Study of Lithium Biodistribution and Nephrotoxicity in Skin Melanoma Mice Model: The First Step towards Implementing Lithium Neutron Capture Therapy
Abstract
1. Introduction
2. Materials and Methods
2.1. Reagents
2.2. Cell Lines
2.3. MTT-Test
2.4. In Vivo Studies
2.5. Lithium Biodistribution Study
2.6. PAS-Staining
2.7. Transmission Electron Microscopy
2.8. Statistical Analyses
3. Results
3.1. Influence of Lithium Salts on the Melanoma Cells Viability
3.2. Study of Lithium Accumulation in Tumor, Skin, Brain, Kidney and Blood
3.3. Animal Weight Assessment
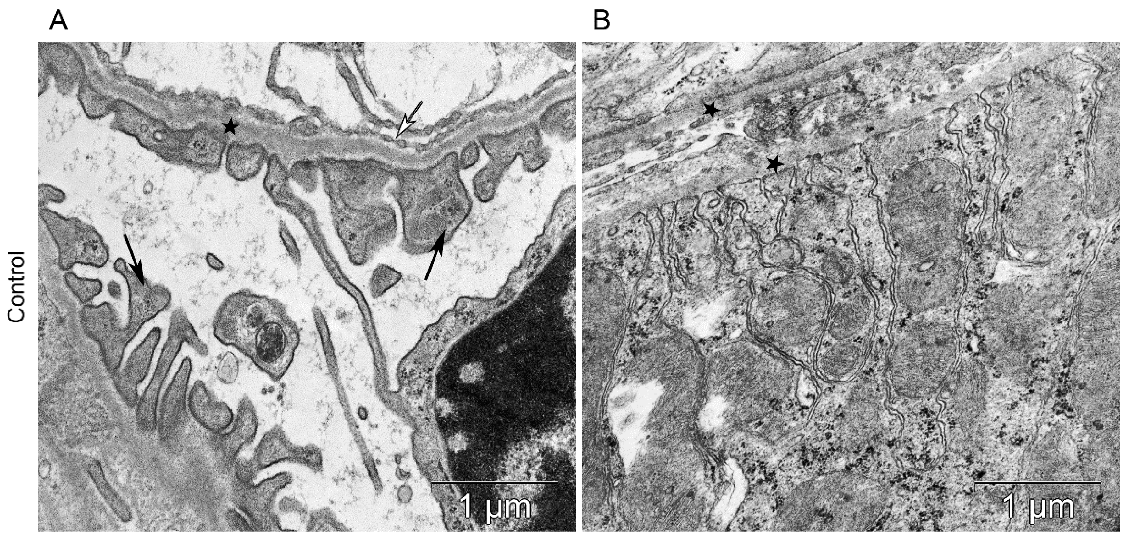
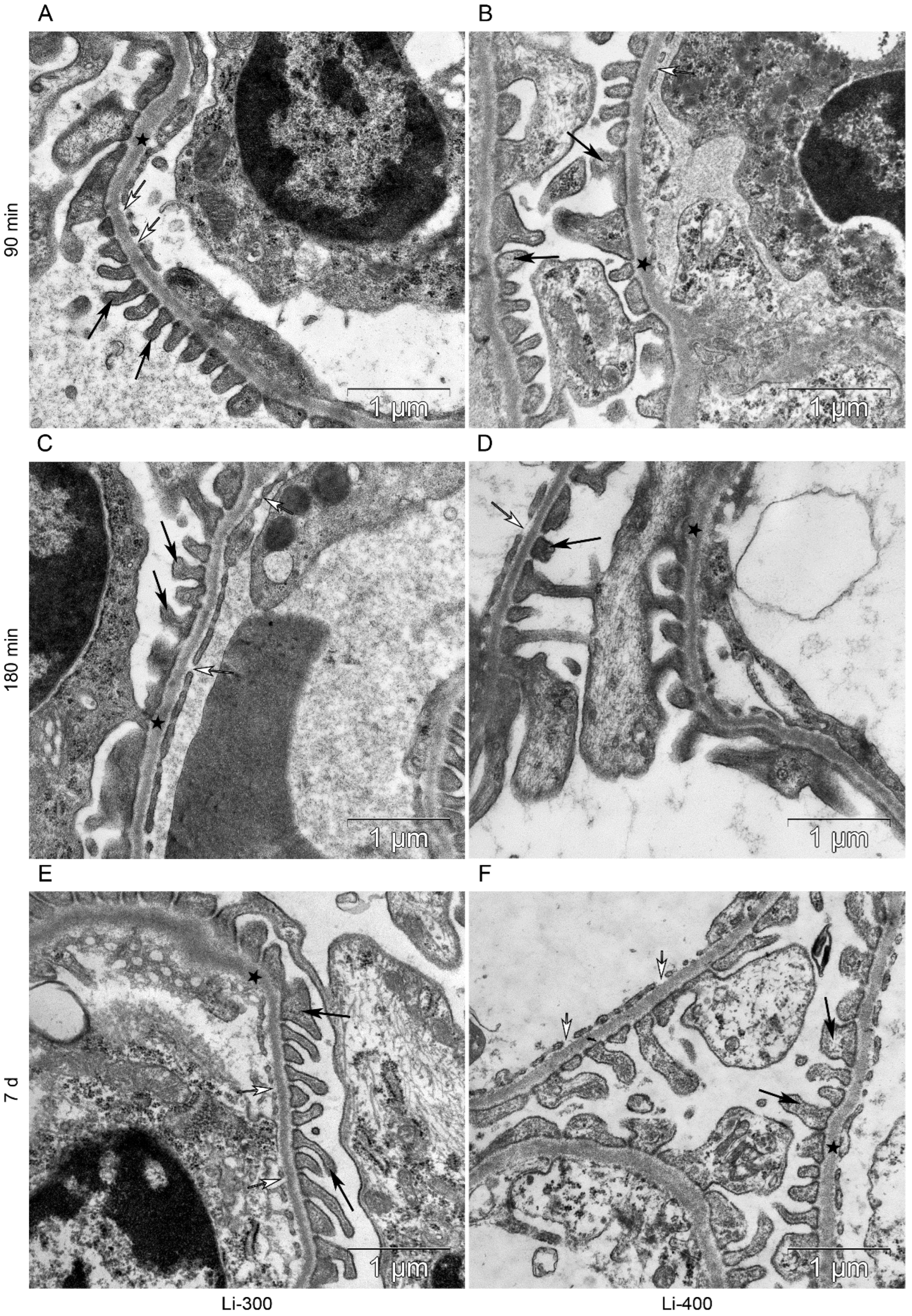
3.4. Ultrastructural Organization of the Kidney Filtration Barrier and Proximal Tubules
4. Discussion
4.1. Lithium Biodistribution: Results and Perspectives
4.2. Lithium Toxicity
Author Contributions
Funding
Institutional Review Board Statement
Informed Consent Statement
Data Availability Statement
Acknowledgments
Conflicts of Interest
References
- Baskar, R.; Lee, K.A.; Yeo, R.; Yeoh, K.W. Cancer and radiation therapy: Current advances and future directions. Int. J. Med. Sci. 2012, 9, 193–199. [Google Scholar] [CrossRef]
- Barth, R.F.; Vicente, M.G.; Harling, O.K.; Kiger, W.S., 3rd; Riley, K.J.; Binns, P.J.; Wagner, F.M.; Suzuki, M.; Aihara, T.; Kato, I.; et al. Current status of boron neutron capture therapy of high grade gliomas and recurrent head and neck cancer. Radiat. Oncol. 2012, 7, 146. [Google Scholar] [CrossRef]
- Sauerwein, W.A.G.; Wittig, A.; Moss, R.; Nakagawa, Y. Neutron Capture Therapy: Principles and Applications; Springer: Berlin/Heidelberg, Germany, 2012; p. 553. [Google Scholar] [CrossRef]
- Barth, R.F.; Zhang, Z.; Liu, T. A realistic appraisal of boron neutron capture therapy as a cancer treatment modality. Cancer Commun. 2018, 38, 36. [Google Scholar] [CrossRef]
- Kikoin, I.K. Tables of Physical Values; Atomizdat: Moscow, Russia, 1976. (In Russian) [Google Scholar]
- Taskaev, S.Y. Accelerator based epithermal neutron source. Phys. Part Nuclei 2015, 46, 956–990. [Google Scholar] [CrossRef]
- El-Mallakh, R.S. Ion homeostasis and the mechanism of action of lithium. Clin. Neurosci. Res. 2004, 4, 227–231. [Google Scholar] [CrossRef]
- Vosahlikova, M.; Svoboda, P. Lithium-therapeutic tool endowed with multiple beneficiary effects caused by multiple mechanisms. Acta Neurobiol. Exp. (Wars) 2016, 76, 1–19. [Google Scholar] [CrossRef]
- Zaidi, L.; Belgaid, M.; Taskaev, S.; Khelifi, R. Beam shaping assembly design of 7Li(p,n)7Be neutron source for boron neutron capture therapy of deep-seated tumor. Appl. Radiat. Isot. 2018, 139, 316–324. [Google Scholar] [CrossRef]
- Taskaev, S.; Bikchurina, M.; Bykov, T.; Kasatov, D.; Kolesnikov, I.; Makarov, A.; Ostreinov, G.; Savinov, S.; Sokolova, E. Cross-section measurement for the 7Li(p,α)4He reaction at proton energies 0.6–2 MeV. Nucl. Inst. Methods Phys. Res. B 2022, 525, 55–61. [Google Scholar] [CrossRef]
- Cade, J.F. Lithium salts in the treatment of psychotic excitement. Aust. N. Z. J. Psychiatry 1982, 16, 129–133. [Google Scholar] [CrossRef]
- Findling, R.L.; Landersdorfer, C.B.; Kafantaris, V.; Pavuluri, M.; McNamara, N.K.; McClellan, J.; Frazier, J.A.; Sikich, L.; Kowatch, R.; Lingler, J.; et al. First-dose pharmacokinetics of lithium carbonate in children and adolescents. J. Clin. Psychopharmacol. 2010, 30, 404–410. [Google Scholar] [CrossRef]
- Oruch, R.; Elderbi, M.A.; Khattab, H.A.; Pryme, I.F.; Lund, A. Lithium: A review of pharmacology, clinical uses, and toxicity. Eur. J. Pharmacol. 2014, 740, 464–473. [Google Scholar] [CrossRef]
- Wangqiang, L.; Hejian, T.; Fengli, S.; Weidong, J. Preventive effects of lithium carbonate on antidepressant-induced switch during depressive episodes: Chinese Data Analysis. Altern. Ther. Health Med. 2022, 28, 58–64. [Google Scholar]
- Zhang, Y.; Huo, M.; Zhou, J.; Xie, S. PKSolver: An add-in program for pharmacokinetic and pharmacodynamic data analysis in Microsoft Excel. Comput. Methods Programs Biomed. 2010, 99, 306–314. [Google Scholar] [CrossRef]
- Carpano, M.; Perona, M.; Rodriguez, C.; Nievas, S.; Olivera, M.; Santa Cruz, G.A.; Brandizzi, D.; Cabrini, R.; Pisarev, M.; Juvenal, G.J.; et al. Experimental Studies of Boronophenylalanine ((10)BPA) biodistribution for the individual application of boron neutron capture therapy (BNCT) for malignant melanoma treatment. Int. J. Radiat. Oncol. Biol. Phys. 2015, 93, 344–352. [Google Scholar] [CrossRef]
- Sumitani, S.; Oishi, M.; Yaguchi, T.; Murotani, H.; Horiguchi, Y.; Suzuki, M.; Ono, K.; Yanagie, H.; Nagasaki, Y. Pharmacokinetics of core-polymerized, boron-conjugated micelles designed for boron neutron capture therapy for cancer. Biomaterials 2012, 33, 3568–3577. [Google Scholar] [CrossRef]
- Zhang, Z.; Yong, Z.; Jin, C.; Song, Z.; Zhu, S.; Liu, T.; Chen, Y.; Chong, Y.; Chen, X.; Zhou, Y. Biodistribution studies of boronophenylalanine in different types of skin melanoma. Appl. Radiat. Isot. 2020, 163, 109215. [Google Scholar] [CrossRef]
- Garabalino, M.A.; Heber, E.M.; Monti Hughes, A.; González, S.J.; Molinari, A.J.; Pozzi, E.C.; Nievas, S.; Itoiz, M.E.; Aromando, R.F.; Nigg, D.W.; et al. Biodistribution of sodium borocaptate (BSH) for boron neutron capture therapy (BNCT) in an oral cancer model. Radiat. Environ. Biophys. 2013, 52, 351–361. [Google Scholar] [CrossRef]
- Goodman, J.H.; Yang, W.; Barth, R.F.; Gao, Z.; Boesel, C.P.; Staubus, A.E.; Gupta, N.; Gahbauer, R.A.; Adams, D.M.; Gibson, C.R.; et al. Boron neutron capture therapy of brain tumors: Biodistribution, pharmacokinetics, and radiation dosimetry sodium borocaptate in patients with gliomas. Neurosurgery 2000, 47, 608–621. [Google Scholar] [CrossRef]
- Koivunoro, H.; Hippelainen, E.; Auterinen, I.; Kankaanranta, L.; Kulvik, M.; Laakso, J.; Seppälä, T.; Savolainen, S.; Joensuu, H. Biokinetic analysis of tissue boron (10B) concentrations of glioma patients treated with BNCT in Finland. Appl. Radiat. Isot. 2015, 106, 189–194. [Google Scholar] [CrossRef]
- Takeuchi, I.; Kanno, Y.; Uchiro, H.; Makino, K. Polyborane-encapsulated PEGylated liposomes prepared using post-insertion technique for boron neutron capture therapy. J. Oleo Sci. 2019, 68, 1261–1270. [Google Scholar] [CrossRef]
- Kanygin, V.; Zaboronok, A.; Taskaeva, I.; Zavjalov, E.; Mukhamadiyarov, R.; Kichigin, A.; Kasatova, A.; Razumov, I.; Sibirtsev, R.; Mathis, B.J. In vitro and in vivo evaluation of fluorescently labeled borocaptate-containing liposomes. J. Fluoresc. 2021, 31, 73–83. [Google Scholar] [CrossRef] [PubMed]
- Shi, Y.; Fu, Q.; Li, J.; Liu, H.; Zhang, Z.; Liu, T.; Liu, Z. Covalent organic polymer as a carborane carrier for imaging-facilitated boron neutron capture therapy. ACS Appl. Mater. Interfaces 2020, 12, 55564–55573. [Google Scholar] [CrossRef] [PubMed]
- Chen, J.; Yang, Q.; Liu, M.; Lin, M.; Wang, T.; Zhang, Z.; Zhong, X.; Guo, N.; Lu, Y.; Xu, J.; et al. Remarkable boron delivery of iRGD-modified polymeric nanoparticles for boron neutron capture therapy. Int. J. Nanomed. 2019, 14, 8161–8177. [Google Scholar] [CrossRef] [PubMed]
- Li, L.; Li, J.; Shi, Y.; Du, P.; Zhang, Z.; Liu, T.; Zhang, R.; Liu, Z. On-demand biodegradable boron nitride nanoparticles for treating triple negative breast cancer with boron neutron capture therapy. ACS Nano 2019, 13, 13843–13852. [Google Scholar] [CrossRef] [PubMed]
- Zaboronok, A.; Khaptakhanova, P.; Uspenskii, S.; Bekarevich, R.; Mechetina, L.; Volkova, O.; Mathis, B.J.; Kanygin, V.; Ishikawa, E.; Kasatova, A.; et al. Polymer-stabilized elemental boron nanoparticles for boron neutron capture therapy: Initial irradiation experiments. Pharmaceutics 2022, 14, 761. [Google Scholar] [CrossRef] [PubMed]
- Tsurubuchi, T.; Shirakawa, M.; Kurosawa, W.; Matsumoto, K.; Ubagai, R.; Umishio, H.; Suga, Y.; Yamazaki, J.; Arakawa, A.; Maruyama, Y.; et al. Evaluation of a novel boron-containing α-D-Mannopyranoside for BNCT. Cells 2020, 9, 1277. [Google Scholar] [CrossRef]
- Garabalino, M.A.; Olaiz, N.; Portu, A.; Saint, G.; Thorp, S.I.; Pozzi, E.C.C.; Curotto, P.; Itoiz, M.E.; Monti Hughes, A.; Colombo, L.L.; et al. Electroporation optimizes the uptake of boron-10 by tumor for boron neutron capture therapy (BNCT) mediated by GB-10: A boron biodistribution study in the hamster cheek pouch oral cancer model. Radiat. Environ. Biophys. 2019, 58, 455–467. [Google Scholar] [CrossRef]
- Watanabe, T.; Hattori, Y.; Ohta, Y.; Ishimura, M.; Nakagawa, Y.; Sanada, Y.; Tanaka, H.; Fukutani, S.; Masunaga, S.I.; Hiraoka, M.; et al. Comparison of the pharmacokinetics between L-BPA and L-FBPA using the same administration dose and protocol: A validation study for the theranostic approach using [18F]-L-FBPA positron emission tomography in boron neutron capture therapy. BMC Cancer 2016, 16, 859. [Google Scholar] [CrossRef]
- Timmer, R.T.; Sands, J.M. Lithium intoxication. J. Am. Soc. Nephrol. 1999, 10, 666–674. [Google Scholar] [CrossRef]
- Haussmann, R.; Bauer, M.; von Bonin, S.; Grof, P.; Lewitzka, U. Treatment of lithium intoxication: Facing the need for evidence. Int. J. Bipolar. Disord. 2015, 3, 23. [Google Scholar] [CrossRef]
- Couffignal, C.; Chevillard, L.; El Balkhi, S.; Cisternino, S.; Declèves, X. The Pharmacokinetics of lithium. In The Science and Practice of Lithium Therapy; Malhi, G.S., Masson, M., Bellivier, F., Eds.; Springer: Cham, Switzerland, 2017; pp. 25–53. [Google Scholar] [CrossRef]
- Sproule, B.A.; Hardy, B.G.; Shulman, K.I. Differential pharmacokinetics of lithium in elderly patients. Drugs Aging 2000, 16, 165–177. [Google Scholar] [CrossRef] [PubMed]
- Gitlin, M. Lithium side effects and toxicity: Prevalence and management strategies. Int. J. Bipolar. Disord. 2016, 4, 27. [Google Scholar] [CrossRef] [PubMed]
- Ichinose, K.; Kitamura, M.; Sato, S.; Fujikawa, K.; Horai, Y.; Matsuoka, N.; Tsuboi, M.; Nonaka, F.; Shimizu, T.; Fukui, S.; et al. Podocyte foot process width is a prediction marker for complete renal response at 6 and 12 months after induction therapy in lupus nephritis. Clin. Immunol. 2018, 197, 161–168. [Google Scholar] [CrossRef] [PubMed]
- Aiff, H.; Attman, P.O.; Aurell, M.; Bendz, H.; Ramsauer, B.; Schön, S.; Svedlund, J. Effects of 10 to 30 years of lithium treatment on kidney function. J. Psychopharmacol. 2015, 29, 608–614. [Google Scholar] [CrossRef]
- Bocchetta, A.; Ardau, R.; Fanni, T.; Sardu, C.; Piras, D.; Pani, A.; Del Zompo, M. Renal function during long-term lithium treatment: A cross-sectional and longitudinal study. BMC Med. 2015, 13, 12. [Google Scholar] [CrossRef]
- Clos, S.; Rauchhaus, P.; Severn, A.; Cochrane, L.; Donnan, P.T. Long-term effect of lithium maintenance therapy on estimated glomerular filtration rate in patients with affective disorders: A population-based cohort study. Lancet Psychiatry 2015, 2, 1075–1083. [Google Scholar] [CrossRef] [PubMed]
- Sheikh, M.; Qassem, M.; Triantis, I.F.; Kyriacou, P.A. Advances in therapeutic monitoring of lithium in the management of bipolar disorder. Sensors 2022, 22, 736. [Google Scholar] [CrossRef]
- O’Donnell, K.C.; Gould, T.D. The behavioral actions of lithium in rodent models: Leads to develop novel therapeutics. Neurosci. Biobehav. Rev. 2007, 31, 932–962. [Google Scholar] [CrossRef]
- Malhi, G.S.; Tanious, M.; Das, P.; Berk, M. The science and practice of lithium therapy. Aust. N. Z. J. Psychiatry 2012, 46, 192–211. [Google Scholar] [CrossRef]
- Dodds, G. Lithium therapy. Scott. Med. J. 2000, 45, 171–173. [Google Scholar] [CrossRef]
- Persson, G. Comparison of plasma lithium levels and their interindividual variations with coated lithium carbonate tablets and a medium-slow-release lithium sulphate preparation (Lithionit Duretter). Acta Psychiatr. Scand. 1977, 55, 147–152. [Google Scholar] [CrossRef] [PubMed]
- Sun, L.; Yagoda, S.; Yao, B.; Graham, C.; von Moltke, L. Combination of Olanzapine and Samidorphan has no clinically significant effect on the pharmacokinetics of Lithium or Valproate. Clin. Drug. Investig. 2020, 40, 55–64. [Google Scholar] [CrossRef] [PubMed]
- Gochfeld, M. Sex differences in human and animal toxicology. Toxicol. Pathol. 2017, 45, 172–189. [Google Scholar] [CrossRef] [PubMed]









| Nuclide | Prevalence, % | Half Life | Interaction | Cross-Section, b |
|---|---|---|---|---|
| 3He | 0.000013 | (n, p) | 5333 | |
| 6Li | 7.4 | (n, α) | 940 | |
| 10B | 20 | (n, α) | 3835 | |
| 113Cd | 12 | (n, γ) | 20,600 | |
| 135Xe | 9.14 h | (n, γ) | 2,720,000 | |
| 149Sm | 14 | (n, γ) | 42,080 | |
| 151Eu | 48 | (n, γ) | 9200 | |
| 155Gd | 15 | (n, γ) | 61,100 | |
| 157Gd | 15 | (n, γ) | 259,000 | |
| 174Hf | 0.16 | 2 × 1015 years | (n, γ) | 561 |
| 199Hg | 17 | (n, γ) | 2150 | |
| 235U | 7 × 108 years | (n, f) | 681 | |
| 241Pu | 13.2 years | (n, f) | 1380 | |
| 242Am | 16 h | (n, f) | 8000 |
| Group/Parameters | Tmax (min) | Cmax (µg/mL or /g) | AUC0–180 (min * μg/mL or /g) | AUMC0–180 (min * μg/mL or /g2) |
|---|---|---|---|---|
| Lithium carbonate 300 mg/kg | ||||
| Tumor | 90 | 20.0 ± 7.2 | 3033.4 ± 946.5 | 300,882.1 ± 84,457.8 |
| Skin | 90 | 17.5 ± 6.8 | 2326.0 ± 675.5 | 199,903.5 ± 64,963.1 |
| Kidney | 90 | 32.0 ± 6.9 | 5029.7 ± 1098.0 | 481,887.0 ± 113,178.5 |
| Brain | 180 | 4.1 ± 1.0 | 458.1 ± 120.9 | 56,393.0 ± 13,198.9 |
| Blood | 90 | 14.1 ± 3.1 | 2067.3 ± 504.2 | 212,511.1 ± 52,241.0 |
| Lithium carbonate 400 mg/kg | ||||
| Tumor | 30 | 22.4 ± 4.9 | 2964.3 ± 961.4 | 256,485.7 ± 81,014.9 |
| Skin | 90 | 20.3 ± 5.1 | 3063.2 ± 1096.2 | 283,785.6 ± 115,900.1 |
| Kidney | 30 | 43.0 ± 18.7 | 5611.0 ± 1742.0 | 470,407.7 ± 134,435.7 |
| Brain | 90 | 3.1 ± 1.3 | 406.7 ± 190.2 | 46,096.8 ± 19,559.7 |
| Blood | 90 | 15.1 ± 4.6 | 2158.0 ± 593.1 | 197,089.6 ± 44,734.1 |
| Group/Parameters | Body Weight, g |
|---|---|
| Control | 25.8 ± 1.1 |
| Li-300, 15 min | 22.1 ± 1.9 |
| Li-300, 30 min | 22.6 ± 2.4 |
| Li-300, 90 min | 22.1 ± 2.0 |
| Li-300, 180 min | 22.7 ± 1.7 |
| Li-300, 7 d | 23.5 ± 1.5 |
| Li-400, 15 min | 22.9 ± 1.8 |
| Li-400, 30 min | 23.1 ± 1.7 |
| Li-400, 90 min | 23.2 ± 2.7 |
| Li-400, 180 min | 22.3 ± 1.0 |
| Li-400, 7 d | 23.8 ± 1.1 |
| Group/ Parameters | GBM, Thickness, μm | PFP, Width μm | PFP/ 2 µm GBM | BMPT, Thickness, μm | Fenestrae/ 2 µm GBM | Slit Diaphragm, Width, nm |
|---|---|---|---|---|---|---|
| Control | 0.11 ± 0.01 | 0.3 ± 0.2 | 6 ± 2 | 0.14 ± 0.03 | 3.6 ± 1.7 | 34.6 ± 9.8 |
| Li-300, 15 min | 0.11 ± 0.01 | 0.3 ± 0.1 | 5.0 ± 1.6 | 0.13 ± 0.02 | 3.8 ± 0.8 | 34.8 ± 6.9 |
| Li-300, 30 min | 0.12 ± 0.01 | 0.3 ± 0.1 | 5.8 ± 1.1 | 0.12 ± 0.01 | 4.4 ± 1.5 | 31.1 ± 7.5 |
| Li-300, 90 min | 0.14 ± 0.02 | 0.3 ± 0.2 | 5.6 ± 2.7 | 0.13 ± 0.03 | 4.2 ± 1.7 | 34.4 ± 11.5 |
| Li-300, 180 min | 0.12 ± 0.02 | 0.3 ± 0.2 | 5.4 ± 0.8 | 0.13 ± 0.02 | 3.2 ± 1.3 | 32.4 ± 8.7 |
| Li-300, 7 d | 0.11 ± 0.01 | 0.2 ± 0.1 | 6.6 ± 2.0 | 0.12 ± 0.02 | 4.8 ± 1.3 | 35.5 ± 7.1 |
| Li-400, 15 min | 0.12 ± 0.01 | 0.2 ± 0.1 | 7.0 ± 0.8 | 0.12 ± 0.01 | 3.8 ± 1.1 | 27.1 ± 5.8 |
| Li-400, 30 min | 0.11 ± 0.02 | 0.2 ± 0.1 | 6.5 ± 1.3 | 0.12 ± 0.01 | 4.3 ± 0.5 | 31.1 ± 11.3 |
| Li-400, 90 min | 0.12 ± 0.02 | 0.3 ± 0.2 | 6.4 ± 1.9 | 0.13 ± 0.02 | 3.4 ± 1.6 | 31.1 ± 7.5 |
| Li-400, 180 min | 0.13 ± 0.02 | 0.3 ± 0.2 | 5.4 ± 2.1 | 0.12 ± 0.02 | 3.4 ± 1.5 | 29.1 ± 6.9 |
| Li-400, 7 d | 0.13 ± 0.02 | 0.2 ± 0.1 | 7 ± 1.5 | 0.13 ± 0.01 | 5 ± 1 | 35.7 ± 9.8 |
Disclaimer/Publisher’s Note: The statements, opinions and data contained in all publications are solely those of the individual author(s) and contributor(s) and not of MDPI and/or the editor(s). MDPI and/or the editor(s) disclaim responsibility for any injury to people or property resulting from any ideas, methods, instructions or products referred to in the content. |
© 2023 by the authors. Licensee MDPI, Basel, Switzerland. This article is an open access article distributed under the terms and conditions of the Creative Commons Attribution (CC BY) license (https://creativecommons.org/licenses/by/4.0/).
Share and Cite
Taskaeva, I.; Kasatova, A.; Surodin, D.; Bgatova, N.; Taskaev, S. Study of Lithium Biodistribution and Nephrotoxicity in Skin Melanoma Mice Model: The First Step towards Implementing Lithium Neutron Capture Therapy. Life 2023, 13, 518. https://doi.org/10.3390/life13020518
Taskaeva I, Kasatova A, Surodin D, Bgatova N, Taskaev S. Study of Lithium Biodistribution and Nephrotoxicity in Skin Melanoma Mice Model: The First Step towards Implementing Lithium Neutron Capture Therapy. Life. 2023; 13(2):518. https://doi.org/10.3390/life13020518
Chicago/Turabian StyleTaskaeva, Iuliia, Anna Kasatova, Dmitry Surodin, Nataliya Bgatova, and Sergey Taskaev. 2023. "Study of Lithium Biodistribution and Nephrotoxicity in Skin Melanoma Mice Model: The First Step towards Implementing Lithium Neutron Capture Therapy" Life 13, no. 2: 518. https://doi.org/10.3390/life13020518
APA StyleTaskaeva, I., Kasatova, A., Surodin, D., Bgatova, N., & Taskaev, S. (2023). Study of Lithium Biodistribution and Nephrotoxicity in Skin Melanoma Mice Model: The First Step towards Implementing Lithium Neutron Capture Therapy. Life, 13(2), 518. https://doi.org/10.3390/life13020518

