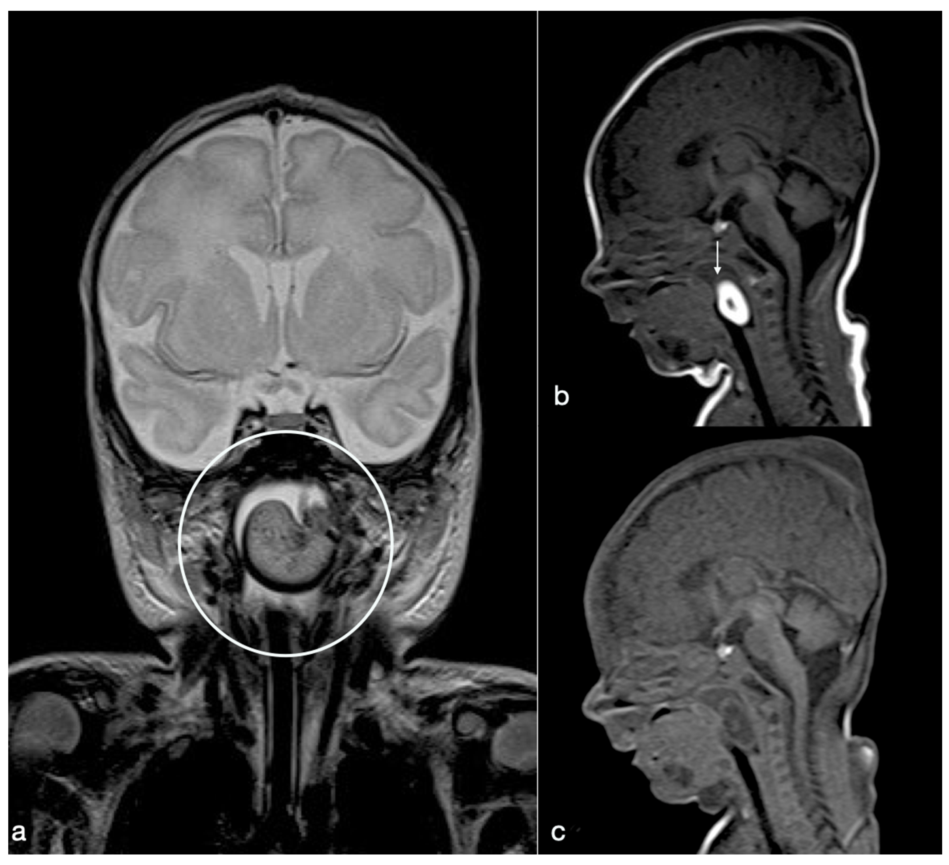
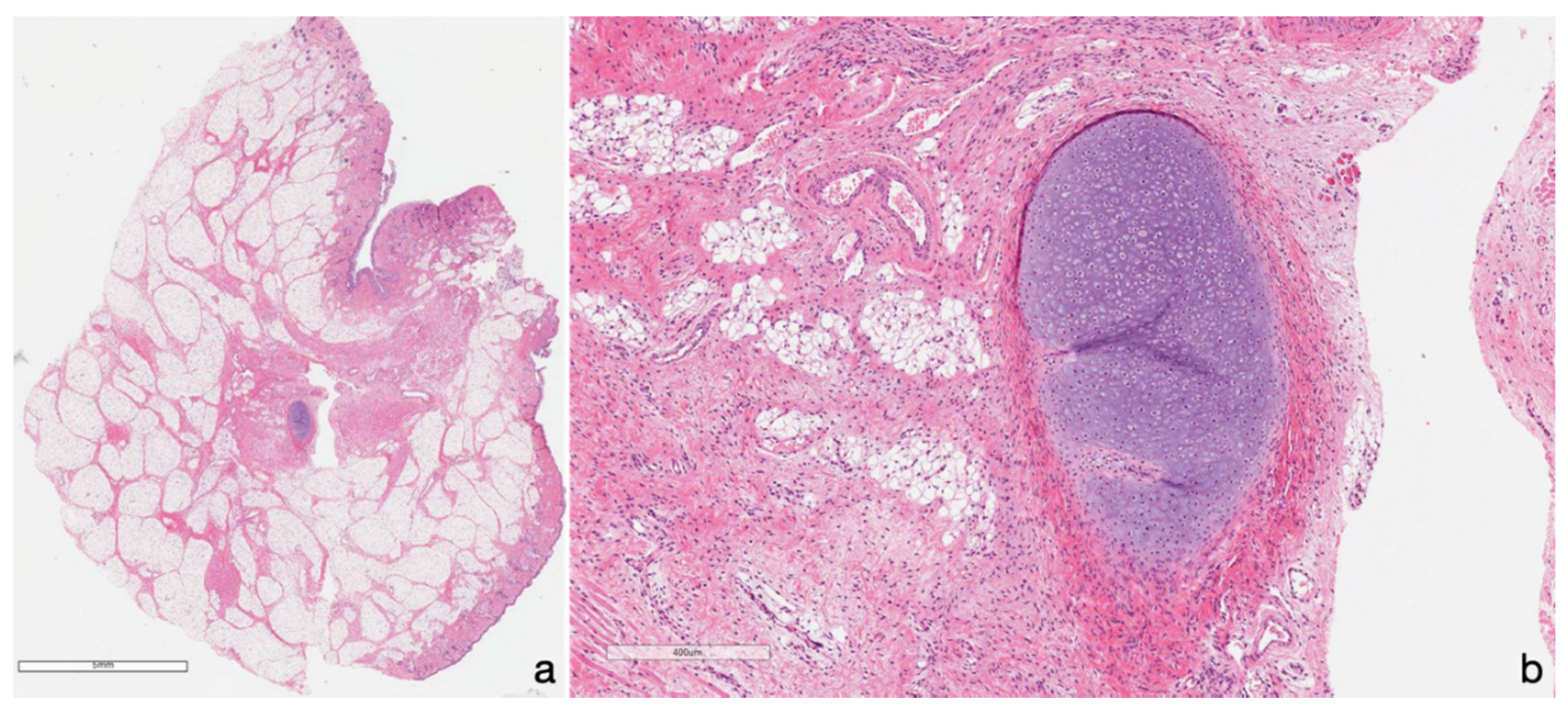
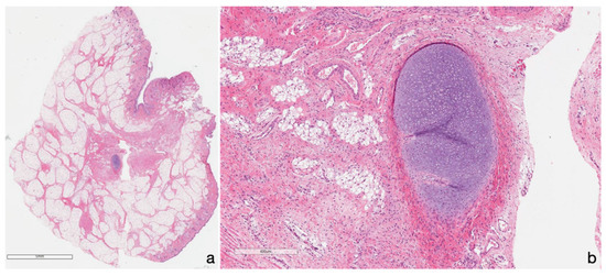
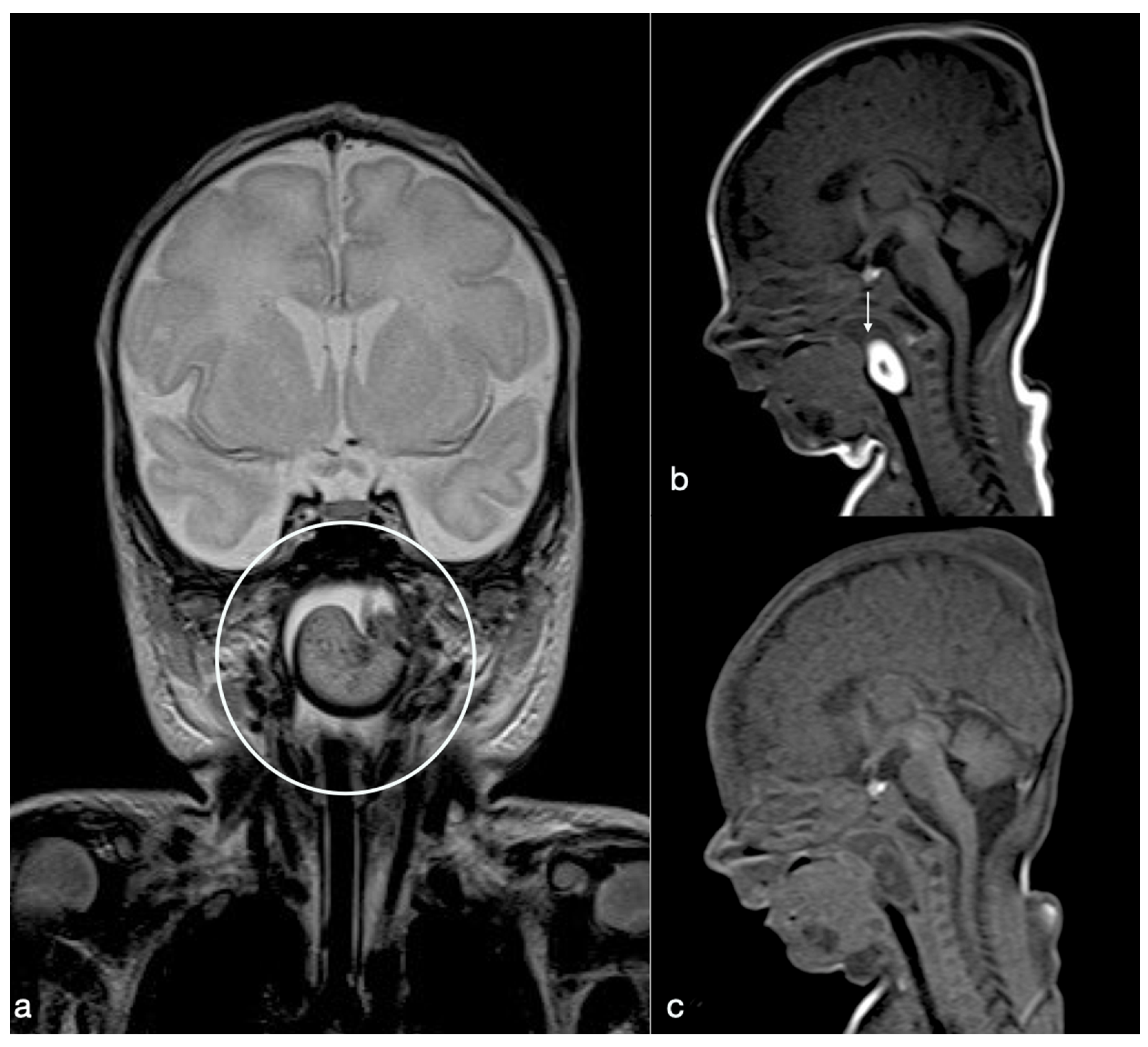
Oropharyngeal Hairy Polyp: A Case of Respiratory Failure in a Newborn
Abstract


Author Contributions
Consent for Publication
Funding
Conflicts of Interest
References
- Wagner, M.W.; Haileselassie, B.; Kannan, S.; Chen, C.; Poretti, A.; Tunkel, D.E.; Huisman, T.A. Oropharyngeal Dermoid Cyst in an Infant with Intermittent Airway Obstruction: A Case Report. Neuroradiol. J. 2014, 27, 627–631. [Google Scholar] [CrossRef] [PubMed]
- Manica, D.; Saleh Neto, C.; Schweiger, C.; Cortina, M.; Kuhl, G. Dermoid of the Nasopharynx Causing Neonatal Respiratory Distress. Int. Arch. Otorhinolaryngol. 2013, 17, 407–408. [Google Scholar] [PubMed]
- Eti, C.M.; İsmi, O.; Arpacı, R.B.; Vayısoğlu, Y. Oropharyngeal Hairy Polyp Causing Dysphagia. Turk. Arch. Otorhinolaryngol. 2015, 53, 188–191. [Google Scholar] [CrossRef] [PubMed]
- Kraft, J.K.; Knight, L.C.; Cullinane, C. US and MRI of a pharyngeal hairy polyp with pathological correlation. Pediatr. Radiol. 2011, 41, 1208–1211. [Google Scholar] [CrossRef] [PubMed]
- Orozco-Covarrubias, L.; Lara-Carpio, R.; Saez-De-Ocariz, M.; Duran-Mckinster, C.; Palacios-Lopez, C.; Ruiz-Maldonado, R. Dermoid cysts: A report of 75 pediatric patients. Pediatr. Dermatol. 2013, 30, 706–711. [Google Scholar] [CrossRef] [PubMed]
- Yilmaz, M.; Ibrahimov, M.; Ozturk, O.; Karaman, E.; Aslan, M. Congenital hairy polyp of the soft palate. Int. J. Pediatr. Otorhinolaryngol. 2012, 76, 5–8. [Google Scholar] [CrossRef] [PubMed]
- McAvoy, J.M.; Zucherbraun, L. Dermoid cysts of the head and neck in children. Arch. Otolaryngol. 1976, 102, 529–531. [Google Scholar] [CrossRef] [PubMed]
- Pollard, Z.F.; Harley, R.D.; Calhoun, J. Dermoid cysts in children. Pediatrics 1976, 57, 379–382. [Google Scholar] [PubMed]
- Agrawal, N.; Kanabar, D.; Morrison, G.A. Combined transoral and nasendoscopic resection of an eustachian tube hairy polyp causing neonatal respiratory distress. Am. J. Otolaryngol. 2009, 30, 343–346. [Google Scholar] [CrossRef] [PubMed]
- Peter, J.C.; Sinclair-Smith, C.; de Villiers, J.C. Midline dermal sinuses and cysts and their relationship to the central nervous system. Eur. J. Pediatr. Surg. 1991, 1, 73–79. [Google Scholar] [CrossRef] [PubMed]
- Hanikeri, M.; Waterhouse, N.; Kirkpatrick, N.; Peterson, D.; Macleod, I. The management of midline transcranial nasal dermoid sinus cysts. Br. J. Plast. Surg. 2005, 58, 1043–1050. [Google Scholar] [CrossRef] [PubMed]
© 2020 by the authors. Licensee MDPI, Basel, Switzerland. This article is an open access article distributed under the terms and conditions of the Creative Commons Attribution (CC BY) license (http://creativecommons.org/licenses/by/4.0/).
Share and Cite
Feraco, P.; Bragantini, E.; Incandela, F.; Gagliardo, C.; Silvestrini, M. Oropharyngeal Hairy Polyp: A Case of Respiratory Failure in a Newborn. Diagnostics 2020, 10, 465. https://doi.org/10.3390/diagnostics10070465
Feraco P, Bragantini E, Incandela F, Gagliardo C, Silvestrini M. Oropharyngeal Hairy Polyp: A Case of Respiratory Failure in a Newborn. Diagnostics. 2020; 10(7):465. https://doi.org/10.3390/diagnostics10070465
Chicago/Turabian StyleFeraco, Paola, Emma Bragantini, Francesca Incandela, Cesare Gagliardo, and Marina Silvestrini. 2020. "Oropharyngeal Hairy Polyp: A Case of Respiratory Failure in a Newborn" Diagnostics 10, no. 7: 465. https://doi.org/10.3390/diagnostics10070465
APA StyleFeraco, P., Bragantini, E., Incandela, F., Gagliardo, C., & Silvestrini, M. (2020). Oropharyngeal Hairy Polyp: A Case of Respiratory Failure in a Newborn. Diagnostics, 10(7), 465. https://doi.org/10.3390/diagnostics10070465

