Environmental Temperature Controls Accumulation of Transacting siRNAs Involved in Heterochromatin Formation
Abstract
1. Introduction
2. Materials and Methods
2.1. Cell Culture, Transgenic Lines and Phenotypic Characterization
2.2. DNA Isolation and Southern Blots
2.3. Total RNA Isolation and Northern Blots
2.4. Non-Radioactive Labeling and Hybridizations
2.5. Small Interfering RNA Northern Blot Analysis
2.6. Short RNA Library Preparation, Illumina Sequencing and Bioinformatics Analyses
2.7. Long RNA Library Preparation and Sequencing
3. Results
3.1. Silencing Phenotypes by Truncated Transgenes Depend on the Environmental Temperature
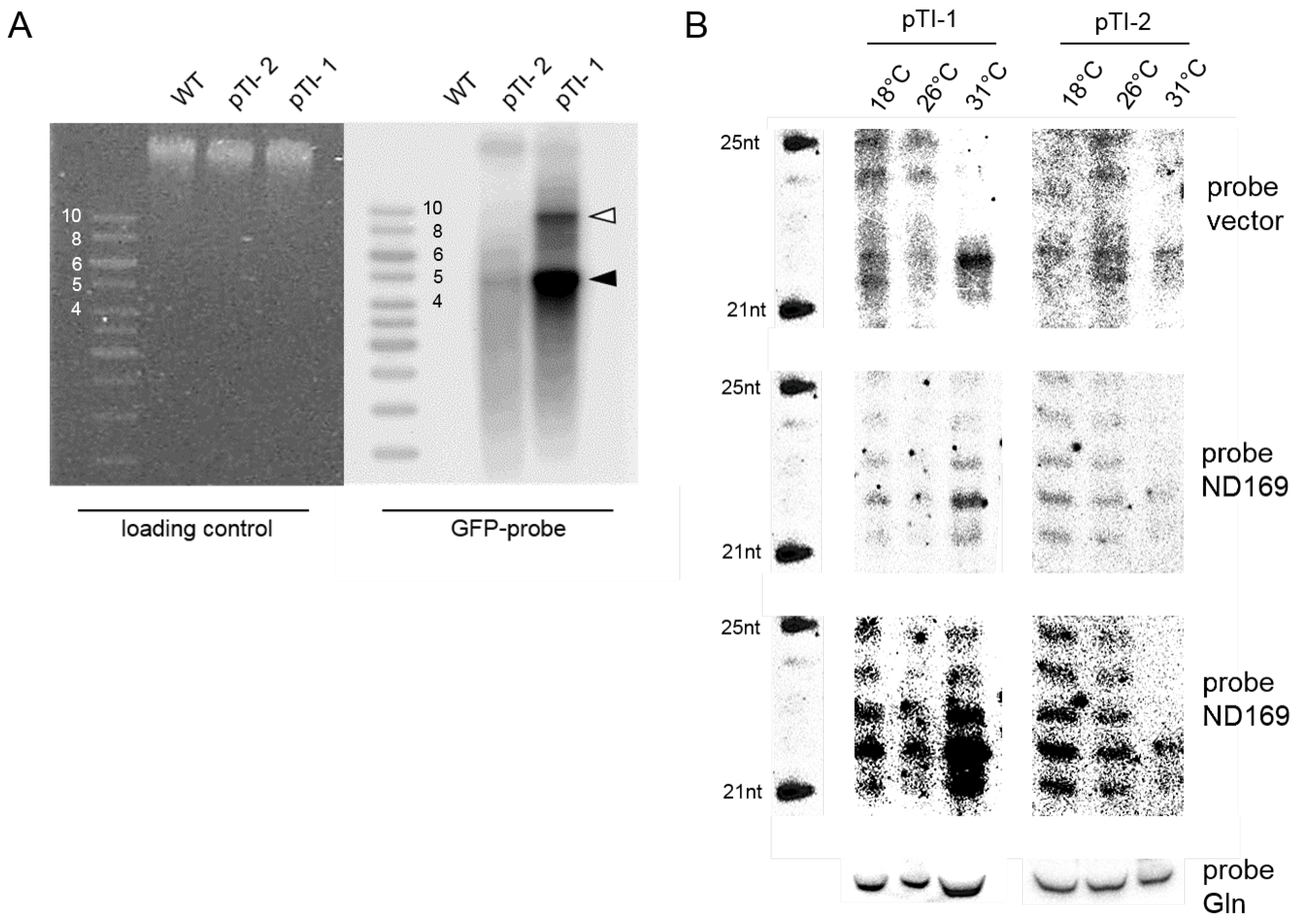
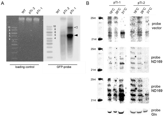
3.2. Cold Temperatures Impede Short Interfering RNA Accumulation
3.3. Short Interfering RNA Sequencing Shows Primary and Secondary Short Interfering RNA Temperature Dependency
3.4. Increased Short Interfering RNA Accumulation Is Not Due to Increased Precursor RNA Levels
4. Discussion
Supplementary Materials
Acknowledgments
Author Contributions
Conflicts of Interest
References
- Holoch, D.; Moazed, D. RNA-mediated epigenetic regulation of gene expression. Nat. Rev. Genet. 2015, 16, 71–84. [Google Scholar] [CrossRef] [PubMed]
- Neeb, Z.T.; Nowacki, M. RNA-mediated transgenerational inheritance in ciliates and plants. Chromosoma 2017, 1–9. [Google Scholar] [CrossRef] [PubMed]
- Sarkies, P.; Miska, E.A. Small RNAs break out: The molecular cell biology of mobile small RNAs. Nat. Rev. Mol. Cell Biol. 2014, 15, 525–535. [Google Scholar] [CrossRef] [PubMed]
- Bühler, M.; Verdel, A.; Moazed, D. Tethering RITS to a nascent transcript initiates RNAi- and heterochromatin-dependent gene silencing. Cell 2006, 125, 873–886. [Google Scholar] [CrossRef] [PubMed]
- Simmer, F.; Buscaino, A.; Kos-Braun, I.C.; Kagansky, A.; Boukaba, A.; Urano, T.; Kerr, A.R.; Allshire, R.C. Hairpin RNA induces secondary small interfering RNA synthesis and silencing in trans in fission yeast. EMBO Rep. 2010, 11, 112–118. [Google Scholar] [CrossRef] [PubMed]
- Hollick, J.B. Paramutation and related phenomena in diverse species. Nat. Rev. Genet. 2017, 18, 5–23. [Google Scholar] [CrossRef] [PubMed]
- Sapetschnig, A.; Sarkies, P.; Lehrbach, N.J.; Miska, E.A. Tertiary siRNAs mediate paramutation in C. elegans. PLoS Genet. 2015, 11, e1005078. [Google Scholar] [CrossRef] [PubMed]
- De Vanssay, A.; Bougé, A.L.; Boivin, A.; Hermant, C.; Teysset, L.; Delmarre, V.; Antoniewski, C.; Ronsseray, S. Paramutation in Drosophila linked to emergence of a piRNA-producing locus. Nature 2012, 490, 112–115. [Google Scholar] [CrossRef] [PubMed]
- Tricker, P.J. Transgenerational inheritance or resetting of stress-induced epigenetic modifications: Two sides of the same coin. Front. Plant Sci. 2015, 6. [Google Scholar] [CrossRef] [PubMed]
- Simon, M.; Plattner, H. Unicellular eukaryotes as models in cell and molecular biology: Critical appraisal of their past and future value. Int. Rev. Cell Mol. Biol. 2014, 309, 141–198. [Google Scholar] [PubMed]
- Galvani, A.; Sperling, L. RNA interference by feeding in Paramecium. Trends Genet. 2002, 18, 11–12. [Google Scholar] [CrossRef]
- Ruiz, F.; Vayssié, L.; Klotz, C.; Sperling, L.; Madeddu, L. Homology-dependent gene silencing in Paramecium. Mol. Biol. Cell 1998, 9, 931–943. [Google Scholar] [CrossRef] [PubMed][Green Version]
- Garnier, O.; Serrano, V.; Duharcourt, S.; Meyer, E. RNA-mediated programming of developmental genome rearrangements in Paramecium tetraurelia. Mol. Cell. Biol. 2004, 24, 7370–7379. [Google Scholar] [CrossRef] [PubMed]
- Galvani, A.; Sperling, L. Transgene-mediated post-transcriptional gene silencing is inhibited by 3 non-coding sequences in Paramecium. Nucleic Acids Res. 2001, 29, 4387–4394. [Google Scholar] [CrossRef] [PubMed][Green Version]
- Marker, S.; Le Mouel, A.; Meyer, E.; Simon, M. Distinct RNA-dependent RNA polymerases are required for RNAi triggered by double-stranded RNA versus truncated transgenes in Paramecium tetraurelia. Nucleic Acids Res. 2010, 38, 4092–4107. [Google Scholar] [CrossRef] [PubMed]
- Marker, S.; Carradec, Q.; Tanty, V.; Arnaiz, O.; Meyer, E. A forward genetic screen reveals essential and non-essential RNAi factors in Paramecium tetraurelia. Nucleic Acids Res. 2014, 42, 7268–7280. [Google Scholar] [CrossRef] [PubMed]
- Götz, U.; Marker, S.; Cheaib, M.; Andresen, K.; Shrestha, S.; Durai, D.A.; Nordström, K.J.; Schulz, M.H.; Simon, M. Two sets of RNAi components are required for heterochromatin formation in trans triggered by truncated transgenes. Nucleic Acids Res. 2016, 44, 5908–5923. [Google Scholar] [CrossRef] [PubMed]
- Beale, G.H. The Genetics of Paramecium Aurelia; Cambridge University Press: Cambridge, UK, 1954. [Google Scholar]
- Cheaib, M.; Dehghani Amirabad, A.; Nordstrom, K.J.; Schulz, M.H.; Simon, M. Epigenetic regulation of serotype expression antagonizes transcriptome dynamics in Paramecium tetraurelia. DNA Res. 2015, 22, 293–305. [Google Scholar] [CrossRef] [PubMed]
- Babraham Bioinformatics. Available online: http://www.bioinformatics.babraham.ac.uk/projects/trim_galore/ (accessed on 19 February 2018).
- Martin, M. Cutadapt removes adapter sequences from high-throughput sequencing reads. EMBO J. 2011, 17. [Google Scholar] [CrossRef]
- Karunanithi, S.; Simon, M.; Schulz, M.H. Automated analysis of small RNA datasets with RAPID. Presented at the 25th Annual International Conference on Intelligent Systems for Molecular Biology (ISMB) and 16th European Conference on Computational Biology (ECCB), Prague, Czech Republic, 21–25 July 2017. [Google Scholar]
- Dobin, A.; Davis, C.A.; Schlesinger, F.; Drenkow, J.; Zaleski, C.; Jha, S.; Batut, P.; Chaisson, M.; Gingeras, T.R. STAR: Ultrafast universal RNA-seq aligner. Bioinformatics 2013, 29, 15–21. [Google Scholar]
- Chalker, D.L.; Meyer, E.; Mochizuki, K. Epigenetics of ciliates. In Epigenetics, 2nd ed.; Allis, C.D., Caparros, M.-L., Jenuwein, T., Reinberg, D., Lachner, M., Eds.; Cold Spring Harbor Laboratory Press: Cold Spring Harbor, NY, USA, 2015; pp. 313–335. [Google Scholar]
- Froissard, M.; Keller, A.M.; Dedieu, J.C.; Cohen, J. Novel secretory vesicle proteins essential for membrane fusion display extracellular-matrix domains. Traffic 2004, 5, 493–502. [Google Scholar] [CrossRef] [PubMed]
- Lepere, G.; Nowacki, M.; Serrano, V.; Gout, J.F.; Guglielmi, G.; Duharcourt, S.; Meyer, E. Silencing-associated and meiosis-specific small RNA pathways in Paramecium tetraurelia. Nucleic Acids Res. 2008, 37, 903–915. [Google Scholar] [CrossRef] [PubMed]
- Ni, J.Z.; Kalinava, N.; Chen, E.; Huang, A.; Trinh, T.; Gu, S.G. A transgenerational role of the germline nuclear RNAi pathway in repressing heat stress-induced transcriptional activation in C. elegans. Epigenet. Chromatin 2016, 9, 3. [Google Scholar] [CrossRef] [PubMed]
- Oberti, D.; Biasini, A.; Kirschmann, M.A.; Genoud, C.; Stunnenberg, R.; Shimada, Y.; Bühler, M. Dicer and HSP104 function in a negative feedback loop to confer robustness to environmental stress. Cell Rep. 2015, 10, 47–61. [Google Scholar] [CrossRef] [PubMed][Green Version]
- Szittya, G.; Silhavy, D.; Molnár, A.; Havelda, Z.; Lovas, Á.; Lakatos, L.; Bánfalvi, Z.; Burgyán, J. Low temperature inhibits RNA silencing-mediated defence by the control of siRNA generation. EMBO J. 2003, 22, 633–640. [Google Scholar] [CrossRef] [PubMed]
- Voinnet, O. RNA silencing as a plant immune system against viruses. Trends Genet. 2001, 17, 449–459. [Google Scholar] [CrossRef]
- Dalmay, T.; Hamilton, A.; Rudd, S.; Angell, S.; Baulcombe, D.C. An RNA-dependent RNA polymerase gene in Arabidopsis is required for posttranscriptional gene silencing mediated by a transgene but not by a virus. Cell 2000, 101, 543–553. [Google Scholar] [CrossRef]
- Romon, M.; Soustre-Gacougnolle, I.; Schmitt, C.; Perrin, M.; Burdloff, Y.; Chevalier, E.; Mutterer, J.; Himber, C.; Zervudacki, J.; Montavon, T.; et al. RNA silencing is resistant to low-temperature in grapevine. PLoS ONE 2013, 8, e82652. [Google Scholar] [CrossRef] [PubMed]
- Sandoval, P.Y.; Swart, E.C.; Arambasic, M.; Nowacki, M. Functional diversification of Dicer-like proteins and small RNAs required for genome sculpting. Dev. Cell 2014, 28, 174–188. [Google Scholar] [CrossRef] [PubMed]
- Bouhouche, K.; Gout, J.F.; Kapusta, A.; Bétermier, M.; Meyer, E. Functional specialization of PIWI proteins in Paramecium tetraurelia from post-transcriptional gene silencing to genome remodelling. Nucleic Acids Res. 2011, 39, 4249–4264. [Google Scholar] [CrossRef] [PubMed]





© 2018 by the authors. Licensee MDPI, Basel, Switzerland. This article is an open access article distributed under the terms and conditions of the Creative Commons Attribution (CC BY) license (http://creativecommons.org/licenses/by/4.0/).
Share and Cite
Pirritano, M.; Götz, U.; Karunanithi, S.; Nordström, K.; Schulz, M.H.; Simon, M. Environmental Temperature Controls Accumulation of Transacting siRNAs Involved in Heterochromatin Formation. Genes 2018, 9, 117. https://doi.org/10.3390/genes9020117
Pirritano M, Götz U, Karunanithi S, Nordström K, Schulz MH, Simon M. Environmental Temperature Controls Accumulation of Transacting siRNAs Involved in Heterochromatin Formation. Genes. 2018; 9(2):117. https://doi.org/10.3390/genes9020117
Chicago/Turabian StylePirritano, Marcello, Ulrike Götz, Sivarajan Karunanithi, Karl Nordström, Marcel H. Schulz, and Martin Simon. 2018. "Environmental Temperature Controls Accumulation of Transacting siRNAs Involved in Heterochromatin Formation" Genes 9, no. 2: 117. https://doi.org/10.3390/genes9020117
APA StylePirritano, M., Götz, U., Karunanithi, S., Nordström, K., Schulz, M. H., & Simon, M. (2018). Environmental Temperature Controls Accumulation of Transacting siRNAs Involved in Heterochromatin Formation. Genes, 9(2), 117. https://doi.org/10.3390/genes9020117

