The Role of Bronchoscopy in the Diagnosis and Management of Patients with SARS-Cov-2 Infection
Abstract
:1. Introduction
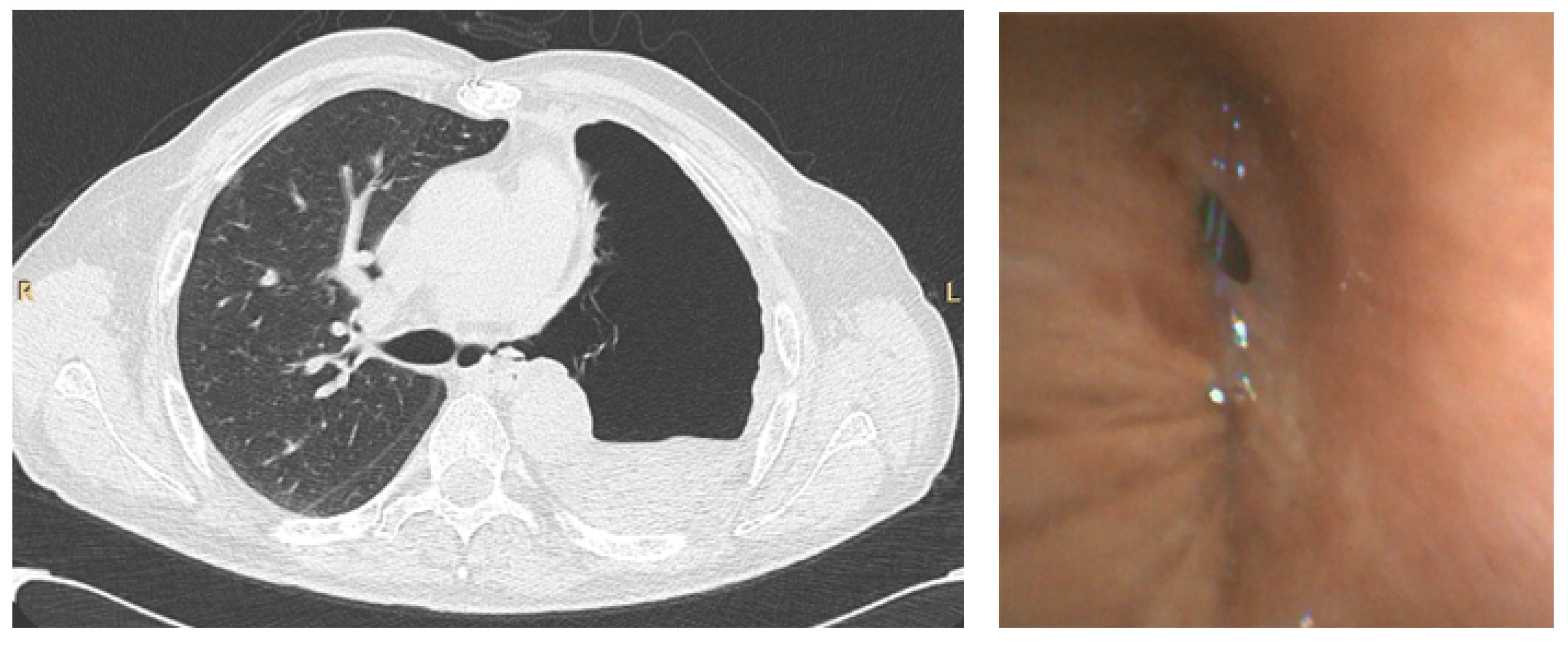
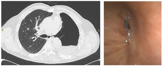
2. Role of Bronchoscopy in the Diagnostic Work-up of COVID-19 Infection
3. Role of Bronchoscopy in the Management of COVID-19 Infection
4. How to Perform Bronchoscopy
- -
- patient questionnaires regarding fever, recent travel, or exposure to any COVID-19 positive patients, and symptom screening should be considered.
- -
- the procedure should be performed in a negative pressure room which requires a minimum of 12 total air exchanges per hour in order to provide adequate dilution and exhaust of contaminated air. At this rate, after 23 min 99% of particles will be exchanged and, after 35 min, the percentage reaches 99.9% [34].
- -
- to minimize the risk of transmission during bronchoscopy in COVID-19 patients, a reusable acrylic barrier enclosure could be used during standard intubation, and utilizing disposable drapes to create a contained tent immediately around the patient [35].
- -
- the presence of the staff should be reduced (bronchoscopist, bronchoscopy assistant, anesthesia team if necessary) to a main team, who carry out all the interventions of the day to minimize staff exposure. No observers, students, apprentices, or trainees should be in the examination room.
- -
- to protect the personnel, powered air-purifying respirators (PAPRs) or N95 respirators/FFP3 masks should be worn; eyes should be protected by disposable safety glasses and/or a face shield, as well as the use of disposable gowns, gloves, and cap.
- -
- for anesthesia, atomized lidocaine should be avoided and it should aggressively reduce cough. Moreover, standard induction of anesthesia may be replaced by rapid-sequence induction, preferring an endotracheal tube over a supraglottic airway.
- -
- rigid bronchoscopy should be avoided, and for flexible bronchoscopy transnasal access is preferred, with the additional use of a slotted mouth and nose protector for the patient, or even a box plexiglass can be used.
- -
- if ventilation is needed during general anesthesia, jet ventilation should be avoided, when possible, with closed ventilation systems (tube, laryngeal mask).
- -
- when reusable bronchoscopes are used, sterilization should be considered instead of high-level disinfection, according to the updated recommendation for reprocessing of the Food and Drug Administration (FDA). When the support for immediate reprocessing is lacking, providers should use single-use bronchoscopes.
5. Single-Use Bronchoscopes
6. Future Evidence and Perspectives: “The New Routine”
Funding
Conflicts of Interest
References
- WHO Coronavirus Disease 2019 (COVID-19) Situation Report. 2020. Available online: https://www.who.int/emergencies/diseases/novel-coronavirus-2019/events-as-they-happen (accessed on 16 August 2021).
- Li, R.; Pei, S.; Chen, B.; Song, Y.; Zhang, T.; Yang, W.; Shaman, J. Substantial undocumented infection facilitates the rapid dissemination of novel coronavirus (SARS-CoV2). Science 2020, 368, 489–493. [Google Scholar] [CrossRef] [PubMed] [Green Version]
- Tindale, L.; Coombe, M.; Stockdale, J.E.; Garlock, E.S.; Lau, W.Y.V.; Saraswat, M.; Lee, Y.B.; Zhang, L.; Chen, D.; Wallinga, J.; et al. Transmission interval estimates suggest pre-symptomatic spread of COVID-19. eLife 2020, 9, e57149. [Google Scholar] [CrossRef] [PubMed]
- Zou, L.; Ruan, F.; Huang, M.; Liang, L.; Huang, H.; Hong, Z.; Yu, J.; Kang, M.; Song, Y.; Xia, J.; et al. SARS-CoV-2 viral load in upper respiratory specimens of infected patients. N. Engl. J. Med. 2020, 382, 1177–1179. [Google Scholar] [CrossRef] [PubMed]
- Hoffmann, M.; Kleine-Weber, H.; Schroeder, S.; Krüger, N.; Herrler, T.; Erichsen, S.; Schiergens, T.S.; Herrler, G.; Wu, N.H.; Nitsche, A.; et al. SARS-CoV-2 cell entry depends on ACE2 and TMPRSS2 and is blocked by a clinically proven protease inhibitor. Cell 2020, 18, 271–280.e8. [Google Scholar] [CrossRef]
- Zhao, Y.; Zhao, Z.; Wang, Y.; Zhou, Y.; Ma, Y.; Zuo, W. Single-cell RNA expression profiling of ACE2, the putative receptor of Wuhan 2019-nCov. Am. J. Respir. Crit. Care Med. 2020, 202, 756–759. [Google Scholar] [CrossRef]
- COVID-19 Treatment Guidelines National Institute of Health. Available online: https://www.covid19treatmentguidelines.nih.gov (accessed on 16 August 2021).
- Wölfel, R.; Corman, V.M.; Guggemos, W.; Seilmaier, M.; Zange, S.; Müller, M.A.; Niemeyer, D.; Jones, T.C.; Vollmar, P.; Rothe, C.; et al. Virological assessment of hospitalized patients with COVID-2019. Nature 2020, 581, 465–469. [Google Scholar] [CrossRef] [Green Version]
- Wang, W.; Xu, Y.; Gao, R.; Lu, R.; Han, K.; Wu, G.; Tanet, W. Detection of SARS-CoV-2 in different types of clinical specimens. JAMA 2020, 323, 1843–1844. [Google Scholar] [CrossRef] [PubMed] [Green Version]
- Ai, T.; Yang, Z.; Hou, H.; Zhan, C.; Chen, C.; Lv, W.; Tao, Q.; Sun, Z.; Xia, L. Correlation of chest CT and RT-PCR testing in coronavirus disease 2019 (COVID-19) in China: A report of 1014 cases. Radiology 2020, 296, E32–E40. [Google Scholar] [CrossRef] [Green Version]
- Group of Interventional Respiratory Medicine, Chinese Thoracic Society. Expert consensus for bronchoscopy during the epidemic of 2019 novel coronavirus infection (Trial version). Zhonghua Jie He He Hu Xi Za Zhi 2020, 43, E006. [Google Scholar] [CrossRef]
- Lentz, R.J.; Colt, H. Summarizing societal guidelines regarding bronchoscopy during the COVID-19 pandemic. Respirology 2020, 25, 574–577. [Google Scholar] [CrossRef] [Green Version]
- Mondoni, M.; Papa, G.F.S.; Rinaldo, R.; Faverio, P.; Marruchella, A.; D’Arcangelo, F.; Pesci, A.; Pasini, S.; Henchi, S.; Cipolla, G.; et al. Utility and safety of bronchoscopy during the SARS-CoV-2 outbreak in Italy: A retrospective, multicentre study. Eur. Respir. J. 2020, 56, 2002767. [Google Scholar] [CrossRef]
- Torrego, A.; Pajares, V.; Fernandez-Arias, C.; Vera, P.; Mancebo, J. Bronchoscopy in patients with COVID-19 with invasive mechanical ventilation: A single-center experience. Am. J. Respir. Crit. Care Med. 2020, 202, 284–287. [Google Scholar] [CrossRef]
- Chang, S.H.; Jiang, J.; Kon, Z.N.; Williams, D.M.; Geraci, T.C.; Smith, D.E.; Cerfolio, R.J.; Zervos, M.; Bizekis, C. Safety and efficacy of bronchoscopy in critically ill patients with coronavirus disease 2019. Chest 2021, 159, 870–872. [Google Scholar] [CrossRef] [PubMed]
- Wahidi, M.M.; Lamb, C.; Murgu, S.; Musani, A.; Shojaee, S.; Sachdeva, A.; Maldonado, F.; Mahmood, K.; Kinsey, M.; Sethi, S.; et al. American Association for Bronchology and Interventional Pulmonology (AABIP) Statement on the Use of Bronchoscopy and Respiratory Specimen Collection in Patients With Suspected or Confirmed COVID-19 Infection. J. Bronchol. Interv. Pulmonol. 2020, 27, e52–e54. [Google Scholar] [CrossRef] [PubMed]
- Darwiche, K.; Ross, B.; Gesierich, W.; Petermann, C.; Huebner, R.; Grah, C.; Gompelmann, D.; Hetzel, J.; Holland, A.; Eisenmann, S.; et al. Recommendations for Performing Bronchoscopy in Times of the COVID-19 Pandemic-Update 12/2020. Pneumologie 2021, 75, 187–190. [Google Scholar] [CrossRef] [PubMed]
- Cordovilla, R.; Alvarez, S.; Llanos, L.; Cases, E.; Ares, A.N.; Perez, D.D.; Flandes, J. Separ and aeer consensus recommendations on the use of bronchoscopy and airway sampling in patients with suspected or confirmed COVID-19 infection. Arch. Bronconeumol. 2020, 56 (Suppl. S2), 19–26. [Google Scholar] [CrossRef]
- Asociación Argentina de Broncoesofagología. RECOMENDACIONES Asociación Argentina de Broncoesofagologia (AABE) basados en la Wold Association for Bronchology and Interventional Pulmonary WABIP para el Manejo de Pacientes con COVID 19 en Situación de Pandemia. Available online: http://www.broncoscopia.org.ar/recomendaciones-asociacion-argentina-de-broncoesofagologia-aabe-basados-en-la-wold-association-for-bronchology-and-interventional-pulmonary-wabip-para-el-manejo-de-pacientes-con-covid-19-en-situacio (accessed on 16 August 2021).
- Gasparini, S.; Failla, G.; Serafino Agrusa, L.; Corcione, N.; Position Paper AIPO-ITS. Ruolo e Modalità di Esecuzione della Broncoscopia nella Pandemia da COVID-19. Position Paper 2020. Available online: http://www.aiponet.it/editoria/aipo-ricerche-edizioni/prodotti-editoriali/127-documenti-covid-19/2489-ruolo-e-modalita-di-esecuzione-della-broncoscopia-nella-pandemia-da-covid-19.html (accessed on 16 August 2021).
- Ora, J.; Puxeddu, E.; Cavalli, F.; Giorgino, F.M.; Girolami, A.; Chiocchi, M.; Sergiacomi, G.; Federici, M.; Rogliani, P. Does bronchoscopy help the diagnosis in COVID-19 infection? Eur. Respir. J. 2020, 56, 2001619. [Google Scholar] [CrossRef]
- Larriva, M.A.-D.; Martín-DeLeon, R.; Royo, B.U.; Fernández-Navamuel, I.; Velando, A.G.; García, L.N.; Clemente, C.C.; García, F.A.; Codern, A.R.; Fernández-Arias, C.; et al. The role of bronchoscopy in patients with SARS-CoV-2 pneumonia. ERJ Open Res. 2021, 7, 00165–02021. [Google Scholar] [CrossRef]
- Cocconcelli, E.; Biondini, D.; Giraudo, C.; Lococo, S.; Bernardinello, N.; Fichera, G.; Barbiero, G.; Castelli, G.; Cavinato, S.; Ferrari, A.; et al. Clinical Features and Chest Imaging as Predictors of Intensity of Care in Patients with COVID-19. J. Clin. Med. 2020, 9, 2990. [Google Scholar] [CrossRef]
- Wahidi, M.W.; Shojaee, S.; Lamb, C.R.; Ost, D.; Maldonado, F.; Eapen, G.; Caroff, D.A.; Stevens, M.P.; Ouellette, D.R.; Lilly, C.; et al. The Use of Bronchoscopy during the Coronavirus Disease 2019 Pandemic CHEST/AABIP Guideline and Expert Panel Report. Chest 2020, 158, 1268–1281. [Google Scholar] [CrossRef]
- Menter, T.; Haslbauer, J.D.; Nienhold, R.; Savic, S.; Hopfer, H.; Deigendesch, N.; Frank, S.; Turek, D.; Willi, N.; Pargger, H.; et al. Postmortem examination of COVID-19 patients reveals diffuse alveolar damage with severe capillary congestion and variegated findings in lungs and other organs suggesting vascular dysfunction. Histopathology 2020, 77, 198–209. [Google Scholar] [CrossRef] [PubMed]
- Batah, S.S.; Fabro, A.T. Pulmonary pathology of ARDS in COVID-19: A pathological review for clinicians. Respir. Med. 2021, 176, 106239. [Google Scholar] [CrossRef] [PubMed]
- Luyt, C.-E.; Sahnoun, T.; Gautier, M.; Vidal, P.; Burrel, S.; de Chambrun, M.P.; Chommeloux, J.; Desnos, C.; Arzoine, J.; Nieszkowska, A.; et al. Ventilator-associated pneumonia in patients with SARS-CoV-2-associated acute respiratory distress syndrome requiring ECMO: A retrospective cohort study. Ann. Intensiv. Care 2020, 10, 158. [Google Scholar] [CrossRef]
- Giacobbe, D.R.; Battaglini, D.; Enrile, E.M.; Dentone, C.; Vena, A.; Robba, C.; Ball, L.; Bartoletti, M.; Coloretti, I.; Di Bella, S.; et al. Incidence and prognosis of ventilator-associated pneumonia pneumonia in critically ill patients with COVID-19: A multicenter study. J. Clin. Med. 2021, 10, 555. [Google Scholar] [CrossRef] [PubMed]
- Maes, M.; Higginson, E.; Pereira-Dias, J.; Curran, M.D.; Parmar, S.; Khokhar, F.; Cuchet-Lourenço, D.; Lux, J.; Sharma-Hajela, S.; Ravenhill, B.; et al. Ventilator-associated pneumonia in critically ill patients with COVID-19. Crit. Care 2021, 25, 25. [Google Scholar] [CrossRef] [PubMed]
- Lahmer, T.; Kriescher, S.; Herner, A.; Rothe, K.; Spinner, C.D.; Schneider, J.; Mayer, U.; Neuenhahn, M.; Hoffmann, D.; Geisler, F.; et al. Invasive pulmonary aspergillosis in critically ill patients with severe COVID-19 pneumonia: Results from the prospective AspCOVID-19 study. PLoS ONE 2021, 17, e0238825. [Google Scholar] [CrossRef]
- Lemmers, D.H.L.; Abu Hilal, M.; Bnà, C.; Prezioso, C.; Cavallo, E.; Nencini, N.; Crisci, S.; Fusina, F.; Natalini, G. Pneumomediastinum and subcutaneous emphysema in COVID-19: Barotrauma or lung frailty? ERJ Open Res. 2020, 6, 00385–02020. [Google Scholar] [CrossRef]
- Pandolfi, L.; Fossali, T.; Frangipane, V.; Bozzini, S.; Morosini, M.; D’Amato, M.; Lettieri, S.; Urtis, M.; Di Toro, A.; Saracinoet, L.; et al. Broncho-alveolar inflammation in COVID-19 patients: A correlation with clinical outcome. BMC Pulm. Med. 2020, 20, 301. [Google Scholar] [CrossRef] [PubMed]
- Luo, F.; Darwiche, K.; Singh, S.; Torrego, A.; Steinfort, D.P.; Gasparini, S.; Liu, D.; Zhang, W.; Fernandez-Bussy, S.; Herthet, F.J.F.; et al. Performing Bronchoscopy in Times of the COVID-19 Pandemic: Practice Statement from an International Expert Panel. Respiration 2020, 99, 417–422. [Google Scholar] [CrossRef]
- Centers for Disease Control and Prevention. Guidelines for Environmental Infection Control in Health-Care Facilities (2003). Background C. Air. Available online: https://www.cdc.gov/infectioncontrol/guidelines/environmental/background/air.html (accessed on 16 August 2021).
- Canelli, R.; Connor, C.W.; Gonzalez, M.; Nozari, A.; Ortega, R. Barrier enclosure during endotracheal intubation. N. Engl. J. Med. 2020, 382, 1957–1958. [Google Scholar] [CrossRef]
- Van Doremalen, N.; Bushmaker, T.; Morris, D.H.; Holbrook, M.G.; Gamble, A.; Williamson, B.N.; Tamin, A.; Harcourt, J.L.; Thornburg, N.J.; Gerber, S.I.; et al. Aerosol and surface stability of SARS-CoV-2 as compared with SARS-CoV-1. N. Engl. J. Med. 2020, 382, 1564–1567. [Google Scholar] [CrossRef]
- Centers for Disease Control and Prevention. CDC Interim Laboratory Biosafety Guidelines for Handling and Processing Specimens Associated with Coronavirus Disease 2019. Available online: https://www.cdc.gov/coronavirus/2019-nCoV/lab/lab-biosafety-guidelines.html (accessed on 16 August 2021).
- Larsen, S.; Russell, R.V.; Ockert, L.K.; Spanos, S.; Travis, H.S.; Ehlers, L.H.; Mærkedahl, A. Rate and impact of duodenoscope contamination: A systematic review and meta-analysis. EclinicalMedicine 2020, 25, 100451. [Google Scholar] [CrossRef]
- Mehta, A.; Muscarella, L.F. Bronchoscope-Related “Superbug” Infections. Chest 2020, 157, 454–469. [Google Scholar] [CrossRef] [PubMed]
- Châteauvieux, C.; Farah, L.; Guèrot, E.; Wermert, D.; Pineau, J.; Prognon, P.; Borget, I.; Martelli, N. Single-use flexible bronchoscopes compared with reusable bronchoscopes: Positive organizational impact but a costly solution. J. Eval. Clin. Pract. 2018, 9, 528–535. [Google Scholar] [CrossRef] [PubMed]
- Perbet, S.; Blanquet, M.; Mourgues, C.; Delmas, J.; Bertran, S.; Longère, B.; Boïko-Alaux, V.; Chennell, P.; Bazin, J.-E.; Constantin, J.-M. Cost analysis of (Ambu aScope) and reusable bronchoscopes in the ICU. Ann. Intensiv. Care 2017, 7, 3. [Google Scholar] [CrossRef] [PubMed] [Green Version]
- Edenharter, G.M.; Gartner, D.; Pförringer, D. Decision support for the capacity management of bronchoscopy devices: Optimizing the cost-efficient mix of reusable and single-use devices through mathematical modeling. Anesth. Analg. 2017, 124, 1963–1967. [Google Scholar] [CrossRef] [PubMed]
- Rozman, A.; Duh, S.; Petrinec-Primozic, M.; Triller, N. Flexible bronchoscope damage and repair costs in a bronchoscopy teaching unit. Respiration 2009, 77, 325–330. [Google Scholar] [CrossRef]
- Lunn, W.; Garland, R.; Gryniuk, L.; Smith, L.; Feller-Kopman, D.; Ernst, A. Reducing maintenance and repair costs in an interventional pulmonology program. Chest 2005, 127, 1382–1387. [Google Scholar] [CrossRef]
- Mouritsen, J.M.; Ehlers, L.; Kovaleva, J.; Ahmad, I.; El-Boghdadly, K. A systematic review and cost effectiveness analysis of reusable vs. single-use flexible bronchoscopes. Anaesthesia 2020, 75, 529–540. [Google Scholar] [CrossRef] [Green Version]
- Pasello, G.; Menis, J.; Pilotto, S.; Frega, S.; Belluomini, L.; Pezzuto, F.; Caliò, A.; Sepulcri, M.; Cernusco, N.L.V.; Schiavon, M.; et al. How the COVID-19 Pandemic Impacted on Integrated Care Pathways for Lung Cancer: The Parallel Experience of a COVID-Spared and a COVID-Dedicated Center. Front. Oncol. 2021, 11, 669786. [Google Scholar] [CrossRef]
- Vigliar, E.; Iaccarino, A.; Bruzzese, D.; Malapelle, U.; Bellevicine, C.; Troncone, G. Cytology in the Time of Coronavirus Disease (COVID-19): An Italian Perspective. J. Clin. Pathol. 2021, 74, 261–263. [Google Scholar] [CrossRef] [PubMed] [Green Version]
- Saha, B.K.; Chenna, P. Risk of severe acute respiratory syndrome coronavirus 2 (SARS-CoV-2) transmission during bronchoscopy in the intensive care unit. Respirology 2021, 26, 910–913. [Google Scholar] [CrossRef] [PubMed]
- Spagnolo, P.; Balestro, E.; Aliberti, S.; Cocconcelli, E.; Biondini, D.; Casa, G.D.; Sverzellati, N.; Maher, T.M. Pulmonary fibrosis secondary to COVID-19: A call to arms? Lancet Respir. Med. 2020, 8, 750–752. [Google Scholar] [CrossRef]
- Mandal, S.; Barnett, J.; Brill, S.E.; Brown, J.S.; Denneny, E.K.; Hare, S.S.; Heightman, M.; Hillman, T.E.; Jacob, J.; Jarvis, H.C.; et al. “Long-COVID”: A cross-sectional study of persisting symptoms, biomarker and imaging abnormalities following hospitalisation for COVID-19. Thorax 2021, 76, 396–398. [Google Scholar] [CrossRef] [PubMed]
- Myall, K.J.; Mukherjee, B.; Castanheira, A.M.; Lam, J.L.; Benedetti, G.; Mak, S.M.; Preston, R.; Thillai, M.; Dewar, A.; Molyneaux, P.L.; et al. Persistent Post-COVID-19 Interstitial Lung Disease. An Observational Study of Corticosteroid Treatment. Ann. Am. Thorac. Soc. 2021, 18, 799–806. [Google Scholar] [CrossRef]
- Han, X.; Fan, Y.; Alwalid, O.; Li, N.; Jia, X.; Yuan, M.; Li, Y.; Cao, Y.; Gu, J.; Wu, H.; et al. Six-month Follow-up Chest CT Findings after Severe COVID-19 Pneumonia. Radiology 2021, 299, E177–E186. [Google Scholar] [CrossRef]
- Han, X.; Fan, Y.; Alwalid, O.; Zhang, X.; Jia, X.; Zheng, Y.; Shi, H. Fibrotic Interstitial Lung Abnormalities at 1-year Follow-up CT after Severe COVID-19. Radiology 2021, 210972. [Google Scholar] [CrossRef]
- Mattioli, F.; Marchioni, A.; Andreani, A.; Cappiello, G.; Fermi, M.; Presutti, L. Post-intubation tracheal stenosis in COVID-19 patients. Eur. Arch. Otorhinolaryngol. 2021, 278, 847–848. [Google Scholar] [CrossRef] [PubMed]
- Carsana, L.; Sonzogni, A.; Nasr, A.; Rossi, R.S.; Pellegrinelli, A.; Zerbi, P.; Rech, R.; Colombo, R.; Antinori, S.; Corbellino, M.; et al. Pulmonary post-mortem findings in a series of COVID-19 cases from northern Italy: A two-centre descriptive study. Lancet Infect. Dis. 2020, 20, 1135–1140. [Google Scholar] [CrossRef]
- Fox, S.E.; Akmatbekov, A.; Harbert, J.L.; Li, G.; Brown, J.Q.; Heide, R.S.V. Pulmonary and cardiac pathology in African American patients with COVID-19: An autopsy series from New Orleans. Lancet Respir. Med. 2020, 8, 681–686. [Google Scholar] [CrossRef]
- Grillo, F.; Barisione, E.; Ball, L.; Mastracci, L.; Fiocca, R. Lung fibrosis: An undervalued finding in COVID-19 pathological series. Lancet Infect. Dis. 2021, 21, e72. [Google Scholar] [CrossRef]
- Raghu, G.; Remy-Jardin, M.; Myers, J.L.; Richeldi, L.; Ryerson, C.J.; Lederer, D.J.; Behr, J.; Cottin, V.; Danoff, S.K.; Morell, F.J.; et al. Diagnosis of idiopathic pulmonary fibrosis: An official ATS/ERS/JRS/ALAT clinical practice guideline. Am. J. Respir. Crit. Care Med. 2018, 198, e44–e68. [Google Scholar] [CrossRef] [PubMed]
- Wright, C.D.; Li, S.; Geller, A.D.; Lanuti, M.; Gaissert, H.A.; Muniappan, A.; Ott, H.C.; Mathisen, D.J. Postintubation Tracheal Stenosis: Management and Results 1993 to 2017. Ann. Thorac. Surg. 2019, 108, 1471–1477. [Google Scholar] [CrossRef] [PubMed]
- Nikolovski, N.; Kopacheva-Barsova, G.; Pejkovska, A. Laryngotracheal Stenosis: A Retrospective Analysis of Their Aetiology, Diagnose and Treatment. Open Access Maced. J. Med. Sci. 2019, 7, 1649–1656. [Google Scholar] [CrossRef] [Green Version]
- Dalar, L.; Karasulu, L.; Abul, Y.; Özdemir, C.; Sökücü, S.N.; Tarhan, M.; Altin, S. Bronchoscopic Treatment in the Management of Benign Tracheal Stenosis: Choices for Simple and Complex Tracheal Stenosis. Ann. Thorac. Surg. 2016, 101, 1310–1317. [Google Scholar] [CrossRef] [PubMed] [Green Version]
- Freitas, C.; Martins, N.; Novais-Bastos, H.; Morais, A.; Fernandes, G.; Magalhães, A. The role of interventional bronchoscopy in the management of post-intubation tracheal stenosis: A 20-year experience. Pulmonology 2021, 27, 296–304. [Google Scholar] [CrossRef]
- Epstein, S.K. Late complications of tracheostomy. Respir. Care 2005, 50, 542–549. [Google Scholar]



| Suspected COVID-19 | Confirmed COVID-19: Emergent Indication | Confirmed COVID-19: Urgent Indication |
|---|---|---|
| Confirm or exclude COVID-19 in those with a negative upper respiratory tract swab, but clinical signs and symptoms consistent for COVID-19 pneumonia [7] | Moderate symptomatic or worsened tracheal/bronchial stenosis; migrated stent | Lung cancer diagnosis (lung mass or mediastinal/hilar lymphadenopathy) |
| Confirm suspected COVID-19 cases with a negative upper respiratory tract swab, but typical clinical and radiological features [11,15,16,17,18,19,20] | Symptomatic central airway obstruction (i.e., due to mucus plug) or lobar atelectasis | Foreign object aspiration |
| Confirm or exclude COVID-19 in those with a negative upper respiratory tract swab and clinical signs and symptoms possible for COVID-19 pneumonia, but an alternative diagnosis could also be considered [7] | Hemoptysis or bloody mucus from the lower respiratory tract | Suspected concomitant pulmonary infection in immunosuppressed patients (i.e., fungal co-infection) |
Publisher’s Note: MDPI stays neutral with regard to jurisdictional claims in published maps and institutional affiliations. |
© 2021 by the authors. Licensee MDPI, Basel, Switzerland. This article is an open access article distributed under the terms and conditions of the Creative Commons Attribution (CC BY) license (https://creativecommons.org/licenses/by/4.0/).
Share and Cite
Biondini, D.; Damin, M.; Bonifazi, M.; Cocconcelli, E.; Semenzato, U.; Spagnolo, P.; Gasparini, S.; Saetta, M.; Balestro, E. The Role of Bronchoscopy in the Diagnosis and Management of Patients with SARS-Cov-2 Infection. Diagnostics 2021, 11, 1938. https://doi.org/10.3390/diagnostics11101938
Biondini D, Damin M, Bonifazi M, Cocconcelli E, Semenzato U, Spagnolo P, Gasparini S, Saetta M, Balestro E. The Role of Bronchoscopy in the Diagnosis and Management of Patients with SARS-Cov-2 Infection. Diagnostics. 2021; 11(10):1938. https://doi.org/10.3390/diagnostics11101938
Chicago/Turabian StyleBiondini, Davide, Marco Damin, Martina Bonifazi, Elisabetta Cocconcelli, Umberto Semenzato, Paolo Spagnolo, Stefano Gasparini, Marina Saetta, and Elisabetta Balestro. 2021. "The Role of Bronchoscopy in the Diagnosis and Management of Patients with SARS-Cov-2 Infection" Diagnostics 11, no. 10: 1938. https://doi.org/10.3390/diagnostics11101938
APA StyleBiondini, D., Damin, M., Bonifazi, M., Cocconcelli, E., Semenzato, U., Spagnolo, P., Gasparini, S., Saetta, M., & Balestro, E. (2021). The Role of Bronchoscopy in the Diagnosis and Management of Patients with SARS-Cov-2 Infection. Diagnostics, 11(10), 1938. https://doi.org/10.3390/diagnostics11101938

