Abstract
Antarctic freshwater ecosystems are especially vulnerable to human impacts. Polychlorobiphenyls (PCBs) are persistent organic pollutants that have a long lifetime in the environment. Despite their use having either been phased out or restricted, they are still found in nature, also in remote areas. Once in the environment, the fate of PCBs is strictly linked to bacteria which represent the first step in the transfer of toxic compounds to higher trophic levels. Data on PCB-oxidizing bacteria from polar areas are still scarce and fragmented. In this study, the occurrence of PCB-oxidizing cold-adapted bacteria was evaluated in water and sediment of four coastal lakes at Edmonson Point (Northern Victoria Land, Antarctica). After enrichment with biphenyl, 192 isolates were obtained with 57 of them that were able to grow in the presence of the PCB mixture Aroclor 1242, as the sole carbon source. The catabolic gene bphA, as a proxy for PCB degradation potential, was harbored by 37 isolates (out of 57), mainly affiliated to the genera Salinibacterium, Arthrobacter (among Actinobacteria) and Pusillimonas (among Betaproteobacteria). Obtained results enlarge our current knowledge on cold-adapted PCB-oxidizing bacteria and pose the basis for their potential application as a valuable eco-friendly tool for the recovery of PCB-contaminated cold sites.
1. Introduction
In recent years, persistent organic pollutants (POPs) have attracted attention for their rapid spread worldwide, without sparing even areas that are considered pristine, such as the Antarctic continent. The primary source of pollutants threatening Antarctica is the transport by oceanic or atmospheric route even from very distant areas [,], and the subsequent deposition and persistence intensified by the global warming and climate change phenomena. However, anthropogenic in situ impact, due to the increasing human presence related to scientific or touristic activities, may aggravate the contamination state.
Among POPs, polychlorinated biphenyls (PCBs) are relatively less investigated in the polar areas. Despite the numerous measures to protect the Antarctic environment, the presence of PCBs has been evidenced since the 1960s in biotic and abiotic Antarctic matrices []. Their occurrence has been proven in the Antarctic marine (including seawater, sediment, and organisms) [,,,,,,,] and terrestrial (e.g., lakes, permafrost, surface snow) environments [,,,,,,,].
The fate of PCBs in the environment is tightly affected by bacterial degradation. Thanks to genetic and physiological potentials in remediation processes, bacteria play a pivotal role in the transfer of pollutants within the trophic net [,]. By considering the increasing evidence for microbial potential in the degradation of a wide range of pollutants, bacteria thriving in cold environments are claimed as promising candidates for low-temperature bioremediation strategies [,,,]. Indeed, psychrotrophic bacteria possess unique metabolic features to cope with extreme and fluctuating conditions such as low nutrient availability, cold temperature, and dryness.
If the cryosphere is considered as a natural reservoir for organic and inorganic contaminants on a large spatial and temporal scale [,,,], Antarctic lakes can be considered collectors of pollutants. In fact, in the austral summer and in coastal areas, Antarctic lake basins receive the flows coming from the melting ice and snow flow []. These flows carry solutes and particulate material as well as contaminants, which cannot be turned away in absence of physical outlets []. Even if PCBs are of environmental concern in polar areas, Antarctic freshwater systems have been poorly investigated for PCB contamination. The first evidence of PCB occurrence in Antarctic lakes dates to 1982, when Tanabe et al. [] detected them in the ice and water of a lake in the vicinity of the Japanese Antarctic station. Further findings occurred in lake and river sediments from James Ross Island [].
The Terra Nova Bay (Northern Victoria Land, Antarctica) hosts several lakes, mostly of limited extension and with a depth not exceeding 4 m. The Edmonson Point area is located on the eastern slopes of the Melbourne volcano, where there are about ten small lakes distributed in three small deglaciated sites. Most of them are placed in an area hosting a large Adélie penguin colony. In these regions, it is common to observe surface flowing waters due to solar radiation that heats the volcanic rocks during the summer []. The occurrence of some inorganic pollutants, e.g., mercury and cadmium, was highlighted in mosses in the area, and direct (marine aerosol) and indirect (seabird guano) inputs from the sea together with volcanic emissions have been suggested as main sources for Edmonson Point terrestrial ecosystems []. Studies related to the occurrence of PCB congeners in the Edmonson Point area (e.g., snow, lake sediment and water, mosses) were recently reported [,]. The concentration of seven indicator PCBs increased by about 20% between the early and the complete melting of ice in lakes at Edmonson Point []. In sediment samples, hexachlorobiphenyls generally were the most abundant class of homologs, exhibiting a shift of the profile towards heavier compounds in comparison to water samples []. The PCB153 congeners was the major compound among indicator PCBs, as in Adélie penguin eggs collected from the same site []. Despite this, few data are available about the occurrence and growth of cold-adapted bacteria in the presence of such persistent contaminants, their degradation potential, and even less is known on this issue in the case of Antarctic freshwater environments. Moreover, PCB-driven shifts in bacterial communities, and the possible correlations with the abiotic matrices, i.e., sediment, water, ice, have been scarcely investigated. Here, this paper was aimed at providing first insights on PCB-oxidizing bacteria from freshwater polar environments through the achievement of some objectives, namely (i) the isolation and characterization of cold-adapted PCB-oxidizing bacteria from water and sediment of four different Antarctic lakes lying in the EP area, and (ii) the search for specific catabolic genes involved in bacterial PCB degradation as a time-reducing pre-screening strategy.
2. Materials and Methods
2.1. Sampling Area
Edmonson Point (EP) is a wide ice-free area on the eastern slope at the foot of Mount Melbourne along the west side of Wood Bay (Northern Victoria Land, Antarctica). It has been designated an Antarctic Specially Protected Area (ASPA 165) because of its terrestrial and freshwater ecosystems. The volcanic lithology and substrates are nutrient-enriched (0.5–1.6% C org) by colonies of Adélie penguins, Pygoscelis adeliae, and south polar skuas, Stercorarius maccormicki. Weddell seals, Leptonychotes weddellii, breed on the adjacent sea-ice. EP freshwater habitats support algae, cyanobacteria, and bryophytes, while terrestrial vegetation includes epilithic lichen and moss communities. Temperature generally ranges between −30.3 and +18.6 °C, with an amplitude of about 49 °C [].
2.2. Sampling and Preliminary Treatment of Samples
The sampling of surface water (n = 4) and sediment (20–25 cm depth; n = 4) was carried out at four lakes (EP1 to EP4) lying in the Edmonson Point area (Figure 1). Sampling activities were carried out in the morning.

Figure 1.
Location of lakes sampled at Edmonson Point.
Lakes EP1 and EP2 were covered by ice at sampling time. Temperature, pH, dissolved oxygen, salinity, conductibility, and temperature of water were measured at each lake (Table 1). A deep description of the geochemical features of the lakes was previously reported by Porcino et al. []. All samples were aseptically collected and preliminary processed after sampling (approximately 2 h) in the laboratory of the Mario Zucchelli Station (MZS), as described in the following sections.

Table 1.
Physico-chemical parameters measured in lake water at each sampling time.
2.3. Bacterial Isolation and Characterization
2.3.1. Set-Up of Bacterial Cultures
For the initial enrichment, biphenyl (BP) served as the sole carbon and energy source for growth. Aliquots (1 mL) of a stock solution (75 mg mL−1) of BP dissolved in chloroform were added to empty Erlenmeyer flasks and the solvent was allowed to evaporate []. Then, 75 mL of each water sample was added to BP-containing flasks (final concentration 0.1%, wt/vol). In the case of sediment, 1 g of wet samples were used to inoculate 75 mL Bushnell Haas (BH; Difco) in BP-containing flasks (final concentration 0.1%, wt/vol). All cultures were incubated aerobically at 4 °C with shaking at 175 rpm for 30 days. Aliquots (100 µL) of each enrichment were plated on solidified BH. BP was added as crystals (0.1 g) in the Petri dish lid after inoculation. Replicate plates were incubated at 4 °C for 30 days. BH agar plates without BP were used as a control. For bacterial isolation, colonies were randomly selected from agar plates, picked, and subcultured three times under the same conditions. Isolates were named with the lake ID followed by the isolation number (e.g., EP2-1 was isolate 1 from lake EP2).
2.3.2. Bacterial Growth in the Presence of Aroclor 1242
Bacterial growth in the presence of polychlorobiphenyls (PCBs) was tested in liquid BH. Aroclor 1242 (Sigma-Aldrich, Milan, Italy; 100 ppm in dichloromethane) was added as sole carbon and energy source (final concentration 0.1%, wt/vol) []. Aroclor 1242 is a mixture of PCB congeners (ranging from dichloro- to hexachlorobiphenyls) made of 12 carbon atoms in the biphenyl molecule and containing 42% chlorine by weight []. Cultures were incubated in duplicates at 4 °C for one month. The ability to use PCBs as growth substrates was evaluated according to the degree of turbidity or the appearance of cellular flocs in the test tubes. Optical density (OD) was also spectrophotometrically evaluated at 580 nm (OD580; UV-mini-1240, Shimadzu, Milan, Italy). The uninoculated medium was incubated in parallel as a negative control. PCB-oxidizing isolates belong to the Italian Collection of Antarctic Bacteria of the National Antarctic Museum (CIBAN-MNA) kept at the University of Messina (Messina, Italy) (voucher codes MNA-CIBAN-1523 to 1559).
2.3.3. 16S rRNA Gene Amplification
Bacterial isolates able to grow in the presence of PCBs as the sole carbon source were identified by the 16S rRNA gene sequencing. For DNA extraction, single colonies of each strain were picked from agar plates with a sterile toothpick, resuspended in 20 µL of sterile distilled water, and lysed by heating at 95 °C for 10 min. Cell lysates were rapidly cooled in ice, briefly centrifuged in a microcentrifuge, and directly used for PCR amplification. Amplification of 16S rRNA gene was performed with a thermocycler (Mastercycler GeneAmp PCR-System 9700, Applied Biosystem, Monza, Italy) using Bacteria-specific primers 27F (5′-AGAGTTTGATCACGGCTCAG-3′) and 1492R (5′-TACGGYTACCTTGTTACGAC-3′). The reaction mixtures were assembled at 0 °C and contained 1 µL DNA, 0.4 µL of each of the two primers (10 μM), 0.4 µL of each dNTP (10 mM), 2 µL of reaction buffer 10X, 0.4 µL of BSA (3 mg mL−1), 0.2 µL of Taq polymerase 5 PRIME (5U µL−1), and sterile Milli-Q water to a final volume of 20 µL. Negative controls for DNA extraction and PCR setup (reaction mixture without a DNA template) were also used in every PCR run. The PCR program was as follows: (1) 95 °C for 1.30 min; (2) 5 cycles at 95 °C for 30 s, 60 °C for 30 s and 72 °C for 4 min; (3) 5 cycles at 95 °C for 30 s, 55 °C for 30 s and 72 °C for 4 min; (4) 25 cycles at 95 °C for 30 s, 50 °C for 30 s and 72 °C for 4 min; (5) 72 °C for 10 min; (6) 60 °C for 10 min []. The results of the amplification reactions were analyzed by agarose gel electrophoresis (1%, wt/vol) in TAE buffer (0.04 M Tris-acetate, 0.02 M acetic acid, 0.001 M EDTA), containing 1 µg mL−1 of ethidium bromide.
2.3.4. Sequencing and Analysis of 16S rRNA Genes
Amplified products were purified using the QIAquick PCR purification kit (Qiagen, Milan, Italy), following the manufacturer’s instructions. Sequencing was carried out at the Macrogen Laboratory (Amsterdam, The Netherland). Next relatives of isolates were determined by comparison to 16S rRNA gene sequences in the NCBI GenBank and the EMBL databases using BLAST, and the “Seqmatch” and “Classifier” programs of the Ribosomal Database Project II (http://rdp.cme.msu.edu/; 23 December 2021) []. Sequences were further aligned using the program Clustal W [] to the most similar orthologous sequences retrieved from database. Each alignment was checked manually, corrected, and then analyzed using the neighbor-joining method [] according to the model of Jukes–Cantor distances. A phylogenetic tree was constructed using the MEGA 5.2 (Molecular Evolutionary Genetics Analysis) software []. The robustness of the inferred trees was evaluated by 400 bootstrap re-samplings.
2.3.5. Screening for the bphA Gene
Three different sets of specific primers were tested (Table 2). In particular, Burkholderia xenovorans (DSM 17367) and Pseudomonas pseudoalcaligenes KF707 (DSM 10086), well known as PCB degraders, were used for the preliminary test for the amplification of the BPH gene from extracted DNA, and as positive controls in the subsequent bphA amplifications. DNA from positive bacterial controls and isolates was extracted as reported above (Section 2.3.3).

Table 2.
Specific primer sets used forthe detection of bphA gene.
The reaction mixtures for the primers set testing were assembled at 0 °C and contained 1 µL DNA, 1 µL of each of the two primers (10 μM), 0.4 µL of each dNTP (10 mM), 2 µL of reaction buffer 10X, 0.4 µL of BSA (2.5%), 0.4 µL of Taq polymerase 5 PRIME (5 U/µL), and sterile Milli-Q water to a final volume of 20 µL. Negative controls for DNA extraction and PCR setup (reaction mixture without a DNA template) were also used in every PCR run. DNA from B. xenovorans (DSM 17367) was used as a positive control. The PCR program was as follows: (1) 95 °C for 5′; (2) 35 cycles at 94 °C for 45″, 60 °C for primers set n. 1 and 3, instead 58 °C was used for the primer set n. 2 for 1′ and 72 °C for 2′; (3) 72 °C for 10′ []. For better separation of the amplified fragments, more stringent agarose gel electrophoresis (2%, w/v) conditions were applied. Amplification products were visualized in TAE buffer (0.04 M Tris-acetate, 0.02 M acetic acid, 0.001 M EDTA), containing 1 µg mL−1 of ethidium bromide, and the fragment size was evaluated through the use of a 1 kb ladder (Fermentas, Milan, Italy).
3. Results
3.1. Bacterial Isolation
Overall, 192 psychrotolerant isolates (48 isolated per lake: 24 from water and 24 from sediment) were obtained from BP-amended agar plates inoculated with BP-amended enrichment cultures. Colony-forming units (CFU) were in the range 2.95–15 × 102 mL−1 and 1.75–18.2 × 102 g−1 in water and sediment, respectively (data not shown). A total of 57 isolates (29.7 %; 24 from water and 33 from sediment, respectively) were able to grow in the presence of Aroclor 1242 as the sole carbon source at 4 °C (Table 3). OD values ranged between 0.8 and 1.2.

Table 3.
PCB-oxidizing bacterial isolates from water and sediment of four Edmonson Point lakes.
3.2. Screening for bphA Gene
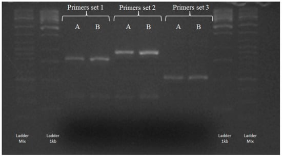
Preliminary analyses, carried out to determine the best conditions for the amplification of the A portion of the BPH gene, led to identifying the best amplification protocol in a modified version of that described by Lehtinen et al. []. The primer set n. 2, with the lower degree of degeneration, gave the best amplification response. Indeed, the amplification process achieved by using this primer set showed better qualitative parameters, in terms of quantity and purity (Figure 2).

Figure 2.
The bphA gene amplification optimization test. The amplification products were visualized on agarose gel (2%, v/v). Two certified bacterial strains were used, both having the BPH gene: Pseudomonas pseudoalcaligenes KF707 (A) and Burkholderia xenovorans (B). This test was performed under the same amplifying conditions changing only the annealing temperature per primer set.
By applying the best amplification protocol, a total of 32 isolates (out of 57 PCB-oxidizing isolates; 16 and 16 from water and sediment, respectively) harbored the bphA gene fragment as about 800 bp amplicon was obtained (Table 4).

Table 4.
Phylogenetic affiliation of PCB-oxidizing bacteria from water and sediment of Edmonson Point lakes, and occurrence of the bphA gene.
3.3. Bacterial Identification
The affiliation of 37 (out of 57 strains) is reported in Table 4 and comparative sequence analysis indicated that most isolates were closely related to already known and/or previously isolated bacteria (16S rRNA similarity, ≥97%). The 16S rRNA gene sequencing of seven PCB-oxidizing isolates (i.e., EP2-10, EP1-11, EP2-11, EP2-14, EP3-26, EP3-30, and EP3-41; Table 4), all harboring the bphA gene, gave no amplification results. The phylogenetic tree in Figure 3 shows the clustering of some representative isolates (highlighted in bold in Table 4) from EP lakes. PCB-oxidizing bacterial isolates mainly belonged to the Actinobacteria (15 and 11 from water and sediment samples, respectively), followed by the Betaproteobacteria (four and five from water and sediment samples, respectively), Gammaproteobacteria (one Lysobacter isolate from EP4 sediment), Firmicutes (one Planococcus isolate from EP4 sediment). Actinobacteria were mainly represented by Salinibacterium (11 isolates; exclusively from water samples) and Arthrobacter (10 isolates; mainly from sediment samples) members. Proteobacteria, mainly affiliated to Betaproteobacteria class, were exclusively represented by Pusillimonas members (nine isolates).

Figure 3.
Rooted phylogenetic tree calculated by Jukes–Cantor distance estimation algorithm showing affiliation of most representative bacterial isolates to closest-related sequences from either cultivated or cloned bacteria. The tree was outgrouped with 16S rRNA gene sequence of Methanocaldococcus jannaschii DSM2661. Representative isolates from EP lakes are indicated by triangles.
The Actinobacteria group clustered in three main branches: the first one including isolates strongly related to the genus Salinibacterium, the second branch with members in the genera Leifsonia and the third one including isolates strongly related to Arthrobacter. The Proteobacteria clustered into the Gamma- and Betaproteobacteria. All the Betaproteobacteria formed a cluster formed by isolates strongly related to the genus Pusillimonas, while Gammaproteobacteria were represented by the single related Lysobacter strain.
4. Discussion
The increased melting of the cryosphere, strictly dependent on climate warming, is causing an increased release of contaminants in the polar regions, thus becoming secondary sources of contaminants, including PCBs []. Microbial communities are very sensitive to changes in environmental conditions so that they can be considered useful bioindicators. The assessment of the genetic potential for contaminant degradation, as well as the occurrence of microbes with degradation ability, usually indicates the presence of the relevant contaminants. Despite this, the role of microbial communities in the fate of polar contamination has been identified as a knowledge gap []. Our current knowledge on the PCB oxidation by bacteria from polar areas is still fragmented. PCB degradation potential was previously reported, for example, for bacteria isolated from Arctic soils, mainly in the Canadian Arctic [,,,], cryoconite holes [], marine sediment [], and freshwater systems []. In Antarctica, the oxidation or degradation of PCBs at low temperatures was reported for bacteria from seawater [,,] and marine sediment [,], soils [], and hypersaline lake brines []. In this study, we first explored the occurrence of PCB-oxidizing bacterial strains from water and sediment of Edmonson Point lakes, where POPs, including PCBs, were detected [,]. The 29.7% of total isolates showed the ability to grow in the presence of Aroclor 1242 as the only carbon source, with a higher yield in terms of PCB-oxidizing strains from sediment than water samples (25.5 and 18.6% of positive strains from sediment and water samples, respectively). Such percentages were higher than those previously reported for Antarctic marine matrices (Refs. [,]), but similar to the value obtained from lake brines [29.8% of total isolates] []. This finding may suggest that microbial communities inhabiting Antarctic lakes and ponds are better adapted to the presence of contaminants, probably due to the atmospheric transport and deposition of PCBs in the ice and snow by which lakes and ponds are affected after melting processes during summer. However, it is noteworthy that, differently from previous investigations, the enrichment procedure with biphenyl possibly stimulated the growth of PCB-oxidizing bacteria, thus allowing the selection of PCB degraders, and confirming the pollution-caused induction effect of more specific microorganisms within the total community [,].
Proteobacteria and Actinobacteria are well-known degraders of POPs. Among Proteobacteria, cold-adapted members of the genera Pseudoalteromonas, Psychrobacter, and Pseudomonas (all Gammaproteobacteria) from polar areas were reported as PCB degraders (Refs. [,,,]), whereas PCB-degrading Actinobacteria were generally Rhodococcus members (Refs. [,]). The enrichment procedure adopted in this study led to the isolation of PCB-oxidizing isolates mainly affiliated to the genera Pusillomonas and Arthrobacter, already reported as PCB degraders, even if not in cold areas [,]. This was not the case for Salinibacterium members as a report exists on their capability to degrade PCBs at low temperature by Salinibacterium spp. Isolated from Arctic sediments []. Interestingly, we also detect isolates belonging to bacterial genera (i.e., Leifsonia, Planococcus, and Lysobacter) that have been never reported as PCB-degraders.
The Bph operon contains the genes bphA1A2A3A4-bphB-bphC-bphD [], but some microorganisms have a different operon organization in genes number and sequence [,]. The bphA gene encodes for the first enzyme of the Bph pathway and is the major determinant of PCB degradation, i.e., the biphenyl dioxygenase. Its presence may provide information about the real ability of bacterial strains to degrade PCBs. Interestingly, in this study the bphA gene was detected in 56.1% of isolates growing on Aroclor 1242, revealing a strong potential of autochthonous bacterial population of Antarctic lakes for aerobic PCB degradation. However, a possible underestimation occurred as primers used for the gene amplification were degenerated or the gene was possibly harbored by plasmids, whose extraction and analysis were not included in this study. Future analyses will be devoted to deepening this aspect and further optimizing the amplification protocol, in order to confirm the findings here reported or to update them for further insights. Refining molecular methods is a key approach to search for specific metabolic abilities and represents an excellent screening tool to identify the presence of the targets of interest, within both the cultivable and uncultivable fractions of a microbial community.
The development of bioremediation strategies requires the understanding of the pollutant-degrading microorganisms’ potential in the environment, by assessing their physiology and roles []. The search for new cold-adapted PCB-degrading bacteria in polar habitats is surely interesting for bioremediative purposes, especially in contaminated Antarctic environments where the introduction of non-native species is forbidden.
5. Conclusions
Data on the chemical contamination of Antarctic lakes and the occurrence of cold-adapted bacteria specialized in contaminant removal are scant. This is even more true in the case of PCB occurrence in Antarctic freshwater systems, and the isolation of PCB-oxidizing bacteria. As natural collectors of several pollutants and sensitive ecosystems, such systems are important to study models also in relation to the climate change effects. Overall, our findings highlighted the potential of Antarctic microbial communities in the aerobic degradation of PCBs, by posing the bases for future studies aimed at correlating the occurrence of such contaminants in Antarctic lakes with the role played by microbial communities in the self-purification processes in polar areas. Polar environments could represent pivotal reservoirs for bacterial strains with promising abilities in bioremediation of remote contaminated cold sites. The next steps will be devoted to the estimation of bacterial biodegradation efficiency on PCBs and to the further optimization of molecular protocols to detect catabolic genes involved in PCB degradation.
Author Contributions
Conceptualization, A.L.G. and M.P.; methodology, A.L.G. and M.P.; software, M.P. and C.R.; formal analysis, M.P. and A.C.R.; resources, M.A.; data curation, M.P., A.L.G. and C.R.; writing—original draft preparation, all authors; writing—review and editing, all authors; supervision, A.L.G.; funding acquisition, M.P. All authors have read and agreed to the published version of the manuscript.
Funding
This research was funded by the Programma Nazionale di Ricerche in Antartide (PNRA-MUR), grant number PNRA18/00194.
Data Availability Statement
Nucleotide sequences have been deposited in the NCBI GenBank database under the accession numbers OL470332-OL470368.
Conflicts of Interest
The authors declare no conflict of interest.
References
- Lo Giudice, A.; Caruso, G.; Rizzo, C.; Papale, M.; Azzaro, M. Bacterial communities versus anthropogenic disturbances in the Antarctic coastal marine environment. Environ. Sustain. 2019, 2, 297–310. [Google Scholar] [CrossRef]
- Gambaro, A.; Manodori, L.; Zangrando, R.; Cincinelli, A.; Capodaglio, G.; Cescon, P. Atmospheric PCB concentrations at Terra Nova Bay, Antarctica. Environ. Sci. Technol. 2005, 39, 9406–9411. [Google Scholar] [CrossRef]
- Bhardwaj, L.; Chauhan, A.; Ranjan, A.; Jindal, T. Persistent organic pollutants in biotic and abiotic components of Antarctic pristine environment. Earth Syst. Environ. 2018, 2, 35–54. [Google Scholar] [CrossRef]
- Fuoco, R.; Giannarelli, S.; Wei, Y.; Ceccarini, A.; Abete, C.; Francesconi, S.; Termine, M. Persistent organic pollutants (POPs) at Ross sea (Antarctica). Microchem. J. 2009, 92, 44–48. [Google Scholar] [CrossRef]
- Montone, R.C.; Taniguchi, S.; Sericano, J.; Weber, R.R.; Lara, W.H. Determination of biphenyls in Antarctic macroalgae Desmaretia sp. Sci. Total Environ. 2001, 277, 181–186. [Google Scholar] [CrossRef]
- Montone, R.C.; Taniguchi, S.; Weber, R.R. Polychlorinated biphenyls in marine sediments of Admiralty Bay, King George Island, Antarctica. Mar. Pollut. Bull. 2001, 42, 611–614. [Google Scholar] [CrossRef]
- Focardi, S.; Lari, L.; Marsili, L. PCB congeners, DDTs and hexachlorobenzene in Antarctic fish from Terra Nova Bay (Ross Sea). Antarct. Sci. 1992, 4, 151–154. [Google Scholar] [CrossRef]
- Focardi, S.; Bargagli, R.; Corsolini, S. Isomer-specific analysis and toxic potential evaluation of polychlorinated biphenyls in Antarctic fish, seabirds and Weddell seals from Terra Nova Bay (Ross Sea). Antarct. Sci. 1995, 7, 31–35. [Google Scholar] [CrossRef]
- Corsolini, S.; Ademollo, N.; Romeo, T.; Olmastroni, S.; Focardi, S. Persistent organic pollutants in some species of a Ross Sea pelagic trophic web. Antarct. Sci. 2003, 15, 95–104. [Google Scholar] [CrossRef]
- Corsolini, S.; Covaci, A.; Ademollo, N.; Focardi, S.; Schepens, P. Occurrence of organochlorine pesticides (OCPs) and their enantiomeric signatures, and concentrations of polybrominated diphenyl ethers (PBDEs) in the Adélie penguin food web, Antarctica. Environ. Pollut. 2006, 140, 371–382. [Google Scholar] [CrossRef]
- Weber, K.; Goerke, H. Persistent organic pollutants (POPs) in Antarctic fish: Levels, patterns, changes. Chemosphere 2003, 53, 667–678. [Google Scholar] [CrossRef]
- Giannarelli, S.; Onor, M.; Abete, C.; Termine, M.; Fuoco, R. Effect of altitude and distance from the sea on fractionation processes of Persistent Organic Pollutants (POPs) associated to atmospheric aerosol from Ross Sea to Dome C, Antarctica. Microchem. J. 2019, 149, 103911. [Google Scholar] [CrossRef]
- Potapowicz, J.; Szumińska, D.; Szopińska, M.; Polkowska, Z. The influence of global climate change on the environmental fate of anthropogenic pollution released from the permafrost: Part, I. Case study of Antarctica. Sci. Total Environ. 2019, 651, 1534–1548. [Google Scholar] [CrossRef] [PubMed]
- Corsolini, S.; Baroni, D.; Martellini, T.; Pala, N.; Cincinelli, A. PBDEs and PCBs in terrestrial ecosystems of the Victoria Land, Antarctica. Chemosphere 2019, 231, 233–239. [Google Scholar] [CrossRef]
- Gillan, D.C.; Danis, B.; Pernet, P.; Joly, G.; Dubois, P. Structure of sediment-associated microbial communities along a heavy-metal contamination gradient in the marine environment. Appl. Environ. Microbiol. 2005, 71, 679–690. [Google Scholar] [CrossRef] [PubMed]
- Park, H.; Lee, S.-H.; Kim, M.; Kim, J.-H.; Lim, H.S. Polychlorinated biphenyl congeners in soils and lichens from King George Island, South Shetland Islands, Antarctica. Antarct. Sci. 2010, 22, 31–38. [Google Scholar] [CrossRef]
- Wang, Q.; Shi, Y.; Hu, J.; Yao, Z.; Fang, X.; Dong, Y. Determination of dioxin-like polychlorinated biphenyls in soil and moss from Fildes Peninsula, Antarctica. Chin. Sci. Bull. 2012, 57, 992–996. [Google Scholar] [CrossRef]
- Cabrerizo, A.; Dachs, J.; Barceló, D.; Jones, K.C. Influence of organic matter content and human activities on the occurrence of organic pollutants in antarctic soils, lichens, grass, and mosses. Environ. Sci. Technol. 2012, 46, 1396–1405. [Google Scholar] [CrossRef] [PubMed]
- Wang, P.; Zhang, Q.-H.; Wang, T.; Chen, W.; Ren, D.; Li, Y.-M.; Jiang, G.-B. PCBs and PBDEs in environmental samples from King George Island and Ardley Island, Antarctica. RSC Adv. 2012, 2, 1350–1355. [Google Scholar] [CrossRef]
- Lo Giudice, A.; Casella, P.; Bruni, V.; Michaud, L. Response of bacterial isolates from Antarctic shallow sediments towards heavy metals, antibiotics and polychlorinated biphenyls. Ecotoxicology 2013, 22, 240–250. [Google Scholar] [CrossRef]
- Margesin, R. Alpine microorganisms: Useful tools for low-temperature bioremediation. J. Microbiol. 2007, 45, 281–285. [Google Scholar] [PubMed]
- Margesin, R.; Gander, S.; Zacke, G.; Gounot, A.M.; Schinner, F. Hydrocarbon degradation and enzyme activities of cold-adapted bacteria and yeasts. Extremophiles 2003, 7, 451–458. [Google Scholar] [CrossRef]
- Stibal, M.; Bælum, J.; Holben, W.E.; Sörensen, S.R.; Jensen, A.; Jacobsen, C.S. Microbial degradation of 2, 4-dichlorophenoxyacetic acid on the Greenland ice sheet. Appl. Environ. Microbiol. 2012, 78, 5070–5076. [Google Scholar] [CrossRef] [PubMed]
- Kuddus, M.; Joseph, B.; Ramteke, P.W. Production of laccase from newly isolated Pseudomonas putida and its application in bioremediation of synthetic dyes and industrial effluents. Biocatal. Agric. Biotechnol. 2013, 2, 333–338. [Google Scholar] [CrossRef]
- Michaud, L.; Di Marco, G.; Bruni, V.; Lo Giudice, A. Biodegradative potential and characterization of psychrotolerant polychlorinated biphenyl-degrading marine bacteria isolated from a coastal station in the Terra Nova Bay (Ross Sea, Antarctica). Mar. Pollut. Bull. 2007, 54, 1754–1761. [Google Scholar] [CrossRef]
- Poland, J.S.; Riddle, M.J.; Zeeb, B.A. Contaminants in the Arctic and the Antarctic: A comparison of sources, impacts, and remediation options. Polar Rec. 2003, 39, 369–383. [Google Scholar] [CrossRef]
- Grannas, A.M.; Bogdal, C.; Hageman, K.J.; Halsall, C.; Harner, T.; Hung, H.; Kallenborn, R.; Klán, P.; Klánová, J.; Macdonald, R.W.; et al. The role of the global cryosphere in the fate of organic contaminants. Atmos. Chem. Phys. 2013, 13, 3271–3305. [Google Scholar] [CrossRef]
- Casal, P.; Cabrerizo, A.; Vila-Costa, M.; Pizarro, M.; Jiménez, B.; Dachs, J. Pivotal role of snow deposition and melting driving fluxes of polycyclic aromatic hydrocarbons at coastal Livingston Island (Antarctica). Environ. Sci. Technol. 2018, 52, 12327–12337. [Google Scholar] [CrossRef]
- Borghini, F.; Colacevich, A.; Caruso, T.; Bargagli, R. Temporal variation in the water chemistry of northern Victoria Land lakes (Antarctica). Aquat. Sci. 2008, 70, 134–141. [Google Scholar] [CrossRef]
- Malandrino, M.; Abollino, O.; Buoso, S.; Casalino, C.E.; Gasparon, M.; Giacomino, A.; La Gioia, C.; Mentasti, E. Geochemical characterisation of Antarctic soils and lacustrine sediments from Terra Nova Bay. Microchem. J. 2009, 92, 21–31. [Google Scholar] [CrossRef]
- Tanabe, S.; Hideo, H.; Tatsukawa, R. PCBs and chlorinated hydrocarbon pesticides in Antarctic atmosphere and hydrosphere. Chemosphere 1983, 12, 277–288. [Google Scholar] [CrossRef]
- Klánová, J.; Matykiewiczová, N.; Mácka, Z.; Prosek, P.; Láska, K.; Klán, P. Persistent organic pollutants in soils and sediments from James Ross Island, Antarctica. Environ. Pollut. 2008, 152, 416–423. [Google Scholar] [CrossRef] [PubMed]
- Papale, M.; Conte, A.; Mikkonen, A.; Michaud, L.; La Ferla, R.; Azzaro, M.; Caruso, G.; Paranhos, R.; Anderson, S.C.; Maimone, G.; et al. Prokaryotic assemblages within permafrost active layer at Edmonson Point (Northern Victoria Land, Antarctica). Soil Biol. Biochem. 2018, 123, 165–179. [Google Scholar] [CrossRef]
- Bargagli, R.; Monaci, F.; Bucci, C. Environmental biogeochemistry of mercury in Antarctic ecosystems. Soil Biol. Biochem. 2007, 39, 352–360. [Google Scholar] [CrossRef]
- Vecchiato, M.; Argiriadis, E.; Zambon, S.; Barbante, C.; Toscano, G.; Gambaro, A.; Piazza, R. Persistent Organic Pollutants (POPs) in Antarctica: Occurrence in continental and coastal surface snow. Microchem. J. 2015, 119, 75–82. [Google Scholar] [CrossRef]
- Corsolini, S.; Pala, N.; Martellini, T.; Baroni, D.; Cincinelli, A. PCBs and PBDEs in soil, sediment and moss community from ponds across Victoria Land, Antarctica. Organohalogen Compd. 2018, 80, 501–504. [Google Scholar] [CrossRef]
- Cannone, N.; Guglielmin, M. Influence of vegetation on the ground thermal regime in continental Antarctica. Geoderma 2009, 151, 215–223. [Google Scholar] [CrossRef]
- Porcino, N.; Cosenza, A.; Azzaro, M. A review on the geochemistry of lakes in Victoria Land (Antarctica). Chemosphere 2020, 251, 126229. [Google Scholar] [CrossRef]
- Papale, M.; Giannarelli, S.; Francesconi, F.; Di Marco, G.; Mikkonen, A.; Conte, A.; Rizzo, C.; De Domenico, E.; Michaud, L.; Lo Giudice, A. Enrichment, isolation and biodegradation potential of psychrotolerant polychlorinated-biphenyl degrading bacteria from the Kongsfjorden (Svalbard Islands, High Arctic Norway). Mar. Pollut. Bull. 2017, 114, 849–859. [Google Scholar] [CrossRef]
- Frame, G.M.; Cochran, J.W.; Bøwadt, S.S. Complete PCB congener distributions for 17 Aroclor mixtures determined by 3 HRGC systems optimized for comprehensive, quantitative, congener specific analysis. J. High Resolut. Chromatogr. 1996, 19, 657–668. [Google Scholar] [CrossRef]
- Altschul, S.F.; Madden, T.L.; Schäffer, A.A.; Zhang, J.; Zhang, Z.; Miller, W.; Lipman, D.J. Gapped BLAST and PSI-BLAST: A new generation of protein database search programs. Nucleic Acids Res. 1997, 25, 3389–3402. [Google Scholar] [CrossRef]
- Thompson, J.D.; Higgins, D.G.; Gibson, T.J. CLUSTALW: Improving the sensitivity of progressive multiple sequence alignment through sequence weighting, position-specific gap penalties and weight matrix choice. Nucleic Acids Res. 1994, 22, 4673–4680. [Google Scholar] [CrossRef]
- Saitou, M.; Nei, M. The neighbor-joining method: A new method for reconstructing phylogenetic trees. Mol. Biol. Evol. 1987, 4, 406–425. [Google Scholar] [CrossRef] [PubMed]
- Kumar, S.; Tamura, K.; Nei, M. MEGA3: Integrated software for molecular evolutionary genetics analysis and sequence alignment. Brief Bioinform. 2004, 2, 150–163. [Google Scholar] [CrossRef] [PubMed]
- Lehtinen, T.; Mikkonen, A.; Sigfusson, B.; Ólafsdóttir, K.; Ragnarsdóttir, K.V.; Guicharnaud, R. Bioremediation trial on aged PCB-polluted soils—a bench study in Iceland. Environ. Sci. Pollut. Res. 2013, 21, 1759–1768. [Google Scholar] [CrossRef] [PubMed]
- Vézina, J.; Barriault, D.; Sylvestre, M. Diversity of the C-terminal portion of the biphenyl dioxygenase large subunit. J. Mol. Microbiol. Biotechnol. 2008, 15, 139–151. [Google Scholar] [CrossRef] [PubMed]
- Witzig, R.; Junca, H.; Hecht, H.-J.; Pieper, D.H. Assessment of toluene/ biphenyl dioxygenase gene diversity in benzene-polluted soils: Link between benzene biodegradation and genes similar to those encoding isopropylbenzene dioxygenases. Appl. Environ. Microbiol. 2006, 72, 3504–3514. [Google Scholar] [CrossRef]
- Hauptmann, A.L.; Sicheritz-Pontén, T.; Cameron, K.A.; Bælum, J.; Plichta, D.R.; Dalgaard, M.; Stibal, M. Contamination of the Arctic reflected in microbial metagenomes from the Greenland ice sheet. Environ. Res. Lett. 2017, 12, 074019. [Google Scholar] [CrossRef]
- Mohn, W.W.; Westerberg, K.; Cullen, W.R.; Reimer, K.J. Aerobic biodegradation of biphenyl and polychlorinated biphenyls by Arctic soil micro-organisms. Appl. Environ. Microbiol. 1997, 63, 3378–3384. [Google Scholar] [CrossRef]
- Master, E.R.; Mohn, W.W. Psychrotolerant bacteria isolated from Arctic soil that degrade polychlorinated biphenyls at low temperatures. Appl. Environ. Microbiol. 1998, 64, 4823–4829. [Google Scholar] [CrossRef]
- Ahn, Y.-B.; Beaudette, L.A.; Lee, H.; Trevors, J.T. Survival of a GFP-labeled polychlorobiphenyl degrading psychrotolerant Pseudomonas spp. in 4 and 22 °C soil microcosms. Microb. Ecol. 2001, 42, 614–623. [Google Scholar] [CrossRef]
- Kuipers, B.; Cullen, W.R.; Mohn, W.W. Reductive dechlorination of weathered Aroclor 1260 during anaerobic biotreatment of Arctic soils. Can. J. Microbiol. 2003, 49, 9–14. [Google Scholar] [CrossRef]
- Margesin, R.; Zacke, G.; Schinner, F. Characterization of heterotrophic microorganisms in alpine glacier cryoconite. Arctic 2002, 34, 88–93. [Google Scholar] [CrossRef]
- Rappazzo, A.C.; Papale, M.; Rizzo, C.; Conte, A.; Giannarelli, S.; Onor, M.; Abete, C.; Cefali, P.; De Domenico, E.; Michaud, L.; et al. Heavy metal tolerance and polychlorinated biphenyl oxidation in bacterial communities inhabiting the Pasvik River and the Varanger Fjord area (Arctic Norway). Mar. Pollut. Bull. 2019, 141, 535–549. [Google Scholar] [CrossRef]
- Yakimov, M.M.; Giuliano, L.; Bruni, V.; Scarfì, S.; Golyshin, P.N. Characterization of Antarctic hydrocarbon-degrading bacteria capable of producing bioemulsifiers. New Microbiol. 1999, 22, 249–256. [Google Scholar]
- De Domenico, M.; Giudice, A.L.; Michaud, L.; Saitta, M.; Bruni, V. Diesel oil and PCB-degrading bacteria isolated from Antarctic seawaters (Terra Nova Bay, Ross Sea). Polar Res. 2004, 23, 141–146. [Google Scholar] [CrossRef]
- Tumeo, M.A.; McGuinn, D.A. Evaluation of bioremediation in cold regions. J. Cold Reg. Engin. 1997, 11, 221–231. [Google Scholar] [CrossRef]
- Luz, A.P.; Pellizari, V.H.; Whyte, L.G.; Greer, C.W. A survey of indigenous microbial hydrocarbon degradation genes in soils from Antarctica and Brazil. Can. J. Microbiol. 2004, 50, 323–333. [Google Scholar] [CrossRef]
- Rizzo, C.; Conte, A.; Azzaro, M.; Papale, M.; Rappazzo, A.C.; Battistel, D.; Roman, M.; Lo Giudice, A.; Guglielmin, M. Cultivable bacterial communities in brines from perennially ice-covered and pristine antarctic lakes: Ecological and biotechnological implications. Microorganisms 2020, 8, 819. [Google Scholar] [CrossRef] [PubMed]
- Wania, F. Assessing the potential of Persistent Organic Chemicals for long-range transport and accumulation in Polar Regions. Environ. Sci. Technol. 2003, 37, 1344–1351. [Google Scholar] [CrossRef]
- Jordahl, J.L.; Foster, L.; Schnoor, J.L.; Alvarez, P.J.J. Effect of hybrid poplar trees on microbial populations important to hazardous waste bioremediation. Environ. Toxicol. Chem. 1997, 16, 1318–1321. [Google Scholar] [CrossRef]
- Ding, N.; Guo, H.; Hayat, T.; Wu, Y.; Xu, J. Microbial community structure changes during Aroclor 1242 degradation in the rhizosphere of ryegrass (Lolium multiflorum L.). FEMS Microbiol. Ecol. 2009, 70, 305–314. [Google Scholar] [CrossRef] [PubMed][Green Version]
- Lee, T.K.; Lee, J.; Sul, W.J.; Iwai, S.; Chai, B.; Tiedje, J.M.; Park, J. Novel biphenyl-oxidizing bacteria and dioxygenase genes from a Korean tidal mudflat. Appl. Environ. Microbiol. 2011, 77, 3888–3891. [Google Scholar] [CrossRef][Green Version]
- Furukawa, K. Oxygenases and dehalogenases: Molecular approaches to efficient degradation of chlorinated environmental pollutants. Biosci. Biotechnol. Biochem. 2006, 70, 2335–2348. [Google Scholar] [CrossRef] [PubMed]
- Hayase, N.; Taira, K.; Furukawa, K. Pseudomonas putida KF715 bphABCD operon encoding biphenyl and polychlorinated biphenyl degradation: Cloning, analysis, and expression in soil bacteria. J. Bacteriol. 1990, 172, 1160–1164. [Google Scholar] [CrossRef]
- Master, E.R.; Mohn, W.W. Induction of bphA, encoding biphenyl dioxygenase, in two polychlorinated biphenyl-degrading bacteria, psychrotolerant Pseudomonas strain Cam-1 and Mesophilic Burkholderia strain LB400. Appl. Environ. Microbiol. 2001, 67, 2669–2676. [Google Scholar] [CrossRef]
- Mouz, S.; Merlin, C.; Springael, D.; Toussaint, A. A GntR-like negative regulator of the biphenyl degradation genes of the transposon Tn4371. Mol. Gen. Genet. 1999, 262, 790–799. [Google Scholar] [CrossRef]
- Watanabe, K.; Futamata, H.; Harayama, S. Understanding the diversity in catabolic potential of microorganisms for the development of biodegradation strategies. Antony Van Leeuwen. 2002, 81, 655–663. [Google Scholar] [CrossRef] [PubMed]
Publisher’s Note: MDPI stays neutral with regard to jurisdictional claims in published maps and institutional affiliations. |
© 2022 by the authors. Licensee MDPI, Basel, Switzerland. This article is an open access article distributed under the terms and conditions of the Creative Commons Attribution (CC BY) license (https://creativecommons.org/licenses/by/4.0/).