Helicobacter pylori-Positive Gastric Biopsies—Association with Clinical Predictors
Abstract
1. Introduction
2. Materials and Methods
2.1. Study Population
2.2. Data Collection
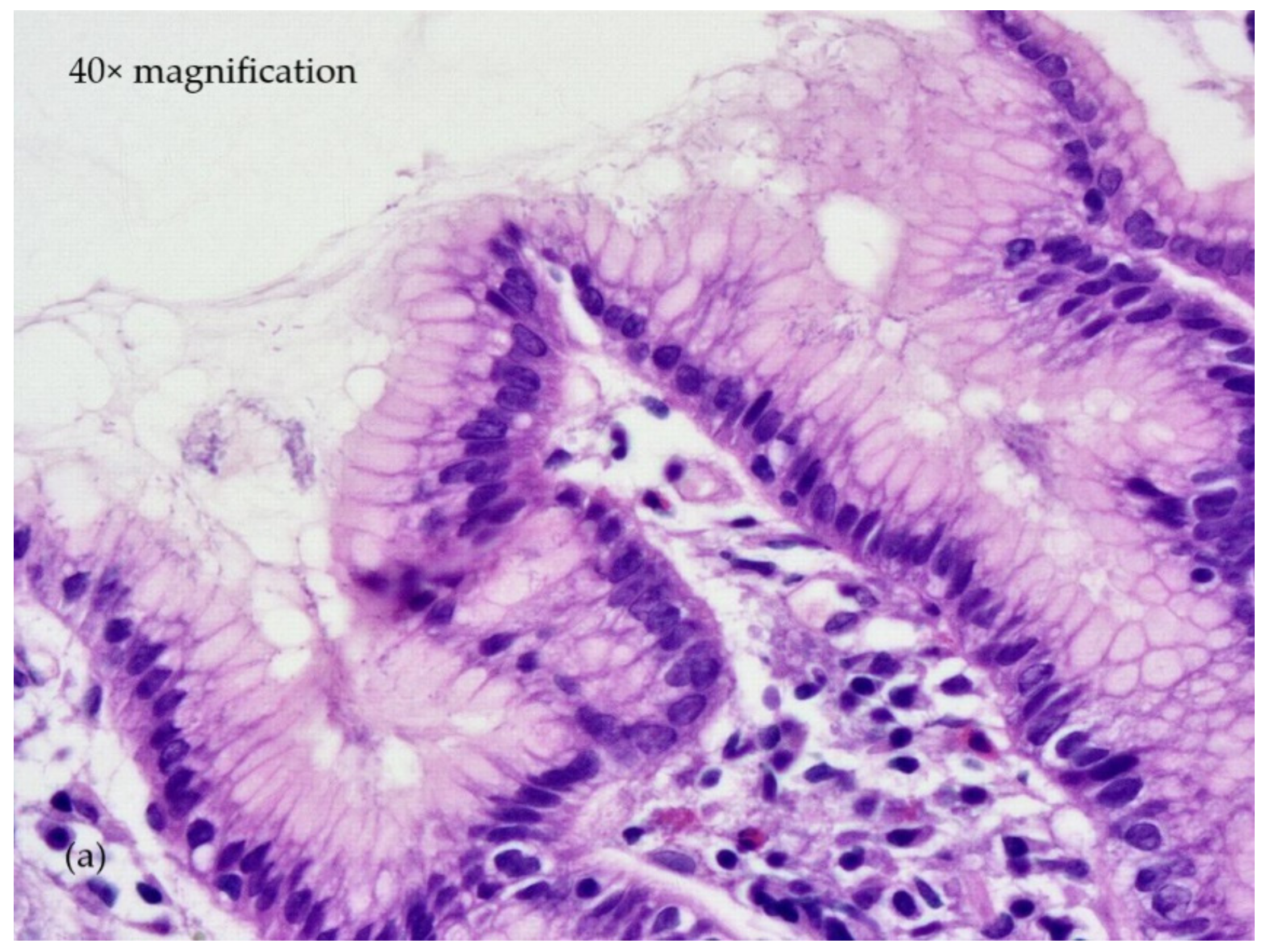
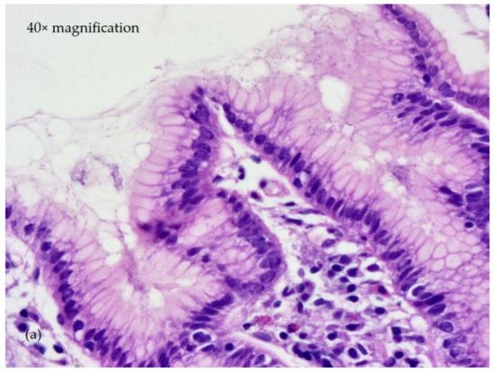
2.3. Endoscopic and Histologic Findings
2.4. Statistical Analysis
3. Results
4. Discussion
5. Conclusions
Author Contributions
Funding
Institutional Review Board Statement
Informed Consent Statement
Data Availability Statement
Acknowledgments
Conflicts of Interest
References
- Sung, H.; Ferlay, J.; Siegel, R.L.; Laversanne, M.; Soerjomataram, I.; Jemal, A.; Bray, F. Global Cancer Statistics 2020: GLOBOCAN Estimates of Incidence and Mortality Worldwide for 36 Cancers in 185 Countries. CA Cancer J. Clin. 2021, 71, 209–249. [Google Scholar] [CrossRef] [PubMed]
- Schulz, C.; Schütte, K.; Mayerle, J.; Malfertheiner, P. The role of the gastric bacterial microbiome in gastric cancer: Helicobacter pylori and beyond. Ther. Adv. Gastroenterol. 2019, 12, 1756284819894062. [Google Scholar] [CrossRef] [PubMed]
- Venneman, K.; Huybrechts, I.; Gunter, M.J.; Vandendaele, L.; Herrero, R.; Van Herck, K. The epidemiology of Helicobacter pylori infection in Europe and the impact of lifestyle on its natural evolution toward stomach cancer after infection: A systematic review. Helicobacter 2018, 23, e12483. [Google Scholar] [CrossRef] [PubMed]
- Baj, J.; Korona-Głowniak, I.; Forma, A.; Maani, A.; Sitarz, E.; Rahnama-Hezavah, M.; Radzikowska, E.; Portincasa, P. Mechanisms of the Epithelial-Mesenchymal Transition and Tumor Microenvironment in Helicobacter pylori-Induced Gastric Cancer. Cells 2020, 9, 1055. [Google Scholar] [CrossRef] [PubMed]
- Fu, M.; Gu, J.; Jiang, P.; Qian, H.; Xu, W.; Zhang, X. Exosomes in gastric cancer: Roles, mechanisms, and applications. Mol. Cancer 2019, 18, 41. [Google Scholar] [CrossRef]
- Yeoh, K.G.; Tan, P. Mapping the genomic diaspora of gastric cancer. Nat. Rev. Cancer 2022, 22, 71–84. [Google Scholar] [CrossRef]
- Pohl, D.; Keller, P.M.; Bordier, V.; Wagner, K. Review of current diagnostic methods and advances in Helicobacter pylori diagnostics in the era of next generation sequencing. World J. Gastroenterol. 2019, 25, 4629–4660. [Google Scholar] [CrossRef]
- Best, L.M.; Takwoingi, Y.; Siddique, S.; Selladurai, A.; Gandhi, A.; Low, B.; Yaghoobi, M.; Gurusamy, K.S. Non-invasive diagnostic tests for Helicobacter pylori infection. Cochrane Database Syst. Rev. 2018, 15, CD012080. [Google Scholar] [CrossRef]
- Bordin, D.S.; Voynovan, I.N.; Andreev, D.N.; Maev, I.V. Current Helicobacter pylori Diagnostics. Diagnostics 2021, 11, 1458. [Google Scholar] [CrossRef]
- Ko, C.W.; Siddique, S.M.; Patel, A.; Harris, A.; Sultan, S.; Altayar, O.; Falck-Ytter, Y. AGA Clinical Practice Guidelines on the Gastrointestinal Evaluation of Iron Deficiency Anemia. Gastroenterology 2020, 159, 1085–1094. [Google Scholar] [CrossRef]
- Arnett, D.K.; Blumenthal, R.S.; Albert, M.A.; Buroker, A.B.; Goldberger, Z.D.; Hahn, E.J.; Himmelfarb, C.D.; Khera, A.; Lloyd-Jones, D.; McEvoy, J.W.; et al. ACC/AHA Guideline on the Primary Prevention of Cardiovascular Disease: A Report of the American College of Cardiology/American Heart Association Task Force on Clinical Practice Guidelines. J. Am. Coll. Cardiol. 2019, 74, 177–232. [Google Scholar] [CrossRef]
- Galmiche, J.P.; Johnson, F.; Hongo, M.; Richter, J.E.; Spechler, S.J.; Tytgat, G.N.; Wallin, L. Endoscopic assessment of oesophagitis: Clinical and functional correlates and further validation of the Los Angeles classification. Gut 1999, 45, 172–180. [Google Scholar] [CrossRef]
- Yanagawa, A.; Fukumura, T.; Matsui, H.; Uemura, H.; Endo, T.; Nakagawa, T.; Mizushima, Y. Possible mechanisms of gastroduodenal mucosal damage in volunteers treated with nonsteroidal antiinflammatory drugs—The usefulness of prodrugs. J. Rheumatol. 1992, 19, 1075–1082. [Google Scholar]
- Kadar, Z.; Jung, I.; Orlowska, J.; Szentirmay, Z.; Sugimura, H.; Turdean, S.; Simona, G. Geographic particularities in incidence and etiopathogenesis of sporadic gastric cancer. Pol. J. Pathol. Off. J. Pol. Soc. Pathol. 2015, 66, 254–259. [Google Scholar] [CrossRef]
- Huang, R.J.; Ende, A.R.; Singla, A.; Higa, J.T.; Choi, A.Y.; Lee, A.B.; Whang, S.G.; Gravelle, K.; D’Andrea, S.; Bang, S.J.; et al. Prevalence, Risk Factors, and Surveillance Patterns for Gastric Intestinal Metaplasia Among Patients Undergoing Upper Endoscopy with Biopsy. Gastrointest. Endosc. 2020, 1, 70–77. [Google Scholar] [CrossRef]
- Zhang, M.; Liu, S.; Hu, Y.; Bao, H.B.; Meng, L.N.; Wang, X.T.; Lu, B. Biopsy strategies for endoscopic screening of pre-malignant gastric lesions. Sci. Rep. 2019, 9, 14909. [Google Scholar] [CrossRef]
- Olmez, S.; Aslan, M.; Erten, R.; Sayar, S.; Bayram, I. The Prevalence of Gastric Intestinal Metaplasia and Distribution of Helicobacter pylori Infection, Atrophy, Dysplasia, and Cancer in Its Subtypes. Gastroenterol. Res. Pract. 2015, 2015, 434039. [Google Scholar] [CrossRef]
- Esmaeilzadeh, A.; Goshayeshi, L.; Bergquist, R.; Jarahi, L.; Khooei, A.; Fazeli, A.; Hoseini, B. Characteristics of gastric precancerous conditions and Helicobacter pylori infection among dyspeptic patients in north-eastern Iran: Is endoscopic biopsy and histopathological assessment necessary? BMC Cancer 2021, 21, 1143. [Google Scholar] [CrossRef]
- Kishikawa, H.; Ojiro, K.; Nakamura, K.; Katayama, T.; Arahata, K.; Takarabe, S.; Nishida, J. Previous Helicobacter pylori infection-induced atrophic gastritis: A distinct disease entity in an understudied population without a history of eradication. Helicobacter 2020, 25, e12669. [Google Scholar] [CrossRef]
- Malfertheiner, P.; Megraud, F.; O’Morain, C.A.; Gisbert, J.P.; Kuipers, E.J.; Axon, A.T.; Bazzoli, F.; Gasbarrini, A.; Atherton, J.; Graham, D.Y.; et al. Management of Helicobacter pylori infection-the Maastricht V/Florence Consensus Report. Gut 2017, 66, 6–30. [Google Scholar] [CrossRef]
- Lewin, K.J.; Jain, D. Lewin, Weinstein and Riddell’s Gastrointestinal Pathology and its Clinical Implications, 2nd ed.; Wolters Kluwer Health: Philadelphia, PA, USA, 2014; pp. 599–614. [Google Scholar]
- Malfertheiner, P.; Kandulski, A.; Venerito, M. Proton-pump inhibitors: Understanding the complications and risks. Nat. Rev. Gastroenterol. Hepatol. 2017, 14, 697–710. [Google Scholar] [CrossRef] [PubMed]
- Patel, S.K.; Pratap, C.B.; Jain, A.K.; Gulati, A.K.; Nath, G. Diagnosis of Helicobacter pylori: What should be the gold standard? World J. Gastroenterol. 2014, 20, 12847–12859. [Google Scholar] [CrossRef] [PubMed]
- Sarem, M.; Corti, R. Rol de las formas cocoides de Helicobacter pylori en la infección y la recrudescencia (Role of Helicobacter pylori coccoid forms in infection and recrudescence). Gastroenterol. Hepatol. 2016, 39, 28–35. [Google Scholar] [CrossRef] [PubMed]
- Roberts, S.E.; Morrison-Rees, S.; Samuel, D.G.; Thorne, K.; Akbari, A.; Williams, J.G. Review article: The prevalence of Helicobacter pylori and the incidence of gastric cancer across Europe. Aliment. Pharmacol. Ther. 2016, 43, 334–345. [Google Scholar] [CrossRef] [PubMed]
- Charitos, I.A.; D’Agostino, D.; Topi, S.; Bottalico, L. 40 Years of Helicobacter pylori: A Revolution in Biomedical Thought. Gastroenterol. Insights 2021, 12, 111–135. [Google Scholar] [CrossRef]
- Megraud, F.; Bruyndonckx, R.; Coenen, S.; Wittkop, L.; Huang, T.D.; Hoebeke, M.; Bénéjat, L.; Lehours, P.; Goossens, H.; Glupczynski, Y. Helicobacter pyloric resistance to antibiotics in Europe in 2018 and its relationship to antibiotic consumption in the community. Gut 2021, 70, 1815–1822. [Google Scholar] [CrossRef]
- Black, C.J.; Paine, P.A.; Agrawal, A.; Aziz, I.; Eugenicos, M.P.; Houghton, L.A.; Hungin, P.; Overshott, R.; Vasant, D.H.; Rudd, S.; et al. British Society of Gastroenterology guidelines on the management of functional dyspepsia. Gut 2022, 71, 1697–1723. [Google Scholar] [CrossRef]
- Crowe, S.E. Helicobacter pylori Infection. N. Engl. J. Med. 2019, 380, 1158–1165. [Google Scholar] [CrossRef]
- Malfertheiner, P.; Megraud, F.; Rokkas, T.; European Helicobacter and Microbiota Study Group. Management of Helicobacter pylori infection: The Maastricht VI/Florence consensus report. Gut 2022, 71, 1724–1762. [Google Scholar] [CrossRef]
- Sarri, G.L.; Grigg, S.E.; Yeomans, N.D. Helicobacter pylori and low-dose aspirin ulcer risk: A meta-analysis. J. Gastroenterol. Hepatol. 2019, 34, 517–525. [Google Scholar] [CrossRef]
- Negovan, A.; Iancu, M.; Fülöp, E.; Bănescu, C. Helicobacter pylori and cytokine gene variants as predictors of premalignant gastric lesions. World J. Gastroenterol. 2019, 25, 4105–4124. [Google Scholar] [CrossRef]
- Bu, X.L.; Yao, X.Q.; Jiao, S.S.; Zeng, F.; Liu, Y.H.; Xiang, Y.; Liang, C.R.; Wang, Q.H.; Wang, X.; Cao, H.Y.; et al. A study on the association between infectious burden and Alzheimer’s disease. Eur. J. Neurol. 2015, 22, 1519–1525. [Google Scholar] [CrossRef]
- Xia, X.; Zhang, L.; Wu, H.; Chen, F.; Liu, X.; Xu, H.; Cui, Y.; Zhu, Q.; Wang, M.; Hao, H.; et al. CagA+ Helicobacter pylori, Not CagA− Helicobacter pylori, Infection Impairs Endothelial Function Through Exosomes-Mediated ROS Formation. Front. Cardiovasc. Med. 2022, 9, 881372. [Google Scholar] [CrossRef]
- Xu, Z.; Li, J.; Wang, H.; Xu, G. Helicobacter pylori infection and atherosclerosis: Is there a causal relationship? Eur. J. Clin. Microbiol. Infect. Dis. 2017, 36, 2293–2301. [Google Scholar] [CrossRef]
- Watanabe, J.; Hamasaki, M.; Kotani, K. The Effect of Helicobacter pylori Eradication on Lipid Levels: A Meta-Analysis. J. Clin. Med. 2021, 10, 904. [Google Scholar] [CrossRef]
- Hudak, L.; Jaraisy, A.; Haj, S.; Muhsen, K. An updated systematic review and meta-analysis on the association between Helicobacter pylori infection and iron deficiency anemia. Helicobacter 2017, 22, e12330. [Google Scholar] [CrossRef]
- Weiss, G.; Ganz, T.; Goodnough, L.T. Anemia of inflammation. Blood 2019, 133, 40–50. [Google Scholar] [CrossRef]
- Poorolajal, J.; Moradi, L.; Mohammadi, Y.; Cheraghi, Z.; Gohari-Ensaf, F. Risk factors for stomach cancer: A systematic review and meta-analysis. Epidemiol. Health 2020, 42, e2020004. [Google Scholar] [CrossRef]
- Deng, W.; Jin, L.; Zhuo, H.; Vasiliou, V.; Zhang, Y. Alcohol consumption and risk of stomach cancer: A meta-analysis. Chem. Biol. Interact. 2021, 336, 109365. [Google Scholar] [CrossRef]
- Butt, J.; Varga, M.G.; Wang, T.; Tsugane, S.; Shimazu, T.; Zheng, W.; Abnet, C.C.; Yoo, K.Y.; Park, S.K.; Kim, J.; et al. Smoking, Helicobacter pylori Serology, and Gastric Cancer Risk in Prospective Studies from China, Japan, and Korea. Cancer Prev. Res. 2019, 12, 667–674. [Google Scholar] [CrossRef]
- Liu, S.Y.; Han, X.C.; Sun, J.; Chen, G.X.; Zhou, X.Y.; Zhang, G.X. Alcohol intake and Helicobacter pylori infection: A dose-response meta-analysis of observational studies. Infect. Dis. 2016, 48, 303–309. [Google Scholar] [CrossRef] [PubMed]



| Parameter | Study Group (Positive H. pylori Status) N = 557 | Control Group (Negative H. pylori Status) N = 965 | p-Value * | OR | 95% CI | ||
|---|---|---|---|---|---|---|---|
| n | % | n | % | ||||
| Male gender | 293 | 52.6 | 463 | 47.9 | 0.0627 | 1.22 | 0.99 to 1.50 |
| Age > 50 years | 426 | 76.4 | 771 | 79.8 | 0.1196 | 0.81 | 0.63 to 1.05 |
| Endoscopic and histologic findings | |||||||
| Reflux esophagitis | 119 | 21.3 | 204 | 21.1 | 0.94 | 1.01 | 0.78 to 1.30 |
| Severe endoscopic lesions | 130 | 23.3 | 156 | 16.1 | <0.001 | 1.57 | 1.21 to 2.04 |
| Biliary reflux | 195 | 35.0 | 342 | 35.4 | 0.91 | 0.98 | 0.78 to 1.22 |
| Hiatal hernia | 164 | 29.4 | 312 | 32.3 | 0.25 | 0.87 | 0.69 to 1.09 |
| Premalignant gastric lesions a | 213 | 38.2 | 378 | 39.1 | 0.82 | 0.97 | 0.78 to 1.20 |
| Comorbidities | |||||||
| Cardiovascular diseases | 225 | 40.3 | 401 | 41.5 | 0.66 | 0.95 | 0.77 to 1.17 |
| Cerebrovascular diseases | 38 | 6.8 | 38 | 3.9 | 0.01 | 1.78 | 1.12 to 2.83 |
| Chronic respiratory diseases | 83 | 14.9 | 164 | 16.9 | 0.31 | 0.85 | 0.64 to 1.14 |
| Diabetes mellitus | 105 | 18.8 | 159 | 16.4 | 0.26 | 1.17 | 0.89 to 1.54 |
| Anemia | 110 | 19.7 | 226 | 23.4 | 0.10 | 0.80 | 0.62 to 1.04 |
| Dyslipidemia | 253 | 45.4 | 387 | 40.1 | 0.04 | 1.24 | 1.00 to 1.53 |
| Drug consumption | |||||||
| Antiplatelet drugs | 213 | 38.2 | 326 | 33.7 | 0.08 | 1.21 | 0.97 to 1.50 |
| Anticoagulants | 67 | 12.0 | 136 | 14.0 | 0.27 | 0.83 | 0.60 to 1.14 |
| NSAIDs b | 104 | 18.6 | 122 | 12.6 | <0.01 | 1.58 | 1.19 to 2.11 |
| PPIs c | 207 | 37.1 | 490 | 50.7 | <0.0001 | 0.57 | 0.46 to 0.70 |
| Symptoms | |||||||
| Epigastric pain | 298 | 53.5 | 503 | 52.1 | 0.63 | 1.05 | 0.85 to 1.30 |
| Heartburn | 150 | 26.9 | 246 | 25.4 | 0.54 | 1.07 | 0.85 to 1.36 |
| Regurgitation | 37 | 6.6 | 54 | 5.5 | 0.43 | 1.20 | 0.77 to 1.84 |
| Nausea/Vomiting | 107 | 19.2 | 156 | 16.1 | 0.03 | 1.34 | 1.02 to 1.75 |
| Bloating | 130 | 23.3 | 206 | 21.3 | 0.36 | 1.12 | 0.87 to 1.44 |
| Social behaviour | |||||||
| Tobacco smoking d | 105 | 18.8 | 130 | 13.4 | <0.01 | 1.49 | 1.12 to 1.97 |
| Alcohol consumption e | 142 | 25.4 | 201 | 20.8 | 0.04 | 1.30 | 1.01 to 1.66 |
| Parameter | Statistics Z | p-Value * | Crude OR | 95% CI |
|---|---|---|---|---|
| Male gender | 1.87 | 0.06 | 1.22 | 0.99 to 1.50 |
| Age > 50 years | −1.56 | 0.11 | 0.81 | 0.63 to 1.05 |
| Antiplatelet drugs | 1.75 | 0.08 | 1.21 | 0.97 to 1.50 |
| NSAIDs a | 3.16 | <0.01 | 1.58 | 1.19 to 2.11 |
| PPIs b | −5.11 | <0.001 | 0.57 | 0.46 to 0.71 |
| Severe endoscopic lesions | 3.43 | <0.001 | 1.57 | 1.21 to 2.04 |
| Cerebrovascular disease | 2.45 | 0.01 | 1.78 | 1.12 to 2.83 |
| Dyslipidemia | 2.02 | 0.04 | 1.24 | 1.00 to 1.53 |
| Smoking c | 2.78 | <0.01 | 1.49 | 1.12 to 1.97 |
| Alcohol consumption d | 2.09 | 0.03 | 1.30 | 1.01 to 1.66 |
| Anemia | −1.66 | 0.09 | 0.80 | 0.62 to 1.04 |
| Hiatal hernia | −1.17 | 0.24 | 0.87 | 0.69 to 1.09 |
| Parameter | b e | SE | p-Value * | Adjusted OR | 95% CI |
|---|---|---|---|---|---|
| NSAIDs a | 0.47 | 0.15 | <0.01 | 1.60 | 1.18 to 2.18 |
| PPIs b | −0.60 | 0.11 | <0.001 | 0.54 | 0.43 to 0.68 |
| Severe endoscopic lesions | 0.50 | 0.14 | <0.001 | 1.65 | 1.24 to 2.19 |
| Dyslipidemia | 0.25 | 0.11 | 0.03 | 1.28 | 1.02 to 1.62 |
| Anemia | −0.39 | 0.14 | <0.01 | 0.67 | 0.50 to 0.89 |
| Male gender | 0.14 | 0.11 | 0.20 | 1.16 | 0.92 to 1.46 |
| Smoking c | 0.23 | 0.19 | 0.21 | 1.26 | 0.87 to 1.84 |
| Alcohol consumption d | −0.06 | 0.17 | 0.71 | 0.94 | 0.67 to 1.31 |
| Cerebrovascular disease | 0.49 | 0.25 | 0.05 | 1.64 | 1.00 to 2.70 |
| N * | H. pylori | AG | IM | Country | Author |
|---|---|---|---|---|---|
| 1522 | 57.7% | 35.9% | Romania | ||
| 368 | 26.9% | 57.3% | China | Zhang et al. [15] | |
| 17710 | 11.7% | US | Huang et al. [16] | ||
| 4050 | 13.8% | Turkish | Olmez et al. [17] | ||
| 585 | 80.2% | 12.6% | 15.2% | Iran | Esmaeilzadeh et al. [18] |
Publisher’s Note: MDPI stays neutral with regard to jurisdictional claims in published maps and institutional affiliations. |
© 2022 by the authors. Licensee MDPI, Basel, Switzerland. This article is an open access article distributed under the terms and conditions of the Creative Commons Attribution (CC BY) license (https://creativecommons.org/licenses/by/4.0/).
Share and Cite
Negovan, A.; Szőke, A.-R.; Mocan, S.; Bănescu, C. Helicobacter pylori-Positive Gastric Biopsies—Association with Clinical Predictors. Life 2022, 12, 1789. https://doi.org/10.3390/life12111789
Negovan A, Szőke A-R, Mocan S, Bănescu C. Helicobacter pylori-Positive Gastric Biopsies—Association with Clinical Predictors. Life. 2022; 12(11):1789. https://doi.org/10.3390/life12111789
Chicago/Turabian StyleNegovan, Anca, Andreea-Raluca Szőke, Simona Mocan, and Claudia Bănescu. 2022. "Helicobacter pylori-Positive Gastric Biopsies—Association with Clinical Predictors" Life 12, no. 11: 1789. https://doi.org/10.3390/life12111789
APA StyleNegovan, A., Szőke, A.-R., Mocan, S., & Bănescu, C. (2022). Helicobacter pylori-Positive Gastric Biopsies—Association with Clinical Predictors. Life, 12(11), 1789. https://doi.org/10.3390/life12111789
