Using HLA-DR3-CBA/J Humanized Mice to Develop a Novel Genetic Model for Autoimmune Thyroiditis
Abstract
1. Introduction
2. Materials and Methods
2.1. Generation of CBA/J-DR3 Mouse Strain Susceptible to EAT
2.2. Development of Mouse Model of EAT by Immunization with Thyroglobulin
2.3. Splenocytes Isolation
2.4. T-Cell Stimulation and Carboxyfluorescein Diacetate Succinimidyl Ester (CFSE) Analysis of Cell Proliferation
2.5. Cytokine Assay: Measuring Levels of Interferon-Gamma (IFN-γ), Interleukins IL-4, IL-10, and IL-17 in Splenocyte Supernatants Using Luminex 200
2.6. Anti-Thyroglobulin Antibody (TgAb) Measurement in Mice Sera Using Enzyme-Linked Immunosorbent Assay (ELISA)
2.7. Thyroid Stimulating Hormone (TSH) Measurement in Mice Sera Using Luminex 200
2.8. Thyroid Histology
2.9. Thyroid Immunohistochemistry
2.10. Statistical Analysis
2.11. Ethics
3. Results
3.1. T-Cell Proliferative Responses to Tg and Tg.2098 in CBA/J-DR3 Mice Immunized with Tg
3.2. T-Cell Cytokine Responses to Tg and Tg.2098 in EAT-CBA/J-DR3 and Control-CBA/J-DR3 Mice
3.3. Anti-Thyroglobulin Antibodies (TgAb) in Sera of CBA/J-DR3 Mice Induced with EAT
3.4. Thyroid-Stimulating Hormone (TSH) in CBA/J-DR3 Mice Sera
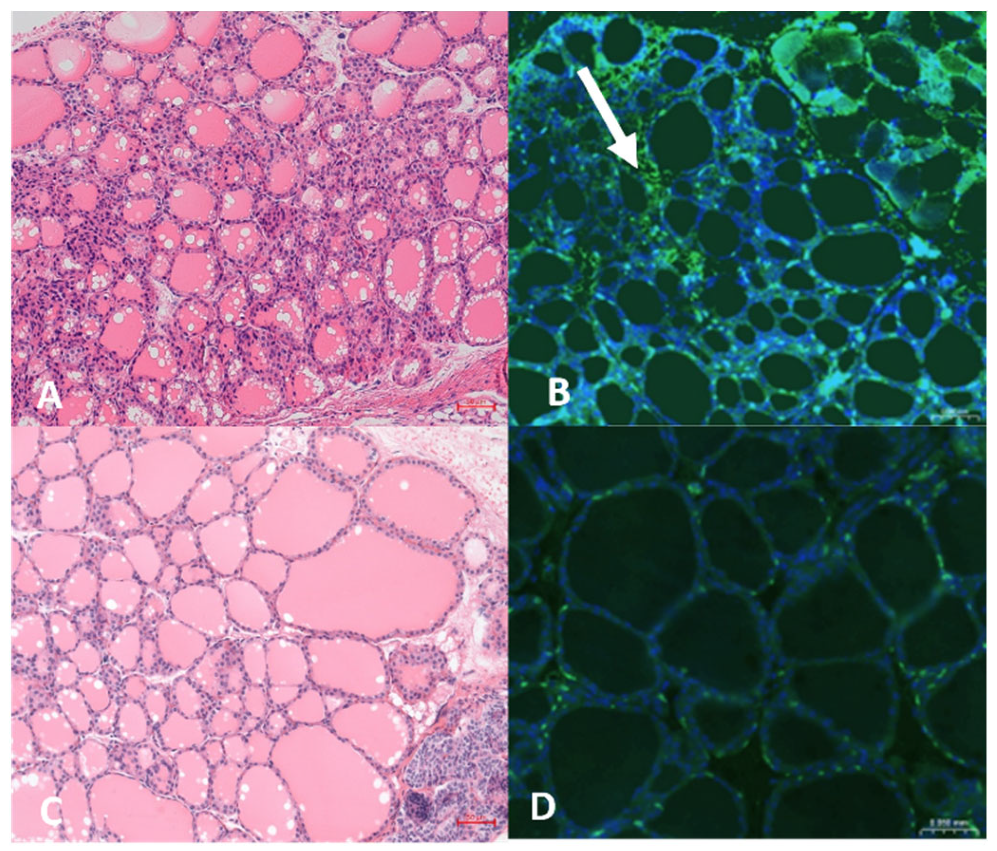
3.5. Thyroid Histology and Immunohistochemistry
4. Discussion
5. Conclusions
Author Contributions
Funding
Institutional Review Board Statement
Informed Consent Statement
Data Availability Statement
Acknowledgments
Conflicts of Interest
Abbreviations
| ACK | Ammonium-chloride-potassium |
| AITD | Autoimmune thyroid diseases |
| BSA | Bovine serum albumin |
| CFA | Complete Freund’s adjuvant |
| CFSE | Carboxyfluorescein diacetate succinimidyl ester |
| EAT | Experimental autoimmune thyroiditis |
| ELISA | Enzyme-linked immunosorbent assay |
| FBS | Fetal bovine albumin |
| H&E | Hematoxylin-eosin |
| HT | Hashimoto’s thyroiditis |
| IACUC | Institutional Animal Care and Use Committee |
| IFN-γ | Interferon-gamma |
| IL | Interleukin |
| NC | Negative control |
| PBS | Phosphate-buffered saline |
| SD | Standard deviation |
| SI | Stimulation index |
| Tg | Thyroglobulin |
| TgAb | Anti-thyroglobulin antibody |
| TPOA | Anti-thyroperoxidase autoantibodies |
| TSH | Thyroid-stimulating hormone |
References
- Ludgate, M. Animal Models of Autoimmune Thyroid Disease. In Autoimmune Diseases in Endocrinology; Weetman, A.P., Ed.; Humana Press: Totowa, NJ, USA, 2008; pp. 79–93. [Google Scholar]
- Kong, Y.M. Experimental autoimmune thyroiditis in the mouse. Curr. Protoc. Immunol. 2007, 78, 15.7.1–15.7.21. [Google Scholar] [CrossRef] [PubMed]
- Liu, K.; Liu, K.; Zhang, P.; Zhou, L.; Han, L.; Zhao, L.; Yu, X. Research progress in the construction of animal models of autoimmune thyroiditis. Autoimmunity 2024, 57, 2317190. [Google Scholar] [CrossRef] [PubMed]
- Jacobson, E.M.; Concepcion, E.; Ho, K.; Kopp, P.; Vono Toniolo, J.; Tomer, Y. cDNA Immunization of Mice with Human Thyroglobulin Generates Both Humoral and T Cell Responses: A Novel Model of Thyroid Autoimmunity. PLoS ONE 2011, 6, e19200. [Google Scholar] [CrossRef] [PubMed]
- Faustino, L.C.; Li, C.W.; Stefan-Lifshitz, M.; Kim, K.; Clarke, O.B.; Tomer, Y. A Novel Mouse Model of Autoimmune Thyroiditis Induced by Immunization with Adenovirus Containing Full-Length Thyroglobulin cDNA: Implications to Genetic Studies of Thyroid Autoimmunity. Thyroid 2020, 30, 1338–1345. [Google Scholar] [CrossRef]
- Kozhakhmetova, A.; Tomer, Y.; Stefan-Lifshitz, M. A Flexible Mouse Model of Autoimmune Thyroiditis Induced by Immunization with an Adenovirus Containing Full-Length Thyroglobulin cDNA. Curr. Protoc. 2024, 4, e938. [Google Scholar] [CrossRef]
- Menconi, F.; Huber, A.; Osman, R.; Concepcion, E.; Jacobson, E.M.; Stefan, M.; David, C.S.; Tomer, Y. Tg.2098 is a major human thyroglobulin T-cell epitope. J. Autoimmun. 2010, 35, 45–51. [Google Scholar] [CrossRef]
- Tandon, N.; Zhang, L.; Weetman, A.P. HLA associations with Hashimoto’s thyroiditis. Clin. Endocrinol. 1991, 34, 383–386. [Google Scholar] [CrossRef]
- Kong, Y.C.; Lomo, L.C.; Motte, R.W.; Giraldo, A.A.; Baisch, J.; Strauss, G.; Hämmerling, G.J.; David, C.S. HLA-DRB1 polymorphism determines susceptibility to autoimmune thyroiditis in transgenic mice: Definitive association with HLA-DRB1*0301 (DR3) gene. J. Exp. Med. 1996, 184, 1167–1172. [Google Scholar] [CrossRef]
- Tomer, Y. Mechanisms of Autoimmune Thyroid Diseases: From Genetics to Epigenetics. Annu. Rev. Pathol. Mech. Dis. 2014, 9, 147–156. [Google Scholar] [CrossRef]
- Heydarzadeh, S.; Abooshahab, R.; Zarkesh, M.; Hedayati, M. Endocrine polyautoimmunity: Mechanistic insights and the future of AI-driven diagnostics. EXCLI J. 2025, 24, 1500–1519. [Google Scholar]
- Lee, H.J.; Stefan-Lifshitz, M.; Li, C.W.; Tomer, Y. Genetics and epigenetics of autoimmune thyroid diseases: Translational implications. Best Pract. Res. Clin. Endocrinol. Metab. 2023, 37, 101661. [Google Scholar] [CrossRef] [PubMed]
- Li, C.W.; Osman, R.; Menconi, F.; Concepcion, E.; Tomer, Y. Cepharanthine blocks TSH receptor peptide presentation by HLA-DR3: Therapeutic implications to Graves’ disease. J. Autoimmun. 2020, 108, 102402. [Google Scholar] [CrossRef] [PubMed]
- Strauss, G.; Vignali, D.A.; Schönrich, G.; Hämmerling, G.J. Negative and positive selection by HLA-DR3(DRw17) molecules in transgenic mice. Immunogenetics 1994, 40, 104–108. [Google Scholar] [PubMed]
- Gossler, A.; Doetschman, T.; Korn, R.; Serfling, E.; Kemler, R. Transgenesis by means of blastocyst-derived embryonic stem cell lines. Proc. Natl. Acad. Sci. USA 1986, 83, 9065–9069. [Google Scholar] [CrossRef]
- Cosgrove, D.; Gray, D.; Dierich, A.; Kaufman, J.; Lemeur, M.; Benoist, C.; Mathis, D. Mice lacking MHC class II molecules. Cell 1991, 66, 1051–1066. [Google Scholar] [CrossRef]
- Strong, L. Inbred mice in science. In Origins of Inbred Mice; Morse, H.C., Ed.; Academic Press, Inc.: New York, NY, USA, 1978; pp. 45–67. [Google Scholar]
- Gangi, E.; Vasu, C.; Cheatem, D.; Prabhakar, B.S. IL-10-producing CD4+CD25+ regulatory T cells play a critical role in granulocyte-macrophage colony-stimulating factor-induced suppression of experimental autoimmune thyroiditis. J. Immunol. 2005, 174, 7006–7013. [Google Scholar] [CrossRef]
- Vasu, C.; Dogan, R.N.; Holterman, M.J.; Prabhakar, B.S. Selective induction of dendritic cells using granulocyte macrophage-colony stimulating factor, but not fms-like tyrosine kinase receptor 3-ligand, activates thyroglobulin-specific CD4+/CD25+ T cells and suppresses experimental autoimmune thyroiditis. J. Immunol. 2003, 170, 5511–5522. [Google Scholar] [CrossRef]
- Flynn, J.C.; McCormick, D.J.; Brusic, V.; Wan, Q.; Panos, J.C.; Giraldo, A.A.; David, C.S.; Kong, Y.C. Pathogenic human thyroglobulin peptides in HLA-DR3 transgenic mouse model of autoimmune thyroiditis. Cell. Immunol. 2004, 229, 79–85. [Google Scholar] [CrossRef]
- Li, C.W.; Menconi, F.; Osman, R.; Mezei, M.; Jacobson, E.M.; Concepcion, E.; David, C.S.; Kastrinsky, D.B.; Ohlmeyer, M.; Tomer, Y. Identifying a Small Molecule Blocking Antigen Presentation in Autoimmune Thyroiditis. J. Biol. Chem. 2016, 291, 4079–4090. [Google Scholar] [CrossRef]
- Barin, J.G.; Afanasyeva, M.; Talor, M.V.; Rose, N.R.; Burek, C.L.; Caturegli, P. Thyroid-specific expression of IFN-gamma limits experimental autoimmune thyroiditis by suppressing lymphocyte activation in cervical lymph nodes. J. Immunol. 2003, 170, 5523–5529. [Google Scholar] [CrossRef]
- Agardh, C.D.; Lynch, K.F.; Palmer, M.; Link, K.; Lernmark, A. GAD65 vaccination: 5 years of follow-up in a randomised dose-escalating study in adult-onset autoimmune diabetes. Diabetologia 2009, 52, 1363–1368. [Google Scholar] [CrossRef]
- Belpaire, A.; van Geel, N.; Speeckaert, R. From IL-17 to IFN-γ in inflammatory skin disorders: Is transdifferentiation a potential treatment target? Front. Immunol. 2022, 13, 9322–9365. [Google Scholar] [CrossRef] [PubMed]
- Lu, Y.; Xing, C.; Zhang, C.; Lv, X.; Liu, G.; Chen, F.; Hou, Z.; Zhang, D. Promotion of IL-17/NF-κB signaling in autoimmune thyroid diseases. Exp. Ther. Med. 2023, 25, 51. [Google Scholar] [CrossRef] [PubMed]
- Mills, K.H.G. IL-17 and IL-17-producing cells in protection versus pathology. Nat. Rev. Immunol. 2023, 23, 38–54. [Google Scholar] [CrossRef] [PubMed]
- El Shabrawy, R.M.; Ashour, Z.A.; Ali, F.A.; Hosny, S.S.; Melek, N.; Okba, A. The frequency of regulatory T-cells in Hashimoto’s thyroiditis and Graves’ disease. Clin. Exp. Med. 2025, 26, 52. [Google Scholar] [CrossRef]
- Inaba, H.; Nonaka, I.; Hashimoto, D.; Hirono, M.; Morita, S.; Kimura, H.; Iwakura, H.; Akamizu, T.; Nakata, M. Immune tolerance induction using the thyrotropin receptor epitope 78–94 (p37) prevents Graves’ disease in HLA-DR3 transgenic mice. Front. Immunol. 2025, 16, 1633350. [Google Scholar] [CrossRef]
- Lin, J.-D.; Fang, W.-F.; Tang, K.-T.; Cheng, C.-W. Effects of exogenous melatonin on clinical and pathological features of a human thyroglobulin-induced experimental autoimmune thyroiditis mouse model. Sci. Rep. 2019, 9, 5886. [Google Scholar] [CrossRef]
- Li, C.W.; Osman, R.; Menconi, F.; Hou, H.; Schechter, C.; Kozhakhmetova, A.; Tomer, Y. Effective Inhibition of Thyroid Antigen Presentation Using Retro-Inverso Peptides in Experimental Autoimmune Thyroiditis: A Pathway Toward Immune Therapies of Thyroid Autoimmunity. Thyroid. 2023, 33, 492–500. [Google Scholar] [CrossRef]
- Teufelberger, A.R.; Van Nevel, S.; Hulpiau, P.; Nordengrün, M.; Savvides, S.N.; De Graeve, S.; Akula, S.; Holtappels, G.; De Ruyck, N.; Declercq, W.; et al. Mouse Strain-Dependent Difference Toward the Staphylococcus aureus Allergen Serine Protease-Like Protein D Reveals a Novel Regulator of IL-33. Front. Immunol. 2020, 11, 582044. [Google Scholar] [CrossRef]
- Cappola, A.R.; Ladenson, P.W. Hypothyroidism and atherosclerosis. J. Clin. Endocrinol. Metab. 2003, 88, 2438–2444. [Google Scholar] [CrossRef]






| Peptide | Amino Acid Sequence |
|---|---|
| Tg.2098 | LSSVVVDPSIRHFDV |
| Negative control | PKDRLKIYNNFTKIGDLSL |
Disclaimer/Publisher’s Note: The statements, opinions and data contained in all publications are solely those of the individual author(s) and contributor(s) and not of MDPI and/or the editor(s). MDPI and/or the editor(s) disclaim responsibility for any injury to people or property resulting from any ideas, methods, instructions or products referred to in the content. |
© 2026 by the authors. Licensee MDPI, Basel, Switzerland. This article is an open access article distributed under the terms and conditions of the Creative Commons Attribution (CC BY) license.
Share and Cite
Kozhakhmetova, A.; Stefan-Lifshitz, M.; Meshcheryakova, O.; Tomer, Y. Using HLA-DR3-CBA/J Humanized Mice to Develop a Novel Genetic Model for Autoimmune Thyroiditis. Genes 2026, 17, 170. https://doi.org/10.3390/genes17020170
Kozhakhmetova A, Stefan-Lifshitz M, Meshcheryakova O, Tomer Y. Using HLA-DR3-CBA/J Humanized Mice to Develop a Novel Genetic Model for Autoimmune Thyroiditis. Genes. 2026; 17(2):170. https://doi.org/10.3390/genes17020170
Chicago/Turabian StyleKozhakhmetova, Aizhan, Mihaela Stefan-Lifshitz, Olga Meshcheryakova, and Yaron Tomer. 2026. "Using HLA-DR3-CBA/J Humanized Mice to Develop a Novel Genetic Model for Autoimmune Thyroiditis" Genes 17, no. 2: 170. https://doi.org/10.3390/genes17020170
APA StyleKozhakhmetova, A., Stefan-Lifshitz, M., Meshcheryakova, O., & Tomer, Y. (2026). Using HLA-DR3-CBA/J Humanized Mice to Develop a Novel Genetic Model for Autoimmune Thyroiditis. Genes, 17(2), 170. https://doi.org/10.3390/genes17020170

