Surgical Management of an Osteomyelitis Associated Subchondral Bone Defect in the Pediatric Knee Based on Arthroscopy, “Ossoscopy” and Bone Grafting—A Case Report
Abstract
1. Introduction
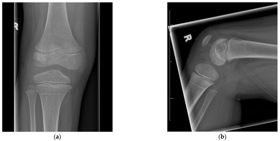
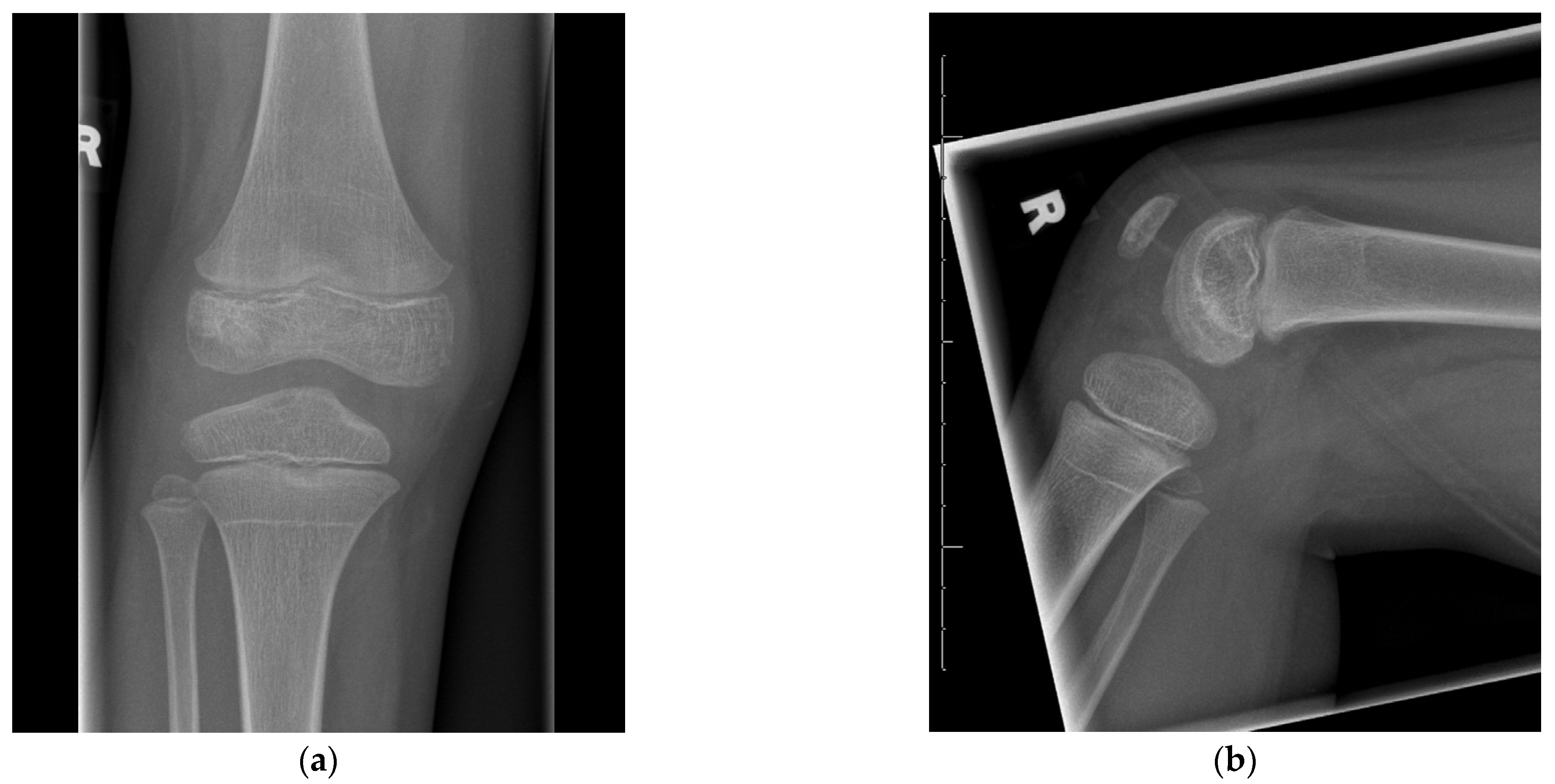
2. Case Presentation
3. Discussion
Author Contributions
Funding
Institutional Review Board Statement
Informed Consent Statement
Data Availability Statement
Conflicts of Interest
References
- Street, M.; Puna, R.; Huang, M.; Crawford, H. Pediatric Acute Hematogenous Osteomyelitis. J. Pediatr. Orthop. 2015, 35, 634–639. [Google Scholar] [CrossRef]
- Safdieh, G.; Silberman, J.; Nguyen, J.; Doyle, S.M.; Blanco, J.S.; Scher, D.M.; Green, D.W.; Widmann, R.F.; Dodwell, E.R. Pediatric Septic Arthritis and Osteomyelitis in the USA: A National KID Database Analysis. HSS J. 2019, 15, 159–166. [Google Scholar] [CrossRef] [PubMed]
- Autore, G.; Bernardi, L.; Esposito, S. Update on Acute Bone and Joint Infections in Paediatrics: A Narrative Review on the Most Recent Evidence-Based Recommendations and Appropriate Antinfective Therapy. Antibiotics 2020, 9, 486. [Google Scholar] [CrossRef] [PubMed]
- Dich, V.Q.; Nelson, J.D.; Haltalin, K.C. Osteomyelitis in infants and children. A review of 163 cases. Am. J. Dis. Child 1975, 129, 1273–1278. [Google Scholar] [CrossRef]
- Morrissy, R.T.; Haynes, D.W. Acute hematogenous osteomyelitis: A model with trauma as an etiology. J. Pediatr. Orthop. 1989, 9, 447–456. [Google Scholar] [CrossRef] [PubMed]
- Spyropoulou, V.; Dhouib Chargui, A.; Merlini, L.; Samara, E.; Valaikaite, R.; Kampouroglou, G.; Ceroni, D. Primary subacute hematogenous osteomyelitis in children: A clearer bacteriological etiology. J. Child Orthop. 2016, 10, 241–246. [Google Scholar] [CrossRef] [PubMed]
- Popescu, B.; Tevanov, I.; Carp, M.; Ulici, A. Acute hematogenous osteomyelitis in pediatric patients: Epidemiology and risk factors of a poor outcome. J. Int. Med. Res. 2020, 48, 300060520910889. [Google Scholar] [CrossRef] [PubMed]
- Saisu, T.; Kamegaya, M.; Watanabe, A.; Ochiai, N.; Takahashi, K. Endoscopic surgery for chronic osteomyelitis extending across the physis. A report of two cases. J. Bone Jt. Surg. Am. 2008, 90, 1744–1750. [Google Scholar] [CrossRef] [PubMed]
- Shah, M.M.; Gupta, G.; Makadia, A.S.; Rabbi, Q. Primary Epiphyseal Osteomyelitis (PEO) in 18 Children: A Rare Entity with Atypical Features. J. Pediatr. Orthop. 2020, 40, 361–366. [Google Scholar] [CrossRef]
- Yoo, W.J.; Choi, I.H.; Yun, Y.H.; Cho, T.J.; Cheon, J.E.; Song, M.H.; Chung, C.Y.; Park, M.S.; Choi, E.; Lee, H.J.; et al. Primary epiphyseal osteomyelitis caused by mycobacterium species in otherwise healthy toddlers. J. Bone Jt. Surg. Am. 2014, 96, e145. [Google Scholar] [CrossRef]
- Ceroni, D.; Belaieff, W.; Cherkaoui, A.; Lascombes, P.; Schrenzel, J.; de Coulon, G.; Dubois-Ferrière, V.; Dayer, R. Primary epiphyseal or apophyseal subacute osteomyelitis in the pediatric population: A report of fourteen cases and a systematic review of the literature. J. Bone Jt. Surg. Am. 2014, 96, 1570–1575. [Google Scholar] [CrossRef] [PubMed]
- Pendleton, A.; Kocher, M.S. Methicillin-resistant staphylococcus aureus bone and joint infections in children. J. Am. Acad. Orthop. Surg. 2015, 23, 29–37. [Google Scholar] [CrossRef]
- Roberts, J.M.; Drummond, D.S.; Breed, A.L.; Chesney, J. Subacute hematogenous osteomyelitis in children: A retrospective study. J. Pediatr. Orthop. 1982, 2, 249–254. [Google Scholar] [CrossRef] [PubMed]
- Green, N.E.; Beauchamp, R.D.; Griffin, P.P. Primary subacute epiphyseal osteomyelitis. J. Bone Jt. Surg. Am. 1981, 63, 107–114. [Google Scholar] [CrossRef]
- Gao, Y.; Liu, R.; Rai, S.; Liang, Q.; Liu, Y.; Xiao, X.; Hong, P. Is Early Surgical Intervention Necessary for Acute Neonatal Humeral Epiphyseal Osteomyelitis: A Retrospective Study of 31 Patients. Children 2022, 9, 527. [Google Scholar] [CrossRef]
- Kao, F.C.; Lee, Z.L.; Kao, H.C.; Hung, S.S.; Huang, Y.C. Acute primary hematogenous osteomyelitis of the epiphysis: Report of two cases. Chang Gung Med. J. 2003, 26, 851–856. [Google Scholar]
- Kaut, S.; Van den Wyngaert, I.; Christiaens, D.; Wouters, C.; Noppe, N.; Herregods, N.; Dehoorne, J.; De Somer, L. Chronic nonbacterial osteomyelitis in children: A multicentre Belgian cohort of 30 children. Pediatr. Rheumatol. 2022, 20, 41. [Google Scholar] [CrossRef]
- Papakonstantinou, O.; Prountzos, S.; Karavasilis, E.; Atsali, E.; Bizimi, V.; Alexopoulou, E.; Fotis, L. Whole-body magnetic resonance imaging findings and patterns of chronic nonbacterial osteomyelitis in a series of Greek pediatric patients. Acta Radiol. Open 2022, 11, 20584601221106701. [Google Scholar] [CrossRef]
- Longjohn, D.B.; Zionts, L.E.; Stott, N.S. Acute hematogenous osteomyelitis of the epiphysis. Clin. Orthop. Relat. Res. 1995, 316, 227–234. [Google Scholar] [CrossRef]
- Toepfer, A.; Lenze, U.; Harrasser, N. Calcaneal Ossoscopy. Arthrosc. Tech. 2016, 5, e627–e631. [Google Scholar] [CrossRef][Green Version]
- Sorensen, T.S.; Hedeboe, J.; Christensen, E.R. Primary epiphyseal osteomyelitis in children. Report of three cases and review of the literature. J. Bone Jt. Surg. Br. 1988, 70, 818–820. [Google Scholar] [CrossRef]
- El-Ali, A.; Coblentz, A.; Degnan, A. Solitary long-bone epiphyseal lesions in children: Radiologic-pathological correlation and epidemiology. Pediatr. Radiol. 2020, 50, 1724–1734. [Google Scholar] [CrossRef] [PubMed]
- Kojima, K.E.; de Andrade, E.S.F.B.; Leonhardt, M.C.; de Carvalho, V.C.; de Oliveira, P.R.D.; Lima, A.; Roberto Dos Reis, P.; Silva, J.D.S. Bioactive glass S53P4 to fill-up large cavitary bone defect after acute and chronic osteomyelitis treated with antibiotic-loaded cement beads: A prospective case series with a minimum 2-year follow-up. Injury 2021, 52 (Suppl. S3), S23–S28. [Google Scholar] [CrossRef] [PubMed]
- Abdelgawad, A.A.; Rybak, L.D.; Sheth, M.; Rabinowitz, S.S.; Jayaram, N.; Sala, D.A.; van Bosse, H.J. Treatment of acute salmonella epiphyseal osteomyelitis using computed tomography-guided drainage in a child without sickle cell disease. J. Pediatr. Orthop. B 2007, 16, 415–418. [Google Scholar] [CrossRef] [PubMed]
- Rasool, M.N. Primary subacute haematogenous osteomyelitis in children. J. Bone Jt. Surg. Br. 2001, 83, 93–98. [Google Scholar] [CrossRef]
- Hara, H.; Akisue, T.; Kawamoto, T.; Kurosaka, M. Sequential MR Images and Radiographs of Epiphyseal Osteomyelitis in the Distal Femur of an Infant. Case Rep. Radiol. 2013, 2013, 672815. [Google Scholar] [CrossRef]
- Popescu, M.B.; Carp, M.; Tevanov, I.; Nahoi, C.A.; Stratila, M.A.; Haram, O.M.; Ulici, A. Isolated Meniscus Tears in Adolescent Patients Treated with Platelet-Rich Plasma Intra-articular Injections: 3-Month Clinical Outcome. Biomed Res. Int. 2020, 2020, 8282460. [Google Scholar] [CrossRef]
- Rosenbaum, D.M.; Blumhagen, J.D. Acute epiphyseal osteomyelitis in children. Radiology 1985, 156, 89–92. [Google Scholar] [CrossRef]
- Desimpel, J.; Posadzy, M.; Vanhoenacker, F. The Many Faces of Osteomyelitis: A Pictorial Review. J. Belg. Soc. Radiol. 2017, 101, 24. [Google Scholar] [CrossRef]
- Walter, N.; Bärtl, S.; Alt, V.; Rupp, M. The Epidemiology of Osteomyelitis in Children. Children 2021, 8, 1000. [Google Scholar] [CrossRef]
- Hwang, H.J.; Jeong, W.K.; Lee, D.H.; Lee, S.H. Acute Primary Hematogenous Osteomyelitis in the Epiphysis of the Distal Tibia: A Case Report With Review of the Literature. J. Foot Ankle Surg. 2016, 55, 600–604. [Google Scholar] [CrossRef] [PubMed]




| Author(s) | Year | n (*) | Age | Knee Involvement | Therapeutic Management | F/U | Outcome |
|---|---|---|---|---|---|---|---|
| Green at al. [14] | 1981 | 2 (8) | 2–4 yrs | Lesions extended to articular cartilage without damage to cartilage itself | Curettage, sampling (6× negative), oxacillin (2× Staph. aureus) | 2–8 yrs | No evidence of damage to physis or joint |
| Rosenbaum & Blumhagen [28] | 1985 | 7 (9) | 21 mo–9 yrs | N/A | Arthrocentesis (5) and antibiotics | N/A | N/A |
| Sorensen et al. [21] | 1988 | 1 (3) | 4 yrs | Joint effusion | Curettage and bone grafting, cephalexin | 3 yrs | Normal |
| Longjohn et al. [19] | 1995 | 1 (1) | 4 yrs | Pain after initial trauma, later moderate effusion | Aspiration, nafcillin, arthrotomy, irrigation, curettage | 6 yrs | Normal function, but radiographically flattening of LFC |
| Rasool [25] | 2001 | 1 (2) | N/A | Lesion did not involve articular surface | Curettage, biopsy, culture, immobilization and antibiotics | 2 yrs | Normal |
| Kao et al. [16] | 2003 | 2 | 27/28 mo | Joint aspirate negative | Arthrotomy/curettage and antibiotics | 6–16 mo | Normal |
| Abdelgawad et al. [24] | 2007 | 1 | 17 mo | Mild knee effusion | Repeated fluoro- and CT-guided abscess drainage (3×), antibiotics | N/A | Normal |
| Saisu et al. [8] | 2008 | 2 ‡ | 2–5 yrs | Chronic femoral/tibial osteomyelitis (not only epiphyseal infection) | Endoscopic surgery with drilled dual opposing insertion paths | 3–4.5 yrs | Normal |
| Hara et al. [26] | 2013 | 1 | 26 mo | Local heat and motion pain in the knee | Cefazolin (1200 mg/d), oral cefdinir (150 mg/d) | 2 yrs | No recurrence |
| Yoo et al. [10] | 2014 | 6 (8) | 12–25 mo | Mycobacterial infections, abscess extended outside physis in 7/8 cases | Antibiotics, surgical drainage/curettage when the abscess necessitated decompression (4), or not responsive to antibiotics (4), antimycobacterial chemotherapy | 4.1 yrs | Focal physeal damage in 5, 1 with growth disturbance |
| Shah et al. [9] | 2020 | 12 | 3–14 yrs | 9/18 had penetration of the joint | Open aggressive surgical treatment w/arthrotomy and antibiotics | mean 5.5 (2–11 yrs) | Joint destruction if tubercular pathogen (n = 4) |
Publisher’s Note: MDPI stays neutral with regard to jurisdictional claims in published maps and institutional affiliations. |
© 2022 by the authors. Licensee MDPI, Basel, Switzerland. This article is an open access article distributed under the terms and conditions of the Creative Commons Attribution (CC BY) license (https://creativecommons.org/licenses/by/4.0/).
Share and Cite
Weber, C.D.; Migliorini, F.; Delbrück, H.; Hildebrand, F. Surgical Management of an Osteomyelitis Associated Subchondral Bone Defect in the Pediatric Knee Based on Arthroscopy, “Ossoscopy” and Bone Grafting—A Case Report. Life 2022, 12, 1754. https://doi.org/10.3390/life12111754
Weber CD, Migliorini F, Delbrück H, Hildebrand F. Surgical Management of an Osteomyelitis Associated Subchondral Bone Defect in the Pediatric Knee Based on Arthroscopy, “Ossoscopy” and Bone Grafting—A Case Report. Life. 2022; 12(11):1754. https://doi.org/10.3390/life12111754
Chicago/Turabian StyleWeber, Christian D., Filippo Migliorini, Heide Delbrück, and Frank Hildebrand. 2022. "Surgical Management of an Osteomyelitis Associated Subchondral Bone Defect in the Pediatric Knee Based on Arthroscopy, “Ossoscopy” and Bone Grafting—A Case Report" Life 12, no. 11: 1754. https://doi.org/10.3390/life12111754
APA StyleWeber, C. D., Migliorini, F., Delbrück, H., & Hildebrand, F. (2022). Surgical Management of an Osteomyelitis Associated Subchondral Bone Defect in the Pediatric Knee Based on Arthroscopy, “Ossoscopy” and Bone Grafting—A Case Report. Life, 12(11), 1754. https://doi.org/10.3390/life12111754

