Leptomeningitis as Rare Secondary Dissemination in MEITL (Monomorphic Intestinal Epitheliotropic T-Cell Lymphoma)
Abstract
1. Introduction
2. Materials and Methods
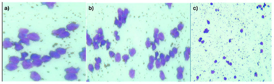
3. Results
4. Discussion
5. Conclusions
Author Contributions
Funding
Institutional Review Board Statement
Informed Consent Statement
Data Availability Statement
Conflicts of Interest
Abbreviations
| ALS | amyotrophic lateral sclerosis |
| CD | lymphocyte-specific surface makers |
| CT | computed tomography |
| DCRT | definite chemoradiotherapy |
| EATL | enteropathy-associated T-cell lymphoma |
| ESR | erythrocytes sedimentation rate |
| HSCT | hematopoietic stem cell transplantation |
| MRI | magnetic resonance imaging |
| MEITL | monomorphic epitheliotropic intestinal T-cell lymphoma |
| PET-CT | positron emission tomography-computed tomography |
| WHO | World Health Organization |
References
- Huang, L.; Yang, H.; Yang, Y.; Yu, F.; Zhao, Y.; Ye, X.; Zheng, W.; Sun, J.; Zhang, E.; Cai, Z.; et al. Hodgkin Lymphomas and T/NK cell lymphomas: Clinical and epidemiological. Blood 2023, 142, 4448–4449. [Google Scholar] [CrossRef]
- Chen, C.; Gong, Y.; Yang, Y.; Xia, Q.; Rao, Q.; Shao, Y.; Zhu, L.; Zhang, J.; Li, X.; Ji, P.; et al. Clinicopathological and molecular genomic features of monomorphic epitheliotropic intestinal T-cell lymphoma in the Chinese population: A study of 20 cases. Diagn. Pathol. 2021, 16, 114. [Google Scholar] [CrossRef] [PubMed]
- Haddad, P.A.; Dadi, N.C. Clinicopathologic determinations of survival in monomorphic epitheliotropic intestinal T-cell lymphoma (MEITL): Analysis of a pooled database. Blood 2020, 136 (Suppl. S2), S28. [Google Scholar] [CrossRef]
- Veloza, L.; Cavalieri, D.; Missiaglia, E.; Ledoux-Pilon, A.; Bisig, B.; Pereira, B.; Bonnet, C.; Poullot, E.; Quintanilla-Martinez, L.; Dubois, R.; et al. Monomorphic epit heliotropic intestinal T-cell lymphoma comprises morphologic and genomic heterogeneity impact outcome. Haematologica 2023, 108, 181–195. [Google Scholar] [CrossRef] [PubMed]
- Kucuk, C.; Jiang, B.; Hu, X.; Zhang, W.; Chan, J.K.; Xiao, W.; Lack, N.; Alkan, C.; Williams, J.C.; Avery, K.N.; et al. Activating mutations of STAT5B and STAT3 in lymphomas derived from gammadelta-T or NK cells. Nat. Commun. 2015, 6, 6025. [Google Scholar] [CrossRef] [PubMed]
- Takeshita, M.; Nakamura, S.; Kikuma, K.; Nakayama, Y.; Nimura, S.; Yao, T.; Urabe, S.; Ogawara, S.; Yonemasu, H.; Matsushita, Y.; et al. Pathological and immunohistological findings and genetic abberations of intestinal entheropathy-associated T-cell lymphoma in Japan. Histopathology 2011, 58, 395–407. [Google Scholar] [CrossRef] [PubMed]
- Hamada, Y.; Tanaka, K.; Nakamura, M. Unusual case of abdominal fullness in a middle-age woman. Gastroenterology 2019, 157, e8–e9. [Google Scholar] [CrossRef] [PubMed]
- Huang, D.; Lim, J.Q.; Cheah, D.M.Z.; Kahliab, K.H.B.M.; Laurensia, Y.; Pang, J.W.L.; Wong, E.K.Y.; Chia, B.K.H.; Goh, J.; Zhang, X.; et al. Whole-genome sequencing reveals potent therapeutic strategy for monomorphic ephiteliotropic intestinal T-cell lymphoma. Blood Adv. 2020, 4, 4769–4774. [Google Scholar] [CrossRef] [PubMed]
- Roberti, A.; Dobay, M.P.; Bisig, B.; Vallois, D.; Boéchat, C.; Lanitis, E.; Bouchindhomme, B.; Parrens, M.C.; Bossard, C.; Quintanilla-Martinez, L.; et al. Type II enteropathy-associated T-cell lymphoma features a unique genomic profile with highly recurrent SETD2 alterations. Nat. Commun. 2016, 7, 12602. [Google Scholar] [CrossRef] [PubMed]
- Nato, Y.; Miyazachi, K.; Imai, H.; Nakano, E.; Kageyama, Y.; Ino, K.; Fujieda, A.; Matsumo, T.; Tawara, I.; Tanaka, K.; et al. Early central nervous system relaps of monomorphic epitheliotropic intestinal T-cell lymphoma after cord blood transplantation. Int. J. Hematol. 2021, 114, 129–135. [Google Scholar] [CrossRef] [PubMed]
- Gobbi, C.; Buess, M.; Probst, A.; Ruegg, S.; Schrami, P.; Herrmann, R.; Steck, A.J.; Dirnhofer, S. Entheropathy-associated T-cell lymphoma with initial manifestation in CNS. Neurology 2003, 60, 1718–1719. [Google Scholar] [CrossRef] [PubMed]
- Uematsu, N.; Sumi, M.; Kaiume, H.; Takeda, W.; Kirihara, T.; Ueki, T.; Hiroshima, Y.; Ueno, M.; Ichikawa, N.; Watanabe, M.; et al. Neurolymphomatosis duet o entheropathy-associated T-cell lymphoma clinically diagnosed by FDG-PET/CT and subsequently confirmed by autopsy. Rinsho Ketsueki 2018, 59, 69–74. [Google Scholar] [PubMed]
- Tutt, A.N.; Brada, M.; Sampson, S.A. Entheropathy associated T cell lymphoma presenting as an isolated CNS lymphoma three years after diagnosis of celiac disease: T cell receptor polymerase chain reaction studies failed to show the original entheropathy to be a clonal disorder. Gut 1997, 40, 801–803. [Google Scholar] [CrossRef] [PubMed]
- Shams, P.N.; Waldam, A.; Dogan, A.; Mackenzie, J.M.; Plant, G.T. Ataxia in the settings of complicated entheropathy: Double jeopardy. J. Neurol. Neurosurg. Psychiatry 2002, 72, 527–529. [Google Scholar] [PubMed]
- Defillo, A.; Zelensky, A.; Smmons, B.H.; Nussbaum, E.S. Supratentorial metastatic enteropathy-associated T-cell lymphoma: A case report and literature review. Surg. Neurol. Int. 2012, 3, 144. [Google Scholar] [CrossRef] [PubMed][Green Version]
- Berman, E.L.; Zauber, N.P.; Rickert, R.R.; Diss, T.C.; Iscaacson, P.G. Entheropathy-associated T-cell lymphoma with brain involvement. J. Clin. Gastroenterol. 1998, 26, 337–341. [Google Scholar] [CrossRef] [PubMed]
- Chuah, Y.Y.; Tashi, T.; Lee, Y.Y.; Fu, T.Y.; Shih, C.A. Entheropathy-associated T-cell Lymphoma (EATL) with intracranial metastasis: A rare and dismal condition. Acta Gastro-Enterol. Belg. 2020, 83, 77–80. [Google Scholar]
- Lungu, M.; Telehuz, A.; Voinescu, D.C.; Sapira, V.; Trifan, A.; Elkan, E.M.; Fatu, A.; Creanga, V.Z.; Polinschi, M.; Stoleriu, G.; et al. NK/T-cell non-Hodgkin lymphoma: Case report and review of the literature. Exp. Ther. Med. 2021, 21, 91. [Google Scholar] [CrossRef] [PubMed]
- Guo, X.; Wang, Y. Monomorphic Epitheliotropic Intestinal. PathologyOutlines.com Website. Available online: https://www.pathologyoutlines.com/topic/lymphomameitl.html (accessed on 1 July 2025).
- Christian, H.; Murga-Zamalloa, C.A. Primary CNS Lymphoma. PathologyOutlines.com Website. Available online: https://www.pathologyoutlines.com/topic/lymphomaprimaryCNSlymphoma.html (accessed on 11 July 2025).


| RELEVANT CSF ANALYSIS FINDINGS | COMMENTS ON THE INTERPRETATION OF RESULTS |
|---|---|
| Albumin levels—99 mg/dL (reference interval 10–30 mg/dL) | Indicative for blood–brain barrier impairment; significantly increased protein may suggest CNS tuberculosis, also fungal, or neoplastic meningitis |
| Chlorides 115 mmol/L (reference interval 118–132 mmol/L) | Normal level |
| Glycorrhachia—50 mg/dL (reference interval 50–80 mg/dL) | Normal level |
| Pandy +++ reaction | Strongly positive—indicates significant elevation in globulins (protein inflammation) |
| Cell Count: 175 elements/mmc, with 80% monomorphic lymphocytes (normal interval 175 elements/mm3) | Pleocytosis with lymphocytic predominance may suggests chronic inflammation, such as tuberculosis, fungal, viral, or neoplastic meningitis. |
| Negative bacterial cultures | No bacterial growth—argues against acute bacterial meningitis |
| Opalescent appearance, xanthochrome liquid | Suggests prior bleeding (xanthochromia) and protein elevation |
Disclaimer/Publisher’s Note: The statements, opinions and data contained in all publications are solely those of the individual author(s) and contributor(s) and not of MDPI and/or the editor(s). MDPI and/or the editor(s) disclaim responsibility for any injury to people or property resulting from any ideas, methods, instructions or products referred to in the content. |
© 2025 by the authors. Licensee MDPI, Basel, Switzerland. This article is an open access article distributed under the terms and conditions of the Creative Commons Attribution (CC BY) license (https://creativecommons.org/licenses/by/4.0/).
Share and Cite
Lungu, M.; Oprea, V.D.; Niculeț, E.; Apostol, L.L.; Păduraru, M.I.; Ionescu, A.M.; Zaharia, A.L. Leptomeningitis as Rare Secondary Dissemination in MEITL (Monomorphic Intestinal Epitheliotropic T-Cell Lymphoma). Life 2025, 15, 1243. https://doi.org/10.3390/life15081243
Lungu M, Oprea VD, Niculeț E, Apostol LL, Păduraru MI, Ionescu AM, Zaharia AL. Leptomeningitis as Rare Secondary Dissemination in MEITL (Monomorphic Intestinal Epitheliotropic T-Cell Lymphoma). Life. 2025; 15(8):1243. https://doi.org/10.3390/life15081243
Chicago/Turabian StyleLungu, Mihaiela, Violeta Diana Oprea, Elena Niculeț, Luminița Lăcrămioara Apostol, Marius Ionuț Păduraru, Ana Maria Ionescu, and Andrei Lucian Zaharia. 2025. "Leptomeningitis as Rare Secondary Dissemination in MEITL (Monomorphic Intestinal Epitheliotropic T-Cell Lymphoma)" Life 15, no. 8: 1243. https://doi.org/10.3390/life15081243
APA StyleLungu, M., Oprea, V. D., Niculeț, E., Apostol, L. L., Păduraru, M. I., Ionescu, A. M., & Zaharia, A. L. (2025). Leptomeningitis as Rare Secondary Dissemination in MEITL (Monomorphic Intestinal Epitheliotropic T-Cell Lymphoma). Life, 15(8), 1243. https://doi.org/10.3390/life15081243

