Practical Use of Ultrasound in Modern Rheumatology—From A to Z
Abstract
1. Introduction
2. US in Inflammatory Joint Diseases
2.1. US for Establishing a Diagnosis
2.1.1. US in RA Diagnosis
2.1.2. US in PsA Diagnosis
2.1.3. US Role for the Differential Diagnosis between RA and PsA
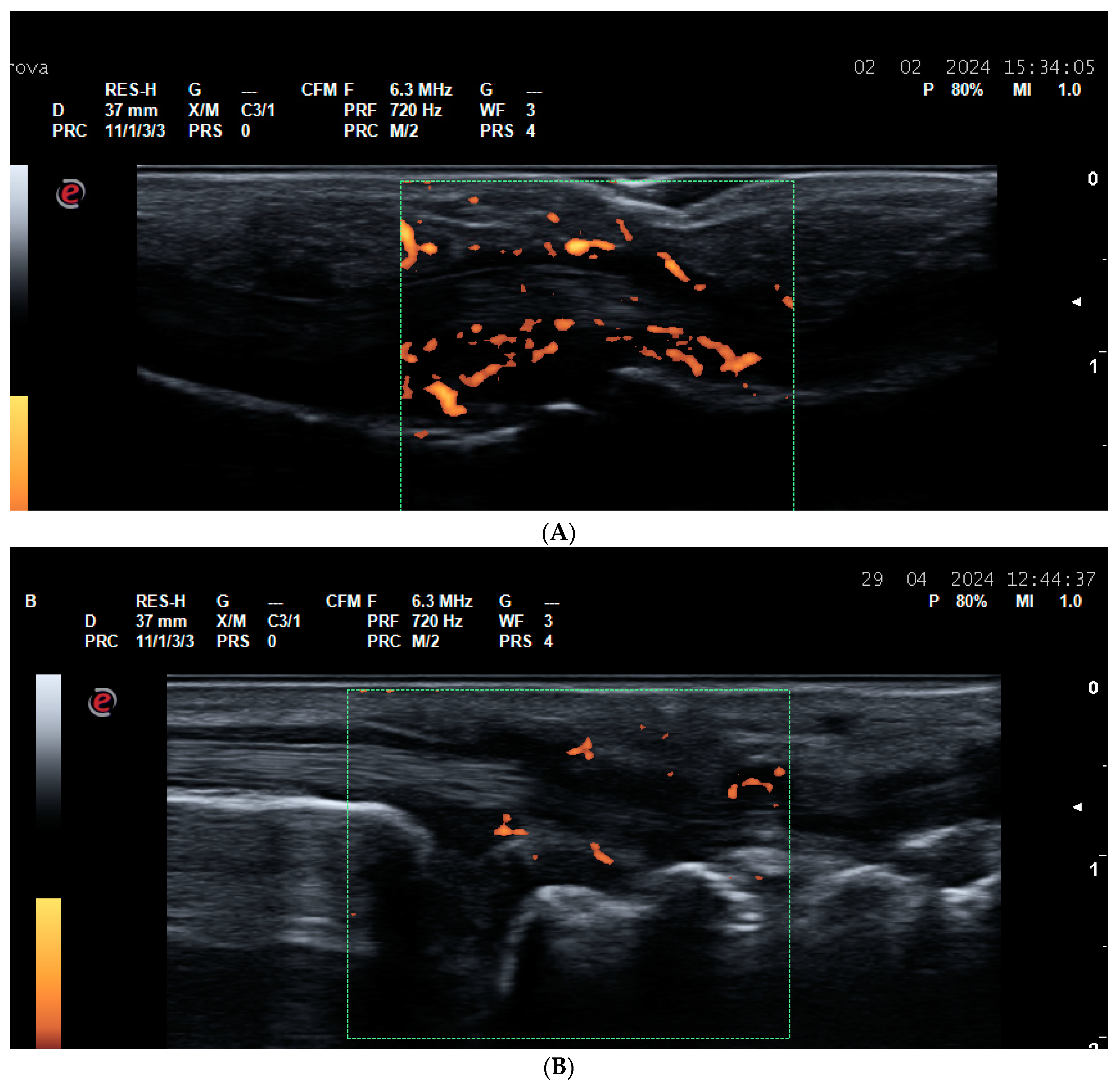
2.2. US for Assessment of Disease Activity and Monitoring Response to Therapy
2.3. US for Assessment of the State of True Remission
3. US in Degenerative and Crystal-Related Joint Diseases
3.1. US Use in Patients with Osteoarthritis (OA)
3.2. US in Crystal-Related Arthropathies
3.2.1. Gout
3.2.2. Calcium Pyrophosphate Deposition Disease (CPPD)
4. US in Systemic Connective Tissue Diseases
4.1. Systemic Sclerosis (SSc)
4.2. Systemic Lupus Erythematosus (SLE)
4.3. Inflammatory and Non-Inflammatory Myopathies and Sarcopenia
4.4. US in Primary Sjogren Syndrome (pSS)
5. US in Polymyalgia Rheumatica and Systemic Vasculitides
5.1. Polymyalgia Rheumatica (PMR)
5.2. Vasculitides
6. US for Assessment of Peripheral Nerves
7. US for Guiding the Needle in Invasive Procedures
8. Artificial Intelligence in Rheumatology
9. Conclusions
Author Contributions
Funding
Institutional Review Board Statement
Informed Consent Statement
Data Availability Statement
Conflicts of Interest
References
- McDonald, D.G.; Leopold, G.R. Ultrasound B-scanning in the differentiation of Baker’s cyst and thrombophlebitis. Br. J. Radiol. 1972, 45, 729–732. [Google Scholar] [CrossRef] [PubMed]
- Cooperberg, P.L.; Tsang, I.; Truelove, L.; Knickerbocker, W.J. Gray scale ultrasound in the evaluation of rheumatoid arthritis of the knee. Radiology 1978, 126, 759–763. [Google Scholar] [CrossRef] [PubMed]
- Sapundzhieva, T.L.; Karalilova, R.; Batalov, A. Musculoskeletal Ultrasound in Rheumatology—New Horizons. Folia Medica 2020, 62, 7–16. [Google Scholar] [CrossRef] [PubMed]
- Kaeley, G.S.; Bakewell, C.; Deodhar, A. The importance of ultrasound in identifying and differentiating patients with early inflammatory arthritis: A narrative review. Arthritis Res. Ther. 2020, 22, 1. [Google Scholar] [CrossRef] [PubMed] [PubMed Central]
- Saku, A.; Furuta, S.; Kato, M.; Furuya, H.; Suzuki, K.; Fukuta, M.; Suehiro, K.; Makita, S.; Tamachi, T.; Ikeda, K.; et al. Experience of musculoskeletal ultrasound scanning improves physicians’. physical examination skills in assessment of synovitis. Clin. Rheumatol. 2020, 39, 1091–1099. [Google Scholar] [CrossRef] [PubMed]
- Mandl, P.; Studenic, P.; Supp, G.; Durechova, M.; Haider, S.; Lehner, M.; Stamm, T.; Smolen, J.S.; Aletaha, D. Doubtful swelling on clinical examination reflects synovitis in rheumatoid arthritis. Ther. Adv. Musculoskelet. Dis. 2020, 12, 1759720X20933489. [Google Scholar] [CrossRef]
- Quintana-López, G.; Maldonado-Cañón, K.; Flórez-Suárez, J.B.; Méndez-Patarroyo, P.; Coral-Alvarado, P.; Calvo, E. Correlation and agreement between physical and ultrasound examination after a training session dedicated to the standardization of synovitis assessment in rheumatoid arthritis patients. Adv. Rheumatol. 2021, 61, 68. [Google Scholar] [CrossRef]
- Hammer, H.B.; Kvien, T.K.; Terslev, L. Ultrasound of the hand is sufficient to detect subclinical inflammation in rheumatoid arthritis remission: A post hoc longitudinal study. Arthritis Res. Ther. 2017, 19, 221. [Google Scholar] [CrossRef]
- Elnady, B.; El Shaarawy, N.K.; Dawoud, N.M.; Elkhouly, T.; Desouky, D.E.-S.; ElShafey, E.N.; El Husseiny, M.S.; Rasker, J.J. Subclinical synovitis and enthesitis in psoriasis patients and controls by ultrasonography in Saudi Arabia; incidence of psoriatic arthritis during two years. Clin. Rheumatol. 2019, 38, 1627–1635. [Google Scholar] [CrossRef] [PubMed]
- Macchioni, P.; Salvarani, C.; Possemato, N.; Gutierrez, M.; Grassi, W.; Gasparini, S.; Perricone, C.; Perrotta, F.M.; Grembiale, R.D.; Bruno, C.; et al. Ultrasonographic and Clinical Assessment of Peripheral Enthesitis in Patients with Psoriatic Arthritis, Psoriasis, and Fibromyalgia Syndrome: The ULISSE Study. J. Rheumatol. 2019, 46, 904–911. [Google Scholar] [CrossRef] [PubMed]
- Di Matteo, A.; Duquenne, L.; Cipolletta, E.; Nam, J.L.; Garcia-Montoya, L.; Wakefield, R.J.; Mahler, M.; Mankia, K.; Emery, P. Ultrasound subclinical synovitis in anti-CCP-positive at-risk individuals with musculoskeletal symptoms: An important and predictable stage in the rheumatoid arthritis continuum. Rheumatology 2022, 61, 3192–3200. [Google Scholar] [CrossRef] [PubMed] [PubMed Central]
- Garcia-Montoya, L.; Kang, J.; Duquenne, L.; Di Matteo, A.; Nam, J.L.; Harnden, K.; Chowdhury, R.; Mankia, K.; Emery, P. Factors associated with resolution of ultrasound subclinical synovitis in anti-CCP-positive individuals with musculoskeletal symptoms: A UK prospective cohort study. Lancet Rheumatol. 2024, 6, e72–e80. [Google Scholar] [CrossRef] [PubMed]
- Rogier, C.; Frazzei, G.; Kortekaas, M.C.; Verstappen, M.; Ohrndorf, S.; van Mulligen, E.; van Vollenhoven, R.F.; van Schaardenburg, D.; de Jong, P.H.; van der Helm-van Mil, A.H. An ultrasound negative for subclinical synovitis in arthralgia patients: Is it helpful in identifying those not developing arthritis? Rheumatology 2022, 61, 4892–4897. [Google Scholar] [CrossRef] [PubMed] [PubMed Central]
- Collada, J.M.; Gloria, K.L.; Castrejón, I.; Nieto-González, J.C.; Rivera, J.; Montero, F.; González, C.; Álvaro-Gracia, J.M. Ultrasound in clinically suspect arthralgia: The role of power Doppler to predict rheumatoid arthritis development. Arthritis Res. Ther. 2021, 23, 299. [Google Scholar] [CrossRef]
- Lopez-Ben, R.; Bernreuter, W.K.; Moreland, L.W.; Alarcon, G.S. Ultrasound detection of bone erosions in rheumatoid arthritis: A comparison to routine radiographs of the hands and feet. Skelet. Radiol. 2004, 33, 80–84. [Google Scholar] [CrossRef] [PubMed]
- Jindal, G.; Bansal, S.; Gupta, N.; Singh, S.K.; Gahukar, S.; Kumar, A. Comparison of Ultrasonography and X-rays for the Diagnosis of Synovitis and Bony Erosions in Small Joints of Hands in Early Rheumatoid Arthritis: A Prospective Study. Maedica 2021, 16, 22–28. [Google Scholar] [CrossRef] [PubMed] [PubMed Central]
- Ziegelasch, M.; Eloff, E.; Hammer, H.B.; Cedergren, J.; Martinsson, K.; Reckner, Å.; Skogh, T.; Magnusson, M.; Kastbom, A. Bone Erosions Detected by Ultrasound Are Prognostic for Clinical Arthritis Development in Patients With ACPA and Musculoskeletal Pain. Front. Med. 2021, 8, 653994. [Google Scholar] [CrossRef] [PubMed]
- Di Matteo, A.; Mankia, K.; Duquenne, L.; Cipolletta, E.; Wakefield, R.J.; Garcia-Montoya, L.; Nam, J.L.; Emery, P. Ultrasound erosions in the feet best predict progression to inflammatory arthritis in anti-CCP positive at-risk individuals without clinical synovitis. Ann. Rheum. Dis. 2020, 79, 901–907. [Google Scholar] [CrossRef]
- Wakefield, R.J.; Green, M.J.; Marzo-Ortega, H.; Conaghan, P.G.; Gibbon, W.W.; McGonagle, D.; Proudman, S.; Emery, P. Should oligoarthritis be reclassified? Ultrasound reveals a high prevalence of subclinical disease. Ann. Rheum. Dis. 2004, 63, 382–385. [Google Scholar] [CrossRef] [PubMed] [PubMed Central]
- Bruyn, G.A.; Iagnocco, A.; Naredo, E.; Balint, P.V.; Gutierrez, M.; Hammer, H.B.; Collado, P.; Filippou, G.; Schmidt, W.A.; Jousse-Joulin, S.; et al. OMERACT Ultrasound Working Group. OMERACT Definitions for Ultrasonographic Pathologies and Elementary Lesions of Rheumatic Disorders 15 Years on. J. Rheumatol. 2019, 46, 1388–1393. [Google Scholar] [CrossRef] [PubMed]
- Bhasin, S.; Cheung, P.P. The Role of Power Doppler Ultrasonography as Disease Activity Marker in Rheumatoid Arthritis. Dis. Markers 2015, 2015, 325909. [Google Scholar] [CrossRef] [PubMed] [PubMed Central]
- Huayong, Z.; Jun, L.; Junlan, Q.; Fan, W.; Lingyun, S. Ultrasonographic evaluation of enthesitis in patients with ankylosing spondylitis. J. Biomed. Res. 2017, 31, 162–169. [Google Scholar] [CrossRef] [PubMed] [PubMed Central]
- Smerilli, G.; Di Matteo, A.; Cipolletta, E.; Grassi, W.; Filippucci, E. Enthesitis in Psoriatic Arthritis, the Sonographic Perspective. Curr. Rheumatol. Rep. 2021, 23, 75. [Google Scholar] [CrossRef] [PubMed] [PubMed Central]
- Polachek, A.; Li, S.; Chandran, V.; Gladman, D.D. Clinical Enthesitis in a Prospective Longitudinal Psoriatic Arthritis Cohort: Incidence, Prevalence, Characteristics, and Outcome. Arthritis Care Res. 2017, 69, 1685–1691, Erratum in Arthritis Care Res. 2019, 71, 574. [Google Scholar] [CrossRef] [PubMed]
- Sapundzhieva, T.; Karalilova, R.; Batalov, A. Hand ultrasound patterns in rheumatoid and psoriatic arthritis: The role of ultrasound in the differential diagnosis. Rheumatol. Int. 2020, 40, 837–848. [Google Scholar] [CrossRef] [PubMed]
- Kondo, Y.; Kaneko, Y.; Takeuchi, T. Differential Diagnosis of Inflammatory Arthritis from Musculoskeletal Ultrasound View. Rheumatol. Immunol. Res. 2022, 3, 54–60. [Google Scholar] [CrossRef] [PubMed] [PubMed Central]
- Sakellariou, G.; Scirè, C.A.; Adinolfi, A.; Batticciotto, A.; Bortoluzzi, A.; Delle Sedie, A.; De Lucia, O.; Dejaco, C.; Epis, O.M.; Filippucci, E.; et al. Differential Diagnosis of Inflammatory Arthropathies by Musculoskeletal Ultrasonography: A Systematic Literature Review. Front. Med. 2020, 7, 141. [Google Scholar] [CrossRef] [PubMed]
- Zabotti, A.; Idolazzi, L.; Batticciotto, A.; De Lucia, O.; Scirè, C.A.; Tinazzi, I.; Iagnocco, A. Enthesitis of the hands in psoriatic arthritis: An ultrasonographic perspective. Med. Ultrason. 2017, 19, 438–443. [Google Scholar] [CrossRef] [PubMed]
- Razmjou, A.A.; Brook, J.; Elashoff, D.; Kaeley, G.; Choi, S.; Kermani, T.; Ranganath, V.K. Ultrasound and multi-biomarker disease activity score for assessing and predicting clinical response to tofacitinib treatment in patients with rheumatoid arthritis. BMC Rheumatol. 2020, 4, 55. [Google Scholar] [CrossRef] [PubMed] [PubMed Central]
- Bosch, P.; Husic, R.; Ficjan, A.; Gretler, J.; Lackner, A.; Graninger, W.B.; Duftner, C.; Hermann, J.; Dejaco, C. Evaluating current definitions of low disease activity in psoriatic arthritis using ultrasound. Rheumatology 2019, 58, 2212–2220. [Google Scholar] [CrossRef]
- Nam, S.W.; Kang, T. A Pragmatic Application of Ultrasonography for the Assessment of Disease Activity in Patients with Early Inflammatory Arthritis. J. Clin. Med. 2021, 10, 283. [Google Scholar] [CrossRef] [PubMed]
- Pukšić, S.; Bolton-King, P.; Sexton, J.; Michelsen, B.; Kvien, T.K.; Hammer, H.B. DAPSA and ultrasound show different perspectives of psoriatic arthritis disease activity: Results from a 12-month longitudinal observational study in patients starting treatment with biological disease-modifying antirheumatic drugs. RMD Open 2018, 4, e000765. [Google Scholar] [CrossRef] [PubMed]
- Chen, C.-C.; Chen, D.-Y. The Clinical Utility of Musculoskeletal Ultrasound for Disease Activity Evaluation and Therapeutic Response Prediction in Rheumatoid Arthritis Patients: A Narrative Review. J. Med. Ultrasound. 2023, 31, 275–281. [Google Scholar] [CrossRef] [PubMed] [PubMed Central]
- Zhou, L.; Wang, G.; Liu, X.; Song, J.; Chen, L.; Xu, H. Matrix metalloproteinase-3 and the 7-joint ultrasound score in the assessment of disease activity and therapeutic efficacy in patients with moderate to severe rheumatoid arthritis. Arthritis Res. Ther. 2017, 19, 250. [Google Scholar] [CrossRef]
- Mortada, M.; Aly, H.; Elmallah, R.; Radwan, A.; Elsaman, A. Construct validity and response to therapy of the U9 ultrasonographic scale for assessment of disease activity in rheumatoid arthritis. Reumatologia 2021, 59, 211–218. [Google Scholar] [CrossRef] [PubMed]
- Aga, A.-B.; Hammer, H.B.; Olsen, I.C.; Uhlig, T.; Kvien, T.K.; van der Heijde, D.; Fremstad, H.; Madland, T.M.; Lexberg, S.; Haukeland, H.; et al. Development of a feasible and responsive ultrasound inflammation score for rheumatoid arthritis through a data-driven approach. RMD Open 2016, 2, e000325. [Google Scholar] [CrossRef]
- Sapundzhieva, T.; Karalilova, R.; Batalov, A. Musculoskeletal ultrasound for predicting remission in patients with rheumatoid arthritis: Results from a 1-year prospective study. Rheumatol. Int. 2018, 38, 1891–1899. [Google Scholar] [CrossRef]
- D’agostino, M.A.; Schett, G.; López-Rdz, A.; Šenolt, L.; Fazekas, K.; Burgos-Vargas, R.; Maldonado-Cocco, J.; Naredo, E.; Carron, P.; Duggan, A.-M.; et al. Response to secukinumab on synovitis using Power Doppler ultrasound in psoriatic arthritis: 12-week results from a phase III study, ULTIMATE. Rheumatology 2022, 61, 1867–1876. [Google Scholar] [CrossRef] [PubMed] [PubMed Central]
- Ceccarelli, F.; Lucchetti, R.; Perricone, C.; Spinelli, F.R.; Cipriano, E.; Truglia, S.; Miranda, F.; Riccieri, V.; Di Franco, M.; Scrivo, R.; et al. Musculoskeletal ultrasound in monitoring response to apremilast in psoriatic arthritis patients: Results from a longitudinal study. Clin. Rheumatol. 2019, 38, 3145–3151. [Google Scholar] [CrossRef] [PubMed]
- Agache, M.; Popescu, C.C.; Enache, L.; Mogoșan, C.; Filippucci, E.; Codreanu, C. Additional Value of Ultrasound in Patients with Psoriatic Arthritis within Treatment Target. J. Clin. Med. 2024, 13, 4567. [Google Scholar] [CrossRef] [PubMed] [PubMed Central]
- Dale, J.; Stirling, A.; Zhang, R.; Purves, D.; Foley, J.; Sambrook, M.; Conaghan, P.G.; van der Heijde, D.; McConnachie, A.; McInnes, I.B.; et al. Targeting ultrasound remission in early rheumatoid arthritis: The results of the TaSER study, a randomised clinical trial. Ann. Rheum. Dis. 2016, 75, 1043–1050. [Google Scholar] [CrossRef] [PubMed]
- Haavardsholm, E.A.; Aga, A.-B.; Olsen, I.C.; Lillegraven, S.; Hammer, H.B.; Uhlig, T.; Fremstad, H.; Madland, T.M.; Lexberg, S.; Haukeland, H.; et al. Ultrasound in management of rheumatoid arthritis: Arctic randomised controlled strategy trial. BMJ 2016, 354, i4205. [Google Scholar] [CrossRef] [PubMed]
- Sapundzhieva, T.; Karalilova, R.; Batalov, A. Musculoskeletal ultrasound as a biomarker of remission—Results from a one-year prospective study in patients with rheumatoid arthritis. Med. Ultrason. 2018, 20, 453–460. [Google Scholar] [CrossRef] [PubMed]
- Smolen, J.S.; Landewé, R.B.M.; Bergstra, S.A.; Kerschbaumer, A.; Sepriano, A.; Aletaha, D.; Caporali, R.; Edwards, C.J.; Hyrich, K.L.; Pope, J.E.; et al. EULAR recommendations for the management of rheumatoid arthritis with synthetic and biological disease-modifying antirheumatic drugs: 2022 update. Ann. Rheum. Dis. 2023, 82, 3–18, Erratum in Ann. Rheum. Dis. 2023, 82, e76. [Google Scholar] [CrossRef] [PubMed]
- Ruyssen-Witrand, A.; Guernec, G.; Dupont, J.; Lapuyade, D.; Lioté, F.; Vittecoq, O.; Degboé, Y.; Constantin, A. Ten-year radiographic and functional outcomes in rheumatoid arthritis patients in remission compared to patients in low disease activity. Arthritis Res. Ther. 2023, 25, 207. [Google Scholar] [CrossRef]
- Zufferey, P.; Möller, B.; Brulhart, L.; Tamborrini, G.; Scherer, A.; Finckh, A.; Ziswiler, H.-R. Persistence of ultrasound synovitis in patients with rheumatoid arthritis fulfilling the DAS28 and/or the new ACR/EULAR RA remission definitions: Results of an observational cohort study. Jt. Bone Spine 2014, 81, 426–432. [Google Scholar] [CrossRef]
- Fakhfakh, R.; Elamri, N.; Baccouche, K.; Laataoui, S.; Zeglaoui, H.; Bouajina, E. Ultrasound remission in patients with rheumatoid arthritis in clinical remission. Reumatologia 2021, 59, 378–385. [Google Scholar] [CrossRef] [PubMed] [PubMed Central]
- El Miedany, Y.; El Gaafary, M.; Youssef, S.; Ahmed, I.; Bahlas, S.; Hegazi, M.; Nasr, A. Optimizing therapy in inflammatory arthritis: Prediction of relapse after tapering or stopping treatment for rheumatoid arthritis patients achieving clinical and radiological remission. Clin. Rheumatol. 2016, 35, 2915–2923. [Google Scholar] [CrossRef] [PubMed]
- Saleem, B.; Brown, A.K.; Quinn, M.; Karim, Z.; Hensor, E.M.A.; Conaghan, P.; Peterfy, C.; Wakefield, R.J.; Emery, P. Can flare be predicted in DMARD treated RA patients in remission, and is it important? A cohort study. Ann. Rheum. Dis. 2012, 71, 1316–1321. [Google Scholar] [CrossRef] [PubMed]
- Maassen, J.M.; van Ouwerkerk, L.; Allaart, C.F. Tapering of disease-modifying antirheumatic drugs: An overview for daily practice. Lancet Rheumatol. 2021, 3, e659–e670. [Google Scholar] [CrossRef] [PubMed]
- Han, J.; Geng, Y.; Deng, X.; Zhang, Z. Subclinical Synovitis Assessed by Ultrasound Predicts Flare and Progressive Bone Erosion in Rheumatoid Arthritis Patients with Clinical Remission: A Systematic Review and Metaanalysis. J. Rheumatol. 2016, 43, 2010–2018. [Google Scholar] [CrossRef] [PubMed]
- David, P.; Di Matteo, A.; Hen, O.; Dass, S.; Marzo-Ortega, H.; Wakefield, R.J.; Bissell, L.; Nam, J.; Mankia, K.; Emery, P.; et al. Poly-Refractory Rheumatoid Arthritis: An Uncommon Subset of Difficult to Treat Disease with Distinct Inflammatory and Noninflammatory Phenotypes. Arthritis Rheumatol. 2024, 76, 510–521. [Google Scholar] [CrossRef] [PubMed]
- Ko, C.-H.; Chen, J.-F.; Cheng, T.-T.; Lai, H.-M.; Chen, Y.-C. Biological tapering and sonographic flare in rheumatoid arthritis. J. Investig. Med. 2018, 66, 325–328. [Google Scholar] [CrossRef] [PubMed] [PubMed Central]
- Sakellariou, G.; Conaghan, P.G.; Zhang, W.; Bijlsma, J.W.J.; Boyesen, P.; D’Agostino, M.A.; Doherty, M.; Fodor, D.; Kloppenburg, M.; Miese, F.; et al. EULAR recommendations for the use of imaging in the clinical management of peripheral joint osteoarthritis. Ann. Rheum. Dis. 2017, 76, 1484–1494. [Google Scholar] [CrossRef] [PubMed]
- Abicalaf, C.A.R.P.; Nakada, L.N.; dos Santos, F.R.A.; Akiho, I.; dos Santos, A.C.A.; Imamura, M.; Battistella, L.R. Ultrasonography findings in knee osteoarthritis: A prospective observational cross-sectional study of 100 patients. Sci. Rep. 2021, 11, 16589. [Google Scholar] [CrossRef] [PubMed] [PubMed Central]
- Neogi, T.; Jansen, T.L.T.A.; Dalbeth, N.; Fransen, J.; Schumacher, H.R.; Berendsen, D.; Brown, M.; Choi, H.; Edwards, N.L.; Janssens, H.J.E.M.; et al. 2015 Gout Classification Criteria: An American College of Rheumatology/European League Against Rheumatism collaborative initiative. Arthritis Rheumatol. 2015, 67, 2557–2568, Erratum in Arthritis Rheumatol. 2016, 68, 515. [Google Scholar] [CrossRef] [PubMed]
- Naredo, E.; Uson, J.; Jiménez-Palop, M.; Martínez, A.; Vicente, E.; Brito, E.; Rodríguez, A.; Cornejo, F.J.; Castañeda, S.; Martínez, M.J.; et al. Ultrasound-detected musculoskeletal urate crystal deposition: Which joints and what findings should be assessed for diagnosing gout? Ann. Rheum. Dis. 2014, 73, 1522–1528. [Google Scholar] [CrossRef] [PubMed]
- Lee, Y.H.; Song, G.G. Diagnostic accuracy of ultrasound in patients with gout: A meta-analysis. Semin. Arthritis Rheum. 2018, 47, 703–709. [Google Scholar] [CrossRef] [PubMed]
- Hammer, H.B.; Karoliussen, L.; Terslev, L.; Haavardsholm, E.A.; Kvien, T.K.; Uhlig, T. Ultrasound shows rapid reduction of crystal depositions during a treat-to-target approach in gout patients: 12-month results from the NOR-Gout study. Ann. Rheum. Dis. 2020, 79, 1500–1505. [Google Scholar] [CrossRef] [PubMed]
- Ebstein, E.; Forien, M.; Norkuviene, E.; Richette, P.; Mouterde, G.; Daien, C.; Ea, H.-K.; Brière, C.; Lioté, F.; Petraitis, M.; et al. UltraSound evaluation in follow-up of urate-lowering therapy in gout phase 2 (USEFUL-2): Duration of flare prophylaxis. Jt. Bone Spine 2020, 87, 647–651. [Google Scholar] [CrossRef] [PubMed]
- Cipolletta, E.; Abhishek, A.; Di Battista, J.; Grassi, W.; Filippucci, E. Ultrasonography in the prediction of gout flares: A 12-month prospective observational study. Rheumatology 2023, 62, 1108–1116. [Google Scholar] [CrossRef] [PubMed]
- Han, L.; Li, R.; Dalbeth, N.; Liu, M.; Yu, Q.; Jiang, C.; Ning, C.; Liu, Z.; He, Y.; Li, M.; et al. The value of musculoskeletal ultrasound in predicting gout flares in index joints: A prospective cohort study of people with gout starting urate-lowering therapy. Semin. Arthritis Rheum. 2024, 67, 152418. [Google Scholar] [CrossRef] [PubMed]
- Di Matteo, A.; Filippucci, E.; Salaffi, F.; Carotti, M.; Carboni, D.; Di Donato, E.; Grassi, W. Diagnostic accuracy of musculoskeletal ultrasound and conventional radiography in the assessment of the wrist triangular fibrocartilage complex in patients with definite diagnosis of calcium pyrophosphate dihydrate deposition disease. Clin. Exp. Rheumatol. 2017, 35, 647–652. [Google Scholar] [PubMed]
- Forien, M.; Combier, A.; Gardette, A.; Palazzo, E.; Dieudé, P.; Ottaviani, S. Comparison of ultrasonography and radiography of the wrist for diagnosis of calcium pyrophosphate deposition. Jt. Bone Spine 2018, 85, 615–618. [Google Scholar] [CrossRef] [PubMed]
- Cipolletta, E.; Filippou, G.; Scirè, C.; Di Matteo, A.; Di Battista, J.; Salaffi, F.; Grassi, W.; Filippucci, E. The diagnostic value of conventional radiography and musculoskeletal ultrasonography in calcium pyrophosphate deposition disease: A systematic literature review and meta-analysis. Osteoarthr. Cartil. 2021, 29, 619–632. [Google Scholar] [CrossRef] [PubMed]
- Filippou, G.; Scirè, C.A.; Damjanov, N.; Adinolfi, A.; Carrara, G.; Picerno, V.; Toscano, C.; Bruyn, G.A.; D’agostino, M.A.; Sedie, A.D.; et al. Definition and Reliability Assessment of Elementary Ultrasonographic Findings in Calcium Pyrophosphate Deposition Disease: A Study by the OMERACT Calcium Pyrophosphate Deposition Disease Ultrasound Subtask Force. J. Rheumatol. 2017, 44, 1744–1749. [Google Scholar] [CrossRef] [PubMed]
- Filippou, G.; Scirè, C.A.; Adinolfi, A.; Damjanov, N.S.; Carrara, G.; Bruyn, G.A.W.; Cazenave, T.; D’agostino, M.A.; Sedie, A.D.; Di Sabatino, V.; et al. Identification of calcium pyrophosphate deposition disease (CPPD) by ultrasound: Reliability of the OMERACT definitions in an extended set of joints-an international multiobserver study by the OMERACT Calcium Pyrophosphate Deposition Disease Ultrasound Subtask Force. Ann. Rheum. Dis. 2018, 77, 1194–1199. [Google Scholar] [CrossRef] [PubMed]
- Abhishek, A.; Tedeschi, S.K.; Pascart, T.; Latourte, A.; Dalbeth, N.; Neogi, T.; Fuller, A.; Rosenthal, A.; Becce, F.; Bardin, T.; et al. The 2023 ACR/EULAR Classification Criteria for Calcium Pyrophosphate Deposition Disease. Arthritis Rheumatol. 2023, 75, 1703–1713. [Google Scholar] [CrossRef] [PubMed] [PubMed Central]
- Sirotti, S.; Terslev, L.; Filippucci, E.; Iagnocco, A.; Moller, I.; Naredo, E.; Vreju, F.A.; Adinolfi, A.; Becce, F.; Hammer, H.B.; et al. Development and validation of an OMERACT ultrasound scoring system for the extent of calcium pyrophosphate crystal deposition at the joint level and patient level. Lancet Rheumatol. 2023, 5, e474–e482. [Google Scholar] [CrossRef] [PubMed]
- Filippou, G.; Sirotti, S.; Cipolletta, E.; Filippucci, E. Optimizing the Use of Ultrasound in Calcium Pyrophosphate Deposition (CPPD): A Review from the Ground Up. Gout Urate Cryst. Depos. Dis. 2024, 2, 17–33. [Google Scholar] [CrossRef]
- Hughes, M.; Bruni, C.; Cuomo, G.; Sedie, A.D.; Gargani, L.; Gutierrez, M.; Lepri, G.; Ruaro, B.; Santiago, T.; Suliman, Y.; et al. The role of ultrasound in systemic sclerosis: On the cutting edge to foster clinical and research advancement. J. Scleroderma Relat. Disord. 2021, 6, 123–132. [Google Scholar] [CrossRef] [PubMed] [PubMed Central]
- Naredo, E.; Pascau, J.; Damjanov, N.; Lepri, G.; Gordaliza, P.M.; Janta, I.; Ovalles-Bonilla, J.G.; López-Longo, F.J.; Matucci-Cerinic, M. Performance of ultra-high-frequency ultrasound in the evaluation of skin involvement in systemic sclerosis: A preliminary report. Rheumatology 2020, 59, 1671–1678. [Google Scholar] [CrossRef] [PubMed]
- Santiago, T.; Santos, E.; Ruaro, B.; Lepri, G.; Green, L.; Wildt, M.; Watanabe, S.; Lescoat, A.; Hesselstrand, R.; Del Galdo, F.; et al. Ultrasound and elastography in the assessment of skin involvement in systemic sclerosis: A systematic literature review focusing on validation and standardization—WSF Skin Ultrasound Group. Semin. Arthritis Rheum. 2022, 52, 151954. [Google Scholar] [CrossRef] [PubMed]
- Santiago, T.; Santos, E.J.F.; Ruaro, B.; Lepri, G.; Green, L.; Wildt, M.; Watanabe, S.; Lescoat, A.; Hesselstrand, R.; del Galdo, F.; et al. Recommendations for the execution and reporting of skin ultrasound in systemic sclerosis: An international collaboration under the WSF skin ultrasound group. RMD Open 2022, 8, e002371. [Google Scholar] [CrossRef] [PubMed] [PubMed Central]
- Suliman, Y.A.; Bruni, C.; Hughes, M.; Matucci-Cerinic, M.; Furst, D.E. Ultrasonographic imaging of systemic sclerosis digital ulcers: A systematic literature review and validation steps. Semin. Arthritis Rheum. 2021, 51, 425–429. [Google Scholar] [CrossRef] [PubMed]
- Sandler, R.D.; Matucci-Cerinic, M.; Hughes, M. Musculoskeletal hand involvement in systemic sclerosis. Semin. Arthritis Rheum. 2020, 50, 329–334. [Google Scholar] [CrossRef] [PubMed]
- Balbach, M.L.; Corty, R.; Hill, B.; Frech, T.; Aslam, F.; Chew, E.Y. Development of a Musculoskeletal Ultrasound Protocol to Evaluate Hand Pain in Systemic Sclerosis Patients. Diagnostics 2024, 14, 669. [Google Scholar] [CrossRef]
- Avouac, J.; Walker, U.A.; Hachulla, E.; Riemekasten, G.; Cuomo, G.; Carreira, P.E.; Caramaschi, P.; Ananieva, L.P.; Matucci-Cerinic, M.; Czirjak, L.; et al. Joint and tendon involvement predict disease progression in systemic sclerosis: A EUSTAR prospective study. Ann. Rheum. Dis. 2016, 75, 103–109. [Google Scholar] [CrossRef] [PubMed]
- Volkmann, E.R.; Andréasson, K.; Smith, V. Systemic sclerosis. Lancet 2023, 401, 304–318. [Google Scholar] [CrossRef] [PubMed] [PubMed Central]
- Khanna, D.; Distler, O.; Cottin, V.; Brown, K.K.; Chung, L.; Goldin, J.G.; Matteson, E.L.; Kazerooni, E.A.; Walsh, S.L.; McNitt-Gray, M.; et al. Diagnosis and monitoring of systemic sclerosis-associated interstitial lung disease using high-resolution computed tomography. J. Scleroderma Relat. Disord. 2022, 7, 168–178. [Google Scholar] [CrossRef] [PubMed] [PubMed Central]
- Guerra, M.G.; Pinto, T.M.; Águeda, A.; Rodrigues, J.; Marona, J.; Violante, A.; Oliveira, M. The Role of Lung Ultrasound in Systemic Sclerosis: A Systematic Review. J. Clin. Rheumatol. 2023, 29, e32–e39. [Google Scholar] [CrossRef] [PubMed]
- Beigi, D.M.R.; Pellegrino, G.; Loconte, M.; Landini, N.; Mattone, M.; Paone, G.; Truglia, S.; Di Ciommo, F.R.; Bisconti, I.; Cadar, M.; et al. Lung ultrasound compared to computed tomography detection and automated quantification of systemic sclerosis-associated interstitial lung disease: Preliminary study. Rheumatology 2024, 63, 1240–1245. [Google Scholar] [CrossRef] [PubMed]
- Fairchild, R.; Chung, M.; Yang, D.; Sharpless, L.; Li, S.; Chung, L. Development and Assessment of Novel Lung Ultrasound Interpretation Criteria for the Detection of Interstitial Lung Disease in Systemic Sclerosis. Arthritis Care Res. 2021, 73, 1338–1342. [Google Scholar] [CrossRef] [PubMed] [PubMed Central]
- Gargani, L.; Bruni, C.; Romei, C.; Frumento, P.; Moreo, A.; Agoston, G.; Guiducci, S.; Bellando-Randone, S.; Lepri, G.; Belloli, L.; et al. Prognostic Value of Lung Ultrasound B-Lines in Systemic Sclerosis. Chest 2020, 158, 1515–1525. [Google Scholar] [CrossRef] [PubMed]
- Hassan, R.I.; Lubertino, L.I.; Barth, M.A.; Quaglia, M.F.; Montoya, S.F.; Kerzberg, E.; Binda, M.d.C. Lung Ultrasound as a Screening Method for Interstitial Lung Disease in Patients With Systemic Sclerosis. J. Clin. Rheumatol. 2019, 25, 304–307. [Google Scholar] [CrossRef] [PubMed]
- Tardella, M.; Di Carlo, M.; Carotti, M.; Filippucci, E.; Grassi, W.; Salaffi, F. Ultrasound B-lines in the evaluation of interstitial lung disease in patients with systemic sclerosis: Cut-off point definition for the presence of significant pulmonary fibrosis. Medicine 2018, 97, e0566. [Google Scholar] [CrossRef] [PubMed] [PubMed Central]
- Barskova, T.; Gargani, L.; Guiducci, S.; Randone, S.B.; Bruni, C.; Carnesecchi, G.; Conforti, M.L.; Porta, F.; Pignone, A.; Caramella, D.; et al. Lung ultrasound for the screening of interstitial lung disease in very early systemic sclerosis. Ann. Rheum. Dis. 2013, 72, 390–395. [Google Scholar] [CrossRef] [PubMed]
- Radić, M.; Đogaš, H.; Gelemanović, A.; Petričević, S.J.; Škopljanac, I.; Radić, J. Pulmonary Ultrasonography in Systemic Sclerosis-Induced Interstitial Lung Disease-A Systematic Review and Meta-Analysis. Diagnostics 2023, 13, 1429. [Google Scholar] [CrossRef] [PubMed] [PubMed Central]
- Xie, H.Q.; Zhang, W.W.; Sun, D.S.; Chen, X.M.; Yuan, S.F.; Gong, Z.H.; Liu, L. A simplified lung ultrasound for the diagnosis of interstitial lung disease in connective tissue disease: A meta-analysis. Arthritis Res. Ther. 2019, 21, 93. [Google Scholar] [CrossRef] [PubMed] [PubMed Central]
- Shumilova, A.; Vital, E.M. Musculoskeletal manifestations of systemic lupus erythematosus. Best Pract. Res. Clin. Rheumatol. 2023, 37, 101859. [Google Scholar] [CrossRef] [PubMed]
- Ohmura, K. Which is the best SLE activity index for clinical trials? Mod. Rheumatol. 2021, 31, 20–28. [Google Scholar] [CrossRef] [PubMed]
- Zayat, A.S.; Yusof, Y.M.; Wakefield, R.J.; Conaghan, P.G.; Emery, P.; Vital, E.M. The role of ultrasound in assessing musculoskeletal symptoms of systemic lupus erythematosus: A systematic literature review. Rheumatology 2016, 55, 485–494. [Google Scholar] [CrossRef] [PubMed] [PubMed Central]
- Zayat, A.S.; Mahmoud, K.; Yusof, Y.M.; Mukherjee, S.; D’agostino, M.-A.; Hensor, E.M.A.; Wakefield, R.J.; Conaghan, P.G.; Edwards, C.J.; Emery, P.; et al. Defining inflammatory musculoskeletal manifestations in systemic lupus erythematosus. Rheumatology 2019, 58, 304–312. [Google Scholar] [CrossRef] [PubMed]
- Di Matteo, A.; Filippucci, E.; Cipolletta, E.; Satulu, I.; Hurnakova, J.; Lato, V.; De Angelis, R.; Horvath, R.; Pavelka, K.; Salaffi, F.; et al. Entheseal involvement in patients with systemic lupus erythematosus: An ultrasound study. Rheumatology 2018, 57, 1822–1829. [Google Scholar] [CrossRef] [PubMed]
- Fagni, F.; Bettiol, A.; Silvestri, E.; Fedi, R.; Palermo, A.; Urban, M.L.; Mazzotta, R.; Malandrino, D.; Bello, F.; Mattioli, I.; et al. Prevalence and clinical associations of ultrasound-confirmed enthesitis in systemic lupus erythematosus. Rheumatology 2023, 62, 3619–3626. [Google Scholar] [CrossRef] [PubMed]
- Emerah, A.; Mostafa, S.; Kotb, L.; Amer, Y.; Ismail, B.; Sarhan, S.A. The burden of entheseal involvement in systemic lupus erythematosus: A comparative ultrasonograghic study. Clin. Rheumatol. 2024, 43, 219–226. [Google Scholar] [CrossRef] [PubMed] [PubMed Central]
- Mahmoud, K.; Zayat, A.S.; Yusof, Y.M.; Dutton, K.; Teh, L.S.; Yee, C.-S.; D’cruz, D.; Ng, N.; Isenberg, D.; Ciurtin, C.; et al. Ultrasound to identify systemic lupus erythematosus patients with musculoskeletal symptoms who respond best to therapy: The US Evaluation For mUsculoskeletal Lupus longitudinal multicentre study. Rheumatology 2021, 60, 5194–5204. [Google Scholar] [CrossRef] [PubMed] [PubMed Central]
- Habers, G.E.A.; Van Brussel, M.; Bhansing, K.J.; Hoppenreijs, E.P.; Janssen, A.J.; Van Royen-Kerkhof, A.; Pillen, S. Quantitative muscle ultrasonography in the follow-up of juvenile dermatomyositis. Muscle Nerve 2015, 52, 540–546. [Google Scholar] [CrossRef] [PubMed]
- Di Matteo, A.; Moscioni, E.; Lommano, M.G.; Cipolletta, E.; Smerilli, G.; Farah, S.; Airoldi, C.; Aydin, S.Z.; Becciolini, A.; Bonfiglioli, K.; et al. Reliability assessment of ultrasound muscle echogenicity in patients with rheumatic diseases: Results of a multicenter international web-based study. Front. Med. 2023, 9, 1090468. [Google Scholar] [CrossRef] [PubMed] [PubMed Central]
- Paramalingam, S.; Morgan, K.; Becce, F.; Diederichsen, L.P.; Ikeda, K.; Mandl, P.; Ohrndorf, S.; Sedie, A.D.; Sharp, V.; Tan, A.L.; et al. Conventional ultrasound and elastography as imaging outcome tools in autoimmune myositis: A systematic review by the OMERACT ultrasound group. Semin. Arthritis Rheum. 2021, 51, 661–676. [Google Scholar] [CrossRef] [PubMed]
- Alfuraih, A.M.; O’connor, P.; Tan, A.L.; Hensor, E.M.A.; Ladas, A.; Emery, P.; Wakefield, R.J. Muscle shear wave elastography in idiopathic inflammatory myopathies: A case-control study with MRI correlation. Skelet. Radiol. 2019, 48, 1209–1219. [Google Scholar] [CrossRef] [PubMed] [PubMed Central]
- Bachasson, D.; Dubois, G.J.; Allenbach, Y.; Benveniste, O.; Hogrel, J.-Y. Muscle Shear Wave Elastography in Inclusion Body Myositis: Feasibility, Reliability and Relationships with Muscle Impairments. Ultrasound Med. Biol. 2018, 44, 1423–1432. [Google Scholar] [CrossRef] [PubMed]
- Song, Y.; Lee, S.; Yoo, D.H.; Jang, K.-S.; Bae, J. Strain sonoelastography of inflammatory myopathies: Comparison with clinical examination, magnetic resonance imaging and pathologic findings. Br. J. Radiol. 2016, 89, 20160283. [Google Scholar] [CrossRef] [PubMed] [PubMed Central]
- Tan, J.Y.; Tan, C.Y.; Yahya, M.A.; Shahrizaila, N.; Goh, K.J. Evaluating disease status in idiopathic inflammatory myopathies with quantitative muscle ultrasound. Muscle Nerve 2024, 69, 597–603, Epub 15 Mar 2024. [Google Scholar] [CrossRef] [PubMed]
- Walter, A.W.; Lim, J.; Raaphorst, J.; Smithuis, F.F.; Harder, J.M.D.; Eftimov, F.; Potters, W.; Saris, C.G.J.; de Visser, M.; van Schaik, I.N.; et al. Ultrasound and MR muscle imaging in new onset idiopathic inflammatory myopathies at diagnosis and after treatment: A comparative pilot study. Rheumatology 2022, 62, 300–309. [Google Scholar] [CrossRef] [PubMed] [PubMed Central]
- Zhao, R.; Li, X.; Jiang, Y.; Su, N.; Li, J.; Kang, L.; Zhang, Y.; Yang, M. Evaluation of Appendicular Muscle Mass in Sarcopenia in Older Adults Using Ultrasonography: A Systematic Review and Meta-Analysis. Gerontology 2022, 68, 1174–1198. [Google Scholar] [CrossRef] [PubMed] [PubMed Central]
- Kara, M.; Kaymak, B.; Frontera, W.; Ata, A.; Ricci, V.; Ekiz, T.; Chang, K.; Han, D.; Michail, X.; Quittan, M.; et al. Diagnosing sarcopenia: Functional perspectives and a new algorithm from the ISarcoPRM. J. Rehabil. Med. 2021, 53, jrm00209. [Google Scholar] [CrossRef] [PubMed] [PubMed Central]
- Casey, P.; Alasmar, M.; McLaughlin, J.; Ang, Y.; McPhee, J.; Heire, P.; Sultan, J. The current use of ultrasound to measure skeletal muscle and its ability to predict clinical outcomes: A systematic review. J. Cachexia Sarcopenia Muscle 2022, 13, 2298–2309. [Google Scholar] [CrossRef] [PubMed] [PubMed Central]
- Mah, J.K.; van Alfen, N. Neuromuscular Ultrasound: Clinical Applications and Diagnostic Values. Can. J. Neurol. Sci. 2018, 45, 605–619. [Google Scholar] [CrossRef] [PubMed]
- Hwang, H.-E.; Hsu, T.-R.; Lee, Y.-H.; Wang, H.-K.; Chiou, H.-J.; Niu, D.-M. Muscle ultrasound: A useful tool in newborn screening for infantile onset pompe disease. Medicine 2017, 96, e8415. [Google Scholar] [CrossRef] [PubMed] [PubMed Central]
- Jansen, M.; van Alfen, N.; van der Sanden, M.W.N.; van Dijk, J.P.; Pillen, S.; de Groot, I.J. Quantitative muscle ultrasound is a promising longitudinal follow-up tool in Duchenne muscular dystrophy. Neuromuscul. Disord. 2012, 22, 306–317. [Google Scholar] [CrossRef] [PubMed]
- Tsuji, Y.; Noto, Y.-I.; Shiga, K.; Teramukai, S.; Nakagawa, M.; Mizuno, T. A muscle ultrasound score in the diagnosis of amyotrophic lateral sclerosis. Clin. Neurophysiol. 2017, 128, 1069–1074. [Google Scholar] [CrossRef] [PubMed]
- Tan, A.L.; Di Matteo, A.; Wakefield, R.J.; Biglands, J. Update on muscle imaging in myositis. Curr. Opin. Rheumatol. 2023, 35, 395–403. [Google Scholar] [CrossRef] [PubMed] [PubMed Central]
- Lorenzon, M.; Spina, E.; Di Franco, F.T.; Giovannini, I.; De Vita, S.; Zabotti, A. Salivary Gland Ultrasound in Primary Sjögren’s Syndrome: Current and Future Perspectives. Open Access Rheumatol. 2022, 14, 147–160. [Google Scholar] [CrossRef] [PubMed] [PubMed Central]
- Zabotti, A.; Callegher, S.Z.; Tullio, A.; Vukicevic, A.; Hocevar, A.; Milic, V.; Cafaro, G.; Carotti, M.; Delli, K.; De Lucia, O.; et al. Salivary Gland Ultrasonography in Sjögren’s Syndrome: A European Multicenter Reliability Exercise for the HarmonicSS Project. Front. Med. 2020, 7, 581248. [Google Scholar] [CrossRef] [PubMed] [PubMed Central]
- Jousse-Joulin, S.; D’Agostino, M.A.; Nicolas, C.; Naredo, E.; Ohrndorf, S.; Backhaus, M.; Tamborrini, G.; Chary-Valckenaere, I.; Terslev, L.; Iagnocco, A.; et al. Video clip assessment of a salivary gland ultrasound scoring system in Sjögren’s syndrome using consensual definitions: An OMERACT ultrasound working group reliability exercise. Ann. Rheum. Dis. 2019, 78, 967–973. [Google Scholar] [CrossRef] [PubMed]
- Takagi, Y.; Nakamura, H.; Sumi, M.; Shimizu, T.; Hirai, Y.; Horai, Y.; Takatani, A.; Kawakami, A.; Eida, S.; Sasaki, M.; et al. Combined classification system based on ACR/EULAR and ultrasonographic scores for improving the diagnosis of Sjögren’s syndrome. PLoS ONE 2018, 13, e0195113. [Google Scholar] [CrossRef] [PubMed] [PubMed Central]
- van Nimwegen, J.F.; Mossel, E.; Delli, K.; van Ginkel, M.S.; Stel, A.J.; Kroese, F.G.M.; Spijkervet, F.K.L.; Vissink, A.; Arends, S.; Bootsma, H. Incorporation of Salivary Gland Ultrasonography Into the American College of Rheumatology/European League Against Rheumatism Criteria for Primary Sjögren’s Syndrome. Arthritis Care Res. 2020, 72, 583–590. [Google Scholar] [CrossRef] [PubMed] [PubMed Central]
- La Paglia, G.M.C.; Sanchez-Pernaute, O.; Alunno, A.; Martínez-Becerra, M.J.; Romero-Bueno, F.; Recuero, S.; Borges, P.E.; Mahillo-Fernández, I.; Garrido, J.; Gerli, R.; et al. Ultrasound salivary gland involvement in Sjogren’s syndrome vs. other connective tissue diseases: Is it autoantibody and gland dependent? Clin. Rheumatol. 2020, 39, 1207–1215. [Google Scholar] [CrossRef] [PubMed]
- Law, S.T.; Jafarzadeh, S.R.; Govender, P.; Sun, X.; Sanchorawala, V.; Kissin, E.Y. Comparison of ultrasound features of major salivary glands in sarcoidosis, amyloidosis, and Sjögren’s syndrome. Arthritis Care Res. 2020, 72, 1466–1473. [Google Scholar] [CrossRef]
- Sebastian, A.; Madej, M.; Sebastian, M.; Butrym, A.; Woytala, P.; Hałoń, A.; Wiland, P. Prevalence and clinical presentation of lymphoproliferative disorder in patients with primary Sjögren’s syndrome. Rheumatol. Int. 2020, 40, 399–404. [Google Scholar] [CrossRef] [PubMed]
- Geng, Z.; Ye, C.; Zhu, X. Malignancies in systemic rheumatic diseases: A mini review. Front. Immunol. 2023, 14, 1095526. [Google Scholar] [CrossRef] [PubMed] [PubMed Central]
- Lorenzon, M.; Di Franco, F.T.; Zabotti, A.; Pegolo, E.; Giovannini, I.; Manfrè, V.; Mansutti, E.; De Vita, S.; Zuiani, C.; Girometti, R. Sonographic features of lymphoma of the major salivary glands diagnosed with ultrasound-guided core needle biopsy in Sjögren’s syndrome. Clin. Exp. Rheumatol. 2021, 39 (Suppl. S133), 175–183. [Google Scholar] [CrossRef] [PubMed]
- Khalife, A.; Bakhshaee, M.; Davachi, B.; Mashhadi, L.; Khazaeni, K. The diagnostic value of B-mode sonography in differentiation of malignant and benign tumors of the parotid gland. Iran. J. Otorhinolaryngol. 2016, 28, 305–312. [Google Scholar]
- Zabotti, A.; Callegher, S.Z.; Lorenzon, M.; Pegolo, E.; Scott, C.A.; Tel, A.; Giovannini, I.; Robiony, M.; Di Loreto, C.; Zuiani, C.; et al. Ultrasound-guided core needle biopsy compared with open biopsy: A new diagnostic approach to salivary gland enlargement in Sjögren’s syndrome? Rheumatology 2021, 60, 1282–1290. [Google Scholar] [CrossRef] [PubMed]
- Baer, A.N.; Grader-Beck, T.; Antiochos, B.; Birnbaum, J.; Fradin, J.M. Ultrasound-guided biopsy of suspected salivary gland lymphoma in Sjögren’s syndrome. Arthritis Care Res. 2021, 73, 849–855. [Google Scholar] [CrossRef] [PubMed]
- Diekhoff, T.; Fischer, T.; Schefer, Q.; Posch, M.G.; Dörner, T.; Laurent, D.; Li, Y.; Wagner, F.D.; Oliver, S.J. Ianalumab (VAY736) in primary Sjögren’s syndrome: Assessing disease activity using multi-modal ultrasound. Clin. Exp. Rheumatol. 2020, 38 (Suppl. S126), 228–236. [Google Scholar] [PubMed]
- Fisher, B.A.; Everett, C.C.; Rout, J.; O’dwyer, J.L.; Emery, P.; Pitzalis, C.; Ng, W.-F.; Carr, A.; Pease, C.T.; Price, E.J.; et al. Effect of rituximab on a salivary gland ultrasound score in primary Sjögren’s syndrome: Results of the TRACTISS randomised double-blind multicentre substudy. Ann. Rheum. Dis. 2018, 77, 412–416. [Google Scholar] [CrossRef] [PubMed] [PubMed Central]
- Oruk, Y.E.; Çildağ, M.B.; Karaman, C.Z.; Çildağ, S. Effectiveness of ultrasonography and shear wave sonoelastography in Sjögren syndrome with salivary gland involvement. Ultrasonography 2021, 40, 584–593. [Google Scholar] [CrossRef]
- Turnaoglu, H.; Rahatli, F.K.; Pamukcu, M.; Haberal, K.M.; Uslu, N. Diagnostic value of acustic radiation force impulse imaging in the assessment of salivary gland involvement in primary Sjögren’s sydrome. Med. Ultrason. 2018, 20, 313–318. [Google Scholar] [CrossRef] [PubMed]
- Bădărînză, M.; Serban, O.; Maghear, L.; Bocsa, C.; Micu, M.; Damian, L.; Felea, I.; Fodor, D. Shear wave elastography as a new method to identify parotid lymphoma in primary Sjögren Syndrome patients: An observational study. Rheumatol. Int. 2020, 40, 1275–1281. [Google Scholar] [CrossRef] [PubMed]
- Dasgupta, B.; Cimmino, M.A.; Maradit-Kremers, H.; Schmidt, W.A.; Schirmer, M.; Salvarani, C.; Bachta, A.; Dejaco, C.; Duftner, C.; Jensen, H.S.; et al. 2012 provisional classification criteria for polymyalgia rheumatica: A European League Against Rheumatism/American College of Rheumatology collaborative initiative. Ann. Rheum. Dis. 2012, 71, 484–492. [Google Scholar] [CrossRef] [PubMed] [PubMed Central]
- Mackie, S.L.; Koduri, G.; Hill, C.L.; Wakefield, R.J.; Hutchings, A.; Loy, C.; Dasgupta, B.; Wyatt, J.C. Accuracy of musculoskeletal imaging for the diagnosis of polymyalgia rheumatica: Systematic review. RMD Open 2015, 1, e000100. [Google Scholar] [CrossRef] [PubMed] [PubMed Central][Green Version]
- Todorov, P.T.; Batalov, A.Z. Ultrasound description and follow up of painful cervical interspinous bursitis in a Polymyalgia Rheumatica patient—A case report. Med. Ultrason. 2023, 25, 469–471. [Google Scholar] [CrossRef] [PubMed]
- Sagawa, R.; Kida, T.; Inoue, H.; Hirano, A.; Kohno, M.; Kawahito, Y. Lumbar interspinous bursitis in a patient with polymyalgia rheumatica/giant cell arteritis detected by musculoskeletal ultrasound: A case report. RMD Open 2022, 8, e002578. [Google Scholar] [CrossRef] [PubMed] [PubMed Central]
- Conticini, E.; Falsetti, P.; D’alessandro, M.; Al Khayyat, S.G.; Grazzini, S.; Baldi, C.; Acciai, C.; Gentileschi, S.; D’alessandro, R.; Bellisai, F.; et al. Clinical, laboratory and ultrasonographic findings at baseline predict long-term outcome of polymyalgia rheumatica: A multicentric retrospective study : Polymyalgia rheumatica predicted by ultrasonographic findings polymyalgia rheumatica outcome predicted early by ultrasound. Intern. Emerg. Med. 2023, 18, 1929–1939. [Google Scholar] [CrossRef] [PubMed] [PubMed Central]
- Dejaco, C.; Singh, Y.P.; Perel, P.; Hutchings, A.; Camellino, D.; Mackie, S.; Abril, A.; Bachta, A.; Balint, P.; Barraclough, K.; et al. European League Against Rheumatism; American College of Rheumatology. 2015 recommendations for the management of polymyalgia rheumatica: A European League against Rheumatism/American College of Rheumatology collaborative initiative. Arthritis Rheumatol. 2015, 67, 2569–2580. [Google Scholar] [CrossRef] [PubMed]
- Figus, F.A.; Skoczyńska, M.; McConnell, R.; Massazza, G.; Iagnocco, A. Imaging in polymyalgia rheumatica: Which technique to use? Clin. Exp. Rheumatol. 2021, 39, 883–888. [Google Scholar] [CrossRef] [PubMed]
- Suzuki, T.; Yoshida, R.; Hidaka, Y.; Seri, Y. Proliferative Synovitis of the Shoulder Bursae is a Key Feature for Discriminating Elderly Onset Rheumatoid Arthritis Mimicking Polymyalgia Rheumatica from Polymyalgia Rheumatica. Clin. Med. Insights Arthritis Musculoskelet. Disord. 2017, 10, 1179544117745851. [Google Scholar] [CrossRef] [PubMed] [PubMed Central]
- Ottaviani, S.; Goossens, J.; Demaria, L.; Forien, M.; Palazzo, E.; Dieudé, P. Ultrasound shoulder assessment of calcium pyrophosphate disease with suspected polymyalgia rheumatica. Clin. Exp. Rheumatol. 2020, 38, 1170–1175. [Google Scholar] [PubMed]
- Schmidt, W.A.; Schäfer, V.S. Diagnosing vasculitis with ultrasound: Findings and pitfalls. Ther. Adv. Musculoskelet. Dis. 2024, 16, 1759720X241251742. [Google Scholar] [CrossRef] [PubMed] [PubMed Central]
- Grayson, P.C.; Ponte, C.; Suppiah, R.; Robson, J.C.; Gribbons, K.B.; Judge, A.; Craven, A.; Khalid, S.; Hutchings, A.; Danda, D.; et al. 2022 American College of Rheumatology/EULAR classification criteria for Takayasu arteritis. Ann. Rheum. Dis. 2022, 81, 1654–1660. [Google Scholar] [CrossRef] [PubMed]
- Ponte, C.; Grayson, P.C.; Robson, J.C.; Suppiah, R.; Gribbons, K.B.; Judge, A.; Craven, A.; Khalid, S.; Hutchings, A.; Watts, R.A.; et al. 2022 American College of Rheumatology/EULAR Classification Criteria for Giant Cell Arteritis. Arthritis Rheumatol. 2022, 74, 1881–1889. [Google Scholar] [CrossRef] [PubMed]
- Dejaco, C.; Ramiro, S.; Bond, M.; Bosch, P.; Ponte, C.; Mackie, S.L.; Bley, T.A.; Blockmans, D.; Brolin, S.; Bolek, E.C.; et al. EULAR recommendations for the use of imaging in large vessel vasculitis in clinical practice: 2023 update. Ann. Rheum. Dis. 2024, 83, 741–751. [Google Scholar] [CrossRef] [PubMed]
- De Miguel, E.; Macchioni, P.; Conticini, E.; Campochiaro, C.; Karalilova, R.; Monti, S.; Ponte, C.; Klinowski, G.; Monjo-Henry, I.; Falsetti, P.; et al. Prevalence and characteristics of subclinical giant cell arteritis in polymyalgia rheumatica. Rheumatology 2024, 63, 158–164. [Google Scholar] [CrossRef] [PubMed]
- Schmidt, W.A. Monitoring giant cell arteritis with ultrasound. Rheumatology 2023, 62, 2948–2950. [Google Scholar] [CrossRef] [PubMed]
- Cowley, S.; Harkins, P.; Kirby, C.; Conway, R.; Kane, D.J. Should all patients with polymyalgia rheumatica have a vascular ultrasound assessment? Ann. Rheum. Dis. 2024, 83, 961–964. [Google Scholar] [CrossRef] [PubMed]
- Terslev, L.; Naredo, E.; Keen, H.I.; Bruyn, G.A.; Iagnocco, A.; Wakefield, R.J.; Conaghan, P.G.; Maxwell, L.J.; Beaton, D.E.; Boers, M.; et al. The OMERACT Stepwise Approach to Select and Develop Imaging Outcome Measurement Instruments: The Musculoskeletal Ultrasound Example. J. Rheumatol. 2019, 46, 1394–1400. [Google Scholar] [CrossRef] [PubMed]
- Nielsen, B.D.; Therkildsen, P.; Keller, K.K.; Gormsen, L.C.; Hansen, I.T.; Hauge, E.-M. Ultrasonography in the assessment of disease activity in cranial and large-vessel giant cell arteritis: A prospective follow-up study. Rheumatology 2023, 62, 3084–3094. [Google Scholar] [CrossRef] [PubMed]
- Lawande, A.D.; Warrier, S.S.; Joshi, M.S. Role of ultrasound in evaluation of peripheral nerves. Indian J. Radiol. Imaging 2014, 24, 254–258. [Google Scholar] [CrossRef] [PubMed] [PubMed Central]
- Schwabl, C.; Schmidle, G.; Kaiser, P.; Drakonaki, E.; Taljanovic, M.S.; Klauser, A.S. Nerve entrapment syndromes: Detection by ultrasound. Ultrasonography 2023, 42, 376–387. [Google Scholar] [CrossRef] [PubMed] [PubMed Central]
- Martinoli, C.; Bianchi, S.; Gandolfo, N.; Valle, M.; Simonetti, S.; Derchi, L.E. US of nerve entrapments in osteofibrous tunnels of the upper and lower limbs. Radiographics 2000, 20, S199–S213; discussion S213–S217, Erratum in Radiographics 2000, 20, 1818. [Google Scholar] [CrossRef] [PubMed]
- Shaukat, A.; Aamir, H.; Ahmad, Z.; Ahmad, U. Diagnostic accuracy of ultrasonography in diagnosis of Carpal Tunnel Syndrome. Pak. J. Med. Sci. 2024, 40, 753–756. [Google Scholar] [CrossRef] [PubMed] [PubMed Central]
- Ratasvuori, M.; Sormaala, M.; Kinnunen, A.; Lindfors, N. Ultrasonography for the diagnosis of carpal tunnel syndrome: Correlation of clinical symptoms, cross-sectional areas and electroneuromyography. J. Hand Surg. Eur. Vol. 2022, 47, 369–374. [Google Scholar] [CrossRef] [PubMed]
- Huang, Z.; Du, S.; Qi, Y.; Chen, G.; Yan, W. Effectiveness of Ultrasound Guidance on Intraarticular and Periarticular Joint Injections: Systematic Review and Meta-analysis of Randomized Trials. Am. J. Phys. Med. Rehabil. 2015, 94, 775–783. [Google Scholar] [CrossRef] [PubMed]
- Uson, J.; Rodriguez-García, S.C.; Castellanos-Moreira, R.; O’Neill, T.W.; Doherty, M.; Boesen, M.; Pandit, H.; Parera, I.M.; Vardanyan, V.; Terslev, L.; et al. EULAR recommendations for intra-articular therapies. Ann. Rheum. Dis. 2021, 80, 1299–1305. [Google Scholar] [CrossRef] [PubMed] [PubMed Central]
- Sconfienza, L.M.; Adriaensen, M.; Albano, D.; Allen, G.; Gómez, M.P.A.; Bazzocchi, A.; Beggs, I.; Bignotti, B.; Chianca, V.; Corazza, A.; et al. Clinical indications for image-guided interventional procedures in the musculoskeletal system: A Delphi-based consensus paper from the European Society of Musculoskeletal Radiology (ESSR)-part I, shoulder. Eur. Radiol. 2020, 30, 903–913. [Google Scholar] [CrossRef] [PubMed]
- Sconfienza, L.M.; Adriaensen, M.; Albano, D.; Gómez, M.P.A.; Bazzocchi, A.; Beggs, I.; Bignotti, B.; Chianca, V.; Corazza, A.; Dalili, D.; et al. Ultrasound and Interventional Subcommittees of the European Society of Musculoskeletal Radiology (ESSR). Clinical indications for image-guided interventional procedures in the musculoskeletal system: A Delphi-based consensus paper from the European Society of Musculoskeletal Radiology (ESSR)-Part II, elbow and wrist. Eur. Radiol. 2020, 30, 2220–2230. [Google Scholar] [CrossRef] [PubMed]
- Sconfienza, L.M.; Adriaensen, M.; Albano, D.; Allen, G.; Gómez, M.P.A.; Bazzocchi, A.; Beggs, I.; Bignotti, B.; Chianca, V.; Corazza, A.; et al. Ultrasound and Interventional Subcommittees of the European Society of Musculoskeletal Radiology (ESSR). Clinical indications for image guided interventional procedures in the musculoskeletal system: A Delphi-based consensus paper from the European Society of Musculoskeletal Radiology (ESSR)-part III, nerves of the upper limb. Eur. Radiol. 2020, 30, 1498–1506. [Google Scholar] [CrossRef] [PubMed]
- Sconfienza, L.M.; Adriaensen, M.; Alcala-Galiano, A.; Allen, G.; Gómez, M.P.A.; Aringhieri, G.; Bazzocchi, A.; Beggs, I.; Chianca, V.; Corazza, A.; et al. Clinical indications for image-guided interventional procedures in the musculoskeletal system: A Delphi-based consensus paper from the European Society of Musculoskeletal Radiology (ESSR)-part IV, hip. Eur. Radiol. 2022, 32, 551–560. [Google Scholar] [CrossRef] [PubMed] [PubMed Central]
- Sconfienza, L.M.; Adriaensen, M.; Albano, D.; Alcala-Galiano, A.; Allen, G.; Gómez, M.P.A.; Aringhieri, G.; Bazzocchi, A.; Beggs, I.; Chianca, V.; et al. Clinical indications for image-guided interventional procedures in the musculoskeletal system: A Delphi-based consensus paper from the European Society of Musculoskeletal Radiology (ESSR)-part V, knee. Eur. Radiol. 2022, 32, 1438–1447. [Google Scholar] [CrossRef] [PubMed] [PubMed Central]
- Sconfienza, L.M.; Adriaensen, M.; Albano, D.; Alcala-Galiano, A.; Allen, G.; Gómez, M.P.A.; Aringhieri, G.; Bazzocchi, A.; Beggs, I.; Chianca, V.; et al. Clinical indications for image-guided interventional procedures in the musculoskeletal system: A Delphi-based consensus paper from the European Society of Musculoskeletal Radiology (ESSR)-part VI, foot and ankle. Eur. Radiol. 2022, 32, 1384–1394. [Google Scholar] [CrossRef] [PubMed] [PubMed Central]
- Aly, A.-R.; Rajasekaran, S.; Ashworth, N. Ultrasound-guided shoulder girdle injections are more accurate and more effective than landmark-guided injections: A systematic review and meta-analysis. Br. J. Sports Med. 2015, 49, 1042–1049. [Google Scholar] [CrossRef] [PubMed]
- Lyubomir, S.; Tanya, S.; Anastas, B.; Marya, S.; Sevdalina, L. Study on Accuracy of Blind and Ultrasound-Guided Arthrocentesis of Hip Joint. J. Rheum. Dis. Treat. 2020, 6, 081. [Google Scholar] [CrossRef]
- Fang, W.H.; Chen, X.T.; Vangsness, C.T. Ultrasound-Guided Knee Injections Are More Accurate Than Blind Injections: A Systematic Review of Randomized Controlled Trials. Arthrosc. Sports Med. Rehabil. 2021, 3, e1177–e1187. [Google Scholar] [CrossRef] [PubMed] [PubMed Central]
- Bosch, P.; Carubbi, F.; Scirè, C.A.; Baraliakos, X.; Falzon, L.; Dejaco, C.; Machado, P.M. Value of imaging to guide interventional procedures in rheumatic and musculoskeletal diseases: A systematic literature review informing EULAR points to consider. RMD Open 2021, 7, e001864. [Google Scholar] [CrossRef] [PubMed] [PubMed Central]
- Zadro, J.; Rischin, A.; Johnston, R.V.; Buchbinder, R. Image-guided glucocorticoid injection versus injection without image guidance for shoulder pain. Cochrane Database Syst. Rev. 2021, 8, CD009147. [Google Scholar] [CrossRef] [PubMed] [PubMed Central]
- Koutsianas, C.; Klocke, R. 265. Efficacy of ultrasound-guided versus landmark-guided injections in rheumatology: A systematic review. Rheumatology 2017, 56 (Suppl. S2), kex062.267. [Google Scholar] [CrossRef][Green Version]
- Sconfienza, L.M.; Adriaensen, M.; Albano, D.; Alcala-Galiano, A.; Allen, G.; Gómez, M.P.A.; Aringhieri, G.; Bazzocchi, A.; Beggs, I.; Chianca, V.; et al. Clinical indications for image-guided interventional procedures in the musculoskeletal system: A Delphi-based consensus paper from the European Society of Musculoskeletal Radiology (ESSR)-part VII, nerves of the lower limb. Eur. Radiol. 2022, 32, 1456–1464. [Google Scholar] [CrossRef] [PubMed] [PubMed Central]
- Fukui, S.; Rokutanda, R.; Kawaai, S.; Suda, M.; Iwata, F.; Okada, M.; Kishimoto, M. Current evidence and practical knowledge for ultrasound-guided procedures in rheumatology: Joint aspiration, injection, and other applications. Best Pract. Res. Clin. Rheumatol. 2023, 37, 101832. [Google Scholar] [CrossRef] [PubMed]
- Mielnik, P.; Fojcik, M.; Segen, J.; Kulbacki, M. A Novel Method of Synovitis Stratification in Ultrasound Using Machine Learning Algorithms: Results From Clinical Validation of the MEDUSA Project. Ultrasound Med. Biol. 2018, 44, 489–494. [Google Scholar] [CrossRef] [PubMed]
- Hemalatha, R.; Vijaybaskar, V.; Thamizhvani, T. Automatic localization of anatomical regions in medical ultrasound images of rheumatoid arthritis using deep learning. Proc. Inst. Mech. Eng. H 2019, 233, 657–667. [Google Scholar] [CrossRef] [PubMed]
- Andersen, J.K.H.; Pedersen, J.S.; Laursen, M.S.; Holtz, K.; Grauslund, J.; Savarimuthu, T.R.; Just, S.A. Neural networks for automatic scoring of arthritis disease activity on ultrasound images. RMD Open 2019, 5, e000891. [Google Scholar] [CrossRef] [PubMed] [PubMed Central]
- Smistad, E.; Johansen, K.F.; Iversen, D.H.; Reinertsen, I. Highlighting nerves and blood vessels for ultrasound-guided axillary nerve block procedures using neural networks. J. Med. Imaging 2018, 5, 044004. [Google Scholar] [CrossRef] [PubMed] [PubMed Central]
- Huang, C.; Zhou, Y.; Tan, W.; Qiu, Z.; Zhou, H.; Song, Y.; Zhao, Y.; Gao, S. Applying deep learning in recognizing the femoral nerve block region on ultrasound images. Ann. Transl. Med. 2019, 7, 453. [Google Scholar] [CrossRef] [PubMed] [PubMed Central]
- Faisal, A.; Ng, S.-C.; Goh, S.-L.; Lai, K.W. Knee cartilage segmentation and thickness computation from ultrasound images. Med. Biol. Eng. Comput. 2018, 56, 657–669. [Google Scholar] [CrossRef] [PubMed]
- Shin, Y.; Yang, J.; Lee, Y.H.; Kim, S. Artificial intelligence in musculoskeletal ultrasound imaging. Ultrasonography 2021, 40, 30–44. [Google Scholar] [CrossRef] [PubMed] [PubMed Central]












Disclaimer/Publisher’s Note: The statements, opinions and data contained in all publications are solely those of the individual author(s) and contributor(s) and not of MDPI and/or the editor(s). MDPI and/or the editor(s) disclaim responsibility for any injury to people or property resulting from any ideas, methods, instructions or products referred to in the content. |
© 2024 by the authors. Licensee MDPI, Basel, Switzerland. This article is an open access article distributed under the terms and conditions of the Creative Commons Attribution (CC BY) license (https://creativecommons.org/licenses/by/4.0/).
Share and Cite
Sapundzhieva, T.; Sapundzhiev, L.; Batalov, A. Practical Use of Ultrasound in Modern Rheumatology—From A to Z. Life 2024, 14, 1208. https://doi.org/10.3390/life14091208
Sapundzhieva T, Sapundzhiev L, Batalov A. Practical Use of Ultrasound in Modern Rheumatology—From A to Z. Life. 2024; 14(9):1208. https://doi.org/10.3390/life14091208
Chicago/Turabian StyleSapundzhieva, Tanya, Lyubomir Sapundzhiev, and Anastas Batalov. 2024. "Practical Use of Ultrasound in Modern Rheumatology—From A to Z" Life 14, no. 9: 1208. https://doi.org/10.3390/life14091208
APA StyleSapundzhieva, T., Sapundzhiev, L., & Batalov, A. (2024). Practical Use of Ultrasound in Modern Rheumatology—From A to Z. Life, 14(9), 1208. https://doi.org/10.3390/life14091208

