Protein Extractions from Amphistegina lessonii: Protocol Development and Optimization
Abstract
1. Introduction
2. Materials and Methods
2.1. Individual Collection
2.2. Lysis
2.3. Protein Assays
- Lowry’s method [16].
- 2.
- Bradford’s method [17].
- 3.
- BCA method [18].
2.4. Statistical Analysis
2.5. SDS-PAGE
2.6. Protein Staining
- Silver Stain
- 2.
- Coomassie Stain
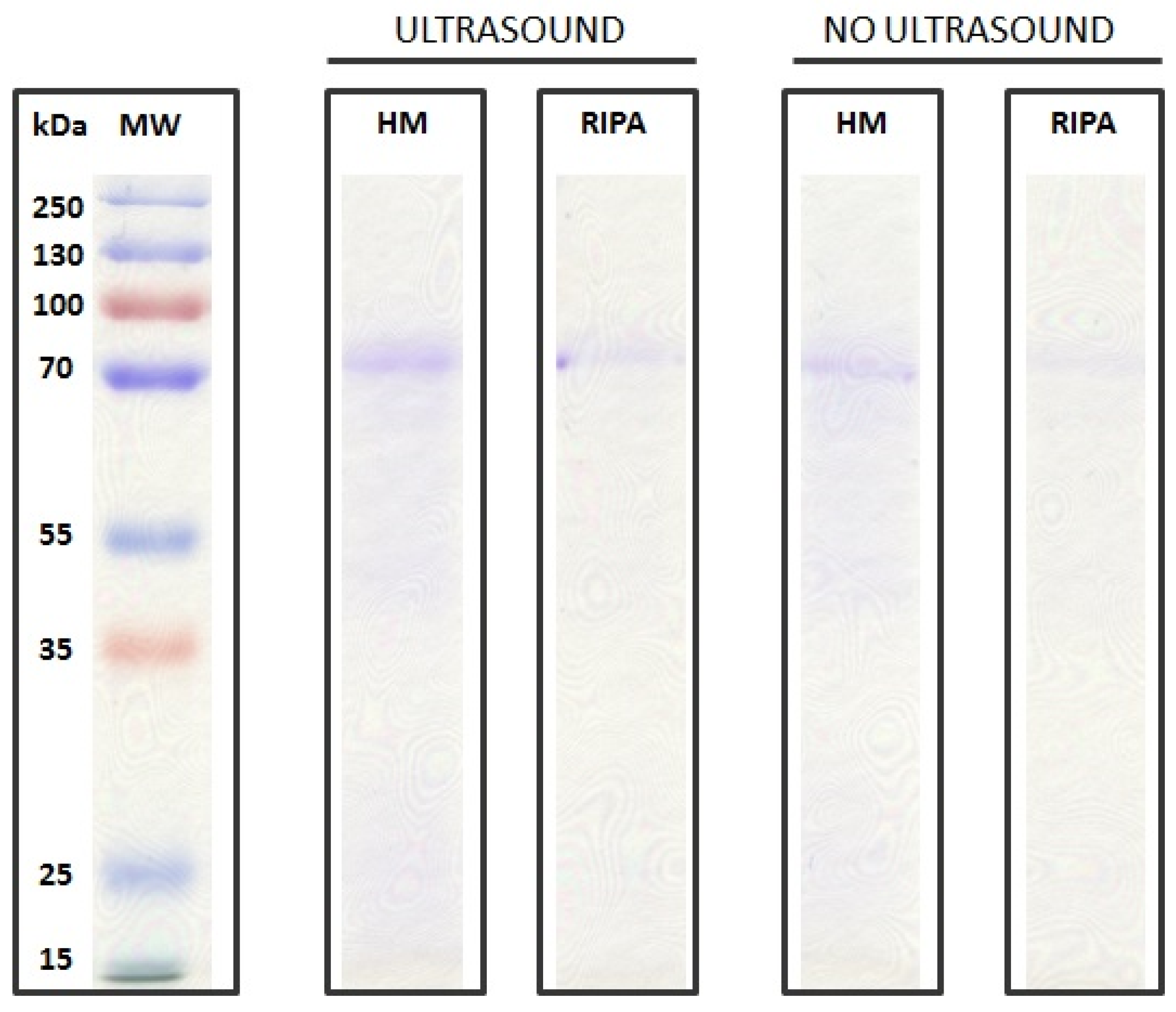
3. Results
4. Discussion
4.1. Comparison among Methodologies for Protein Assays in Large Benthic Foraminifera
4.2. Developing and Detailing a Protocol for Protein Assays
4.2.1. Pre-Treatment
- Preparations of all working reagents, solutions, and buffers.
- Accurate selection of living foraminifera based on the presence of pseudopodial activity.
- Clean foraminiferal tests with a brush and filtered seawater to remove all particles over the test.
4.2.2. Extraction Buffer
- Homogenization of LBFs by mechanically crushing foraminiferal tests until pulverized with Teflon in 1.5 mL Eppendorf vials containing 0.5 mL ice-cold homemade lysis buffer [50 mM Tris·HCl, pH 7.8, 0.25 M sucrose, 1% (wt/vol) SDS, 1 μg/mL pepstatin, 10 μg/ml leupeptin, 2 mM sodium orthovanadate, 10 mM NaF, 5 mM EDTA, 5 mM N-ethylmaleimide, 40 μg/mL PMSF, and 0.1% Nonidet P-40]. All manipulations are performed on ice to prevent protein degradation.
- Sonication for 45 s at 100 W in ice.
- Boil samples for 10 min.
- Centrifuge for 20 min at 14,000× g to remove insoluble debris; supernatants were recovered.
- Transfer the supernatant into a new 1.5 mL tube and preserve it at −80 °C.
4.2.3. Protein Assay
- Defrost the supernatant.
- Prepare the standards (i.e., bovine serum albumin (BSA) protein standards in a solution of 1 mg/mL of H2O) only).
- Sample preparation
4.2.4. SDS-PAGE
- Perform gel electrophoresis on polyacrylamide (with an acrylamide/Bis ratio of 30:1) slab gels (60 × 80 × 1 mm3) using the discontinuous buffer system of Laemmli.
- The separating gel of 10% polyacrylamide is underlain with 4% stacking gel, and the running buffer consisted of 0.025 M Tris, 0.2 M glycine, and 0.1% SDS.
- Run gels on a Mini-Protein II dual slab cell (Bio-Rad) at a constant current of 10 mA per slab gel using a Power PAC 300 (Bio-Rad).
- Mix samples 1:1 (vol/vol) with sample buffer (0.5 M Tris·HCl, pH 6.8, 2% SDS, 10% glycerol, 4% 2-mercaptoethanol, and 0.05% bromophenol blue).
- Normalize samples for protein content before loading to 20 μg of protein.
- Boil all samples with sample buffer for 5 min to denature proteins.
4.2.5. Silver Stain
- Prepare protein staining just before use.
- All steps are at room temperature with shaking with clean glass materials.
- Fix protein in 40% methanol/10% acetic acid (v/v) for 30 min and in 10% ethanol/5% acetic acid (v/v) for 30 min.
- Oxidize for 5 min in a Bio-Rad Oxidizer (1:10 in dH2O).
- Wash in dH2O for 15 min and incubate with Silver reagent (1:10 in dH2O) for 20 min.
- Wash in dH2O for 1 min and develop for 10 min with Developer Bio-Rad (32 grams of developer per liter of deionized water) and stop in 5% acetic acid (v/v).
4.3. Chemicals
5. Conclusions
Author Contributions
Funding
Institutional Review Board Statement
Informed Consent Statement
Data Availability Statement
Acknowledgments
Conflicts of Interest
References
- Horgan, R.P.; Kenny, L.C. ‘Omic’ Technologies: Genomics, Transcriptomics, Proteomics and Metabolomics. Obstet. Gynaecol. 2011, 13, 189–195. [Google Scholar] [CrossRef]
- Volkova, P.; Geras’kin, S. ‘Omic’ Technologies as a Helpful Tool in Radioecological Research. J. Environ. Radioact. 2018, 189. [Google Scholar] [CrossRef] [PubMed]
- Oda, Y.; Huang, K.; Cross, F.R.; Cowburn, D.; Chait, B.T. Accurate Quantitation of Protein Expression and Site-Specific Phosphorylation. Proc. Natl. Acad. Sci. USA 1999, 96, 6591–6596. [Google Scholar] [CrossRef]
- Noble, J.E.; Bailey, M.J.A. Quantitation of Protein. Methods Enzym. 2009, 463, 73–95. [Google Scholar] [CrossRef]
- Martínez, I.; Herrera, A.; Tames-Espinosa, M.; Bondyale-Juez, D.R.; Romero-Kutzner, V.; Packard, T.T.; Gómez, M. Protein in Marine Plankton: A Comparison of Spectrophotometric Methods. J. Exp. Mar. Biol. Ecol. 2020, 526, 151357. [Google Scholar] [CrossRef]
- de Freitas Prazeres, M.; Martins, S.E.; Bianchini, A. Biomarkers Response to Zinc Exposure in the Symbiont-Bearing Foraminifer Amphistegina Lessonii (Amphisteginidae, Foraminifera). J. Exp. Mar. Biol. Ecol. 2011, 407, 116–121. [Google Scholar] [CrossRef]
- Ciacci, C.; Grimmelpont, M.V.; Corsi, I.; Bergami, E.; Curzi, D.; Burini, D.; Bouchet, V.M.P.; Ambrogini, P.; Gobbi, P.; Ujiié, Y.; et al. Nanoparticle-Biological Interactions in a Marine Benthic Foraminifer. Sci. Rep. 2019, 9. [Google Scholar] [CrossRef] [PubMed]
- Ben-Eliahu, N.; Herut, B.; Rahav, E.; Abramovich, S. Shell Growth of Large Benthic Foraminifera under Heavy Metals Pollution: Implications for Geochemical Monitoring of Coastal Environments. Int. J. Environ. Res. Public Health 2020, 17, 3741. [Google Scholar] [CrossRef] [PubMed]
- Losada Ros, M.T.; Al-Enezi, E.; Cesarini, E.; Canonico, B.; Bucci, C.; Alves Martins, M.V.; Papa, S.; Frontalini, F. Assessing the Cadmium Effects on the Benthic Foraminifer Ammonia Cf. Parkinsoniana: An Acute Toxicity Test. Water 2020, 12, 1018. [Google Scholar] [CrossRef]
- Doo, S.S.; Mayfield, A.B.; Byrne, M.; Chen, H.-K.; Nguyen, H.D.; Fan, T.-Y. Reduced Expression of the Rate-Limiting Carbon Fixation Enzyme RuBisCO in the Benthic Foraminifer Baculogypsina Sphaerulata Holobiont in Response to Heat Shock. J. Exp. Mar. Biol. Ecol. 2012, 430–431, 63–67. [Google Scholar] [CrossRef]
- Doo, S.S.; Mayfield, A.B.; Nguyen, H.D.; Chen, H.-K. Protein Analysis in Large Benthic Foraminifera. In Approaches to Study Living Foraminifera: Collection, Maintenance and Experimentation; Kitazato, H., Bernhard, J.M., Eds.; Environmental Science and Engineering; Springer Japan: Tokyo, Japan, 2014; pp. 71–89. ISBN 978-4-431-54388-6. [Google Scholar]
- Heinz, P.; Marten, R.A.; Linshy, V.N.; Haap, T.; Geslin, E.; Köhler, H.-R. 70 KD Stress Protein (Hsp70) Analysis in Living Shallow-Water Benthic Foraminifera. Mar. Biol. Res. 2012, 8, 677–681. [Google Scholar] [CrossRef][Green Version]
- Movellan, A.; Schiebel, R.; Zubkov, M.V.; Smyth, A.; Howa, H. Protein Biomass Quantification of Unbroken Individual Foraminifers Using Nano-Spectrophotometry. Biogeosciences 2012, 9, 3613–3623. [Google Scholar] [CrossRef]
- Sabbatini, A.; Bédouet, L.; Marie, A.; Bartolini, A.; Landemarre, L.; Weber, M.X.; Gusti Ngurah Kade Mahardika, I.; Berland, S.; Zito, F.; Vénec-Peyré, M.-T. Biomineralization of Schlumbergerella Floresiana, a Significant Carbonate-Producing Benthic Foraminifer. Geobiology 2014, 12, 289–307. [Google Scholar] [CrossRef] [PubMed]
- Stuhr, M.; Blank-Landeshammer, B.; Reymond, C.E.; Kollipara, L.; Sickmann, A.; Kucera, M.; Westphal, H. Disentangling Thermal Stress Responses in a Reef-Calcifier and Its Photosymbionts by Shotgun Proteomics. Sci. Rep. 2018, 8. [Google Scholar] [CrossRef]
- Lowry, O.H.; Rosebrough, N.J.; Farr, A.L.; Randall, R.J. Protein Measurement with the Folin Phenol Reagent. J. Biol. Chem. 1951, 193, 265–275. [Google Scholar] [CrossRef]
- Bradford, M.M. A Rapid and Sensitive Method for the Quantitation of Microgram Quantities of Protein Utilizing the Principle of Protein-Dye Binding. Anal. Biochem. 1976, 72, 248–254. [Google Scholar] [CrossRef]
- Smith, P.K.; Krohn, R.I.; Hermanson, G.T.; Mallia, A.K.; Gartner, F.H.; Provenzano, M.D.; Fujimoto, E.K.; Goeke, N.M.; Olson, B.J.; Klenk, D.C. Measurement of Protein Using Bicinchoninic Acid. Anal. Biochem. 1985, 150, 76–85. [Google Scholar] [CrossRef]
- Merril, C.R.; Goldman, D.; Sedman, S.A.; Ebert, M.H. Ultrasensitive Stain for Proteins in Polyacrylamide Gels Shows Regional Variation in Cerebrospinal Fluid Proteins. Science 1981, 211, 1437–1438. [Google Scholar] [CrossRef]
- Chu, F.-L.E.; Casey, B.B. A Comparison of Protein Assays for Oyster Larval Proteins Using Two Different Standards. Mar. Chem. 1986, 19, 1–7. [Google Scholar] [CrossRef]
- Moran, A.L.; McAlister, J.S. Egg Size as a Life History Character of Marine Invertebrates: Is It All It’s Cracked up to Be? Biol. Bull. 2009, 216, 226–242. [Google Scholar] [CrossRef]
- Stoscheck, C.M. Quantitation of Protein. Methods Enzym. 1990, 182, 50–68. [Google Scholar] [CrossRef]
- Chiappelli, F.; Vasil, A.; Haggerty, D.F. The Protein Concentration of Crude Cell and Tissue Extracts as Estimated by the Method of Dye Binding: Comparison with the Lowry Method. Anal. Biochem. 1979, 94, 160–165. [Google Scholar] [CrossRef]
- Crossman, D.J.; Clements, K.D.; Cooper, G.J.S. Determination of Protein for Studies of Marine Herbivory: A Comparison of Methods. J. Exp. Mar. Biol. Ecol. 2000, 244, 45–65. [Google Scholar] [CrossRef]
- Keil, R.G.; Kirchman, D.L. Dissolved Combined Amino Acids: Chemical Form and Utilization by Marine Bacteria. Limnol. Oceanogr. 1993, 38, 1256–1270. [Google Scholar] [CrossRef]
- Barbarino, E.; Lourenço, S.O. An Evaluation of Methods for Extraction and Quantification of Protein from Marine Macro- and Microalgae. J. Appl. Phycol. 2005, 17, 447–460. [Google Scholar] [CrossRef]
- Liu, M.; Zhao, G.; Qi, B.; Zhan, J. Effects of Ultrasonic Treatment on Removal of Abundant Proteins and Enrichment of Low-Abundance Proteins in Defatted Soybean Meal by Isopropanol. Biotechnol. Biotechnol. Equip. 2016, 30, 521–528. [Google Scholar] [CrossRef]
- Starke, R.; Jehmlich, N.; Alfaro, T.; Dohnalkova, A.; Capek, P.; Bell, S.L.; Hofmockel, K.S. Incomplete Cell Disruption of Resistant Microbes. Sci. Rep. 2019, 9, 5618. [Google Scholar] [CrossRef]
- Santos, H.M.; Lodeiro, C.; Capelo-Martínez, J.-L. The Power of Ultrasound. In Ultrasound in Chemistry; John Wiley & Sons, Ltd.: Hoboken, NJ, USA, 2008; pp. 1–16. ISBN 978-3-527-62350-1. [Google Scholar]
- Schuchard, M.; Mehigh, R.; Kappel, W. ProteoSilverTM: High Sensitivity Silver Stain for SDS-PAGE; Sigma Aldrich Corp: St. Louis, MO, USA, 2003. [Google Scholar]




| Lowry | BCA | Bradford | |
|---|---|---|---|
| R2 | 0.97 | 0.96 | 0.96 |
| Calibration curve equation | y = 0.1829x − 0.03347 | y = 0.1634x − 0.03222 | y = 0.1607x − 0.004233 |
| Ultrasound | Lysis | Assay | ||
|---|---|---|---|---|
| Buffers | Lowry | BCA | Bradford | |
| With | HM [mg/mL] | 0.85 ± 0.06 | 0.85 ± 0.03 | 0.37 ± 0.05 |
| RIPA [mg/mL] | 0.51 ± 0.06 | 0.49 ± 0.05 | 0.27 ± 0.06 | |
| Without | HM [mg/mL] | 0.61 ± 0.04 | 0.59 ± 0.03 | 0.31 ± 0.05 |
| RIPA [mg/mL] | 0.39 ± 0.02 | 0.38 ± 0.01 | 0.23 ± 0.02 | |
Publisher’s Note: MDPI stays neutral with regard to jurisdictional claims in published maps and institutional affiliations. |
© 2021 by the authors. Licensee MDPI, Basel, Switzerland. This article is an open access article distributed under the terms and conditions of the Creative Commons Attribution (CC BY) license (https://creativecommons.org/licenses/by/4.0/).
Share and Cite
Betti, M.; Ciacci, C.; Abramovich, S.; Frontalini, F. Protein Extractions from Amphistegina lessonii: Protocol Development and Optimization. Life 2021, 11, 418. https://doi.org/10.3390/life11050418
Betti M, Ciacci C, Abramovich S, Frontalini F. Protein Extractions from Amphistegina lessonii: Protocol Development and Optimization. Life. 2021; 11(5):418. https://doi.org/10.3390/life11050418
Chicago/Turabian StyleBetti, Michele, Caterina Ciacci, Sigal Abramovich, and Fabrizio Frontalini. 2021. "Protein Extractions from Amphistegina lessonii: Protocol Development and Optimization" Life 11, no. 5: 418. https://doi.org/10.3390/life11050418
APA StyleBetti, M., Ciacci, C., Abramovich, S., & Frontalini, F. (2021). Protein Extractions from Amphistegina lessonii: Protocol Development and Optimization. Life, 11(5), 418. https://doi.org/10.3390/life11050418

