Soluble Syndecan-1 Levels Are Associated with Survival in Platinum-Treated Bladder Cancer Patients
Abstract
1. Introduction
2. Materials and Methods
2.1. Patient Cohorts
2.2. SDC1 Enzyme-Linked Immunosorbent Assay (ELISA)
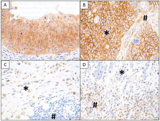
2.3. SDC1 Immunochemistry
2.4. Statistical Analysis
3. Results
3.1. Patients’ Characteristics
3.2. Correlation of SDC1 Serum Levels and Tissue Protein Expressions with Clinicopathological Parameters
3.3. Correlation of SDC1 Levels and Survival
3.4. Correlation Between Serum SDC1 and MMP-7 Levels
4. Discussion
5. Conclusions
Supplementary Materials
Author Contributions
Funding
Acknowledgments
Conflicts of Interest
Abbreviations
| BC | bladder cancer |
| CI | confidence interval |
| ECOG | Eastern Cooperative Oncology Group |
| FFPE | formalin-fixed and paraffin-embedded |
| GC | gemcitabine + cisplatin |
| HR | hazard ratio |
| IHC | immunohistochemistry |
| MIBC | muscle-invasive bladder cancer |
| MMP-7 | matrix metalloproteinase-7 |
| NMIBC | non-muscle-invasive bladder cancer |
| OS | overall survival |
| PFS | progression-free survival |
| SDC1 | syndecan-1 |
| MVAC | methotrexate + vinblastine plus + doxorubicine + cisplatin |
References
- Saginala, K.; Barsouk, A.; Aluru, J.S.; Rawla, P.; Padala, S.A.; Barsouk, A. Epidemiology of bladder cancer. Med. Sci. 2020, 8, 15. [Google Scholar] [CrossRef] [PubMed]
- Tan, Z.T.; Rouanne, M.; Tan, T.K.; Huang, R.Y.; Thiery, J.-P. Affiliations molecular subtypes of urothelial bladder cancer: Results from a Meta-cohort analysis of 2411 tumors. Eur. Urol. 2018, 75, 423–432. [Google Scholar] [CrossRef] [PubMed]
- Meeks, J.J.; Bellmunt, J.; Bochner, B.H.; Clarke, N.W.; Daneshmand, S.; Galsky, M.D.; Hahn, N.M.; Lerner, S.P.; Mason, M.; Powles, T.; et al. A systematic review of neoadjuvant and adjuvant chemotherapy for muscle-invasive bladder cancer. Eur. Urol. 2012, 62, 523–533. [Google Scholar] [CrossRef] [PubMed]
- Von Der Maase, H.; Sengelov, L.; Roberts, J.T.; Conte, P.F.; Dogliotti, L.; Oliver, T.; Moore, M.J.; Zimmermann, A.; Arning, M. Long-term survival results of a randomized trial comparing gemcitabine plus cisplatin, with methotrexate, vinblastine, doxorubicin, plus cisplatin in patients with bladder cancer. J. Clin. Oncol. 2005, 23, 4602–4608. [Google Scholar] [CrossRef] [PubMed]
- Flaig, T.W.; Spiess, P.E.; Agarwal, N.; Bangs, R.; Boorjian, S.A.; Buyyounouski, M.K.; Downs, T.M.; Efstathiou, J.A.; Friedlander, T.; Greenberg, R.E.; et al. NCCN guidelines® insights bladder cancer, version 5.2018 featured updates to the NCCN guidelines. JNCCN J. Natl. Compr. Cancer Netw. 2018, 16, 1041–1053. [Google Scholar]
- Seiler, R.; Ashab, H.A.D.; Erho, N.; van Rhijn, B.E.J.; Winters, B.; Douglas, J.; Van Kessel, K.E.; van de Putte, E.E.F.; Sommerlad, M.; Wang, N.Q.; et al. Impact of molecular subtypes in muscle-invasive bladder cancer on predicting response and survival after neoadjuvant chemotherapy. Eur. Urol. 2017, 72, 544–554. [Google Scholar] [CrossRef]
- Kamoun, A.; de Reyniès, A.; Allory, Y.; Sjödahl, G.; Robertson, A.G.; Seiler, R.; Hoadley, K.A.; Groeneveld, C.S.; Al-Ahmadie, H.; Choi, W.; et al. A consensus molecular classification of muscle-invasive bladder cancer. Eur. Urol. 2020, 77, 420–433. [Google Scholar] [CrossRef]
- Taber, A.; Christensen, E.; Lamy, P.; Nordentoft, I.; Prip, F.; Lindskrog, S.V.; Birkenkamp-Demtröder, K.; Okholm, T.L.H.; Knudsen, M.; Pedersen, J.S.; et al. Molecular correlates of cisplatin-based chemotherapy response in muscle invasive bladder cancer by integrated multi-omics analysis. Nat. Commun. 2020, 25, 4858. [Google Scholar] [CrossRef]
- Van Allen, E.M.; Mouw, K.W.; Kim, P.; Iyer, G.; Wagle, N.; Al-Ahmadie, H.; Zhu, C.; Ostrovnaya, I.; Kryukov, G.V.; O’Connor, K.W.; et al. Somatic ERCC2 mutations correlate with cisplatin sensitivity in muscle-invasive urothelial carcinoma. Cancer Discov. 2014, 4, 1140–1153. [Google Scholar] [CrossRef]
- Bellmunt, J.; Paz-Ares, L.; Cuello, M.; Cecere, F.L.; Albiol, S.; Guillem, V.; Gallardo, E.; Carles, J.; Mendez, P.; de la Cruz, J.J.; et al. Gene expression of ERCC1 as a novel prognostic marker in advanced bladder cancer patients receiving cisplatin-based chemotherapy. Ann. Oncol. 2007, 18, 522–528. [Google Scholar] [CrossRef]
- Sun, J.M.; Sung, J.Y.; Park, S.H.; Kwon, G.Y.; Jeong, B.C.; Seo, S.I.; Jeon, S.S.; Lee, H.M.; Jo, J.; Choi, H.Y.; et al. ERCC1 as a biomarker for bladder cancer patients likely to benefit from adjuvant chemotherapy. BMC Cancer 2012, 12, 187. [Google Scholar] [CrossRef] [PubMed]
- Krafft, U.; Tschirdewahn, S.; Hess, J.; Harke, N.N.; Hadaschik, B.; Olah, C.; Krege, S.; Nyirády, P.; Szendröi, A.; Szücs, M.; et al. Validation of survivin and HMGA2 as biomarkers for cisplatin resistance in bladder cancer. Urol. Oncol. 2019, 37, 810.e7–810.e15. [Google Scholar] [CrossRef] [PubMed]
- Miyake, M.; Lawton, A.; Dai, Y.; Chang, M.; Mengual, L.; Alcaraz, A.; Goodison, S.; Rosser, C.J. Clinical implications in the shift of syndecan-1 expression from the cell membrane to the cytoplasm in bladder cancer. BMC Cancer 2014, 14, 1–7. [Google Scholar] [CrossRef] [PubMed]
- Szarvas, T.; Reis, H.; Kramer, G.; Shariat, S.F.; Dorp, F.V.; Tschirdewahn, S.; Schmid, K.W.; Kovalszky, I.; Rübben, H. Enhanced stromal syndecan-1 expression is an independent risk factor for poor survival in bladder cancer. Hum. Pathol. 2014, 45, 674–682. [Google Scholar] [CrossRef]
- Yu, L.; Xu, H.; Zhang, S.; Chen, J.; Yu, Z. SDC1 promotes cisplatin resistance in hepatic carcinoma cells via PI3K-AKT pathway. Hum. Cell 2020. [Google Scholar] [CrossRef]
- Wang, X.; Zuo, D.; Chen, Y.; Li, W.; Liu, R.; He, Y.; Ren, L.; Zhou, L.; Deng, T.; Wang, X.; et al. Shed Syndecan-1 is involved in chemotherapy resistance via the EGFR pathway in colorectal cancer. Br. J. Cancer 2014, 111, 1965–1976. [Google Scholar] [CrossRef]
- Szarvas, T.; Sevcenco, S.; Módos, O.; Keresztes, D.; Nyirády, P.; Kubik, A.; Romics, M.; Kovalszky, I.; Reis, H.; Hadaschik, B.; et al. Circulating syndecan-1 is associated with chemotherapy-resistance in castration-resistant prostate cancer. Urol. Oncol. 2018, 36, e9–e312. [Google Scholar] [CrossRef]
- Anttonen, A.; Leppä, S.; Ruotsalainen, T.; Alfthan, H.; Mattson, K.; Joensuu, H. Pretreatment serum syndecan-1 levels and outcome in small cell lung cancer patients treated with platinum-based chemotherapy. Lung Cancer 2003, 41, 171–177. [Google Scholar] [CrossRef]
- Krege, S.; Rexer, H.; vom Dorp, F.; de Geeter, P.; Klotz, T.; Retz, M.; Heidenreich, A.; Kühn, M.; Kamradt, J.; Feyerabend, S.; et al. Prospective randomized double-blind multicentre phase II study comparing gemcitabine and cisplatin plus sorafenib chemotherapy with gemcitabine and cisplatin plus placebo in locally advanced and/or metastasized urothelial cancer: SUSE (AUO-AB 31/05). BJU Int. 2014, 113, 429–436. [Google Scholar] [CrossRef]
- Krafft, U.; Tschirdewahn, S.; Hess, J.; Harke, N.N.; Hadaschik, B.A.; Nyirády, P.; Szendröi, A.; Szücs, M.; Módos, O.; Olah, C.; et al. STIP1 tissue expression is associated with survival in chemotherapy-treated bladder cancer patients. pathol. Oncol. Res. 2020, 26, 1243–1249. [Google Scholar]
- Akl, M.R.; Nagpal, P.; Ayoub, N.M.; Prabhu, S.A.; Gliksman, M.; Tai, B.; Hatipoglu, A.; Goy, A.; Suh, K.S. Molecular and clinical profiles of syndecan-1 in solid and hematological cancer for prognosis and precision medicine. Oncotarget 2015, 6, 28693–28715. [Google Scholar] [CrossRef]
- Cui, X.; Jung, X.; Yi, Q.; Long, C.; Tian, J.; Zhu, J. Clinicopathological and prognostic significance of SDC1 overexpression in breast cancer Xiangrong. Oncotarget 2017, 9, 111444–111455. [Google Scholar] [CrossRef] [PubMed]
- Hasengaowa, K.J.; Kusumoto, T.; Shinyo, Y.; Seki, N.; Hiramatsu, Y. Prognostic significance of syndecan-1 expression in human endometrial cancer. Ann. Oncol. 2005, 16, 1109–1115. [Google Scholar] [CrossRef] [PubMed]
- Loussouarn, D.; Campion, L.; Sagan, C.; Frenel, J.-S.; Dravet, F.; Classe, J.-M.; Pioud-Martigny, R.; Berton-Rigaud, D.; Bourbouloux, E.; Mosnier, J.-F.; et al. Prognostic impact of syndecan-1 expression in invasive ductal breast carcinomas. Br. J. Cancer 2008, 98, 1993–1998. [Google Scholar] [CrossRef]
- Theocharis, A.D.; Karamanos, N.K. Proteoglycans remodeling in cancer: Underlying molecular mechanisms. Matrix Biol. 2019, 75–76, 220–259. [Google Scholar] [CrossRef] [PubMed]
- Máthé, M.; Suba, Z.; Németh, Z.; Tátrai, P.; Füle, T.; Borgulya, G.; Barabás, J.; Kovalszky, I. Stromal syndecan-1 expression is an adverse prognostic factor in oral carcinomas. Oral Oncol. 2006, 42, 493–500. [Google Scholar] [CrossRef]
- Seiler, R.; Oo, H.Z.; Tortora, D.; Clausen, T.M.; Wang, C.K.; Kumar, G.; Pereira, M.A.; Ørum-Madsen, M.S.; Agerbæk, M.Ø.; Gustavsson, T.; et al. An oncofetal glycosaminoglycan modification provides therapeutic access to cisplatin-resistant bladder cancer. Eur. Urol. 2017, 72, 142–150. [Google Scholar] [CrossRef]
- Ramani, V.C.; Sanderson, R.D. Chemotherapy stimulates syndecan-1 shedding: A potentially negative effect of treatment that may promote tumor relapse. Matrix Biol. 2014, 35, 215–222. [Google Scholar] [CrossRef]


| Variables | ELISA Cohort | IHC Cohort |
|---|---|---|
| n (%) | n (%) | |
| Total number of patients | 52 | 69 |
| Age at baseline, median (range) | 65 (41–81) | 64 (37–90) |
| ≤65 | 27 (52) | 33 (48) |
| >65 | 25 (48) | 36 (52) |
| Sex | ||
| Male | 38 (73) | 53 (77) |
| Female | 14 (27) | 16 (23) |
| ECOG PS at enrollment | ||
| 0 | 43 (83) | 36 (52) |
| 1 | 8 (15) | 28 (41) |
| 2–3 | 1 (2) | 5 (7) |
| Stage | ||
| pT1 | 1 (2) | 1 (1) |
| pT2 | 9 (17) | 15 (22) |
| pT3 | 21 (40) | 26 (38) |
| pT4 | 10 (20) | 12 (17) |
| n.a. | 11 (21) | 15 (22) |
| Metastases | ||
| Lymph node metastasis (>2 cm) | 34 (65) | 29 (42) |
| Distant metastasis | 12 (23) | 39 (57) |
| Soft tissue lesions (lung/liver) | 9 (17) | 30 (44) |
| Bone metastasis | 3 (6) | 9 (13) |
| Chemotherapy regimen | ||
| Gem/Cis | 47 (90) | 57 (83) |
| Gem/Carbo | 5 (10) | - |
| MVAC | - | 12 (17) |
| Curative (prior cystectomy) | 44 (85) | 54 (78) |
| Palliative (no prior cystectomy) | 8 (15) | 15 (22) |
| Number of cycles, median [range] | 3 [1,2,3,4,5,6,7,8,9] | 4 [1,2,3,4,5,6,7,8] |
| Single (only one series) | 4 | 10 |
| Collection site | ||
| Essen | 16 (31) | 33 (48) |
| Budapest | 36 (69) | - |
| SUSE | - | 36 (52) |
| Number of patients died | 31 (60) | 48 (70) |
| Follow-up time in months, median (range) | 17 (2–101) | 10 (1–123) |
| Variables | ELISA cohort | IHC Cohort | |||||||||||||||||||
|---|---|---|---|---|---|---|---|---|---|---|---|---|---|---|---|---|---|---|---|---|---|
| Serum SDC1 Concentration | SDC1 Expression (staining score) | SDC1 Expression (staining score) | SDC1 Expression (staining score) | ||||||||||||||||||
| membrane | cytoplasm | stroma | |||||||||||||||||||
| n | median (range) | p | n | 0 | % | >0 | % | p | n | 0 | % | >0 | % | p | n | 0 | % | >0 | % | p | |
| Age 65 (41–81) | |||||||||||||||||||||
| ≤65 | 27 | 72.3 (8.3–1099.9) | 0.810 | 37 | 17 | 46 | 20 | 54 | 0.657 | 37 | 12 | 32 | 25 | 68 | 0.328 | 36 | 19 | 53 | 17 | 47 | 0.718 |
| >65 | 25 | 73.3 (23.4–1120.8) | 32 | 13 | 41 | 19 | 59 | 32 | 7 | 22 | 25 | 78 | 29 | 14 | 48 | 15 | 52 | ||||
| Sex | |||||||||||||||||||||
| Male | 38 | 72.2 (8.4–356.4) | 0.026 | 53 | 24 | 45 | 29 | 55 | 0.582 | 53 | 15 | 28 | 38 | 72 | 0.769 | 49 | 26 | 53 | 23 | 47 | 0.518 |
| Female | 14 | 91.8 (8.3–1120.8) | 16 | 6 | 38 | 10 | 62 | 16 | 4 | 25 | 12 | 75 | 16 | 7 | 44 | 9 | 56 | ||||
| Stage | |||||||||||||||||||||
| pT1–pT2 | 10 | 60.5 (8.4–356.4) | 0.577 | 16 | 6 | 38 | 10 | 62 | 0.400 | 16 | 5 | 33 | 11 | 67 | 0.866 | 16 | 8 | 50 | 8 | 50 | 0.846 |
| pT3–pT4 | 31 | 72.4 (19.3–1120.8) | 38 | 19 | 50 | 19 | 50 | 38 | 11 | 29 | 27 | 71 | 34 | 18 | 53 | 16 | 47 | ||||
| Not available | 9 | 15 | 15 | 15 | |||||||||||||||||
| ECOG status | |||||||||||||||||||||
| 0 | 43 | 72.4 (8.3–1120.8) | 0.227 | 36 | 12 | 33 | 24 | 67 | 0.076 | 36 | 7 | 19 | 29 | 81 | 0.116 | 35 | 20 | 57 | 15 | 43 | 0.267 |
| ≥1 | 9 | 67.8 (19.3–305.3) | 33 | 18 | 55 | 15 | 45 | 33 | 12 | 36 | 21 | 64 | 30 | 13 | 43 | 17 | 57 | ||||
| Lymph node status | |||||||||||||||||||||
| N0 | 10 | 182.5 (23.4–1120.8) | 0.026 | 25 | 11 | 46 | 14 | 56 | 0.753 | 25 | 10 | 40 | 15 | 60 | 0.121 | 24 | 13 | 54 | 11 | 46 | 0.768 |
| N+ | 34 | 61.9 (8.3–356.4) | 29 | 14 | 48 | 15 | 52 | 29 | 6 | 21 | 23 | 79 | 25 | 13 | 52 | 13 | 48 | ||||
| Nx | 8 | 15 | 15 | 15 | |||||||||||||||||
| Distant metastasis | |||||||||||||||||||||
| Absent | 40 | 72.2 (8.4–356.4) | 0.312 | 35 | 18 | 51 | 17 | 49 | 0.305 | 35 | 9 | 26 | 26 | 74 | 0.392 | 32 | 17 | 53 | 15 | 47 | 0.832 |
| Present | 12 | 91.8 (8.3–1120.8) | 19 | 7 | 37 | 12 | 63 | 19 | 7 | 37 | 12 | 63 | 18 | 9 | 50 | 9 | 50 | ||||
| Not available | 15 | 15 | 15 | ||||||||||||||||||
| Collection site | |||||||||||||||||||||
| Budapest | 36 | 75.8 (8.3–1120.8) | 0.677 | - | - | - | |||||||||||||||
| Essen | 16 | 62.4 (19.7–373.2) | 36 | 17 | 47 | 19 | 53 | 0.512 | 36 | 9 | 25 | 27 | 75 | 0.622 | 33 | 15 | 45 | 18 | 55 | 0.384 | |
| SUSE | - | 33 | 13 | 39 | 20 | 61 | 33 | 10 | 30 | 23 | 70 | 32 | 18 | 56 | 14 | 44 | |||||
| Cox Univariate Analysis | ||||||||||||
|---|---|---|---|---|---|---|---|---|---|---|---|---|
| ELISA Cohort | IHC Cohort | |||||||||||
| Variables | Overall Survival | Progression-Free Survival | Overall Survival | Progression-Free Survival | ||||||||
| HR | 95% CI | p | HR | 95% CI | p | HR | 95% CI | p | HR | 95% CI | p | |
| Age >65 | 1.119 | 0.553–2.266 | 0.755 | 0.403 | 0.142–1.145 | 0.088 | 1.292 | 0.722–2.312 | 0.388 | 1.358 | 0.790–2.344 | 0.268 |
| Female | 0.648 | 0.266–1.581 | 0.340 | 0.934 | 0.303–2.877 | 0.906 | 1.460 | 0.718–2.969 | 0.296 | 1.396 | 0.732–2.664 | 0.311 |
| Invasive stage (≥pT2) | 0.659 | 0.279–1.558 | 0.342 | 0.760 | 0.234–2.474 | 0.649 | 1.049 | 0.506–2.175 | 0.897 | 1.292 | 0.630–2.649 | 0.484 |
| ECOG status (≥1) | 1.391 | 0.703–2.757 | 0.343 | 1.641 | 0.804–3.349 | 0.173 | 2.306 | 1.276–4.169 | 0.006 | 2.088 | 1.209–3.606 | 0.008 |
| Lymph node positivity | 0.990 | 0.369–2.655 | 0.983 | 1.838 | 0.414–8.158 | 0.423 | 0.542 | 0.285–1.030 | 0.061 | 0.598 | 0.322–1.108 | 0.102 |
| Distant metastasis | 2.459 | 1.147–5.273 | 0.021 | 7.832 | 2.627–23.349 | <0.001 | 1.881 | 1.026–3.446 | 0.041 | 1.662 | 0.954–2.894 | 0.073 |
| Serum SDC1 >180 ng/mL | 1.433 | 1.109–1.852 | 0.006 | 1.236 | 0.868–1.758 | 0.240 | ||||||
| Membrane SDC1 positivity | 1.165 | 0.652–2.080 | 0.606 | 0.917 | 0.538–1.564 | 0.750 | ||||||
| Cytoplasm SDC1 positivity | 0.777 | 0.415–1.453 | 0.429 | 0.951 | 0.517–1.751 | 0.873 | ||||||
| Stroma SDC1 positivity | 0.685 | 0.377–1.245 | 0.214 | 0.837 | 0.485–1.446 | 0.524 | ||||||
| Cox multivariate Analysis | ||||||
|---|---|---|---|---|---|---|
| A | ELISA Cohort | |||||
| Variables | Overall survival | Progression-free survival | ||||
| HR | 95% CI | p | HR | 95% CI | p | |
| Distant metastasis | 2.269 | 1.053–4.887 | 0.036 | 8.107 | 2.590–25.374 | <0.001 |
| Serum SDC1 >180 ng/mL | 1.439 | 1.003–2.065 | 0.048 | 0.945 | 0.557–1.604 | 0.834 |
| B | IHC cohort | |||||
| Variables | Overall survival | Progression-free survival | ||||
| HR | 95% CI | p | HR | 95% CI | p | |
| Distant metastasis | 1.373 | 0.715–2.636 | 0.340 | 1.294 | 0.691–2.423 | 0.421 |
| ECOG status (≥1) | 3.019 | 1.524–5.982 | 0.002 | 2.158 | 1.14–4.086 | 0.018 |
Publisher’s Note: MDPI stays neutral with regard to jurisdictional claims in published maps and institutional affiliations. |
© 2020 by the authors. Licensee MDPI, Basel, Switzerland. This article is an open access article distributed under the terms and conditions of the Creative Commons Attribution (CC BY) license (http://creativecommons.org/licenses/by/4.0/).
Share and Cite
Olah, C.; Tschirdewahn, S.; Hoffmann, M.J.; Krafft, U.; Hadaschik, B.; Nyirady, P.; Szendröi, A.; Módos, O.; Csizmarik, A.; Kovalszky, I.; et al. Soluble Syndecan-1 Levels Are Associated with Survival in Platinum-Treated Bladder Cancer Patients. Diagnostics 2020, 10, 864. https://doi.org/10.3390/diagnostics10110864
Olah C, Tschirdewahn S, Hoffmann MJ, Krafft U, Hadaschik B, Nyirady P, Szendröi A, Módos O, Csizmarik A, Kovalszky I, et al. Soluble Syndecan-1 Levels Are Associated with Survival in Platinum-Treated Bladder Cancer Patients. Diagnostics. 2020; 10(11):864. https://doi.org/10.3390/diagnostics10110864
Chicago/Turabian StyleOlah, Csilla, Stephan Tschirdewahn, Michèle J. Hoffmann, Ulrich Krafft, Boris Hadaschik, Peter Nyirady, Attila Szendröi, Orsolya Módos, Anita Csizmarik, Ilona Kovalszky, and et al. 2020. "Soluble Syndecan-1 Levels Are Associated with Survival in Platinum-Treated Bladder Cancer Patients" Diagnostics 10, no. 11: 864. https://doi.org/10.3390/diagnostics10110864
APA StyleOlah, C., Tschirdewahn, S., Hoffmann, M. J., Krafft, U., Hadaschik, B., Nyirady, P., Szendröi, A., Módos, O., Csizmarik, A., Kovalszky, I., Reis, H., & Szarvas, T. (2020). Soluble Syndecan-1 Levels Are Associated with Survival in Platinum-Treated Bladder Cancer Patients. Diagnostics, 10(11), 864. https://doi.org/10.3390/diagnostics10110864

