ZJUSAH Classification: A New Classification for Primary Brainstem Hemorrhage
Abstract
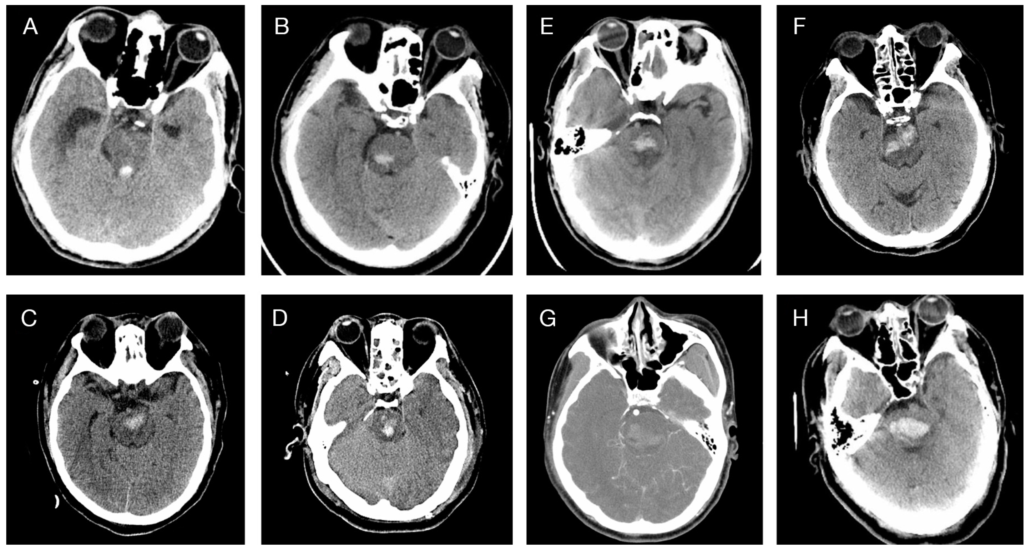
1. Introduction
2. Methods
2.1. Study Design
2.2. Patient Selection
2.3. Clinical Data
2.4. Outcome Assessment
2.5. Prognostic Analysis Based on ZJUSAH Classification
2.6. Univariate Analysis and Survival Analyses Based on ZJUSAH Classification
3. Results
3.1. Prognostic Analyses of Primary Brainstem Hematoma Patients Based on ZJUSAH Classification
3.2. Optimization of ZJUSAH Classification Based on Hematoma Volume
3.3. Survival Analysis for ZJUSAH Classification and Treatment Strategies
3.4. Using ZJUSAH Classification to Predict 30-Day Survival Outcomes in Patients Receiving Conservative Treatments
4. Discussion
4.1. Comparison of Different Classifications
4.2. Surgical Management of PBH
4.3. Limitations
5. Conclusions
Supplementary Materials
Author Contributions
Funding
Institutional Review Board Statement
Informed Consent Statement
Data Availability Statement
Conflicts of Interest
References
- Shrestha, B.K.; Ma, L.; Lan, Z.; Li, H.; You, C. Surgical management of spontaneous hypertensive brainstem hemorrhage. Interdiscip. Neurosurg. 2015, 2, 145–148. [Google Scholar] [CrossRef]
- Ichimura, S.; Bertalanffy, H.; Nakaya, M.; Mochizuki, Y.; Moriwaki, G.; Sakamoto, R.; Fukuchi, M.; Fujii, K. Surgical Treatment for Primary Brainstem Hemorrhage to Improve Postoperative Functional Outcomes. World Neurosurg. 2018, 120, e1289–e1294. [Google Scholar] [CrossRef]
- Chen, L.; Chen, T.; Mao, G.; Chen, B.; Li, M.; Zhang, H.; Xi, H.; She, X.; Tang, Z.; Zhang, P.; et al. Clinical neurorestorative therapeutic guideline for brainstem hemorrhage (2020 China version). J. Neurorestoratol. 2020, 8, 232–240. [Google Scholar] [CrossRef]
- Morgenstern, L.B.; Hemphill, J.; Anderson, C.S.; Becker, K.; Tamargo, R.J. Guidelines for the Management of Spontaneous Intracerebral Hemorrhage A Guideline for Healthcare Professionals from the American Heart Association/American Stroke Association. Stroke 2010, 41, 2108–2129. [Google Scholar] [CrossRef]
- Steiner, T.; Salman, R.A.S.; Beer, R.; Christensen, H.; Cordonnier, C.; Csiba, L.; Forsting, M.; Harnof, S.; Klijn, C.J.; Krieger, D.; et al. European Stroke Organisation (ESO) guidelines for the management of spontaneous intracerebral hemorrhage. Int. J. Stroke Off. J. Int. Stroke Soc. 2015, 9, 840–855. [Google Scholar] [CrossRef] [PubMed]
- Chen, D.; Tang, Y.; Nie, H.; Zhang, P.; Wang, W.; Dong, Q.; Wu, G.; Xue, M.; Tang, Y.; Liu, W.; et al. Primary Brainstem Hemorrhage: A Review of Prognostic Factors and Surgical Management. Front. Neurol. 2021, 12, 1627. [Google Scholar] [CrossRef] [PubMed]
- Takeuchi, S.; Suzuki, G.; Takasato, Y.; Masaoka, H.; Hayakawa, T.; Otani, N.; Yatsushige, H.; Shigeta, K.; Momose, T.; Wada, K.; et al. Prognostic factors in patients with primary brainstem hemorrhage. Clin. Neurol. Neurosurg. 2013, 115, 732–735. [Google Scholar] [CrossRef]
- Jung, D.S.; Jeon, B.C.; Park, Y.S.; Oh, H.S.; Kim, N.K. The predictors of survival and functional outcome in patients with pontine hemorrhage. J. Korean Neurosurg. Soc. 2007, 41, 82–87. [Google Scholar]
- Matsukawa, H.; Shinoda, M.; Fujii, M.; Takahashi, O.; Murakata, A. Risk factors for mortality in patients with non-traumatic pontine hemorrhage. Acta Neurol. Scand. 2015, 131, 240–245. [Google Scholar] [CrossRef]
- Chen, Y.; Wang, L.; Zhang, J.; Wang, S.; Xing, Y. Monitoring of patients with brainstem hemorrhage: A simultaneous study of quantitative electroencephalography and transcranial Doppler. Clinical Neurophysiol. 2021, 132, 946–952. [Google Scholar] [CrossRef]
- Ding, W.L.; Xiang, Y.S.; Liao, J.C.; Wang, S.Y.; Wang, X.Y. Early tracheostomy is associated with better prognosis in patients with brainstem hemorrhage. J. Integr. Neurosci. 2020, 19, 437–442. [Google Scholar] [CrossRef] [PubMed]
- Zhang, F.; Li, H.; Tao, C.; Zheng, J.; Hu, X. Neutrophil and Platelet to Lymphocyte Ratios in Associating with Blood Glucose Admission Predict the Functional Outcomes of Patients with Primary Brainstem Hemorrhage. World Neurosurg. 2018, 116, e100–e107. [Google Scholar]
- Huang, K.; Ji, Z.; Sun, L.; Gao, X.; Lin, S.; Liu, T.; Xie, S.; Zhang, Q.; Xian, W.; Zhou, S. Development and Validation of a Grading Scale for Primary Pontine Hemorrhage. Stroke 2017, 48, 63–69. [Google Scholar] [CrossRef]
- Goto, N.; Kaneko, M.; Hosaka, Y.; Koga, H. Primary pontine hemorrhage: Clinicopathological correlations. Stroke 1980, 11, 84–90. [Google Scholar] [CrossRef] [PubMed]
- Jang, J.H.; Song, Y.G.; Kim, Y.Z. Predictors of 30-day mortality and 90-day functional recovery after primary pontine hemorrhage. J. Korean Med. Sci. 2011, 26, 100–107. [Google Scholar] [CrossRef] [PubMed]
- Broderick, J.P. The STICH trial: What does it tell us and where do we go from here? Stroke 2005, 36, 1619–1620. [Google Scholar] [CrossRef] [PubMed]
- Xu, B.N.; Yabuki, A.; Mishina, H.; Miyazaki, M.; Maeda, M.; Ishii, S. Pathophysiology of brain swelling after acute experimental brain compression and decompression. Neurosurgery 1993, 32, 289–296. [Google Scholar] [CrossRef]
- McNealy, D.E.; Plum, F. Brainstem Dysfunction with Supratentorial Mass Lesions. Arch. Neurol. 1962, 7, 10–32. [Google Scholar] [CrossRef]
- Wessels, T.; Mller-Hartmann, W.; Noth, J.; Kltzsch, C. CT Findings and Clinical Features as Markers for Patient Outcome in Primary Pontine Hemorrhage. Am. J. Neuroradiol. 2004, 25, 257–260. [Google Scholar]
- Dziewas, R.; Kremer, M.; Lüdemann, P.; Nabavi, D.G.; Dräger, B.; Ringelstein, E.B. The prognostic impact of clinical and CT parameters in patients with pontine hemorrhage. Cerebrovasc. Dis. 2003, 16, 224–229. [Google Scholar] [CrossRef]
- Fong, C.S. Factors affecting the outcome in pontine hemorrhage. Acta Neurol. Taiwan. 1999, 8, 6–11. [Google Scholar]
- Brian, R.; Rengachary, S.S.; Douglas, M.G. Primary pontine hematoma presenting as a cerebellopontine angle mass. Neurosurgery 1986, 19, 129–133. [Google Scholar]
- Rabinstein, A.A.; Tisch, S.H.; McClelland, R.L.; Wijdicks, E.F. Cause Is the Main Predictor of Outcome in Patients with Pontine Hemorrhage. Cerebrovasc. Dis. 2003, 17, 66–71. [Google Scholar] [CrossRef] [PubMed]
- Nishizaki, T. Factors Determining the Outcome of Pontine Hemorrhage in the Absence of Surgical Intervention. Open J. Mod. Neurosurg. 2012, 2, 17–20. [Google Scholar] [CrossRef]
- Hemphill, J.C.; Greenberg, S.M.; Anderson, C.S.; Becker, K.; Bendok, B.R.; Cushman, M.; Fung, G.L.; Goldstein, J.N.; Macdonald, R.L.; Mitchell, P.H.; et al. Guidelines for the Management of Spontaneous Intracerebral Hemorrhage. Stroke 2015, 46, 2032–2060. [Google Scholar] [CrossRef]
- Wang, S.S.; Yang, Y.; Velz, J.; Keller, E.; Luft, A.R.; Regli, L.; Neidert, M.C.; Bozinov, O. Management of brainstem haemorrhages. Swiss Med. Wkly. 2019, 149, w20062. [Google Scholar] [CrossRef]
- Cavalcanti, D.D.; Preul, M.C.; Kalani, M.Y.; Spetzler, R.F. Microsurgical anatomy of safe entry zones to the brainstem. J. Neurosurg. 2016, 124, 1359–1376. [Google Scholar] [CrossRef]
- Takahama, H.; Morii, K.; Sato, M.; Sekiguchi, K.; Sato, S. Stereotactic aspiration in hypertensive pontine hemorrhage: Comparative study with conservative therapy. No Shinkei Geka 1989, 17, 733–739. [Google Scholar]
- Hara, T.; Nagata, K.; Kawamoto, S.; Sashida, J.; Abe, T.; Wada, A.; Sakamoto, T. Functional outcome of primary pontine hemorrhage: Conservative treatment or stereotaxic surgery. No Shinkei Geka 2001, 29, 823–829. [Google Scholar]
- Lan, Z.; Richard, S.A.; Hao, L.; Chen, M.; You, C. Spontaneous hypertensive brainstem hemorrhage: Does surgery benefit the severe cases? Interdiscip. Neurosurg. 2019, 15, 66–70. [Google Scholar] [CrossRef]
- Kidwell, C.S.; Chalela, J.A.; Saver, J.L.; Starkman, S.; Hill, M.D.; Demchuk, A.M.; Butman, J.A.; Patronas, N.; Alger, J.R.; Latour, L.L.; et al. Comparison of MRI and CT for Detection of Acute Intracerebral Hemorrhage. JAMA 2004, 292, 1823–1830. [Google Scholar] [CrossRef] [PubMed]
- Chung, C.S.; Park, C.H. Primary pontine hemorrhage: A new CT classification. Neurology 1992, 42, 830–834. [Google Scholar] [CrossRef] [PubMed]
- Zhou, J.; Wang, R.; Mao, J.; Gu, Y.; Shao, A.; Liu, F.; Zhang, J. Prognostic models for survival and consciousness in patients with primary brainstem hemorrhage. Front. Neurol. 2023, 14, 1126585. [Google Scholar] [CrossRef]
- von Elm, E.; Altman, D.G.; Egger, M.; Pocock, S.J.; Gøtzsche, P.C.; Vandenbroucke, J.P. The Strengthening the Reporting of Observational Studies in Epidemiology (STROBE) statement: Guidelines for reporting observational studies. Lancet 2007, 370, 1453–1457. [Google Scholar] [CrossRef] [PubMed]
- Kothari, R.U.; Brott, T.; Broderick, J.P.; Barsan, W.G.; Sauerbeck, L.R.; Zuccarello, M.; Khoury, J. The ABCs of Measuring Intracerebral Hemorrhage Volumes. Stroke 1996, 27, 1304–1305. [Google Scholar] [CrossRef]
- Morotti, A.; Jessel, M.; Brouwers, H.B.; Falcone, G.J.; Schwab, K.; Ayres, A.M.; Vashkevich, A.; Anderson, C.D.; Viswanathan, A.; Greenberg, S.M. CT Angiography Spot Sign, Hematoma Expansion and Outcome in Primary Pontine Intracerebral Hemorrhage. Neurocritical Care 2016, 25, 79–85. [Google Scholar] [CrossRef]
- Ye, Z.; Huang, X.; Han, Z.; Shao, B.; Cheng, J. Three-year prognosis of first-ever primary pontine hemorrhage in a hospital-based registry. J. Clin. Neurosci. 2015, 22, 1133–1138. [Google Scholar] [CrossRef]
- Hao, L.I. Predictors of Surgical Results in Patients with Primary Pontine Hemorrhage. Turk. Neurosurg. 2016, 26, 77. [Google Scholar]
- Di Chiro, G.; Brooks, R. The 1979 Nobel Prize in Physiology or Medicine. Science 1979, 206, 1060–1062. [Google Scholar] [CrossRef]
- Schmidt, B.; Höllwarth, M.E. Spontane Ponsblutungen. Fortschr. Neurol. Psychiatr. 1984, 52, 259–276. [Google Scholar]
- Balci, K.; Asil, T.; Kerimoglu, M.; Celik, Y.; Utku, U. Clinical and neuroradiological predictors of mortality in patients with primary pontine hemorrhage. Clin. Neurol. Neurosurg. 2005, 108, 36–39. [Google Scholar] [CrossRef] [PubMed]
- Kim, M.; Cho, S.; You, S.H.; Park, J.; Park, W.; Park, J.C.; Ahn, J.S.; Kim, M.; Lee, S. A Prognostic Model of Pontine Hemorrhage Based on Hemorrhage Volume and Location. J. Neurointensive Care 2021, 4, 21–29. [Google Scholar] [CrossRef]
- Sciacca, S.; Lynch, J.; Davagnanam, I.; Barker, R. Midbrain, Pons, and Medulla: Anatomy and Syndromes. Radiographics 2019, 39, 1110–1125. [Google Scholar] [CrossRef] [PubMed]
- Yang, Y.; van Niftrik, B.; Ma, X.; Velz, J.; Wang, S.; Regli, L.; Bozinov, O. Analysis of safe entry zones into the brainstem. Neurosurg. Rev. 2019, 42, 721–729. [Google Scholar] [CrossRef]
- Tomasi, S.O.; Umana, G.E.; Scalia, G.; Rubio-Rodriguez, R.L.; Raudino, G.; Rechberger, J.; Geiger, P.; Chaurasia, B.; Yagmurlu, K.; Lawton, M.T.; et al. Perforating Arteries of the Lemniscal Trigone: A Microsurgical Neuroanatomic Description. Front. Neuroanat. 2021, 15, 675313. [Google Scholar] [CrossRef]
- Hanley, D.F.; Thompson, R.E.; Muschelli, J.; Rosenblum, M.; McBee, N.; Lane, K.; Bistran-Hall, A.J.; Mayo, S.W.; Keyl, P.; Gandhi, D.; et al. Safety and efficacy of minimally invasive surgery plus alteplase in intracerebral haemorrhage evacuation (MISTIE): A randomised, controlled, open-label, phase 2 trial. Lancet Neurol. 2016, 15, 1228–1237. [Google Scholar] [CrossRef]
- Wang, Q.; Guo, W.; Liu, Y.; Shao, W.; Li, M.; Li, Z.; Li, C.; Li, Z. Application of a 3D-Printed Navigation Mold in Puncture Drainage for Brainstem Hemorrhage. J. Surg. Res. 2019, 245, 99–106. [Google Scholar] [CrossRef]
- Xiao, X.; Kong, L.; Pan, C.; Zhang, P.; Chen, X.; Sun, T.; Wang, M.; Qiao, H.; Wu, Z.; Zhang, J.; et al. The role of diffusion tensor imaging and tractography in the surgical management of brainstem gliomas. Neurosurg. Focus 2021, 50, E10. [Google Scholar] [CrossRef]
- Majchrzak, K.; Bobek-Billewicz, B.; Hebda, A.; Ładziński, P. Surgical treatment of brainstem cavernomas using diffusion tensor imaging and diffusion tensor tractography. Neurol. Neurochir. Pol. 2022, 56, 349–356. [Google Scholar] [CrossRef]
- Liu, B.; Zheng, T.; Mao, Y.; Bian, K.; He, S.; Lv, W. Endoscopic Endonasal Transclival Approach to Spontaneous Hypertensive Brainstem Hemorrhage. J. Craniofacial Surg. 2020, 31, e503–e506. [Google Scholar] [CrossRef]
- Panigrahi, M.; Gupta, B.; Reddy, R. Neuroendoscopy—Is it safe? Asian J. Neurosurg. 2017, 12, 17–21. [Google Scholar] [CrossRef] [PubMed]
- Nieuwkamp, D.J.; de Gans, K.; Rinkel, G.J.; Algra, A. Treatment and outcome of severe intraventricular extension in patients with subarachnoid or intracerebral hemorrhage: A systematic review of the literature. J. Neurol. 2000, 247, 117–121. [Google Scholar] [CrossRef] [PubMed]
- Dey, M.; Jaffe, J.; Stadnik, A.; Awad, I.A. External ventricular drainage for intraventricular hemorrhage. Curr. Neurol. Neurosci. Rep. 2012, 12, 24–33. [Google Scholar] [CrossRef] [PubMed]
- Murata, Y.; Yamaguchi, S.; Kajikawa, H.; Yamamura, K.; Sumioka, S.; Nakamura, S. Relationship between the clinical manifestations, computed tomographic findings and the outcome in 80 patients with primary pontine hemorrhage. J. Neurol. Sci. 1999, 167, 107–111. [Google Scholar] [CrossRef]
- Luney, M.S.; English, S.W.; Longworth, A.; Simpson, J.; Gudibande, S.; Matta, B.; Burnstein, R.M.; Veenith, T. Acute Posterior Cranial Fossa Hemorrhage-Is Surgical Decompression Better than Expectant Medical Management? Neurocritical Care 2016, 25, 365–370. [Google Scholar] [CrossRef] [PubMed]






| ZJUSAH Classification | Patients in Total | Survivors (at Day 30) | 30-Day Survival Rate (%) | p-Value |
|---|---|---|---|---|
| Type 0 | 1 | 0 | 0.0 | 0.004787 |
| Type 1 | 20 | 19 | 95.0 | |
| Type 2 | 54 | 42 | 77.8 | |
| Type 2A | 3 | 2 | 66.7 | |
| Type 2B | 19 | 12 | 63.2 | |
| Type 2C | 32 | 28 | 87.5 | |
| Type 3 | 136 | 86 | 63.2 | |
| Type 3A | 7 | 4 | 57.1 | |
| Type 3B | 68 | 38 | 55.9 | |
| Type 3C | 61 | 44 | 72.1 | |
| All patients | 211 | 147 | 69.7 |
| ZJUSAH Classification | Patients in Total | Conscious Patients (NIHSS Score < 3) | 90-Day Consciousness Recovery Rate (%) | p-Value |
|---|---|---|---|---|
| Type 0 | 1 | 0 | 0.0 | <0.001 |
| Type 1 | 19 | 12 | 63.2 | |
| Type 2 | 42 | 26 | 61.9 | |
| Type 2A | 2 | 2 | 100 | |
| Type 2B | 12 | 5 | 41.7 | |
| Type 2C | 28 | 19 | 67.9 | |
| Type 3 | 86 | 26 | 30.2 | |
| Type 3A | 4 | 2 | 50 | |
| Type 3B | 38 | 7 | 18.4 | |
| Type 3C | 44 | 17 | 38.6 | |
| All patients | 148 | 40 | 27.0 |
| 30-Day Survival Rate | |||
|---|---|---|---|
| ≥7.5 mL | <7.5 mL | p | |
| Type 2 | 73.9% (17/23) | 80.6% (25/31) | 0.742 |
| Type 2A | NA | 66.7% (2/3) | NA |
| Type 2B | 60.0% (6/10) | 66.7% (6/9) | 1 |
| Type 2C | 84.6% (11/13) | 89.5% (17/19) | 1 |
| 90-Day Consciousness Recovery Rate | |||
| ≥7.5 mL | <7.5 mL | p | |
| Type 2 | 30.4% (7/17) | 61.3% (19/25) | 1 |
| Type 2A | NA | 100% (2/2) | NA |
| Type 2B | 16.7% (1/6) | 66.7% (4/6) | 0.588 |
| Type 2C | 54.5% (6/11) | 76.5% (13/17) | 0.409 |
| 30-Day Survival Rate | |||
|---|---|---|---|
| ≥12.4 mL | <12.4 mL | p | |
| Type 3 | 61.9% (39/68) | 65.4% (47/68) | 0.213 |
| Type 3A | 40.0% (2/5) | 100% (2/2) | 0.429 |
| Type 3B | 50.0% (20/40) | 64.3% (18/28) | 0.322 |
| Type 3C | 73.9% (17/23) | 71.1% (27/38) | 1 |
| 90-Day Consciousness Recovery Rate | |||
| ≥12.4 mL | <12.4 mL | p | |
| Type 3 | 15.4% (6/39) | 42.6% (20/47) | 0.009 |
| Type 3A | 50.0% (1/2) | 50.0% (1/2) | 1 |
| Type 3B | 15.0% (3/20) | 22.2% (4/18) | 0.687 |
| Type 3C | 11.8% (2/17) | 55.6% (15/27) | 0.005 |
Disclaimer/Publisher’s Note: The statements, opinions and data contained in all publications are solely those of the individual author(s) and contributor(s) and not of MDPI and/or the editor(s). MDPI and/or the editor(s) disclaim responsibility for any injury to people or property resulting from any ideas, methods, instructions or products referred to in the content. |
© 2023 by the authors. Licensee MDPI, Basel, Switzerland. This article is an open access article distributed under the terms and conditions of the Creative Commons Attribution (CC BY) license (https://creativecommons.org/licenses/by/4.0/).
Share and Cite
Zhou, J.; Ping, A.; Mao, J.; Gu, Y.; Liu, F.; Shao, A. ZJUSAH Classification: A New Classification for Primary Brainstem Hemorrhage. Life 2023, 13, 846. https://doi.org/10.3390/life13030846
Zhou J, Ping A, Mao J, Gu Y, Liu F, Shao A. ZJUSAH Classification: A New Classification for Primary Brainstem Hemorrhage. Life. 2023; 13(3):846. https://doi.org/10.3390/life13030846
Chicago/Turabian StyleZhou, Jingyi, An Ping, Jizhong Mao, Yichen Gu, Fengqiang Liu, and Anwen Shao. 2023. "ZJUSAH Classification: A New Classification for Primary Brainstem Hemorrhage" Life 13, no. 3: 846. https://doi.org/10.3390/life13030846
APA StyleZhou, J., Ping, A., Mao, J., Gu, Y., Liu, F., & Shao, A. (2023). ZJUSAH Classification: A New Classification for Primary Brainstem Hemorrhage. Life, 13(3), 846. https://doi.org/10.3390/life13030846

