Structural Changes in Stx1 Engineering Monoclonal Antibody Improves Its Functionality as Diagnostic Tool for a Rapid Latex Agglutination Test
Abstract
1. Introduction
2. Materials and Methods
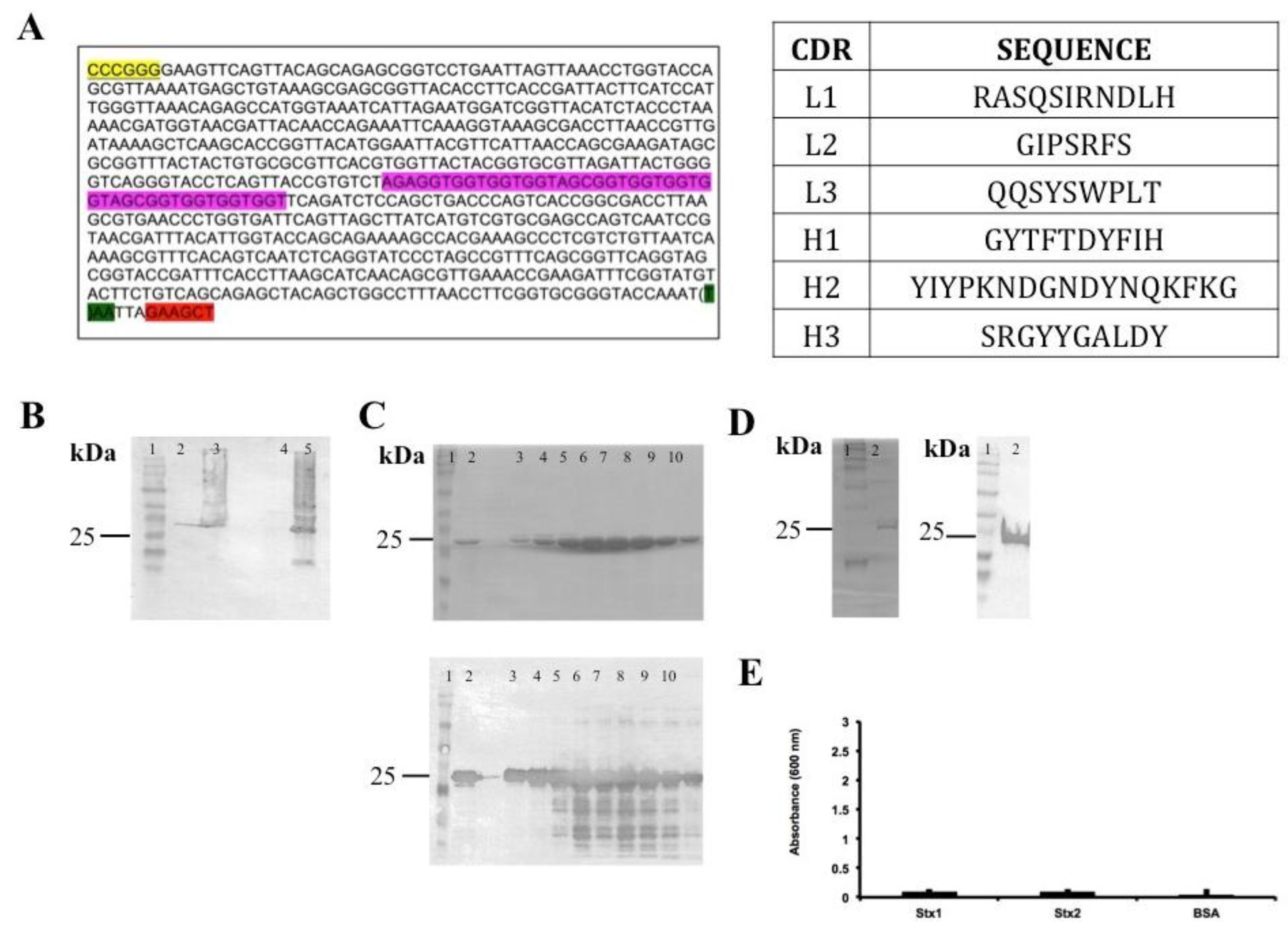
2.1. scFvStx1(I) Gene Design, Expression and Purification
2.2. scFvStx1(I) Gene Modifications
2.3. scFvStx1 Fragment Procurement
2.4. Rapid Latex Agglutination Test (RALT)
3. Results
4. Discussion
Acknowledgments
Author Contributions
Conflicts of Interest
References
- Holliger, P.; Hudson, P.J. Engineered antibody fragments and the rise of single domains. Nat. Biotechnol. 2005, 23, 1126–1136. [Google Scholar] [CrossRef] [PubMed]
- Weatherill, E.E.; Cain, K.L.; Heywood, S.P.; Heywood, S.P.; Compson, J.E.; Heads, J.T.; Adams, R.; Humphreys, D.P. Towards a universal disulphide stabilised single chain Fv format: Importance of interchain disulphide bond location and vL-vH orientation. Protein Eng. Des. Sel. 2012, 25, 321–329. [Google Scholar] [CrossRef] [PubMed]
- Gu, X.; Jia, X.; Feng, J.; Shen, B.; Huang, Y.; Geng, S.; Sun, Y.; Wang, Y.; Li, Y.; Long, M. Molecular modeling and affinity determination of scFv antibody: Proper linker peptide enhances its activity. Ann. Biomed. Eng. 2010, 38, 537–549. [Google Scholar] [CrossRef] [PubMed]
- Gram, H.; Marconi, L.A.; Barbas, C.F.; Collet, T.A.; Lerner, R.A.; Kang, A.S. In vitro selection and affinity maturation of antibodies from a naive combinatorial immunoglobulin library. Proc. Natl. Acad. Sci. USA 1992, 89, 3576–3580. [Google Scholar] [CrossRef] [PubMed]
- Ahmad, A.Z.; Yeap, S.K.; Ali, A.M.; Ho, W.Y.; Alitheen, N.B.; Hamid, M. scFv Antibody: Principles and Clinical Application. Clin. Dev. Immunol. 2012. [Google Scholar] [CrossRef] [PubMed]
- Melton-Celsa, A.R. Shiga toxin (Stx) classification, structure, and function. Microbiol. Spectr. 2014. [Google Scholar] [CrossRef] [PubMed]
- Fontaine, A.; Arondel, J.; Sansonetti, P.J. Role of Shiga toxin in the pathogenesis of bacillary dysentery, studied by using a Tox-mutant of Shigella dysenteriae 1. Infect. Immun. 1988, 56, 3099–3109. [Google Scholar] [PubMed]
- Thompson, G.S.; Shimizu, H.; Homans, S.W.; Donohue-Rolfe, A. Localization of the binding site for the oligosaccharide moiety of Gb3 on verotoxin 1 using NMR residual dipolar coupling measurements. Biochemistry 2000, 39, 13153–13156. [Google Scholar] [CrossRef] [PubMed]
- Ibarra, C.; Amaral, M.M.; Palermo, M.S. Advances in pathogenesis and therapy of hemolytic uremic syndrome caused by Shiga toxin-2. IUBMB Life 2013, 65, 827–835. [Google Scholar] [CrossRef] [PubMed]
- Anderson, K.M.; Abbott, J.; Zhao, S.; Liu, E.; Himathongkham, S. Molecular subtyping of Shiga toxin-producing Escherichia coli using a commercial repetitive sequence-based PCR assay. J. Food Prot. 2015, 78, 902–911. [Google Scholar] [CrossRef] [PubMed]
- Rocha, L.B.; Luz, D.E.; Moraes, C.T.P.; Caravelli, A.; Fernandes, I.; Guth, B.E.C.; Horton, D.S.P.Q.; Piazza, R.M.F. Interaction between Shiga toxin and monoclonal antibodies: Binding characteristics and in vitro neutralizing abilities. Toxins 2012, 4, 729–747. [Google Scholar] [CrossRef] [PubMed]
- Luz, D.; Chen, G.; Maranhão, A.Q.; Rocha, L.B.; Sidhu, S.; Piazza, R.M. Development and characterization of recombinant antibody fragments that recognize and neutralize in vitro Stx2 toxin from Shiga toxin-producing Escherichia coli. PLoS ONE 2015, 10, e0120481. [Google Scholar] [CrossRef] [PubMed]
- Chung, C.T.; Niemela, S.L.; Miller, R.H. One-step preparation of competent Escherichia coli: Transformation and storage of bacterial cells in the same solution. Proc. Natl. Acad. Sci. USA 1989, 86, 2172–2175. [Google Scholar] [CrossRef] [PubMed]
- Persson, H.; Ye, W.; Wernimont, A.; Adams, J.J.; Koide, A.; Koide, S.; Lam, R.; Sidhu, S.S. CDR-H3 diversity is not required for antigen recognition by synthetic antibodies. J. Mol. Biol. 2013, 425, 803–811. [Google Scholar] [CrossRef] [PubMed]
- Ristori, C.A.; Rowlands, R.E.G.; Jakabi, M.; Gelli, D.S.; Scola, M.C.G.; de Gaspari, E.N. Detecção de Vibrio cholerae O1 em ostras utilizando anticorpo monoclonal em ensaio de aglutinação. Rev. Inst. Adolfo Lutz 2006, 65, 127–132. (In Portuguese) [Google Scholar]
- Melli, L.J.; Ciocchini, A.E.; Caillava, A.J.; Vozza, N. Serogroup-specific bacterial engineered glycoproteins as novel antigenic targets for diagnosis of Shiga toxin-producing Escherichia coli-associated hemolytic uremic syndrome. J. Clin. Microbiol. 2014. [Google Scholar] [CrossRef] [PubMed]
- Zoja, C.; Buelli, S.; Morigi, M. Shiga toxin-associated hemolytic uremic syndrome: Pathophysiology of endothelial dysfunction. Pediatr. Nephrol. 2010, 25, 2231–2240. [Google Scholar] [CrossRef] [PubMed]
- Gould, L.H.; Bopp, C.; Strockbine, N.; Atkinson, R.; Baselski, V.; Body, B.; Carey, R.; Crandall, C.; Hurd, S.; Kaplan, R.; et al. Recommendations for diagnosis of Shiga toxin producing Escherichia coli infections by clinical laboratories. MMWR Recomm. Rep. 2009, 58, 1–12. [Google Scholar] [CrossRef] [PubMed]
- Worn, A.; Pluckthun, A. Stability engineering of antibody single-chain Fv fragments. J. Mol. Biol. 2001, 305, 989–1010. [Google Scholar] [CrossRef] [PubMed]
- Gilbert, H.F. Molecular and cellular aspects of thiol-disulphide exchange. Adv. Enzymol. Relat. Areas Mol. Biol. 1990, 63, 69–172. [Google Scholar] [PubMed]
- Williams, A.F.; Barclay, A.N. The immunoglobulin superfamily, domains for cell surface recognition. Annu. Rev. Immunol. 1988, 6, 381–405. [Google Scholar] [CrossRef] [PubMed]
- Proba, K.; Honegger, A.; Pluckthun, A. A natural antibody missing a cysteine in VH: Consequences for thermodynamic stability and folding. J. Mol. Biol. 1997, 265, 161–172. [Google Scholar] [CrossRef] [PubMed]
- Glockshuber, R.; Schmidt, T.; Plukthun, A. The disulphide bonds in antibody variable domains: Effects on stability, folding in vitro, and functional expression in Escherichia coli. Biocheimistry 1992, 31, 1270–1279. [Google Scholar] [CrossRef]
- Cattaneo, A.; Biocca, S. The selection of intracellular antibodies. Trends Biotechnol. 1999, 17, 115–121. [Google Scholar] [CrossRef]
- Cheng, Y.; Li, Z.; Xi, H.; Gu, T.; Yuan, R.; Chen, X.; Jiang, C.; Kong, W.; Wu, Y. A VL-linker-VH orientation dependent single chain variable antibody fragment against rabies virus G protein with enhanced neutralizing potency in vivo. Protein Pept. Lett. 2016, 23, 24–32. [Google Scholar] [CrossRef] [PubMed]
- Gustavsson, M.; Lehtiö, J.; Denman, S.; Teeri, T.T.; Hult, K.; Martinelle, M. Stable linker peptides for a cellulose-binding domain-lipase fusion protein expressed in Pichia pastoris. Protein Eng. 2001, 14, 711–715. [Google Scholar] [CrossRef] [PubMed]
- Zhao, H.L.; Yao, X.Q.; Xue, C.; Wang, Y.; Xiong, X.H.; Liu, Z.M. Increasing the homogeneity, stability and activity of human serum albumin and interferon-alpha2b fusion protein by linker engineering. Protein Expr. Purif. 2008, 61, 73–77. [Google Scholar] [CrossRef] [PubMed]
- Feije, M.J.; Buchner, J. Principles and engineering of antibody folding and assembly. Biochim. Biophys. Acta 2014, 1844, 2024–2031. [Google Scholar] [CrossRef] [PubMed]
- Andrade, E.V.; Freitas, S.M.; Ventura, M.M.; Maranhão, A.Q.; Brigido, M.M. Thermodynamic basis for antibody binding to Z-DNA: Comparison of a monoclonal antibody and its recombinant derivatives. Biochim. Biophys. Acta 2005, 1726, 293–301. [Google Scholar] [CrossRef] [PubMed]



| scFvStx1(II) | IgG mAb | |
|---|---|---|
| Affinity constant (KD) | 2.26 × 10−7 M | 2.5 × 10−10 M |
| Expression system | Bacterial | Hybridoma |
| Yield after purification | 2 mg/L | 2 mg/L |
| Time to obtain (weeks) | 1 | 5–7 |
| Cross-reactivity to Stx2 * | Yes | Yes |
© 2018 by the authors. Licensee MDPI, Basel, Switzerland. This article is an open access article distributed under the terms and conditions of the Creative Commons Attribution (CC BY) license (http://creativecommons.org/licenses/by/4.0/).
Share and Cite
Luz, D.; Shiga, E.A.; Chen, G.; Quintilio, W.; Andrade, F.B.; Maranhão, A.Q.; Caetano, B.A.; Mitsunari, T.; Silva, M.A.; Rocha, L.B.; et al. Structural Changes in Stx1 Engineering Monoclonal Antibody Improves Its Functionality as Diagnostic Tool for a Rapid Latex Agglutination Test. Antibodies 2018, 7, 9. https://doi.org/10.3390/antib7010009
Luz D, Shiga EA, Chen G, Quintilio W, Andrade FB, Maranhão AQ, Caetano BA, Mitsunari T, Silva MA, Rocha LB, et al. Structural Changes in Stx1 Engineering Monoclonal Antibody Improves Its Functionality as Diagnostic Tool for a Rapid Latex Agglutination Test. Antibodies. 2018; 7(1):9. https://doi.org/10.3390/antib7010009
Chicago/Turabian StyleLuz, Daniela, Emerson A. Shiga, Gang Chen, Wagner Quintilio, Fernanda B. Andrade, Andrea Q. Maranhão, Bruna A. Caetano, Thaís Mitsunari, Míriam A. Silva, Letícia B. Rocha, and et al. 2018. "Structural Changes in Stx1 Engineering Monoclonal Antibody Improves Its Functionality as Diagnostic Tool for a Rapid Latex Agglutination Test" Antibodies 7, no. 1: 9. https://doi.org/10.3390/antib7010009
APA StyleLuz, D., Shiga, E. A., Chen, G., Quintilio, W., Andrade, F. B., Maranhão, A. Q., Caetano, B. A., Mitsunari, T., Silva, M. A., Rocha, L. B., Moro, A. M., Sidhu, S. S., & Piazza, R. M. F. (2018). Structural Changes in Stx1 Engineering Monoclonal Antibody Improves Its Functionality as Diagnostic Tool for a Rapid Latex Agglutination Test. Antibodies, 7(1), 9. https://doi.org/10.3390/antib7010009

