Multimodality Imaging in Monoclonal Gammopathy of Undetermined Significance and ATTR Wild-Type Cardiac Amyloidosis
Abstract
1. Introduction
2. History of Presentation
3. Past Medical History
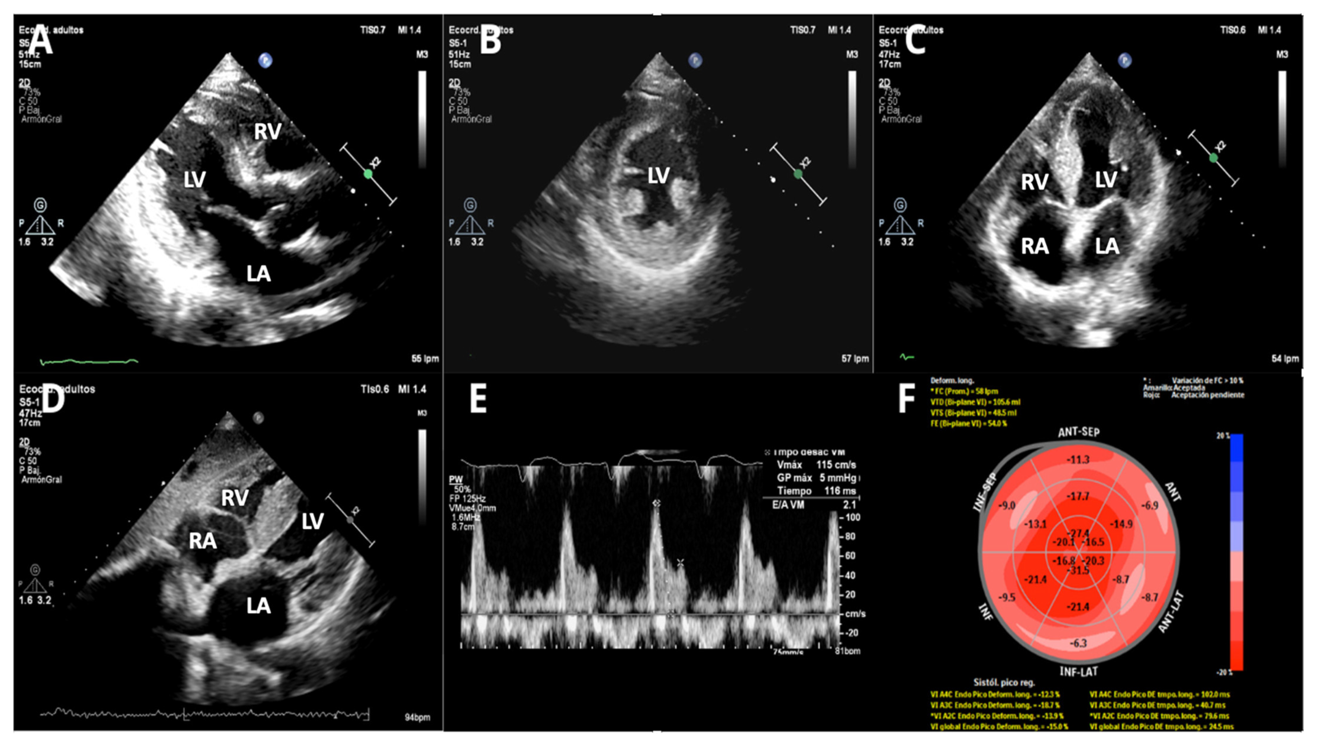
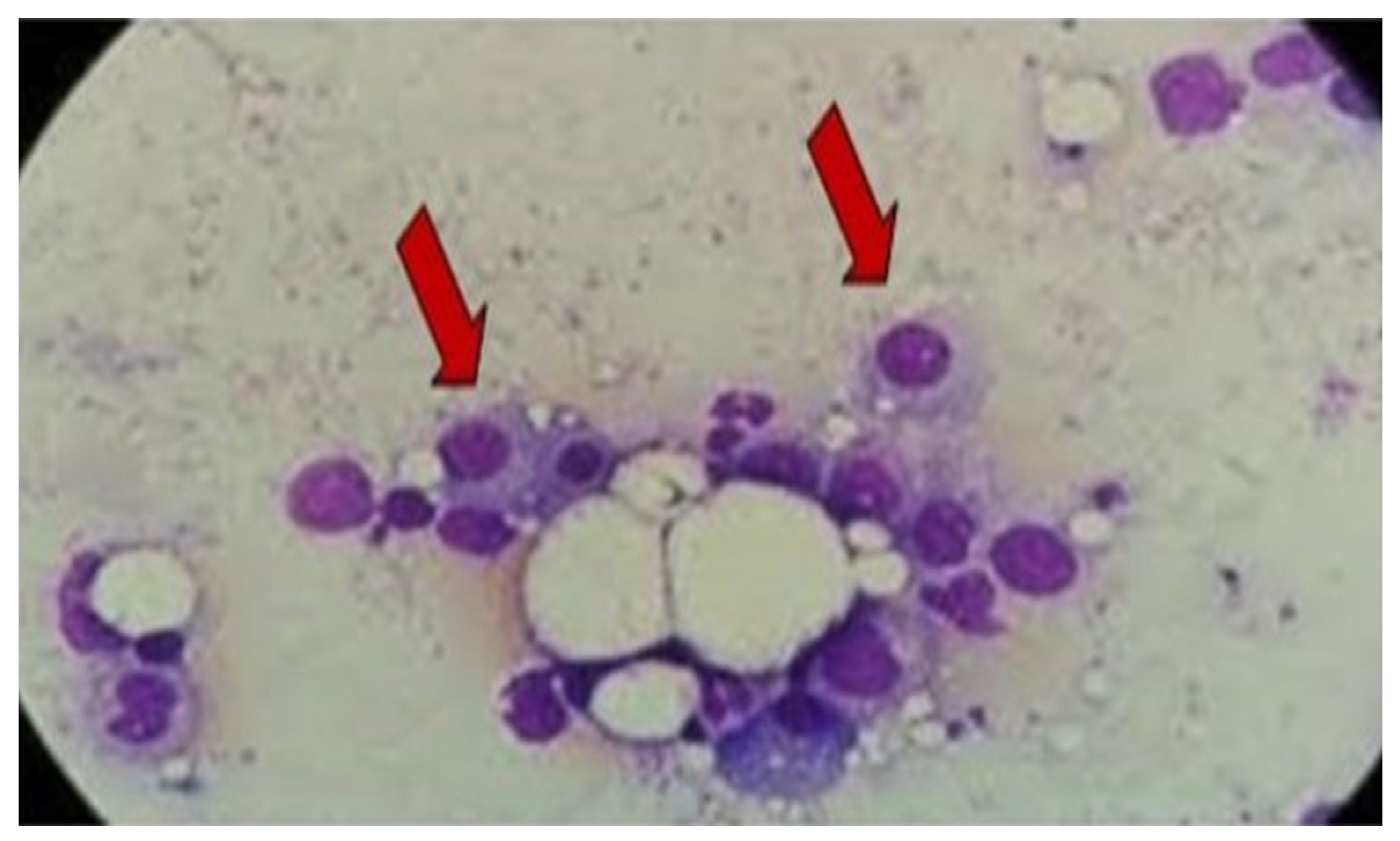
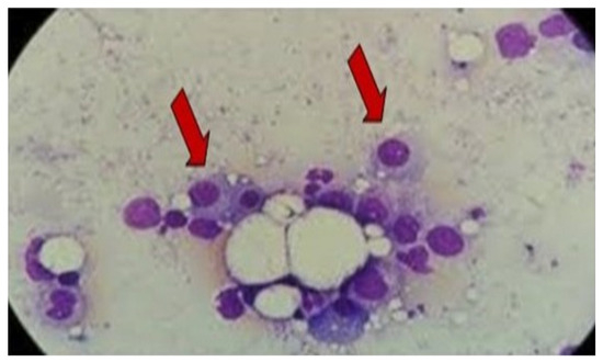
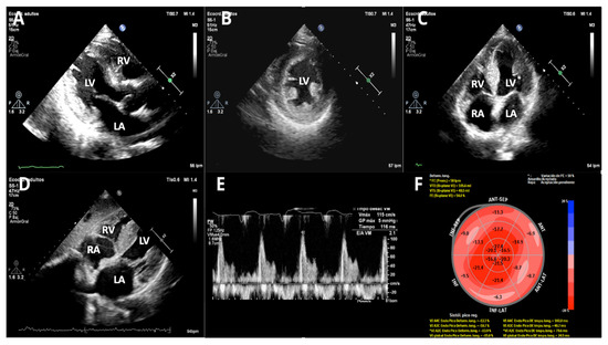
4. Investigations and Management
5. Outcome and Follow-Up
6. Discussion
7. Conclusions
Author Contributions
Funding
Institutional Review Board Statement
Informed Consent Statement
Data Availability Statement
Conflicts of Interest
Abbreviations
| AL | light-chain amyloidosis |
| ATTR | transthyretin amyloidosis |
| CMR | cardiac magnetic resonance |
| ECG | Electrocardiogram |
| ECV | extracellular volume |
| GLS | global longitudinal strain |
| LGE | late gadolinium enhancement |
| LVEF | left ventricular ejection fraction |
| LVH | left ventricular hypertrophy |
| MGUS | monoclonal gammopathy of undetermined significance |
| MM | multiple myeloma |
| SFLC | serum-free light-chain assay |
| SIFE/UIFE | serum or urine immunofixation electrophoresis |
| SPEP/UPEP | serum or urine protein electrophoresis |
| Tc-99m—PYP | technetium-99m-Tc99m-pyrophosphate |
| TTE | transthoracic echocardiogram |
| WM | Waldenström’s Macroglobulinemia |
References
- Guan, J.; Mishra, S.; Falk, R.H.; Liao, R. Current perspectives on cardiac amyloidosis. Am. J. Physiol. Circ. Physiol. 2012, 302, H544–H552. [Google Scholar] [CrossRef]
- Koike, H.; Okumura, T.; Murohara, T.; Katsuno, M. Multidisciplinary Approaches for Transthyretin Amyloidosis. Cardiol. Ther. 2021, 10, 289–311. [Google Scholar] [CrossRef] [PubMed]
- Danilov, A.; D’Angelo, L.; Marsela, E.; Costabel, J.P.; Jorde, U.P.; Rochlani, Y. Transthyretin cardiac amyloidosis: Advances and ambiguities. Heart Fail. Rev. 2025, 1–12. [Google Scholar] [CrossRef] [PubMed]
- Castano, A.; Haq, M.; Narotsky, D.L.; Goldsmith, J.; Weinberg, R.L.; Morgenstern, R.; Pozniakoff, T.; Ruberg, F.L.; Miller, E.J.; Berk, J.L.; et al. Multicenter study of planar Technetium 99m pyrophosphate cardiac imaging: Predicting survival for patients with ATTR cardiac amyloidosis. JAMA Cardiol. 2016, 1, 880–899. [Google Scholar] [CrossRef] [PubMed]
- Sidiqi, M.H.; Gertz, M.A. Immunoglobulin light chain amyloidosis diagnosis and treatment algorithm 2021. Blood Cancer J. 2021, 11, 90. [Google Scholar] [CrossRef] [PubMed]
- Rajkumar, S.V.; Dimopoulos, M.A.; Palumbo, A.; Blade, J.; Merlini, G.; Mateos, M.-V.; Kumar, S.; Hillengass, J.; Kastritis, E.; Richardson, P.; et al. International Myeloma Working Group updated criteria for the diagnosis of multiple myeloma. Lancet Oncol. 2014, 15, e538–e548. [Google Scholar] [CrossRef] [PubMed]
- Phull, P.; Sanchorawala, V.; Connors, L.H.; Doros, G.; Ruberg, F.L.; Berk, J.L.; Sarosiek, S. Monoclonal gammopathy of undetermined significance in systemic transthyretin amyloidosis (ATTR). Amyloid 2018, 25, 62–67. [Google Scholar] [CrossRef] [PubMed]
- Kawel-Boehm, N.; Hetzel, S.J.; Ambale-Venkatesh, B.; Captur, G.; Chin, C.W.; François, C.J.; Jerosch-Herold, M.; Luu, J.M.; Raisi-Estabragh, Z.; Starekova, J.; et al. Society for Cardiovascular Magnetic Resonance reference values (“normal values”) in cardiovascular magnetic resonance: 2025 update. J. Cardiovasc. Magn. Reson. 2025, 27, 101853. [Google Scholar] [CrossRef] [PubMed]
- Watanabe, S.; Nakajima, K.; Wakabayashi, H.; Yoneyama, H.; Yoshida, S.; Komatsu, J.; Konishi, T.; Inaki, A.; Kinuya, S. Volumetric evaluation of 99mTc-pyrophosphate SPECT/CT for transthyretin cardiac amyloidosis: Methodology and correlation with cardiac functional parameters. J. Nucl. Cardiol. 2022, 29, 3102–3110. [Google Scholar] [CrossRef] [PubMed]
- Kyle, R.A.; Rajkumar, V. Monoclonal gammopathy of undetermined significance and smoldering multiple myeloma. Curr. Hematol. Malig. Rep. 2010, 5, 62–69. [Google Scholar] [CrossRef] [PubMed]
- Kyle, R.A.; Therneau, T.M.; Rajkumar, S.V.; Offord, J.R.; Larson, D.R.; Plevak, M.F.; Melton, L.J., 3rd. A long-term study of prognosis in monoclonal gammopathy of undetermined significance. N. Engl. J. Med. 2002, 346, 564–569. [Google Scholar] [CrossRef] [PubMed]
- Gillmore, J.D.; Maurer, M.S.; Falk, R.H.; Merlini, G.; Damy, T.; Dispenzieri, A.; Wechalekar, A.D.; Berk, J.L.; Quarta, C.C.; Grogan, M.; et al. Nonbiopsy diagnosis of cardiac transthyretin amyloidosis. Circulation 2016, 133, 2404–2412. [Google Scholar] [CrossRef] [PubMed]
- Sidiqi, M.H.; McPhail, E.D.; Theis, J.D.; Dasari, S.; Vrana, J.A.; Drosou, M.E.; Leung, N.; Hayman, S.; Rajkumar, S.V.; Warsame, R.; et al. Two types of amyloidosis presenting in a single patient: A case series. Blood Cancer J. 2019, 9, 30. [Google Scholar] [CrossRef] [PubMed]
- Wats, K.; Chakraborty, R.; Navarro-Torres, M.; Siegelin, M.D.; D’Agati, V.D.; Maurer, M.S. Concurrent TTR and AL Amyloidosis: Diagnostic challenges and clinical implications. JACC Case Rep. 2025, 30, 104878. [Google Scholar] [CrossRef] [PubMed]








| Modality | Strengths | Weaknesses | Differential Role (ATTR vs. AL) |
|---|---|---|---|
| Echocardiography | Widely available; detects LVH, diastolic dysfunction; apical-sparing GLS suggests amyloidosis; RV/atrial involvement visible | Limited specificity; wall thickening non-specific; cannot type amyloid | Suggests amyloidosis but cannot distinguish ATTR from AL |
| Cardiac Magnetic Resonance (CMR) | Tissue characterization: diffuse subendocardial LGE; quantitative mapping (↑ native T1, ↑ ECV) improves sensitivity; atrial/septal involvement | Patterns overlap among amyloid types; gadolinium limited in renal dysfunction; requires expertise/availability | Strongly supports amyloidosis but does not definitively type ATTR vs. AL |
| Tc-99m PYP scintigraphy | High PPV for ATTR when grade 2–3 myocardial uptake presents with SPECT confirmation; enables noninvasive diagnosis; H/CL ratio adds confidence | False positives if only planar imaging; rare uptake in AL; requires exclusion of pathogenic monoclonal protein | Primary noninvasive discriminator: grade 2–3 uptake + negative AL work-up strongly supports ATTR |
Disclaimer/Publisher’s Note: The statements, opinions and data contained in all publications are solely those of the individual author(s) and contributor(s) and not of MDPI and/or the editor(s). MDPI and/or the editor(s) disclaim responsibility for any injury to people or property resulting from any ideas, methods, instructions or products referred to in the content. |
© 2025 by the authors. Licensee MDPI, Basel, Switzerland. This article is an open access article distributed under the terms and conditions of the Creative Commons Attribution (CC BY) license (https://creativecommons.org/licenses/by/4.0/).
Share and Cite
Peix, A.; Perez, A.; Figueredo, Y.; Torres, L.; Cabrera, L.O.; Monzon, G.; Roblejo, H.; Perera, A.; Brink, A.; Paez, D. Multimodality Imaging in Monoclonal Gammopathy of Undetermined Significance and ATTR Wild-Type Cardiac Amyloidosis. Life 2025, 15, 1493. https://doi.org/10.3390/life15101493
Peix A, Perez A, Figueredo Y, Torres L, Cabrera LO, Monzon G, Roblejo H, Perera A, Brink A, Paez D. Multimodality Imaging in Monoclonal Gammopathy of Undetermined Significance and ATTR Wild-Type Cardiac Amyloidosis. Life. 2025; 15(10):1493. https://doi.org/10.3390/life15101493
Chicago/Turabian StylePeix, Amalia, Aylen Perez, Yrving Figueredo, Leonel Torres, Lazaro O. Cabrera, Giselle Monzon, Hilda Roblejo, Alejandro Perera, Anita Brink, and Diana Paez. 2025. "Multimodality Imaging in Monoclonal Gammopathy of Undetermined Significance and ATTR Wild-Type Cardiac Amyloidosis" Life 15, no. 10: 1493. https://doi.org/10.3390/life15101493
APA StylePeix, A., Perez, A., Figueredo, Y., Torres, L., Cabrera, L. O., Monzon, G., Roblejo, H., Perera, A., Brink, A., & Paez, D. (2025). Multimodality Imaging in Monoclonal Gammopathy of Undetermined Significance and ATTR Wild-Type Cardiac Amyloidosis. Life, 15(10), 1493. https://doi.org/10.3390/life15101493

