Expanding the Genotypic and Phenotypic Spectrum of SPENCDI: A Novel ACP5 Variant and Literature Review
Abstract
1. Introduction
2. Materials and Methods
2.1. Ethics Compliance
2.2. Clinical Chemistry and Imaging
2.3. Genetic Testing and Data Analysis
2.4. Literature Review Methodology
3. Results
3.1. Clinical Features
3.2. Clinical Chemistry, Hematology, and Biopsy Findings
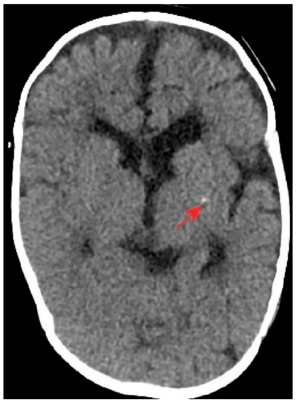
3.3. Imaging
3.4. Genetic Findings
3.5. Clinical Management and Follow-Up
4. Discussion
| ACP5 Variants | Age at Presentation | N | Neurological | Skeletal | Short Stature | Immunodeficiency | Autoimmune | JAK Inhibitor Treatment | Ref. |
|---|---|---|---|---|---|---|---|---|---|
| p.Ser258Trpfs*39 | 2 m | 1 | Developmental delay; intracranial calcification | Platyspondyly; metaphyseal lesions | Yes | Recurrent infections | SLE | None | [16] |
| Homozygous deletion (the specific variant type was unclear) | 3 y | 1 | Intracranial calcification | Platyspondyly; enchondromatous non-ossifying metaphyseal lesions | Yes | None | Thrombotic thrombocytopenic purpura; membranous nephropathy | Baricitinib: long-term remission was achieved | [17] |
| p.Gly215Arg Het./p.Leu247Pro Het.; p.Ser267Leufs*20 Het./p.Gly239Asp Het. | 4 y, 12 y | 2 | Developmental delay (1/2); headache (1/2); extrapyramidal symptoms (2/2); middle cerebral artery occlusion (1/2); intracranial calcification (2/2); leukodystrophy (2/2) | Platyspondyly + metaphyseal dysplasia (2/2) | 1/2 | None | Systemic inflammation (1/2) | Tofacitinib (2/2): the patient with a headache experienced symptom relief, while another patient with systemic inflammation had poor disease control | [18] |
| p.Met264Lys; p.Met264Lys Het./p.Ile211Thr Het. | 2 y–6 y | 4 | Spasticity (1/4); developmental delay (2/4); intracranial calcification (2/4) | Metaphyseal and vertebral dysplasia (4/4); genu valgum (1/4) | 1/4 | Recurrent infections (2/4); humoral immunodeficiency (2/4) | autoimmune hypothyroidism (1/4); thrombocytopenia (1/4); autoimmune hepatitis (2/4); SLE (1/4); hypocomplementemia (1/4) | Ruxolitinib (2/4): one patient exhibited a partial response due to a relapse of cytopenia, while another achieved an adequate response | [19] |
| p.Gly109Arg Het./p.Arg176* Het.; p.Gln245* Het./p.Gly204Asp Het. | 3 y, 4 y | 2 | Developmental delay (1/2); intracranial calcification (2/2) | Platyspondyly + metaphyseal dysplasia (2/2) | 2/2 | None | Evans syndrome (2/2) | Ruxolitinib (2/2): the resolution of cytopenias; the increase in energy, academic performance and general wellbeing | [20] |
| p.Ex4_7del | 13 m | 1 | Neurological regression; developmental delay; dystonic posturing; possible intracranial calcification | Irregularities in long bone metaphysis and irregular vertebral segments contours without significant platyspondyly | Yes | None | Neutropenia; thrombocytopenia | Baricitinib: IFN score decreased; but the benefit on the neurological aspects is less clear | [13] |
| p.Lys52Thr | 35 y | 1 | Seizures, myoclonus (due to intracranial infection) | Platyspondyly, enchondromatous changes in bone | Yes | Recurrent opportunistic infection; deep neutropenia, CD4 lymphopenia | SLE, autoimmune myelofibrosis | Baricitinib: the reduction in fatigue levels; mean white blood cell counts and neutrophil counts have increased | [21] |
| p.Gln184Serfs*28 | 1 y | 1 | Spastic diplegia; intracranial calcification | None | Yes | None | Evans syndrome | None | [22] |
| p.Asp203Ala | 2.7 y | 1 | Seizures; spasticity; developmental delay; neurological regression | Platyspondyly; radiolucent lesions in vertebral bodies; varus abnormality of both feet | Yes | None | Autoimmune hemolytic anemia | None | [15] |
| p.Thr44Met Het./p.Lys272Glnfs*14 Het. | 6 m | 1 | Spasticity; developmental delay; seizures; cerebral vascular disease | Discrete metaphyseal irregularities | Yes | Recurrent severe infection; reduced number of CD4+, B and natural killer cells; | Autoimmune hemolytic anemia; thrombocytopenia; polyarthritis; anti-phospholipid syndrome; hepatitis; nephritis | None | [14] |
| p.Gly215Arg; p.Lys52Thr; p.Gln223X | 3–6 y | 3 | Spastic diplegia (2/3); intracranial calcification (2/2, 1 NA) | Platyspondyly + metaphyseal lesions (3/3) | 3/3 | None | Thrombocytopenia + neutropenia (1/3); thrombocytopenia (1/3); autoimmune hemolytic anemia (1/3) | None | [9] |
| p.Lys52Thr | 2 y, 19 y | 2 | Spastic paraparesis (2/2); mild cognitive impairment (2/2); intracranial calcification (1/2) | Platyspondyly + metaphyseal changes (2/2) | 2/2 | None | SLE (2/2) | None | [23] |
| p.Arg46Trp Het./p.Val150Glu Het. | 3 y, 9 y | 2 | Moyamoya syndrome (2/2) | Platyspondyly + metaphyseal dysplasia (2/2) | None | None | SLE (2/2) | None | [24] |
| p.Ser210Phe; p.Arg176Ter; p.Gln248ProfsTer3; p.Gly259Arg | 4 m–1.7 y | 5 | Spasticity (4/5); developmental delay (4/5); epilepsy (1/5); intracranial calcification (4/5) | Platyspondyly + metaphyseal dysplasia (5/5); scoliosis (1/5); thoracic kyphosis (1/5) | 4/5 | Cellular immunodeficiency (3/5) or combined immunodeficiency (1/5) | All patients presented mild autoimmune manifestations | None | [25] |
| p.Ser258TrpfsTer39 | 3 m–13 y | 9 | Spastic paraparesis (5/9); developmental delay (5/9); seizures (1/9); intracranial calcifications (5/6, 3 NA) | Platyspondyly/metaphyseal dysplasia (9/9); scoliosis (1/9); hip dislocation (1/9) | 9/9 | Recurrent infections (5/9); All of them had normal total lymphocyte counts | Autoimmune hemolytic anemia (5/9), autoimmune thrombocytopenia (3/9) | None | [26] |
| 17 types [2] | Birth–15 y | 26 | Spasticity (11/25, 1 NA); developmental delay (7/25, 1 NA); intracranial calcification (9/14, 12 NA); others: ataxia, seizures, psychosis and painful multifocal neuropathy | Platyspondyly + metaphyseal dysplasia (23/25, 1 NA); platyspondyly/metaphyseal dysplasia (2/25, 1 NA); short distal phalanges (2/25, 1 NA); kyphosis and pectus carinatum (1/25, 1 NA) | 24/25 (1 NA) | Recurrent infection (5/25, 1 NA) | Autoimmune manifestations were present in 22 patients | None | [7] [1] |
| 10 types [2] | 10 m–16 y | 14 | Spasticity (3/13, 1 NA); developmental delay (3/13, 1 NA); intracranial calcification (6/7, 7 NA); | Platyspondyly + metaphyseal dysplasia (14/14); scoliosis (1/14) | 14/14 | None | Autoimmune manifestations were present in 12 patients (1 NA) | None | [3] [3] |
| ACP5 Variants | Ref. |
|---|---|
| p.Lys52Thr | [3] |
| p.Tyr74X | |
| p.Gly109Arg | |
| p.Gly109Arg Het./p.Tyr278del Het. | |
| p.Leu201Pro | |
| p.Tyr206X | |
| p.Gly215Arg | |
| p.Asn262His | |
| p.Met264Lys | |
| p.Ser267X | |
| p.Ex4_7 del | [7] |
| p.Ex5_7 del | |
| p.Ser258Trpfs*39 | |
| p.Thr44Met Het./p.Cys238Arg Het. | |
| p.Lys52Thr | |
| p.Lys52Thr Hom./p.Met264Val Het. | |
| p.Thr89Ile | |
| p.Gly109Arg | |
| p.Gly109Arg Het./p.Cys238Arg Het. | |
| Gln120Arg | |
| p.Tyr123X Het./p.Asp241Asn Het. | |
| p.Gly215Arg | |
| p.Gln223X | |
| p.His242Arg | |
| p.Met264Val | |
| p.Val274Ala | |
| p.? Hom. |
5. Conclusions
Author Contributions
Funding
Institutional Review Board Statement
Informed Consent Statement
Data Availability Statement
Acknowledgments
Conflicts of Interest
References
- Schorr, S.; Legum, C.; Ochshorn, M. Spondyloenchondrodysplasia. Enchondromatomosis with severe platyspondyly in two brothers. Radiology 1976, 118, 133–139. [Google Scholar] [CrossRef]
- Briggs, T.A.; Rice, G.I.; Daly, S.; Urquhart, J.; Gornall, H.; Bader-Meunier, B.; Baskar, K.; Baskar, S.; Baudouin, V.; Beresford, M.W.; et al. Tartrate-resistant acid phosphatase deficiency causes a bone dysplasia with autoimmunity and a type I interferon expression signature. Nat. Genet. 2011, 43, 127–131. [Google Scholar] [CrossRef]
- Lausch, E.; Janecke, A.; Bros, M.; Trojandt, S.; Alanay, Y.; De Laet, C.; Hübner, C.A.; Meinecke, P.; Nishimura, G.; Matsuo, M.; et al. Genetic deficiency of tartrate-resistant acid phosphatase associated with skeletal dysplasia, cerebral calcifications and autoimmunity. Nat. Genet. 2011, 43, 132–137. [Google Scholar] [CrossRef]
- Behrens, T.W.; Graham, R.R. TRAPing a new gene for autoimmunity. Nat. Genet. 2011, 43, 90–91. [Google Scholar] [CrossRef]
- Hayman, A.R. Tartrate-resistant acid phosphatase (TRAP) and the osteoclast/immune cell dichotomy. Autoimmunity 2008, 41, 218–223. [Google Scholar] [CrossRef]
- Renella, R.; Schaefer, E.; LeMerrer, M.; Alanay, Y.; Kandemir, N.; Eich, G.; Costa, T.; Ballhausen, D.; Boltshauser, E.; Bonafe, L.; et al. Spondyloenchondrodysplasia with spasticity, cerebral calcifications, and immune dysregulation: Clinical and radiographic delineation of a pleiotropic disorder. Am. J. Med. Genet. A 2006, 140, 541–550. [Google Scholar] [CrossRef]
- Briggs, T.A.; Rice, G.I.; Adib, N.; Ades, L.; Barete, S.; Baskar, K.; Baudouin, V.; Cebeci, A.N.; Clapuyt, P.; Coman, D.; et al. Spondyloenchondrodysplasia Due to Mutations in ACP5: A Comprehensive Survey. J. Clin. Immunol. 2016, 36, 220–234. [Google Scholar] [CrossRef]
- Cheng, M.H.; Anderson, M.S. Monogenic autoimmunity. Annu. Rev. Immunol. 2012, 30, 393–427. [Google Scholar] [CrossRef] [PubMed]
- Sacri, A.S.; Bruwier, A.; Baujat, G.; Breton, S.; Blanche, S.; Briggs, T.A.; Bader-Meunier, B. Childhood-onset autoimmune cytopenia as the presenting feature of biallelic ACP5 mutations. Pediatr. Blood Cancer 2017, 64, 306–310. [Google Scholar] [CrossRef] [PubMed]
- ISO 15189: 2022; Medical Laboratories—Requirements for Quality and Competence. International Organization for Standardization: Geneva, Switzerland, 2022.
- Richards, S.; Aziz, N.; Bale, S.; Bick, D.; Das, S.; Gastier-Foster, J.; Grody, W.W.; Hegde, M.; Lyon, E.; Spector, E.; et al. Standards and guidelines for the interpretation of sequence variants: A joint consensus recommendation of the American College of Medical Genetics and Genomics and the Association for Molecular Pathology. Genet. Med. 2015, 17, 405–424. [Google Scholar] [CrossRef] [PubMed]
- Pansuriya, T.C.; Kroon, H.M.; Bovée, J.V.M.G. Enchondromatosis: Insights on the different subtypes. Int. J. Clin. Exp. Pathol. 2010, 3, 557–569. [Google Scholar]
- Romano, M.; Geerlink, A.; Demirkaya, E.; Berard, R.A.; Garcia-Bournissen, F. Pharmacokinetics of Baricitinib in Cerebrospinal Fluid and Plasma in a Patient with SPENCD. J. Clin. Immunol. 2024, 44, 78. [Google Scholar] [CrossRef] [PubMed]
- Girschick, H.; Wolf, C.; Morbach, H.; Hertzberg, C.; Lee-Kirsch, M.A. Severe immune dysregulation with neurological impairment and minor bone changes in a child with spondyloenchondrodysplasia due to two novel mutations in the ACP5 gene. Pediatr. Rheumatol. Online J. 2015, 13, 37. [Google Scholar] [CrossRef] [PubMed]
- Mathiyazhagan, G.; Hasan, F.; Chauhan, P.; Gupta, A.; Yadav, S.; Kashyap, R. Spondyloenchondrodysplasia with immune dysregulation: Role of sirolimus. Pediatr. Blood Cancer 2022, 69, e29672. [Google Scholar] [CrossRef] [PubMed]
- Bağlan, E.; Özdel, S.; Güngör, T.; Karakuş, R.; Bağrıaçık, E.; Yücel, A.A.; Bülbül, M. Spondylenchondrodysplasia mimicking a systemic lupus erythematosus: A diagnostic challenge in a pediatric patient. Eur. J. Med. Genet. 2021, 64, 104286. [Google Scholar] [CrossRef]
- Shimizu, M.; Inoue, N.; Mizuta, M.; Irabu, H.; Okajima, M.; Honda, Y.; Nihira, H.; Izawa, K.; Yachie, A.; Wada, T. Successful treatment of spondyloenchondrodysplasia with baricitinib. Rheumatology 2021, 60, e44–e46. [Google Scholar] [CrossRef]
- Li, W.; Wang, W.; Wang, W.; Zhong, L.; Gou, L.; Wang, C.; Ma, J.; Quan, M.; Jian, S.; Tang, X.; et al. Janus Kinase Inhibitors in the Treatment of Type I Interferonopathies: A Case Series From a Single Center in China. Front. Immunol. 2022, 13, 825367. [Google Scholar] [CrossRef]
- Dri, J.; Dos Santos, E.; Pereyra, M.; Guillamondegui, M.J.; Ballester, C.; Tolin, A.; Gatica, C. Spondyloenchondrodysplasia with immune dysregulation related to ACP5. A report of 4 cases. Arch. Argent. Pediatr. 2024, 122, e202303031. [Google Scholar] [CrossRef]
- Gernez, Y.; Narula, M.; Cepika, A.M.; Valdes Camacho, J.; Hoyte, E.G.; Mouradian, K.; Glader, B.; Singh, D.; Sathi, B.; Rao, L.; et al. Case report: Refractory Evans syndrome in two patients with spondyloenchondrodysplasia with immune dysregulation treated successfully with JAK1/JAK2 inhibition. Front. Immunol. 2023, 14, 1328005. [Google Scholar] [CrossRef]
- Firat Senturk, E.; Ayvaz, B.B.; Firtina, S.; Ugurlu, S. A rare case of late-onset spondyloenchondrodysplasia with immune dysregulation presenting as adult-onset monogenic lupus. Lupus 2025, 34, 108–114. [Google Scholar] [CrossRef]
- Al-Kateb, F.; Dyab, D.; Almadani, B.; Al-Enezi, N. Spondyloenchondrodysplasia With Immune Dysregulation, but Without Skeletal Dysplasia, in a Six-Year-Old Boy: A Case Report. Cureus 2024, 16, e60314. [Google Scholar] [CrossRef]
- Kara, B.; Ekinci, Z.; Sahin, S.; Gungor, M.; Gunes, A.S.; Ozturk, K.; Adrovic, A.; Cefle, A.; Inanç, M.; Gul, A.; et al. Monogenic lupus due to spondyloenchondrodysplasia with spastic paraparesis and intracranial calcification: Case-based review. Rheumatol. Int. 2020, 40, 1903–1910. [Google Scholar] [CrossRef]
- Lee, J.S.; Lim, B.C.; Kim, K.J.; Kim, S.K.; Kim, O.H.; Kim, J.G.; Park, S.G.; Cho, T.J.; Chae, J.H. A Case of Familial Spondyloenchondrodysplasia with Immune Dysregulation Masquerading as Moyamoya Syndrome. J. Clin. Neurol. 2019, 15, 407–409. [Google Scholar] [CrossRef] [PubMed]
- Elhossini, R.M.; Elbendary, H.M.; Rafat, K.; Ghorab, R.M.; Abdel-Hamid, M.S. Spondyloenchondrodysplasia in five new patients: Identification of three novel ACP5 variants with variable neurological presentations. Mol. Genet. Genom. 2023, 298, 709–720. [Google Scholar] [CrossRef] [PubMed]
- Pekpak Şahinoğlu, E.; Oren, A.C.; Şahinoğlu, B.; Keskin, Ö.; Damar, Ç.; Akbayram, S. Clinical, laboratory, and molecular characteristics of patients with spondyloenchondrodysplasia: A case series study. Eur. J. Pediatr. 2025, 184, 152. [Google Scholar] [CrossRef] [PubMed]
- Yu, Z.X.; Song, H.M. Toward a better understanding of type I interferonopathies: A brief summary, update and beyond. World J. Pediatr. 2020, 16, 44–51. [Google Scholar] [CrossRef]
- Crow, Y.J. Type I interferonopathies: Mendelian type I interferon up-regulation. Curr. Opin. Immunol. 2015, 32, 7–12. [Google Scholar] [CrossRef]
- Ramesh, J.; Parthasarathy, L.K.; Janckila, A.J.; Begum, F.; Murugan, R.; Murthy, B.; El-Mallakh, R.S.; Parthasarathy, R.N.; Venugopal, B. Characterisation of ACP5 missense mutations encoding tartrate-resistant acid phosphatase associated with spondyloenchondrodysplasia. PLoS ONE 2020, 15, e0230052. [Google Scholar] [CrossRef]





| Category | Age at Onset | Manifestations | Treatment |
|---|---|---|---|
| Neurological | Birth | Seizures, muscle tone abnormalities, basal ganglia calcification, brain dysplasia | Adrenocorticotropic hormone/prednisone acetate/topiramate/sodium valproate/levetiracetam; seizures were well-controlled |
| Skeletal | Birth | Barrel-shaped chest, scoliosis, varus deformities, and dorsiflexion of the first metatarsophalangeal joints in both feet; metaphyseal lesions | None |
| Autoimmune | Birth | Thrombocytopenia, anemia | Immunoglobulins + prednisone acetate; blood cell counts normalized |
| Immunodeficiency | 1. Birth 2. 3 m 3. 1 y 4. 1.9 y 5. 2 y | 1. Early-onset sepsis and neonatal necrotizing enterocolitis 2. Severe pneumonia 3. Pneumonia 4. Severe pneumonia and enteritis 5. Chronic pneumonia | 1. Cefoperazone-Sulbactam/Meropenem 2. Amoxicillin-Clavulanate/Vancomycin+ Meropenem 3. Amoxicillin-Clavulanate 4. Cefoperazone-Sulbactam/Piperacillin-Tazobactam 5. Piperacillin-Tazobactam; symptoms were alleviated following anti-infective treatment |
| Growth and development | 6 m (gross motor) | Developmental delay; height is normal; weight was normal until age 2 then declined, with a Z-score as low as −1.8 | Despite adjustments in nutrition and rehabilitation training, there was no significant improvement in weight and development |
Disclaimer/Publisher’s Note: The statements, opinions and data contained in all publications are solely those of the individual author(s) and contributor(s) and not of MDPI and/or the editor(s). MDPI and/or the editor(s) disclaim responsibility for any injury to people or property resulting from any ideas, methods, instructions or products referred to in the content. |
© 2026 by the authors. Licensee MDPI, Basel, Switzerland. This article is an open access article distributed under the terms and conditions of the Creative Commons Attribution (CC BY) license.
Share and Cite
Li, W.; Li, J.; Jiang, D.; Fu, X.; Li, P. Expanding the Genotypic and Phenotypic Spectrum of SPENCDI: A Novel ACP5 Variant and Literature Review. Genes 2026, 17, 390. https://doi.org/10.3390/genes17040390
Li W, Li J, Jiang D, Fu X, Li P. Expanding the Genotypic and Phenotypic Spectrum of SPENCDI: A Novel ACP5 Variant and Literature Review. Genes. 2026; 17(4):390. https://doi.org/10.3390/genes17040390
Chicago/Turabian StyleLi, Wei, Jinrong Li, Decheng Jiang, Xiao Fu, and Ping Li. 2026. "Expanding the Genotypic and Phenotypic Spectrum of SPENCDI: A Novel ACP5 Variant and Literature Review" Genes 17, no. 4: 390. https://doi.org/10.3390/genes17040390
APA StyleLi, W., Li, J., Jiang, D., Fu, X., & Li, P. (2026). Expanding the Genotypic and Phenotypic Spectrum of SPENCDI: A Novel ACP5 Variant and Literature Review. Genes, 17(4), 390. https://doi.org/10.3390/genes17040390

