Thyroid Carcinoma Showing Thymus-like Differentiation (CASTLE): A Case Report
Abstract
1. Introduction
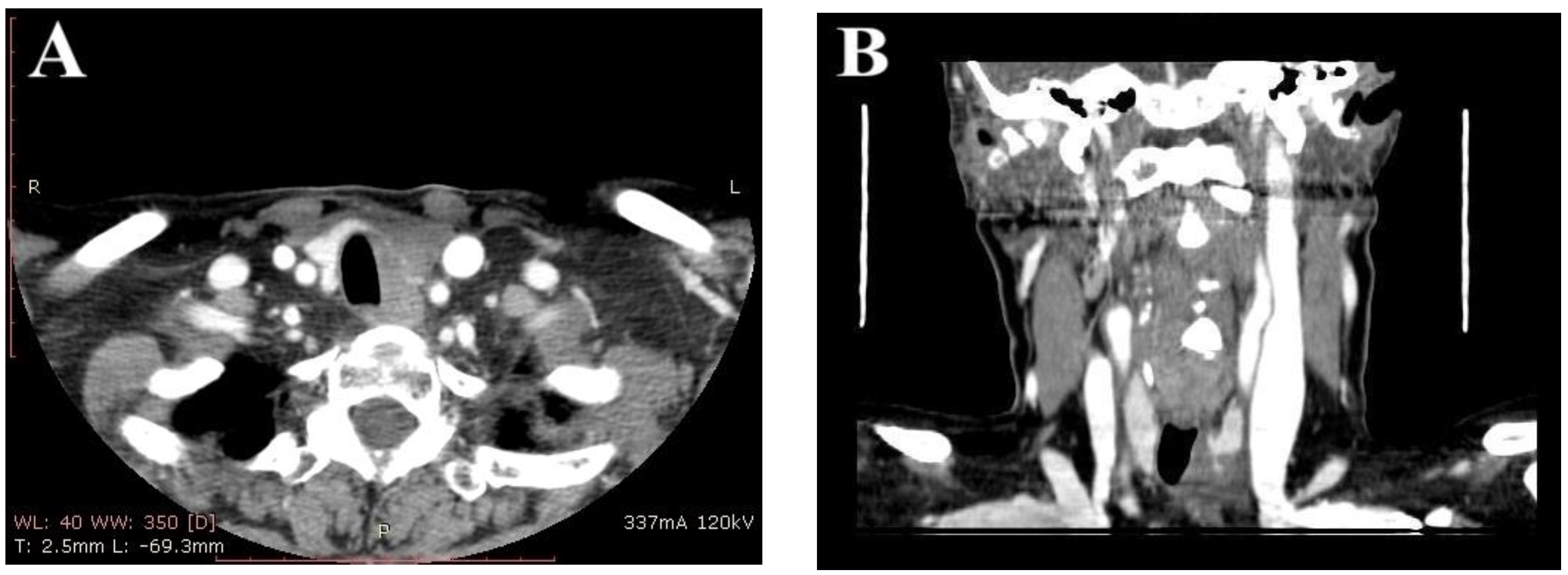
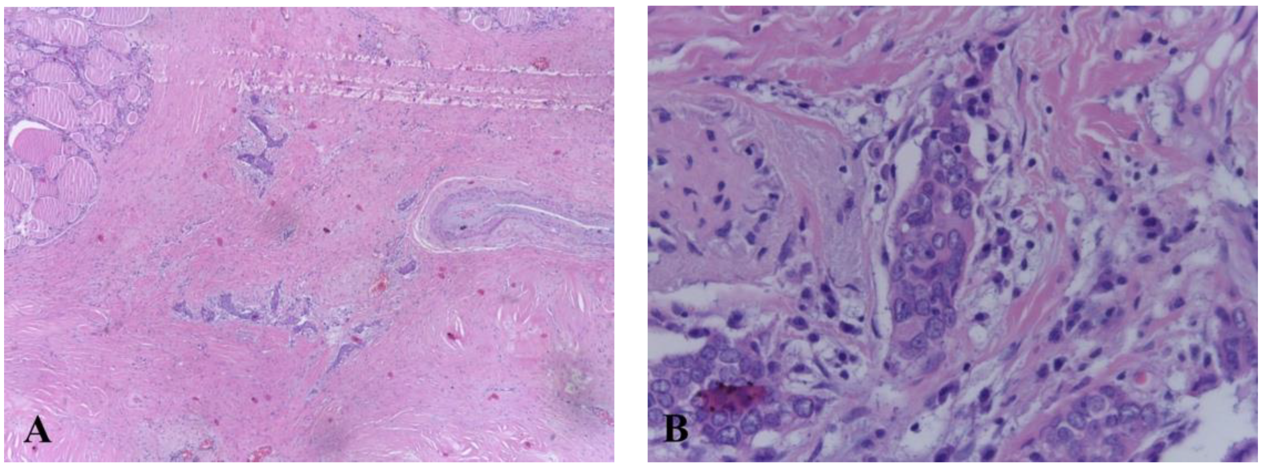
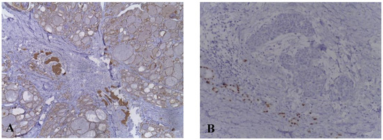
2. Case Report
3. Discussion
4. Conclusions
Author Contributions
Funding
Institutional Review Board Statement
Informed Consent Statement
Data Availability Statement
Conflicts of Interest
Abbreviations
| CASTLE | Carcinoma showing thymus-like differentiation |
| US | Ultrasound |
| TSH | Thyroid-stimulating hormone |
| FT4 | Free-thyroxine-4 |
| TG | Thyroglobulin |
| ATPO | Antithyroid peroxidase antibodies |
| TTF1 | Thyroid transcription factor-1 |
| P63 | Tumor protein |
| CK19 | Cytokeratin 19 |
| CKAE1/AE3 | Cytokeratin |
| HMWCK | High molecular weight keratin |
| CEA | Carcinoembryonic antigen |
| CT | Computed tomography scan |
| FNAC | Fine needle aspiration cytology |
References
- Cappelli, C.; Tironi, A.; Marchetti, G.P.; Pirola, I.; de Martino, E.; Delbarba, A.; Castellano, M.; Rosei, E.A. Aggressive thyroid carcinoma showing thymic-like differentiation (CASTLE): Case report and review of the literature. Endocr. J. 2008, 55, 685–690. [Google Scholar] [CrossRef] [PubMed]
- Dualim, D.M.; Loo, G.H.; Suhaimi, S.N.A.; Latar, N.H.M.; Muhammad, R.; Shukor, N.A. The ‘CASTLE’ tumour: An extremely rare presentation of a thyroid malignancy. A case report. Ann. Med. Surg 2019, 44, 57–61. [Google Scholar] [CrossRef] [PubMed]
- Tsutsui, H.; Hoshi, M.; Kubota, M.; Suzuki, A.; Nakamura, N.; Usuda, J.; Shibuya, H.; Miyajima, K.; Ohira, T.; Ito, K.; et al. Management of thyroid carcinoma showing thymus-like differentiation (CASTLE) invading the trachea. Surg. Today. 2013, 43, 1261–1268. [Google Scholar] [CrossRef] [PubMed]
- Hirokawa, M.; Kuma, S.; Miyauchi, A. Cytological findings of intrathyroidal epithelial thymoma/carcinoma showing thymus-like differentiation: A study of eight cases. Diagn. Cytopathol. 2010, 40, E16–E20. [Google Scholar] [CrossRef]
- Roka, S.; Kornek, G.; Schüller, J.; Ortmann, E.; Feichtinger, J.; Armbruster, C. Carcinoma showing thymic-like elements--a rare malignancy of the thyroid gland. Br. J. Surg. 2004, 91, 142–145. [Google Scholar] [CrossRef] [PubMed]
- Liu, Z.; Teng, X.Y.; Sun, D.X.; Xu, W.X.; Sun, S.L. Clinical analysis of thyroid carcinoma showing thymus-like differentiation: Report of 8 cases. Int. Surg. 2013, 98, 95–100. [Google Scholar] [CrossRef]
- Marini, A.; Kanakis, M.; Valakis, K.; Laschos, N.; Chorti, M.; Lioulias, A. Thyroid Carcinoma Showing Thymic-Like Differentiation Causing Fracture of the Trachea. Case Rep. Med. 2016, 2016, 7962385. [Google Scholar] [CrossRef][Green Version]
- Zhao, X.; Wei, S. ITC/CASTLE PathologyOutlines.com website. Available online: https://www.pathologyoutlines.com/topic/thyroidcastle.html (accessed on 18 August 2022).
- Cheuk, W.; Chan, J.K.C.; Dorfman, D.M.; Giordano, T. Carcinoma Showing Thymus-Like Differentiation. Pathology and Genetics of Tumours of Endocrine Organs; IARC Press: Lyon, France, 2004; pp. 96–97. [Google Scholar]
- Miyauchi, A.; Kuma, K.; Matsuzuka, F.; Matsubayashi, S.; Kobayashi, A.; Tamai, H.; Katayama, S. Intrathyroidal epithelial thymoma: An entity distinct from squamous cell carcinoma of the thyroid. World J. Surg. 1985, 9, 128–135. [Google Scholar] [CrossRef]
- Ito, Y.; Miyauchi, A.; Nakamura, Y.; Miya, A.; Kobayashi, K.; Kakudo, K. Clinicopathologic significance of intrathyroidal epithelial thymoma/carcinoma showing thymus-like differentiation: A collaborative study with Member Institutes of The Japanese Society of Thyroid Surgery. Am. J. Clin. Pathol. 2007, 127, 230–236. [Google Scholar] [CrossRef]
- Satoh, S.; Toda, S.; Narikawa, K.; Watanabe, K.; Tsuda, K.; Kuratomi, Y.; Sugihara, H.; Inokuchi, A. Spindle epithelial tumor with thymus-like differentiation (SETTLE): Youngest reported patient. Pathol. Int. 2006, 56, 563–567, Erratum in Pathol. Int. 2007, 57, 52. [Google Scholar] [CrossRef]
- Ogundoyin, O.O.; Ogun, G.; Oluwasola, A.; Junaid, T.A. Spindle Epithelial Tumor of Thymus-like Differentiation (SETTLE) in a 3-year-old African girl. Clin. Case Rep. 2019, 7, 1119–1122. [Google Scholar] [CrossRef] [PubMed]
- Wang, Y.F.; Liu, B.; Fan, X.S.; Rao, Q.; Xu, Y.; Xia, Q.-Y.; Yu, B.; Shi, S.-S.; Zhou, X.-J. Thyroid carcinoma showing thymus-like elements: A clinicopathologic, immunohistochemical, ultrastructural, and molecular analysis. Am. J. Clin. Pathol. 2015, 143, 223–233. [Google Scholar] [CrossRef] [PubMed]
- Ge, W.; Yao, Y.Z.; Chen, G.; Ding, Y.T. Clinical analysis of 82 cases of carcinoma showing thymus-like differentiation of the thyroid. Oncol. Lett. 2016, 11, 1321–1326. [Google Scholar] [CrossRef] [PubMed]
- Chan, J.K.; Rosai, J. Tumors of the neck showing thymic or related branchial pouch differentiation: A unifying concept. Hum. Pathol. 1991, 22, 349–367. [Google Scholar] [CrossRef]
- Huang, C.; Wang, L.; Wang, Y.; Yang, X.; Li, Q. Carcinoma showing thymus-like differentiation of the thyroid (CASTLE). Pathol. Res. Pract. 2013, 209, 662–665. [Google Scholar] [CrossRef]
- Stanciu, M.; Bera, L.G.; Popescu, M.; Grosu, F.; Popa, F.L. Hashimoto’s thyroiditis associated with thyroid adenoma with Hürthle cells—Case report. Rom. J. Morphol. Embryol. 2017, 58, 241–248. [Google Scholar]
- Noh, J.M.; Ha, S.Y.; Ahn, Y.C.; Oh, N.; Seol, S.W.; Oh, Y.L.; Han, J. Potential Role of Adjuvant Radiation Therapy in Cervical Thymic Neoplasm Involving Thyroid Gland or Neck. Cancer Res. Treat. 2015, 47, 436–440. [Google Scholar] [CrossRef]
- Yamamoto, Y.; Yamada, K.; Motoi, N.; Fujiwara, Y.; Toda, K.; Sugitani, I.; Kohno, A. Sonographic findings in three cases of carcinoma showing thymus-like differentiation. J. Clin. Ultrasound 2013, 41, 574–578. [Google Scholar] [CrossRef]
- Wu, B.; Sun, T.; Gu, Y.; Peng, W.; Wang, Z.; Bi, R.; Ji, Q. CT and MR imaging of thyroid carcinoma showing thymus-like differentiation (CASTLE): A report of ten cases. Br. J. Radiol. 2016, 89, 20150726. [Google Scholar] [CrossRef]
- Stanciu, M.; Zaharie, I.S.; Bera, L.G.; Cioca, G. Correlations between the presence of hürthle cells and cytomorphological features of fine-needle aspiration biopsy in thyroid nodules. Acta Endocrinol. 2016, 12, 485–490. [Google Scholar] [CrossRef]
- Lominska, C.; Estes, C.F.; Neupane, P.C.; Shnayder, Y.; TenNapel, M.J.; O’Neil, M.F. CASTLE Thyroid Tumor: A Case Report and Literature Review. Front. Oncol. 2017, 7, 207. [Google Scholar] [CrossRef] [PubMed]
- Reimann, J.D.R.; Dorfman, D.M.; Nosé, V. Carcinoma showing thymus-like differentiation of the thyroid (CASTLE): A comparative study: Evidence of thymic differentiation and solid cell nest origin. Am. J. Surg Pathol. 2006, 30, 994–1001. [Google Scholar] [CrossRef] [PubMed]
- Chan, L.P.; Chiang, F.Y.; Lee, K.W.; Kuo, W.R. Carcinoma showing thymus-like differentiation (CASTLE) of thyroid: A case report and literature review. Kaohsiung J. Med. Sci. 2008, 24, 591–597. [Google Scholar] [CrossRef]
- Price, D.L.; Wong, R.J.; Randolph, G.W. Invasive thyroid cancer: Management of the trachea and esophagus. Otolaryngol. Clin. North Am. 2008, 41, 1155–1168. [Google Scholar] [CrossRef] [PubMed]
- Curran, W.J., Jr.; Kornstein, M.J.; Brooks, J.J.; Turrisi, A.T., 3rd. Invasive thymoma: The role of mediastinal irradiation following complete or incomplete surgical resection. J. Clin. Oncol. 1988, 6, 1722–1727. [Google Scholar] [CrossRef] [PubMed]
- Luo, C.M.; Hsueh, C.; Chen, T.M. Extrathyroid carcinoma showing thymus-like differentiation (CASTLE) tumor—A new case report and review of literature. Head Neck 2005, 27, 927–933. [Google Scholar] [CrossRef] [PubMed]
- Chow, S.M.; Chan, J.K.; Tse, L.L.; Tang, D.L.; Ho, C.M.; Law, S.C. Carcinoma showing thymus-like element (CASTLE) of thyroid: Combined modality treatment in 3 patients with locally advanced disease. Eur. J. Surg. Oncol. 2007, 33, 83–85. [Google Scholar] [CrossRef]
- Piacentini, M.G.; Romano, F.; Fina, S.; Sartori, P.; Leone, E.B.; Rubino, B.; Uggeri, F. Carcinoma of the neck showing thymic-like elements (CASTLE): Report of a case and review of the literature. Int. J. Surg. Pathol. 2006, 14, 171–175. [Google Scholar] [CrossRef]
- Sun, T.; Wang, Z.; Wang, J.; Wu, Y.; Li, D.; Ying, H. Outcome of radical resection and postoperative radiotherapy for thyroid carcinoma showing thymus-like differentiation. World J. Surg. 2011, 35, 1840–1846. [Google Scholar] [CrossRef]




Publisher’s Note: MDPI stays neutral with regard to jurisdictional claims in published maps and institutional affiliations. |
© 2022 by the authors. Licensee MDPI, Basel, Switzerland. This article is an open access article distributed under the terms and conditions of the Creative Commons Attribution (CC BY) license (https://creativecommons.org/licenses/by/4.0/).
Share and Cite
Stanciu, M.; Ristea, R.P.; Popescu, M.; Vasile, C.M.; Popa, F.L. Thyroid Carcinoma Showing Thymus-like Differentiation (CASTLE): A Case Report. Life 2022, 12, 1314. https://doi.org/10.3390/life12091314
Stanciu M, Ristea RP, Popescu M, Vasile CM, Popa FL. Thyroid Carcinoma Showing Thymus-like Differentiation (CASTLE): A Case Report. Life. 2022; 12(9):1314. https://doi.org/10.3390/life12091314
Chicago/Turabian StyleStanciu, Mihaela, Ruxandra Paula Ristea, Mihaela Popescu, Corina Maria Vasile, and Florina Ligia Popa. 2022. "Thyroid Carcinoma Showing Thymus-like Differentiation (CASTLE): A Case Report" Life 12, no. 9: 1314. https://doi.org/10.3390/life12091314
APA StyleStanciu, M., Ristea, R. P., Popescu, M., Vasile, C. M., & Popa, F. L. (2022). Thyroid Carcinoma Showing Thymus-like Differentiation (CASTLE): A Case Report. Life, 12(9), 1314. https://doi.org/10.3390/life12091314

