Protein Expression of TXNIP in the Dopaminergic Neurons of Subjects with Parkinson’s Disease: Evidence from a Pilot Study
Abstract
1. Introduction
2. Materials and Methods
2.1. Post-Mortem Brain Sections
2.2. Immunohistochemistry (IHC)
2.3. Microscopic Analysis
2.4. Statistical Analysis
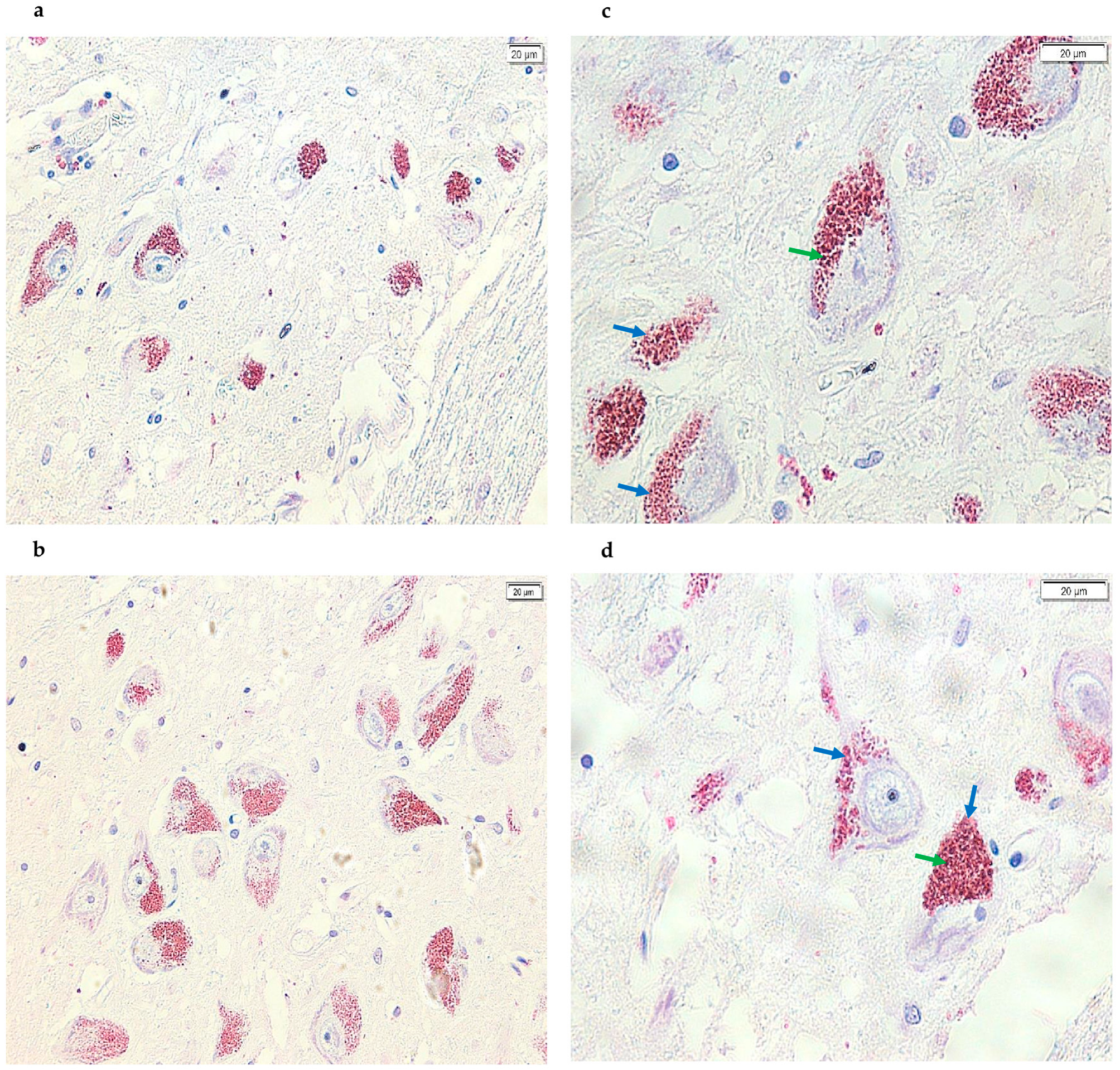
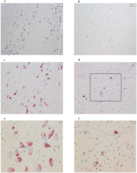
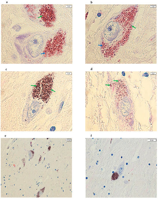
3. Results
4. Discussion
5. Conclusions
Author Contributions
Funding
Institutional Review Board Statement
Informed Consent Statement
Data Availability Statement
Acknowledgments
Conflicts of Interest
References
- Erkkinen, M.G.; Kim, M.-O.; Geschwind, M.D. Clinical Neurology and Epidemiology of the Major Neurodegenerative Diseases. Cold Spring Harb. Perspect. Biol. 2018, 10, a033118. [Google Scholar] [CrossRef] [PubMed]
- Ben-Shlomo, Y.; Darweesh, S.; Llibre-Guerra, J.; Marras, C.; San Luciano, M.; Tanner, C. The Epidemiology of Parkinson’s Disease. Lancet 2024, 403, 283–292. [Google Scholar] [CrossRef]
- Dugger, B.N.; Dickson, D.W. Pathology of Neurodegenerative Diseases. Cold Spring Harb. Perspect. Biol. 2017, 9, a028035. [Google Scholar] [CrossRef]
- Fisicaro, F.; Lanza, G.; Cantone, M.; Ferri, R.; Pennisi, G.; Nicoletti, A.; Zappia, M.; Bella, R.; Pennisi, M. Clinical and Electrophysiological Hints to TMS in De Novo Patients with Parkinson’s Disease and Progressive Supranuclear Palsy. J. Pers. Med. 2020, 10, 274. [Google Scholar] [CrossRef]
- Checkoway, H.; Lundin, J.I.; Kelada, S.N. Neurodegenerative Diseases. IARC Sci. Publ. 2011, 163, 407–419. [Google Scholar]
- Cacabelos, R. Parkinson’s Disease: From Pathogenesis to Pharmacogenomics. Int. J. Mol. Sci. 2017, 18, 551. [Google Scholar] [CrossRef]
- Figorilli, M.; Lanza, G.; Congiu, P.; Lecca, R.; Casaglia, E.; Mogavero, M.P.; Puligheddu, M.; Ferri, R. Neurophysiological Aspects of REM Sleep Behavior Disorder (RBD): A Narrative Review. Brain Sci. 2021, 11, 1588. [Google Scholar] [CrossRef]
- Chen, Z.; Li, G.; Liu, J. Autonomic Dysfunction in Parkinson’s Disease: Implications for Pathophysiology, Diagnosis, and Treatment. Neurobiol. Dis. 2020, 134, 104700. [Google Scholar] [CrossRef]
- Su, C.-J.; Feng, Y.; Liu, T.-T.; Liu, X.; Bao, J.-J.; Shi, A.-M.; Hu, D.-M.; Liu, T.; Yu, Y.-L. Thioredoxin-Interacting Protein Induced α-Synuclein Accumulation via Inhibition of Autophagic Flux: Implications for Parkinson’s Disease. CNS Neurosci. Ther. 2017, 23, 717–723. [Google Scholar] [CrossRef]
- Di Mari, G.M.; Scuderi, M.; Lanza, G.; Salluzzo, M.G.; Salemi, M.; Caraci, F.; Bruno, E.; Strano, V.; Mirabella, S.; Scandurra, A. Pain-Free Alpha-Synuclein Detection by Low-Cost Hierarchical Nanowire Based Electrode. Nanomaterials 2024, 14, 170. [Google Scholar] [CrossRef]
- Alster, P.; Madetko, N.; Koziorowski, D.; Friedman, A. Progressive Supranuclear Palsy-Parkinsonism Predominant (PSP-P)-A Clinical Challenge at the Boundaries of PSP and Parkinson’s Disease (PD). Front. Neurol. 2020, 11, 180. [Google Scholar] [CrossRef]
- Araki, K.; Sumikura, H.; Matsudaira, T.; Sugiura, A.; Takao, M.; Murayama, S.; Obi, T. Progressive Supranuclear Palsy and Parkinson’s Disease Overlap: A Clinicopathological Case Report. Neuropathology 2016, 36, 187–191. [Google Scholar] [CrossRef] [PubMed]
- Krzosek, P.; Madetko, N.; Migda, A.; Migda, B.; Jaguś, D.; Alster, P. Differential Diagnosis of Rare Subtypes of Progressive Supranuclear Palsy and PSP-Like Syndromes—Infrequent Manifestations of the Most Common Form of Atypical Parkinsonism. Front. Aging Neurosci. 2022, 14, 804385. [Google Scholar] [CrossRef] [PubMed]
- Terao, Y.; Tokushige, S.-I.; Inomata-Terada, S.; Fukuda, H.; Yugeta, A.; Ugawa, Y. Differentiating Early Parkinson’s Disease and Multiple System Atrophy with Parkinsonism by Saccade Velocity Profiles. Clin. Neurophysiol. 2019, 130, 2203–2215. [Google Scholar] [CrossRef] [PubMed]
- Figorilli, M.; Meloni, M.; Lanza, G.; Casaglia, E.; Lecca, R.; Saibene, F.L.; Congiu, P.; Puligheddu, M. Considering REM Sleep Behavior Disorder in the Management of Parkinson’s Disease. Nat. Sci. Sleep 2023, 15, 333–352. [Google Scholar] [CrossRef]
- Abos, A.; Baggio, H.C.; Segura, B.; Campabadal, A.; Uribe, C.; Giraldo, D.M.; Perez-Soriano, A.; Muñoz, E.; Compta, Y.; Junque, C.; et al. Differentiation of Multiple System Atrophy from Parkinson’s Disease by Structural Connectivity Derived from Probabilistic Tractography. Sci. Rep. 2019, 9, 16488. [Google Scholar] [CrossRef]
- Alster, P.; Nieciecki, M.; Migda, B.; Kutyłowski, M.; Madetko, N.; Duszyńska-Wąs, K.; Charzyńska, I.; Koziorowski, D.; Królicki, L.; Friedman, A. The Strengths and Obstacles in the Differential Diagnosis of Progressive Supranuclear Palsy-Parkinsonism Predominant (PSP-P) and Multiple System Atrophy (MSA) Using Magnetic Resonance Imaging (MRI) and Perfusion Single Photon Emission Computed Tomography (SPECT). Diagnostics 2022, 12, 385. [Google Scholar] [CrossRef]
- Donzuso, G.; Cicero, C.E.; Giuliano, L.; Squillaci, R.; Luca, A.; Palmucci, S.; Basile, A.; Lanza, G.; Ferri, R.; Zappia, M.; et al. Neuroanatomical Findings in Isolated REM Sleep Behavior Disorder and Early Parkinson’s Disease: A Voxel-Based Morphometry Study. Brain Imaging Behav. 2024, 18, 83–91. [Google Scholar] [CrossRef]
- Salemi, M.; Lanza, G.; Salluzzo, M.G.; Schillaci, F.A.; Di Blasi, F.D.; Cordella, A.; Caniglia, S.; Lanuzza, B.; Morreale, M.; Marano, P.; et al. A Next-Generation Sequencing Study in a Cohort of Sicilian Patients with Parkinson’s Disease. Biomedicines 2023, 11, 3118. [Google Scholar] [CrossRef]
- Vila, M. Neuromelanin, Aging, and Neuronal Vulnerability in Parkinson’s Disease. Mov. Disord. 2019, 34, 1440–1451. [Google Scholar] [CrossRef]
- Latif, S.; Jahangeer, M.; Maknoon Razia, D.; Ashiq, M.; Ghaffar, A.; Akram, M.; El Allam, A.; Bouyahya, A.; Garipova, L.; Ali Shariati, M.; et al. Dopamine in Parkinson’s Disease. Clin. Chim. Acta 2021, 522, 114–126. [Google Scholar] [CrossRef]
- Fasano, M.; Giraudo, S.; Coha, S.; Bergamasco, B.; Lopiano, L. Residual Substantia Nigra Neuromelanin in Parkinson’s Disease Is Cross-Linked to Alpha-Synuclein. Neurochem. Int. 2003, 42, 603–606. [Google Scholar] [CrossRef] [PubMed]
- Moore, D.J.; West, A.B.; Dawson, V.L.; Dawson, T.M. Molecular Pathophysiology of Parkinson’s Disease. Annu. Rev. Neurosci. 2005, 28, 57–87. [Google Scholar] [CrossRef] [PubMed]
- Zaman, V.; Shields, D.C.; Shams, R.; Drasites, K.P.; Matzelle, D.; Haque, A.; Banik, N.L. Cellular and Molecular Pathophysiology in the Progression of Parkinson’s Disease. Metab. Brain Dis. 2021, 36, 815–827. [Google Scholar] [CrossRef] [PubMed]
- Poewe, W.; Seppi, K.; Tanner, C.M.; Halliday, G.M.; Brundin, P.; Volkmann, J.; Schrag, A.-E.; Lang, A.E. Parkinson Disease. Nat. Rev. Dis. Primers 2017, 3, 17013. [Google Scholar] [CrossRef]
- Salemi, M.; Ravo, M.; Lanza, G.; Schillaci, F.A.; Ventola, G.M.; Marchese, G.; Salluzzo, M.G.; Cappelletti, G.; Ferri, R. Gene Expression Profiling of Post Mortem Midbrain of Parkinson’s Disease Patients and Healthy Controls. Int. J. Mol. Sci. 2024, 25, 707. [Google Scholar] [CrossRef]
- Magaki, S.; Hojat, S.A.; Wei, B.; So, A.; Yong, W.H. An Introduction to the Performance of Immunohistochemistry. Methods Mol. Biol. 2019, 1897, 289–298. [Google Scholar] [CrossRef]
- Braak, H.; Del Tredici, K.; Rüb, U.; de Vos, R.A.I.; Jansen Steur, E.N.H.; Braak, E. Staging of Brain Pathology Related to Sporadic Parkinson’s Disease. Neurobiol. Aging 2003, 24, 197–211. [Google Scholar] [CrossRef]
- Duraiyan, J.; Govindarajan, R.; Kaliyappan, K.; Palanisamy, M. Applications of Immunohistochemistry. J. Pharm. Bioallied Sci. 2012, 4, S307–S309. [Google Scholar] [CrossRef]
- MacFarland, T.W.; Yates, J.M. Mann–Whitney U Test. In Introduction to Nonparametric Statistics for the Biological Sciences Using R; Springer International Publishing: Cham, Switzerland, 2016; pp. 103–132. ISBN 978-3-319-30633-9. [Google Scholar]
- McKnight, P.E.; Najab, J. Mann-Whitney U Test. In The Corsini Encyclopedia of Psychology; Weiner, I.B., Craighead, W.E., Eds.; Wiley: Hoboken, NJ, USA, 2010; p. 1. ISBN 978-0-470-17024-3. [Google Scholar]
- Schillaci, F.A.; Lanza, G.; Salluzzo, M.G.; L’Episcopo, F.; Ferri, R.; Salemi, M. The Role of ETNPPL in Dopaminergic Neuron Stability: Insights from Neuromelanin-Associated Protein Expression in Parkinson’s Disease. Int. J. Mol. Sci. 2024, 25, 13107. [Google Scholar] [CrossRef]
- Salemi, M.; Marchese, G.; Lanza, G.; Cosentino, F.I.I.; Salluzzo, M.G.; Schillaci, F.A.; Ventola, G.M.; Cordella, A.; Ravo, M.; Ferri, R. Role and Dysregulation of miRNA in Patients with Parkinson’s Disease. Int. J. Mol. Sci. 2022, 24, 712. [Google Scholar] [CrossRef]
- Salemi, M.; Lanza, G.; Mogavero, M.P.; Cosentino, F.I.I.; Borgione, E.; Iorio, R.; Ventola, G.M.; Marchese, G.; Salluzzo, M.G.; Ravo, M.; et al. A Transcriptome Analysis of mRNAs and Long Non-Coding RNAs in Patients with Parkinson’s Disease. Int. J. Mol. Sci. 2022, 23, 1535. [Google Scholar] [CrossRef] [PubMed]
- Jia, J.; Sheng, Z.; Zhang, Y.; Guo, L.; Chen, Z.; Zhu, D.; Zeng, X.; Liu, H. Thioredoxin-1 Inhibits NLRP3-Mediated Pyroptosis by Regulating TXNIP in Models of Alzheimer’s Disease. Sci. Rep. 2025, 15, 16551. [Google Scholar] [CrossRef] [PubMed]
- Padhy, D.S.; Vesmaker, K.; Banerjee, S. Neuroprotective Potential of Tranilast in Streptozotocin-Induced Sporadic Alzheimer’s Disease Model Targeting TXNIP-NLRP3 Inflammasome Pathway. Int. Immunopharmacol. 2025, 156, 114691. [Google Scholar] [CrossRef] [PubMed]
- Patil, R.; Parab, S.B.; Bhatt, L.K. Thioredoxin-Interacting Protein: An Emerging Target for Alzheimer’s Disease. Eur. J. Pharmacol. 2025, 1002, 177806. [Google Scholar] [CrossRef]
- Marsden, C.D. Neuromelanin and Parkinson’s Disease. J. Neural Transm. Suppl. 1983, 19, 121–141. [Google Scholar]
- Segura-Aguilar, J. Can We Conclude a Potential Therapeutic Action for Parkinson’s Disease by Using Postmortem Tissue and a Preclinical Model Based on an Exogenous Neurotoxin? Cell Death Dis. 2018, 9, 748. [Google Scholar] [CrossRef]
- Mann, D.M.; Yates, P.O. Possible Role of Neuromelanin in the Pathogenesis of Parkinson’s Disease. Mech. Ageing Dev. 1983, 21, 193–203. [Google Scholar] [CrossRef]
- Halliday, G.M.; Ophof, A.; Broe, M.; Jensen, P.H.; Kettle, E.; Fedorow, H.; Cartwright, M.I.; Griffiths, F.M.; Shepherd, C.E.; Double, K.L. Alpha-Synuclein Redistributes to Neuromelanin Lipid in the Substantia Nigra Early in Parkinson’s Disease. Brain 2005, 128, 2654–2664. [Google Scholar] [CrossRef]
- Zucca, F.A.; Vanna, R.; Cupaioli, F.A.; Bellei, C.; De Palma, A.; Di Silvestre, D.; Mauri, P.; Grassi, S.; Prinetti, A.; Casella, L.; et al. Neuromelanin Organelles Are Specialized Autolysosomes That Accumulate Undegraded Proteins and Lipids in Aging Human Brain and Are Likely Involved in Parkinson’s Disease. NPJ Park. Dis. 2018, 4, 17. [Google Scholar] [CrossRef]
- Mitra, R.; Premraj, L.; Khoo, T.K. Neuromelanin: Its Role in the Pathogenesis of Idiopathic Parkinson’s Disease and Potential as a Therapeutic Target. Park. Relat. Disord. 2023, 112, 105448. [Google Scholar] [CrossRef] [PubMed]
- Mogensen, F.L.-H.; Seibler, P.; Grünewald, A.; Michelucci, A. Microglial Dynamics and Neuroinflammation in Prodromal and Early Parkinson’s Disease. J. Neuroinflamm. 2025, 22, 136. [Google Scholar] [CrossRef] [PubMed]
- Su, C.-J.; Shen, Z.; Cui, R.-X.; Huang, Y.; Xu, D.-L.; Zhao, F.-L.; Pan, J.; Shi, A.-M.; Liu, T.; Yu, Y.-L. Thioredoxin-Interacting Protein (TXNIP) Regulates Parkin/PINK1-Mediated Mitophagy in Dopaminergic Neurons Under High-Glucose Conditions: Implications for Molecular Links Between Parkinson’s Disease and Diabetes. Neurosci. Bull. 2020, 36, 346–358. [Google Scholar] [CrossRef] [PubMed]
- Tsubaki, H.; Tooyama, I.; Walker, D.G. Thioredoxin-Interacting Protein (TXNIP) with Focus on Brain and Neurodegenerative Diseases. Int. J. Mol. Sci. 2020, 21, 9357. [Google Scholar] [CrossRef]
- Qayyum, N.; Haseeb, M.; Kim, M.S.; Choi, S. Role of Thioredoxin-Interacting Protein in Diseases and Its Therapeutic Outlook. Int. J. Mol. Sci. 2021, 22, 2754. [Google Scholar] [CrossRef]
- Choi, E.-H.; Park, S.-J. TXNIP: A Key Protein in the Cellular Stress Response Pathway and a Potential Therapeutic Target. Exp. Mol. Med. 2023, 55, 1348–1356. [Google Scholar] [CrossRef]
- Salemi, M.; Cosentino, F.; Lanza, G.; Cantone, M.; Salluzzo, M.G.; Giurato, G.; Borgione, E.; Marchese, G.; Santa Paola, S.; Lanuzza, B.; et al. mRNA Expression Profiling of Mitochondrial Subunits in Subjects with Parkinson’s Disease. Arch. Med. Sci. 2023, 19, 678–686. [Google Scholar] [CrossRef]
- Cantuti-Castelvetri, I.; Keller-McGandy, C.; Bouzou, B.; Asteris, G.; Clark, T.W.; Frosch, M.P.; Standaert, D.G. Effects of Gender on Nigral Gene Expression and Parkinson Disease. Neurobiol. Dis. 2007, 26, 606–614. [Google Scholar] [CrossRef]
- Arabia, G.; De Martino, A.; Moro, E. Sex and Gender Differences in Movement Disorders: Parkinson’s Disease, Essential Tremor, Dystonia and Chorea. Int. Rev. Neurobiol. 2022, 164, 101–128. [Google Scholar] [CrossRef]
- Patel, R.; Kompoliti, K. Sex and Gender Differences in Parkinson’s Disease. Neurol. Clin. 2023, 41, 371–379. [Google Scholar] [CrossRef]




| PD Patients | Age | Sex | Clinical Diagnosis/Braak LB Stage |
|---|---|---|---|
| PD1 | 89 | F | PD/LB findings, Braak LB stage 6, Limbic LBD |
| PD2 | 76 | F | PD/LB findings, Braak LB stage 6, Amygdala-only LBD |
| PD3 | 79 | M | PD/LB findings, Braak LB stage 6, Neocortical LBD |
| PD4 | 80 | M | PD/LB findings, Braak LB stage 6, LBD |
| PD5 | 73 | M | PD/LB findings, Braak LB stage 6, Neocortical LBD |
| PD6 | 80 | M | PD/LB findings, Braak LB stage 6, Neocortical LBD |
| Healthy Controls | Age | Sex | Clinical Diagnosis |
| CTRL1 | 87 | F | No neurological disorder |
| CTRL2 | 59 | F | No neurological disorder |
| CTRL3 | 74 | F | No neurological disorder |
| CTRL4 | 84 | M | No neurological disorder |
| CTRL5 | 84 | F | No neurological disorder |
| CTRL6 | 81 | F | No neurological disorder |
| PD Patients | Positive Immunostaining | Negative Immunostaining |
|---|---|---|
| PD1 | 10 | 98 |
| PD2 | 11 | 75 |
| PD3 | 14 | 97 |
| PD4 | 9 | 102 |
| PD5 | 14 | 115 |
| PD6 | 8 | 103 |
| Median (Interquartile Range) | 10.5 (9–14) | 100 (97–103) |
| Healthy Controls | Positive Immunostaining | Negative Immunostaining |
| CTRL1 | 502 | 0 |
| CTRL2 | 527 | 0 |
| CTRL3 | 496 | 0 |
| CTRL4 | 539 | 0 |
| CTRL5 | 510 | 0 |
| CTRL6 | 499 | 0 |
| Median (Interquartile Range) | 506 (499–527) | 0 (0–0) |
| Mann-Whitney U test | Z = −2.807, p = 0.005 | Z = 2.991, p = 0.0028 |
Disclaimer/Publisher’s Note: The statements, opinions and data contained in all publications are solely those of the individual author(s) and contributor(s) and not of MDPI and/or the editor(s). MDPI and/or the editor(s) disclaim responsibility for any injury to people or property resulting from any ideas, methods, instructions or products referred to in the content. |
© 2025 by the authors. Licensee MDPI, Basel, Switzerland. This article is an open access article distributed under the terms and conditions of the Creative Commons Attribution (CC BY) license (https://creativecommons.org/licenses/by/4.0/).
Share and Cite
Schillaci, F.A.; Lanza, G.; Salluzzo, M.G.; Ferri, R.; Salemi, M. Protein Expression of TXNIP in the Dopaminergic Neurons of Subjects with Parkinson’s Disease: Evidence from a Pilot Study. Life 2025, 15, 1252. https://doi.org/10.3390/life15081252
Schillaci FA, Lanza G, Salluzzo MG, Ferri R, Salemi M. Protein Expression of TXNIP in the Dopaminergic Neurons of Subjects with Parkinson’s Disease: Evidence from a Pilot Study. Life. 2025; 15(8):1252. https://doi.org/10.3390/life15081252
Chicago/Turabian StyleSchillaci, Francesca A., Giuseppe Lanza, Maria Grazia Salluzzo, Raffaele Ferri, and Michele Salemi. 2025. "Protein Expression of TXNIP in the Dopaminergic Neurons of Subjects with Parkinson’s Disease: Evidence from a Pilot Study" Life 15, no. 8: 1252. https://doi.org/10.3390/life15081252
APA StyleSchillaci, F. A., Lanza, G., Salluzzo, M. G., Ferri, R., & Salemi, M. (2025). Protein Expression of TXNIP in the Dopaminergic Neurons of Subjects with Parkinson’s Disease: Evidence from a Pilot Study. Life, 15(8), 1252. https://doi.org/10.3390/life15081252

