Green Coffee Bean Extract Normalize Obesity-Induced Alterations of Metabolic Parameters in Rats by Upregulating Adiponectin and GLUT4 Levels and Reducing RBP-4 and HOMA-IR
Abstract
:1. Introduction
2. Materials and Methods
2.1. GCBE Preparation
2.2. Drugs and Chemicals
2.3. HPLC-DAD of Coffea Arabica Extract
2.4. Experimental Animals and Ethical Approval
2.5. Experimental Design
2.6. Sampling
2.7. Serum Metabolite Study
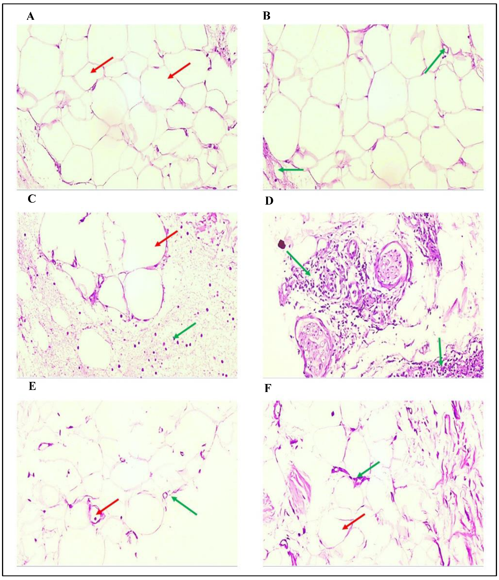
2.8. Adipose Tissue Histopathology
2.9. Extraction of Total RNA and Quantitative Real-Time PCR
2.10. Statistical Analysis
3. Results
3.1. High-Performance Liquid Chromatography
3.2. Effects of GCBE on Organ and Body Weight
3.3. Effects of GCBE on Serum Metabolite Profile
3.4. The Effects of GCBE on the Morphology of Epididymal Adipose Tissue
3.5. Effects of GCBE on mRNA Expression in Adipose Tissue Genes
4. Discussion
5. Conclusions
Supplementary Materials
Author Contributions
Funding
Institutional Review Board Statement
Informed Consent Statement
Data Availability Statement
Acknowledgments
Conflicts of Interest
Abbreviations
| ACAT | acyl-CoA cholesterol acyltransferase |
| AMPK | Adenosine monophosphate-activated protein kinase |
| ANOVA | Analysis of variance |
| CD4 | Cluster of differentiation 4 |
| CESR | Center of Excellence for Scientific Research |
| CGA | Chlorogenic acids |
| DNA | Deoxyribonucleic Acid |
| ELISA | Enzyme-linked immunosorbent assay |
| FSG | Fasting serum glucose |
| GAPDH | Glyceraldehyde-3-Phosphate Dehydrogenase |
| GCBE | Green coffee bean extract |
| GLUT4 | Glucose transporter isoform 4 |
| G6Pase | Glucose-6-phosphatase |
| HMG-COA Reductase | Hydroxy methyl-glutaryl-coenzyme A reductase |
| HOMA-IR | homeostasis model assessment-insulin resistance |
| HFD | High fat diet |
| IL-6 | Interleukin-6 |
| IL-10 | Interleukin-10 |
| IRS1 | Insulin receptor substrate-1 |
| JNK | c-Jun N-terminal kinase |
| Mets | The metabolic syndrome |
| mg/dL | Milligrams per deciliter |
| mRNA | Messenger Ribonucleic Acid |
| ng/mL | Nanograms per milliliter |
| PEPCK | Phosphoenolpyruvate carboxykinase |
| PI-3-kinase | Phosphoinositide-3-kinase |
| p-JNK | Phosphorylated c-Jun N-terminal kinase |
| PPAR-α | peroxisome proliferator-activated receptor- Alpha |
| qPCR | Quantitative polymerase chain reaction |
| RBP4 | Retinol binding protein 4 |
| SPSS | Statistical Package for the Social Sciences |
| T2DM | Type 2 diabetes mellitus |
| uIU/mL | Micro International Units per milliliter |
| WAT | White adipose tissue |
References
- Karri, S.; Sharma, S.; Hatware, K.; Patil, K. Natural anti-obesity agents and their therapeutic role in management of obesity: A future trend perspective. Biomed. Pharmacother. 2018, 110, 224–238. [Google Scholar] [CrossRef] [PubMed]
- Mohamed, G.A.; Ibrahim, S.R.; Elkhayat, E.S.; El Dine, R.S. Natural anti-obesity agents. Bull. Fac. Pharm. Cairo Univ. 2014, 52, 269–284. [Google Scholar] [CrossRef] [Green Version]
- Wang, S.; Moustaid-Moussa, N.; Chen, L.; Mo, H.; Shastri, A.; Su, R.; Bapat, P.; Kwun, I.; Shen, C.-L. Novel insights of dietary polyphenols and obesity. J. Nutr. Biochem. 2013, 25, 1–18. [Google Scholar] [CrossRef] [PubMed] [Green Version]
- Rodríguez-Pérez, C.; Segura-Carretero, A.; del Mar Contreras, M. Phenolic compounds as natural and multifunctional anti-obesity agents: A review. Crit. Rev. Food Sci. Nutr. 2019, 59, 1212–1229. [Google Scholar] [CrossRef] [PubMed]
- Ye, J. Mechanisms of insulin resistance in obesity. Front. Med. 2013, 7, 14–24. [Google Scholar] [CrossRef] [PubMed] [Green Version]
- Ye, J.; McGuinness, O.P. Inflammation during obesity is not all bad: Evidence from animal and human studies. Am. J. Physiol. Metab. 2013, 304, E466–E477. [Google Scholar] [CrossRef] [PubMed] [Green Version]
- Kang, Y.E.; Kim, J.M.; Joung, K.H.; Lee, J.H.; You, B.R.; Choi, M.J.; Ryu, M.J.; Ko, Y.B.; Lee, M.A.; Lee, J.; et al. The Roles of Adipokines, Proinflammatory Cytokines, and Adipose Tissue Macrophages in Obesity-Associated Insulin Resistance in Modest Obesity and Early Metabolic Dysfunction. PLoS ONE 2016, 11, e0154003. [Google Scholar] [CrossRef] [Green Version]
- Parisi, L.; Gini, E.; Baci, D.; Tremolati, M.; Fanuli, M.; Bassani, B.; Farronato, G.; Bruno, A.; Mortara, L. Macrophage polarization in chronic inflammatory diseases: Killers or builders? J. Immunol. Res. 2018, 2018, 8917804. [Google Scholar] [CrossRef]
- Sharma, S.; Hatware, K.; Deshpande, A.; Dande, P.; Karri, S. Antiobesity Potential of Fresh Cow Urine and its Distillate—A Biomedicine for Tomorrow. Indian J. Pharm. Educ. Res. 2017, 51, s712–s721. [Google Scholar] [CrossRef] [Green Version]
- Negm, W.A.; El-Seoud, K.A.A.; Kabbash, A.; Kassab, A.A.; El-Aasr, M. Hepatoprotective, cytotoxic, antimicrobial and antioxidant activities of Dioon spinulosum leaves Dyer Ex Eichler and its isolated secondary metabolites. Nat. Prod. Res. 2020, 35, 5166–5176. [Google Scholar] [CrossRef]
- Asbaghi, O.; Sadeghian, M.; Nasiri, M.; Khodadost, M.; Shokri, A.; Panahande, B.; Pirouzi, A.; Sadeghi, O. The effects of green coffee extract supplementation on glycemic indices and lipid profile in adults: A systematic review and dose-response meta-analysis of clinical trials. Nutr. J. 2020, 19, 71. [Google Scholar] [CrossRef] [PubMed]
- Pimpley, V.; Patil, S.; Srinivasan, K.; Desai, N.; Murthy, P.S. The chemistry of chlorogenic acid from green coffee and its role in attenuation of obesity and diabetes. Prep. Biochem. Biotechnol. 2020, 50, 969–978. [Google Scholar] [CrossRef] [PubMed]
- Sarriá, B.; Martínez-López, S.; Sierra-Cinos, J.L.; García-Diz, L.; Mateos, R.; Bravo-Clemente, L. Regularly consuming a green/roasted coffee blend reduces the risk of metabolic syndrome. Eur. J. Nutr. 2018, 57, 269–278. [Google Scholar] [CrossRef] [PubMed] [Green Version]
- Varghese, M.; Ho, L.; Wang, J.; Zhao, W.; Levine, S.; Ono, K.; Mannino, S.; Pasinetti, G.M. Green coffee as a novel agent for Alzheimer’s disease prevention by attenuating diabetes. Transl. Neurosci. 2014, 5, 111–116. [Google Scholar] [CrossRef]
- Revuelta-Iniesta, R.; Al-Dujaili, E.A.S. Consumption of Green Coffee Reduces Blood Pressure and Body Composition by Influencing 11β-HSD1 Enzyme Activity in Healthy Individuals: A Pilot Crossover Study Using Green and Black Coffee. BioMed Res. Int. 2014, 2014, 1–9. [Google Scholar] [CrossRef] [Green Version]
- Choi, B.-K.; Park, S.-B.; Lee, D.-R.; Lee, H.J.; Jin, Y.-Y.; Yang, S.H.; Suh, J.-W. Green coffee bean extract improves obesity by decreasing body fat in high-fat diet-induced obese mice. Asian Pac. J. Trop. Med. 2016, 9, 635–643. [Google Scholar] [CrossRef] [Green Version]
- Song, S.J.; Choi, S.; Park, T. Decaffeinated Green Coffee Bean Extract Attenuates Diet-Induced Obesity and Insulin Resistance in Mice. Evidence-Based Complement. Altern. Med. 2014, 2014, 1–14. [Google Scholar] [CrossRef] [Green Version]
- Gaafar, A.; El-Ghamery, H.; Mahmuod, S. Effect of green and degree of roasted Arabic coffee on hyperlipidemia and antioxidant status in diabetic rats. Adv. J. Food Sci. Technol. 2013, 5, 619–626. [Google Scholar]
- Ríos-Hoyo, A.; Gutiérrez-Salmeán, G. New Dietary Supplements for Obesity: What We Currently Know. Curr. Obes. Rep. 2016, 5, 262–270. [Google Scholar] [CrossRef]
- Naveed, M.; Hejazi, V.; Abbas, M.; Kamboh, A.A.; Khan, G.J.; Shumzaid, M.; Ahmad, F.; Babazadeh, D.; FangFang, X.; Modarresi-Ghazani, F.; et al. Chlorogenic acid (CGA): A pharmacological review and call for further research. Biomed. Pharmacother. 2018, 97, 67–74. [Google Scholar] [CrossRef]
- Lukitasari, M.; Nugroho, D.A.; Widodo, N. Chlorogenic Acid: The Conceivable Chemosensitizer Leading to Cancer Growth Suppression. J. Evidence-Based Integr. Med. 2018, 23, 2515690X18789628. [Google Scholar] [CrossRef] [PubMed] [Green Version]
- Bhandarkar, N.S.; Brown, L.; Panchal, S.K. Chlorogenic acid attenuates high-carbohydrate, high-fat diet–induced cardiovascular, liver, and metabolic changes in rats. Nutr. Res. 2018, 62, 78–88. [Google Scholar] [CrossRef] [PubMed]
- Chen, L.; Teng, H.; Cao, H. Chlorogenic acid and caffeic acid from Sonchus oleraceus Linn synergistically attenuate insulin resistance and modulate glucose uptake in HepG2 cells. Food Chem. Toxicol. 2019, 127, 182–187. [Google Scholar] [CrossRef] [PubMed]
- Agunloye, O.M.; Oboh, G.; Ademiluyi, A.O.; Ademosun, A.O.; Akindahunsi, A.A.; Oyagbemi, A.A.; Omobowale, T.O.; Ajibade, T.O.; Adedapo, A.A. Cardio-protective and antioxidant properties of caffeic acid and chlorogenic acid: Mechanistic role of angiotensin converting enzyme, cholinesterase and arginase activities in cyclosporine induced hypertensive rats. Biomed. Pharmacother. 2018, 109, 450–458. [Google Scholar] [CrossRef] [PubMed]
- Faraji, H. Effect of decaffeinated coffee-enriched chlorogenic acid on blood glucose levels in healthy controls: A systematic review. Int. J. Prev. Med. 2018, 9, 112. [Google Scholar] [CrossRef] [PubMed]
- Haidari, F.; Samadi, M.; Mohammadshahi, M.; Jalali, M.T.; Engali, K.A. Energy restriction combined with green coffee bean extract affects serum adipocytokines and the body composition in obese women. Asia Pac. J. Clin. Nutr. 2017, 26, 1048–1054. [Google Scholar]
- An, H.M.; Park, S.Y.; Lee, D.K.; Kim, J.R.; Cha, M.K.; Lee, S.W.; Lim, H.T.; Kim, K.J.; Ha, N.J. Antiobesity and lipid-lowering effects of Bifidobacterium spp. in high fat diet-induced obese rats. Lipids Heal. Dis. 2011, 10, 116–118. [Google Scholar] [CrossRef] [Green Version]
- Surapaneni, K.M.; Jainu, M. Comparative effect of pioglitazone, quercetin and hydroxy citric acid on the status of lipid peroxidation and antioxidants in experimental non-alcoholic steatohepatitis. J. Physiol. Pharmacol. Off. J. Pol. Physiol. Soc. 2014, 65, 67–74. [Google Scholar]
- Allain, C.C.; Poon, L.S.; Chan, C.S.; Richmond, W.; Fu, P.C. Enzymatic determination of total serum cholesterol. Clin. Chem. 1974, 20, 470–475. [Google Scholar] [CrossRef]
- Fossati, P.; Prencipe, L. Serum triglycerides determined colorimetrically with an enzyme that produces hydrogen peroxide. Clin. Chem. 1982, 28, 2077–2080. [Google Scholar] [CrossRef]
- Lopes-Virella, M.F.; Stone, P.; Ellis, S.; Colwell, J.A. Cholesterol determination in high-density lipoproteins separated by three different methods. Clin. Chem. 1977, 23, 882–884. [Google Scholar] [CrossRef] [PubMed]
- Friedewald, W.T.; Levy, R.I.; Fredrickson, D.S. Estimation of the Concentration of low–density lipoprotein cholesterol in plasma without use of Preparative ultracentrifuge. Clin. Chem. 1972, 18, 499–502. [Google Scholar] [CrossRef] [PubMed]
- Trinder, P. Determination of Glucose in Blood Using Glucose Oxidase with an Alternative Oxygen Acceptor. Ann. Clin. Biochem. Int. J. Lab. Med. 1969, 6, 24–27. [Google Scholar] [CrossRef]
- Wallace, T.M.; Levy, J.C.; Matthews, D.R. Use and Abuse of HOMA Modeling. Diabetes Care 2004, 27, 1487–1495. [Google Scholar] [CrossRef] [PubMed] [Green Version]
- Livak, K.J.; Schmittgen, T.D. Analysis of relative gene expression data using real-time quantitative PCR and the 2−ΔΔCT method. Methods 2001, 25, 402–408. [Google Scholar] [CrossRef] [PubMed]
- Elekhnawy, E.; Negm, W.A.; El-Aasr, M.; Kamer, A.A.; Alqarni, M.; Batiha, G.E.-S.; Obaidullah, A.J.; Fawzy, H.M. Histological assessment, anti-quorum sensing, and anti-biofilm activities of Dioon spinulosum extract: In vitro and in vivo approach. Sci. Rep. 2022, 12, 180. [Google Scholar] [CrossRef] [PubMed]
- Attallah, N.G.M.; Elekhnawy, E.; Negm, W.A.; Hussein, I.A.; Mokhtar, F.A.; Al-Fakhrany, O.M. In Vivo and In Vitro Antimicrobial Activity of Biogenic Silver Nanoparticles against Staphylococcus aureus Clinical Isolates. Pharmaceuticals 2022, 15, 194. [Google Scholar] [CrossRef]
- Hussein, M.M.; Samy, M.; Arisha, A.H.; Saadeldin, I.M.; Alshammari, G.M. Anti-obesity effects of individual or combination treatment with Spirulina platensis and green coffee bean aqueous extracts in high-fat diet-induced obese rats. All Life 2020, 13, 328–338. [Google Scholar] [CrossRef]
- Raoof, G.F.A.; Mohamed, K.Y.; Mohammed, H.M. Phytochemical Evaluation, Anti-obesity and Antihyperlipidemic Effects of Combined Administration of Green Coffee, Cinnamon and Ginger. Plant 2017, 5, 80. [Google Scholar] [CrossRef]
- Nikpayam, O.; Roshan, H.; Sohrab, G.; Sedaghat, M. Effects of Green Coffee Extract Supplementation on Oxidative Stress, Systemic and Vascular Inflammation in Patients with Metabolic Syndrome: A Randomized Clinical Trial. Iran. Red Crescent Med. J. 2018, 20, 1–8. [Google Scholar] [CrossRef]
- Kong, L.; Xu, M.; Qiu, Y.; Liao, M.; Zhang, Q.; Yang, L.; Zheng, G. Chlorogenic acid and caffeine combination attenuates adipogenesis by regulating fat metabolism and inhibiting adipocyte differentiation in 3T3-L1 cells. J. Food Biochem. 2021, 45, e13795. [Google Scholar] [CrossRef] [PubMed]
- Ilmiawati, C.; Fitri, F.; Rofinda, Z.D.; Reza, M. Green coffee extract modifies body weight, serum lipids and TNF-α in high-fat diet-induced obese rats. BMC Res. Notes 2020, 13, 1–5. [Google Scholar] [CrossRef] [PubMed] [Green Version]
- López, M. Hypothalamic AMPK and energy balance. Eur. J. Clin. Investig. 2018, 48, e12996. [Google Scholar] [CrossRef] [PubMed] [Green Version]
- Ong, K.W.; Hsu, A.; Tan, B.K.H. Chlorogenic Acid Stimulates Glucose Transport in Skeletal Muscle via AMPK Activation: A Contributor to the Beneficial Effects of Coffee on Diabetes. PLoS ONE 2012, 7, e32718. [Google Scholar] [CrossRef] [PubMed] [Green Version]
- Tajik, N.; Tajik, M.; Mack, I.; Enck, P. The potential effects of chlorogenic acid, the main phenolic components in coffee, on health: A comprehensive review of the literature. Eur. J. Nutr. 2017, 56, 2215–2244. [Google Scholar] [CrossRef]
- Roshan, H.; Nikpayam, O.; Sedaghat, M.; Sohrab, G. Effects of green coffee extract supplementation on anthropometric indices, glycaemic control, blood pressure, lipid profile, insulin resistance and appetite in patients with the metabolic syndrome: A randomised clinical trial. Br. J. Nutr. 2018, 119, 250–258. [Google Scholar] [CrossRef] [PubMed] [Green Version]
- Giammanco, M.; Marini, H.R.; Pallio, S.; Giammanco, M.M.; Tomasello, G.; Carini, F.; Venturella, F.; Leto, G.; La Guardia, M. Adipokines in obesity and metabolic diseases. J. Biol. Res.-Boll. Della Soc. Ital. Di Biol. Sper. 2020, 93. [Google Scholar] [CrossRef]
- Yanai, H.; Yoshida, H. Beneficial Effects of Adiponectin on Glucose and Lipid Metabolism and Atherosclerotic Progression: Mechanisms and Perspectives. Int. J. Mol. Sci. 2019, 20, 1190. [Google Scholar] [CrossRef] [Green Version]
- Kim, Y.; Park, C.W. Mechanisms of Adiponectin Action: Implication of Adiponectin Receptor Agonism in Diabetic Kidney Disease. Int. J. Mol. Sci. 2019, 20, 1782. [Google Scholar] [CrossRef] [Green Version]
- Lieu, L.; Chau, D.; Afrin, S.; Dong, Y.; Alhadeff, A.L.; Betley, J.N.; Williams, K.W. Effects of metabolic state on the regulation of melanocortin circuits. Physiol. Behav. 2020, 224, 113039. [Google Scholar] [CrossRef] [PubMed]
- Moraes-Vieira, P.M.; Yore, M.M.; Sontheimer-Phelps, A.; Castoldi, A.; Norseen, J.; Aryal, P.; Sjödin, K.S.; Kahn, B.B. Retinol binding protein 4 primes the NLRP3 inflammasome by signaling through Toll-like receptors 2 and 4. Proc. Natl. Acad. Sci. USA 2020, 117, 31309–31318. [Google Scholar] [CrossRef] [PubMed]
- Seldin, M.M.; Koplev, S.; Rajbhandari, P.; Vergnes, L.; Rosenberg, G.M.; Meng, Y.; Pan, C.; Phuong, T.M.; Gharakhanian, R.; Che, N.; et al. A Strategy for Discovery of Endocrine Interactions with Application to Whole-Body Metabolism. Cell Metab. 2018, 27, 1138–1155.e6. [Google Scholar] [CrossRef] [PubMed]
- Lee, M.-W.; Lee, M.; Oh, K.-J. Adipose tissue-derived signatures for obesity and type 2 diabetes: Adipokines, batokines and microRNAs. J. Clin. Med. 2019, 8, 854. [Google Scholar] [CrossRef] [PubMed] [Green Version]
- Bhattamisra, S.K.; Yap, K.H.; Rao, V.; Choudhury, H. Multiple Biological Effects of an Iridoid Glucoside, Catalpol, and Its Underlying Molecular Mechanisms. Biomolecules 2019, 10, 32. [Google Scholar] [CrossRef] [Green Version]
- Meng, S.; Cao, J.; Feng, Q.; Peng, J.; Hu, Y. Roles of Chlorogenic Acid on Regulating Glucose and Lipids Metabolism: A Review. Evidence-Based Complement. Altern. Med. 2013, 2013, 1–11. [Google Scholar] [CrossRef]
- Fasihi, M.; Barzegar, A.; Sani, M.A. The role of green coffee extract on weight loss glucose and lipid metabolism. Prog. Nutr. 2020, 21, 14–21. [Google Scholar] [CrossRef]





| No | Compound | Concentration (μg/mg) |
|---|---|---|
| 1 | Quinic acid | 3.07 |
| 2 | Gallic acid | ND |
| 3 | Isocitric acid | 2.27 |
| 4 | Shikimic acid | 1.98 |
| 5 | Protocatechuic acid | ND |
| 6 | Gentisic acid | ND |
| 7 | p-coumaric acid | 25.23 |
| 8 | Caffeic acid | 56.16 |
| 9 | Ellagic acid | ND |
| 10 | Vanillic acid | ND |
| 11 | Sinapic acid | 5.89 |
| 12 | Ferulic acid | 6.94 |
| 13 | Syringic acid | ND |
| 14 | Chlorogenic acid | 184.07 |
| 15 | 3,4-Dihydroxybenzoic acid | 8.31 |
| 16 | Rosmarinic acid | ND |
| 17 | Cinnamic acid | 136.03 |
| Parameters | Experimental Groups | ||
|---|---|---|---|
| Control | HFD | HFD + GCBE | |
| TC (mg/dL) | 76.57 ± 2.21 b | 178.07 ± 2.40 a | 80.63 ± 2.97 b |
| TAG (mg/dL) | 81.95 ± 3.94 b | 128.94 ± 2.78 a | 68.79 ± 3.81 c |
| HDL-C (mg/dL) | 26.36 ± 1.91 b | 30.51 ± 0.93 b | 42.82 ± 1.44 a |
| LDL-C (mg/dL) | 33.82 ± 1.21 b | 121.77 ± 2.93 a | 23.52 ± 3.15 c |
| VLDL-C (mg/dL) | 16.39 ± 0.79 b | 25.79 ± 0.56 a | 14.26 ± 0.99 b |
| FSG (mg/dL) | 94.23 ± 3.92 b | 138.59 ± 1.58 a | 76.02 ± 3.63 c |
| Insulin (uIU/mL) | 20.46 ± 0.35 b | 43.61 ± 0.52 a | 17.76 ± 0.60 c |
| HOMA-IR | 4.45 ± 0.24 b | 15.02 ± 0.27 a | 3.30 ± 0.07 c |
| Adiponectin (ng/mL) | 132.50 ± 1.73 b | 80.25 ± 1.31 c | 139.55 ± 2.62 a |
Publisher’s Note: MDPI stays neutral with regard to jurisdictional claims in published maps and institutional affiliations. |
© 2022 by the authors. Licensee MDPI, Basel, Switzerland. This article is an open access article distributed under the terms and conditions of the Creative Commons Attribution (CC BY) license (https://creativecommons.org/licenses/by/4.0/).
Share and Cite
Seliem, E.M.; Azab, M.E.; Ismail, R.S.; Nafeaa, A.A.; Alotaibi, B.S.; Negm, W.A. Green Coffee Bean Extract Normalize Obesity-Induced Alterations of Metabolic Parameters in Rats by Upregulating Adiponectin and GLUT4 Levels and Reducing RBP-4 and HOMA-IR. Life 2022, 12, 693. https://doi.org/10.3390/life12050693
Seliem EM, Azab ME, Ismail RS, Nafeaa AA, Alotaibi BS, Negm WA. Green Coffee Bean Extract Normalize Obesity-Induced Alterations of Metabolic Parameters in Rats by Upregulating Adiponectin and GLUT4 Levels and Reducing RBP-4 and HOMA-IR. Life. 2022; 12(5):693. https://doi.org/10.3390/life12050693
Chicago/Turabian StyleSeliem, Esraa M., Mohamed E. Azab, Randa S. Ismail, Abeer A. Nafeaa, Badriyah S. Alotaibi, and Walaa A. Negm. 2022. "Green Coffee Bean Extract Normalize Obesity-Induced Alterations of Metabolic Parameters in Rats by Upregulating Adiponectin and GLUT4 Levels and Reducing RBP-4 and HOMA-IR" Life 12, no. 5: 693. https://doi.org/10.3390/life12050693
APA StyleSeliem, E. M., Azab, M. E., Ismail, R. S., Nafeaa, A. A., Alotaibi, B. S., & Negm, W. A. (2022). Green Coffee Bean Extract Normalize Obesity-Induced Alterations of Metabolic Parameters in Rats by Upregulating Adiponectin and GLUT4 Levels and Reducing RBP-4 and HOMA-IR. Life, 12(5), 693. https://doi.org/10.3390/life12050693

