Primary Colorectal Signet-Ring Cell Carcinoma with Synchronous Colonic Metastases in an Asymptomatic Patient: Case Presentation and Comprehensive Literature Review
Abstract
1. Introduction
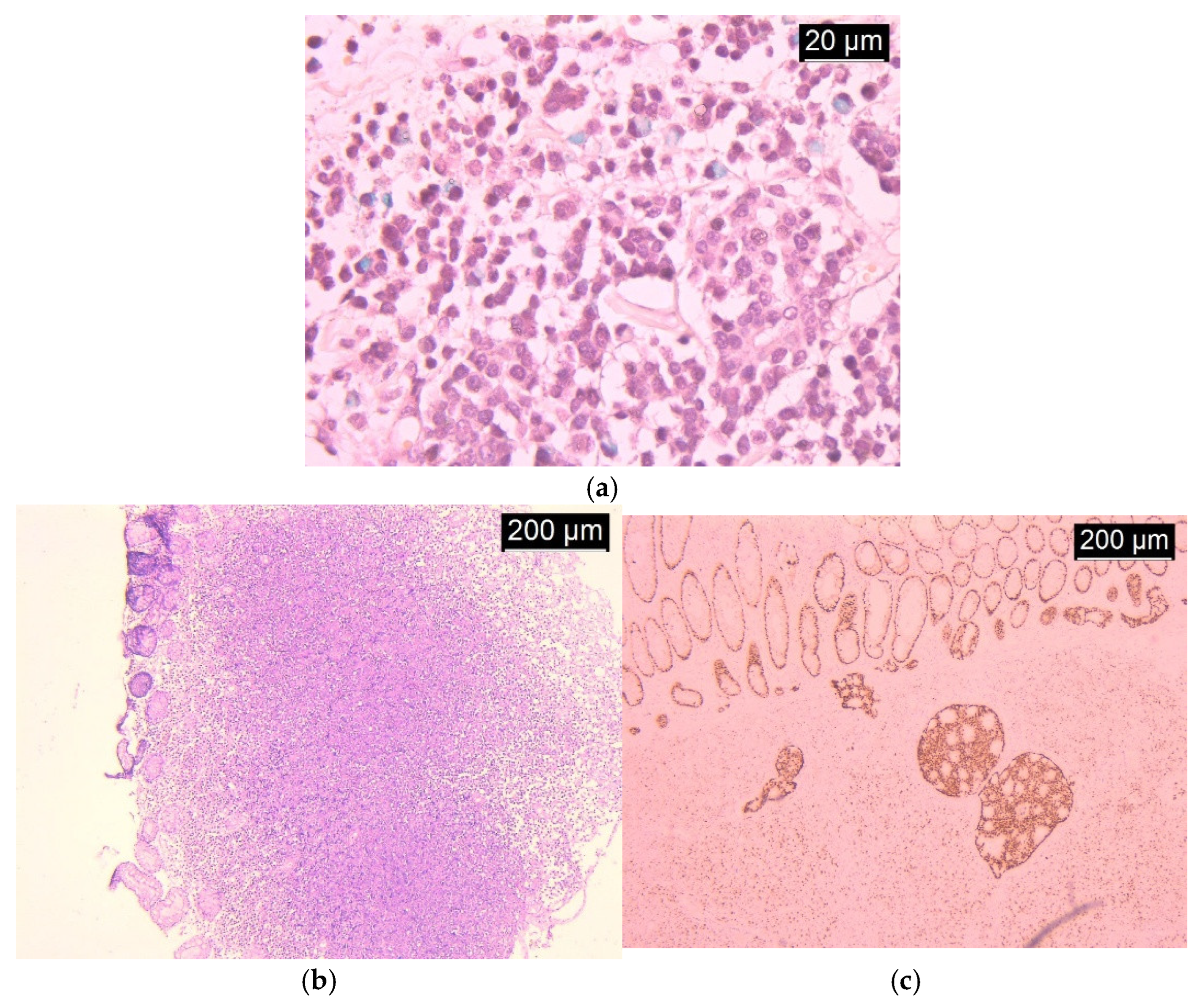
2. Case Presentation
3. Discussion
4. Conclusions
Author Contributions
Funding
Institutional Review Board Statement
Informed Consent Statement
Data Availability Statement
Acknowledgments
Conflicts of Interest
References
- Roshandel, G.; Ghasemi-Kebria, F.; Malekzadeh, R. Colorectal Cancer: Epidemiology, Risk Factors, and Prevention. Cancers 2024, 16, 1530. [Google Scholar] [CrossRef] [PubMed]
- Siegel, R.L.; Wagle, N.S.; Cercek, A.; Smith, R.A.; Jemal, A. Colorectal cancer statistics, 2023. CA Cancer J. Clin. 2023, 73, 233–254. [Google Scholar] [CrossRef] [PubMed]
- Allart, M.; Leroy, F.; Kim, S.; Sefrioui, D.; Nayeri, M.; Zaanan, A.; Rousseau, B.; Abdelghani, M.B.; de la Fouchardière, C.; Cacheux, W.; et al. Metastatic colorectal carcinoma with signet-ring cells: Clinical, histological and molecular description from an Association des Gastro-Entérologues Oncologues (AGEO) French multicenter retrospective cohort. Dig. Liver Dis. 2022, 54, 391–399. [Google Scholar] [CrossRef] [PubMed]
- Liu, X.; Huang, L.; Liu, M.; Wang, Z. The Molecular Associations of Signet-Ring Cell Carcinoma in Colorectum: Meta-Analysis and System Review. Medicina 2022, 58, 836. [Google Scholar] [CrossRef] [PubMed]
- Song, I.H.; Hong, S.M.; Yu, E.; Yoon, Y.S.; Park, I.J.; Lim, S.B.; Kim, J.C.; Yu, C.S.; Kim, J. Signet ring cell component predicts aggressive behaviour in colorectal mucinous adenocarcinoma. Pathology 2019, 51, 384–391. [Google Scholar] [CrossRef] [PubMed]
- Eng, C.; Hochster, H. Early-Onset Colorectal Cancer: The Mystery Remains. J. Natl. Cancer Inst. 2021, 113, 1608–1610. [Google Scholar] [CrossRef] [PubMed]
- Patel, S.G.; Karlitz, J.J.; Yen, T.; Lieu, C.H.; Boland, C.R. The rising tide of early-onset colorectal cancer: A comprehensive review of epidemiology, clinical features, biology, risk factors, prevention, and early detection. Lancet Gastroenterol. Hepatol. 2022, 7, 262–274. [Google Scholar] [CrossRef] [PubMed]
- Ilyas, M.; Tan, T.S. Primary colorectal signet-ring cell carcinoma: A review of clinicopathological features and treatment outcomes. JCRC 2019, 45, 192–200. [Google Scholar]
- Kim, J.H.; Kim, H.; Kim, J.W.; Kim, H.M. Trends in the Incidence and Survival Rates of Colorectal Signet-Ring Cell Carcinoma in the South Korean Population: Analysis of the Korea Central Cancer Registry Database. J. Clin. Med. 2021, 10, 4258. [Google Scholar] [CrossRef] [PubMed]
- Kazi, M.; Patel, H.; Choudhary, N.; Jain, A.; Dudhat, S.; Naik, S.; Desouza, A.; Saklani, A. Spatial Epidemiology of Signet-ring Cell Colorectal Cancer in India. Saudi J. Med. 2024, 12, 71–75. [Google Scholar] [CrossRef] [PubMed]
- Tajiri, K.; Sudo, T.; Ishi, K.; Kawahara, A.; Nagasu, S.; Shimomura, S.; Yuge, K.; Katagiri, M.; Yomoda, T.; Fujiyoshi, K.; et al. Investigation of clinicopathological characters and gene expression features in colorectal signet-ring cell carcinoma utilizing CMS classification. Mol. Clin. Oncol. 2021, 14, 98. [Google Scholar] [CrossRef] [PubMed]
- Korphaisarn, K.; Morris, V.; Davis, J.S.; Overman, M.J.; Fogelman, D.R.; Kee, B.K.; Dasari, A.; Raghav, K.P.; Shureiqi, I.; Trupti, M.; et al. Signet ring cell colorectal cancer: Genomic insights into a rare subpopulation of colorectal adenocarcinoma. Br. J. Cancer 2019, 121, 505–510. [Google Scholar] [CrossRef] [PubMed]
- Zhao, Z.H.; Zhang, J.X. Synchronous colorectal metastasis from signet-ring cell carcinoma: A rare and challenging case. GCR 2020, 14, 24–29. [Google Scholar]
- Sato, Y.; Shimizu, Y. Asymptomatic signet-ring cell carcinoma of the colon with liver metastasis. WJG 2018, 24, 1138–1145. [Google Scholar]
- Geng, Y.F.; Wang, S.X. Rare cases of synchronous metastasis from primary colorectal cancer: A comprehensive review. J. Gastrointest. Cancer 2020, 51, 633–640. [Google Scholar]
- Tsuchiya, T.; Saito, S. Colorectal carcinoma with signet-ring cells: A review of prognostic factors and treatment strategies. Gastroenterol. Res. Pract. 2017, 8043619. [Google Scholar]
- Chung, J.W.; Yoon, H.M. Treatment outcomes of signet-ring cell carcinoma of the colon: A systematic review and meta-analysis. J. Surg. Oncol. 2018, 117, 1123–1130. [Google Scholar]
- Lin, Y.H.; Su, C.H. Clinical manifestations and prognosis of primary colorectal signet-ring cell carcinoma with peritoneal carcinomatosis. Cancer Rep. 2021, 4, e1340. [Google Scholar]
- Hyngstrom, J.R.; Hu, C.Y.; Xing, Y.; You, Y.N.; Feig, B.W.; Skibber, J.M.; Rodriguez-Bigas, M.A.; Cormier, J.N.; Chang, G.J. Clinicopathology and Outcomes for Mucinous and Signet Ring Colorectal Adenocarcinoma: Analysis from the National Cancer Data Base. Ann. Surg. Oncol. 2012, 19, 2814–2821. [Google Scholar] [CrossRef] [PubMed]
- Hugen, N.; Verhoeven, R.H.; Lemmens, V.E.; van Aart, C.J.; Elferink, M.A.; Radema, S.A.; Nagtegaal, I.D.; de Wilt, J.H. Colorectal signet-ring cell carcinoma: Benefit from adjuvant chemotherapy but a poor prognostic factor. Int. J. Cancer 2015, 136, 333–339. [Google Scholar] [CrossRef] [PubMed]



Disclaimer/Publisher’s Note: The statements, opinions and data contained in all publications are solely those of the individual author(s) and contributor(s) and not of MDPI and/or the editor(s). MDPI and/or the editor(s) disclaim responsibility for any injury to people or property resulting from any ideas, methods, instructions or products referred to in the content. |
© 2025 by the authors. Licensee MDPI, Basel, Switzerland. This article is an open access article distributed under the terms and conditions of the Creative Commons Attribution (CC BY) license.
Share and Cite
Barboi, O.-B.; Vulpoi, R.-A.; Floria, D.-E.; Rosca, V.; Simiras, C.; Elena-Corina, A.; Iulia, A.; Drug, V.-L. Primary Colorectal Signet-Ring Cell Carcinoma with Synchronous Colonic Metastases in an Asymptomatic Patient: Case Presentation and Comprehensive Literature Review. Life 2026, 16, 60. https://doi.org/10.3390/life16010060
Barboi O-B, Vulpoi R-A, Floria D-E, Rosca V, Simiras C, Elena-Corina A, Iulia A, Drug V-L. Primary Colorectal Signet-Ring Cell Carcinoma with Synchronous Colonic Metastases in an Asymptomatic Patient: Case Presentation and Comprehensive Literature Review. Life. 2026; 16(1):60. https://doi.org/10.3390/life16010060
Chicago/Turabian StyleBarboi, Oana-Bogdana, Radu-Alexandru Vulpoi, Diana-Elena Floria, Vadim Rosca, Constantin Simiras, Andriescu Elena-Corina, Amitoaie Iulia, and Vasile-Liviu Drug. 2026. "Primary Colorectal Signet-Ring Cell Carcinoma with Synchronous Colonic Metastases in an Asymptomatic Patient: Case Presentation and Comprehensive Literature Review" Life 16, no. 1: 60. https://doi.org/10.3390/life16010060
APA StyleBarboi, O.-B., Vulpoi, R.-A., Floria, D.-E., Rosca, V., Simiras, C., Elena-Corina, A., Iulia, A., & Drug, V.-L. (2026). Primary Colorectal Signet-Ring Cell Carcinoma with Synchronous Colonic Metastases in an Asymptomatic Patient: Case Presentation and Comprehensive Literature Review. Life, 16(1), 60. https://doi.org/10.3390/life16010060

