Titanium and Platinum–Fluoroplastic Stapes Prostheses Visualization on Cone Beam Computed Tomography and High-Resolution Computed Tomography
Abstract
:1. Introduction
2. Materials and Methods
2.1. Population
2.2. Data Collection and Measurements
2.3. Prostheses Types
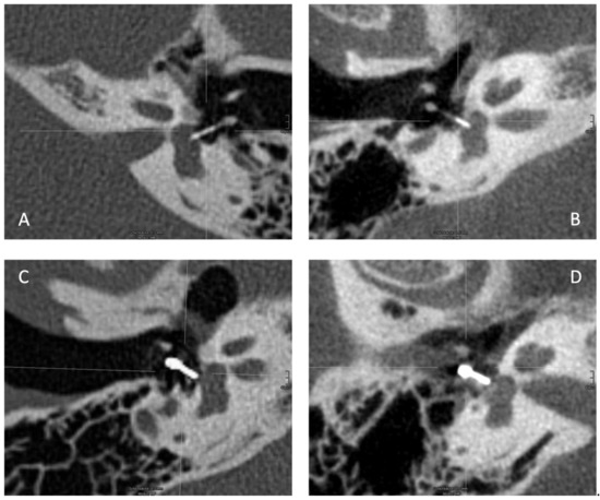
2.4. Computed Tomography and Cone Beam Computed Tomography
2.5. Statistical Analysis
3. Results
3.1. Prostheses Measurements
3.2. CT and CBCT Accuracy
3.3. Hearing Results
4. Discussion
5. Conclusions
Author Contributions
Funding
Institutional Review Board Statement
Informed Consent Statement
Data Availability Statement
Conflicts of Interest
References
- Naggara, O.; Williams, T.; Ayache, D.; Heran, F.; Piekarski, J.D. Imaging of postoperative failures and complications in stapes surgery for otosclerosis. J. Radiol. 2005, 86(12 Pt 1), 1749–1761, Imagerie des echecs et complications post-operatoires de la chirurgie de l’otospongiose. [Google Scholar] [CrossRef]
- Pickuth, D.; Brandt, S.; Berghaus, A.; Spielmann, R.P.; Heywang-Kobrunner, S.H. Vertigo after stapes surgery: The role of high resolution CT. Br. J. Radiol. 2000, 73, 1021–1023. [Google Scholar] [CrossRef] [PubMed]
- Woldag, K.; Meister, E.F.; Kosling, S. Diagnosis in persistent vertigo after stapes surgery. Laryngorhinootologie 1995, 74, 403–407, Diagnostik bei persistierenden Gleichgewichtsstorungen nach Operationen am Stapes. [Google Scholar] [CrossRef] [PubMed]
- Bozzato, A.; Struffert, T.; Hertel, V.; Iro, H.; Hornung, J. Analysis of the accuracy of high-resolution computed tomography techniques for the measurement of stapes prostheses. Eur. Radiol. 2010, 20, 566–571. [Google Scholar] [CrossRef] [PubMed]
- Hahn, Y.; Diaz, R.; Hartman, J.; Bobinski, M.; Brodie, H. Assessing stapes piston position using computed tomography: A cadaveric study. Otol. Neurotol. 2009, 30, 223–230. [Google Scholar] [CrossRef] [PubMed]
- Warren, F.M.; Riggs, S.; Wiggins, R.H., 3rd. Computed tomographic imaging of stapes implants. Otol. Neurotol. 2008, 29, 586–592. [Google Scholar] [CrossRef] [PubMed]
- Bremke, M.; Luers, J.C.; Stenner, M.; Bovenschulte, H.; Dorn, F.; Unkel, C.; Hollering, J.; Beutner, D. Radiologic examinations in human temporal bone specimens using digital volume tomography and high-resolution computed tomography after implantation of middle ear prosthesis and cochlear implant electrode array. Otol. Neurotol. 2013, 34, 1321–1328. [Google Scholar] [CrossRef] [PubMed]
- Dalchow, C.V.; Weber, A.L.; Yanagihara, N.; Bien, S.; Werner, J.A. Digital volume tomography: Radiologic examinations of the temporal bone. AJR Am. J. Roentgenol. 2006, 186, 416–423. [Google Scholar] [CrossRef] [PubMed]
- Aschendorff, A.; Kubalek, R.; Turowski, B.; Zanella, F.; Hochmuth, A.; Schumacher, M.; Klenzner, T.; Laszig, R. Quality control after cochlear implant surgery by means of rotational tomography. Otol. Neurotol. 2005, 26, 34–37. [Google Scholar] [CrossRef] [PubMed]
- Bland, J.M.; Altman, D.G. Statistical methods for assessing agreement between two methods of clinical measurement. Lancet 1986, 1, 10–30. [Google Scholar] [CrossRef]
- He, S.; Sharpless, N.E. Senescence in Health and Disease. Cell 2017, 169, 1000–1011. [Google Scholar] [CrossRef] [PubMed]
- Zaoui, K.; Kromeier, J.; Neudert, M.; Boedeker, C.C.; Zahnert, T.; Laszig, R.; Offergeld, C. Flat panel CT following stapes prosthesis insertion: An experimental and clinical study. Eur. Radiol. 2012, 22, 837–844. [Google Scholar] [CrossRef] [PubMed]
- Pauw, B.K.; Pollak, A.M.; Fisch, U. Utricle, saccule, and cochlear duct in relation to stapedotomy: A histologic human temporal bone study. Ann. Otol. Rhinol. Laryngol. 1991, 100, 966–970. [Google Scholar] [CrossRef] [PubMed]
- Fang, Y.; Wang, B.; Galvin, J.J., 3rd; Tao, D.; Deng, R.; Ou, X.; Liu, Y.; Dai, P.; Sha, Y.; Zhang, T.; et al. MPR-CT Imaging for Stapes Prosthesis: Accuracy and Clinical Significance. Otol. Neurotol. 2016, 37, 321–323. [Google Scholar] [CrossRef] [PubMed]
- Ciodaro, F.; Freni, F.; Mannella, V.K.; Gazia, F.; Maceri, A.; Bruno, R.; Galletti, F. Use of 3D Volume Rendering Based on High-Resolution Computed Tomography Temporal Bone in Patients with Cochlear Implants. Am J Case Rep. 2019, 20, 184–188. [Google Scholar] [CrossRef] [PubMed]
- Guyader, E.; Savean, J.; Clodic, C.; Letellier, P.; Meriot, P.; Marianowski, R. Three-dimensional reconstruction of the temporal bone: Comparison of in situ, CT, and CBCT measurements. Eur Ann Otorhinolaryngol Head Neck Dis. 2018. [Google Scholar] [CrossRef] [PubMed]
- Harris, J.P.; Gong, S. Comparison of hearing results of nitinol SMART stapes piston prosthesis with conventional piston prostheses: Postoperative results of nitinol stapes prosthesis. Otol. Neurotol. Aug. 2007, 28, 692–695. [Google Scholar] [CrossRef] [PubMed]
- Casale, M.; De Franco, A.; Salvinelli, F.; Piazza, F.; Vincenzi, A.; Zini, C. Hearing results in stapes surgery using two different prosthesis. Rev. Laryngol. Otol. Rhinol. (Bord.) 2003, 124, 255–258. [Google Scholar]





| Imaging Modality | CT | CBCT |
|---|---|---|
| Titanium | 18 | 8 |
| Platinum–fluoroplastic | 6 | 13 |
| Mean age at time of surgery | 46 y (28–75 y) | 46 y (31–70 y) |
| Images with movement artifacts | 0 | 2 |
| Overestimation of functional length | 2 (8.3%) | 2 (9.5%) |
| Correct measurement of functional length | 4 (16.7%) | 3 (14.3%) |
| Underestimation of functional length | 18 (75.0%) | 16 (76.2%) |
| Total | 24 | 21 |
| Prosthesis Material | T | PF |
|---|---|---|
| Mean age at time of surgery | 47 y (28–75) | 44 y (31–61) |
| Median vestibular intrusion | 1.3 mm | 1.4 mm |
| Prosthesis does not seem to reach into vestibule in imaging | 0 | 2 |
| 4.50 mm functional prosthesis length | 12 | 13 |
| Mean ABG before surgery | 30.0 dB HL | 29.0 dB HL |
| Mean ABG after surgery | 10.8 dB HL | 9.4 dB HL |
| Overestimation of functional length | 2 (7.7%) | 2 (10.5%) |
| Correct measurement of functional length | 7 (26.9%) | 0 (0.0%) |
| Underestimation of functional length | 17 (65.4%) | 17 (89.5%) |
| Total | 26 | 19 |
| Mean Functional Length Measurement Error | T | PF | Total |
|---|---|---|---|
| Independent of imaging | −0.09 (±0.15) | −0.26 (±0.22) | −0.17 mm (±0.20) |
| CT | −0.13 (±0.15) | −0.24 (±0.18) | −0.16 (±0.17) |
| CBCT | −0.02 (±0.10) | −0.27 (±0.20) | −0.18 (±0.23) |
Publisher’s Note: MDPI stays neutral with regard to jurisdictional claims in published maps and institutional affiliations. |
© 2021 by the authors. Licensee MDPI, Basel, Switzerland. This article is an open access article distributed under the terms and conditions of the Creative Commons Attribution (CC BY) license (http://creativecommons.org/licenses/by/4.0/).
Share and Cite
Dahm, V.; Schwarz–Nemec, U.; Auinger, A.B.; Arnoldner, M.A.; Kaider, A.; Riss, D.; Czerny, C.; Arnoldner, C. Titanium and Platinum–Fluoroplastic Stapes Prostheses Visualization on Cone Beam Computed Tomography and High-Resolution Computed Tomography. Life 2021, 11, 156. https://doi.org/10.3390/life11020156
Dahm V, Schwarz–Nemec U, Auinger AB, Arnoldner MA, Kaider A, Riss D, Czerny C, Arnoldner C. Titanium and Platinum–Fluoroplastic Stapes Prostheses Visualization on Cone Beam Computed Tomography and High-Resolution Computed Tomography. Life. 2021; 11(2):156. https://doi.org/10.3390/life11020156
Chicago/Turabian StyleDahm, Valerie, Ursula Schwarz–Nemec, Alice B. Auinger, Michael A. Arnoldner, Alexandra Kaider, Dominik Riss, Christian Czerny, and Christoph Arnoldner. 2021. "Titanium and Platinum–Fluoroplastic Stapes Prostheses Visualization on Cone Beam Computed Tomography and High-Resolution Computed Tomography" Life 11, no. 2: 156. https://doi.org/10.3390/life11020156
APA StyleDahm, V., Schwarz–Nemec, U., Auinger, A. B., Arnoldner, M. A., Kaider, A., Riss, D., Czerny, C., & Arnoldner, C. (2021). Titanium and Platinum–Fluoroplastic Stapes Prostheses Visualization on Cone Beam Computed Tomography and High-Resolution Computed Tomography. Life, 11(2), 156. https://doi.org/10.3390/life11020156

