Variant Ataxia–Telangiectasia Presenting as Tremor–Dystonia Syndrome in a Bulgarian Religious Minority
Abstract
1. Introduction
2. Materials and Methods
2.1. Immunological Assessment
2.2. Whole-Exome Sequencing and Homozygosity Mapping
2.3. Variant Segregation and Cohort Carrier Screening
2.4. Screening in the Towns of Dospat and Surnica
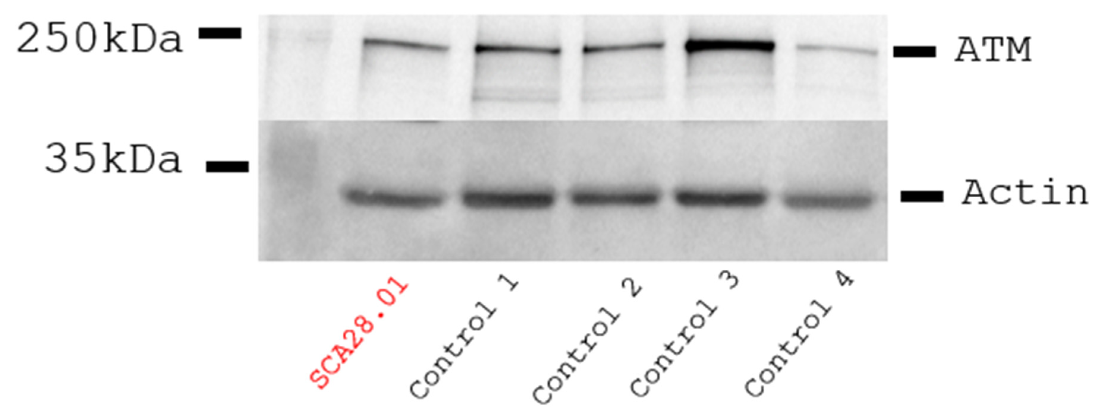
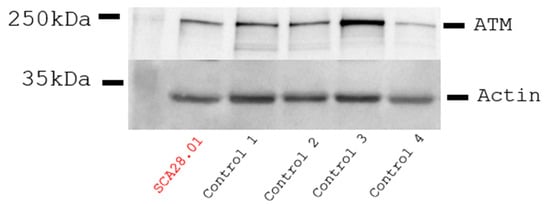
2.5. ATM Protein Expression
3. Results
4. Discussion
5. Conclusions
Supplementary Materials
Author Contributions
Funding
Institutional Review Board Statement
Informed Consent Statement
Data Availability Statement
Acknowledgments
Conflicts of Interest
Abbreviations
| ANA | Antinuclear antibodies |
| A-T | Ataxia-telangiectasia |
| MRI | Magnetic Resonance Imaging |
| SARA | Scale for Assessment and Rating of Ataxia |
| UDRS | Unified Dystonia Rating Scale |
| WES | Whole-exome sequencing |
References
- Gatti, R.A.; Berkel, I.; Boder, E.; Braedt, G.; Charmley, P.; Concannon, P.; Ersoy, F.; Foroud, T.; Jaspers, N.G.; Lange, K. Localization of an ataxiatelangiectasia gene to chromosome 11q22-23. Nature 1988, 336, 577–580. [Google Scholar] [CrossRef] [PubMed]
- Shao, L.; Wang, H.; Xu, J.; Qi, M.; Yu, Z.; Zhang, J. Ataxia-telangiectasia in China: A case report of a novel ATM variant and literature review. Front. Neurol. 2023, 14, 1228810. [Google Scholar] [CrossRef] [PubMed]
- McKinnon, P.J. ATM and the molecular pathogenesis of ataxia telangiectasia. Annu. Rev. Pathol. 2012, 7, 303–321. [Google Scholar] [CrossRef]
- Verhagen, M.M.; Last, J.I.; Hogervorst, F.B.; Smeets, D.F.; Roeleveld, N.; Verheijen, F.; Catsman-Berrevoets, C.E.; Wulffraat, N.M.; Cobben, J.M.; Hiel, J.; et al. Presence of ATM protein and residual kinase activity correlates with the phenotype in ataxia-telangiectasia: A genotype-phenotype study. Hum. Mutat. 2012, 33, 561–571. [Google Scholar] [CrossRef] [PubMed]
- Sedgwick, R.P.; Boder, E. Ataxia telangiectasia. In Handbook of Clinical Neurology, Hereditary Neuropathies and Spino-Cerebellar Atrophies; Vinken, P.J., Bruyn, S.W., Eds.; Elsevier Science: New York, NY, USA, 1991; pp. 347–393. [Google Scholar]
- Verhagen, M.M.; Abdo, W.F.; Willemsen, M.A.; Hogervorst, F.B.; Smeets, D.F.; Hiel, J.A.; Brunt, E.R.; van Rijn, M.A.; Majoor Krakauer, D.; Oldenburg, R.A.; et al. Clinical spectrum of ataxia-telangiectasia in adulthood. Neurology 2009, 73, 430–437. [Google Scholar] [CrossRef]
- Woods, C.G.; Taylor, A.M. Ataxia telangiectasia in the British Isles: The clinical and laboratory features of 70 affected individuals. QJM Int. J. Med. 1992, 82, 169–179. [Google Scholar]
- Pearson, T.S. More Than Ataxia: Hyperkinetic Movement Disorders in Childhood Autosomal Recessive Ataxia Syndromes. Tremor. Other Hyperkinet. Mov. 2016, 6, 368. [Google Scholar] [CrossRef]
- van Os, N.J.; Jansen, A.F.; van Deuren, M.; Haraldsson, A.; van Driel, N.T.; Etzioni, A.; van der Flier, M.; Haaxma, C.A.; Morio, T.; Rawat, A.; et al. Ataxia-Telangiectasia: Immunodeficiency and Survival. Clin. Immunol. 2017, 178, 45–55. [Google Scholar] [CrossRef]
- Schmitz-Hübsch, T.; du Montcel, S.T.; Baliko, L.; Berciano, J.; Boesch, S.; Depondt, C.; Giunti, P.; Globas, C.; Infante, J.; Kang, J.S.; et al. Scale for the assessment and rating of ataxia: Development of a new clinical scale. Neurology 2006, 66, 1717–1720. [Google Scholar] [CrossRef]
- Comella, C.L.; Leurgans, S.; Wuu, J.; Stebbins, G.T.; Chmura, T. Dystonia Study Group. Rat. Scales Dystonia: A multicenter assessment. Mov. Disord. 2003, 18, 303–312. [Google Scholar] [CrossRef]
- Schon, K.; van Os, N.J.H.; Oscroft, N.; Baxendale, H.; Scoffings, D.; Ray, J.; Suri, M.; Whitehouse, W.P.; Mehta, P.R.; Everett, N.; et al. Genotype, extrapyramidal features, and severity of variant ataxia-telangiectasia. Ann. Neurol. 2019, 85, 170–180. [Google Scholar] [CrossRef] [PubMed]
- Naumova, E.; Lesichkova, S.; Milenova, V.; Yankova, P.; Murdjeva, M.; Mihailova, S. Primary immunodeficiencies in Bulgaria —Achievements and challenges of the PID National Expert Center. Front. Immunol. 2022, 13, 922752. [Google Scholar] [CrossRef]
- Reumers, J.; De Rijk, P.; Zhao, H.; Liekens, A.; Smeets, D.; Cleary, J.; Van Loo, P.; Van Den Bossche, M.; Catthoor, K.; Sabbe, B.; et al. Optimized filtering reduces the error rate in detecting genomic variants by short-read sequencing. Nat. Biotechnol. 2011, 30, 61–68. [Google Scholar] [CrossRef]
- Li, H.; Durbin, R. Fast and accurate short read alignment with Burrows–Wheeler transform. Bioinformatics 2009, 25, 1754–1760. [Google Scholar] [CrossRef]
- Kancheva, D.; Atkinson, D.; De Rijk, P.; Zimon, M.; Chamova, T.; Mitev, V.; Yaramis, A.; Fabrizi, G.M.; Topaloglu, H.; Tournev, I.; et al. Novel mutations in genes causing hereditary spastic paraplegia and Charcot-Marie-Tooth neuropathy identified by an optimized protocol for homozygosity mapping based on whole-exome sequencing. Genet. Med. 2016, 18, 600–607. [Google Scholar] [CrossRef] [PubMed]
- Karczewski, K.J.; Francioli, L.C.; Tiao, G.; Cummings, B.B.; Alföldi, J.; Wang, Q.; Collins, R.L.; Laricchia, K.M.; Ganna, A.; Birnbaum, D.P.; et al. The mutational constraint spectrum quantified from variation in 141,456 humans. Nature 2020, 581, 434–443. [Google Scholar] [CrossRef]
- Todorova, A.; Ashikov, A.; Beltcheva, O.; Tournev, I.; Kremensky, I. C283Y Mutation and Other C-Terminal Nucleotide Changes in the G-Sarcoglycan Gene in the Bulgarian Gypsy Population. Hum. Mutat. 1999, 14, 40–44. [Google Scholar] [PubMed]
- Amor-Barris, S.; Høyer, H.; Brauteset, L.V.; De Vriendt, E.; Strand, L.; Jordanova, A.; Braathen, G.J.; Peeters, K. HINT1 neuropathy in Norway: Clinical, genetic and functional profiling. Orphanet J. Rare Dis. 2021, 16, 116. [Google Scholar] [CrossRef]
- Saunders-Pullman, R.; Raymond, D.; Stoessl, A.J.; Hobson, D.; Nakamura, K.; Nakamura, T.; Pullman, S.; Lefton, D.; Okun, M.S.; Uitti, R.; et al. Variant ataxia-telangiectasia presenting as primary-appearing dystonia in Canadian Mennonites. Neurology 2012, 78, 649–657. [Google Scholar] [CrossRef]
- Moeini Shad, T.; Yazdani, R.; Amirifar, P.; Delavari, S.; Heidarzadeh Arani, M.; Mahdaviani, S.A.; Sadeghi-Shabestari, M.; Aghamohammadi, A.; Rezaei, N.; Abolhassani, H. Atypical Ataxia Presentation in Variant Ataxia Telangiectasia: Iranian Case-Series and Review of the Literature. Front. Immunol. 2022, 12, 779502. [Google Scholar] [CrossRef]
- Micol, R.; Ben Slama, L.; Suarez, F.; Le Mignot, L.; Beauté, J.; Mahlaoui, N.; Dubois d’Enghien, C.; Laugé, A.; Hall, J.; Couturier, J.; et al. CEREDIH Network Investigators. Morbidity and Mortality From Ataxia-Telangiectasia are Associated With ATM Genotype. J. Allergy Clin. Immunol. 2011, 128, 382–389.e1. [Google Scholar] [CrossRef] [PubMed]
- Graafen, L.; Heinze, A.; Albinger, N.; Salzmann-Manrique, E.; Ganß, F.; Hünecke, S.; Cappel, C.; Wölke, S.; Donath, H.; Trischler, J.; et al. Immune profiling and functional analysis of NK and T cells in ataxia telangiectasia. Front. Immunol. 2024, 15, 1377955. [Google Scholar] [CrossRef] [PubMed] [PubMed Central]
- Chamova, T.; Bichev, S.; Todorov, T.; Gospodinova, M.; Taneva, A.; Kastreva, K.; Zlatareva, D.; Krupev, M.; Hadjiivanov, R.; Guergueltcheva, V.; et al. Limb Girdle Muscular Dystrophy 2G in a religious minority of Bulgarian Muslims homozygous for the c.75G>A, p.Trp25X mutation. Neuromuscul. Disord. 2018, 28, 625–632. [Google Scholar] [CrossRef] [PubMed]
- Atkinson, D.; Chamova, T.; Candayan, A.; Kastreva, K.; Asenov, O.; Litvinenko, I.; Estrada-Cuzcano, A.; De Vriendt, E.; Kukushev, G.; Tournev, I.; et al. Identification and Characterization of Novel Founder Mutations in NDRG1: Refining the Genetic Landscape of Charcot–Marie–Tooth Disease Type 4D in Bulgaria. Int. J. Mol. Sci. 2024, 25, 9047. [Google Scholar] [CrossRef]





| Patient Number | Genotype | Sex | Date of Birth | Age at Onset | Dystonia | Tremor | Dystonic Dysarthria | Dystonic Dysphagia | Ataxia | Pyramidal Involvement | Telangiectasia | Neoplasms | Immune Deficiency | Alpha Fetoprotein | Brain MRI | |||||
|---|---|---|---|---|---|---|---|---|---|---|---|---|---|---|---|---|---|---|---|---|
| Face | Neck and Trunk | UL | LL | Head | UL | LL | ||||||||||||||
| 1 | p.V2716A/p.V2716A | F | 27.10.1973 | 17 y | - | - | - | R | + | + | - | - | - | - | + | - | - | - | ND | Normal |
| 2 | p.V2716A/p.V2716A | M | 02.10.1976 | 16 y | - | - | - | R | + | + | - | + | - | - | - | - | - | - | 43.01 | Normal |
| 3 | p.V2716A/p.V2716A | M | 17.06.1948 | 20 y | - | - | R > L | + | - | - | - | + | - | - | - | - | - | - | ND | ND |
| 4 | p.V2716A/p.V2716A | F | 16.08.1955 | 7 y | + | + | R > L | + | - | R | - | - | - | - | + | - | - | - | 56.8 | Cerebral and cerebellar atrophy |
| 5 | p.V2716A/p.V2716A | F | 19.06.1963 | 2 y | + | + | R > L | L > R | + | + | - | + | + | - | + | - | - | - | 39.3 | ND |
| 6 | p.V2716A/p.V2716A | M | 25.10.1970 | 1 y | + | + | + | - | + | + | - | + | - | - | - | - | - | - | 58.8 | ND |
| 7 | p.V2716A/p.V2716A | F | 04.06.1971 | 14 days | + | + | R > L | + | + | + | - | + | + | Ny | - | - | - | - | 48.16 | Normal |
| 8 | p.V2716A/p.V2716A | M | 19.04.2005 | 1 y | - | + | + | - | - | - | - | + | - | - | - | - | - | - | ND | Normal |
| 9 | p.V2716A/p.V2716A | M | 26.09.1957 | 18 y | - | + | R | - | - | - | - | + | - | - | - | + | - | - | 8.5 | Normal |
| 10 | p.V2716A/p.V2716A | M | 03.01.1956 | 18 y | - | - | - | - | + | R > L | - | + | - | - | - | - | - | - | ND | Normal |
| 11 | p.V2716A/p.V2716A | F | 05.06.1986 | 18 y | - | + | - | - | + | R > L | - | - | - | - | + | - | - | - | ND | Normal |
| 12 | p.V2716A/p.V2716A | M | 13.08.1975 | 1.3 y | - | + | R > L | L > R | - | - | - | + | - | - | - | - | - | - | ND | Normal |
| 13 | p.V2716A/p.V2716A | F | 12.03.2012 | 1 y | - | + | - | - | - | - | - | - | - | - | - | - | - | - | ND | ND |
| 14 | p.V2716A/p.V2716A | M | 14.04.2010 | 1 y | - | + | - | - | - | - | - | - | - | - | - | - | - | - | ND | ND |
| 15 | p.V2716A/c.4909+1G>A | M | 06.06.1952 | 40 y | + | + | R > L | - | + | + | - | + | - | + | - | - | - | - | 167 | Normal |
| 16 | p.V2716A/p.V2716A | F | 21.10.1985 | 13 y | + | + | L > R | - | + | + | + | - | - | - | - | - | - | - | 60.8 | Normal |
| 17 | p.V2716A/p.V2716A | F | 03.01.1972 | 1 y | + | + | + | - | - | - | - | + | - | - | - | - | - | - | ND | ND |
| 18 | p.V2716A/p.V2716A | M | 09.02.1966 | 1 y | + | + | - | - | + | + | - | - | - | - | - | + | - | - | ND | ND |
| 19 | p.V2716A/p.V2716A | F | 03.02.1955 | 14 y | + | + | - | - | + | R > L | - | + | + | - | - | - | - | - | ND | ND |
| 20 | p.V2716A/c.4909+1G>A | F | 08.01.1965 | 2 y | + | + | - | + | + | R > L | + | - | - | - | - | - | - | - | ND | ND |
| 21 | p.V2716A/c.4909+1G>A | M | 24.01.1959 | 4 y | - | - | - | + | + | - | - | - | - | - | - | - | - | - | ND | ND |
| 22 | p.V2716A/p.V2716A | F | 18.10.1984 | 1 y | - | - | - | - | + | L > R | - | + | - | - | - | - | - | - | 112.4 | Normal |
| 23 | p.V2716A/p.V2716A | F | 31.01.2011 | 1 y | - | + | - | - | - | - | - | - | - | +/- | - | - | - | Frequent respiratory infections | 18.9 | Normal |
| 24 | p.V2716A/p.V2716A | F | 04/01/1980 | 5 y | - | + | - | - | - | - | - | + | - | - | - | - | - | - | 83.2 | Normal |
| 25 | p.V2716A/p.V2716A | M | 10.09.1965 | 17 y | + | + | + | + | + | + | + | + | + | - | - | - | - | - | 32.9 | Normal |
| 26 | p.V2716A/p.V2716A | F | 05.03.1955 | 6 y | + | + | + | + | + | R > L | + | + | + | Intention tremor in the left hand | - | + | - | - | 25.4 | Normal |
| 27 | p.V2716A/p.V2716A | F | 28.05.1967 | 6 y | - | - | - | - | + | + | - | + | - | - | - | - | + | - | ND | ND |
| 28 | p.V2716A/p.Lys119 | F | 12.05.29187 | 0.5 y | + | + | - | - | + | + | - | + | - | + | - | - | - | - | 351.8 | Cerebellar atrophy |
Disclaimer/Publisher’s Note: The statements, opinions and data contained in all publications are solely those of the individual author(s) and contributor(s) and not of MDPI and/or the editor(s). MDPI and/or the editor(s) disclaim responsibility for any injury to people or property resulting from any ideas, methods, instructions or products referred to in the content. |
© 2025 by the authors. Licensee MDPI, Basel, Switzerland. This article is an open access article distributed under the terms and conditions of the Creative Commons Attribution (CC BY) license (https://creativecommons.org/licenses/by/4.0/).
Share and Cite
Chamova, T.; Todorov, T.; Palaima, P.; Yankova, P.; Pacheva, I.; Ivanov, I.; Georgieva, B.; Cherninkova, S.; Savov, A.; Zlatareva, D.; et al. Variant Ataxia–Telangiectasia Presenting as Tremor–Dystonia Syndrome in a Bulgarian Religious Minority. Genes 2025, 16, 641. https://doi.org/10.3390/genes16060641
Chamova T, Todorov T, Palaima P, Yankova P, Pacheva I, Ivanov I, Georgieva B, Cherninkova S, Savov A, Zlatareva D, et al. Variant Ataxia–Telangiectasia Presenting as Tremor–Dystonia Syndrome in a Bulgarian Religious Minority. Genes. 2025; 16(6):641. https://doi.org/10.3390/genes16060641
Chicago/Turabian StyleChamova, Teodora, Tihomir Todorov, Paulius Palaima, Petya Yankova, Iliyana Pacheva, Ivan Ivanov, Bilyana Georgieva, Sylvia Cherninkova, Alexey Savov, Dora Zlatareva, and et al. 2025. "Variant Ataxia–Telangiectasia Presenting as Tremor–Dystonia Syndrome in a Bulgarian Religious Minority" Genes 16, no. 6: 641. https://doi.org/10.3390/genes16060641
APA StyleChamova, T., Todorov, T., Palaima, P., Yankova, P., Pacheva, I., Ivanov, I., Georgieva, B., Cherninkova, S., Savov, A., Zlatareva, D., Naumova, E., Todorova, A., Jordanova, A., & Tournev, I. (2025). Variant Ataxia–Telangiectasia Presenting as Tremor–Dystonia Syndrome in a Bulgarian Religious Minority. Genes, 16(6), 641. https://doi.org/10.3390/genes16060641

