Current Status of Needles in the Optimization of Endoscopic Ultrasound-Guided Procedures
Abstract
1. Introduction
2. The History of Needle Development
3. Needle Size
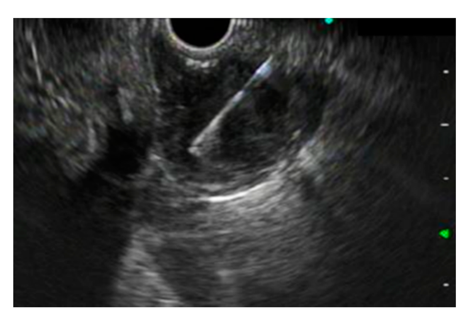
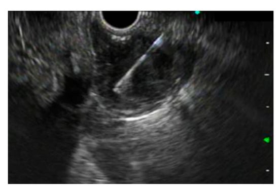
4. EUS-FNB
5. EUS-FNB vs. EUS-FNA
6. Interventional EUS
7. The Use of Through-the-Needle Imaging
8. Conclusions
Author Contributions
Funding
Conflicts of Interest
References
- Irisawa, A.; Yamao, K. Curved linear array EUS technique in the pancreas and biliary tree: Focusing on the stations. Gastrointest. Endosc. 2009, 69, S84–S89. [Google Scholar] [CrossRef] [PubMed]
- Haba, S.; Yamao, K.; Bhatia, V.; Mizuno, N.; Hara, K.; Hijioka, S.; Imaoka, H.; Niwa, Y.; Tajika, M.; Kondo, S.; et al. Diagnostic ability and factors affecting accuracy of endoscopic ultrasound-guided fine needle aspiration for pancreatic solid lesions: Japanese large single center experience. J. Gastroenterol. 2013, 48, 973–981. [Google Scholar] [CrossRef] [PubMed]
- Mekky, M.A.; Yamao, K.; Sawaki, A.; Mizuno, N.; Hara, K.; Nafeh, M.A.; Osman, A.M.; Koshikawa, T.; Yatabe, Y.; Bhatia, V. Diagnostic utility of EUS-guided FNA in patients with gastric submucosal tumors. Gastrointest. Endosc. 2010, 71, 913–919. [Google Scholar] [CrossRef] [PubMed]
- Yasuda, I.; Tsurumi, H.; Omar, S.; Iwashita, T.; Kojima, Y.; Yamada, T.; Sawada, M.; Takami, T.; Moriwaki, H.; Soehendra, N. Endoscopic ultrasound-guided fine-needle aspiration biopsy for lymphadenopathy of unknown origin. Endoscopy 2006, 38, 919–924. [Google Scholar] [CrossRef]
- Horwhat, J.D.; Paulson, E.K.; McGrath, K.; Branch, M.S.; Baillie, J.; Tyler, D.; Pappas, T.; Enns, R.; Robuck, G.; Stiffler, H.; et al. A randomized comparison of EUS-guided FNA versus CT or US-guided FNA for the evaluation of pancreatic mass lesions. Gastrointest. Endosc. 2006, 63, 966–975. [Google Scholar] [CrossRef] [PubMed]
- Khalid, A.; Nodit, L.; Zahid, M.; Bauer, K.; Brody, D.; Finkelstein, S.D.; McGrath, K.M. Endoscopic ultrasound fine needle aspirate DNA analysis to differentiate malignant and benign pancreatic masses. Am. J. Gastroenterol. 2006, 101, 2493–2500. [Google Scholar] [CrossRef]
- Eloubeidi, M.A.; Chen, V.K.; Eltoum, I.A.; Jhala, D.; Chhieng, D.C.; Jhala, N.; Vickers, S.M.; Wilcox, C.M. Endoscopic ultrasound-guided fine needle aspiration biopsy of patients with suspected pancreatic cancer: Diagnostic accuracy and acute and 30-day complications. Am. J. Gastroenterol. 2003, 98, 2663–2668. [Google Scholar] [CrossRef]
- Catalano, M.F.; Rosenblatt, M.L.; Chak, A.; Sivak, M.V., Jr.; Scheiman, J.; Gress, F. Endoscopic ultrasound-guided fine needle aspiration in the diagnosis of mediastinal masses of unknown origin. Am. J. Gastroenterol. 2002, 97, 2559–2565. [Google Scholar] [CrossRef][Green Version]
- Tournoy, K.G.; Praet, M.M.; Van Maele, G.; Van Meerbeeck, J.P. Esophageal endoscopic ultrasound with fine-needle aspiration with an on-site cytopathologist: High accuracy for the diagnosis of mediastinal lymphadenopathy. Chest 2005, 128, 3004–3009. [Google Scholar] [CrossRef]
- Yasuda, I.; Goto, N.; Tsurumi, H.; Nakashima, M.; Doi, S.; Iwashita, T.; Kanemura, N.; Kasahara, S.; Adachi, S.; Hara, T.; et al. Endoscopic ultrasound-guided fine needle aspiration biopsy for diagnosis of lymphoproliferative disorders: Feasibility of immunohistological, flow cytometric, and cytogenetic assessments. Am. J. Gastroenterol. 2012, 107, 397–404. [Google Scholar] [CrossRef]
- Philipper, M.; Hollerbach, S.; Gabbert, H.E.; Heikaus, S.; Bocking, A.; Pomjanski, N.; Neuhaus, H.; Frieling, T.; Schumacher, B. Prospective comparison of endoscopic ultrasound-guided fine-needle aspiration and surgical histology in upper gastrointestinal submucosal tumors. Endoscopy 2010, 42, 300–305. [Google Scholar] [CrossRef] [PubMed]
- Singh, P.; Mukhopadhyay, P.; Bhatt, B.; Patel, T.; Kiss, A.; Gupta, R.; Bhat, S.; Erickson, R.A. Endoscopic ultrasound versus CT scan for detection of the metastases to the liver: Results of a prospective comparative study. J. Clin. Gastroenterol. 2009, 43, 367–373. [Google Scholar] [CrossRef] [PubMed]
- DeWitt, J.; Alsatie, M.; LeBlanc, J.; McHenry, L.; Sherman, S. Endoscopic ultrasound-guided fine-needle aspiration of left adrenal gland masses. Endoscopy 2007, 39, 65–71. [Google Scholar] [CrossRef] [PubMed]
- Lee, J.H.; Salem, R.; Aslanian, H.; Chacho, M.; Topazian, M. Endoscopic ultrasound and fine-needle aspiration of unexplained bile duct strictures. Am. J. Gastroenterol. 2004, 99, 1069–1073. [Google Scholar] [CrossRef]
- Eloubeidi, M.A.; Chen, V.K.; Jhala, N.C.; Eltoum, I.E.; Jhala, D.; Chhieng, D.C.; Syed, S.A.; Vickers, S.M.; Mel Wilcox, C. Endoscopic ultrasound-guided fine needle aspiration biopsy of suspected cholangiocarcinoma. Clin. Gastroenterol. Hepatol. 2004, 2, 209–213. [Google Scholar] [CrossRef]
- Tanaka, M.; Fernandez-Del Castillo, C.; Kamisawa, T.; Jang, J.Y.; Levy, P.; Ohtsuka, T.; Salvia, R.; Shimizu, Y.; Tada, M.; Wolfgang, C.L. Revisions of international consensus Fukuoka guidelines for the management of IPMN of the pancreas. Pancreatology 2017, 17, 738–753. [Google Scholar] [CrossRef]
- Hirooka, Y.; Goto, H.; Itoh, A.; Hashimoto, S.; Niwa, K.; Ishikawa, H.; Okada, N.; Itoh, T.; Kawashima, H. Case of intraductal papillary mucinous tumor in which endosonography-guided fine-needle aspiration biopsy caused dissemination. J. Gastroenterol. Hepatol. 2003, 18, 1323–1324. [Google Scholar] [CrossRef]
- Hebert-Magee, S.; Bae, S.; Varadarajulu, S.; Ramesh, J.; Frost, A.R.; Eloubeidi, M.A.; Eltoum, I.A. The presence of a cytopathologist increases the diagnostic accuracy of endoscopic ultrasound-guided fine needle aspiration cytology for pancreatic adenocarcinoma: A meta-analysis. Cytopathology 2013, 24, 159–171. [Google Scholar] [CrossRef]
- Hewitt, M.J.; McPhail, M.J.; Possamai, L.; Dhar, A.; Vlavianos, P.; Monahan, K.J. EUS-guided FNA for diagnosis of solid pancreatic neoplasms: A meta-analysis. Gastrointest. Endosc. 2012, 75, 319–331. [Google Scholar] [CrossRef]
- Puli, S.R.; Bechtold, M.L.; Buxbaum, J.L.; Eloubeidi, M.A. How good is endoscopic ultrasound-guided fine-needle aspiration in diagnosing the correct etiology for a solid pancreatic mass? A meta-analysis and systematic review. Pancreas 2013, 42, 20–26. [Google Scholar] [CrossRef]
- Wang, K.X.; Ben, Q.W.; Jin, Z.D.; Du, Y.Q.; Zou, D.W.; Liao, Z.; Li, Z.S. Assessment of morbidity and mortality associated with EUS-guided FNA: A systematic review. Gastrointest. Endosc. 2011, 73, 283–290. [Google Scholar] [CrossRef] [PubMed]
- Wani, S.; Muthusamy, V.R.; Komanduri, S. EUS-guided tissue acquisition: An evidence-based approach (with videos). Gastrointest. Endosc. 2014, 80, 939–959. [Google Scholar] [CrossRef] [PubMed]
- Gress, F.G. The Early History of Interventional Endoscopic Ultrasound. Gastrointest. Endosc. Clin. N. Am. 2017, 27, 547–550. [Google Scholar] [CrossRef] [PubMed]
- Strohm, W.D.; Phillip, J.; Hagenmuller, F.; Classen, M. Ultrasonic tomography by means of an ultrasonic fiberendoscope. Endoscopy 1980, 12, 241–244. [Google Scholar] [CrossRef] [PubMed]
- Vilmann, P.; Jacobsen, G.K.; Henriksen, F.W.; Hancke, S. Endoscopic ultrasonography with guided fine needle aspiration biopsy in pancreatic disease. Gastrointest. Endosc. 1992, 38, 172–173. [Google Scholar] [CrossRef]
- Vilmann, P.; Saftoiu, A. Endoscopic ultrasound-guided fine needle aspiration biopsy: Equipment and technique. J. Gastroenterol. Hepatol. 2006, 21, 1646–1655. [Google Scholar] [CrossRef]
- Vilmann, P.; Hancke, S.; Henriksen, F.W.; Jacobsen, G.K. Endosonographically-guided fine needle aspiration biopsy of malignant lesions in the upper gastrointestinal tract. Endoscopy 1993, 25, 523–527. [Google Scholar] [CrossRef]
- Vilmann, P.; Hancke, S. A new biopsy handle instrument for endoscopic ultrasound-guided fine-needle aspiration biopsy. Gastrointest. Endosc. 1996, 43, 238–242. [Google Scholar] [CrossRef]
- Binmoeller, K.F.; Jabusch, H.C.; Seifert, H.; Soehendra, N. Endosonography-guided fine-needle biopsy of indurated pancreatic lesions using an automated biopsy device. Endoscopy 1997, 29, 384–388. [Google Scholar] [CrossRef]
- Fujita, A.; Ryozawa, S.; Kobayashi, M.; Araki, R.; Nagata, K.; Minami, K.; Tanisaka, Y.; Kobatake, T.; Mizuide, M. Diagnostic ability of a 22G Franseen needle in endoscopic ultrasound-guided fine needle aspiration of subepithelial lesions. Mol. Clin. Oncol. 2018, 9, 527–531. [Google Scholar] [CrossRef]
- Fujita, A.; Ryozawa, S.; Mizuide, M.; Araki, R.; Nagata, K.; Tanisaka, Y.; Harada, M.; Ogawa, T.; Tashima, T.; Nonaka, K. Does endoscopic ultrasound-guided fine needle biopsy using a Franseen needle really offer high diagnostic accuracy? A propensity-matched analysis. Endosc. Int. Open 2019, 7, e1327–e1332. [Google Scholar] [CrossRef] [PubMed]
- Wiersema, M.J.; Levy, M.J.; Harewood, G.C.; Vazquez-Sequeiros, E.; Jondal, M.L.; Wiersema, L.M. Initial experience with EUS-guided trucut needle biopsies of perigastric organs. Gastrointest. Endosc. 2002, 56, 275–278. [Google Scholar] [CrossRef]
- Gleeson, F.C.; Clayton, A.C.; Zhang, L.; Clain, J.E.; Gores, G.J.; Rajan, E.; Smyrk, T.C.; Topazian, M.D.; Wang, K.K.; Wiersema, M.J.; et al. Adequacy of endoscopic ultrasound core needle biopsy specimen of nonmalignant hepatic parenchymal disease. Clin. Gastroenterol. Hepatol. 2008, 6, 1437–1440. [Google Scholar] [CrossRef] [PubMed]
- Fabbri, C.; Fornelli, A.; Fuccio, L.; Giovanelli, S.; Tarantino, I.; Antonini, F.; Liotta, R.; Frazzoni, L.; Gusella, P.; La Marca, M.; et al. High diagnostic adequacy and accuracy of the new 20G procore needle for EUS-guided tissue acquisition: Results of a large multicentre retrospective study. Endosc. Ultrasound 2019, 8, 261–268. [Google Scholar] [CrossRef]
- Iglesias-Garcia, J.; Poley, J.W.; Larghi, A.; Giovannini, M.; Petrone, M.C.; Abdulkader, I.; Monges, G.; Costamagna, G.; Arcidiacono, P.; Biermann, K.; et al. Feasibility and yield of a new EUS histology needle: Results from a multicenter, pooled, cohort study. Gastrointest. Endosc. 2011, 73, 1189–1196. [Google Scholar] [CrossRef]
- DeWitt, J.; Cho, C.M.; Lin, J.; Al-Haddad, M.; Canto, M.I.; Salamone, A.; Hruban, R.H.; Messallam, A.A.; Khashab, M.A. Comparison of EUS-guided tissue acquisition using two different 19-gauge core biopsy needles: A multicenter, prospective, randomized, and blinded study. Endosc. Int. Open 2015, 3, e471–e478. [Google Scholar] [CrossRef][Green Version]
- Adler, D.G.; Witt, B.; Chadwick, B.; Wells, J.; Taylor, L.J.; Dimaio, C.; Schmidt, R. Pathologic evaluation of a new endoscopic ultrasound needle designed to obtain core tissue samples: A pilot study. Endosc. Ultrasound 2016, 5, 178–183. [Google Scholar] [CrossRef]
- Bang, J.Y.; Hebert-Magee, S.; Hasan, M.K.; Navaneethan, U.; Hawes, R.; Varadarajulu, S. Endoscopic ultrasonography-guided biopsy using a Franseen needle design: Initial assessment. Dig. Endosc. Off. J. Jpn. Gastroenterol. Endosc. Soc. 2017, 29, 338–346. [Google Scholar] [CrossRef]
- Iwashita, T.; Yasuda, I.; Doi, S.; Ando, N.; Nakashima, M.; Adachi, S.; Hirose, Y.; Mukai, T.; Iwata, K.; Tomita, E.; et al. Use of samples from endoscopic ultrasound-guided 19-gauge fine-needle aspiration in diagnosis of autoimmune pancreatitis. Clin. Gastroenterol. Hepatol. 2012, 10, 316–322. [Google Scholar] [CrossRef]
- Vilmann, P.; Seicean, A.; Saftoiu, A. Tips to overcome technical challenges in EUS-guided tissue acquisition. Gastrointest. Endosc. Clin. N. Am. 2014, 24, 109–124. [Google Scholar] [CrossRef]
- Affolter, K.E.; Schmidt, R.L.; Matynia, A.P.; Adler, D.G.; Factor, R.E. Needle size has only a limited effect on outcomes in EUS-guided fine needle aspiration: A systematic review and meta-analysis. Dig. Dis. Sci. 2013, 58, 1026–1034. [Google Scholar] [CrossRef] [PubMed]
- Tanisaka, Y.; Ryozawa, S.; Kobayashi, M.; Harada, M.; Kobatake, T.; Omiya, K.; Iwano, H.; Arai, S.; Nonaka, K.; Mashimo, Y. Usefulness of endoscopic ultrasound-guided fine needle aspiration for lymphadenopathy. Oncol. Lett. 2018, 15, 4759–4766. [Google Scholar] [CrossRef] [PubMed]
- Carrara, S.; Anderloni, A.; Jovani, M.; Di Tommaso, L.; Rahal, D.; Hassan, C.; Ridola, L.; Federico, D.; Loriga, A.; Repici, A. A prospective randomized study comparing 25-G and 22-G needles of a new platform for endoscopic ultrasound-guided fine needle aspiration of solid masses. Dig. Liver Dis. 2016, 48, 49–54. [Google Scholar] [CrossRef] [PubMed]
- Lee, J.H.; Stewart, J.; Ross, W.A.; Anandasabapathy, S.; Xiao, L.; Staerkel, G. Blinded prospective comparison of the performance of 22-gauge and 25-gauge needles in endoscopic ultrasound-guided fine needle aspiration of the pancreas and peri-pancreatic lesions. Dig. Dis. Sci. 2009, 54, 2274–2281. [Google Scholar] [CrossRef]
- Siddiqui, U.D.; Rossi, F.; Rosenthal, L.S.; Padda, M.S.; Murali-Dharan, V.; Aslanian, H.R. EUS-guided FNA of solid pancreatic masses: A prospective, randomized trial comparing 22-gauge and 25-gauge needles. Gastrointest. Endosc. 2009, 70, 1093–1097. [Google Scholar] [CrossRef]
- Camellini, L.; Carlinfante, G.; Azzolini, F.; Iori, V.; Cavina, M.; Sereni, G.; Decembrino, F.; Gallo, C.; Tamagnini, I.; Valli, R.; et al. A randomized clinical trial comparing 22G and 25G needles in endoscopic ultrasound-guided fine-needle aspiration of solid lesions. Endoscopy 2011, 43, 709–715. [Google Scholar] [CrossRef]
- Fabbri, C.; Polifemo, A.M.; Luigiano, C.; Cennamo, V.; Baccarini, P.; Collina, G.; Fornelli, A.; Macchia, S.; Zanini, N.; Jovine, E.; et al. Endoscopic ultrasound-guided fine needle aspiration with 22- and 25-gauge needles in solid pancreatic masses: A prospective comparative study with randomisation of needle sequence. Dig. Liver Dis. 2011, 43, 647–652. [Google Scholar] [CrossRef]
- Lee, J.K.; Lee, K.T.; Choi, E.R.; Jang, T.H.; Jang, K.T.; Lee, J.K.; Lee, K.H. A prospective, randomized trial comparing 25-gauge and 22-gauge needles for endoscopic ultrasound-guided fine needle aspiration of pancreatic masses. Scand. J. Gastroenterol. 2013, 48, 752–757. [Google Scholar] [CrossRef]
- Vilmann, P.; Saftoiu, A.; Hollerbach, S.; Skov, B.G.; Linnemann, D.; Popescu, C.F.; Wellmann, A.; Gorunescu, F.; Clementsen, P.; Freund, U.; et al. Multicenter randomized controlled trial comparing the performance of 22 gauge versus 25 gauge EUS-FNA needles in solid masses. Scand. J. Gastroenterol. 2013, 48, 877–883. [Google Scholar] [CrossRef]
- Madhoun, M.F.; Wani, S.B.; Rastogi, A.; Early, D.; Gaddam, S.; Tierney, W.M.; Maple, J.T. The diagnostic accuracy of 22-gauge and 25-gauge needles in endoscopic ultrasound-guided fine needle aspiration of solid pancreatic lesions: A meta-analysis. Endoscopy 2013, 45, 86–92. [Google Scholar] [CrossRef]
- Facciorusso, A.; Stasi, E.; Di Maso, M.; Serviddio, G.; Ali Hussein, M.S.; Muscatiello, N. Endoscopic ultrasound-guided fine needle aspiration of pancreatic lesions with 22 versus 25 Gauge needles: A meta-analysis. United Eur. Gastroenterol. J. 2017, 5, 846–853. [Google Scholar] [CrossRef]
- Xu, M.M.; Jia, H.Y.; Yan, L.L.; Li, S.S.; Zheng, Y. Comparison of two different size needles in endoscopic ultrasound-guided fine-needle aspiration for diagnosing solid pancreatic lesions: A meta-analysis of prospective controlled trials. Medicine (Baltim.) 2017, 96, e5802. [Google Scholar] [CrossRef] [PubMed]
- Guedes, H.G.; Moura, D.T.H.; Duarte, R.B.; Cordero, M.A.C.; Santos, M.; Cheng, S.; Matuguma, S.E.; Chaves, D.M.; Bernardo, W.M.; Moura, E.G.H. A comparison of the efficiency of 22G versus 25G needles in EUS-FNA for solid pancreatic mass assessment: A systematic review and meta-analysis. Clinics (Sao Paulo, Braz.) 2018, 73, e261. [Google Scholar] [CrossRef] [PubMed]
- Larghi, A.; Iglesias-Garcia, J.; Poley, J.W.; Monges, G.; Petrone, M.C.; Rindi, G.; Abdulkader, I.; Arcidiacono, P.G.; Costamagna, G.; Biermann, K.; et al. Feasibility and yield of a novel 22-gauge histology EUS needle in patients with pancreatic masses: A multicenter prospective cohort study. Surg. Endosc. 2013, 27, 3733–3738. [Google Scholar] [CrossRef] [PubMed]
- Iwashita, T.; Nakai, Y.; Samarasena, J.B.; Park, D.H.; Zhang, Z.; Gu, M.; Lee, J.G.; Chang, K.J. High single-pass diagnostic yield of a new 25-gauge core biopsy needle for EUS-guided FNA biopsy in solid pancreatic lesions. Gastrointest. Endosc. 2013, 77, 909–915. [Google Scholar] [CrossRef] [PubMed]
- Armellini, E.; Manfrin, E.; Trisolini, E.; Andorno, S.; Ballarè, M.; Bernardoni, L.; Boldorini, R.L.; Gabbrielli, A.; Frulloni, L.; Larghi, A.; et al. Histologic retrieval rate of a newly designed side-bevelled 20G needle for EUS-guided tissue acquisition of solid pancreatic lesions. United Eur. Gastroenterol. J. 2019, 7, 96–104. [Google Scholar] [CrossRef] [PubMed]
- Cho, E.; Park, C.H.; Kim, T.H.; Cho, C.M.; Seo, D.W.; Kim, J.; Choi, J.H.; Moon, S.H. A prospective, randomized, multicenter clinical trial comparing 25-gauge and 20-gauge biopsy needles for endoscopic ultrasound-guided sampling of solid pancreatic lesions. Surg. Endosc. 2020, 34, 1310–1317. [Google Scholar] [CrossRef]
- Van Riet, P.; Erler, N.; Bruno, M.; Cahen, D. Comparison of fine needle aspiration and fine needle biopsy devices for endoscopic ultrasound-guided sampling of solid lesions: A systemic review and meta-analysis. Endoscopy 2020. [Google Scholar] [CrossRef]
- DiMaio, C.J.; Kolb, J.M.; Benias, P.C.; Shah, H.; Shah, S.; Haluszka, O.; Maranki, J.; Sharzehi, K.; Lam, E.; Gordon, S.R.; et al. Initial experience with a novel EUS-guided core biopsy needle (SharkCore): Results of a large North American multicenter study. Endosc. Int. Open 2016, 4, E974–E979. [Google Scholar] [CrossRef]
- Di Leo, M.; Crinò, S.F.; Bernardoni, L.; Rahal, D.; Auriemma, F.; Correale, L.; Donato, G.; Massidda, M.; Anderloni, A.; Manfrin, E.; et al. EUS-guided core biopsies of pancreatic solid masses using a new fork-tip needle: A multicenter prospective study. Dig. Liver Dis. 2019, 51, 1275–1280. [Google Scholar] [CrossRef]
- Adler, D.G.; Muthusamy, V.R.; Ehrlich, D.S.; Parasher, G.; Thosani, N.C.; Chen, A.; Buscaglia, J.M.; Appannagari, A.; Quintero, E.; Aslanian, H.; et al. A multicenter evaluation of a new EUS core biopsy needle: Experience in 200 patients. Endosc. Ultrasound 2019, 8, 99–104. [Google Scholar] [CrossRef]
- Bang, J.Y.; Hebert-Magee, S.; Navaneethan, U.; Hasan, M.K.; Hawes, R.; Varadarajulu, S. Randomized trial comparing the Franseen and Fork-tip needles for EUS-guided fine-needle biopsy sampling of solid pancreatic mass lesions. Gastrointest. Endosc. 2018, 87, 1432–1438. [Google Scholar] [CrossRef] [PubMed]
- Ashat, M.; Klair, J.S.; Rooney, S.L.; Vishal, S.J.; Jensen, C.; Murali, A.R.; Sahar, N.; El-Abiad, R.; Gerke, H. Randomized controlled trial comparing the Franseen needle with a Fork-tip needle for EUS-guided fine-needle biopsy. Gastrointest. Endosc. 2020. [Google Scholar] [CrossRef] [PubMed]
- Mohan, B.P.; Shakhatreh, M.; Garg, R.; Asokkumar, R.; Jayaraj, M.; Ponnada, S.; Navaneethan, U.; Adler, D.G. Comparison of Franseen and fork-tip needles for EUS-guided fine-needle biopsy of solid mass lesions: A systematic review and meta-analysis. Endosc. Ultrasound 2019, 8, 382–391. [Google Scholar] [CrossRef] [PubMed]
- Crinò, S.F.; Larghi, A.; Bernardoni, L.; Parisi, A.; Frulloni, L.; Gabbrielli, A.; Parcesepe, P.; Scarpa, A.; Manfrin, E. Touch imprint cytology on endoscopic ultrasound fine-needle biopsy provides comparable sample quality and diagnostic yield to standard endoscopic ultrasound fine-needle aspiration specimens in the evaluation of solid pancreatic lesions. Cytopathology 2019, 30, 179–186. [Google Scholar] [CrossRef] [PubMed]
- Crinò, S.F.; Manfrin, E.; Scarpa, A.; Baldaque-Silva, F.; Carrara, S.; De Nucci, G.; Di Mitri, R.; Ginés, A.; Iglesias-Garcia, J.; Itoi, T.; et al. EUS-FNB with or without on-site evaluation for the diagnosis of solid pancreatic lesions (FROSENOR): Protocol for a multicenter randomized non-inferiority trial. Dig. Liver Dis. 2019, 51, 901–906. [Google Scholar] [CrossRef]
- Alatawi, A.; Beuvon, F.; Grabar, S.; Leblanc, S.; Chaussade, S.; Terris, B.; Barret, M.; Prat, F. Comparison of 22G reverse-beveled versus standard needle for endoscopic ultrasound-guided sampling of solid pancreatic lesions. United Eur. Gastroenterol. J. 2015, 3, 343–352. [Google Scholar] [CrossRef]
- Kim, G.H.; Cho, Y.K.; Kim, E.Y.; Kim, H.K.; Cho, J.W.; Lee, T.H.; Moon, J.S. Comparison of 22-gauge aspiration needle with 22-gauge biopsy needle in endoscopic ultrasonography-guided subepithelial tumor sampling. Scand. J. Gastroenterol. 2014, 49, 347–354. [Google Scholar] [CrossRef]
- Khan, M.A.; Grimm, I.S.; Ali, B.; Nollan, R.; Tombazzi, C.; Ismail, M.K.; Baron, T.H. A meta-analysis of endoscopic ultrasound-fine-needle aspiration compared to endoscopic ultrasound-fine-needle biopsy: Diagnostic yield and the value of onsite cytopathological assessment. Endosc. Int. Open 2017, 5, E363–E375. [Google Scholar] [CrossRef]
- Sharma, V.; Rana, S.S.; Bhasin, D.K. Endoscopic ultrasound guided interventional procedures. World J. Gastrointest. Endosc. 2015, 7, 628–642. [Google Scholar] [CrossRef][Green Version]
- Martins, F.P.; Rossini, L.G.; Ferrari, A.P. Migration of a covered metallic stent following endoscopic ultrasound-guided hepaticogastrostomy: Fatal complication. Endoscopy 2010, 42 (Suppl. 2), E126–E127. [Google Scholar] [CrossRef]
- Ogura, T.; Higuchi, K. Technical tips of endoscopic ultrasound-guided choledochoduodenostomy. World J. Gastroenterol. 2015, 21, 820–828. [Google Scholar] [CrossRef]
- Teoh, A.Y.; Binmoeller, K.F.; Lau, J.Y. Single-step EUS-guided puncture and delivery of a lumen-apposing stent for gallbladder drainage using a novel cautery-tipped stent delivery system. Gastrointest. Endosc. 2014, 80, 1171. [Google Scholar] [CrossRef] [PubMed]
- Ryozawa, S.; Fujita, N.; Irisawa, A.; Hirooka, Y.; Mine, T. Current status of interventional endoscopic ultrasound. Dig. Endosc. Offi. J. Jpn. Gastroenterol. Endosc. Soc. 2017, 29, 559–566. [Google Scholar] [CrossRef] [PubMed]
- Walter, D.; Will, U.; Sanchez-Yague, A.; Brenke, D.; Hampe, J.; Wollny, H.; López-Jamar, J.M.; Jechart, G.; Vilmann, P.; Gornals, J.B.; et al. A novel lumen-apposing metal stent for endoscopic ultrasound-guided drainage of pancreatic fluid collections: A prospective cohort study. Endoscopy 2015, 47, 63–67. [Google Scholar] [CrossRef]
- Kiesslich, R.; Burg, J.; Vieth, M.; Gnaendiger, J.; Enders, M.; Delaney, P.; Polglase, A.; McLaren, W.; Janell, D.; Thomas, S.; et al. Confocal laser endoscopy for diagnosing intraepithelial neoplasias and colorectal cancer in vivo. Gastroenterology 2004, 127, 706–713. [Google Scholar] [CrossRef] [PubMed]
- Zhang, M.M.; Zhong, N.; Gu, X.; Wang, X.; Zuo, X.L.; Ji, R.; Li, C.Q.; Li, L.X.; Li, Z.; Yu, Y.B.; et al. In vivo real-time diagnosis of endoscopic ultrasound-guided needle-based confocal laser endomicroscopy in gastric subepithelial lesions. J. Gastroenterol. Hepatol. 2020, 35, 446–452. [Google Scholar] [CrossRef] [PubMed]
- Becker, V.; von Delius, S.; Bajbouj, M.; Karagianni, A.; Schmid, R.M.; Meining, A. Intravenous application of fluorescein for confocal laser scanning microscopy: Evaluation of contrast dynamics and image quality with increasing injection-to-imaging time. Gastrointest. Endosc. 2008, 68, 319–323. [Google Scholar] [CrossRef] [PubMed]
- Krishna, S.G.; Brugge, W.R.; Dewitt, J.M.; Kongkam, P.; Napoleon, B.; Robles-Medranda, C.; Tan, D.; El-Dika, S.; McCarthy, S.; Walker, J.; et al. Needle-based confocal laser endomicroscopy for the diagnosis of pancreatic cystic lesions: An international external interobserver and intraobserver study (with videos). Gastrointest. Endosc. 2017, 86, 644–654.e642. [Google Scholar] [CrossRef] [PubMed]
- Napoleon, B.; Palazzo, M.; Lemaistre, A.I.; Caillol, F.; Palazzo, L.; Aubert, A.; Buscail, L.; Maire, F.; Morellon, B.M.; Pujol, B.; et al. Needle-based confocal laser endomicroscopy of pancreatic cystic lesions: A prospective multicenter validation study in patients with definite diagnosis. Endoscopy 2019, 51, 825–835. [Google Scholar] [CrossRef]
- Karstensen, J.G.; Cartana, T.; Constantinescu, C.; Dumitrascu, S.; Kovacevic, B.; Klausen, P.; Hassan, H.; Klausen, T.W.; Bertani, H.; Bhutani, M.S.; et al. Endoscopic ultrasound guided needle-based confocal laser endomicroscopy in solid pancreatic masses—A prospective validation study. Endosc. Int. Open 2018, 6, E78–E85. [Google Scholar] [CrossRef]
- Benias, P.C.; D’Souza, L.S.; Papafragkakis, H.; Kim, J.; Harshan, M.; Theise, N.D.; Carr-Locke, D.L. Needle-based confocal endomicroscopy for evaluation of malignant lymph nodes—A feasibility study. Endoscopy 2016, 48, 923–928. [Google Scholar] [CrossRef] [PubMed]
- Terada, T.; Tahara, T.; Hashimoto, S.; Horiguchi, N.; Funasaka, K.; Nagasaka, M.; Nakagawa, Y.; Shibata, T.; Yoshioka, K.; Tsukamoto, T.; et al. Endoscopic ultrasound-guided needle-based confocal laser endomicroscopy in gastrointestinal subepithelial lesions: Feasibility study. Dig. Endosc. Off. J. Jpn. Gastroenterol. Endosc. Soc. 2020, 32, 574–584. [Google Scholar] [CrossRef]
- Bhutani, M.S.; Koduru, P.; Joshi, V.; Karstensen, J.G.; Saftoiu, A.; Vilmann, P.; Giovannini, M. EUS-Guided Needle-Based Confocal Laser Endomicroscopy: A Novel Technique With Emerging Applications. Gastroenterol. Hepatol. (NY) 2015, 11, 235–240. [Google Scholar]
- Larghi, A.; Manfrin, E.; Fabbri, C.; Crinò, S.F.; Correale, L.; Chiarello, G.; Barresi, L.; Van Velthuysen, M.L.; Poley, J.W.; Rahal, D.; et al. Interobserver agreement among expert pathologists on through-the-needle microforceps biopsy samples for evaluation of pancreatic cystic lesions. Gastrointest. Endosc. 2019, 90, 784–792. [Google Scholar] [CrossRef] [PubMed]
- Kovacevic, B.; Karstensen, J.G.; Havre, R.F.; Pham, K.D.; Giovannini, M.; Dabizzi, E.; Arcidiacono, P.; Santo, E.; Sequeiros, E.V.; Klausen, P.; et al. Initial experience with EUS-guided microbiopsy forceps in diagnosing pancreatic cystic lesions: A multicenter feasibility study (with video). Endosc. Ultrasound 2018, 7, 383–388. [Google Scholar] [CrossRef] [PubMed]
- Crinò, S.F.; Bernardoni, L.; Brozzi, L.; Barresi, L.; Malleo, G.; Salvia, R.; Frulloni, L.; Sina, S.; Parisi, A.; Remo, A.; et al. Association between macroscopically visible tissue samples and diagnostic accuracy of EUS-guided through-the-needle microforceps biopsy sampling of pancreatic cystic lesions. Gastrointest. Endosc. 2019, 90, 933–943. [Google Scholar] [CrossRef]
- Barresi, L.; Crinò, S.F.; Fabbri, C.; Attili, F.; Poley, J.W.; Carrara, S.; Tarantino, I.; Bernardoni, L.; Giovanelli, S.; Di Leo, M.; et al. Endoscopic ultrasound-through-the-needle biopsy in pancreatic cystic lesions: A multicenter study. Dig. Endosc. Off. J. Jpn. Gastroenterol. Endosc. Soc. 2018, 30, 760–770. [Google Scholar] [CrossRef]
- Yang, D.; Trindade, A.J.; Yachimski, P.; Benias, P.; Nieto, J.; Manvar, A.; Ho, S.; Esnakula, A.; Gamboa, A.; Sethi, A.; et al. Histologic Analysis of Endoscopic Ultrasound-Guided Through the Needle Microforceps Biopsies Accurately Identifies Mucinous Pancreas Cysts. Clin. Gastroenterol. Hepatol. 2019, 17, 1587–1596. [Google Scholar] [CrossRef]
- Facciorusso, A.; Del Prete, V.; Antonino, M.; Buccino, V.R.; Wani, S. Diagnostic yield of EUS-guided through-the-needle biopsy in pancreatic cysts: A meta-analysis. Gastrointest. Endosc. 2020, 92, 1–8.e3. [Google Scholar] [CrossRef]
- Tacelli, M.; Celsa, C.; Magro, B.; Barchiesi, M.; Barresi, L.; Capurso, G.; Arcidiacono, P.G.; Cammà, C.; Crinò, S.F. Diagnostic performance of endoscopic ultrasound through-the-needle microforceps biopsy of pancreatic cystic lesions: Systematic review with meta-analysis. Dig. Endosc. Off. J. Jpn. Gastroenterol. Endosc. Soc. 2020. [Google Scholar] [CrossRef]
- Westerveld, D.R.; Ponniah, S.A.; Draganov, P.V.; Yang, D. Diagnostic yield of EUS-guided through-the-needle microforceps biopsy versus EUS-FNA of pancreatic cystic lesions: A systematic review and meta-analysis. Endosc. Int. Open 2020, 8, E656–E667. [Google Scholar] [CrossRef]
- Adsay, N.V.; Merati, K.; Basturk, O.; Iacobuzio-Donahue, C.; Levi, E.; Cheng, J.D.; Sarkar, F.H.; Hruban, R.H.; Klimstra, D.S. Pathologically and biologically distinct types of epithelium in intraductal papillary mucinous neoplasms: Delineation of an "intestinal" pathway of carcinogenesis in the pancreas. Am. J. Surg. Pathol. 2004, 28, 839–848. [Google Scholar] [CrossRef] [PubMed]
- Kim, J.; Jang, K.T.; Mo Park, S.; Lim, S.W.; Kim, J.H.; Lee, K.H.; Lee, J.K.; Heo, J.S.; Choi, S.H.; Choi, D.W.; et al. Prognostic relevance of pathologic subtypes and minimal invasion in intraductal papillary mucinous neoplasms of the pancreas. Tumour Biol. 2011, 32, 535–542. [Google Scholar] [CrossRef] [PubMed]
- Sadakari, Y.; Ohuchida, K.; Nakata, K.; Ohtsuka, T.; Aishima, S.; Takahata, S.; Nakamura, M.; Mizumoto, K.; Tanaka, M. Invasive carcinoma derived from the nonintestinal type intraductal papillary mucinous neoplasm of the pancreas has a poorer prognosis than that derived from the intestinal type. Surgery 2010, 147, 812–817. [Google Scholar] [CrossRef] [PubMed]






| Release Year | Needle | Size | Material of Needle |
|---|---|---|---|
| 2000 | Echo Tip Ultra (Cook Medical) | 19, 22, 25 | Stainless |
| 2001 | NA-11J-KB (Olympus Medical Systems) | 22 | Stainless |
| 2003 | EZ Shot (Olympus Medical Systems) | 22 | Stainless |
| 2004 | Quick-Core (Cook Medical) | 19 | Stainless |
| 2011 | Expect (Boston Scientific) | 19, 22, 25 | Cobalt-chromium |
| 2011 | EZ Shot 2(Olympus Medical Systems) | 19, 22, 25 | Stainless |
| 2012 | Echo Tip Procore (Cook Medical) | 19, 22, 25 | Stainless |
| 2012 | SONO tip Pro Control (Medi-Globe GmbH) | 19, 22, 25 | Stainless |
| 2012 | Expect 19 G Flex Needle (Boston Scientific) | 19 | Nitinol |
| 2013 | EUS Sonopsy CY (HAKKO) | 21 | Stainless |
| 2016 | EZ Shot 3 Plus (Olympus Medical Systems) | 19, 22 | Nitinol |
| 2016 | Echo Tip Procore 20 G (Cook Medical) | 20 | Stainless |
| 2016 | SharkCore (Medtronic) | 19, 22, 25 | Stainless |
| 2016 | Acquire (Boston) | 22, 25 | Cobalt-chromium |
| 2017 | Acquire 19 G Flex Needle (Boston Scientific) | 19 | Nitinol |
| 2018 | EZ Shot 3 Plus (Olympus Medical Systems) | 25 | Stainless |
| 2020 | SONO tip TopGain (Medi-Globe GmbH) | 19, 22, 25 | Stainless |
| Reference | Study Design | Cases (n) | Lesion | Rose | Diagnostic Ability (25G vs. 22G) |
|---|---|---|---|---|---|
| Lee [44] 2009 | RCT | 12 | Mainly pancreas | Yes | n.s |
| Siddiqui [45] 2009 | RCT | 131 | Pancreas | Yes | Accuracy; 95.5% vs. 87.5%; p = 0.18; n.s |
| Camellini [46] 2011 | RCT | 127 | Mainly pancreas | Yes | Accuracy; 78.1% vs. 77.8%; n.s |
| Fabbri [47] 2011 | RCT | 50 | Pancreas | Yes | Accuracy; 94% vs. 86%; n.s |
| Lee [48] 2013 | RCT | 188 | Pancreas | No | Accuracy; 88.3% vs. 89.4%; p = 0.82; n.s |
| Vilmann [49] 2013 | RCT | 135 | Pancreas and LN | No | Sensitivity; 94.1% vs. 94.1%; n.s |
| Carrara [43] 2016 | RCT | 144 | Mainly pancreas | Yes | Accuracy; 81% vs. 68%; p = 0.09; n.s |
| Affolter [41] 2013 | MA (11 studies) | 1452 | Mainly pancreas | 5/11 | Sensitivity; 91% vs. 78%; p = 0.97; n.s |
| Madhoun [50] 2013 | MA (8 studies) | 1292 | Pancreas | 5/8 | Sensitivity; 93% vs. 85%; p = 0.0003 |
| Facciorusso [51] 2017 | MA (7 studies) | 732 | Pancreas | 5/7 | Sensitivity; 93% vs. 89%; p = 0.13; n.s |
| Xu [52] 2017 | MA (11 studies) | 837 | Pancreas | 6/11 | Sensitivity; 92% vs. 88%; p = 0.046 |
| Guedes [53] 2018 | MA (4 studies) | 462 | Pancreas | 2/4 | Sensitivity; 93% vs. 91%; p = 0.497; n.s |
| Reference | Study Design | Cases (n) | Lesion | Diagnostic Ability (FNA vs. FNB) |
|---|---|---|---|---|
| Alatawi [67] 2015 | RCT | 100 | Pancreas | Adequate sample rate; 90% vs. 100%; p = 0.0003 |
| Kim [68] 2014 | RCT | 22 | SELs | Accuracy; 20% vs. 75%; p = 0.010 |
| Khan [69] 2017 | MA (15 studies) | 1024 | pancreas, LN and solid GI lesion | FNB showed better diagnostic adequacy without ROSE; p = 0.02 |
© 2020 by the authors. Licensee MDPI, Basel, Switzerland. This article is an open access article distributed under the terms and conditions of the Creative Commons Attribution (CC BY) license (http://creativecommons.org/licenses/by/4.0/).
Share and Cite
Fujita, A.; Ryozawa, S.; Tanisaka, Y.; Ogawa, T.; Suzuki, M.; Noguchi, T.; Katsuda, H.; Mizuide, M. Current Status of Needles in the Optimization of Endoscopic Ultrasound-Guided Procedures. Diagnostics 2020, 10, 463. https://doi.org/10.3390/diagnostics10070463
Fujita A, Ryozawa S, Tanisaka Y, Ogawa T, Suzuki M, Noguchi T, Katsuda H, Mizuide M. Current Status of Needles in the Optimization of Endoscopic Ultrasound-Guided Procedures. Diagnostics. 2020; 10(7):463. https://doi.org/10.3390/diagnostics10070463
Chicago/Turabian StyleFujita, Akashi, Shomei Ryozawa, Yuki Tanisaka, Tomoya Ogawa, Masahiro Suzuki, Tatsuya Noguchi, Hiromune Katsuda, and Masafumi Mizuide. 2020. "Current Status of Needles in the Optimization of Endoscopic Ultrasound-Guided Procedures" Diagnostics 10, no. 7: 463. https://doi.org/10.3390/diagnostics10070463
APA StyleFujita, A., Ryozawa, S., Tanisaka, Y., Ogawa, T., Suzuki, M., Noguchi, T., Katsuda, H., & Mizuide, M. (2020). Current Status of Needles in the Optimization of Endoscopic Ultrasound-Guided Procedures. Diagnostics, 10(7), 463. https://doi.org/10.3390/diagnostics10070463

