Diagnosis and Management of Cerebral Venous Thrombosis Due to Polycythemia Vera and Genetic Thrombophilia: Case Report and Literature Review
Abstract
1. Introduction
2. Case Presentation
2.1. Laboratory Results
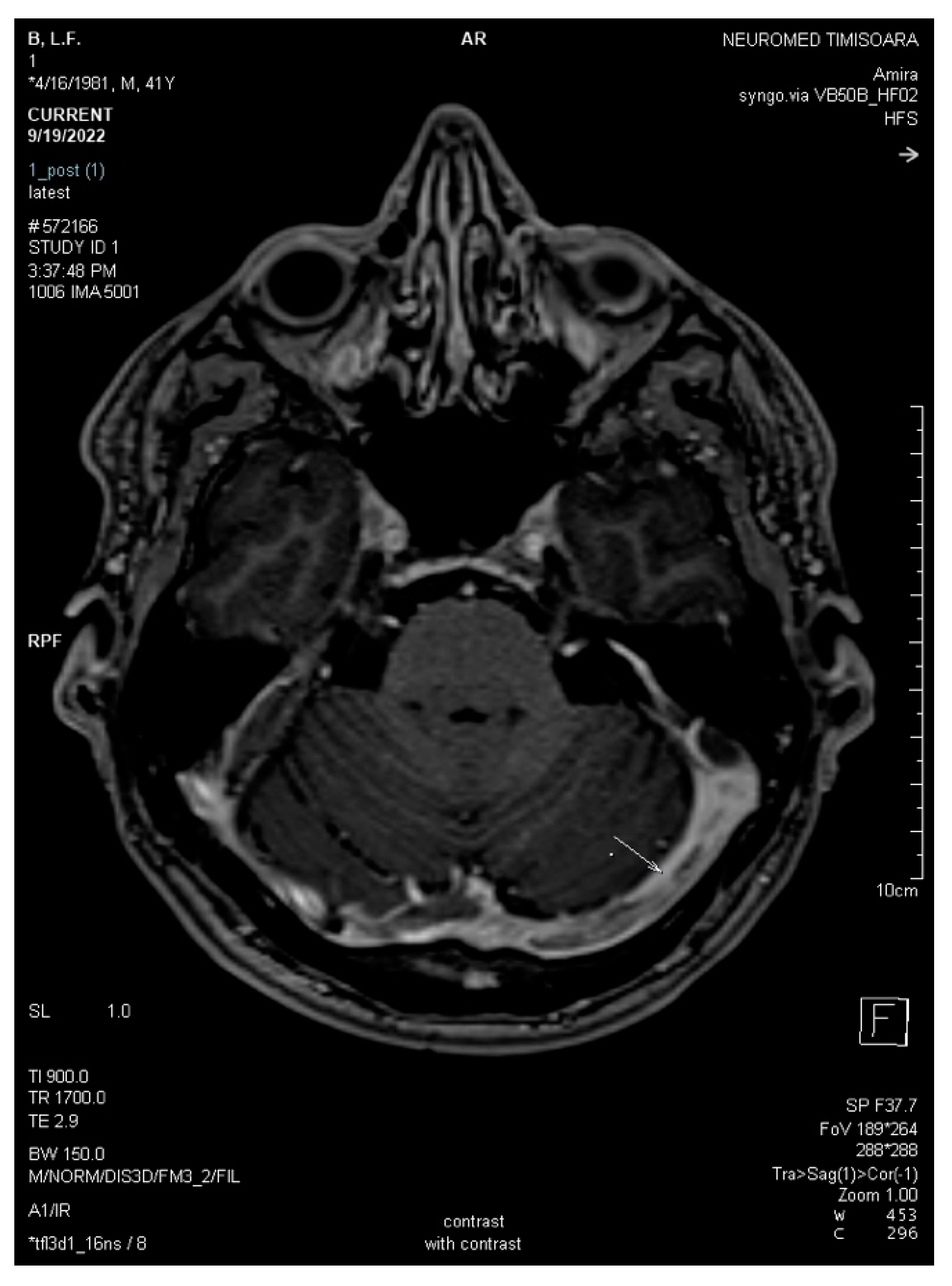
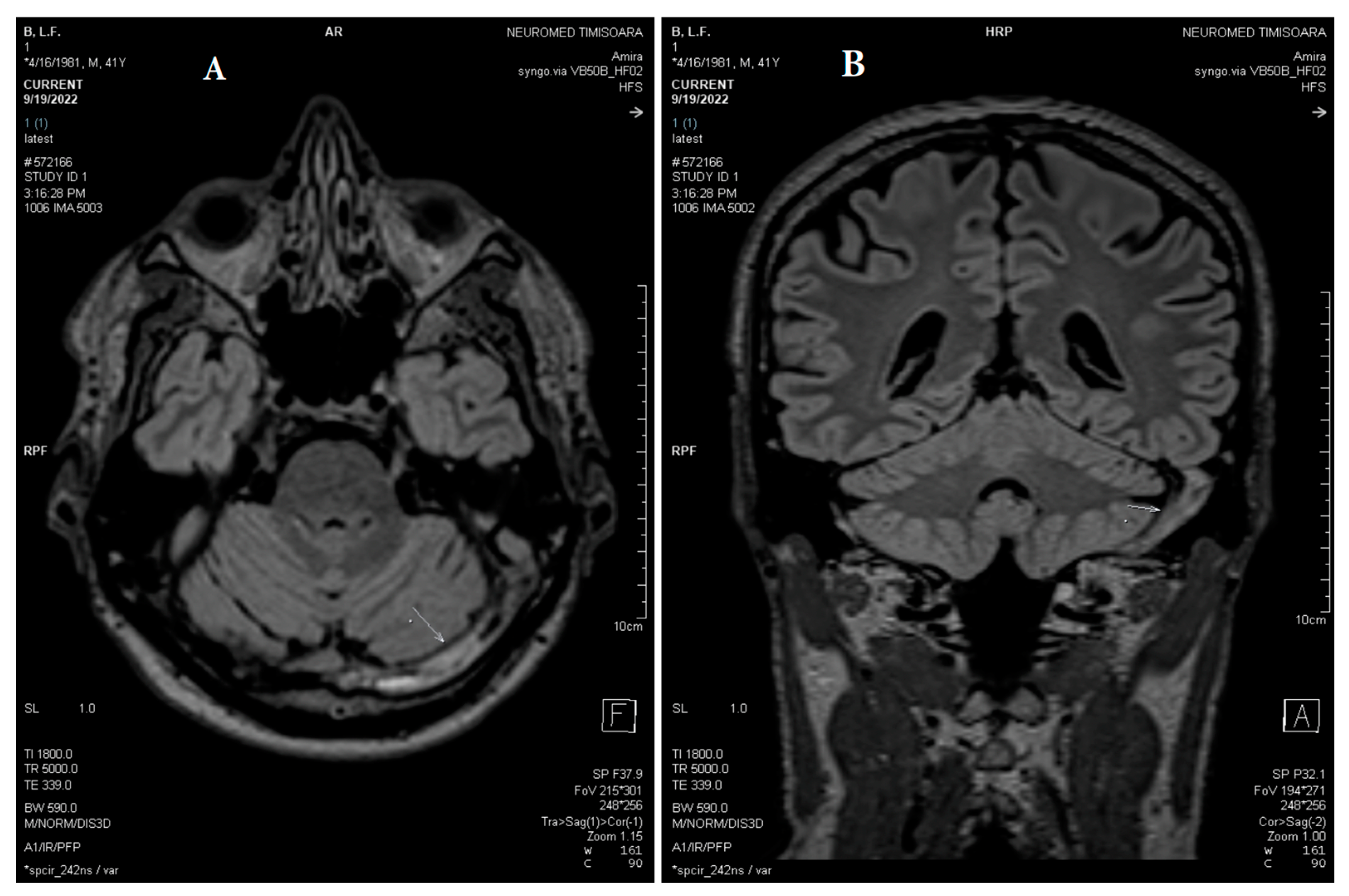
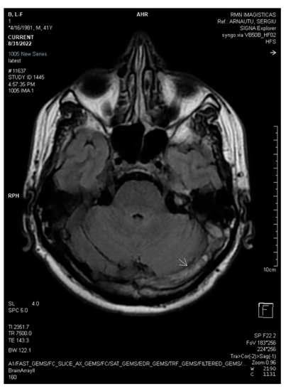
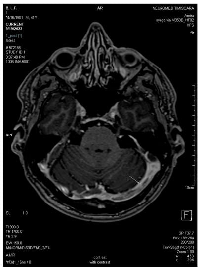
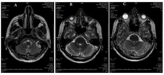
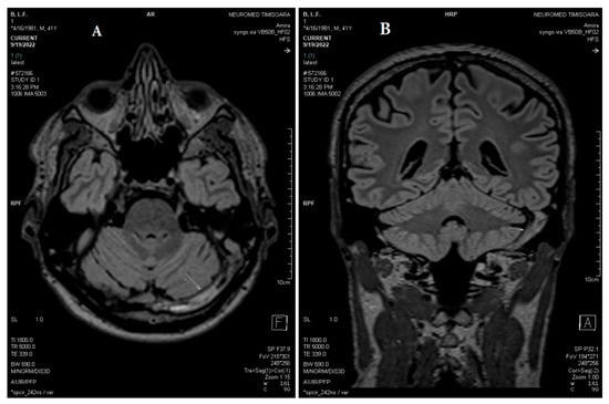
2.2. Neuroimaging Data
2.3. Laboratory Tests
2.4. Treatment in the Acute Phase
2.5. Treatment after the Acute Phase
3. Discussion
4. Conclusions
Author Contributions
Funding
Institutional Review Board Statement
Informed Consent Statement
Data Availability Statement
Conflicts of Interest
References
- Bousser, M.G.; Barnett, H.J.M. Chapter Twelve: Cerebral Venous Thrombosis. In Stroke (Pathophysiology, Diagnosis, and Management), 4th ed.; Mohr, J.P., Choi, D.W., Grotta, J.C., Weir, B., Wolf, P.A., Eds.; Churchill Livingstone: London, UK, 2004; pp. 301–325. [Google Scholar]
- Ferro, J.M.; Canhão, P. Chapter 45: Cerebral Venous Thrombosis. In Stroke (Pathophysiology, Diagnosis, and Management), 6th ed.; Grotta, J.C., Albers, G.W., Broderick, J.P., Kasner, S.E., Lo, E.H., Mendelow, A.D., Sacco, R.L., Wong, L.K.S., Eds.; Elsevier: Amsterdam, The Netherlands, 2016; pp. 716–730. [Google Scholar]
- Stam, J. Thrombosis of the cerebral veins and sinuses. N. Engl. J. Med. 2005, 352, 1791–1798. [Google Scholar] [CrossRef] [PubMed]
- Coutinho, J.M.; Zurbier, S.M.; Aramideh, M.; Stam, J. The Incidence of Cerebral Venous Thrombosis A Cross-Sectional Study. Stroke 2012, 43, 3375–3377. [Google Scholar] [CrossRef] [PubMed]
- Devasagayam, S.; Wyatt, B.; Leyden, J.; Kleinig, T. Cerebral Venous Sinus Thrombosis Incidence Is Higher Than Previously Thought: A Retrospective Population-Based Study. Stroke 2016, 47, 2180. [Google Scholar] [CrossRef]
- Ferro, J.M.; Canhao, P.; Stam, J.; Bousser, M.G.; Barinagarrementeria, F. Prognosis of cerebral vein and dural sinus thrombosis: Results of the International Study on Cerebral Vein and Dural Sinus Thrombosis (ISCVT). Stroke 2004, 35, 664–670. [Google Scholar] [CrossRef]
- Ferro, J.M.; Canhão, P. Cerebral Venous Thrombosis: Etiology, Clinical Features, and Diagnosis. Available online: https://www.uptodate.com/contents/cerebral-venous-thrombosis-etiology-clinical-features-and-diagnosis (accessed on 15 October 2021).
- Saposnik, G.; Barinagarrementeria, F.; Brown, R.D.; Bushnell, C.D.; Cucchiara, B.; Cushman, M.; de Veber, G.; Ferro, J.M.; Tsai, F.Y.; on behalf of the American Heart Association Stroke Council and the Council on Epidemiology and Prevention. Diagnosis and management of cerebral venous thrombosis: A statement for healthcare professionals from the American Heart Association/American Stroke Association. Stroke 2011, 42, 1158–1192. [Google Scholar] [CrossRef]
- Coutinho, J.M.; Ferro, J.M.; Canhão, P.; Barinagarrementeria, F.; Bousser, M.G.; Stam, J. Cerebral Venous and Sinus Thrombosis in Women. Stroke 2009, 40, 2356–2361. [Google Scholar] [CrossRef]
- Dmytriw, A.A.; Song, J.S.A.; Yu, E.; Poon, C.S. Cerebral venous thrombosis: State of the art diagnosis and management. Neuroradiology 2018, 60, 669–685. [Google Scholar] [CrossRef] [PubMed]
- Jianu, D.C.; Jianu, S.N.; Dan, T.F.; Munteanu, G.; Copil, A.; Birdac, C.D.; Motoc, A.G.M.; Docu Axelerad, A.; Petrica, L.; Arnautu, S.F.; et al. An Integrated Approach on the Diagnosis of Cerebral Veins and Dural Sinuses Thrombosis (a Narrative Review). Life 2022, 12, 717. [Google Scholar] [CrossRef]
- Piazza, G. Cerebral Venous Thrombosis. Circulation 2012, 125, 1704–1709. [Google Scholar] [CrossRef]
- Dentali, F.; Ageno, W.; Rumi, E.; Casetti, I.; Poli, D.; Scoditti, U.; Maffioli, M.; di Minno, M.N.D.; Caramazza, D.; Pietra, D.; et al. Cerebral venous thrombosis and myeloproliferative neoplasms: Results from two large databases. Thromb. Res. 2014, 134, 41–43. [Google Scholar] [CrossRef] [PubMed]
- Iurlo, A.; Cattaneo, D.; Bucelli, C.; Baldini, L. New Perspectives on Polycythemia Vera: From Diagnosis to Therapy. Int. J. Mol. Sci. 2020, 21, 5805. [Google Scholar] [CrossRef]
- Godeneche, G.; Gaillard, N.; Roy, L.; Mania, A.; Tondeur, S.; Chomel, J.; Lavabre, T.; Arquizan, C.; Neau, J. JAK2 V617F Mutation Associated with Cerebral Venous Thrombosis: A Report of Five Cases. Cerebrovasc. Dis. 2010, 29, 206–209. [Google Scholar] [CrossRef] [PubMed]
- Jianu, D.C.; Jianu, S.N.; Munteanu, G.; Dan, F.T.; Barsan, C. Chapter 3—Cerebral Vein and Dural Sinus Thrombosis. In Ischemic Stroke of Brain; Sanchetee., P., Ed.; Intech Open: London, UK, 2018; pp. 45–76. Available online: https://www.intechopen.com/chapters/61125 (accessed on 15 November 2021).
- Munteanu, G.; Motoc, A.G.M.; Dan, T.F.; Gogu, A.E.; Jianu, D.C. Aphasic Syndromes in Cerebral Venous and Dural Sinuses Thrombosis-A Review of the Literature. Life 2022, 12, 1684. [Google Scholar] [CrossRef]
- Jianu, D.C.; Jianu, S.N.; Dan, T.F.; Iacob, N.; Munteanu, G.; Motoc, A.G.M.; Baloi, A.; Hodorogea, D.; Axelerad, A.D.; Ples, H.; et al. Diagnosis and Management of Mixed Transcortical Aphasia Due to Multiple Predisposing Factors, including Postpartum and Severe Inherited Thrombophilia, Affecting Multiple Cerebral Venous and Dural Sinus Thrombosis: Case Report and Literature Review. Diagnostics 2021, 11, 1425. [Google Scholar] [CrossRef] [PubMed]
- Dan, T.F.; Jianu, S.N.; Iacob, N.; Motoc, A.G.M.; Munteanu, G.; Baloi, A.; Albulescu, N.; Jianu, D.C. Management of an old woman with cavernous sinus thrombosis with two different mechanisms: Case report and review of the literature. Rom. J. Morphol. Embryol. 2020, 61, 1329–1334. [Google Scholar] [CrossRef] [PubMed]
- Biousse, V.; Ameri, A.; Bousser, M.G. Isolated intracranial hypertension as the only sign of cerebral venous thrombosis. Neurology 1999, 53, 1537. [Google Scholar] [CrossRef] [PubMed]
- Schaller, B.; Graf, R. Cerebral Venous Infarction-The Pathophysiological Concept. Cerebrovasc. Dis. 2004, 18, 179–188. [Google Scholar] [CrossRef] [PubMed]
- Gotoh, M.; Ohmoto, T.; Kuyama, H. Experimental study of venous circulatory disturbance by dural sinus occlusion. Acta Neurochir. 1993, 124, 120. [Google Scholar] [CrossRef]
- Lövblad, K.O.; Bassetti, C.; Schneider, J.; Guzman, R.; El-Koussy, M.; Remonda, L.; Schroth, G.S.O. Diffusion-weighted mr in cerebral venous thrombosis. Cereb. Dis. 2001, 11, 169. [Google Scholar] [CrossRef]
- Tefferi, A.; Vannucchi, A.M.; Barbui, T. Polycythemia vera: Historical oversights, diagnostic details, and therapeutic views. Leukemia 2021, 35, 3339–3351. [Google Scholar] [CrossRef]
- Wen, H.; Jin, D.; Chen, Y.; Cui, B.; Xiao, T. Cerebellar venous thrombosis mimicking a cerebellar tumor due to polycythemia vera: A case report. BMC Neurol. 2021, 21, 225. [Google Scholar] [CrossRef]
- Barbui, T.; Thiele, J.; Gisslinger, H.; Kvasnicka, H.M.; Vannucchi, A.M.; Guglielmelli, P.; Orazi, A.; Tefferi, A. The 2016 WHO classification and diagnostic criteria for myeloproliferative neoplasms: Document summary and in-depth discussion. Blood Cancer J. 2018, 8, 15. [Google Scholar] [CrossRef] [PubMed]
- Spivak, J.L. Polycythemia vera. Curr. Treat. Option Oncol. 2018, 19, 12. [Google Scholar] [CrossRef] [PubMed]
- Carobbio, A.; Vannucchi, A.M.; De Stefano, V.; Masciulli, A.; Guglielmelli, P.; Loscocco, G.G.; Ramundo, F.; Rossi, E.; Kanthi, Y.; Tefferi, A.; et al. Neutrophil-to-lymphocyte ratio is a novel predictor of venous thrombosis in polycythemia vera. Blood Cancer J. 2022, 12, 28. [Google Scholar] [CrossRef]
- Farrukh, F.; Guglielmelli, P.; Loscocco, G.G.; Pardanani, A.; Hanson, C.A.; De Stefano, V.; Barbui, T.; Gangat, N.; Vannucchi, A.M.; Tefferi, A. Deciphering the individual contribution of absolute neutrophil and monocyte counts to thrombosis risk in polycythemia vera and essential thrombocythemia. Am. J. Hematol. 2022, 97, E35–E37. [Google Scholar] [CrossRef] [PubMed]
- Wang, X.; Tu, Y.; Cao, M.; Jiang, X.; Yang, Y.; Zhang, X.; Lai, H.; Tu, H.; Li, J. The Predictive Value of Neutrophil-Lymphocyte Ratio in Patients with Polycythemia Vera at the Time of Initial Diagnosis for Thrombotic Events. BioMed Res. Int. 2022, 2022, 9343951. [Google Scholar] [CrossRef]
- Carobbio, A.; Ferrari, A.; Masciulli, A.; Ghirardi, A.; Barosi, G.; Barbui, T. Leukocytosis and thrombosis in essential thrombocythemia and polycythemia vera: A systematic review and meta-analysis. Blood Adv. 2019, 3, 1729–1737. [Google Scholar] [CrossRef]
- Guglielmelli, P.; Loscocco, G.G.; Mannarelli, C.; Rossi, E.; Mannelli, F.; Ramundo, F.; Coltro, G.; Betti, S.; Maccari, C.; Ceglie, S.; et al. JAK2V617F variant allele frequency >50% identifies patients with polycythemia vera at high risk for venous thrombosis. Blood Cancer J. 2021, 11, 199. [Google Scholar] [CrossRef]
- Soudet, S.; Le Roy, G.; Cadet, E.; Michaud, A.; Morel, P.; Marolleau, J.P.; Sevestre, M.A. JAK2 allele burden is correlated with a risk of venous but not arterial thrombosis. Thromb. Res. 2022, 211, 1–5. [Google Scholar] [CrossRef]
- Moliterno, A.R.; Kaizer, H.; Reeves, B.N. JAK2V617F Allele Burden in Polycythemia Vera: Burden of Proof. Blood 2023, 141, 1934–1942. [Google Scholar] [CrossRef]
- Sirin, N.G.; Yesilot, N.; Ekizoğlu, E.; Keles, N.; Tuncay, R.; Coban, O.; Bahar, S.Z. A case report of cerebral venous thrombosis in polycythemia vera presenting with intracranial and spinal subdural hematoma. Case Rep. Neurol. 2010, 2, 37–45. [Google Scholar] [CrossRef] [PubMed]
- Eliaçik, S.; Savas, Ö.Ö.; Komut, E.; Tan, F.U. Partial status epilepticus in cerebral venous sinus thrombosis, initial manifestation of polycythemia vera. Ann. Indian Acad Neurol. 2019, 22, 536–537. [Google Scholar] [PubMed]
- Radia, D.; Geyer, H.L. Management of symptoms in polycythemia vera and essential thrombocythemia patients. Hematology 2015, 2015, 340–348. [Google Scholar] [CrossRef] [PubMed]
- Gogu, A.E.; Motoc, A.G.; Stroe, A.Z.; Docu Axelerad, A.; Docu Axelerad, D.; Petrica, L.; Jianu, D.C. Plasminogen Activator Inhibitor-1 (PAI-1) Gene Polymorphisms Associated with Cardiovascular Risk Factors Involved in Cerebral Venous Sinus Thrombosis. Metabolites 2021, 11, 266. [Google Scholar] [CrossRef] [PubMed]
- Gogu, A.E.; Jianu, D.C.; Dumitrascu, V.; Ples, H.; Stroe, A.Z.; Docu Axelerad, D.; Docu Axelerad, A. MTHFR Gene Polymorphisms and Cardiovascular Risk Factors, Clinical-Imagistic Features and Outcome in Cerebral Venous Sinus Thrombosis. Brain Sci. 2021, 11, 23. [Google Scholar] [CrossRef]
- Jianu, D.C.; Jianu, S.N.; Motoc, A.G.M.; Poenaru, M.; Petrica, L.; Vlad, A.; Ursoniu, S.; Gogu, A.E.; Dan, T.F. Diagnosis and management of a young woman with acute isolated lateral sinus thrombosis. Rom. J. Morphol. Embryol. 2017, 58, 1515–1518. [Google Scholar]
- Jianu, D.C.; Jianu, S.N.; Dan, T.F.; Motoc, A.G.M.; Poenaru, M. Pulsatile tinnitus caused by a dilated left petrosquamosal sinus. Rom. J. Morphol. Embryol. 2016, 57, 319–322. [Google Scholar]
- Sadik, J.-C.; Jianu, D.C.; Sadik, R.; Purcell, Y.; Novaes, N.; Saragoussi, E.; Obadia, M.; Lecler, A.; Savatovsky, J. Imaging of Cerebral Venous Thrombosis. Life 2022, 12, 1215. [Google Scholar] [CrossRef]
- Zimmerman, R.D.; Ernst, R.J. Neuroimaging of cerebral venous thrombosis. Neuroimaging Clin. N. Am. 1992, 2, 463–485. [Google Scholar]
- Ayanzen, R.H.; Bird, C.R.; Keller, P.J.; McCully, F.J.; Theobald, M.R.; Heiserman, J.E. Cerebral MR venography: Normal anatomy and potential diagnostic pitfalls. AJNR Am. J. Neuroradiol. 2000, 21, 74–78. [Google Scholar]
- Vogl, T.J.; Bergman, C.; Villringer, A.; Einhäupl, K.; Lissner, J.; Felix, R. Dural sinus thrombosis: Value of venous MR angiography for diagnosis and follow-up. AJR Am. J. Roentgenol. 1994, 162, 1191–1198. [Google Scholar] [CrossRef]
- Ozsvath, R.R.; Casey, S.O.; Lustrin, E.S.; Alberico, R.A.; Hassankhani, A.; Patel, M. Cerebral venography: Comparison of CT and MR projection venography. AJR Am. J. Roentgenol. 1997, 169, 1699–1707. [Google Scholar] [CrossRef] [PubMed]
- Casey, S.O.; Alberico, R.A.; Patel, M.; Jimenez, J.M.; Ozsvath, R.R.; Maguire, W.M.; Taylor, M.L. Cerebral CT venography. Radiology 1996, 198, 163–170. [Google Scholar] [CrossRef] [PubMed]
- Liang, L.; Korogi, Y.; Sugahara, T.; Onomichi, M.; Shigematsu, Y.; Yang, D.; Kitajima, M.; Hiai, Y.; Takahashi, M. Evaluation of the intracranial dural sinuses with a 3D contrast enhanced MP-RAGE sequence: Prospective comparison with 2D-TOF MR venography and digital subtraction angiography. Am. J. Neuro-Radiol. 2001, 22, 481–492. [Google Scholar]
- Stevenson, J.; Knopp, E.A.; Litt, A.W. MP-RAGE subtraction venography: A new technique. J. Magn. Reson. Imaging 1995, 5, 239–241. [Google Scholar] [CrossRef]
- Docampo, J.; Gonzalez, N.; Bravo, F.; Sarroca, D.; Morales, C.; Bruno, C. Susceptibility-Weighted Angiography of Intracranial Blood Products and Calcifications Compared to Gradient Echo Sequence. Neuroradiol. J. 2013, 26, 493–500. [Google Scholar] [CrossRef]
- Forbes, K.P.; Pipe, J.G.; Bird, C.R.; Heiserman, J.E. PROPELLER MRI: Clinical testing of a novel technique for quantification and compensation of head motion. J. Magn. Reson. Imaging 2001, 14, 215–222. [Google Scholar] [CrossRef]
- Tefferi, A.; Barbui, T. Polycythemia vera and essential thrombocythemia: 2021 update on diagnosis, risk-stratification and management. Am. J. Hematol. 2020, 95, 1599–1613. [Google Scholar] [CrossRef]
- Yacoub, A.; Mascarenhas, J.; Kosiorek, H.; Prchal, J.T.; Berenzon, D.; Baer, M.R.; Ritchie, E.; Silver, R.T.; Kessler, C.; Winton, E.; et al. Pegylated interferon alfa-2a for polycythemia vera or essential thrombocythemia resistant or intolerant to hydroxyurea. Blood 2019, 134, 1498–1509. [Google Scholar] [CrossRef]
- Kiladjian, J.-J.; Klade, C.; Georgiev, P.; Krochmalczyk, D.; Gercheva-Kyuchukova, L.; Egyed, M.; Dulicek, P.; Illes, A.; Pylypenko, H.; Sivcheva, L.; et al. Long-term outcomes of polycythemia vera patients treated with ropeginterferon Alfa-2b. Leukemia 2022, 36, 1408–1411. [Google Scholar] [CrossRef]
- Petrica, L.; Vlad, A.; Gluhovschi, G.; Gadalean, F.; Dumitrascu, V.; Vlad, D.; Popescu, R.; Velciov, S.; Gluhovschi, C.; Bob, F.; et al. Glycated peptides are associated with the variability of endotelial dysfunction in the cerebral vessels and the kidney in type 2 diabetes mellitus patients: A cross-sectional study. J. Diabetes Complicat. 2015, 29, 230–237. [Google Scholar] [CrossRef] [PubMed]
Disclaimer/Publisher’s Note: The statements, opinions, and data contained in all publications are solely those of the individual author(s) and contributor(s) and not of MDPI and/or the editor(s). MDPI and/or the editor(s) disclaim responsibility for any injury to people or property resulting from any ideas, methods, instructions, or products referred to in the content. |







Disclaimer/Publisher’s Note: The statements, opinions and data contained in all publications are solely those of the individual author(s) and contributor(s) and not of MDPI and/or the editor(s). MDPI and/or the editor(s) disclaim responsibility for any injury to people or property resulting from any ideas, methods, instructions or products referred to in the content. |
© 2023 by the authors. Licensee MDPI, Basel, Switzerland. This article is an open access article distributed under the terms and conditions of the Creative Commons Attribution (CC BY) license (https://creativecommons.org/licenses/by/4.0/).
Share and Cite
Jianu, D.C.; Jianu, S.N.; Iacob, N.; Dan, T.F.; Munteanu, G.; Gogu, A.E.; Sadik, R.; Motoc, A.G.M.; Axelerad, A.; Sirbu, C.A.; et al. Diagnosis and Management of Cerebral Venous Thrombosis Due to Polycythemia Vera and Genetic Thrombophilia: Case Report and Literature Review. Life 2023, 13, 1074. https://doi.org/10.3390/life13051074
Jianu DC, Jianu SN, Iacob N, Dan TF, Munteanu G, Gogu AE, Sadik R, Motoc AGM, Axelerad A, Sirbu CA, et al. Diagnosis and Management of Cerebral Venous Thrombosis Due to Polycythemia Vera and Genetic Thrombophilia: Case Report and Literature Review. Life. 2023; 13(5):1074. https://doi.org/10.3390/life13051074
Chicago/Turabian StyleJianu, Dragos Catalin, Silviana Nina Jianu, Nicoleta Iacob, Traian Flavius Dan, Georgiana Munteanu, Anca Elena Gogu, Raphael Sadik, Andrei Gheorghe Marius Motoc, Any Axelerad, Carmen Adella Sirbu, and et al. 2023. "Diagnosis and Management of Cerebral Venous Thrombosis Due to Polycythemia Vera and Genetic Thrombophilia: Case Report and Literature Review" Life 13, no. 5: 1074. https://doi.org/10.3390/life13051074
APA StyleJianu, D. C., Jianu, S. N., Iacob, N., Dan, T. F., Munteanu, G., Gogu, A. E., Sadik, R., Motoc, A. G. M., Axelerad, A., Sirbu, C. A., Petrica, L., & Ionita, I. (2023). Diagnosis and Management of Cerebral Venous Thrombosis Due to Polycythemia Vera and Genetic Thrombophilia: Case Report and Literature Review. Life, 13(5), 1074. https://doi.org/10.3390/life13051074

