A Rare Case of Pulmonary Embolism, Deep Vein Thrombosis, Bilateral Avascular Necrosis of the Femoral Head, and Miscarriage following COVID-19 in a Patient with Multiple Genetic Coagulation Factor Deficiency—A Case Report
Abstract
:1. Introduction
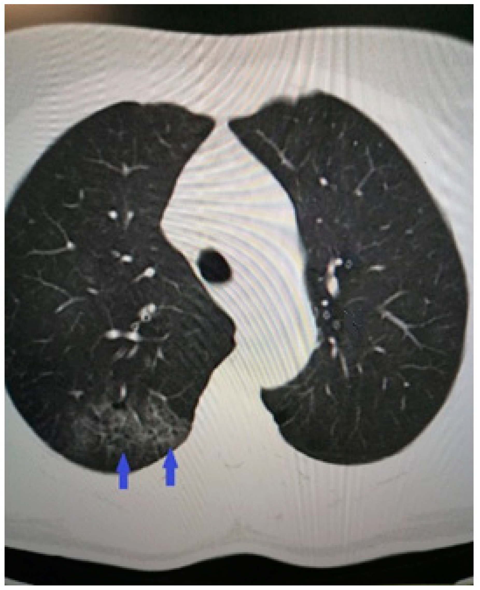
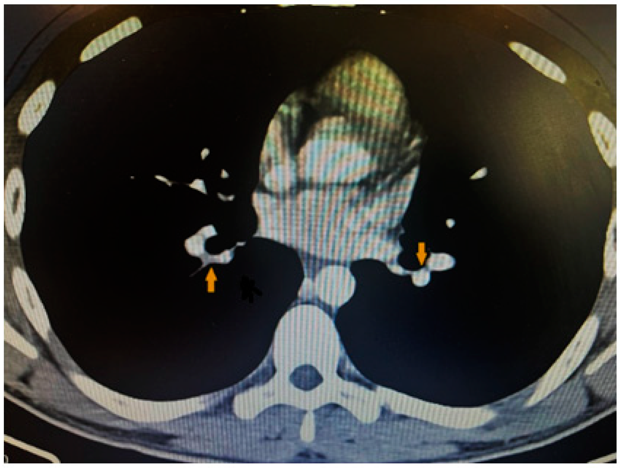
2. Case Presentation
3. Discussion
4. Conclusions
Funding
Institutional Review Board Statement
Informed Consent Statement
Data Availability Statement
Conflicts of Interest
References
- Andre, M.; Lau, L.-S.; Pokharel, M.D.; Ramelow, J.; Owens, F.; Souchak, J.; Akkaoui, J.; Ales, E.; Brown, H.; Shil, R.; et al. From Alpha to Omicron: How Different Variants of Concern of the SARS-Coronavirus-2 Impacted the World. Biology 2023, 12, 1267. [Google Scholar] [CrossRef] [PubMed]
- Huang, C.; Wang, Y.; Li, X.; Ren, L.; Zhao, J.; Hu, Y.; Zhang, L.; Fan, G.; Xu, J.; Gu, X.; et al. Clinical features of patients infected with 2019 novel coronavirus in Wuhan, China. Lancet 2020, 395, 497–506. [Google Scholar] [CrossRef] [PubMed]
- Klok, F.A.; Kruip, M.J.H.A.; van der Meer, N.J.M.; Arbous, M.S.; Gommers, D.A.M.P.J.; Kant, K.M.; Kaptein, F.H.J.; van Paassen, J.; Stals, M.A.M.; Huisman, M.V.; et al. Incidence of thrombotic complications in critically ill ICU patients with COVID-19. Thromb. Res. 2020, 191, 145–147. [Google Scholar] [CrossRef] [PubMed]
- Lapić, I.; Antolic, M.R.; Horvat, I.; Premužić, V.; Palić, J.; Rogić, D.; Zadro, R. Association of polymorphisms in genes encoding prothrombotic and cardiovascular risk factors with disease severity in COVID-19 patients: A pilot study. J. Med. Virol. 2022, 94, 3669–3675. [Google Scholar] [CrossRef] [PubMed]
- Jyothiprasanth, M.; Jithin, C.; Vincent, A.; Thomas, A.K.; Pratheesh, C.; Sarang, P. A case series on Covid-19 infection and avascular necrosis of hip. J. Orthop. Rep. 2023, 2, 100104. [Google Scholar] [CrossRef]
- Varga, Z.; Flammer, A.J.; Steiger, P.; Haberecker, M.; Andermatt, R.; Zinkernagel, A.S.; Mehra, M.R.; Schuepbach, R.A.; Ru-schitzka, F.; Moch, H. Endothelial cell infection and endotheliitis in COVID-19. Lancet 2020, 395, 1417–1418. [Google Scholar] [CrossRef]
- Iba, T.; Levy, J.H.; Connors, J.M.; Warkentin, T.E.; Thachil, J.; Levi, M. The unique characteristics of COVID-19 coagulopathy. Crit. Care 2020, 24, 360. [Google Scholar] [CrossRef]
- Annam, P.; Manda, A.; Myneni, U.K.; Sahar, A.N.; Prasad, N.; Sam, K.K.; Sahu, S.; Reddy, K.K. Corticosteroids induced avascular necrosis of hip, a “long COVID-19” complication: Case report. Ann. Med. Surg. 2022, 82, 104753. [Google Scholar] [CrossRef]
- Danzi, B.; Loffi, M.; Galeazzi, G.; Gherbesi, E. Acute pulmonary embolism and COVID-19 pneumonia: A random association? Eur. Heart J. 2020, 41, 1858. [Google Scholar] [CrossRef]
- Rotzingera, D.C.; Beigelman-Aubrya, C.; Von Garnierb, C.; Qanadli, S.D. Letter to the Editors in Chief: Pulmonary embolism in patients with COVID-19: Time to change the paradigm of computed tomography. Thromb. Res. 2020, 190, 58–59. [Google Scholar] [CrossRef]
- Martin, A.I.; Rao, G. COVID-19: A potential risk factor for acute pulmonary embolism. Methodist Debakey Cardiovasc. J. 2020, 16, 155–157. [Google Scholar] [CrossRef] [PubMed]
- Diaconu, C.C. Thromboembolism in patients with COVID-19. Arch. Balk. Med. Union 2021, 56, 281–283. [Google Scholar] [CrossRef]
- Wójcik, K.; Bazan-Socha, S.; Celejewska-Wójcik, N.; Górka, K.; Lichołai, S.; Polok, K.; Stachura, T.; Zaręba, L.; Dziedzic, R.; Gradzikiewicz, A.; et al. Decreased protein C activity, lower ADAMTS13 antigen and free protein S levels accompanied by unchanged thrombin generation potential in hospitalized COVID-19 patients. Thromb Res. 2023, 223, 80–86. [Google Scholar] [CrossRef] [PubMed]
- Porfidia, A.; Valeriani, E.; Pola, R.; Porreca, E.; Rutjes, A.W.; Di Nisio, M. Venous thromboembolism in patients with COVID-19: Systematic review and meta-analysis. Thromb. Res. 2020, 196, 67–74. [Google Scholar] [CrossRef] [PubMed]
- Bilaloglu, S.; Aphinyanaphongs, Y.; Jones, S.; Iturrate, E.; Hochman, J.; Berger, J.S. Thrombosis in Hospitalized Patients With COVID-19 in a New York City Health System. JAMA 2020, 324, 799–801. [Google Scholar] [CrossRef] [PubMed]
- Shah, K.N.; Racine, J.; Jones, L.C.; Aaron, R.K. Pathophysiology and risk factors for osteonecrosis. Curr. Rev. Musculoskelet. Med. 2015, 8, 201–209. [Google Scholar] [CrossRef]
- Disser, N.P.; De Micheli, A.J.; Schonk, M.M.; Konnaris, M.A.; Piacentini, A.N.; Edon, D.L.; Toresdahl, B.G.; Rodeo, S.A.; Casey, E.K.; Mendias, C.L. Musculoskeletal consequences of COVID-19. J. Bone Jt. Surg. Am. 2020, 102, 1197–1204. [Google Scholar] [CrossRef]
- Banerjee, I.; Robinson, J.; Sathian, B. Corticosteroid induced avascular necrosis and COVID-19: The drug dilemma. Nepal J. Epidemiol. 2021, 11, 1049–1052. [Google Scholar] [CrossRef]
- Jones, J.P. Arthritis and Allied Conditions: A Textbook of Rheumatology, 14th ed.; Koopman, W.J., Ed.; Lippincott Williams & Wilkins: Philadelphia, PA, USA, 2001; pp. 2143–2164. [Google Scholar]
- Chan, K.L.; Mok, C.C. Glucocorticoid-induced avascular bone necrosis: Diagnosis and management. Open Orthop. J. 2012, 6, 449–457. [Google Scholar] [CrossRef]
- Nakeshbandi, M.; Maini, R.; Daniel, P.; Rosengarten, S.; Parmar, P.; Wilson, C.; Kim, J.M.; Oommen, A.; Mecklenburg, M.; Salvani, J.; et al. The impact of obesity on COVID-19 complications: A retrospective cohort study. Int. J. Obes. 2020, 44, 1832–1837. [Google Scholar] [CrossRef]
- Zhou, F.; Yu, T.; Du, R.; Fan, G.; Liu, Y.; Liu, Z.; Xiang, J.; Wang, Y.; Song, B.; Gu, X.; et al. Clinical course and risk factors for mortality of adult inpatients with COVID-19 in Wuhan, China: A retrospective cohort study. Lancet 2020, 395, 1054–1062. [Google Scholar] [CrossRef] [PubMed]
- Dieter, C.; Brondani, L.d.A.; Leitão, C.B.; Gerchman, F.; Lemos, N.E.; Crispim, D. Genetic polymorphisms associated with susceptibility to COVID-19 disease and severity: A systematic review and meta-analysis. PLoS ONE 2022, 17, e0270627. [Google Scholar] [CrossRef] [PubMed]
- Bertina, R.M.; Koeleman, B.P.C.; Koster, T.; Rosendaal, F.R.; Dirven, R.J.; de Ronde, H.; van der Velden, P.A.; Reitsma, P.H. Mutation in blood coagulation factor V associated with resistance to activated protein C. Nature 1994, 369, 64–67. [Google Scholar] [CrossRef] [PubMed]
- Kiraz, A.; Sezer, O.; Alemdar, A.; Canbek, S.; Duman, N.; Bisgin, A.; Cora, T.; Ruhi, H.I.; Ergoren, M.C.; Geçkinli, B.B.; et al. Contribution of genotypes in Prothrombin and Factor V Leiden to COVID-19 and disease severity in patients at high risk for hereditary thrombophilia. J. Med. Virol. 2023, 95, e28457. [Google Scholar] [CrossRef] [PubMed]
- Fevraleva, I.; Mamchich, D.; Vinogradov, D.; Chabaeva, Y.; Kulikov, S.; Makarik, T.; Margaryan, V.; Manasyan, G.; Novikova, V.; Rachina, S.; et al. Role of genetic thrombophilia markers in thrombosis events in elderly patients with COVID-19. Genes 2023, 14, 644. [Google Scholar] [CrossRef] [PubMed]
- Li, T.; Yu, B.; Liu, Z.; Li, J.; Ma, M.; Wang, Y.; Zhu, M.; Yin, H.; Wang, X.; Fu, Y.; et al. Homocysteine directly interacts and activates the angiotensin II type I receptor to aggravate vascular injury. Nat. Commun. 2018, 9, 11. [Google Scholar] [CrossRef] [PubMed]
- Ponti, G.; Pastorino, L.; Manfredini, M.; Ozben, T.; Oliva, G.; Kaleci, S.; Iannella, R.; Tomasi, A. COVID-19 spreading across world correlates with C677T allele of the methylenetetrahydrofolate reductase (MTHFR) gene prevalence. J. Clin. Lab. Anal. 2021, 35, e23798. [Google Scholar] [CrossRef] [PubMed]
- Rozen, R. Genetic predisposition to hyperhomocysteinemia: Deficiency of methylenetetrahydrofolate reductase (MTHFR). Thromb. Haemost. 1997, 78, 523–526. [Google Scholar] [CrossRef]
- Abu-Farha, M.; Al-Sabah, S.; Hammad, M.M.; Hebbar, P.; Channanath, A.M.; John, S.E.; Taher, I.; Almaeen, A.; Ghazy, A.; Mohammad, A.; et al. Prognostic genetic markers for thrombosis in COVID-19 patients: A focused analysis on D-dimer, homocysteine and thromboembolism. Front. Pharmacol. 2020, 11, 1960. [Google Scholar] [CrossRef]
- Yamada, N.; Arinami, T.; Yamakawa-Kobayashi, K.; Watanabe, H.; Sohda, S.; Hamada, H.; Kubo, T.; Hamaguchi, H. The 4G/5G polymorphism of the plasminogen activator inhibitor-1 gene is associated with severe preeclampsia. J. Hum. Genet. 2000, 45, 138–141. [Google Scholar] [CrossRef]
- Zhang, Q.; Jin, Y.; Li, X.; Peng, X.; Peng, N.; Song, J.; Xu, M. Plasminogen activator inhibitor-1 (PAI-1) 4G/5G promoter polymorphisms and risk of venous thromboembolism—A meta-analysis and systematic review. Vasa 2020, 49, 141–146. [Google Scholar] [CrossRef] [PubMed]
- Kronbichler, A.; Oelzner, P.; Syrbe, G.; Lopatta, E.; Wolf, G.; Neumann, T. Bilateral pulmonary embolism in twins with PAI-1 4G/5G gene polymorphism: A case report. Wien. Klin. Wochenschr. 2014, 126, 53–55. [Google Scholar] [CrossRef]
- Vatseba, B.; Virstyuk, N. Association between FGB-455 g/a and PAI-1-675 5g/4g gene polymorphisms and COVID-19 severity. Res. Pract. Thromb. Haemost. 2021, 5 (Suppl. 2). [Google Scholar]
- Liang, X.-N.; Xie, L.; Cheng, J.-W.; Tan, Z.; Yao, J.; Liu, Q.; Su, W.; Qin, X.; Zhao, J.-M. Association between PAI-1 4G/5G Polymorphisms and osteonecrosis of femoral head: A meta-analysis. Thromb. Res. 2013, 132, 158–163. [Google Scholar] [CrossRef] [PubMed]
- Sun, W.; Li, Z.; Shi, Z.; Wang, B.; Gao, F.; Yang, Y.; Guo, W. Relationship between post-SARS osteonecrosis and PAI-1 4G/5G gene polymorphisms. Eur. J. Orthop. Surg. Traumatol. 2013, 24, 525–529. [Google Scholar] [CrossRef] [PubMed]
- Liu, Y.; Li, X.; Liu, Y.; Zhang, R.; Tan, J.; Chen, L. Meta-Analysis of the Association between plasminogen activator inhibitor-1 4G/5G polymorphism and recurrent pregnancy loss. J. Pharmacol. Exp. Ther. 2015, 21, 1051–1056. [Google Scholar] [CrossRef] [PubMed]
- Muszbek, L. Deficiency causing mutations and common polymorphisms in the factor XIII-A gene. Thromb. Haemost. 2000, 84, 524–527. [Google Scholar] [CrossRef] [PubMed]
- Gemmati, D.; Serino, M.L.; Ongaro, A.; Tognazzo, S.; Moratelli, S.; Resca, R.; Moretti, M.; Scapoli, G.L. A common mutation in the gene for coagulation factor XIII-A (VAL34Leu): A risk factor for primary intracerebral hemorrhage is protective against atherothrombotic diseases. Am. J. Hematol. 2001, 67, 183–188. [Google Scholar] [CrossRef]
- von Meijenfeldt, F.A.; Havervall, S.; Adelmeijer, J.; Lundström, A.; Magnusson, M.; Mackman, N.; Thalin, C.; Lisman, T. COVID-19 is Associated with an Acquired Factor XIII Deficiency. Arthritis Res. Ther. 2021, 121, 1668–1669. [Google Scholar] [CrossRef]
- Ferrari, E.; Sartre, B.; Squara, F.; Contenti, J.; Occelli, C.; Lemoel, F.; Levraut, J.; Doyen, D.; Dellamonica, J.; Mondain, V.; et al. High prevalence of acquired thrombophilia without prognosis value in patients with coronavirus disease 2019. J. Am. Heart Assoc. 2020, 9, e017773. [Google Scholar] [CrossRef]
- de la Morena-Barrio, M.E.; Bravo-Pérez, C.; de la Morena-Barrio, B.; Orlando, C.; Cifuentes, R.; Padilla, J.; Miñano, A.; Herrero, S.; Marcellini, S.; Revilla, N.; et al. A pilot study on the impact of congenital thrombophilia in COVID-19. Eur. J. Clin. Investig. 2021, 51, e13546. [Google Scholar] [CrossRef]
- Brosnahan, S.B.; Smilowitz, N.R.; Amoroso, N.E.; Barfield, M.; Berger, J.S.; Goldenberg, R.; Ishida, K.; Talmor, N.; Torres, J.; Yaghi, S.; et al. Thrombosis at hospital presentation in patients with and without coronavirus disease 2019. J. Vasc. Surg. Venous Lymphat. Disord. 2020, 9, 845–852. [Google Scholar] [CrossRef]







Disclaimer/Publisher’s Note: The statements, opinions and data contained in all publications are solely those of the individual author(s) and contributor(s) and not of MDPI and/or the editor(s). MDPI and/or the editor(s) disclaim responsibility for any injury to people or property resulting from any ideas, methods, instructions or products referred to in the content. |
© 2023 by the author. Licensee MDPI, Basel, Switzerland. This article is an open access article distributed under the terms and conditions of the Creative Commons Attribution (CC BY) license (https://creativecommons.org/licenses/by/4.0/).
Share and Cite
Ivanova, N.G. A Rare Case of Pulmonary Embolism, Deep Vein Thrombosis, Bilateral Avascular Necrosis of the Femoral Head, and Miscarriage following COVID-19 in a Patient with Multiple Genetic Coagulation Factor Deficiency—A Case Report. Life 2023, 13, 2240. https://doi.org/10.3390/life13122240
Ivanova NG. A Rare Case of Pulmonary Embolism, Deep Vein Thrombosis, Bilateral Avascular Necrosis of the Femoral Head, and Miscarriage following COVID-19 in a Patient with Multiple Genetic Coagulation Factor Deficiency—A Case Report. Life. 2023; 13(12):2240. https://doi.org/10.3390/life13122240
Chicago/Turabian StyleIvanova, Nevena Georgieva. 2023. "A Rare Case of Pulmonary Embolism, Deep Vein Thrombosis, Bilateral Avascular Necrosis of the Femoral Head, and Miscarriage following COVID-19 in a Patient with Multiple Genetic Coagulation Factor Deficiency—A Case Report" Life 13, no. 12: 2240. https://doi.org/10.3390/life13122240
APA StyleIvanova, N. G. (2023). A Rare Case of Pulmonary Embolism, Deep Vein Thrombosis, Bilateral Avascular Necrosis of the Femoral Head, and Miscarriage following COVID-19 in a Patient with Multiple Genetic Coagulation Factor Deficiency—A Case Report. Life, 13(12), 2240. https://doi.org/10.3390/life13122240

