Association of BMP15 and GDF9 Gene Polymorphisms with Litter Size in Hu Sheep
Abstract
1. Introduction
2. Materials and Methods
2.1. Ethics Statement
2.2. Experimental Animals
2.3. DNA Extraction
2.4. Primer Design and PCR Amplification
2.5. Genotyping and DNA Sequencing
2.6. Prediction of Protein Structure
2.7. Statistical Analysis
3. Results
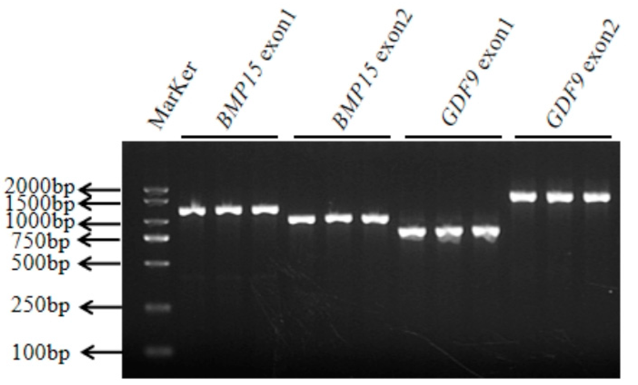
3.1. Amplification of the BMP15 and GDF9
3.2. Identification of Mutations in the BMP15 and GDF9 Genes
3.3. Protein Structure Prediction
3.4. Genetic Analysis of Hu Sheep Population
3.5. Association Analysis of BMP15 and GDF9 Mutations with Litter Size Across Different Parities in Hu Sheep
4. Discussion
5. Conclusions
Supplementary Materials
Author Contributions
Funding
Institutional Review Board Statement
Informed Consent Statement
Data Availability Statement
Acknowledgments
Conflicts of Interest
References
- Li, T.; Liu, Q.; Li, X.; Wang, H. Research Progress and Applications of Genes Associated with Economic Traits in Sheep. Acta Vet. Et Zootech. Sin. 2022, 53, 2417–2434. [Google Scholar]
- Cao, C.; Zhou, Q.; Kang, Y.; Akhatayeva, Z.; Liu, P.; Bai, Y.; Li, R.; Jiang, Y.; Zhang, Q.; Lan, X.; et al. A Repertoire of Single Nucleotide Polymorphisms (Snps) of Major Fecundity Bmpr1b Gene among 75 Sheep Breeds Worldwide. Theriogenology 2024, 219, 59–64. [Google Scholar] [CrossRef] [PubMed]
- Liu, K.; Liu, Y.; Chu, M. Detection of Polymorphisms in Six Genes and Their Association Analysis with Litter Size in Sheep. Anim. Biotechnol. 2024, 35, 3528. [Google Scholar] [CrossRef]
- Wang, W.; La, Y.; Zhou, X.; Zhang, X.; Li, F.; Liu, B. The Genetic Polymorphisms of Tgfβ Superfamily Genes Are Associated with Litter Size in a Chinese Indigenous Sheep Breed (Hu Sheep). Anim. Reprod. Sci. 2018, 189, 19–29. [Google Scholar] [CrossRef] [PubMed]
- Chen, K.; Zhang, Y.; Pan, Y.; Xiang, X.; Peng, C.; He, J.; Huang, G.; Wang, Z.; Zhao, P. Genomic Insights into Demographic History, Structural Variation Landscape, and Complex Traits from 514 Hu Sheep Genomes. J. Genet. Genom. 2024, 24, 00330-8. [Google Scholar] [CrossRef] [PubMed]
- Wang, X.; Shen, W.; Wu, P.; Wang, C.; Li, J.; Wang, D.; Yue, W. How Food Consumption Trends Change the Direction of Sheep Breeding in China. Animals 2024, 14, 3047. [Google Scholar] [CrossRef] [PubMed]
- National Commission on Genetic Resources for Livestock and Poultry. Animal Genetic Resources in China: Sheep and Goats; China Agriculture Press: Beijing, China, 2011. [Google Scholar]
- Zhao, L.; Yuan, L.; Li, F.; Zhang, X.; Tian, H.; Ma, Z.; Zhang, D.; Zhang, Y.; Zhao, Y.; Huang, K.; et al. Whole-Genome Resequencing of Hu Sheep Identifies Candidate Genes Associated with Agronomic Traits. J. Genet. Genom. 2024, 51, 866–876. [Google Scholar] [CrossRef] [PubMed]
- Bian, Z.; Li, K.; Chen, S.; Man, C.; Wang, F.; Li, L. Association between Inha Gene Polymorphisms and Litter Size in Hainan Black Goats. PeerJ 2023, 11, 15381. [Google Scholar] [CrossRef] [PubMed]
- Polley, S.; De, S.; Brahma, B.; Mukherjee, A.; Vinesh, P.V.; Batabyal, S.; Arora, J.S.; Pan, S.; Samanta, A.K.; Datta, T.K.; et al. Polymorphism of Bmpr1b, Bmp15 and Gdf9 Fecundity Genes in Prolific Garole Sheep. Trop. Anim. Health Prod. 2010, 42, 985–993. [Google Scholar] [CrossRef]
- Wilson, T.; Wu, X.Y.; Juengel, J.L.; Ross, I.K.; Lumsden, J.M.; Lord, E.A.; Dodds, K.G.; Walling, G.A.; McEwan, J.C.; O’Connell, A.R.; et al. Highly Prolific Booroola Sheep Have a Mutation in the Intracellular Kinase Domain of Bone Morphogenetic Protein Ib Receptor (Alk-6) That Is Expressed in Both Oocytes and Granulosa Cells. Biol. Reprod. 2001, 64, 1225–1235. [Google Scholar] [CrossRef] [PubMed]
- Souza, C.J.; MacDougall, C.; MacDougall, C.; Campbell, B.K.; McNeilly, A.S.; Baird, D.T. The Booroola (Fecb) Phenotype Is Associated with a Mutation in the Bone Morphogenetic Receptor Type 1 B (Bmpr1b) Gene. J. Endocrinol. 2001, 169, R1–R6. [Google Scholar] [CrossRef] [PubMed]
- Tang, J.; Hu, W.; Di, R.; Liu, Q.; Wang, X.; Zhang, X.; Zhang, J.; Chu, M. Expression Analysis of the Prolific Candidate Genes, Bmpr1b, Bmp15, and Gdf9 in Small Tail Han Ewes with Three Fecundity (Fecb Gene) Genotypes. Animals 2018, 8, 166. [Google Scholar] [CrossRef] [PubMed]
- Davis, G.H.; Balakrishnan, L.; Ross, I.K.; Wilson, T.; Galloway, S.M.; Lumsden, B.M.; Hanrahan, J.P.; Mullen, M.; Mao, X.Z.; Wang, G.L.; et al. Investigation of the Booroola (Fecb) and Inverdale (Fecx(I)) Mutations in 21 Prolific Breeds and Strains of Sheep Sampled in 13 Countries. Anim. Reprod. Sci. 2006, 92, 87–96. [Google Scholar] [CrossRef] [PubMed]
- Zhong, T.; Hou, D.; Zhao, Q.; Zhan, S.; Wang, L.; Li, L.; Zhang, H.; Zhao, W.; Yang, S.; Niu, L. Comparative Whole-Genome Resequencing to Uncover Selection Signatures Linked to Litter Size in Hu Sheep and Five Other Breeds. BMC Genom. 2024, 25, 480. [Google Scholar] [CrossRef]
- Guan, F.; Liu, S.-R.; Shi, G.-Q.; Yang, L.-G. Polymorphism of Fecb Gene in Nine Sheep Breeds or Strains and Its Effects on Litter Size, Lamb Growth and Development. Anim. Reprod. Sci. 2007, 99, 44–52. [Google Scholar] [CrossRef] [PubMed]
- Davis, G.H.; McEwan, J.C.; Fennessy, P.F.; Dodds, K.G.; Farquhar, P.A. Evidence for the Presence of a Major Gene Influencing Ovulation Rate on the X Chromosome of Sheep. Biol. Reprod. 1991, 44, 620–624. [Google Scholar] [CrossRef] [PubMed]
- Hanrahan, J.P.; Gregan, S.M.; Mulsant, P.; Mullen, M.; Davis, G.H.; Powell, R.; Galloway, S.M. Mutations in the Genes for Oocyte-Derived Growth Factors Gdf9 and Bmp15 Are Associated with Both Increased Ovulation Rate and Sterility in Cambridge and Belclare Sheep (Ovis Aries). Biol. Reprod. 2004, 70, 900–909. [Google Scholar] [CrossRef]
- Davis, G.; Bruce, G.; Dodds, K. Ovulation Rate and Litter Size of Prolific Inverdale (Fecxi) and Hanna (Fecxh) Sheep. Proc. Assoc. Adv. Anim. Breed. Genet. 2001, 14, 74–77. [Google Scholar]
- Bodin, L.; Di Pasquale, E.; Fabre, S.; Bontoux, M.; Monget, P.; Persani, L.; Mulsant, P. A Novel Mutation in the Bone Morphogenetic Protein 15 Gene Causing Defective Protein Secretion Is Associated with Both Increased Ovulation Rate and Sterility in Lacaune Sheep. Endocrinology 2007, 148, 393–400. [Google Scholar] [CrossRef] [PubMed]
- Martinez-Royo, A.; Dervishi, E.; Alabart, J.L.; Jurado, J.J.; Folch, J.; Calvo, J.H. Freemartinism and Fecxr Allele Determination in Replacement Ewes of the Rasa Aragonesa Sheep Breed by Duplex Pcr. Theriogenology 2009, 72, 1148–1152. [Google Scholar] [CrossRef] [PubMed]
- Demars, J.; Fabre, S.; Sarry, J.; Rossetti, R.; Gilbert, H.; Persani, L.; Tosser-Klopp, G.; Mulsant, P.; Nowak, Z.; Drobik, W.; et al. Genome-Wide Association Studies Identify Two Novel Bmp15 Mutations Responsible for an Atypical Hyperprolificacy Phenotype in Sheep. PLoS Genet. 2013, 9, e1003482. [Google Scholar] [CrossRef]
- Martinez-Royo, A.; Jurado, J.J.; Smulders, J.P.; Marti, J.I.; Alabart, J.L.; Roche, A.; Fantova, E.; Bodin, L.; Mulsant, P.; Serrano, M. A Deletion in the Bone Morphogenetic Protein 15 Gene Causes Sterility and Increased Prolificacy in Rasa Aragonesa Sheep. Anim. Genet. 2008, 39, 294–297. [Google Scholar] [CrossRef]
- Galloway, S.M.; McNatty, K.P.; Cambridge, L.M.; Laitinen, M.P.; Juengel, J.L.; Jokiranta, T.S.; McLaren, R.J.; Luiro, K.; Dodds, K.G.; Montgomery, G.W.; et al. Mutations in an Oocyte-Derived Growth Factor Gene (Bmp15) Cause Increased Ovulation Rate and Infertility in a Dosage-Sensitive Manner. Nat. Genet. 2000, 25, 279–283. [Google Scholar] [CrossRef] [PubMed]
- Bravo, S.; Larama, G.; Paz, E.; Inostroza, K.; Montaldo, H.H.; Sepúlveda, N. Polymorphism of the Gdf9 Gene Associated with Litter Size in Araucana Creole Sheep. Anim. Genet. 2016, 47, 390–391. [Google Scholar] [CrossRef]
- Sae-Foo, P.; Triwutanon, S.; Rukkwamsuk, T. Detection of Booroola Polymorphism of Bone Morphogenetic Protein Receptor 1b and Embrapa Polymorphism of Growth Differentiation Factor 9 in Sheep in Thailand. Animals 2024, 14, 809. [Google Scholar] [CrossRef] [PubMed]
- El Fiky, Z.A.; Hassan, G.M.; Nassar, M.I. Genetic Polymorphism of Growth Differentiation Factor 9 (Gdf9) Gene Related to Fecundity in Two Egyptian Sheep Breeds. J. Assist. Reprod. Genet. 2017, 34, 1683–1690. [Google Scholar] [CrossRef] [PubMed]
- Ma, S.; Ji, X.; Cang, M.; Wang, J.; Yu, H.; Liu, Y.; Zhang, W.; Wu, Y.; Zhao, S.; Cao, G.; et al. Association Analysis between Novel Variants in Lepr Gene and Litter Size in Mongolia and Ujimqin Sheep Breeds. Theriogenology 2022, 183, 79–89. [Google Scholar] [CrossRef]
- Cuiling, W.; Xinglong, Z.; Zhuo, Z.; Yunhui, Z.; Bo, Z.; Mingxin, Z.; Chunxin, W. Genetic Polymorphism Analysis of Bmp15 and Gdf9 Genes in Six Sheep Breeds. China Anim. Husb. Vet. Med. 2018, 45, 2236–2246. [Google Scholar] [CrossRef]
- Nei, M.; Li, W.H. Mathematical Model for Studying Genetic Variation in Terms of Restriction Endonucleases. Proc. Natl. Acad. Sci. USA 1979, 76, 5269–5273. [Google Scholar] [CrossRef] [PubMed]
- Najafabadi, H.A.; Khansefid, M.; Mahmoud, G.G.; Haruna, I.L.; Zhou, H.; Hickford, J.G.H. Identification of Sequence Variation in the Oocyte-Derived Bone Morphogenetic Protein 15 (Bmp15) Gene (Bmp15) Associated with Litter Size in New Zealand Sheep (Ovis Aries) Breeds. Mol. Biol. Rep. 2021, 48, 6335–6342. [Google Scholar] [CrossRef]
- Zhao, F.; Xie, R.; Fang, L.; Xiang, R.; Yuan, Z.; Liu, Y.; Wang, L. Analysis of 206 Whole-Genome Resequencing Reveals Selection Signatures Associated with Breed-Specific Traits in Hu Sheep. Evol. Appl. 2024, 17, e13697. [Google Scholar] [CrossRef] [PubMed]
- Crawford, J.L.; A Heath, D.; Reader, K.L.; Quirke, L.D.; Hudson, N.L.; Juengel, J.L.; McNatty, K.P. Oocytes in Sheep Homozygous for a Mutation in Bone Morphogenetic Protein Receptor 1b Express Lower Mrna Levels of Bone Morphogenetic Protein 15 but Not Growth Differentiation Factor 9. Reproduction 2011, 142, 53–61. [Google Scholar] [CrossRef] [PubMed]
- Moore, R.K.; Erickson, G.F.; Shimasaki, S. Are Bmp-15 and Gdf-9 Primary Determinants of Ovulation Quota in Mammals? Trends Endocrinol. Metab. 2004, 15, 356–361. [Google Scholar] [CrossRef] [PubMed]
- Persani, L.; Rossetti, R.; Di Pasquale, E.; Cacciatore, C.; Fabre, S. The Fundamental Role of Bone Morphogenetic Protein 15 in Ovarian Function and Its Involvement in Female Fertility Disorders. Hum. Reprod. Updat. 2014, 20, 869–883. [Google Scholar] [CrossRef] [PubMed]
- Elvin, J.A.; Clark, A.T.; Wang, P.; Wolfman, N.M.; Matzuk, M.M. Paracrine Actions of Growth Differentiation Factor-9 in the Mammalian Ovary. Mol. Endocrinol. 1999, 13, 1035–1048. [Google Scholar] [CrossRef] [PubMed]
- Vitt, U.; Hayashi, M.; Klein, C.; Hsueh, A. Growth Differentiation Factor-9 Stimulates Proliferation but Suppresses the Follicle-Stimulating Hormone-Induced Differentiation of Cultured Granulosa Cells from Small Antral and Preovulatory Rat Follicles. Biol. Reprod. 2000, 62, 370–377. [Google Scholar] [CrossRef] [PubMed]
- Mottershead, D.G.; Sugimura, S.; Al-Musawi, S.L.; Li, J.-J.; Richani, D.; White, M.A.; Martin, G.A.; Trotta, A.P.; Ritter, L.J.; Shi, J.; et al. Cumulin, an Oocyte-Secreted Heterodimer of the Transforming Growth Factor-Β Family, Is a Potent Activator of Granulosa Cells and Improves Oocyte Quality. J. Biol. Chem. 2015, 290, 24007–24020. [Google Scholar] [CrossRef]
- Xu, Y.; Li, E.; Han, Y.; Chen, L.; Xie, Z. Differential Expression of Mrnas Encoding Bmp/Smad Pathway Molecules in Antral Follicles of High- and Low-Fecundity Hu Sheep. Anim. Reprod. Sci. 2010, 120, 47–55. [Google Scholar] [CrossRef]
- Monestier, O.; Servin, B.; Auclair, S.; Bourquard, T.; Poupon, A.; Pascal, G.; Fabre, S. Evolutionary Origin of Bone Morphogenetic Protein 15 and Growth and Differentiation Factor 9 and Differential Selective Pressure between Mono- and Polyovulating Species. Biol. Reprod. 2014, 91, 83. [Google Scholar] [CrossRef] [PubMed]
- Liu, S.-F.; Jiang, Y.-L.; Du, L.-X. Studies of Bmpr-Ib and Bmp15 as Candidate Genes for Fecundity in Little Tailed Han Sheep. Yi Chuan Xue Bao 2003, 30, 755–760. [Google Scholar] [PubMed]
- Guo, W.; Chu, M.X.; Deng, X.M.; Feng, J.D.; Li, N.; Wu, C. Association of a Single Codon Deletion in Bone Morphogenetic Protein 15 Gene with Prolificacy in Small Tail Han Sheep. Asian-Australas. J. Anim. Sci. 2004, 17, 1491–1495. [Google Scholar] [CrossRef]
- Ji, X.; Cao, Z.; Hao, Q.; He, M.; Cang, M.; Yu, H.; Ma, Q.; Li, X.; Bao, S.; Wang, J.; et al. Effects of New Mutations in Bmprib, Gdf9, Bmp15, Lepr, and B4galnt2 Genes on Litter Size in Sheep. Vet. Sci. 2023, 10, 258. [Google Scholar] [CrossRef] [PubMed]
- Bodensteiner, K.; Clay, C.; Moeller, C.; Sawyer, H. Molecular Cloning of the Ovine Growth/Differentiation Factor-9 Gene and Expression of Growth/Differentiation Factor-9 in Ovine and Bovine Ovaries. Biol. Reprod. 1999, 60, 381–386. [Google Scholar] [CrossRef]
- Cheng, Z.; Liu, J.; Li, Y.; Zhang, X.; Chao, L.; Cang, M.; Wang, J.; Yu, H.; Li, G.; Tong, B. Effect of G. 46547645t>G Locus of Gdf9 Gene on Promoter Activity and Litter Size of Mongolia Sheep (Ovis Aries). J. Agric. Biotechnol. 2021, 29, 540–549. [Google Scholar]
- Wang, F.; Chu, M.; Pan, L.; Wang, X.; He, X.; Zhang, R.; Tao, L.; La, Y.; Ma, L.; Di, R. Polymorphism Detection of Gdf9 Gene and Its Association with Litter Size in Luzhong Mutton Sheep (Ovis Aries). Animals 2021, 11, 571. [Google Scholar] [CrossRef] [PubMed]
- Eghbalsaied, S.; Ghaedi, K.; Shahmoradi, S.; Pirestani, A.; Amini, H.; Saiedi, T.; Nicol, L.; McNeilly, A. Presence of Snps in Gdf9 Mrna of Iranian Afshari Sheep. Int. J. Fertil. Steril. 2012, 5, 225–230. [Google Scholar]
- Amandykova, M.; Orazymbetova, Z.; Kapassuly, T.; Kozhakhmet, A.; Khamzina, S.; Iskakov, K.; Dossybayev, K. Detection of Genetic Variations in the Gdf9 and Bmp15 Genes in Kazakh Meat-Wool Sheep. Arch. Anim. Breed. 2023, 66, 401–409. [Google Scholar] [CrossRef]
- Di, R.; Wang, F.; Yu, P.; Wang, X.; He, X.; Mwacharo, J.M.; Pan, L.; Chu, M. Detection of Novel Variations Related to Litter Size in Bmp15 Gene of Luzhong Mutton Sheep (Ovis Aries). Animals 2021, 11, 3528. [Google Scholar] [CrossRef] [PubMed]



| Primer Name | Primer Sequence(5′-3′) | Location | Amplified Fragment/bp |
|---|---|---|---|
| BMP15-1F | TAGGGTGGGAACAGGAGGC | BMP15-Exon1 | 1258 |
| BMP15-1R | TCAGGACAGCTAAGGAGAGTC | ||
| BMP15-2F | TTTACCGCCATCAGCTTCACC | BMP15-Exon2 | 1030 |
| BMP15-2R | ACCCCAAACCGTCTAGATCC | ||
| GDF9-1F | CAGCTAAGCATCCTTAAGGTCT | GDF9-Exon1 | 813 |
| GDF9-1R | TGACCCTGGACAAGATGCT | ||
| GDF9-2F | TCCCCACCAAAGCTATTCTGA | GDF9-Exon2 | 1656 |
| GDF9-2R | CCTCTCCCTCTCAAATAACCAT |
| Gene | Variant | Base Change | Coding Base (bp) | Coding Residue (aa) | Amino Acid Change |
|---|---|---|---|---|---|
| BMP15 | c.31_33CTTdel | CTTdel | 31–33 | 11 | Leu(L)deletion |
| GDF9 | G2 | C > T | 471 | 157 | UnchangedVal(V) |
| G3 | G > A | 477 | 159 | UnchangedLeu(L) | |
| G4 | G > A | 721 | 241 | Glu(E) > Lys(K) |
| Locus | Genotype Frequency | Allele Frequency | Diversity Parameter | ||||||
|---|---|---|---|---|---|---|---|---|---|
| PIC | HE | NE | p-Value | ||||||
| BMP15 c.31_33 CTTdel [31] | WT | WT_del | del_del | WT | del | 0.28 | 0.33 | 1.49 | 0.09 |
| 0.64 | 0.3 | 0.06 | 0.79 | 0.21 | |||||
| GDF9-G2(C > T) [18] | CC | CT | TT | C | T | 0.02 | 0.02 | 1.02 | 0.88 |
| 0.98 | 0.02 | 0.00 | 0.99 | 0.01 | |||||
| GDF9-G3(G > A) [18] | GG | GA | AA | G | A | 0.35 | 0.45 | 1.81 | 0.06 |
| 0.41 | 0.51 | 0.08 | 0.66 | 0.34 | |||||
| GDF9-G4(G > A) [18] | GG | GA | AA | G | A | 0.13 | 0.14 | 1.17 | 0.24 |
| 0.84 | 0.16 | 0.00 | 0.92 | 0.08 | |||||
| Locus | Parity | Genotype | Number of Samples | Mean (Median) | H-Value | p-Value |
|---|---|---|---|---|---|---|
| BMP15 c.31_33CTTdel [31] | 1st | WT | 207 | 2.493 (2.000) | 0.070 | 0.997 |
| WT-del | 96 | 2.479 (2.000) | ||||
| del-del | 19 | 2.579 (2.000) | ||||
| 2nd | WT | 171 | 2.350 (2.000) | 1.121 | 0.571 | |
| WT-del | 82 | 2.293 (2.000) | ||||
| del-del | 16 | 2.500 (2.500) | ||||
| 3rd | WT | 137 | 2.453 (2.000) | 4.933 | 0.085 | |
| WT-del | 71 | 2.241 (2.000) | ||||
| del-del | 15 | 2.267 (2.000) | ||||
| Average | WT | 207 | 2.423 (2.330) | 1.162 | 0.559 | |
| WT-del | 96 | 2.330 (2.330) | ||||
| del-del | 19 | 2.491 (2.330) |
| Locus | Parity | Genotype | Number of Samples | Mean (Median) | H-Value | p-Value |
|---|---|---|---|---|---|---|
| GDF9-G2 C > T [18] | 1st | CT | 4 | 2.600 (2.000) | 0.052 | 0.891 |
| CC | 187 | 2.436 (2.000) | ||||
| 2nd | CT | 4 | 2.000 (1.500) | 0.358 | 0.358 | |
| CC | 165 | 2.321 (2.000) | ||||
| 3rd | CT | 4 | 2.500 (2.500) | 0.801 | 0.801 | |
| CC | 135 | 2.370 (2.000) | ||||
| Average | CT | 4 | 2.415 (2.165) | 0.088 | 0.767 | |
| CC | 187 | 2.367 (2.330) | ||||
| GDF9-G3 G > A [18] | 1st | AA | 16 | 2.313 (2.000) | 0.543 | 0.762 |
| GA | 97 | 2.505 (2.000) | ||||
| GG | 78 | 2.313 (2.000) | ||||
| 2nd | AA | 15 | 2.067 (2.000) | 0.942 | 0.624 | |
| GA | 84 | 2.345 (2.000) | ||||
| GG | 70 | 2.329 (2.000) | ||||
| 3rd | AA | 12 | 2.417 (2.000) | 0.066 | 0.967 | |
| GA | 69 | 2.348 (2.000) | ||||
| GG | 58 | 2.397 (2.000) | ||||
| Average | AA | 16 | 2.289 (2.170) | 1.072 | 0.585 | |
| GA | 97 | 2.382 (2.330) | ||||
| GG | 78 | 2.345 (2.330) | ||||
| GDF9-G4 G > A [18] | 1st | GA | 30 | 2.400 (2.000) | 0.076 | 0.783 |
| GG | 161 | 2.447 (2.000) | ||||
| 2nd | GA | 29 | 2.276 (2.000) | 0.085 | 0.770 | |
| GG | 140 | 2.321 (2.000) | ||||
| 3rd | GA | 26 | 2.115 (2.000) | 0.933 | 0.164 | |
| GG | 113 | 2.434 (2.000) | ||||
| Average | GA | 30 | 2.277 (2.330) | 0.137 | 0.711 | |
| GG | 161 | 2.385 (2.330) |
Disclaimer/Publisher’s Note: The statements, opinions and data contained in all publications are solely those of the individual author(s) and contributor(s) and not of MDPI and/or the editor(s). MDPI and/or the editor(s) disclaim responsibility for any injury to people or property resulting from any ideas, methods, instructions or products referred to in the content. |
© 2025 by the authors. Licensee MDPI, Basel, Switzerland. This article is an open access article distributed under the terms and conditions of the Creative Commons Attribution (CC BY) license (https://creativecommons.org/licenses/by/4.0/).
Share and Cite
Zhang, Y.; Wang, H.; Li, T.; Zhang, N.; Chen, J.; Yang, H.; Peng, S.; Ma, R.; Wang, D.; Liu, Q.; et al. Association of BMP15 and GDF9 Gene Polymorphisms with Litter Size in Hu Sheep. Genes 2025, 16, 168. https://doi.org/10.3390/genes16020168
Zhang Y, Wang H, Li T, Zhang N, Chen J, Yang H, Peng S, Ma R, Wang D, Liu Q, et al. Association of BMP15 and GDF9 Gene Polymorphisms with Litter Size in Hu Sheep. Genes. 2025; 16(2):168. https://doi.org/10.3390/genes16020168
Chicago/Turabian StyleZhang, Yuting, Haitao Wang, Tingting Li, Na Zhang, Jieran Chen, Hengqian Yang, Shiyu Peng, Runlin Ma, Daxiang Wang, Qiuyue Liu, and et al. 2025. "Association of BMP15 and GDF9 Gene Polymorphisms with Litter Size in Hu Sheep" Genes 16, no. 2: 168. https://doi.org/10.3390/genes16020168
APA StyleZhang, Y., Wang, H., Li, T., Zhang, N., Chen, J., Yang, H., Peng, S., Ma, R., Wang, D., Liu, Q., & Wang, Y. (2025). Association of BMP15 and GDF9 Gene Polymorphisms with Litter Size in Hu Sheep. Genes, 16(2), 168. https://doi.org/10.3390/genes16020168

