The Role of Imaging in Bladder Cancer Diagnosis and Staging
Abstract
1. Introduction
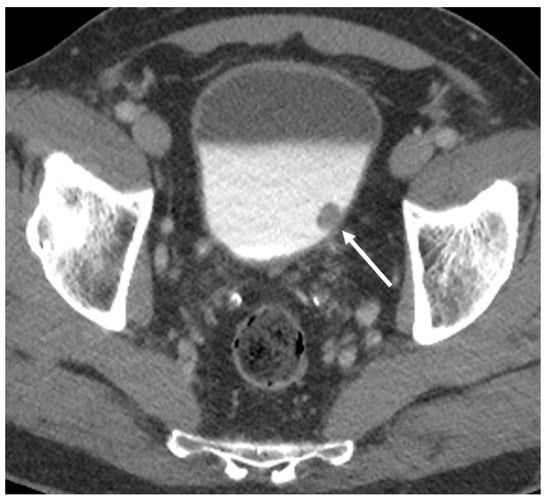
2. Computed Tomography
2.1. Initial Diagnosis
2.2. Staging
2.3. Restaging
3. Ultrasound
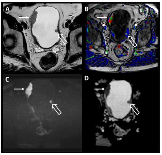
4. Magnetic Resonance Imaging
4.1. Why MRI for Bladder Cancer?
4.2. Multiparametric Bladder MRI
4.3. Patient Preparation and Equipment
4.4. MRI Findings in Bladder Cancer
4.5. Imaging and Reporting Bladder Cancer with VI-RADS
4.6. TNM Staging of Bladder Cancer with MRI
5. Molecular Imaging (PET/CT and PET/MRI)
5.1. Why PET/CT for Bladder Cancer?
5.2. FDG-PET/CT for Bladder Cancer Staging
5.3. FDG-PET/CT for Neoadjuvant Chemotherapy Response and Restaging
5.4. Alternative PET Tracers in Molecular Imaging of Bladder Cancer
5.5. PET/MRI in Bladder Cancer
6. Conclusions
Author Contributions
Funding
Conflicts of Interest
References
- Siegel, L.R.; Miller, K.D.; Jemal, A. Cancer statistics, 2019. CA Cancer J. Clin. 2019, 69, 7–34. [Google Scholar] [CrossRef]
- Rais-Bahrami, S.; Pietryga, J.A.; Nix, J.W. Contemporary role of advanced imaging for bladder cancer staging. Urol. Oncol. Semin. Orig. Investig. 2016, 34, 124–133. [Google Scholar] [CrossRef] [PubMed]
- Mirmomen, S.M.; Shinagare, A.B.; Williams, K.E.; Silverman, S.G.; Malayeri, A.A. Preoperative imaging for locoregional staging of bladder cancer. Abdom. Radiol. 2019, 44, 3843–3857. [Google Scholar] [CrossRef] [PubMed]
- Sun, M.; Trinh, Q.-D. Diagnosis and Staging of Bladder Cancer. Hematol. Clin. N. Am. 2015, 29, 205–218. [Google Scholar] [CrossRef] [PubMed]
- Wolfman, D.J.; Marko, J.; Nikolaidis, P.; Khatri, G.; Dogra, V.S.; Ganeshan, D.; Goldfarb, S.; Gore, J.L.; Gupta, R.T.; Heilbrun, M.E.; et al. ACR Appropriateness Criteria® Hematuria. J. Am. Coll. Radiol. 2020, 17, S138–S147. [Google Scholar] [CrossRef] [PubMed]
- Vikram, R.; Sandler, C.M.; Ng, C.S. Imaging and Staging of Transitional Cell Carcinoma: Part 1, Lower Urinary Tract. Am. J. Roentgenol. 2009, 192, 1481–1487. [Google Scholar] [CrossRef] [PubMed]
- Sadow, C.A.; Silverman, S.G.; O’Leary, M.P.; Signorovitch, J.E. Bladder Cancer Detection with CT Urography in an Academic Medical Center. Radiology 2008, 249, 195–202. [Google Scholar] [CrossRef]
- Helenius, M.; Brekkan, E.; Dahlman, P.; Lönnemark, M.; Magnusson, A. Bladder cancer detection in patients with gross haematuria: Computed tomography urography with enhancement-triggered scan versus flexible cystoscopy. Scand. J. Urol. 2015, 49, 1–5. [Google Scholar] [CrossRef]
- Trinh, T.W.; Glazer, D.I.; Sadow, C.A.; Sahni, V.A.; Geller, N.L.; Silverman, S.G. Bladder cancer diagnosis with CT urography: Test characteristics and reasons for false-positive and false-negative results. Abdom. Radiol. 2017, 43, 663–671. [Google Scholar] [CrossRef]
- Helenius, M.; Dahlman, P.; Lönnemark, M.; Brekkan, E.; Wernroth, L.; Magnusson, A. Comparison of post contrast CT urography phases in bladder cancer detection. Eur. Radiol. 2015, 26, 585–591. [Google Scholar] [CrossRef]
- Di Paolo, P.L.; Vargas, H.A.; Karlo, C.A.; Lakhman, Y.; Zheng, J.; Moskowitz, C.S.; Al-Ahmadie, H.A.; Sala, E.; Bochner, B.H.; Hricak, H. Intradiverticular bladder cancer: CT imaging features and their association with clinical outcomes. Clin. Imaging 2015, 39, 94–98. [Google Scholar] [CrossRef] [PubMed]
- Lee, C.H.; Tan, C.H.; Faria, S.D.C.; Kundra, V. Role of Imaging in the Local Staging of Urothelial Carcinoma of the Bladder. Am. J. Roentgenol. 2017, 208, 1193–1205. [Google Scholar] [CrossRef] [PubMed]
- Mossanen, M.; Chang, S.L.; Kimm, S.; Sonpavde, G.P.; Kibel, A.S. Current Staging Strategies for Muscle-Invasive Bladder Cancer and Upper Tract Urothelial Cell Carcinoma. Urol. Clin. N. Am. 2018, 45, 143–154. [Google Scholar] [CrossRef] [PubMed]
- Garapati, S.S.; Hadjiiski, L.M.; Cha, K.H.; Chan, H.-P.; Caoili, E.M.; Cohan, R.H.; Weizer, A.; Alva, A.; Paramagul, C.; Wei, J.; et al. Urinary bladder cancer staging in CT urography using machine learning. Med. Phys. 2017, 44, 5814–5823. [Google Scholar] [CrossRef]
- Amin, M.B.; Greene, F.L.; Edge, S.B.; Compton, C.C.; Gershenwald, J.E.; Brookland, R.K.; Meyer, L.; Gress, D.M.; Byrd, D.R.; Winchester, D.P. The Eighth Edition AJCC Cancer Staging Manual: Continuing to build a bridge from a population-based to a more “personalized” approach to cancer staging. CA Cancer J. Clin. 2017, 67, 93–99. [Google Scholar] [CrossRef]
- Pichler, R.; De Zordo, T.; Fritz, J.; Kroiss, A.; Aigner, F.; Heidegger, I.; Virgolini, I.; Horninger, W.; Uprimny, C. Pelvic Lymph Node Staging by Combined 18 F-FDG-PET/CT Imaging in Bladder Cancer Prior to Radical Cystectomy. Clin. Genitourin. Cancer 2017, 15, e387–e395. [Google Scholar] [CrossRef]
- Thoeny, H.C.; Froehlich, J.M.; Triantafyllou, M.; Huesler, J.; Bains, L.J.; Vermathen, P.; Fleischmann, A.; Studer, U.E. Metastases in Normal-sized Pelvic Lymph Nodes: Detection with Diffusion-weighted MR. Imaging. Radiol. 2014, 273, 125–135. [Google Scholar] [CrossRef]
- Wu, S.; Zheng, J.; Li, Y.; Yu, H.; Shi, S.; Xie, W.; Liu, H.; Su, Y.; Huang, J.; Lin, T.-X. A Radiomics Nomogram for the Preoperative Prediction of Lymph Node Metastasis in Bladder Cancer. Clin. Cancer Res. 2017, 23, 6904–6911. [Google Scholar] [CrossRef]
- Rajesh, A.; Sokhi, H.; Fung, R.; Mulcahy, K.A.; Bankart, M.J. Role of Whole-Body Staging Computed Tomographic Scans for Detecting Distant Metastases in Patients with Bladder Cancer. J. Comput. Assist. Tomogr. 2011, 35, 402–405. [Google Scholar] [CrossRef]
- Shinagare, A.B.; Ramaiya, N.H.; Jagannathan, J.P.; Fennessy, F.M.; Taplin, M.-E.; Abbeele, A.D.V.D. Metastatic Pattern of Bladder Cancer: Correlation with the Characteristics of the Primary Tumor. Am. J. Roentgenol. 2011, 196, 117–122. [Google Scholar] [CrossRef]
- Turkbey, B.; Basaran, C.; Karcaaltincaba, M.; Akpinar, E.; Oguz, B.; Akata, D.; Ozmen, M.N.; Akhan, O. Peritoneal carcinomatosis in urinary bladder cancer. Clin. Imaging 2008, 32, 192–195. [Google Scholar] [CrossRef] [PubMed]
- Allen, B.C.; Oto, A.; Akin, O.; Alexander, L.F.; Chong, J.; Froemming, A.T.; Fulgham, P.F.; Lloyd, S.; Maranchie, J.K.; Mody, R.N.; et al. ACR Appropriateness Criteria® Post-Treatment Surveillance of Bladder Cancer. J. Am. Coll. Radiol. 2019, 16, S417–S427. [Google Scholar] [CrossRef] [PubMed]
- Chang, S.S.; Boorjian, S.A.; Chou, R.; Clark, P.E.; Daneshmand, S.; Konety, B.R.; Pruthi, R.; Quale, D.Z.; Ritch, C.R.; Seigne, J.D.; et al. Diagnosis and Treatment of Non-Muscle Invasive Bladder Cancer: AUA/SUO Guideline. J. Urol. 2016, 196, 1021–1029. [Google Scholar] [CrossRef]
- Kim, J.Y.; Kim, S.H.; Lee, H.J.; Kim, M.J.; Kim, Y.H.; Cho, S.H. MDCT Urography for Detecting Recurrence After Transurethral Resection of Bladder Cancer: Comparison of Nephrographic Phase with Pyelographic Phase. Am. J. Roentgenol. 2014, 203, 1021–1027. [Google Scholar] [CrossRef]
- Cha, K.H.; Hadjiiski, L.M.; Chan, H.-P.; Weizer, A.Z.; Alva, A.; Cohan, R.H.; Caoili, E.M.; Paramagul, C.; Samala, R.K. Bladder Cancer Treatment Response Assessment in CT using Radiomics with Deep-Learning. Sci. Rep. 2017, 7, 1–12. [Google Scholar] [CrossRef]
- Cha, K.H.; Hadjiiski, L.M.; Cohan, R.H.; Chan, H.-P.; Caoili, E.M.; Davenport, M.S.; Samala, R.K.; Weizer, A.Z.; Alva, A.; Kirova-Nedyalkova, G.; et al. Diagnostic Accuracy of CT for Prediction of Bladder Cancer Treatment Response with and without Computerized Decision Support. Acad. Radiol. 2019, 26, 1137–1145. [Google Scholar] [CrossRef]
- Hadjiiski, L.M.; Cha, K.H.; Cohan, R.H.; Chan, H.-P.; Caoili, E.M.; Davenport, M.S.; Samala, R.K.; Weizer, A.Z.; Alva, A.; Kirova-Nedyalkova, G.; et al. Intraobserver Variability in Bladder Cancer Treatment Response Assessment With and Without Computerized Decision Support. Tomography 2020, 6, 194–202. [Google Scholar]
- Saita, A.; Lughezzani, G.; Buffi, N.M.; Hurle, R.; Nava, L.; Colombo, P.; Diana, P.; Fasulo, V.; Paciotti, M.; Elefante, G.M.; et al. Assessing the Feasibility and Accuracy of High-resolution Microultrasound Imaging for Bladder Cancer Detection and Staging. Eur. Urol. 2020, 77, 727–732. [Google Scholar] [CrossRef]
- Ark, J.T.; Keegan, K.A.; Barocas, D.A.; Morgan, T.M.; Resnick, M.J.; You, C.; Cookson, M.S.; Penson, D.F.; Davis, R.; Clark, P.E.; et al. Incidence and predictors of understaging in patients with clinical T1 urothelial carcinoma undergoing radical cystectomy. BJU Int. 2014, 113, 894–899. [Google Scholar] [CrossRef] [PubMed]
- Verma, S.; Rajesh, A.; Prasad, S.R.; Gaitonde, K.; Lall, C.G.; Mouraviev, V.; Aeron, G.; Bracken, R.B.; Sandrasegaran, K. Urinary Bladder Cancer: Role of MR Imaging. Radiographics 2012, 32, 371–387. [Google Scholar] [CrossRef]
- Pecoraro, M.; Takeuchi, M.; Vargas, H.A.; Muglia, V.F.; Cipollari, S.; Catalano, C.; Panebianco, V. Overview of VI-RADS in Bladder Cancer. Am. J. Roentgenol. 2020, 214, 1259–1268. [Google Scholar] [CrossRef] [PubMed]
- Svatek, R.S.; Shariat, S.F.; Novara, N.; Skinner, E.C.; Fradet, Y.; Bastian, P.J.; Kamat, A.M.; Kassouf, W.; Karakiewicz, P.I.; Fritsche, H.M.; et al. Discrepancy between clinical and pathological stage: External validation of the impact on prognosis in an international radical cystectomy cohort. BJU Int. 2011, 107, 898–904. [Google Scholar] [CrossRef] [PubMed]
- Gordetsky, J.; Collingwood, R.; Lai, W.S.; Pena, M.D.C.R.; Rais-Bahrami, S. Second Opinion Expert Pathology Review in Bladder Cancer: Implications for Patient Care. Int. J. Surg. Pathol. 2017, 26, 12–17. [Google Scholar] [CrossRef] [PubMed]
- Tekes, A.; Kamel, I.R.; Imam, K.; Szarf, G.; Schoenberg, M.; Nasir, K.; Thompson, R.; Bluemke, D.A. Dynamic MRI of Bladder Cancer: Evaluation of Staging Accuracy. Am. J. Roentgenol. 2005, 184, 121–127. [Google Scholar] [CrossRef]
- Panebianco, V.; Narumi, Y.; Altun, E.; Bochner, B.H.; Efstathiou, J.A.; Hafeez, S.; Huddart, R.; Kennish, S.; Lerner, S.; Montironi, R.; et al. Multiparametric Magnetic Resonance Imaging for Bladder Cancer: Development of VI-RADS (Vesical Imaging-Reporting And Data System). Eur. Urol. 2018, 74, 294–306. [Google Scholar] [CrossRef]
- Polanec, S.H.; Lazar, M.; Wengert, G.J.; Bickel, H.; Spick, C.; Susani, M.; Shariat, S.; Clauser, P.; Baltzer, P.A. 3D T2-weighted imaging to shorten multiparametric prostate MRI protocols. Eur. Radiol. 2017, 28, 1634–1641. [Google Scholar] [CrossRef]
- Turkbey, B.; Rosenkrantz, A.B.; Haider, M.A.; Padhani, A.R.; Villeirs, G.; Macura, K.J.; Tempany, C.M.; Choyke, P.L.; Cornud, F.; Margolis, D.J.; et al. Prostate Imaging Reporting and Data System Version 2.1: 2019 Update of Prostate Imaging Reporting and Data System Version 2. Eur. Urol. 2019, 76, 340–351. [Google Scholar] [CrossRef]
- Weiss, J.; Martirosian, P.; Notohamiprodjo, M.; Kaufmann, S.; Othman, A.E.; Grosse, U.; Nikolaou, K.; Gatidis, S. Implementation of a 5-Minute Magnetic Resonance Imaging Screening Protocol for Prostate Cancer in Men With Elevated Prostate-Specific Antigen Before Biopsy. Investig. Radiol. 2018, 53, 186–190. [Google Scholar] [CrossRef]
- Nguyen, H.T.; Pohar, K.S.; Jia, G.; Shah, Z.K.; Mortazavi, A.; Zynger, D.L.; Wei, L.; Clark, D.; Yang, X.; Knopp, M.V. Improving Bladder Cancer Imaging Using 3-T Functional Dynamic Contrast-Enhanced Magnetic Resonance Imaging. Investig. Radiol. 2014, 49, 390–395. [Google Scholar] [CrossRef]
- Caglic, I.; Panebianco, V.; Vargas, H.A.; Bura, V.; Woo, S.; Pecoraro, M.; Cipollari, S.; Sala, E.; Barrett, T. MRI of Bladder Cancer: Local and Nodal Staging. J. Magn. Reson. Imaging 2020. [Google Scholar] [CrossRef]
- Ueno, Y.; Tamada, T.; Takeuchi, M.; Sofue, K.; Takahashi, S.; Kamishima, Y.; Urase, Y.; Kido, A.; Hinata, N.; Harada, K.; et al. Vesicle Imaging and Data Reporting System (VI-RADS): Multi-institutional multi-reader diagnostic accuracy and inter-observer agreement study. Am. J. Roentgenol 2020. [Google Scholar] [CrossRef] [PubMed]
- Kim, S.H. Validation of vesical imaging reporting and data system for assessing muscle invasion in bladder tumor. Abdom. Radiol. 2019, 45, 491–498. [Google Scholar] [CrossRef] [PubMed]
- Marchioni, M.; Primiceri, G.; Delli Pizzi, A.; Basilico, R.; Berardinelli, F.; Mincuzzi, E.; Castellucci, R.; Sessa, B.; Di Nicola, M.; Schips, L. Could Bladder Multiparametric MRI Be Introduced in Routine Clinical Practice? Role of the New VI-RADS Score: Results from a Prospective Study. Clin. Genitourin. Cancer 2020. [Google Scholar] [CrossRef]
- Takeuchi, M.; Sasaki, S.; Ito, M.; Okada, S.; Takahashi, S.; Kawai, T.; Suzuki, K.; Oshima, H.; Hara, M.; Shibamoto, Y. Urinary Bladder Cancer: Diffusion-weighted MR Imaging—Accuracy for Diagnosing T Stage and Estimating Histologic Grade. Radiology 2009, 251, 112–121. [Google Scholar] [CrossRef]
- Costantini, C.; Millard, F. Update on Chemotherapy in the Treatment of Urothelial Carcinoma. Sci. World J. 2011, 11, 1981–1994. [Google Scholar] [CrossRef]
- Huo, J.; Chu, Y.; Chamie, K.; Smaldone, M.C.; Boorjian, S.A.; Baillargeon, J.G.; Kuo, Y.-F.; Kerr, P.S.; O’Malley, P.; Orihuela, E.; et al. Increased Utilization of Positron Emission Tomography/Computed Tomography (PET/CT) Imaging and Its Economic Impact for Patients Diagnosed With Bladder Cancer. Clin. Genitourin. Cancer 2018, 16, e99–e111. [Google Scholar] [CrossRef]
- Maganty, A.; Ii, R.M.T.; Yabes, J.G.; Heron, D.E.; Gingrich, J.R.; Davies, B.J.; Jacobs, B.L. Increasing use of positron emission tomography among medicare beneficiaries undergoing radical cystectomy. Eur. J. Cancer Care 2020, e13230. [Google Scholar] [CrossRef]
- Zattoni, F.; Incerti, E.; Moro, F.D.; Moschini, M.; Castelluci, P.; Panareo, S.; Picchio, M.; Fallanca, F.; Briganti, A.; Gallina, A.; et al. 18F-FDG PET/CT and Urothelial Carcinoma: Impact on Management and Prognosis-A Multicenter Retrospective Study. Cancers 2019, 11, 700. [Google Scholar] [CrossRef]
- Van der Pol, C.B.; Sahni, A.; Eberhardt, S.C.; Oto, A.; Akin, O.; Alexander, L.F.; Allen, B.C.; Coakley, F.V.; Froemming, A.T.; Fulgham, P.F.; et al. ACR Appropriateness Criteria(®) Pretreatment Staging of Muscle-Invasive Bladder Cancer. J. Am. Coll. Radiol. 2018, 15, S150–S159. [Google Scholar] [CrossRef]
- Agarwal, K.K.; Roy, S.G.; Kumar, R. Diuretic 18F-Fluorodeoxyglucose PET/Computed Tomography in Evaluation of Genitourinary Malignancies. PET Clin. 2016, 11, 39–46. [Google Scholar] [CrossRef]
- Yan, H.; Zhou, X.; Wang, X.; Li, R.; Shi, Y.; Xia, Q.; Wan, L.; Huang, G.; Liu, J. Delayed 18F FDG PET/CT Imaging in the Assessment of Residual Tumors after Transurethral Resection of Bladder Cancer. Radiology 2019, 293, 144–150. [Google Scholar] [CrossRef] [PubMed]
- Soubra, A.; Hayward, D.; Dahm, P.; Goldfarb, R.; Froehlich, J.; Jha, G.; Konety, B. The diagnostic accuracy of 18F-fluorodeoxyglucose positron emission tomography and computed tomography in staging bladder cancer: A single-institution study and a systematic review with meta-analysis. World J. Urol. 2016, 34, 1229–1237. [Google Scholar] [CrossRef]
- Ha, H.K.; Koo, P.J.; Kim, S.-J. Diagnostic Accuracy of F-18 FDG PET/CT for Preoperative Lymph Node Staging in Newly Diagnosed Bladder Cancer Patients: A Systematic Review and Meta-Analysis. Oncology 2018, 95, 31–38. [Google Scholar] [CrossRef] [PubMed]
- Crozier, J.; Papa, N.; Perera, M.; Ngo, B.; Bolton, D.; Sengupta, S.; Lawrentschuk, N. Comparative sensitivity and specificity of imaging modalities in staging bladder cancer prior to radical cystectomy: A systematic review and meta-analysis. World J. Urol. 2019, 37, 667–690. [Google Scholar] [CrossRef] [PubMed]
- Uttam, M.; Pravin, N.; Anish, B.; Nandita, K.; Arup, M. Is [F-18]-fluorodeoxyglucose FDG-PET/CT better than ct alone for the preoperative lymph node staging of muscle invasive bladder cancer? Int. Braz. J. Urol. 2016, 42, 234–241. [Google Scholar] [CrossRef] [PubMed]
- Girard, A.; Rouanne, M.; Taconet, S.; Radulescu, C.; Neuzillet, Y.; Girma, A.; Beaufrere, A.; Lebret, T.; Le Stanc, E.; Grellier, J.-F. Integrated analysis of 18F-FDG PET/CT improves preoperative lymph node staging for patients with invasive bladder cancer. Eur. Radiol. 2019, 29, 4286–4293. [Google Scholar] [CrossRef]
- Chen, R.; Zhou, X.; Liu, J.; Huang, G. Relationship between the expression of PD-1/PD-L1 and (18)F-FDG uptake in bladder cancer. Eur. J. Nucl. Med. Mol. Imaging 2019, 46, 848–854. [Google Scholar] [CrossRef]
- Soubra, A.; Gencturk, M.; Froelich, J.; Balaji, P.; Gupta, S.; Jha, G.; Konety, B.R. FDG-PET/CT for Assessing the Response to Neoadjuvant Chemotherapy in Bladder Cancer Patients. Clin. Genitourin. Cancer 2018, 16, 360–364. [Google Scholar] [CrossRef]
- Van De Putte, E.E.F.; Vegt, E.; Mertens, L.S.; Bruining, A.; Hendricksen, K.; Van Der Heijden, M.S.; Horenblas, S.; Van Rhijn, B.W.G. FDG-PET/CT for response evaluation of invasive bladder cancer following neoadjuvant chemotherapy. Int. Urol. Nephrol. 2017, 49, 1585–1591. [Google Scholar] [CrossRef]
- Alongi, P.; Caobelli, F.; Gentile, R.; Stefano, A.; Russo, G.; Albano, D.; Baldari, S.; Gilardi, M.C.; Midiri, M. Recurrent bladder carcinoma: Clinical and prognostic role of 18 F-FDG PET/CT. Eur. J. Nucl. Med. Mol. Imaging 2016, 44, 224–233. [Google Scholar] [CrossRef]
- Zattoni, F.; Incerti, E.; Colicchia, M.; Castelluci, P.; Panareo, S.; Picchio, M.; Fallanca, F.; Briganti, A.; Moschini, M.; Gallina, A.; et al. Comparison between the diagnostic accuracies of 18F-fluorodeoxyglucose positron emission tomography/computed tomography and conventional imaging in recurrent urothelial carcinomas: A retrospective, multicenter study. Abdom. Radiol. 2018, 43, 2391–2399. [Google Scholar] [CrossRef] [PubMed]
- Xue, M.; Liu, L.; Du, G.; Fu, Z. Diagnostic Evaluation of 18F-FDG PET/CT Imaging in Recurrent or Residual Urinary Bladder Cancer: A Meta-Analysis. Urol J. 2020. [Google Scholar] [CrossRef]
- Kim, S.-J.; Koo, P.J.; Pak, K.; Kim, I.-J.; Kim, K. Diagnostic accuracy of C-11 choline and C-11 acetate for lymph node staging in patients with bladder cancer: A systematic review and meta-analysis. World J. Urol. 2018, 36, 331–340. [Google Scholar] [CrossRef]
- Eulitt, P.J.; Altun, E.; Sheikh, A.; Wong, T.Z.; Woods, M.E.; Rose, T.L.; Wallen, E.M.; Pruthi, R.S.; Smith, A.B.; Nielsen, M.E.; et al. Pilot Study of [(18)F] Fluorodeoxyglucose Positron Emission Tomography (FDG-PET)/Magnetic Resonance Imaging (MRI) for Staging of Muscle-invasive Bladder Cancer (MIBC). Clin. Genitourin. Cancer 2020, in press. [Google Scholar] [CrossRef]
- Rosenkrantz, A.B.; Friedman, K.P.; Ponzo, F.; Raad, R.A.; Jackson, K.; Huang, W.C.; Balar, A.V. Prospective Pilot Study to Evaluate the Incremental Value of PET Information in Patients With Bladder Cancer Undergoing 18F-FDG Simultaneous PET/MRI. Clin. Nucl. Med. 2017, 42, e8–e15. [Google Scholar] [CrossRef] [PubMed]
- Salminen, A.P.; Jambor, I.; Merisaari, H.; Ettala, O.; Virtanen, J.M.; Koskinen, I.; Veskimae, E.; Sairanen, J.; Taimen, P.; Kemppainen, J.; et al. 11C-acetate PET/MRI in bladder cancer staging and treatment response evaluation to neoadjuvant chemotherapy: A prospective multicenter study (ACEBIB trial). Cancer Imaging 2018, 18, 25. [Google Scholar] [CrossRef]



© 2020 by the authors. Licensee MDPI, Basel, Switzerland. This article is an open access article distributed under the terms and conditions of the Creative Commons Attribution (CC BY) license (http://creativecommons.org/licenses/by/4.0/).
Share and Cite
Galgano, S.J.; Porter, K.K.; Burgan, C.; Rais-Bahrami, S. The Role of Imaging in Bladder Cancer Diagnosis and Staging. Diagnostics 2020, 10, 703. https://doi.org/10.3390/diagnostics10090703
Galgano SJ, Porter KK, Burgan C, Rais-Bahrami S. The Role of Imaging in Bladder Cancer Diagnosis and Staging. Diagnostics. 2020; 10(9):703. https://doi.org/10.3390/diagnostics10090703
Chicago/Turabian StyleGalgano, Samuel J., Kristin K. Porter, Constantine Burgan, and Soroush Rais-Bahrami. 2020. "The Role of Imaging in Bladder Cancer Diagnosis and Staging" Diagnostics 10, no. 9: 703. https://doi.org/10.3390/diagnostics10090703
APA StyleGalgano, S. J., Porter, K. K., Burgan, C., & Rais-Bahrami, S. (2020). The Role of Imaging in Bladder Cancer Diagnosis and Staging. Diagnostics, 10(9), 703. https://doi.org/10.3390/diagnostics10090703

