Identification of Conserved Linear Epitopes on Viral Protein 2 of Foot-and-Mouth Disease Virus Serotype O by Monoclonal Antibodies 6F4.D11.B6 and 8D6.B9.C3
Abstract
1. Introduction
2. Materials and Methods
2.1. Cells and Viruses
2.2. Preparation of Monoclonal Antibodies
2.3. Production of the Recombinant VP Capsid Proteins
2.4. Indirect Enzyme-Linked Immunosorbent Assay (ELISA)
2.5. Immunoperoxidase Monolayer Assay (IPMA)
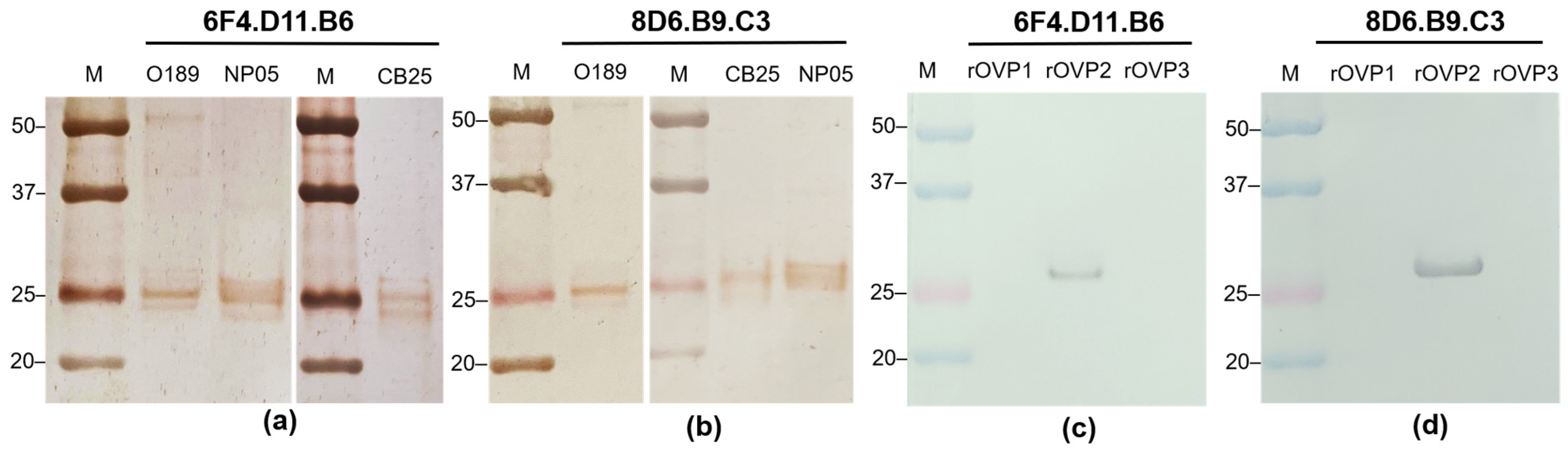
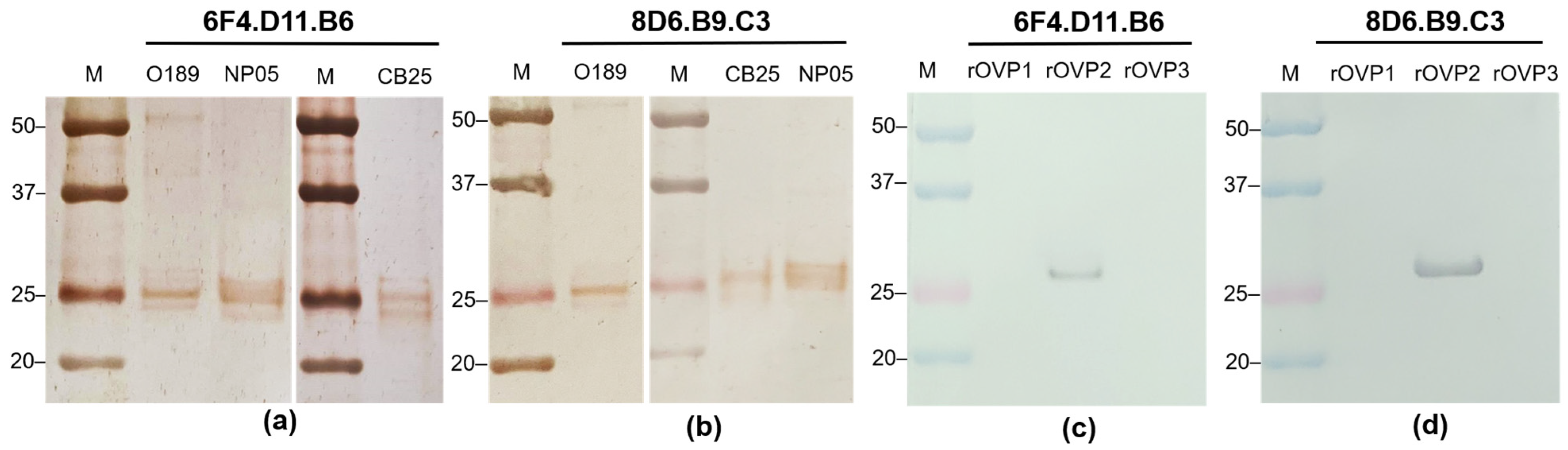
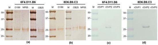
2.6. Western Blot
2.7. Micro-Neutralization Assay
2.8. Bio-Panning
2.9. Phage ELISA
2.10. Peptide ELISA
2.11. Statistical Analysis
2.12. PCR Amplification of Immunoglobulin Light and Heavy Chain Variable Genes
2.13. Molecular Modeling of FMDV VPs and Monoclonal Antibodies
2.14. Molecular Docking to Predict FMDV VP2 Capsid Protein and Monoclonal Antibody Interactions
3. Results
3.1. Generation of Monoclonal Antibody
3.2. Epitope Mapping by Phage Display Technique
3.3. Validation of the Predicted Epitope by Peptide ELISA
3.4. Prediction of the Interaction of FMDV Serotype O Capsid Protein VP2 and Monoclonal Antibodies by Molecular Docking Analysis
4. Discussion
5. Conclusions
Supplementary Materials
Author Contributions
Funding
Institutional Review Board Statement
Informed Consent Statement
Data Availability Statement
Acknowledgments
Conflicts of Interest
References
- Gao, Y.; Sun, S.Q.; Guo, H.C. Biological Function of FMDV Non-structural Proteins and Non-coding Elements. Virol. J. 2016, 13, 107. [Google Scholar] [CrossRef] [PubMed]
- Knowles, N.J.; Samuel, A.R. Molecular Epidemiology of Foot-and-mouth Disease Virus. Virus Res. 2003, 91, 65–80. [Google Scholar] [CrossRef] [PubMed]
- Bachanek-Bankowska, K.; Di Nardo, A.; Wadsworth, J.; Mioulet, V.; Pezzoni, G.; Grazioli, S.; Brocchi, E.; Kafle, S.C.; Hettiarachchi, R.; Kumarawadu, P.L.; et al. Reconstructing the Evolutionary History of Pandemic Foot-and-mouth Disease Viruses: The Impact of Recombination within the Emerging O/ME-SA/Ind-2001 Lineage. Sci. Rep. 2018, 8, 14693. [Google Scholar] [CrossRef] [PubMed]
- Li, F.; Li, Y.; Ma, J.; Wu, R.; Zou, X.; Liu, Y.; Zhao, Q.; Zhu, Y. Molecular Evolution, Diversity, and Adaptation of Foot-and-mouth Disease Virus Serotype O in Asia. Front. Microbiol. 2023, 14, 1147652. [Google Scholar] [CrossRef] [PubMed]
- Reeve, R.; Borley, D.W.; Maree, F.F.; Upadhyaya, S.; Lukhwareni, A.; Esterhuysen, J.J.; Harvey, W.T.; Blignaut, B.; Fry, E.E.; Parida, S.; et al. Tracking the Antigenic Evolution of Foot-and-Mouth Disease Virus. PLoS ONE 2016, 11, e0159360. [Google Scholar] [CrossRef] [PubMed]
- Domingo, E.; Baranowski, E.; Escarmis, C.; Sobrino, F. Foot and-mouth Disease Virus. Comp. Immunol. Microbiol. Infect. Dis. 2002, 25, 297–308. [Google Scholar] [CrossRef] [PubMed]
- Domingo, E.; Escarmis, C.; Baranowski, E.; Ruiz-Jarabo, M.C.; Carrillo, E.; Nunez, J.I.; Sobrino, F. Evolution of Foot-and-mouth Disease Virus. Virus Res. 2003, 91, 47–63. [Google Scholar] [CrossRef] [PubMed]
- Grubman, M.J.; Baxt, B. Foot-and-Mouth Disease. Clin. Microbiol. Rev. 2004, 17, 465–493. [Google Scholar] [CrossRef] [PubMed]
- Muller, J.D.; McEachern, J.A.; Bossart, K.N.; Hansson, E.; Yu, M.; Clavijo, A.; Hammond, J.M.; Wang, L.F. Serotype-independent Detection of Foot-and-mouth Disease Virus. J. Virol. Methods 2008, 151, 146–153. [Google Scholar] [CrossRef]
- Wu, C.H.; Liu, I.J.; Lu, R.M.; Wu, H.C. Advancement and Applications of Peptide Phage Display Technology in Biomedical Science. J. Biomed. Sci. 2016, 23, 8. [Google Scholar] [CrossRef]
- Wang, H.; Zhao, L.; Li, W.; Zhou, G.; Yu, L. Identification of a Conformational Epitope on the VP1 G-H Loop of Type Asia1 Foot-and-mouth Disease Virus Defined by a Protective Monoclonal Antibody. Vet. Microbiol. 2011, 148, 189–199. [Google Scholar] [CrossRef] [PubMed]
- Yang, D.; Zhang, C.; Zhao, L.; Zhou, G.; Wang, H.; Yu, L. Identification of a Conserved Linear Epitope on the VP1 Protein of Serotype O Foot-and-mouth Disease Virus by Neutralising Monoclonal Antibody 8E8. Virus Res. 2011, 155, 291–299. [Google Scholar] [CrossRef] [PubMed]
- Yu, Y.; Wang, H.; Zhao, L.; Zhang, C.; Jiang, Z.; Yu, L. Fine Mapping of a Foot-and-mouth Disease Virus Epitope Recognized by Serotype-independent Monoclonal Antibody 4B2. J. Microbiol. 2011, 49, 94–101. [Google Scholar] [CrossRef] [PubMed]
- Liu, W.; Yang, B.; Wang, M.; Liang, W.; Wang, H.; Yang, D.; Ma, W.; Zhou, G.; Yu, L. Identification of a Conserved Conformational Epitope in the VP2 Protein of Foot-and-mouth Disease Virus. Arch. Virol. 2017, 162, 1877–1885. [Google Scholar] [CrossRef] [PubMed]
- Kim, H.; Kim, A.Y.; Kim, J.S.; Lee, J.M.; Kwon, M.; Bae, S.; Kim, B.; Park, J.W.; Park, C.K.; Ko, Y.J. Determination of the Optimal Method for the Concentration and Purification of 146S Particles for Foot-and-mouth Disease Vaccine Production. J. Virol. Methods 2019, 269, 26–29. [Google Scholar] [CrossRef]
- Harlow, E.; Lane, D. Antibodies, a Laboratory Manual; Cold Spring Harbor Laboratory: Cold Spring Harbor, NY, USA, 1988; p. 211. [Google Scholar]
- Semkum, P.; Thangthamniyom, N.; Chankeeree, P.; Keawborisuth, C.; Theerawatanasirikul, S.; Lekcharoensuk, P. The Application of the Gibson Assembly Method in the Production of Two pKLS3 Vector-Derived Infectious Clones of Foot-and-Mouth Disease Virus. Vaccines 2023, 11, 1111. [Google Scholar] [CrossRef] [PubMed]
- Laemmli, U.K. Cleavage of Structural Proteins during the Assembly of the Head of Bacteriophage T4. Nature 1970, 227, 680–685. [Google Scholar] [CrossRef] [PubMed]
- Srisombundit, V.; Tungthumniyom, N.; Linchongsubongkoch, W.; Lekcharoensuk, C.; Sariya, L.; Ramasoota, P.; Lekcharoensuk, P. Development of an Inactivated 3C(pro)-3ABC (mu3ABC) ELISA to Differentiate Cattle Infected with Foot and mouth Disease Virus from Vaccinated Cattle. J. Virol. Methods 2013, 188, 161–167. [Google Scholar] [CrossRef] [PubMed]
- Lekcharoensuk, P.; Nanakorn, J.; Wajjwalku, W.; Webby, R.; Chumsing, W. First Whole Genome Characterization of Swine Influenza Virus Subtype H3N2 in Thailand. Vet. Microbiol. 2010, 145, 230–244. [Google Scholar] [CrossRef]
- Sariya, L.; Thangthumniyom, N.; Wajjwalku, W.; Chumsing, W.; Ramasoota, P.; Lekcharoensuk, P. Expression of Foot and mouth Disease Virus Nonstructural Polyprotein 3ABC with Inactive 3C(pro) in Escherichia coli. Protein Expr. Purif. 2011, 80, 17–21. [Google Scholar] [CrossRef]
- Waterhouse, A.M.; Procter, J.B.; Martin, D.M.A.; Clamp, M.; Barton, G.J. Jalview Version 2-A Multiple Sequence Alignment Editor and Analysis Workbench. Bioinformatics 2009, 25, 1189–1191. [Google Scholar] [CrossRef] [PubMed]
- Wang, Z.; Raifu, M.; Howard, M.; Smith, L.; Hansen, D.; Goldsby, R.; Ratner, D. Universal PCR Amplification of Mouse Immunoglobulin Gene Variable Regions: The Design of Degenerate Primers and an Assessment of the Effect of DNA Polymerase 3′ to 5′ Exonuclease Activity. J. Immunol. Methods 2000, 233, 167–177. [Google Scholar] [CrossRef] [PubMed]
- Waterhouse, A.; Bertoni, M.; Bienert, S.; Studer, G.; Tauriello, G.; Gumienny, R.; Heer, F.T.; De Beer, T.A.P.; Rempfer, C.; Bordoli, L.; et al. SWISS-MODEL: Homology Modelling of Protein Structures and Complexes. Nucleic Acids Res. 2018, 46, W296–W303. [Google Scholar] [CrossRef] [PubMed]
- Fry, E.; Acharya, R.; Stuart, D. Methods Used in the Structure Determination of Foot-and-mouth Disease Virus. Acta Crystallogr. Sect. A Found. Crystallogr. 1993, 49, 45–55. [Google Scholar] [CrossRef] [PubMed]
- Fu, D.; Zhang, G.; Wang, Y.; Zhang, Z.; Hu, H.; Shen, S.; Wu, J.; Li, B.; Li, X.; Fang, Y.; et al. Structural Basis for SARS-CoV-2 Neutralizing Antibodies with Novel Binding Epitopes. PLoS Biol. 2021, 19, e3001209. [Google Scholar] [CrossRef] [PubMed]
- Mitropoulou, A.N.; Ceska, T.; Heads, J.T.; Beavil, A.J.; Henry, A.J.; McDonnell, J.M.; Sutton, B.J.; Davies, A.M. Engineering the Fab Fragment of the Anti-IgE Omalizumab to Prevent Fab Crystallization and Permit IgE-Fc Complex Crystallization. Acta Crystallogr. Sect. F Struct. Biol. Commun. 2020, 76, 116–129. [Google Scholar] [CrossRef]
- Chen, V.B.; Arendall, W.B.; Headd, J.J.; Keedy, D.A.; Immormino, R.M.; Kapral, G.J.; Murray, L.W.; Richardson, J.S.; Richardson, D.C. MolProbity: All-atom Structure Validation for Macromolecular Crystallography. Acta Crystallogr. Sect. D Biol. Crystallogr. 2010, 66, 12–21. [Google Scholar] [CrossRef]
- Studer, G.; Rempfer, C.; Waterhouse, A.M.; Gumienny, R.; Haas, J.; Schwede, T. QMEANDisCo—Distance Constraints Applied on Model Quality Estimation. Bioinformatics 2020, 36, 1765–1771. [Google Scholar] [CrossRef] [PubMed]
- Ramachandran, P.; Varoquaux, G. Mayavi: 3D Visualization of Scientific Data. Comput. Sci. Eng. 2011, 13, 40–51. [Google Scholar] [CrossRef]
- Wong, W.K.; Georges, G.; Ros, F.; Kelm, S.; Lewis, A.P.; Taddese, B.; Leem, J.; Deane, C.M. SCALOP: Sequence-based Antibody Canonical Loop Structure Annotation. Bioinformatics 2019, 35, 1774–1776. [Google Scholar] [CrossRef]
- Klausen, M.S.; Anderson, M.V.; Jespersen, M.C.; Nielsen, M.; Marcatili, P. LYRA, A Webserver for Lymphocyte Receptor Structural Modeling. Nucleic Acids Res. 2015, 43, W349–W355. [Google Scholar] [CrossRef]
- Goddard, T.D.; Huang, C.C.; Meng, E.C.; Pettersen, E.F.; Couch, G.S.; Morris, J.H.; Ferrin, T.E. UCSF ChimeraX: Meeting Modern Challenges in Visualization and Analysis. Protein Sci. 2018, 27, 14–25. [Google Scholar] [CrossRef]
- Dominguez, C.; Boelens, R.; Bonvin, A.M.J.J. HADDOCK: A Protein-protein Docking Approach Based on Biochemical and/or Biophysical Information. J. Am. Chem. Soc. 2003, 125, 1731–1737. [Google Scholar] [CrossRef]
- van Zundert, G.C.P.; Rodrigues, J.P.G.L.M.; Trellet, M.; Schmitz, C.; Kastritis, P.L.; Karaca, E.; Melquiond, A.S.J.; van Dijk, M.; de Vries, S.J.; Bonvin, A.M.J.J. The HADDOCK2.2 Webserver: User-friendly Integrative Modeling of Biomolecular Complexes. J. Mol. Biol. 2016, 428, 720–725. [Google Scholar] [CrossRef]
- Livingstone, C.D.; Barton, G.J. Protein Sequence Alignments: A Strategy for the Hierarchical Analysis of Residue Conservation. Comput. Appl. Biosci. 1993, 9, 745–756. [Google Scholar] [CrossRef]
- McCullough, K.C.; Crowther, J.R.; Butcher, R.N. Alteration in Antibody Reactivity with Foot-and-mouth Disease Virus (FMDV) 146S Antigen before and after Binding to a Solid Phase or Complexing with Specific Antibody. J. Immunol. Methods 1985, 82, 91–100. [Google Scholar] [CrossRef] [PubMed]
- Barnett, P.V.; Ouldridge, E.J.; Rowlands, D.J.; Brown, F.; Parry, N.R. Neutralizing Epitopes of Type O Foot-and-mouth Disease Virus. I. Identification and Characterization of Three Functionally Independent, Conformational Sites. J. Gen. Virol. 1989, 70, 1483–1491. [Google Scholar] [CrossRef] [PubMed]
- Saiz, J.C.; Gonzalez, M.J.; Morgan, D.O.; Card, J.L.; Sobrino, F.; Moore, D.M. Antigenic Comparison of Different Foot-and-mouth Disease Virus Types Using Monoclonal Antibodies Defining Multiple Neutralizing Epitopes on FMDV A5 Subtypes. Virus Res. 1989, 13, 45–60. [Google Scholar] [CrossRef] [PubMed]
- Tosh, C.; Venkataramanan, R.; Pattnaik, B.; Hemadri, D.; Sanyal, A. Monoclonal antibodies to an Indian Strain of Type A Foot-and-mouth Disease Virus. Acta Virol. 1999, 43, 219–225. [Google Scholar]
- Mateu, M.G.; Da Silva, J.L.; Rocha, E.; De Brum, D.L.; Alonso, A.; Enjuanes, L.; Domingo, E.; Barahona, H. Extensive Antigenic Heterogeneity of Foot-and-mouth Disease Virus of Serotype C. Virology 1988, 167, 113–124. [Google Scholar] [CrossRef]
- Butchaiah, G.; Rao, B.U. Hybridoma Cell Lines Secreting Monoclonal Antibodies to Foot-and-mouth Disease Virus Type Asia-1. Acta Virol. 1989, 33, 121–130. [Google Scholar] [PubMed]
- Crowther, J.R.; Rowe, C.A.; Butcher, R. Characterization of Monoclonal Antibodies against a Type SAT 2 Foot-and-mouth Disease Virus. Epidemiol. Infect. 1993, 111, 391–406. [Google Scholar] [CrossRef] [PubMed][Green Version]
- Yang, M.; Clavijo, A.; Suarez-Banmann, R.; Avalo, R. Production and Characterization of Two Serotype Independent Monoclonal Antibodies against Foot-and-mouth Disease Virus. Vet. Immunol. Immunopathol. 2007, 115, 126–134. [Google Scholar] [CrossRef] [PubMed]
- Liang, W.; Zhou, G.; Liu, W.; Yang, B.; Li, C.; Wang, H.; Yang, D.; Ma, W.; Yu, L. Identification of a Conserved Linear Neutralizing Epitope Recognized by Monoclonal Antibody 9A9 against Serotype A Foot-and-mouth Disease Virus. Arch. Virol. 2016, 161, 2705–2716. [Google Scholar] [CrossRef]
- Yang, M.; Holland, H.; Clavijo, A. Production of Monoclonal Antibodies against Whole Virus Particles of Foot-and-mouth Disease Virus Serotype O and A and Their Potential Use in Quantification of Intact Virus for Vaccine Manufacture. Vaccine 2008, 26, 3377–3382. [Google Scholar] [CrossRef] [PubMed]
- Yang, M.; Caterer, N.R.; Xu, W.; Goolia, M. Development of a Multiplex Lateral Flow Strip Test for Foot-and-mouth Disease Virus Detection Using Monoclonal Antibodies. J. Virol. Methods 2015, 221, 119–126. [Google Scholar] [CrossRef] [PubMed]
- Mahapatra, M.; Upadhyaya, S.; Parida, S. Identification of Novel Epitopes in Serotype O Foot-and-mouth Disease Virus by In Vitro Immune Selection. J. Gen. Virol. 2019, 100, 804–811. [Google Scholar] [CrossRef] [PubMed]
- McCullough, K.C.; Smale, C.J.; Carpenter, W.C.; Crowther, J.R.; Brocchi, E.; Simone, F. Conformational Alteration in Foot-and-mouth Disease Virus Virion Capsid Structure after Complexing with Monospecific Antibody. Immunology 1987, 60, 75–82. [Google Scholar] [PubMed]
- Mahapatra, M.; Aggarwal, N.; Cox, S.; Statham, R.J.; Knowles, N.J.; Barnett, P.V.; Paton, D.J. Evaluation of a Monoclonal Antibody-based Approach for the Selection of Foot-and-mouth Disease (FMD) Vaccine Strains. Vet. Microbiol. 2008, 126, 40–50. [Google Scholar] [CrossRef][Green Version]
- Yang, M.; Xu, W.; Goolia, M.; Zhang, Z. Characterization of Monoclonal Antibodies against Foot-and-mouth Disease Virus Serotype O and Application in Identification of Antigenic Variation in Relation to Vaccine Strain Selection. Virol. J. 2014, 11, 136. [Google Scholar] [CrossRef]
- Asfor, A.S.; Upadhyaya, S.; Knowles, N.J.; King, D.P.; Paton, D.J.; Mahapatra, M. Novel Antibody Binding Determinants on the Capsid Surface of Serotype O Foot-and-mouth Disease Virus. J. Gen. Virol. 2014, 95, 1104–1116. [Google Scholar] [CrossRef] [PubMed]
- Asfor, A.S.; Howe, N.; Grazioli, S.; Berryman, S.; Parekh, K.; Wilsden, G.; Ludi, A.; King, D.P.; Parida, S.; Brocchi, E. Detection of Bovine Antibodies against a Conserved Capsid Epitope as the Basis of a Novel Universal Serological Test for Foot-and-Mouth Disease. J. Clin. Microbiol. 2020, 58, e01527. [Google Scholar] [CrossRef] [PubMed]
- Forthal, D.N. Functions of Antibodies. Microbiol. Spectr. 2014, 2, 1–17. [Google Scholar] [CrossRef]
- Beaudoin-Bussières, G.; Chen, Y.; Ullah, I.; Prevost, J.; Tolbert, W.D.; Symmes, K.; Ding, S.; Benlarbi, M.; Gong, S.Y.; Tauzin, A.; et al. A Fc-enhanced NTD-binding Non-neutralizing Antibody Delays Virus Spread and Synergizes with a nAb to Protect Mice from Lethal SARS-CoV-2 Infection. Cell Rep. 2022, 38, 110368. [Google Scholar] [CrossRef] [PubMed]
- Dill, V.; Eschbaumer, M. Cell Culture Propagation of Foot-and-mouth Disease Virus: Adaptive Amino Acid Substitutions in Structural Proteins and Their Functional Implications. Virus Genes 2020, 56, 1–15. [Google Scholar] [CrossRef]
- Pérez Filgueira, M.; Wigdorovitz, A.; Romera, A.; Zamorano, P.; Borca, M.V.; Sadir, A.M. Detection and Characterization of Functional T-cell Epitopes on the Structural Proteins VP2, VP3, and VP4 of Foot-and-mouth Disease Virus O1 Campos. Virology 2000, 271, 234–239. [Google Scholar] [CrossRef]





| Monoclonal Antibodies | Amino Acid Sequences | Frequency | Phage ELISA (OD405) |
|---|---|---|---|
| 6F4.D11.B6 | HEWNRISDLSYA | 7 | 3.112 |
| ATLHSAHRSTHV | 2 | 0.376 | |
| 8D6.B9.C3 | YFPVFPQFNVIQ | 1 | 1.416 |
| TLHGCCYNSMQR | 1 | 0.733 | |
| FKQDAWEAVDIR | 4 | 0.859 | |
| AISPSRYFYDET | 1 | 1.103 | |
| SYSGGILSALTE | 1 | 0.969 |
Disclaimer/Publisher’s Note: The statements, opinions and data contained in all publications are solely those of the individual author(s) and contributor(s) and not of MDPI and/or the editor(s). MDPI and/or the editor(s) disclaim responsibility for any injury to people or property resulting from any ideas, methods, instructions or products referred to in the content. |
© 2024 by the authors. Licensee MDPI, Basel, Switzerland. This article is an open access article distributed under the terms and conditions of the Creative Commons Attribution (CC BY) license (https://creativecommons.org/licenses/by/4.0/).
Share and Cite
Tommeurd, W.; Thueng-in, K.; Theerawatanasirikul, S.; Tuyapala, N.; Poonsuk, S.; Petcharat, N.; Thangthamniyom, N.; Lekcharoensuk, P. Identification of Conserved Linear Epitopes on Viral Protein 2 of Foot-and-Mouth Disease Virus Serotype O by Monoclonal Antibodies 6F4.D11.B6 and 8D6.B9.C3. Antibodies 2024, 13, 67. https://doi.org/10.3390/antib13030067
Tommeurd W, Thueng-in K, Theerawatanasirikul S, Tuyapala N, Poonsuk S, Petcharat N, Thangthamniyom N, Lekcharoensuk P. Identification of Conserved Linear Epitopes on Viral Protein 2 of Foot-and-Mouth Disease Virus Serotype O by Monoclonal Antibodies 6F4.D11.B6 and 8D6.B9.C3. Antibodies. 2024; 13(3):67. https://doi.org/10.3390/antib13030067
Chicago/Turabian StyleTommeurd, Wantanee, Kanyarat Thueng-in, Sirin Theerawatanasirikul, Nongnaput Tuyapala, Sukontip Poonsuk, Nantawan Petcharat, Nattarat Thangthamniyom, and Porntippa Lekcharoensuk. 2024. "Identification of Conserved Linear Epitopes on Viral Protein 2 of Foot-and-Mouth Disease Virus Serotype O by Monoclonal Antibodies 6F4.D11.B6 and 8D6.B9.C3" Antibodies 13, no. 3: 67. https://doi.org/10.3390/antib13030067
APA StyleTommeurd, W., Thueng-in, K., Theerawatanasirikul, S., Tuyapala, N., Poonsuk, S., Petcharat, N., Thangthamniyom, N., & Lekcharoensuk, P. (2024). Identification of Conserved Linear Epitopes on Viral Protein 2 of Foot-and-Mouth Disease Virus Serotype O by Monoclonal Antibodies 6F4.D11.B6 and 8D6.B9.C3. Antibodies, 13(3), 67. https://doi.org/10.3390/antib13030067

