The Impact of Air Pollution on Pulmonary Diseases: A Case Study from Brasov County, Romania
Abstract
:1. Introduction
2. Materials and Methods
2.1. Study Data
2.2. Data and Methodology Used
- Understanding pollution sources; to achieve this analysis, we investigated the pollution inventory recorded by the Environment Pollution Agency of Brasov (APM) during 2016–2020. The objective of this activity is to identify the principal economic activity responsible for pollution in Brasov County and the prevalent pollutants that contribute to air quality reduction.
- Analysis of mortality/morbidity data; the objective of this analysis is to identify the mortality/morbidity caused by respiratory disease and its evolution.
- Analysis of the current status of principal air quality data and air quality index assessment. The analysis consists of (i) descriptive statistics to establish the frequency of occurrence for each pollutant and station; (ii) air index calculation based on daily, monthly, and annual data sets. For each daily value and pollutant is assigned a scale from “1”, excellent, to “6” severe with respect to the calculation grid [24]. The aggregated air quality index is calculated using the worst value of all pollutants used for each station.
- Analysis of clinical data of patients diagnosed with primary lung malignancies; the patient’s ages, sex, and domicile were quantified to identify a correlation between pollutants and histological forms of cancer. The diagnosed tissue specimens came from the thoracic Surgery Clinic of the Brasov Military Hospital’s surgery rooms and the Pneumoftiziology Clinic of the Respiratory Diseases Hospital Brasov. Thus, tumorectomies, lung specimens (lobes, segments), endobronchial biopsies, pleural fluids, aspirates, and bronchial lavages were diagnosed. The histopathological specimens were subjected to pathological processing techniques (fixation in 10% buffered formalin, dehydration, and paraffin impregnation by automatic processing, sectioning, staining of sections by hematoxylin-eosin stain. The examined liquids were centrifuged, the sediment being examined both directly and in Papanicolaou and Giemsa staining, and by inclusion in paraffin, in the form of a cytoblock prepared with neutral proteins. For histological confirmation of the microscopic diagnosis, immunohistochemistry was performed, using the panel of mom and polyclonal antibodies specific to primary lung malignancies (TTF1 clone SP141, Napsin A clone MRQ-60, anti-p40 clone BC28, Anti-Pan Keratin clone AE1/AE3/PCK26). Immunohistochemistry was performed automatically using Benchmark Ventana Gx equipment. The microscopic study was performed using a Zeiss Primo Star microscope and capturing images from the paper was performed using an AxioCam 105 color microscopy camera. The Pathology Department owns the medical equipment. To establish the post-surgical treatment, some specimens, depending on the tumor stage, were investigated by molecular biology techniques to develop the prognostic factors.
3. Results
3.1. Analysis of Pollution Sources
3.2. Analysis of SDR and Morbidity Data Sets
3.3. The Current Status of Principal Air Quality Data
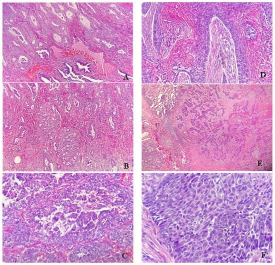
3.4. Analysis of Clinical Data of Patients Diagnosed with Primary Histological Forms of Lung Malignancies
4. Discussion
Author Contributions
Funding
Institutional Review Board Statement
Informed Consent Statement
Conflicts of Interest
References
- European Commission Directorate-General for Environment; Kantor, E.; Klebba, M.; Richer, C.; Kubota, U.; Zeisl, Y.; Dittrich, M.; Blanes Guardia, N.; Fons Estevez, J.; Salomons, E.; et al. Assessment of Potential Health Benefits of Noise Abatement Measures in the EU: Phenomena Project; Publications Office of the European Union: Luxembourg, 2021. [Google Scholar]
- Dumitru, I.M.; Lilios, G.; Arbune, M. Respiratory Infections and Air Pollution, Retrospective Study Over the Past 10 Years. J. Environ. Prot. Ecol. 2018, 19, 1445–1451. [Google Scholar]
- Rodríguez-Villamizar, L.A.; Rojas-Roa, N.Y.; Blanco-Becerra, L.C.; Herrera-Galindo, V.M.; Fernández-Niño, J.A. Short-term effects of air pollution on respiratory and circulatory morbidity in colombia 2011–2014: A multi-city, time-series analysis. Int. J. Environ. Res. Public Health 2018, 15, 1610. [Google Scholar] [CrossRef] [PubMed] [Green Version]
- Nhung, N.T.T.; Schindler, C.; Dien, T.M.; Probst-Hensch, N.; Perez, L.; Künzli, N. Acute effects of ambient air pollution on lower respiratory infections in Hanoi children: An eight-year time series study. Environ. Int. 2018, 110, 139–148. [Google Scholar] [CrossRef] [PubMed]
- Al-Taani, A.A.; Nazzal, Y.; Howari, F.M.; Iqbal, J.; Bou Orm, N.; Xavier, C.M.; Bărbulescu, A.; Sharma, M.; Dumitriu, C.-S. Contamination Assessment of Heavy Metals in Agricultural Soil, in the Liwa Area (UAE). Toxics 2021, 9, 53. [Google Scholar] [CrossRef] [PubMed]
- Nazzal, Y.; Orm, N.B.; Barbulescu, A.; Howari, F.; Sharma, M.; Badawi, A.E.; Al-Taani, A.; Iqbal, J.; El Ktaibi, F.; Xavier, C.M.; et al. Study of Atmospheric Pollution and Health Risk Assessment: A Case Study for the Sharjah and Ajman Emirates (UAE). Atmosphere 2021, 12, 1442. [Google Scholar] [CrossRef]
- Nazzal, Y.; Bărbulescu, A.; Howari, F.; Al-Taani, A.A.; Iqbal, J.; Xavier, C.M.; Sharma, M.; Dumitriu, C.Ș. Assessment of Metals Concentrations in Soils of Abu Dhabi Emirate Using Pollution Indices and Multivariate Statistics. Toxics 2021, 9, 95. [Google Scholar] [CrossRef] [PubMed]
- Dastoorpoor, M.; Khanjani, N.; Bahrampour, A.; Goudarzi, G.; Aghababaeian, H.; Idani, E. Short-term effects of air pollution on respiratory mortality in Ahvaz, Iran. Med. J. Islam. Repub. Iran 2018, 32, 173–181. [Google Scholar] [CrossRef] [PubMed]
- Stafoggia, M.; Samoli, E.; Alessandrini, E.; Cadum, E.; Ostro, B.; Berti, G.; Faustini, A.; Jacquemin, B.; Linares, C.; Pascal, M.; et al. Short-term Associations between Fine and Coarse Particulate Matter and Hospitalizations in Southern Europe: Results from the MED-PARTICLES Project. Environ. Health Perspect. 2013, 121, 1026–1033. [Google Scholar] [CrossRef] [PubMed]
- Carlsten, C.; Salvi, S.; Wong, G.W.K.; Chung, K.F. Personal strategies to minimise effects of air pollution on respiratory health: Advice for providers, patients and the public. Eur. Respir. J. 2020, 55, 1902056. [Google Scholar] [CrossRef] [PubMed]
- Bărbulescu, A.; Dumitriu, C.Ș. Assessing Water Quality by Statistical Methods. Water 2021, 13, 1026. [Google Scholar] [CrossRef]
- Bărbulescu, A.; Dumitriu, C.S.; Ilie, I.; Barbeş, S.-B. Influence of Anomalies on the Models for Nitrogen Oxides and Ozone Series. Atmosphere 2022, 13, 558. [Google Scholar] [CrossRef]
- Respiratory Diseases Statistics. Available online: http://ec.europa.eu/eurostat/statistics-explained/index.php/Respiratory_diseases_statistics (accessed on 4 September 2021).
- European Environment Agency. Healthy Environment, Healthy Lives: How the Environment Influences Health and Well-Being in Europe; European Environment Agency: Copenhagen, Denmark, 2020.
- Schraufnagel, D.E.; Balmes, J.R.; Cowl, C.T.; De Matteis, S.; Jung, S.-H.; Mortimer, K.; Perez-Padilla, R.; Rice, M.B.; Riojas-Rodriguez, H.; Sood, A.; et al. Air Pollution and Noncommunicable Diseases: A Review by the Forum of International Respiratory Societies’ Environmental Committee, Part 1: The Damaging Effects of Air Pollution. Chest 2019, 155, 409–416. [Google Scholar] [CrossRef] [PubMed] [Green Version]
- Schraufnagel, D.E.; Balmes, J.R.; Cowl, C.T.; De Matteis, S.; Jung, S.-H.; Mortimer, K.; Perez-Padilla, R.; Rice, M.B.; Riojas-Rodriguez, H.; Sood, A.; et al. Air Pollution and Noncommunicable Diseases: A Review by the Forum of International Respiratory Societies’ Environmental Committee, Part 2: Air Pollution and Organ Systems. Chest 2019, 155, 417–426. [Google Scholar] [CrossRef] [PubMed]
- Directive 2008/50/EC of the European Parliament and of the Council of 21 May 2008 on Ambient Air Quality and Cleaner Air for Europe. Available online: http://news.cleartheair.org.hk/wp-content/uploads/2013/02/LexUriServ.pdf (accessed on 10 May 2022).
- European Parliament and Council. DIRECTIVE (EU) 2016/2284 on the Reduction of National Emissions of Certain Atmospheric Pollutants, Amending Directive 2003/35/EC and Repealing Directive 2001/81/EC. Available online: https://eur-lex.europa.eu/legal-content/RO/TXT/HTML/?uri=CELEX:32016L2284&from=RO (accessed on 2 September 2021).
- Romania—Air Pollution Country Fact Sheet—European Environment Agency. Available online: https://www.eea.europa.eu/themes/air/country-fact-sheets/2020-country-fact-sheets/romania (accessed on 2 September 2021).
- De Bruyn, S.; de Vries, J. Health Costs of Air Pollution in European Cities and the Linkage with Transport; CE Delft: Delft, The Netherlands, 2020. [Google Scholar]
- CITEAIR—Comparing Urban Air Quality across Borders. Available online: http://airqualitynow.eu/download/CITEAIR-Comparing_Urban_Air_Quality_across_Borders.pdf (accessed on 3 September 2021).
- Stieb, D.M.; Burnett, R.T.; Smith-Doiron, M.; Brion, O.; Shin, H.H.; Economou, V. A New Multipollutant, No-Threshold Air Quality Health Index Based on Short-Term Associations Observed in Daily Time-Series Analyses. J. Air Waste Manag. Assoc. 2008, 58, 435–450. [Google Scholar] [CrossRef] [PubMed] [Green Version]
- Olstrup, H. An Air Quality Health Index (AQHI) with Different Health Outcomes Based on the Air Pollution Concentrations in Stockholm during the Period of 2015–2017. Atmosphere 2020, 11, 192. [Google Scholar] [CrossRef] [Green Version]
- Order 1818 02/10/2020. Available online: http://legislatie.just.ro/Public/DetaliiDocument/231536 (accessed on 7 September 2021).
- European Environment Agency. EMEP/EEA Air Pollutant Emission Inventory Guidebook. 2019. Available online: https://www.eea.europa.eu/publications/emep-eea-guidebook-2019 (accessed on 4 February 2022).
- TEMPO Online. Available online: http://statistici.insse.ro:8077/tempo-online/#/pages/tables/insse-table (accessed on 4 September 2021).
- INSP-CNSISP. Mortalitatea Generală. 2019. Available online: https://cnsisp.insp.gov.ro/wp-content/uploads/2021/01/MORTALITATEA-GENERALA-2019.pdf (accessed on 5 September 2021).
- Ettinger, D.S.; Akerley, W.; Borghaei, H.; Chang, A.C.; Cheney, R.T.; Chirieac, L.R.; D’Amico, T.A.; Demmy, T.L.; Govindan, R.; Grannis, F.W.; et al. Non-Small Cell Lung Cancer, Version 2.2013. J. Natl. Compr. Cancer Netw. 2013, 11, 645–653. [Google Scholar] [CrossRef] [PubMed] [Green Version]
- Lamichhane, D.K.; Kim, H.-C.; Choi, C.-M.; Shin, M.-H.; Shim, Y.M.; Leem, J.-H.; Ryu, J.-S.; Nam, H.-S.; Park, S.-M. Lung Cancer Risk and Residential Exposure to Air Pollution: A Korean Population-Based Case-Control Study. Yonsei Med. J. 2017, 58, 1111. [Google Scholar] [CrossRef] [PubMed]









| Influenza | Pneumonia | Chronic Lower Respiratory Diseases | Asthma and Status Asthmaticus | Other Lower Respiratory Diseases | Other Diseases of the Respiratory System | |
|---|---|---|---|---|---|---|
| EU −27 1 | 1.0 | 24.3 | 34.2 | 1.2 | 33.0 | 22.0 |
| Romania | 0.1 | 42.5 | 39.2 | 1.4 | 37.8 | 11.7 |
| Station Indicative | Location | Type | Elevation [m] |
|---|---|---|---|
| BV1 | Calea Bucureşti Blvd. | traffic | 593 |
| BV2 | Castanilor street | urban | 593 |
| BV3 | Garii Blvd. | traffic | 593 |
| BV4 | Sânpetru village | suburban | 560 |
| BV5 | Vlahuta street | industrial | 593 |
| EMI | Fundata village | regional | 1360 |
| NFR Source Categories | NOx | PM2.5 | PM10 | SOx |
|---|---|---|---|---|
| commercial and households | 9% | 61.2% | 48.2% | 23.8% |
| transport (road and rail) | 54.8% | 11.8% | 10.6% | - |
| energy production | 9% | 0.3% | 0.3% | 0.2% |
| manufacturing industries and construction | 26.7% | 14.2% | 11.1% | 75.8% |
| agriculture | 0.5% | 0.2% | 0.2% | 0.2% |
| mineral products | - | 12.3% | 29.6% | - |
| Year | Incidence | Prevalence | Hospitalized | |
|---|---|---|---|---|
| Malign tumors from which neoplasm of the bronchus and lungs | 2017 | 330.3/30.3 * | 2474/86.6 * | 798.6/37.0 * |
| 2018 | 253.6/25.9 * | 2453.8/319.2 * | 763.9/28.8 * | |
| 2019 | 110.7/11.6 * | 1928.6/259.2 * | 745.6/42.0 * | |
| Chronic obstructive pulmonary disease (COPD) | 2017 | 189.6 | 1940.8 | 331.7 |
| 2018 | 125.8 | 1940.6 | 310.9 | |
| 2019 | 157.2 | 2254.7 | 221.2 | |
| Asthma | 2017 2018 2019 | 139.9 150.1 184.7 | 25.2 23.9 24.1 |
| Pollutant | Station | Observation | Obs. without Missing Data | Minimum | Maximum | Mean | Std. Deviation | No of Days Over Limit/Year |
|---|---|---|---|---|---|---|---|---|
| NOx | BV1 | 1827 | 1710 | 8.12 | 565.52 | 73.58 | 61.09 | 237 |
| BV2 | 1827 | 1547 | 9.62 | 628.90 | 69.96 | 63.63 | 187 | |
| BV3 | 1827 | 1692 | 7.97 | 681.83 | 94.57 | 63.57 | 300 | |
| BV4 | 1827 | 1682 | 2.14 | 142.60 | 17.24 | 13.89 | 19 | |
| BV5 | 1827 | 1235 | 12.21 | 641.04 | 78.78 | 64.72 | 121 | |
| EMI | 1827 | 466 | 2.39 | 26.60 | 7.44 | 2.24 | 0 | |
| SO2 | BV1 | 1827 | 1076 | 0.47 | 17.02 | 5.73 | 2.07 | 0.00 |
| BV2 | 1827 | 1588 | 0.46 | 24.39 | 6.07 | 1.83 | 0.00 | |
| BV3 | 1827 | 1227 | 1.40 | 21.56 | 6.87 | 2.66 | 0.00 | |
| BV4 | 1827 | 1682 | 2.14 | 142.60 | 17.24 | 13.89 | 0.00 | |
| BV5 | 1827 | 1483 | 0.00 | 19.85 | 5.61 | 2.04 | 0.00 | |
| EMI | 1827 | 485 | 0.09 | 18.11 | 5.47 | 2.67 | 0.00 | |
| PM10 | BV1 | 1827 | 1636 | 2.74 | 179.23 | 27.96 | 18.82 | 27 |
| BV2 | 1827 | 1305 | 2.36 | 255.93 | 28.84 | 22.27 | 44 | |
| BV3 | 1827 | 1697 | 2.91 | 216.48 | 31.93 | 21.13 | 73 | |
| BV4 | 1827 | 1223 | 1.09 | 200.95 | 23.82 | 21.00 | 14 | |
| BV5 | 1827 | 659 | 0.43 | 272.09 | 25.24 | 27.24 | 15 | |
| EMI | 1827 | 397 | 0.73 | 66.86 | 9.23 | 8.37 | 0 | |
| PM2.5 | BV2 | 1827 | 1560 | 1.09 | 198.31 | 19.22 | 17.17 | 10 |
| Rating | Index Value for NOx | BV1 | BV2 | BV3 | BV4 | BV5 |
|---|---|---|---|---|---|---|
| excellent | 0–40 | 31% | 39% | 11% | 94% | 24% |
| fine | 40–90 | 41% | 33% | 41% | 5% | 45% |
| moderate | 90–120 | 12% | 13% | 26% | 0% | 14% |
| poor | 120–230 | 12% | 11% | 17% | 0% | 12% |
| very poor | 230–340 | 1% | 2% | 4% | 0% | 3% |
| severe | 340–1000 | 3% | 1% | 1% | 0% | 1% |
| Year of Study | Cases | Sex Ratio | Cases | Histological Forms | Cases |
|---|---|---|---|---|---|
| 2018 | 25 | Men | 70 | Pulmonary Adenocarcinoma (ADK) | 25 |
| 2019 | 47 | Women | 34 | Squamous cell carcinoma (SCC) | 79 |
| 2020 | 9 | ||||
| 2021 | 23 | ||||
| Ages | Cases | Domicile and histological forms | Cases | ||
| 54–60 | 18 | Urban/ADK | 20 | ||
| 61–70 | 54 | Domicile | Cases | Urban/SCC | 55 |
| 71–80 | 29 | Urban | 75 | Rural/ADK | 5 |
| 81–82 | 3 | Rural | 29 | Rural/SCC | 24 |
Publisher’s Note: MDPI stays neutral with regard to jurisdictional claims in published maps and institutional affiliations. |
© 2022 by the authors. Licensee MDPI, Basel, Switzerland. This article is an open access article distributed under the terms and conditions of the Creative Commons Attribution (CC BY) license (https://creativecommons.org/licenses/by/4.0/).
Share and Cite
Maftei, C.; Muntean, R.; Poinareanu, I. The Impact of Air Pollution on Pulmonary Diseases: A Case Study from Brasov County, Romania. Atmosphere 2022, 13, 902. https://doi.org/10.3390/atmos13060902
Maftei C, Muntean R, Poinareanu I. The Impact of Air Pollution on Pulmonary Diseases: A Case Study from Brasov County, Romania. Atmosphere. 2022; 13(6):902. https://doi.org/10.3390/atmos13060902
Chicago/Turabian StyleMaftei, Carmen, Radu Muntean, and Ionut Poinareanu. 2022. "The Impact of Air Pollution on Pulmonary Diseases: A Case Study from Brasov County, Romania" Atmosphere 13, no. 6: 902. https://doi.org/10.3390/atmos13060902
APA StyleMaftei, C., Muntean, R., & Poinareanu, I. (2022). The Impact of Air Pollution on Pulmonary Diseases: A Case Study from Brasov County, Romania. Atmosphere, 13(6), 902. https://doi.org/10.3390/atmos13060902

