Gene Mutation-Negative Malignant Melanoma in a Prepubertal Patient: A Clinical and Molecular Case Report
Abstract
1. Introduction
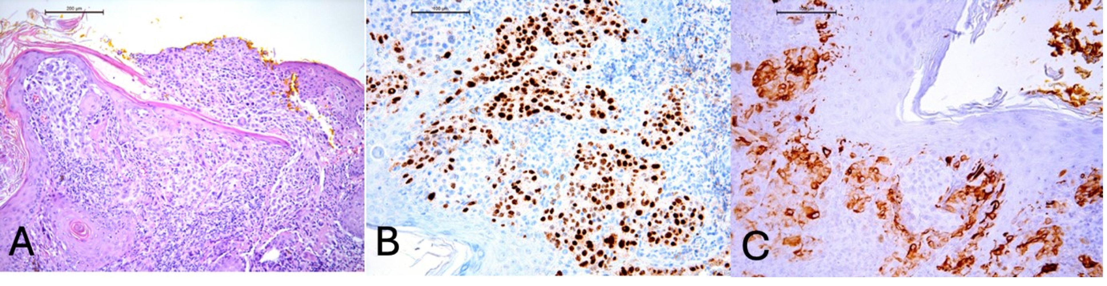
2. Case Description
3. Discussion
4. Conclusions
Author Contributions
Funding
Institutional Review Board Statement
Informed Consent Statement
Data Availability Statement
Conflicts of Interest
Abbreviations
| NGS | next-generation sequencing |
| INDELs | small insertions and deletions |
| CNV | copy number variation |
| SNVs | single nucleotide variants |
| CSD | cumulative sun damage |
| SSM | superficial spreading melanoma |
| SLNB | sentinel lymph node biopsy |
| UVR | ultraviolet radiation |
| CT | computed tomography |
| DNA | deoxyribonucleic acid |
| PRAME | preferentially expressed antigen in melanoma |
| GCMN | giant congenital melanocytic nevus |
References
- Long, G.V.; Swetter, S.M.; Menzies, A.M.; Gershenwald, J.E.; Scolyer, R.A. Cutaneous Melanoma. Lancet 2023, 402, 485–502. [Google Scholar] [CrossRef]
- Garbe, C.; Amaral, T.; Peris, K.; Hauschild, A.; Arenberger, P.; Basset-Seguin, N.; Bastholt, L.; Bataille, V.; Del Marmol, V.; Dréno, B.; et al. European Consensus-Based Interdisciplinary Guideline for Melanoma. Part 1: Diagnostics: Update 2022. Eur. J. Cancer 2022, 170, 236–255. [Google Scholar] [CrossRef]
- Keegan, T.H.M.; Abrahão, R.; Alvarez, E.M. Survival Trends Among Adolescents and Young Adults Diagnosed With Cancer in the United States: Comparisons With Children and Older Adults. J. Clin. Oncol. 2024, 42, 630–641. [Google Scholar] [CrossRef]
- Siegel, R.L.; Giaquinto, A.N.; Jemal, A. Cancer Statistics, 2024. CA A Cancer J. Clin. 2024, 74, 12–49. [Google Scholar] [CrossRef]
- Lange, J.R.; Palis, B.E.; Chang, D.C.; Soong, S.-J.; Balch, C.M. Melanoma in Children and Teenagers: An Analysis of Patients from the National Cancer Data Base. J. Clin. Oncol. 2007, 25, 1363–1368. [Google Scholar] [CrossRef]
- Pampena, R.; Piccolo, V.; Muscianese, M.; Kyrgidis, A.; Lai, M.; Russo, T.; Briatico, G.; Di Brizzi, E.V.; Cascone, G.; Pellerone, S.; et al. Melanoma in Children: A Systematic Review and Individual Patient Meta-Analysis. J. Eur. Acad. Dermatol. Venereol. JEADV 2023, 37, 1758–1776. [Google Scholar] [CrossRef] [PubMed]
- Cordoro, K.M.; Gupta, D.; Frieden, I.J.; McCalmont, T.; Kashani-Sabet, M. Pediatric Melanoma: Results of a Large Cohort Study and Proposal for Modified ABCD Detection Criteria for Children. J. Am. Acad. Dermatol. 2013, 68, 913–925. [Google Scholar] [CrossRef]
- Teixido, C.; Castillo, P.; Martinez-Vila, C.; Arance, A.; Alos, L. Molecular Markers and Targets in Melanoma. Cells 2021, 10, 2320. [Google Scholar] [CrossRef] [PubMed]
- Ferrara, G.; Argenziano, G. The WHO 2018 Classification of Cutaneous Melanocytic Neoplasms: Suggestions From Routine Practice. Front. Oncol. 2021, 11, 675296. [Google Scholar] [CrossRef] [PubMed]
- Merkel, E.A.; Mohan, L.S.; Shi, K.; Panah, E.; Zhang, B.; Gerami, P. Paediatric Melanoma: Clinical Update, Genetic Basis, and Advances in Diagnosis. Lancet Child Adolesc. Health 2019, 3, 646–654. [Google Scholar] [CrossRef]
- Bahrami, A.; Barnhill, R.L. Pathology and Genomics of Pediatric Melanoma: A Critical Reexamination and New Insights. Pediatr. Blood Cancer 2018, 65, e26792. [Google Scholar] [CrossRef]
- Lu, C.; Zhang, J.; Nagahawatte, P.; Easton, J.; Lee, S.; Liu, Z.; Ding, L.; Wyczalkowski, M.A.; Valentine, M.; Navid, F.; et al. The Genomic Landscape of Childhood and Adolescent Melanoma. J. Investig. Dermatol. 2015, 135, 816–823. [Google Scholar] [CrossRef]
- Druskovich, C.; Kelley, J.; Aubrey, J.; Palladino, L.; Wright, G.P. A Review of Melanoma Subtypes: Genetic and Treatment Considerations. J. Surg. Oncol. 2025, 131, 356–364. [Google Scholar] [CrossRef]
- Aldrink, J.H.; Polites, S.F.; Austin, M. Pediatric Melanoma-Diagnosis, Management, and Anticipated Outcomes. Surg. Oncol. Clin. N. Am. 2021, 30, 373–388. [Google Scholar] [CrossRef]
- Yousif, R.; Boull, C.; Gerami, P.; Nardone, B.; Vivar, K.L.; Liszewski, W. THE Demographics and Trends in Pediatric Melanoma in the United States: An Analysis of the National Cancer Database. Pediatr. Dermatol. 2021, 38, 1191–1197. [Google Scholar] [CrossRef]
- Stefanaki, C.; Chardalias, L.; Soura, E.; Katsarou, A.; Stratigos, A. Paediatric Melanoma. J. Eur. Acad. Dermatol. Venereol. JEADV 2017, 31, 1604–1615. [Google Scholar] [CrossRef] [PubMed]
- Berwick, M.; Erdei, E.; Hay, J. Melanoma Epidemiology and Public Health. Dermatol. Clin. 2009, 27, 205-viii. [Google Scholar] [CrossRef] [PubMed]
- Psaty, E.L.; Scope, A.; Halpern, A.C.; Marghoob, A.A. Defining the Patient at High Risk for Melanoma. Int. J. Dermatol. 2010, 49, 362–376. [Google Scholar] [CrossRef] [PubMed]
- Davies, J.R.; Chang, Y.; Bishop, D.T.; Armstrong, B.K.; Bataille, V.; Bergman, W.; Berwick, M.; Bracci, P.M.; Elwood, J.M.; Ernstoff, M.S.; et al. Development and Validation of a Melanoma Risk Score Based on Pooled Data from 16 Case-Control Studies. Cancer Epidemiol. Biomark. Prev. 2015, 24, 817–824. [Google Scholar] [CrossRef]
- Read, J.; Wadt, K.A.W.; Hayward, N.K. Melanoma Genetics. J. Med. Genet. 2016, 53, 1–14. [Google Scholar] [CrossRef]
- Bokor, B.A.; Abdolreza, A.; Kaptás, F.; Pál, M.; Battyani, Z.; Széll, M.; Nagy, N. Novel Variants in Medium and Low Penetrance Predisposing Genes in a Hungarian Malignant Melanoma Cohort With Increased Risk. Pigment. Cell Melanoma Res. 2025, 38, e13214. [Google Scholar] [CrossRef]
- Fiasconaro, C.A.; Carbone, A.; Giordano, S.; Cavallo, F.; Fava, P.; Pasini, B.; Yakymiv, Y.; Marchisio, S.; Quaglino, P.; Ribero, S.; et al. Germline Non-CDKN2A Variants in Melanoma and Associated Hereditary Cancer Syndromes. Diseases 2025, 13, 180. [Google Scholar] [CrossRef]
- Pappo, A.S.; McPherson, V.; Pan, H.; Wang, F.; Wang, L.; Wright, T.; Hussong, M.; Hawkins, D.; Kaste, S.C.; Davidoff, A.M.; et al. A Prospective, Comprehensive Registry That Integrates the Molecular Analysis of Pediatric and Adolescent Melanocytic Lesions. Cancer 2021, 127, 3825–3831. [Google Scholar] [CrossRef]
- Drilon, A.; Siena, S.; Ou, S.-H.I.; Patel, M.; Ahn, M.J.; Lee, J.; Bauer, T.M.; Farago, A.F.; Wheler, J.J.; Liu, S.V.; et al. Safety and Antitumor Activity of the Multitargeted Pan-TRK, ROS1, and ALK Inhibitor Entrectinib: Combined Results from Two Phase I Trials (ALKA-372-001 and STARTRK-1). Cancer Discov. 2017, 7, 400–409. [Google Scholar] [CrossRef]
- Church, A.J.; Moustafa, D.; Pinches, R.S.; Hawryluk, E.B.; Schmidt, B.A.R. Genomic Comparison of Malignant Melanoma and Atypical Spitz Tumor in the Pediatric Population. Pediatr. Dermatol. 2022, 39, 409–419. [Google Scholar] [CrossRef]
- Swetter, S.M.; Johnson, D.; Albertini, M.R.; Barker, C.A.; Bateni, S.; Baumgartner, J.; Bhatia, S.; Bichakjian, C.; Boland, G.; Chandra, S.; et al. NCCN Guidelines® Insights: Melanoma: Cutaneous, Version 2.2024. J. Natl. Compr. Cancer Netw. JNCCN 2024, 22, 290–298. [Google Scholar] [CrossRef]
- Amaral, T.; Ottaviano, M.; Arance, A.; Blank, C.; Chiarion-Sileni, V.; Donia, M.; Dummer, R.; Garbe, C.; Gershenwald, J.E.; Gogas, H.; et al. Cutaneous Melanoma: ESMO Clinical Practice Guideline for Diagnosis, Treatment and Follow-Up. Ann. Oncol. 2025, 36, 10–30. [Google Scholar] [CrossRef]
- Wilmott, J.S.; Johansson, P.A.; Newell, F.; Waddell, N.; Ferguson, P.; Quek, C.; Patch, A.-M.; Nones, K.; Shang, P.; Pritchard, A.L.; et al. Whole Genome Sequencing of Melanomas in Adolescent and Young Adults Reveals Distinct Mutation Landscapes and the Potential Role of Germline Variants in Disease Susceptibility. Int. J. Cancer 2019, 144, 1049–1060. [Google Scholar] [CrossRef] [PubMed]
- Dalmasso, B.; Ghiorzo, P. Evolution of Approaches to Identify Melanoma Missing Heritability. Expert. Rev. Mol. Diagn. 2020, 20, 523–531. [Google Scholar] [CrossRef] [PubMed]
- Berg, P.; Wennberg, A.-M.; Tuominen, R.; Sander, B.; Rozell, B.L.; Platz, A.; Hansson, J. Germline CDKN2A Mutations Are Rare in Child and Adolescent Cutaneous Melanoma. Melanoma Res. 2004, 14, 251–255. [Google Scholar] [CrossRef] [PubMed]
- Tsao, H.; Zhang, X.; Kwitkiwski, K.; Finkelstein, D.M.; Sober, A.J.; Haluska, F.G. Low Prevalence of Germline CDKN2A and CDK4 Mutations in Patients with Early-Onset Melanoma. Arch. Dermatol. 2000, 136, 1118–1122. [Google Scholar] [CrossRef] [PubMed]
- Pellegrini, C.; Raimondi, S.; Di Nardo, L.; Ghiorzo, P.; Menin, C.; Manganoni, M.A.; Palmieri, G.; Guida, G.; Quaglino, P.; Stanganelli, I.; et al. Melanoma in Children and Adolescents: Analysis of Susceptibility Genes in 123 Italian Patients. J. Eur. Acad. Dermatol. Venereol. JEADV 2022, 36, 213–221. [Google Scholar] [CrossRef]
- Xie, C.; Luo, J.; He, Y.; Jiang, L.; Zhong, L.; Shi, Y. BRCA2 Gene Mutation in Cancer. Medicine 2022, 101, e31705. [Google Scholar] [CrossRef]
- Potrony, M.; Badenas, C.; Aguilera, P.; Puig-Butille, J.A.; Carrera, C.; Malvehy, J.; Puig, S. Update in Genetic Susceptibility in Melanoma. Ann. Transl. Med. 2015, 3, 210. [Google Scholar] [CrossRef]
- Bertolotto, C.; Lesueur, F.; Giuliano, S.; Strub, T.; de Lichy, M.; Bille, K.; Dessen, P.; d’Hayer, B.; Mohamdi, H.; Remenieras, A.; et al. Corrigendum: A SUMOylation-Defective MITF Germline Mutation Predisposes to Melanoma and Renal Carcinoma. Nature 2016, 531, 126. [Google Scholar] [CrossRef]
- Gerstenblith, M.R.; Goldstein, A.M.; Fargnoli, M.C.; Peris, K.; Landi, M.T. Comprehensive Evaluation of Allele Frequency Differences of MC1R Variants across Populations. Hum. Mutat. 2007, 28, 495–505. [Google Scholar] [CrossRef]
- Pasquali, E.; García-Borrón, J.C.; Fargnoli, M.C.; Gandini, S.; Maisonneuve, P.; Bagnardi, V.; Specchia, C.; Liu, F.; Kayser, M.; Nijsten, T.; et al. MC1R Variants Increased the Risk of Sporadic Cutaneous Melanoma in Darker-Pigmented Caucasians: A Pooled-Analysis from the M-SKIP Project. Int. J. Cancer 2015, 136, 618–631. [Google Scholar] [CrossRef]
- Tagliabue, E.; Gandini, S.; García-Borrón, J.C.; Maisonneuve, P.; Newton-Bishop, J.; Polsky, D.; Lazovich, D.; Kumar, R.; Ghiorzo, P.; Ferrucci, L.; et al. Association of Melanocortin-1 Receptor Variants with Pigmentary Traits in Humans: A Pooled Analysis from the M-Skip Project. J. Investig. Dermatol. 2016, 136, 1914–1917. [Google Scholar] [CrossRef]
- Saiyed, F.K.; Hamilton, E.C.; Austin, M.T. Pediatric Melanoma: Incidence, Treatment, and Prognosis. Pediatr. Health Med. Ther. 2017, 8, 39–45. [Google Scholar] [CrossRef] [PubMed]
- Conforti, C.; Zalaudek, I. Epidemiology and Risk Factors of Melanoma: A Review. Dermatol. Pract. Concept. 2021, 11, e2021161S. [Google Scholar] [CrossRef] [PubMed]
- Carrera, C.; Scope, A.; Dusza, S.W.; Argenziano, G.; Nazzaro, G.; Phan, A.; Tromme, I.; Rubegni, P.; Malvehy, J.; Puig, S.; et al. Clinical and Dermoscopic Characterization of Pediatric and Adolescent Melanomas: Multicenter Study of 52 Cases. J. Am. Acad. Dermatol. 2018, 78, 278–288. [Google Scholar] [CrossRef]
- Surrenti, T.; Diociaiuti, A.; Inserra, A.; Accinni, A.; Giraldi, L.; Callea, F.; El Hachem, M. Melanoma in a 5-Year-Old Child with a Giant Congenital Melanocytic Naevus. Acta Derm. Venereol. 2012, 92, 607–608. [Google Scholar] [CrossRef]
- Lin, W.; Zhou, Y.; Li, R. Giant Congenital Melanocytic Nevus in a Chinese Newborn. Clin. Cosmet. Investig. Dermatol. 2021, 14, 557–559. [Google Scholar] [CrossRef] [PubMed]
- Bajaj, M.; Mahajan, S.; Sharma, S. Giant Congenital Melanocytic Nevus in Newborn: Case Report. Asian Pac. J. Health Sci. 2019, 6, 142–144. [Google Scholar] [CrossRef]
- Scalvenzi, M.; Palmisano, F.; Cacciapuoti, S.; Migliaro, F.; Siano, M.; Staibano, S.; Tornillo, L.; Costa, C. Giant Congenital Melanocytic Naevus with Proliferative Nodules Mimicking Congenital Malignant Melanoma: A Case Report and Review of the Literature of Congenital Melanoma. Case Rep. Dermatol. Med. 2013, 2013, 473635. [Google Scholar] [CrossRef] [PubMed][Green Version]


| BUB1B | BRAF | BMPR1A | BLM | BAP1 * | AXIN2 | APC | ALK |
| EZH2 | EPCAM | DIS3L2 | DICER1 | CEBPA | CDKN1C | CDC73 | CBL |
| MAP2K2 | MAP2K1 | LZTR1 | KRAS | HRAS | GPC3 | GATA2 | FH |
| NF2 | NF1 ** | NBN | MSH6 ** | MSH2 ** | MLH1 ** | MEN1 | MAX |
| PRKAR1A | PRF1 | PMS2** | PHOX2B | PAX5 | NSUN2 | NSD1 | NRAS |
| RET | REST | RECQL4 | RASA2 | RAF1 | PTPN11 | PTEN * | PTCH1 ** |
| SDHD | SDHC | SDHB | SDHAF2 | SDHA | RUNX1 | RRAS | RIT1 |
| SUFU ** | STK11 ** | SOS2 | SOS1 | SMARCB1 | SMARCA4 | SMAD4 | SHOC2 |
| WT1 | WRN ** | VHL | TSC2 | TSC1 | TP53 * | TMEM127 |
Disclaimer/Publisher’s Note: The statements, opinions and data contained in all publications are solely those of the individual author(s) and contributor(s) and not of MDPI and/or the editor(s). MDPI and/or the editor(s) disclaim responsibility for any injury to people or property resulting from any ideas, methods, instructions or products referred to in the content. |
© 2025 by the authors. Licensee MDPI, Basel, Switzerland. This article is an open access article distributed under the terms and conditions of the Creative Commons Attribution (CC BY) license (https://creativecommons.org/licenses/by/4.0/).
Share and Cite
Guźniczak, A.; Sosnowska-Sienkiewicz, P.; Szydłowski, J.; Kurzawa, P.; Januszkiewicz-Lewandowska, D. Gene Mutation-Negative Malignant Melanoma in a Prepubertal Patient: A Clinical and Molecular Case Report. Genes 2025, 16, 937. https://doi.org/10.3390/genes16080937
Guźniczak A, Sosnowska-Sienkiewicz P, Szydłowski J, Kurzawa P, Januszkiewicz-Lewandowska D. Gene Mutation-Negative Malignant Melanoma in a Prepubertal Patient: A Clinical and Molecular Case Report. Genes. 2025; 16(8):937. https://doi.org/10.3390/genes16080937
Chicago/Turabian StyleGuźniczak, Adrian, Patrycja Sosnowska-Sienkiewicz, Jarosław Szydłowski, Paweł Kurzawa, and Danuta Januszkiewicz-Lewandowska. 2025. "Gene Mutation-Negative Malignant Melanoma in a Prepubertal Patient: A Clinical and Molecular Case Report" Genes 16, no. 8: 937. https://doi.org/10.3390/genes16080937
APA StyleGuźniczak, A., Sosnowska-Sienkiewicz, P., Szydłowski, J., Kurzawa, P., & Januszkiewicz-Lewandowska, D. (2025). Gene Mutation-Negative Malignant Melanoma in a Prepubertal Patient: A Clinical and Molecular Case Report. Genes, 16(8), 937. https://doi.org/10.3390/genes16080937

