An Unusual Presentation of Crohn’s Disease Diagnosed Following Accidental Ingestion of Fruit Pits: Report of Two Cases and Review of the Literature
Abstract
1. Introduction
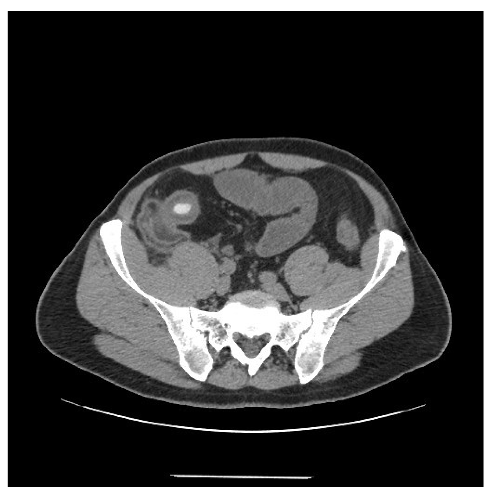
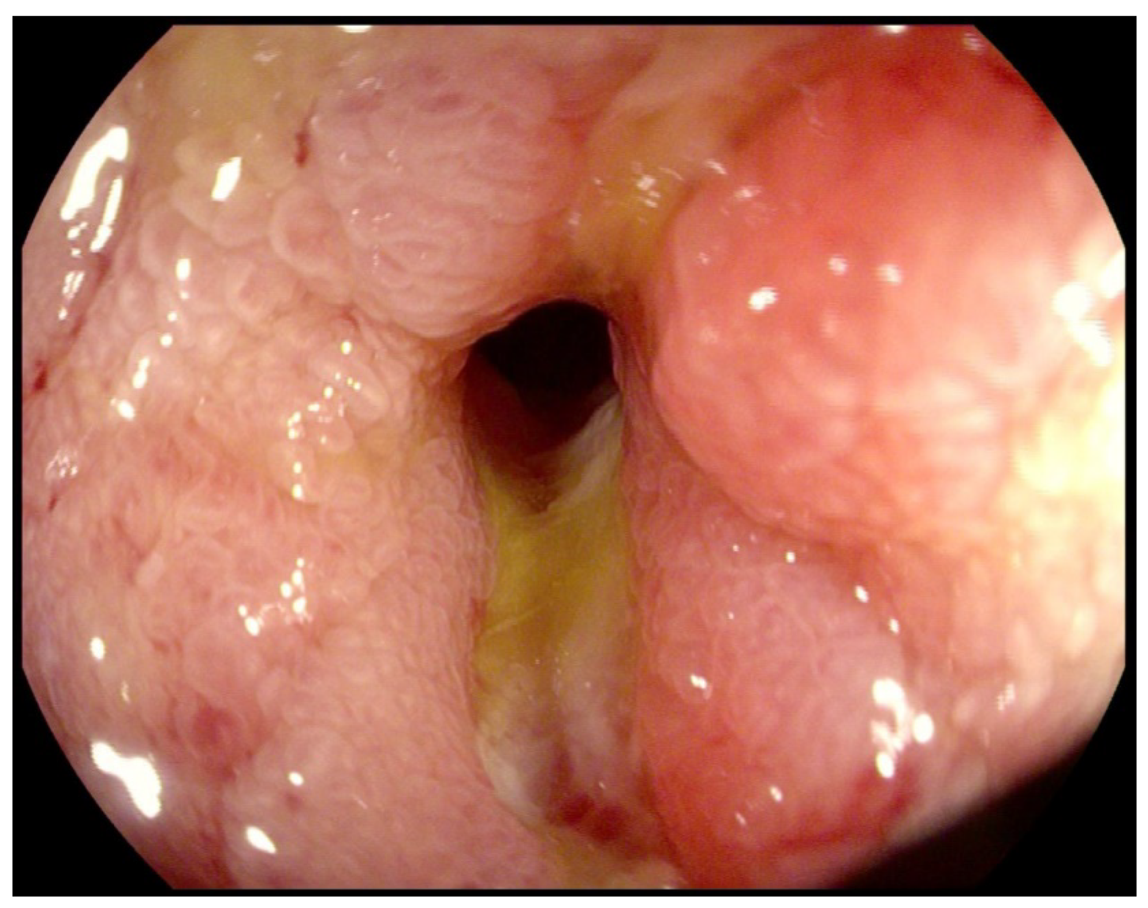
1.1. Case 1
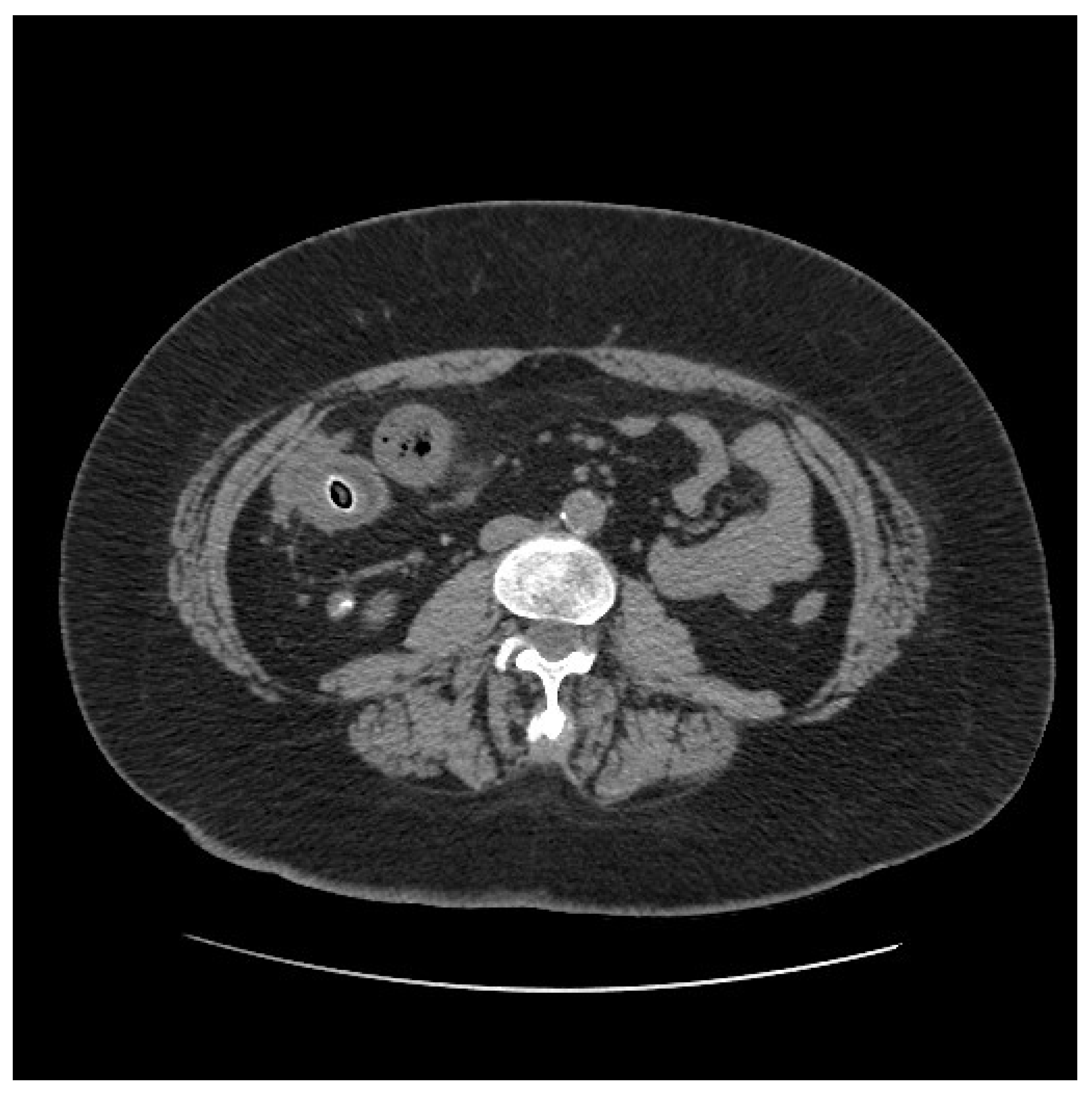
1.2. Case 2
2. Discussion
Author Contributions
Funding
Institutional Review Board Statement
Informed Consent Statement
Data Availability Statement
Acknowledgments
Conflicts of Interest
References
- Rieder, F.; Latella, G.; Magro, F.; Yuksel, E.S.; Higgins, P.D.R.; Di Sabatino, A.; De Bruyn, J.R.; Rimola, J.; Brito, J.; Bettenworth, D.; et al. European Crohn’s and Colitis Organisation Topical Review on Prediction, Diagnosis and Management of Fibrostenosing Crohn’s Disease. J. Crohn’s Colitis 2016, 10, 873–885. [Google Scholar] [CrossRef]
- De Albuquerque, I.C.; Carvalho, M.A.; Batista, R.R.; Formiga, G.J.S. Bezoar by mesalazine tablets: Cause of intestinal obstruction in Crohn’s disease. J. Coloproctology 2012, 32, 422–425. [Google Scholar] [CrossRef]
- Piodi, L.P.; Ulivieri, F.M.; Carini, M.; Piccoli, A.; Bardella, M.T. Iatrogenic ileal obstruction in a patient with Crohn’s disease. Dig. Dis. Sci. 2004, 49, 1287–1290. [Google Scholar] [CrossRef]
- Li, J.; Mao, R.; Kurada, S.; Wang, J.; Lin, S.; Chandra, J.; Rieder, F. Pathogenesis of fibrostenosing Crohn’s disease. Transl. Res. 2019, 209, 39–54. [Google Scholar] [CrossRef] [PubMed]
- Mager, R.; Roda, G.; Shalaby, M.K.; Vetrano, S. Fibrotic Strictures in Crohn’s Disease: Mechanisms and Predictive Factors. Curr. Drug Targets 2021, 22, 241–251. [Google Scholar] [CrossRef] [PubMed]
- Iwamuro, M.; Okada, H.; Matsueda, K.; Inaba, T.; Kusumoto, C.; Imagawa, A.; Yamamoto, K. Review of the diagnosis and management of gastrointestinal bezoars. World J. Gastrointest. Endosc. 2015, 7, 336–345. [Google Scholar] [CrossRef] [PubMed]
- Hemmasi, G.; Zanganeh, E.; Hosseini, S.A.; Alimadadi, M.; Ahmadi, A.; Hajiebrahimi, S.; Seyyedmajidi, M. Risk factors, endoscopic findings, and treatments in upper gastrointestinal bezoars: Multi-center experience in Iran. Gastroenterol. Hepatol. Bed Bench 2021, 14, 160–164. [Google Scholar]
- Gastrointestinal Foreign Bodies: Background, Pathophysiology, Epidemiology. 2016. Available online: http://emedicine.medscape.com/article/776566-overview (accessed on 25 November 2021).
- Fernando, A.R.; Bulathsinghela, R.; Samarasekera, D.N. An unusual cause of small bowel obstruction due to an ingested mango seed: A case report. BMC Res. Notes 2017, 10, 549. [Google Scholar] [CrossRef] [PubMed]
- Lichtenstein, G.R.; Hanauer, S.B.; Sandborn, W.J. Management of Crohn’s Disease in Adults. Am. J. Gastroenterol. 2009, 104, 465–483. [Google Scholar] [CrossRef]
- Khare, D.K.; Bansal, R.; Doraisamy, S.; Gupta, S. Crohn’s disease presenting as enterolithic intestinal obstruction. Am. J. Surg. 2004, 187, 408–409. [Google Scholar] [CrossRef]
- Geoghegan, T.; Stunel, H.; Ridgeway, P.; Birido, N.; Geraghty, J.; Torreggiani, W.C. Small bowel obstruction secondary to a giant enterolith complicating Crohn’s disease. Ir. J. Med. Sci. 2005, 174, 58–59. [Google Scholar] [CrossRef] [PubMed]
- Meade, P.; McDonnell, B.; Fellows, D.; Holtzmuller, K.C.; Runke, L. Enteroliths causing intermittent obstruction in a patient with Crohn’s disease. Am. J. Gastroenterol. 1991, 86, 96–98. [Google Scholar]
- García, A.B.; Manrique, H.P.; Sousa, C.N.; Cuadrado, M.G.; Esteban, M.C.G.; Feria, M.R.; Lora, M.R.; Macías, A.D. Intermittent small bowel obstruction secondary to enterolithiasis in Crohn’s disease. Rev. Esp. Enferm. Dig. 2009, 101, 738–739. [Google Scholar] [CrossRef][Green Version]
- Harrington, S.; Mohamed, S.; Bloch, R. Small Bowel Obstruction by a Primary Phytobezoar in Crohn’s Disease. Am. Surg. 2009, 75, 93–94. [Google Scholar] [CrossRef]
- Siddiqua, T.; Easley, D.; Thomas, S.; Zenel, J.A.; Pohl, J.F. Visual Diagnosis: A Small Bowel Obstruction. Pediatr. Rev. 2009, 30, 486–490. [Google Scholar] [CrossRef] [PubMed]
- Kaufman, D.; Lazinger, M.; Fogel, S.; Dutta, S. Fruit pit obstruction leading to the diagnosis of Crohn’s disease. Am. J. Surg. 2001, 182, 530. [Google Scholar] [CrossRef]
- Shedda, S.; Frizelle, F. Crohn’s Disease and an Olive. N. Engl. J. Med. 2006, 355, e22. [Google Scholar] [CrossRef] [PubMed]
- O’Donnell, M.E.; Gibson, N.; Sharif, M.A.; Spence, R.A.; Lee, J. Silent disease revealed by a fruit—Ileal obstruction. Gut 2006, 55, 181–190. [Google Scholar]
- Pintcke, A.; Awan, A. Foreign Body Ingestion Masquerading as Crohn’s Disease. Am. J. Gastroenterol. 2014, 109, S462. [Google Scholar] [CrossRef]
- Garau, M.V.; Vicens, D.G.; Rigo, A.L.; Méndez, Z.M.; López, M.J.; Moya, S.P.; Duran, C.G.; Cantallops, J.G. Impactación de un cuerpoextrañoen un paciente con enfermedad de Crohn [Im-pacted foreign body in a patient with Crohn’s disease]. Gastroenterol. Hepatol. 2009, 32, 339–342. [Google Scholar]
- Hokama, A.; Kishimoto, K.; Ihama, Y.; Chinen, H.; Kinjo, F.; Fujita, J. A Food Impaction in Crohn’s Ileal Stricture. West. J. Emerg. Med. 2010, 11, 106. [Google Scholar]
- Sohail, U.; Ashraf, I.; Mir, F.; Wu, Z.; Hammad, H. Calcified Foreign Body Causing Intestinal Obstruction in a Patient With Crohn’s Disease. Am. J. Gastroenterol. 2015, 110, S29. [Google Scholar] [CrossRef]
- Christianakis, E.; Pashalidis, N.; Kokkinou, S.; Pitiakoudis, M.; Mplevrakis, E.; Chorti, M.; Rizos, S.; Filippou, D. Acute jejunoileal obstruction due to a pseudopolyp in a child with undiagnosed crohn disease: A case report. J. Med. Case Rep. 2008, 2, 54. [Google Scholar] [CrossRef][Green Version]
- Albuquerque, I.C.; Alves Filho, E.F.; Nunes, B.L.; Nossa, F.L.; Barreto Neto, P.F.; Silva, J.H.; Formiga, G.J. Intussuscepçãocolônica por lipoma. Relato de doiscasos. Rev. Bras. Coloproct. 1998, 18, 256–259. [Google Scholar]
- Wu, X.-R.; Shen, B. Endoscopic Treatment of Bezoars and Foreign Bodies in Patients With Inflammatory Bowel Disease. Interv. Inflamm. Bowel Dis. 2018, 9, 309–317. [Google Scholar] [CrossRef]
- Torres, J.; Mehandru, S.; Colombel, J.F.; Peyrin-Biroulet, L. Crohn’s disease. Lancet 2017, 389, 1741.e55. [Google Scholar] [CrossRef]
- Henriksen, M.; Jahnsen, J.; Lygren, I.; Aadland, E.; Schulz, T.; Vatn, M.H.; Moum, B. The IBSEN study group Clinical course in Crohn’s disease: Results of a five-year population-based follow-up study (the IBSEN study). Scand. J. Gastroenterol. 2007, 42, 602–610. [Google Scholar] [CrossRef] [PubMed]
- Thia, K.T.; Sandborn, W.J.; Harmsen, W.S.; Zinsmeister, A.R.; Loftus, E.V., Jr. Risk factors associated with progression to intestinal complications of Crohn’s disease in a population-based cohort. Gastroenterology 2010, 139, 1147.e55. [Google Scholar] [CrossRef]
- McCanse, D.E.; Kurchin, A.; Hinshaw, J.R. Gastrointestinal foreign bodies. Am. J. Surg. 1981, 142, 335–337. [Google Scholar] [CrossRef]
- Ali, F.E.; Al-Busairi, W.A.; Esbaita, E.Y.; Al-Bustan, M.A. Chronic Perforation of the Sigmoid Colon by Foreign Body. Curr. Surg. 2005, 62, 419–422. [Google Scholar] [CrossRef] [PubMed]
- Um, S.; Poblete, H.; Zavotsky, J. Small bowel perforation caused by an impacted endocapsule. Endoscopy 2008, 40, E122–E123. [Google Scholar] [CrossRef]
- Nabeel-Zafar, S.; Traverso, P.; Asare, M.; Romero, N.; Changoor, N.R.; Hughes, K.; Greene, W.R. Small bowel perforation subse-quent to mushroom bezoar as a presentation of Crohn’s disease. Am. Surg. 2013, 79, 278–280. [Google Scholar] [CrossRef]
- Costa, M.H.D.M.; Moreira, A.D.L.; Zaltman, C. Wireless Capsule Endoscopy Fragmentation in a Patient With Crohn’s Disease. Clin. Gastroenterol. Hepatol. 2011, 9, e116–e117. [Google Scholar] [CrossRef] [PubMed]
- Rubano, J.A.; Quarrier, S.; Demuro, J.P. Complete small bowel obstruction resulting from a mushroom bezoar. Am. Surg. 2013, 79, E102.e3. [Google Scholar] [CrossRef]
- Yang, J.E.; Ahn, J.Y.; Kim, G.A.; Kim, G.H.; Yoon, D.L.; Jeon, S.J.; Jung, H.-Y.; Kim, J.-H. A Large-Sized Phytobezoar Located on the Rare Site of the Gastrointestinal Tract. Clin. Endosc. 2013, 46, 399–402. [Google Scholar] [CrossRef]
- Bharadwaj, S.; Fleshner, P.; Shen, B. Therapeutic armamentarium for stricturing Crohn’s disease: Medical versus endo-scopic versus surgical approaches. Inflamm. Bowel Dis. 2015, 21, 2194.e213. [Google Scholar] [CrossRef]
- Lozano, H.M.; Rincon, O.N.; Marín, C.N.; Alonso, A.C.; Lledó, J.G.; Viso, L.M.; Marín-Jiménez, I. Retrograde single-balloon enteroscopy for the removal of a mollusc shell retained in the ileum of a patient with active Crohn’s disease. Endoscopy 2018, 51, E14–E15. [Google Scholar] [CrossRef]
- Sinagra, E.; Orlando, A.; Mocciaro, F.; Criscuoli, V.; Oliva, L.; Maisano, S.; Giunta, M.; La Seta, F.; Solina, G.; Rizzo, A.G.; et al. Clinical course of severe colitis: A comparison between Crohn’s Disease and ulcerative colitis. J. Boil. Regul. Homeost. Agents 2018, 32, 415–423. [Google Scholar]
- Orlando, A.; Guglielmi, F.W.; Cottone, M.; Orlando, E.; Romano, C.; Sinagra, E. Clinical implications of mucosal healing in the management of patients with inflammatory bowel disease. Dig. Liver Dis. 2013, 45, 986–991. [Google Scholar] [CrossRef]
- Bulatov, E.; Khaiboullina, S.; dos Reis, H.J.; Palotás, A.; Venkataraman, K.; Vijayalakshmi, M.; Rizvanov, A. Ubiqui-tin-proteasome system: Promising therapeutic targets in autoimmune and neurodegenerative diseases. BioNanoScience 2016, 6, 341–344. [Google Scholar] [CrossRef]





| Author [ref.] | Year of Publication | Patient’s Age | Patient’s Sex | Type of Seeds | Management |
|---|---|---|---|---|---|
| Kaufman, D [15] | 2001 | 62 | Male | Plum pit | Surgery (Laparotomy) |
| Shedda, S [16] | 2006 | 45 | Male | Olive pit | Surgery (Laparotomy) |
| Slim, R [17] | 2006 | 55 | Female | Fruit pit | Surgery (Laparoscopy) |
| Garau, MV [19] | 2009 | 48 | Male | Medlar pit | Endoscopy (Balloon dilation and retrieval) |
Publisher’s Note: MDPI stays neutral with regard to jurisdictional claims in published maps and institutional affiliations. |
© 2021 by the authors. Licensee MDPI, Basel, Switzerland. This article is an open access article distributed under the terms and conditions of the Creative Commons Attribution (CC BY) license (https://creativecommons.org/licenses/by/4.0/).
Share and Cite
Sinagra, E.; Raimondo, D.; Iacopinelli, S.M.; Rossi, F.; Conoscenti, G.; Di Maggio, M.A.; Testai, S.; Alloro, R.; Marasà, M.; Calandra, A.; et al. An Unusual Presentation of Crohn’s Disease Diagnosed Following Accidental Ingestion of Fruit Pits: Report of Two Cases and Review of the Literature. Life 2021, 11, 1415. https://doi.org/10.3390/life11121415
Sinagra E, Raimondo D, Iacopinelli SM, Rossi F, Conoscenti G, Di Maggio MA, Testai S, Alloro R, Marasà M, Calandra A, et al. An Unusual Presentation of Crohn’s Disease Diagnosed Following Accidental Ingestion of Fruit Pits: Report of Two Cases and Review of the Literature. Life. 2021; 11(12):1415. https://doi.org/10.3390/life11121415
Chicago/Turabian StyleSinagra, Emanuele, Dario Raimondo, Salvatore Marco Iacopinelli, Francesca Rossi, Giuseppe Conoscenti, Maria Angela Di Maggio, Sergio Testai, Rita Alloro, Marta Marasà, Alberto Calandra, and et al. 2021. "An Unusual Presentation of Crohn’s Disease Diagnosed Following Accidental Ingestion of Fruit Pits: Report of Two Cases and Review of the Literature" Life 11, no. 12: 1415. https://doi.org/10.3390/life11121415
APA StyleSinagra, E., Raimondo, D., Iacopinelli, S. M., Rossi, F., Conoscenti, G., Di Maggio, M. A., Testai, S., Alloro, R., Marasà, M., Calandra, A., Costanza, C., Cristofalo, S., Pallio, S., Maida, M., Tarantino, I., & Arena, G. (2021). An Unusual Presentation of Crohn’s Disease Diagnosed Following Accidental Ingestion of Fruit Pits: Report of Two Cases and Review of the Literature. Life, 11(12), 1415. https://doi.org/10.3390/life11121415

