Cardiac Imaging in Women with Ischemic Heart Disease
Abstract
1. Introduction
2. Specific Features of Ischemic Heart Disease That Should Be Considered in the Clinical Assessment of Women with Suspected or Known IHD
2.1. Physiopathologic and Anatomic Differences
2.2. Risk Factors
2.3. Clinical Differences
3. Value of Different Imaging Techniques for Management of Women with IHD
“Women who present with chest pain are at risk of underdiagnosis, and potential cardiac causes should always be considered.In women presenting with chest pain, it is recommended to obtain a history that emphasizes accompanying symptoms that are more common in women with acute coronary syndromes”.
Diagnostic Algorithm for IHD in Women Considering the Pretest Probability of the Disease in a Multimodal Cardiac Imaging Approach
- In patients with a very low probability of obstructive CAD, diagnostic tests can be deferred, although according to clinical evaluation, other options may be considered [32], such as: an exercise test (without imaging) if the electrocardiogram (ECG) at rest is interpretable and the patient can exercise (although this is less useful for women, considering the lower sensitivity of the test compared to men and the possibility of false positives), or a coronary calcium scoring for a better refinement of risk (if not included in the pretest probability analysis).
- In patients with a low to intermediate probability and considering that CCTA has a very high negative predictive value, an anatomic approach with CCTA is the most effective option, independent of sex.
- In those with an intermediate to high probability, an ischemia-provoking test with imaging should be considered: stress-echocardiography, nuclear (either single-photon emission computed tomography -SPECT- or PET), or stress CMR. The type of applied stress will depend on functional capacity, ECG at rest and the type of test selected.
- In those patients with a very high pretest probability, there is no doubt that invasive coronary angiography (preferably with fractional flow reserve measurement) is the most effective option to choose, independent of sex.
4. Echo-Stress
5. Nuclear Imaging Techniques
5.1. SPECT
- -
- -
- Regarding the concerns of radiation dosage derived from the test, it is important to consider that new advances in software and gamma camera hardware, with iterative reconstruction, depth resolution recovery and noise reduction software, as well as the use of solid-state cadmium zinc telluride (CZT) cameras, have allowed SPECT to achieve a lower required dose and lower radiation exposure (6–9 mSv for 99mTechnetium -99mTc- low dose rest stress SPECT MPI) [43,44], with increased spatial resolution and sensitivity. In addition, the use of a stress-only protocol in cases with low to intermediate probability of an obstructive CAD and normal stress results also reduces radiation exposure, with only 3 mSv [45].
5.2. PET and Myocardial Blood Flow (MBF)
6. Cardiac Magnetic Resonance (CMR)
7. Coronary Computed Tomography Angiography
8. Coronary Microvascular Dysfunction
8.1. INOCA
8.2. MINOCA
- -
- Echocardiography constitutes the first approach, particularly in the acute care setting. It allows the evaluation of ventricular functions (both systolic and diastolic) in the acute and the recovery phases, the identification of the ballooning pattern (mainly apical-midventricular) and the circumferential pattern of wall motion abnormalities, as well as the early detection of complications.
- -
- CMR provides a more comprehensive picture of cardiac morphology and function, and offers the possibility of tissue characterization: typically, the presence of a reversible tissue injury (oedema) and the absence of irreversible tissue injury (LGE), contributing to the differential diagnosis with MI and myocarditis.
- -
- CCTA may be an option instead of invasive coronary angiography in cases of stable patients with low suspicion of ACS; patients with a history of TTS and suspected recurrence; critical clinical conditions usually associated with TTS (e.g., sepsis, subarachnoid hemorrhage, or ischemic stroke) or where invasive coronary angiography could cause complications due to the patient’s condition.
- -
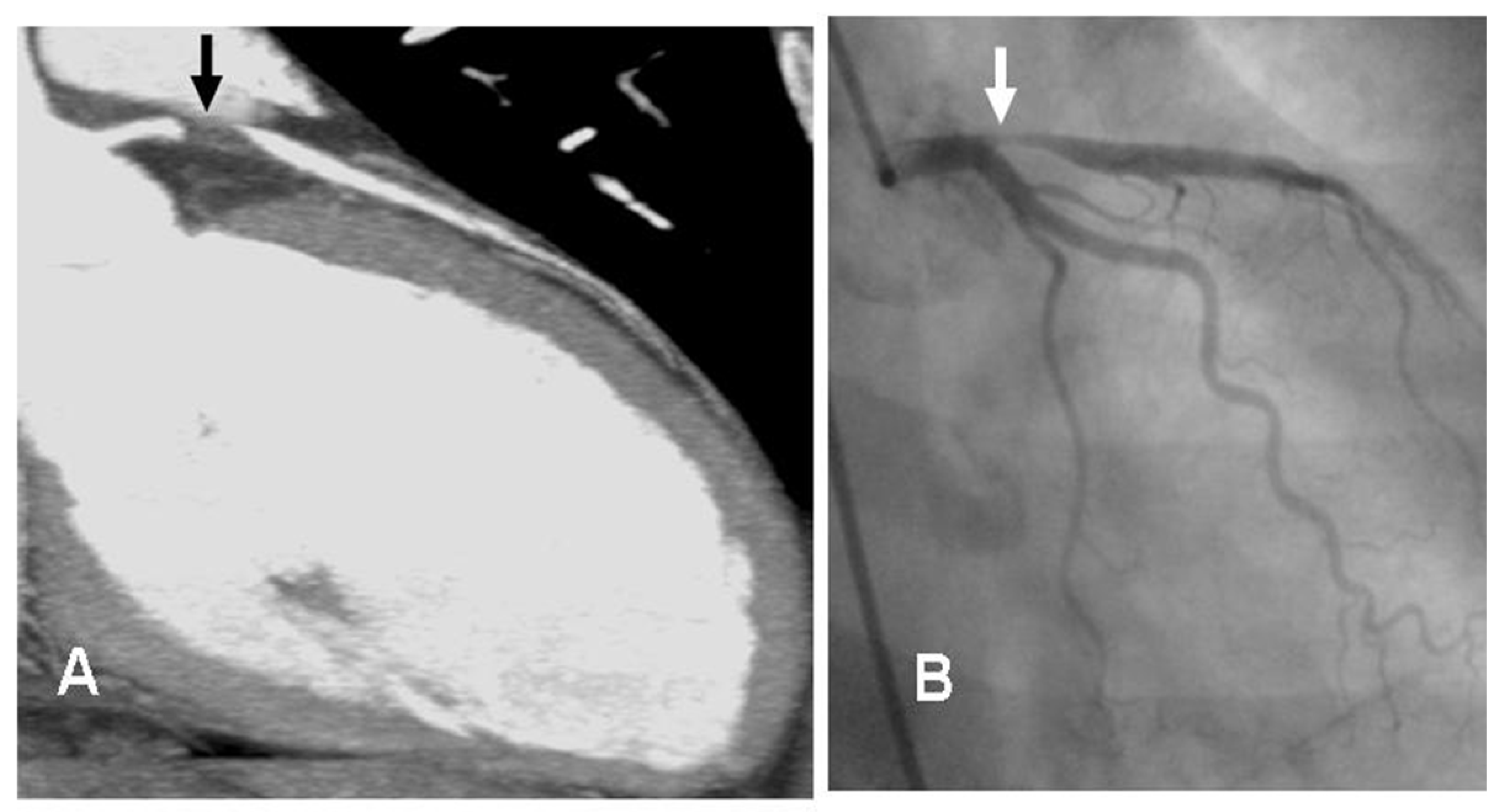
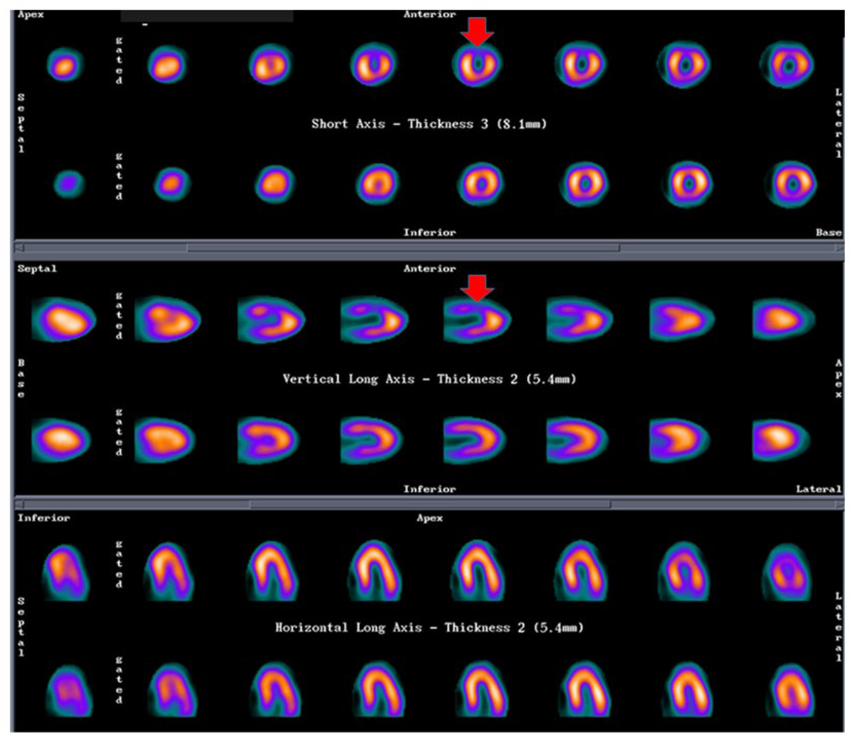
- Although the role of nuclear imaging in TTS has not yet been well established in clinical practice, assessments of myocardial perfusion, adrenergic innervation and metabolic activity may help in the diagnosis [88,89]. For instance, if there is normalized LV wall motion, the delayed recovery of glucose metabolism (by FDG-PET) and sympathetic innervation (by 123I-MIBG scintigraphy) may allow for the diagnosis of TTS in patients with delayed presentation. Although the coronary microcirculation is transiently compromised in TTS, its physiological role is still unclear. A reduction of perfusion tracer counts as a result of regional myocardial wall thinning at the apex, due to both artefacts and partial volume effects, which may mimic ACS, has been reported [86]. Figure 4 (SPECT-MPI) and Figure 5 (CMR) present the case of a patient with TTS.
- Treatment requires inpatient care with cardiology services and is largely supportive until LV function spontaneously returns, usually within 21 days of onset.
- In stable patients, diuretics and vasodilators can be used for pulmonary congestion. Angiotensin-converting enzyme inhibitors, angiotensin II receptor blockers, and/or beta-blockers are used to reduce patient workload and control hypertension. Aldosterone receptor antagonists or angiotensin receptor-neprilysin inhibitors may be beneficial.
- For patients with unstable hemodynamics, inotropes should not be used if there is a LV outflow tract obstruction (LVOTO). Beta-blockers and intravenous fluids are appropriate. If LVOTO is not present, use inotropes and vasopressors or LV assist device if needed.
- Anticoagulation should be initiated in patients with large areas of cardiac hypokinesis to reduce risk of major cerebral or vascular events.
9. Future Areas of Action Concerning IHD in Women
10. Conclusions
Funding
Institutional Review Board Statement
Informed Consent Statement
Data Availability Statement
Acknowledgments
Conflicts of Interest
References
- Vogel, B.; Acevedo, M.; Appelman, Y.; Merz, C.N.B.; Chieffo, A.; Figtree, G.A.; Guerrero, M.; Kunadian, V.; Lam, C.S.P.; Maas, A.H.E.M.; et al. The Lancet women and cardiovascular disease Commission: Reducing the global burden by 2030. Lancet 2021, 397, 2385–2438. [Google Scholar] [CrossRef] [PubMed]
- Aggarwal, N.R.; Patel, H.N.; Mehta, L.S.; Mehta, R.M.; Sanghani, G.P.; Lundberg, S.J.; Lewis, M.A.; Wood, M.J.; Volgman, A.S.; Mieres, J.H. Sex differences in ischemic heart disease: Advances, obstacles, and next steps. Circ. Cardiovasc. Qual. Outcomes 2018, 11, e004437. [Google Scholar] [CrossRef] [PubMed]
- Hiteshi, A.K.; Li, N.; Gao, Y.; Chen, A.; Flores, F.; Mao, S.S.; Budoff, M.J. Gender Differences in Coronary Artery Diameter Are Not Related to Body Habitus or Left Ventricular Mass. Clin. Cardiol. 2014, 37, 605–609. [Google Scholar] [CrossRef] [PubMed]
- Kardys, I.; Vliegenthart, R.; Oudkerk, M.; Hofman, A.; Witteman, J.C.M. The female advantage in cardiovascular disease: Do vascular beds contribute equally? Am. J. Epidemiol. 2007, 166, 403–412. [Google Scholar] [CrossRef] [PubMed]
- Nicholls, S.J.; Wolski, K.; Sipahi, I.; Schoenhagen, P.; Crowe, T.; Kapadia, S.R.; Hazen, S.L.; Tuzcu, E.M.; Nissen, S.E. Rate of Progression of Coronary Atherosclerotic Plaque in Women. J. Am. Coll. Cardiol. 2007, 49, 1546–1551. [Google Scholar] [CrossRef] [PubMed]
- Lozano, P.F.R.; Kaso, E.R.; Bourque, J.M.; Morsy, M.; Taylor, A.M.; Villines, T.C.; Kramer, C.M.; Salerno, M. Cardiovascular Imaging for Ischemic Heart Disease in Women. JACC Cardiovasc. Imaging 2022, 15, 1488–1501. [Google Scholar] [CrossRef] [PubMed]
- Peters, S.A.E.; Huxley, R.R.; Woodward, M. Diabetes as risk factor for incident coronary heart disease in women compared with men: A systematic review and meta-analysis of 64 cohorts including 858,507 individuals and 28,203 coronary events. Diabetologia 2014, 57, 1542–1551. [Google Scholar] [CrossRef] [PubMed]
- Huxley, R.R.; Woodward, M. Cigarette smoking as a risk factor for coronary heart disease in women compared with men: A systematic review and meta-analysis of prospective cohort studies. Lancet 2011, 378, 1297–1305. [Google Scholar] [CrossRef]
- Hubert, H.B.; Feinleib, M.; McNamara, P.M.; Castelli, W.P. Obesity as an independent risk factor for cardiovascular disease: A 26-year follow-up of participants in the Framingham Heart Study. Circulation 1983, 67, 968–977. [Google Scholar] [CrossRef]
- Peters, S.A.E.; Muntner, P.; Woodward, M. Sex differences in the prevalence of, and trends in, cardiovascular risk factors, treatment, and control in the United States, 2001 to 2016. Circulation 2019, 139, 1025–1035. [Google Scholar] [CrossRef]
- Hoffman, L.K.; Ehrmann, D.A. Cardiometabolic features of polycystic ovary syndrome. Nat. Clin. Pract. Endocrinol. Metab. 2008, 4, 215–222. [Google Scholar] [CrossRef] [PubMed]
- Osibogun, O.; Ogunmoroti, O.; Michos, E.D. Polycystic ovary syndrome and cardiometabolic risk: Opportunities for cardiovascular disease prevention. Trends Cardiovasc. Med. 2019, 30, 399–404. [Google Scholar] [CrossRef] [PubMed]
- Atsma, F.; Bartelink, M.-L.E.L.; Grobbee, D.E.; van der Schouw, Y.T. Postmenopausal status and early menopause as independent risk factors for cardiovascular disease: A meta-analysis. Menopause 2006, 13, 265–279. [Google Scholar] [CrossRef] [PubMed]
- Hauspurg, A.; Ying, W.; Hubel, C.A.; Michos, E.D.; Ouyang, P. Adverse pregnancy outcomes and future maternal cardiovascular disease. Clin. Cardiol. 2018, 41, 239–246. [Google Scholar] [CrossRef]
- Wu, P.; Haththotuwa, R.; Kwok, C.S.; Babu, A.; Kotronias, R.A.; Rushton, C.; Zaman, A.; Fryer, A.A.; Kadam, U.; Chew-Graham, C.A.; et al. Preeclampsia and future cardiovascular health: A systematic review and meta-analysis. Circ. Cardiovasc. Qual. Outcomes 2017, 10, e003497. [Google Scholar] [CrossRef] [PubMed]
- Wu, P.; Gulati, M.; Kwok, C.S.; Wong, C.W.; Narain, A.; O’Brien, S.; Chew-Graham, C.A.; Verma, G.; Kadam, U.T.; Mamas, M.A.; et al. Preterm Delivery and Future Risk of Maternal Cardiovascular Disease: A Systematic Review and Meta-Analysis. J. Am. Heart. Assoc. 2018, 7, e007809. [Google Scholar] [CrossRef]
- Kramer, C.K.; Campbell, S.; Retnakaran, R. Gestational diabetes and the risk of cardiovascular disease in women: A systematic review and meta-analysis. Diabetologia 2019, 62, 905–914. [Google Scholar] [CrossRef]
- Lane-Cordova, A.D.; Khan, S.S.; Grobman, W.A.; Greenland, P.; Shah, S.J. Long-term cardiovascular risks associated with adverse pregnancy outcomes: JACC review topic of the week. J. Am. Coll. Cardiol. 2019, 73, 2106–2116. [Google Scholar] [CrossRef]
- Vrachnis, N.; Augoulea, A.; Iliodromiti, Z.; Lambrinoudaki, I.; Sifakis, S.; Creatsas, G. Previous Gestational Diabetes Mellitus and Markers of Cardiovascular Risk. Int. J. Endocrinol. 2012, 2012, 458610. [Google Scholar] [CrossRef]
- Benschop, L.; Brouwers, L.; Zoet, G.A.; Meun, C.; Boersma, E.; Budde, R.P.; Fauser, B.C.; De Groot, C.M.; Van Der Schouw, Y.T.; Maas, A.H.; et al. Early onset of coronary artery calcification in women with previous preeclampsia. Circ. Cardiovasc. Imaging 2020, 13, e010340. [Google Scholar] [CrossRef]
- Rosengren, A.; Hawken, S.; Ôunpuu, S.; Sliwa, K.; Zubaid, M.; Almahmeed, W.A.; Blackett, K.N.; Sitthi-Amorn, C.; Sato, H.; Yusuf, S. Association of psychosocial risk factors with risk of acute myocardial infarction in 11,119 cases and 13,648 controls from 52 countries (the INTERHEART study): Case-control study. Lancet 2004, 364, 953–962. [Google Scholar] [CrossRef] [PubMed]
- Mallik, S.; Spertus, J.A.; Reid, K.J.; Krumholz, H.M.; Rumsfeld, J.S.; Weintraub, W.S.; Agarwal, P.; Santra, M.; Bidyasar, S.; Lichtman, J.H.; et al. Depressive Symptoms After Acute Myocardial Infarction. Arch. Intern. Med. 2006, 166, 876–883. [Google Scholar] [CrossRef] [PubMed]
- Smolderen, K.G.; Spertus, J.A.; Gosch, K.; Dreyer, R.P.; D’onofrio, G.; Lichtman, J.H.; Geda, M.; Beltrame, J.; Safdar, B.; Bueno, H.; et al. Depression Treatment and Health Status Outcomes in Young Patients with Acute Myocardial Infarction. Circulation 2017, 135, 1762–1764. [Google Scholar] [CrossRef] [PubMed]
- Vaccarino, V.; Sullivan, S.; Hammadah, M.; Wilmot, K.; Al Mheid, I.; Ramadan, R.; Elon, L.; Pimple, P.M.; Garcia, E.V.; Nye, J.; et al. Mental Stress–Induced-Myocardial Ischemia in Young Patients With Recent Myocardial Infarction. Circulation 2018, 137, 794–805. [Google Scholar] [CrossRef]
- Lancellotti, P.; Nkomo, V.T.; Badano, L.P.; Bergler, J.; Bogaert, J.; Davin, L.; Cosyns, B.; Coucke, P.; Dulgheru, R.; Edvardsen, T.; et al. Expert Consensus for Multi-Modality Imaging Evaluation of Cardiovascular Complications of Radiotherapy in Adults: A Report from the European Association of Cardiovascular Imaging and the American Society of Echocardiography. J. Am. Soc. Echocardiogr. 2013, 26, 1013–1032. [Google Scholar] [CrossRef]
- Mosca, L.; Grundy, S.M.; Judelson, D.; King, K.; Limacher, M.; Oparil, S.; Pasternak, R.; Pearson, T.A.; Redberg, R.F.; Smith, S.C., Jr.; et al. Guide to preventive cardiology for women. AHA/ACC Scientific Statement Consensus panel statement. Circulation 1999, 99, 2480–2484. [Google Scholar] [CrossRef]
- Aggarwal, N.; Wood, M. Sex differences in Cardiac Diseases: Pathophysiology, Presentation, Diagnosis and Management, 1st ed.; Elsevier: London, UK, 2021; p. 26. [Google Scholar]
- Gulati, M.; Levy, P.D.; Mukherjee, D.; Pamuk, G. AHA/ACC/ASE/CHEST/SAEM/SCCT/SCMR Guideline for the evaluation and diagnosis of chest pain: A report of the American College of Cardiology/American Heart Association Joint Committee on Clinical Practice Guidelines. Circulation 2021, 144, e368–e454. [Google Scholar]
- Evangelista, L.; Massalha, S.; Cuocolo, A. Beyond equality, women require extra care in cardiovascular imaging. Eur. J. Nucl. Med. 2022, 50, 4–7. [Google Scholar] [CrossRef]
- Mikail, N.; Rossi, A.; Bengs, S.; Haider, A.; Stähli, B.E.; Portmann, A.; Imperiale, A.; Treyer, V.; Meisel, A.; Pazhenkottil, A.P.; et al. Imaging of heart disease in women: Review and case presentation. Eur. J. Nucl. Med. 2022, 50, 130–159. [Google Scholar] [CrossRef]
- Truong, Q.A.; Rinehart, S.; Abbara, S.; Achenbach, S.; Berman, D.S.; Bullock-Palmer, R.; Carrascosa, P.; Chinnaiyan, K.M.; Dey, D.; Ferencik, M.; et al. Coronary computed tomographic imaging in women: An expert consensus statement from the Society of Cardiovascular Computed Tomography. J. Cardiovasc. Comput. Tomogr. 2018, 12, 451–466. [Google Scholar] [CrossRef]
- Bullock-Palmer, R.P.; Peix, A.; Aggarwal, N.R. Nuclear Cardiology in Women and Underrepresented Minority Populations. Curr. Cardiol. Rep. 2022, 24, 553–566. [Google Scholar] [CrossRef] [PubMed]
- Knuuti, J.; Wijns, W.; Saraste, A.; Capodanno, D.; Barbato, E.; Funck-Brentano, C.; Prescott, E.; Storey, R.F.; Deaton, C.; Cuisset, T.; et al. 2019 ESC Guidelines for the diagnosis and management of chronic coronary syndromes. Eur. Heart J. 2020, 41, 407–477. [Google Scholar] [CrossRef] [PubMed]
- Sanfilippo, A.J.; Abdollah, H.; Knott, T.C.; Link, C.; Hopman, W. Stress echocardiography in the evaluation of women presenting with chest pain syndrome: A randomized, prospective comparison with electrocardiographic stress testing. Can. J. Cardiol. 2005, 21, 405–412. [Google Scholar] [PubMed]
- Geleijnse, M.L.; Krenning, B.J.; Soliman, O.I.; Nemes, A.; Galema, T.W.; Cate, F.J.T. Dobutamine Stress Echocardiography for the Detection of Coronary Artery Disease in Women. Am. J. Cardiol. 2007, 99, 714–717. [Google Scholar] [CrossRef] [PubMed]
- Mancini, G.J.; Gosselin, G.; Chow, B.; Kostuk, W.; Stone, J.; Yvorchuk, K.J.; Abramson, B.L.; Cartier, R.; Huckell, V.; Tardif, J.-C.; et al. Canadian Cardiovascular Society Guidelines for the Diagnosis and Management of Stable Ischemic Heart Disease. Can. J. Cardiol. 2014, 30, 837–849. [Google Scholar] [CrossRef]
- Fihn, S.D.; Gardin, J.M.; Abrams, J.; Berra, K.; Dallas, A.P.; Douglas, P.S.; Gerber, T.C.; Munger, M.A.; Prager, R.L.; Sabik, J.F.; et al. ACCF/AHA/ACP/AATS/ PCNA/SCAI/STS guideline for the diagnosis and management of patients with stable ischemic heart disease. J. Am. Coll. Cardiol. 2012, 60, e44–e164. [Google Scholar] [CrossRef]
- Dolan, M.S.; Gala, S.S.; Dodla, S.; Abdelmoneim, S.; Xie, F.; Cloutier, D.; Bierig, M.; Mulvagh, S.L.; Porter, T.R.; Labovitz, A.J. Safety and Efficacy of Commercially Available Ultrasound Contrast Agents for Rest and Stress Echocardiography: A Multicenter Experience. J. Am. Coll. Cardiol. 2009, 53, 32–38. [Google Scholar] [CrossRef]
- Rigo, F.; Sicari, R.; Gherardi, S.; Djordjevic-Dikic, A.; Cortigiani, L.; Picano, E. The additive prognostic value of wall motion abnormalities and coronary flow reserve during dipyridamole stress echo. Eur. Heart J. 2007, 29, 79–88. [Google Scholar] [CrossRef]
- Cortigiani, L.; Rigo, F.; Gherardi, S.; Galderisi, M.; Bovenzi, F.; Picano, E.; Sicari, R. Prognostic Effect of Coronary Flow Reserve in Women Versus Men with Chest Pain Syndrome and Normal Dipyridamole Stress Echocardiography. Am. J. Cardiol. 2010, 106, 1703–1708. [Google Scholar] [CrossRef]
- Mieres, J.H.; Shaw, L.J.; Arai, A.; Budoff, M.J.; Flamm, S.D.; Hundley, W.G.; Marwick, T.H.; Mosca, L.; Patel, A.R.; Quinones, M.A.; et al. Role of noninvasive testing in the clinical evaluation of women with suspected ischemic heart disease: A consensus statement from the American Heart Association. Circulation 2014, 130, 350–379. [Google Scholar] [CrossRef]
- Slomka, P.J.; Nishina, H.; Abidov, A.; Hayes, S.W.; Friedman, J.D.; Berman, D.S.; Germano, G. Combined quantitative supine-prone myocardial perfusion SPECT improves detection of coronary artery disease and normalcy rates in women. J. Nucl. Cardiol. 2007, 14, 44–52. [Google Scholar] [CrossRef] [PubMed]
- Abbott, B.G.; Case, J.A.; Dorbala, S.; Einstein, A.J.; Galt, J.R.; Pagnanelli, R.; Bullock-Palmer, R.P.; Soman, P.; Wells, R.G. Contemporary Cardiac SPECT Imaging—Innovations and Best Practices: An Information Statement from the American Society of Nuclear Cardiology. J. Nucl. Cardiol. 2018, 25, 1847–1860. [Google Scholar] [CrossRef] [PubMed]
- Chang, S.M.; Nabi, F.; Xu, J.; Raza, U.; Mahmarian, J.J. Normal Stress-Only Versus Standard Stress/Rest Myocardial Perfusion Imaging: Similar Patient Mortality with Reduced Radiation Exposure. J. Am. Coll. Cardiol. 2010, 55, 221–230. [Google Scholar] [CrossRef] [PubMed]
- Einstein, A.J. Effects of radiation exposure from cardiac imaging: How good are the data? J. Am. Coll. Cardiol. 2012, 59, 553–565. [Google Scholar] [CrossRef]
- Dilsizian, V.; Bacharach, S.L.; Beanland, R.S.; Bergmann, S.R.; Delbeke, D.; Dorbala, S.; Gropler, R.J.; Knuuti, J.; Schelbert, H.R.; Travin, M.I. ASNC imaging guidelines/SNMMI procedure standard for positron emission tomography (PET) nuclear cardiology procedures. J. Nucl. Cardiol. 2016, 23, 1187–1226. [Google Scholar] [CrossRef]
- Sharir, T.; Kang, X.; Germano, G.; Bax, J.J.; Shaw, L.J.; Gransar, H.; Cohen, I.; Hayes, S.W.; Friedman, J.D.; Berman, D.S. Prognostic value of poststress left ventricular volume and ejection fraction by gated myocardial perfusion SPECT in women and men: Gender-related differences in normal limits and outcomes. J. Nucl. Cardiol. 2006, 13, 495–506. [Google Scholar] [CrossRef]
- Hachamovitch, R.; Berman, D.S.; Kiat, H.; Cohen, I.; Cabico, J.A.; Friedman, J.; Diamond, G.A. Exercise myocardial perfusion SPECT in patients without known coronary artery disease: Incremental prognostic value and use in risk stratification. Circulation 1996, 93, 905–914. [Google Scholar] [CrossRef]
- Reynolds, H.R.; Merz, C.N.B.; Berry, C.; Samuel, R.; Saw, J.; Smilowitz, N.R.; de Souza, A.C.D.A.; Sykes, R.; Taqueti, V.R.; Wei, J. Coronary Arterial Function and Disease in Women with No Obstructive Coronary Arteries. Circ. Res. 2022, 130, 529–551. [Google Scholar] [CrossRef]
- Moody, J.B.; Poitrasson-Rivière, A.; Hagio, T.; Buckley, C.; Weinberg, R.L.; Corbett, J.R.; Murthy, V.L.; Ficaro, E.P. Added value of myocardial blood flow using 18F-flurpiridaz PET to diagnose coronary artery disease: The flurpiridaz 301 trial. J. Nucl. Cardiol. 2020, 28, 2313–2329. [Google Scholar] [CrossRef]
- Maddahi, J.; Lazewatsky, J.; Udelson, J.E.; Berman, D.S.; Beanlands, R.S.; Heller, G.V.; Bateman, T.M.; Knuuti, J.; Orlandi, C. Phase-III Clinical Trial of Fluorine-18 Flurpiridaz Positron Emission Tomography for Evaluation of Coronary Artery Disease. J. Am. Coll. Cardiol. 2020, 76, 391–401. [Google Scholar] [CrossRef]
- Packard, R.R.S.; Lazewatsky, J.L.; Orlandi, C.; Maddahi, J. Diagnostic Performance of PET Versus SPECT Myocardial Perfusion Imaging in Patients with Smaller Left Ventricles: A Substudy of the 18F-Flurpiridaz Phase III Clinical Trial. J. Nucl. Med. 2020, 62, 849–854. [Google Scholar] [CrossRef] [PubMed]
- Bellinge, J.W.; Francis, R.J.; Lee, S.C.; Phillips, M.; Rajwani, A.; Lewis, J.R.; Watts, G.F.; Schultz, C.J. 18 F-Sodium Fluoride Positron Emission Tomography Activity Predicts the Development of New Coronary Artery Calcifications. Arter. Thromb. Vasc. Biol. 2020, 41, 534–541. [Google Scholar] [CrossRef] [PubMed]
- Høilund-Carlsen, P.F.; Sturek, M.; Alavi, A.; Gerke, O. Atherosclerosis imaging with 18F-sodium fluoride PET: State-of-the-art review. Eur. J. Nucl. Med. 2019, 47, 1538–1551. [Google Scholar] [CrossRef] [PubMed]
- Ferreira, M.J.V.; Oliveira-Santos, M.; Silva, R.; Gomes, A.; Ferreira, N.; Abrunhosa, A.; Lima, J.; Pego, M.; Gonçalves, L.; Castelo-Branco, M. Assessment of atherosclerotic plaque calcification using F18-NaF PET-CT. J. Nucl. Cardiol. 2017, 25, 1733–1741. [Google Scholar] [CrossRef] [PubMed]
- Zavadovsky, K.V.; Mochula, A.V.; Maltseva, A.N.; Shipulin, V.V.; Sazonova, S.I.; Gulya, M.O.; Liga, R.; Gimelli, A. The current status of CZT SPECT myocardial blood flow and reserve assessment: Tips and tricks. J. Nucl. Cardiol. 2021, 29, 3137–3151. [Google Scholar] [CrossRef]
- Garuba, H.A.; Erthal, F.; Stadnick, E.; Alzahrani, A.; Chow, B.; Dekemp, R.; Beanlands, R.S. Optimizing Risk Stratification and Noninvasive Diagnosis of Ischemic Heart Disease in Women. Can. J. Cardiol. 2018, 34, 400–412. [Google Scholar] [CrossRef]
- Ordovas, K.G.; Baldassarre, L.A.; Bucciarelli-Ducci, C.; Carr, J.; Fernandes, J.L.; Ferreira, V.M.; Frank, L.; Mavrogeni, S.; Ntusi, N.; Ostenfeld, E.; et al. Cardiovascular magnetic resonance in women with cardiovascular disease: Position statement from the Society for Cardiovascular Magnetic Resonance (SCMR). J. Cardiovasc. Magn. Reson. 2021, 23, 52. [Google Scholar] [CrossRef]
- Greenwood, J.P.; Motwani, M.; Maredia, N.; Brown, J.M.; Everett, C.C.; Nixon, J.; Bijsterveld, P.; Dickinson, C.J.; Ball, S.G.; Plein, S. Comparison of cardiovascular magnetic resonance and single-photon emission computed tomography in women with suspected coronary artery disease from the clinical evaluation of magnetic resonance imaging in coronary heart disease (CE-MARC) trial. Circulation 2014, 129, 1129–1138. [Google Scholar] [CrossRef]
- Shaw, L.J.; Min, J.K.; Narula, J.; Lin, F.; Bairey-Merz, C.N.; Callister, T.Q.; Berman, D.S. Sex differences in mortality associated with computed tomographic angiographic measurements of obstructive and nonobstructive coronary artery disease: An exploratory analysis. Circ. Cardiovasc. Imaging 2010, 3, 473–481. [Google Scholar] [CrossRef]
- Meijboom, W.B.; Weustink, A.C.; Pugliese, F.; van Mieghem, C.A.; Mollet, N.R.; van Pelt, N.; Cademartiri, F.; Nieman, K.; Vourvouri, E.; Regar, E.; et al. Comparison of Diagnostic Accuracy of 64-Slice Computed Tomography Coronary Angiography in Women Versus Men With Angina Pectoris. Am. J. Cardiol. 2007, 100, 1532–1537. [Google Scholar] [CrossRef]
- Min, J.K.; Dunning, A.; Lin, F.Y.; Achenbach, S.; Al-Mallah, M.; Budoff, M.J.; Cademartiri, F.; Callister, T.Q.; Chang, H.-J.; Cheng, V.; et al. Age-and Sex-Related Differences in All-Cause Mortality Risk Based on Coronary Computed Tomography Angiography Findings: Results from the International Multicenter CONFIRM (Coronary CT Angiography Evaluation for Clinical Outcomes: An International Multicenter Registry) of 23,854 Patients Without Known Coronary Artery Disease. J. Am. Coll. Cardiol. 2011, 58, 849–860. [Google Scholar] [CrossRef] [PubMed]
- Williams, M.C.; Kwiecinski, J.; Doris, M.; McElhinney, P.; D’souza, M.S.; Cadet, S.; Adamson, P.D.; Moss, A.J.; Alam, S.; Hunter, A.; et al. Sex-Specific Computed Tomography Coronary Plaque Characterization and Risk of Myocardial Infarction. JACC Cardiovasc. Imaging 2021, 14, 1804–1814. [Google Scholar] [CrossRef] [PubMed]
- Ferencik, M.; Mayrhofer, T.; Bittner, D.O.; Emami, H.; Puchner, S.B.; Lu, M.T.; Meyersohn, N.M.; Ivanov, A.V.; Adami, E.C.; Patel, M.R.; et al. Use of high-risk coronary atherosclerotic plaque detection for risk stratification of patients with stable chest pain: A secondary analysis of the PROMISE randomized clinical trial. JAMA Cardiol. 2018, 3, 144–152. [Google Scholar] [CrossRef] [PubMed]
- Corban, M.T.; Prasad, A.; Gulati, R.; Lerman, L.O.; Lerman, A. Sex-Specific Differences in Coronary Blood Flow and Flow Velocity Reserve in Symptomatic Patients with Non-obstructive Disease. Eurointervention 2019, 16, 1079–1084. [Google Scholar] [CrossRef]
- Patel, M.B.; Bui, L.P.; Kirkeeide, R.L.; Gould, K.L. Imaging Microvascular Dysfunction and Mechanisms for Female-Male Differences in CAD. JACC Cardiovasc. Imaging 2016, 9, 465–482. [Google Scholar] [CrossRef]
- Kobayashi, Y.; Fearon, W.F.; Honda, Y.; Tanaka, S.; Pargaonkar, V.; Fitzgerald, P.J.; Lee, D.P.; Stefanick, M.; Yeung, A.C.; Tremmel, J.A. Effect of Sex Differences on Invasive Measures of Coronary Microvascular Dysfunction in Patients with Angina in the Absence of Obstructive Coronary Artery Disease. JACC Cardiovasc. Interv. 2015, 8, 1433–1441. [Google Scholar] [CrossRef]
- Kumar, S.; Mehta, P.K.; Eshtehardi, P.; Hung, O.Y.; Koh, J.; Kumar, A.; Al-Badri, A.; Rabah, R.; D’Souza, M.; Gupta, S.; et al. Functional coronary angiography in symptomatic patients with no obstructive coronary artery disease. Catheter. Cardiovasc. Interv. 2020, 98, 827–835. [Google Scholar] [CrossRef]
- Murthy, V.; Naya, M.; Taqueti, V.R.; Foster, C.R.; Gaber, M.; Hainer, J.; Dorbala, S.; Blankstein, R.; Rimoldi, O.; Camici, P.G.; et al. Effects of Sex on Coronary Microvascular Dysfunction and Cardiac Outcomes. Circulation 2014, 129, 2518–2527. [Google Scholar] [CrossRef]
- Mathews, L.; Iantorno, M.; Schär, M.; Bonanno, G.; Gerstenblith, G.; Weiss, R.G.; Hays, A.G. Coronary endothelial function is better in healthy premenopausal women than in healthy older postmenopausal women and men. PLoS ONE 2017, 12, e0186448. [Google Scholar] [CrossRef]
- Dal Lin, C.; Tona, F.; Osto, E. The crosstalk between the cardiovascular and the immune system. Vasc. Biol. 2019, 1, H83–H88. [Google Scholar] [CrossRef]
- Pepine, C.J.; Anderson, R.D.; Sharaf, B.L.; Reis, S.E.; Smith, K.M.; Handberg, E.M.; Johnson, B.D.; Sopko, G.; Merz, C.N.B. Coronary microvascular reactivity to adenosine predicts adverse outcome in women evaluated for suspected ischemia results from the National Heart, Lung and Blood Institute WISE (Women’s Ische-mia Syndrome Evaluation) study. J. Am. Coll. Cardiol. 2010, 55, 2825–2832. [Google Scholar] [CrossRef] [PubMed]
- Khuddus, M.A.; Pepine, C.J.; Handberg, E.M.; Bairey Merz, C.N.; Sopko, G.; Bavry, A.A.; Denardo, S.J.; McGORRAY, S.P.; Smith, K.M.; Sharaf, B.L.; et al. An Intravascular Ultrasound Analysis in Women Experiencing Chest Pain in the Absence of Obstructive Coronary Artery Disease: A Substudy from the National Heart, Lung and Blood Institute-Sponsored Women’s Ischemia Syndrome Evaluation (WISE). J. Interv. Cardiol. 2010, 23, 511–519. [Google Scholar] [CrossRef] [PubMed]
- Kunadian, V.; Chieffo, A.; Camici, P.G.; Berry, C.; Escaned, J.; Maas, A.; Prescott, E.; Karam, N.; Appelman, Y.; Fraccaro, C.; et al. An EAPCI Expert Consensus Document on Ischaemia with Non-Obstructive Coronary Arteries in Collaboration with European Society of Cardiology Working Group on Coronary Pathophysiology & Microcirculation Endorsed by Coronary Vasomotor Disorders International Study Group. Eur. Heart J. 2020, 41, 3504–3520. [Google Scholar] [PubMed]
- Ong, P.; Camici, P.G.; Beltrame, J.F. Coronary Vasomotion Disorders International Study Group (COVADIS). International standardization of diagnostic criteria for microvascular angina. Int. J. Cardiol. 2018, 250, 16–20. [Google Scholar] [CrossRef] [PubMed]
- Beltrame, J.F.; Crea, F.; Kaski, J.C.; Ogawa, H.; Ong, P.; Sechtem, U.; Shimokawa, H.; Merz, C.N.B. International standardization of diagnostic criteria for vasospastic angina. Eur. Heart. J. 2017, 38, 2565–2568. [Google Scholar] [CrossRef] [PubMed]
- Arri, S.S.; Ryan, M.; Redwood, S.R.; Marber, M.S. Mental stressinduced myocardial ischaemia. Heart (Br. Card. Soc.) 2016, 102, 472–480. [Google Scholar]
- Peix, A.; Trápaga, A.; Asen, L.; Ponce, F.; Infante, O.; Valiente, J.; Tornés, F.; Cabrera, L.O.; Guerrero, I.; García, E.J.; et al. Mental stress–induced myocardial ischemia in women with angina and normal coronary angiograms. J. Nucl. Cardiol. 2006, 13, 507–513. [Google Scholar] [CrossRef] [PubMed]
- Pasupathy, S.; Air, T.; Dreyer, R.P.; Tavella, R.; Beltrame, J.F. Systematic Review of Patients Presenting with Suspected Myocardial Infarction and Nonobstructive Coronary Arteries. Circulation 2015, 131, 861–870. [Google Scholar] [CrossRef]
- Thygesen, K.; Alpert, J.S.; Jaffe, A.S.; Chaitman, R.B.; Bax, J.J.; Morrow, D.A.; White, H.D. Fourth universal definition of myocardial infarction. Circulation 2018, 138, e618–e651. [Google Scholar] [CrossRef]
- Tamis-Holland, J.E.; Jneid, H.; Reynolds, H.R.; Agewall, S.; Brilakis, E.S.; Brown, T.M.; Lerman, A.; Cushman, M.; Kumbhani, D.J.; Arslanian-Engoren, C.; et al. Contemporary Diagnosis and Management of Patients With Myocardial Infarction in the Absence of Obstructive Coronary Artery Disease: A Scientific Statement From the American Heart Association. Circulation 2019, 139, e891–e908. [Google Scholar] [CrossRef]
- Agewall, S.; Beltrame, J.F.; Reynolds, H.R.; Niessner, A.; Rosano, G.; Caforio, A.L.P.; De Caterina, R.; Zimarino, M.; Roffi, M.; Kjeldsen, K.; et al. ESC working group position paper on myocardial infarction with non-obstructive coronary arteries. Eur. Heart. J. 2017, 38, 143–153. [Google Scholar] [CrossRef] [PubMed]
- Collet, J.P.; Thiele, H.; Barbato, E.; Barthélémy, O.; Bauersachs, J.; Bhatt, D.L.; Dendale, P.; Dorobantu, M.; Edvardsen, T.; Folliguet, T.; et al. 2020 ESC guidelines for the management of acute coronary syndromes in patients presenting without persistent ST-segment eleva-tion. Eur. Heart J. 2021, 42, 1289–1367. [Google Scholar] [CrossRef] [PubMed]
- Sykes, R.; Doherty, D.; Mangion, K.; Morrow, A.; Berry, C. What an Interventionalist Needs to Know About MI with Non-obstructive Coronary Arteries. Interv. Cardiol. Rev. Res. Resour. 2021, 16, e10. [Google Scholar] [CrossRef] [PubMed]
- Dote, K.; Sato, H.; Tateishi, H.; Uchida, T.; Ishihara, M. Myocardial stunning due to simultaneous multivessel coronary spasms: A review of 5 cases. J. Cardiol. 1991, 21, 203–214. [Google Scholar] [PubMed]
- Citro, R.; Okura, H.; Ghadri, J.R.; Izumi, C.; Meimoun, P.; Izumo, M.; Dawson, D.; Kaji, S.; Eitel, I.; Kagiyama, N.; et al. Multimodality imaging in takotsubo syndrome: A joint consensus document of the European Association of Cardiovascular Imaging (EACVI) and the Japanese Society of Echocardiography (JSE). J. Echocardiogr. 2020, 18, 199–224. [Google Scholar] [CrossRef]
- Ghadri, J.R.; Wittstein, I.S.; Prasad, A.; Sharkey, S.; Dote, K.; Akashi, Y.J.; Cammann, V.L.; Crea, F.; Galiuto, L.; Desmet, W.; et al. International Expert Consensus Document on Takotsubo Syndrome (Part I): Clinical characteristics, diagnostic criteria, and pathophysiology. Eur. Heart J. 2018, 39, 2032–2046. [Google Scholar] [CrossRef]
- Akashi, Y.J.; Nakazawa, K.; Sakakibara, M.; Miyake, F.; Musha, H.; Sasaka, K. 123I-MIBG myocardial scintigraphy in patients with “takotsubo” cardiomyopathy. J. Nucl. Med. 2004, 45, 1121–1127. [Google Scholar]
- Cimarelli, S.; Sauer, F.; Morel, O.; Ohlmann, P.; Constantinesco, A.; Imperiale, A. Transient left ventricular dysfunction syndrome: Patho-physiological bases through nuclear medicine imaging. Int. J. Cardiol. 2010, 144, 212–218. [Google Scholar] [CrossRef]
- Boyd, B.; Solh, T. Takotsubo cardiomyopathy: Review of broken heart syndrome. JAAPA 2020, 33, 24–29. [Google Scholar] [CrossRef]





| Imaging Test | Advantages | Disadvantages |
|---|---|---|
| Stress echo | No radiation, high availability, lower costs | Poor acoustic windows, less reproducible |
| SPECT MPI | Good reproducibility, validated for ischemia detection. Uses stress-only protocols if possible | Radiation exposure, need for attenuation correction for anterior defects in women |
| PET MPI | Validated for ischemia detection, MBF and CFR can be measured | Radiation exposure, although less than SPECT MPI |
| CMR | Validated for ischemia detection, MBF and CFR can be measured. Standard measurement for ventricular function. No radiation | Less availability, higher costs, claustrophobia, patients with implantable cardiac devices |
| CCTA | High negative predictive value. Measurement of calcium score in addition to coronary anatomy | Radiation exposure |
Disclaimer/Publisher’s Note: The statements, opinions and data contained in all publications are solely those of the individual author(s) and contributor(s) and not of MDPI and/or the editor(s). MDPI and/or the editor(s) disclaim responsibility for any injury to people or property resulting from any ideas, methods, instructions or products referred to in the content. |
© 2023 by the author. Licensee MDPI, Basel, Switzerland. This article is an open access article distributed under the terms and conditions of the Creative Commons Attribution (CC BY) license (https://creativecommons.org/licenses/by/4.0/).
Share and Cite
Peix, A. Cardiac Imaging in Women with Ischemic Heart Disease. Life 2023, 13, 1389. https://doi.org/10.3390/life13061389
Peix A. Cardiac Imaging in Women with Ischemic Heart Disease. Life. 2023; 13(6):1389. https://doi.org/10.3390/life13061389
Chicago/Turabian StylePeix, Amalia. 2023. "Cardiac Imaging in Women with Ischemic Heart Disease" Life 13, no. 6: 1389. https://doi.org/10.3390/life13061389
APA StylePeix, A. (2023). Cardiac Imaging in Women with Ischemic Heart Disease. Life, 13(6), 1389. https://doi.org/10.3390/life13061389
