed]
- Parham, D.M.; Alaggio, R.; Coffin, C.M. Myogenic tumors in children and adolescents. Pediatr. Dev. Pathol. 2012, 15, 211–238. [Google Scholar] [CrossRef]
- Tsokos, M.; Alaggio, R.D.; Dehner, L.P.; Dickman, P.S. Ewing sarcoma/peripheral primitive neuroectodermal tumor and related tumors. Pediatr. Dev. Pathol. 2012, 15, 108–126. [Google Scholar] [CrossRef] [PubMed]
- Joshy, V.V.; Silverman, J.F. Pathology of neuroblastic tumors. Semin. Diagn. Pathol. 1994, 11, 107–111. [Google Scholar]
- Shimada, H.; Ambros, I.M.; Dehner, L.P.; Hata, J.; Joshi, V.V.; Roald, B.; Stram, D.O.; Gerbing, R.B.; Lukens, J.N.; Matthay, K.K.; et al. The International Neuroblastoma Pathology Classification (the Shimada system). Cancer 1999, 86, 364–372. [Google Scholar] [CrossRef]
- Da Silva, R.C.; Medeiros Filho, P.; Chioato, L.; Silva, T.R.; Ribeiro, S.M.; Bacchi, C.E. Desmoplastic small round cell tumor of the kidney mimicking Wilms tumor: A case report and review of the literature. Appl. Immunohistochem. Mol. Morphol. 2009, 17, 557–562. [Google Scholar] [CrossRef]
- Vujanić, G.M.; Gessler, M.; Ooms, A.H.A.G.; Collini, P.; Coulomb-l’Hermine, A.; D’Hooghe, E.; de Krijger, R.R.; Perotti, D.; Pritchard-Jones, K.; Vokuhl, C.; et al. The UMBRELLA SIOP-RTSG 2016 Wilms tumour pathology and molecular biology protocol. International Society of Paediatric Oncology–Renal Tumour Study Group (SIOP–RTSG). Nat. Rev. Urol. 2018, 15, 693–701. [Google Scholar] [CrossRef] [PubMed] [Green Version]
- Sbaraglia, M.; Righi, A.; Gambarotti, M.; Dei Tos, A.P. Ewing sarcoma and Ewing-like tumors. Virchows Arch. 2020, 476, 109–119. [Google Scholar] [CrossRef] [PubMed]






| Tumors | Subtypes | Cases Tested by Molecular Biology | Molecular Biology Profile |
|---|---|---|---|
| RMS (33 cases) | 16 embryonal type 14 alveolar type 3 spindle cell/sclerosing type | 10/16 6/14 1/3 | 0/10 PAX3/FOX01 and PAX7/FOX01 fusions 6/6 PAX3/FOX01 fusion 1/1 MYOD1 L122R mutation |
| EWS (14 cases) | 14 classic type | 14/14 | 13/14 EWS/FLI1 fusion 1/14 EWS/ERG fusion |
| NB (44 cases) | 44 poorly differentiated | 0/44 | --- |
| WT (3 cases) | 3 mixed type | 0/3 | --- |
| LL (11 cases) | 7 T-cell precursor 4 B-cell precursor | 0/11 | --- |
| Tumors | WT1 | Cyclin D1 | Desmin | Myogenin | MyoD1 | CD99 | NB84 | CD56 | TdT |
|---|---|---|---|---|---|---|---|---|---|
| RMS (33 cases) | 33/33 | 0/33 | 33/33 (*) | 33/33 (*) | 28/33 | 0/33 | 0/33 | 3/33 | 0/33 |
| EWS (14 cases) | 0/14 | 14/14 | 0/14 | 0/14 | 0/14 | 14/14 (**) | 0/14 | 0/14 | 0/14 |
| NB (44 cases) | 0/44 | 44/44 | 0/44 | 0/44 | 0/44 | 0/44 | 43/44 (***) | 44/44 | 0/44 |
| WT (3 cases) | 3/3 | 0/3 | 0/3 | 0/3 | 0/3 | 0/3 | 0/3 | 3/3 | 0/3 |
| LL (11 cases) | 0/11 | 0/11 | 0/11 | 0/11 | 0/11 | 7/11 | 0/11 | 0/11 | 11/11 |
Publisher’s Note: MDPI stays neutral with regard to jurisdictional claims in published maps and institutional affiliations. |
© 2021 by the authors. Licensee MDPI, Basel, Switzerland. This article is an open access article distributed under the terms and conditions of the Creative Commons Attribution (CC BY) license (https://creativecommons.org/licenses/by/4.0/).
Share and Cite
Salvatorelli, L.; Parenti, R.; Broggi, G.; Vecchio, G.M.; Angelico, G.; Puzzo, L.; Di Cataldo, A.; Di Benedetto, V.; Alaggio, R.; Magro, G. WT1 and Cyclin D1 Immunohistochemistry: A Useful Adjunct for Diagnosis of Pediatric Small Round Blue Cell Tumors on Small Biopsies. Diagnostics 2021, 11, 2254. https://doi.org/10.3390/diagnostics11122254
Salvatorelli L, Parenti R, Broggi G, Vecchio GM, Angelico G, Puzzo L, Di Cataldo A, Di Benedetto V, Alaggio R, Magro G. WT1 and Cyclin D1 Immunohistochemistry: A Useful Adjunct for Diagnosis of Pediatric Small Round Blue Cell Tumors on Small Biopsies. Diagnostics. 2021; 11(12):2254. https://doi.org/10.3390/diagnostics11122254
Chicago/Turabian StyleSalvatorelli, Lucia, Rosalba Parenti, Giuseppe Broggi, Giada Maria Vecchio, Giuseppe Angelico, Lidia Puzzo, Andrea Di Cataldo, Vincenzo Di Benedetto, Rita Alaggio, and Gaetano Magro. 2021. "WT1 and Cyclin D1 Immunohistochemistry: A Useful Adjunct for Diagnosis of Pediatric Small Round Blue Cell Tumors on Small Biopsies" Diagnostics 11, no. 12: 2254. https://doi.org/10.3390/diagnostics11122254
APA StyleSalvatorelli, L., Parenti, R., Broggi, G., Vecchio, G. M., Angelico, G., Puzzo, L., Di Cataldo, A., Di Benedetto, V., Alaggio, R., & Magro, G. (2021). WT1 and Cyclin D1 Immunohistochemistry: A Useful Adjunct for Diagnosis of Pediatric Small Round Blue Cell Tumors on Small Biopsies. Diagnostics, 11(12), 2254. https://doi.org/10.3390/diagnostics11122254

