Presentation of Rare Phenotypes Associated with the FKBP10 Gene
Abstract
1. Introduction
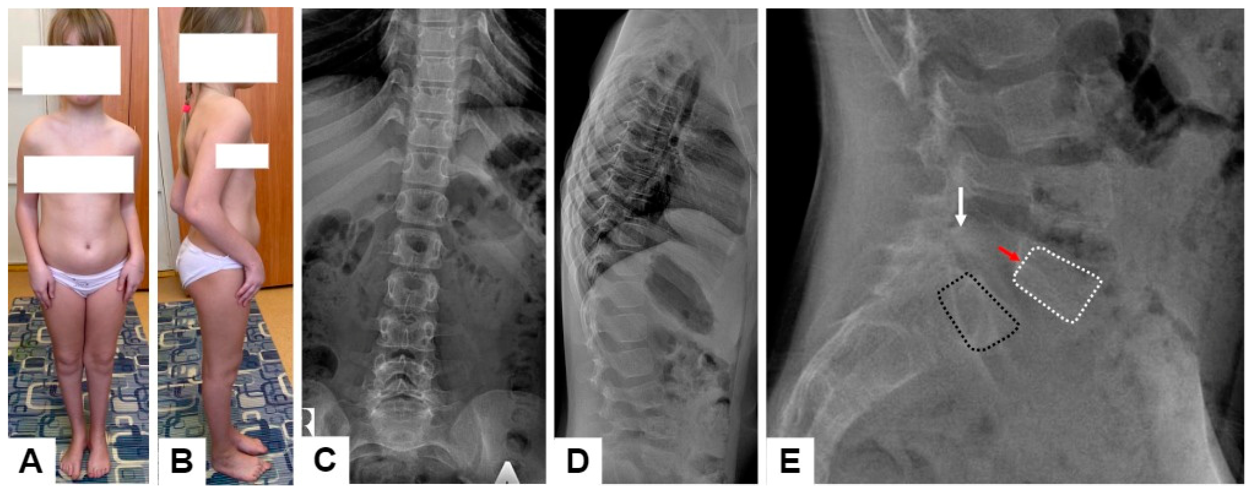
2. Results
3. Discussion
4. Materials and Methods
5. Conclusions
Author Contributions
Funding
Institutional Review Board Statement
Informed Consent Statement
Data Availability Statement
Conflicts of Interest
References
- Online Mendelian Inheritance in Man, OMIM®. Johns Hopkins University: Baltimore, MD, USA. Available online: https://www.omim.org/entry/607063 (accessed on 15 April 2024).
- Stenson, P.D.; Ball, E.V.; Mort, M.; Phillips, A.D.; Shiel, J.A.; Thomas, N.S.T.; Abeysinghe, S.; Krawczak, M.; Cooper, D.N. Human Gene Mutation Database (HGMD): 2003 Update. Hum. Mutat. 2003, 21, 577–581. [Google Scholar] [CrossRef]
- Bank, R.A.; Robins, S.P.; Wijmenga, C.; Breslau-Siderius, L.J.; Bardoel, A.F.; van der Sluijs, H.A.; Pruijs, H.E.; TeKoppele, J.M. Defective Collagen Crosslinking in Bone, but Not in Ligament or Cartilage, in Bruck Syndrome: Indications for a Bone-Specific Telopeptide Lysyl Hydroxylase on Chromosome 17. Proc. Natl. Acad. Sci. USA 1999, 96, 1054–1058. [Google Scholar] [CrossRef]
- Lietman, C.D.; Rajagopal, A.; Homan, E.P.; Munivez, E.; Jiang, M.-M.; Bertin, T.K.; Chen, Y.; Hicks, J.; Weis, M.; Eyre, D.; et al. Connective Tissue Alterations in Fkbp10−/− Mice. Hum. Mol. Genet. 2014, 23, 4822–4831. [Google Scholar] [CrossRef] [PubMed]
- Moravej, H.; Karamifar, H.; Karamizadeh, Z.; Amirhakimi, G.; Atashi, S.; Nasirabadi, S. Bruck Syndrome—A Rare Syndrome of Bone Fragility and Joint Contracture and Novel Homozygous FKBP10 Mutation. Endokrynol. Pol. 2015, 66, 170–174. [Google Scholar] [CrossRef]
- Alanay, Y.; Avaygan, H.; Camacho, N.; Utine, G.E.; Boduroglu, K.; Aktas, D.; Alikasifoglu, M.; Tuncbilek, E.; Orhan, D.; Bakar, F.T.; et al. Mutations in the Gene Encoding the RER Protein FKBP65 Cause Autosomal-Recessive Osteogenesis Imperfecta. Am. J. Hum. Genet. 2010, 86, 551–559. [Google Scholar] [CrossRef] [PubMed]
- Shaheen, R.; Al-Owain, M.; Sakati, N.; Alzayed, Z.S.; Alkuraya, F.S. FKBP10 and Bruck Syndrome: Phenotypic Heterogeneity or Call for Reclassification? Am. J. Hum. Genet. 2010, 87, 306–307; author reply 308. [Google Scholar] [CrossRef]
- Kelley, B.P.; Malfait, F.; Bonafe, L.; Baldridge, D.; Homan, E.; Symoens, S.; Willaert, A.; Elcioglu, N.; Van Maldergem, L.; Verellen-Dumoulin, C.; et al. Mutations in FKBP10 Cause Recessive Osteogenesis Imperfecta and Bruck Syndrome. J. Bone Miner. Res. Off. J. Am. Soc. Bone Miner. Res. 2011, 26, 666–672. [Google Scholar] [CrossRef] [PubMed]
- Shaheen, R.; Al-Owain, M.; Faqeih, E.; Al-Hashmi, N.; Awaji, A.; Al-Zayed, Z.; Alkuraya, F.S. Mutations in FKBP10 Cause Both Bruck Syndrome and Isolated Osteogenesis Imperfecta in Humans. Am. J. Med. Genet. A 2011, 155A, 1448–1452. [Google Scholar] [CrossRef]
- Schwarze, U.; Cundy, T.; Pyott, S.M.; Christiansen, H.E.; Hegde, M.R.; Bank, R.A.; Pals, G.; Ankala, A.; Conneely, K.; Seaver, L.; et al. Mutations in FKBP10, Which Result in Bruck Syndrome and Recessive Forms of Osteogenesis Imperfecta, Inhibit the Hydroxylation of Telopeptide Lysines in Bone Collagen. Hum. Mol. Genet. 2013, 22, 1–17. [Google Scholar] [CrossRef]
- Setijowati, E.D.; van Dijk, F.S.; Cobben, J.M.; van Rijn, R.R.; Sistermans, E.A.; Faradz, S.M.H.; Kawiyana, S.; Pals, G. A Novel Homozygous 5 Bp Deletion in FKBP10 Causes Clinically Bruck Syndrome in an Indonesian Patient. Eur. J. Med. Genet. 2012, 55, 17–21. [Google Scholar] [CrossRef]
- Unger, S.; Ferreira, C.R.; Mortier, G.R.; Ali, H.; Bertola, D.R.; Calder, A.; Cohn, D.H.; Cormier-Daire, V.; Girisha, K.M.; Hall, C.; et al. Nosology of Genetic Skeletal Disorders: 2023 Revision. Am. J. Med. Genet. A 2023, 191, 1164–1209. [Google Scholar] [CrossRef] [PubMed]
- Essawi, O.H.; Tapaneeyaphan, P.; Symoens, S.; Gistelinck, C.C.; Malfait, F.; Eyre, D.R.; Essawi, T.; Callewaert, B.; Coucke, P.J. New Insights on the Clinical Variability of FKBP10 Mutations. Eur. J. Med. Genet. 2020, 63, 103980. [Google Scholar] [CrossRef] [PubMed]
- Umair, M.; Hassan, A.; Jan, A.; Ahmad, F.; Imran, M.; Samman, M.I.; Basit, S.; Ahmad, W. Homozygous Sequence Variants in the FKBP10 Gene Underlie Osteogenesis Imperfecta in Consanguineous Families. J. Hum. Genet. 2016, 61, 207–213. [Google Scholar] [CrossRef] [PubMed]
- Yüksel Ülker, A.; Uludağ Alkaya, D.; Elkanova, L.; Şeker, A.; Akpınar, E.; Akarsu, N.A.; Uyguner, Z.O.; Tüysüz, B. Long-Term Follow-Up Outcomes of 19 Patients with Osteogenesis Imperfecta Type XI and Bruck Syndrome Type I Caused by FKBP10 Variants. Calcif. Tissue Int. 2021, 109, 633–644. [Google Scholar] [CrossRef] [PubMed]
- Murphy, L.A.; Ramirez, E.A.; Trinh, V.T.; Herman, A.M.; Anderson, V.C.; Brewster, J.L. Endoplasmic Reticulum Stress or Mutation of an EF-Hand Ca2+-Binding Domain Directs the FKBP65 Rotamase to an ERAD-Based Proteolysis. Cell Stress Chaperones 2011, 16, 607–619. [Google Scholar] [CrossRef] [PubMed]
- Barnes, A.M.; Cabral, W.A.; Weis, M.; Makareeva, E.; Mertz, E.L.; Leikin, S.; Eyre, D.; Trujillo, C.; Marini, J.C. Absence of FKBP10 in Recessive Type XI Osteogenesis Imperfecta Leads to Diminished Collagen Cross-Linking and Reduced Collagen Deposition in Extracellular Matrix. Hum. Mutat. 2012, 33, 1589–1598. [Google Scholar] [CrossRef] [PubMed]
- Ishikawa, Y.; Vranka, J.; Wirz, J.; Nagata, K.; Bächinger, H.P. The Rough Endoplasmic Reticulum-Resident FK506-Binding Protein FKBP65 Is a Molecular Chaperone That Interacts with Collagens. J. Biol. Chem. 2008, 283, 31584–31590. [Google Scholar] [CrossRef] [PubMed]
- Venturi, G.; Monti, E.; Dalle Carbonare, L.; Corradi, M.; Gandini, A.; Valenti, M.T.; Boner, A.; Antoniazzi, F. A Novel Splicing Mutation in FKBP10 Causing Osteogenesis Imperfecta with a Possible Mineralization Defect. Bone 2012, 50, 343–349. [Google Scholar] [CrossRef] [PubMed]
- Christiansen, H.E.; Schwarze, U.; Pyott, S.M.; AlSwaid, A.; Al Balwi, M.; Alrasheed, S.; Pepin, M.G.; Weis, M.A.; Eyre, D.R.; Byers, P.H. Homozygosity for a Missense Mutation in SERPINH1, Which Encodes the Collagen Chaperone Protein HSP47, Results in Severe Recessive Osteogenesis Imperfecta. Am. J. Hum. Genet. 2010, 86, 389–398. [Google Scholar] [CrossRef]
- Caparrós-Martin, J.A.; Valencia, M.; Pulido, V.; Martínez-Glez, V.; Rueda-Arenas, I.; Amr, K.; Farra, C.; Lapunzina, P.; Ruiz-Perez, V.L.; Temtamy, S.; et al. Clinical and Molecular Analysis in Families with Autosomal Recessive Osteogenesis Imperfecta Identifies Mutations in Five Genes and Suggests Genotype-Phenotype Correlations. Am. J. Med. Genet. A 2013, 161A, 1354–1369. [Google Scholar] [CrossRef]
- Xu, X.-J.; Lv, F.; Liu, Y.; Wang, J.-Y.; Ma, D.-D.; Asan; Wang, J.-W.; Song, L.-J.; Jiang, Y.; Wang, O.; et al. Novel Mutations in FKBP10 in Chinese Patients with Osteogenesis Imperfecta and Their Treatment with Zoledronic Acid. J. Hum. Genet. 2017, 62, 205–211. [Google Scholar] [CrossRef] [PubMed]
- Seyedhassani, S.M.; Hashemi-Gorji, F.; Yavari, M.; Harazi, F.; Yassaee, V.R. Novel FKBP10 Mutation in a Patient with Osteogenesis Imperfecta Type XI. Fetal Pediatr. Pathol. 2016, 35, 353–358. [Google Scholar] [CrossRef] [PubMed]
- Li, S.; Cao, Y.; Wang, H.; Li, L.; Ren, X.; Mi, H.; Wang, Y.; Guan, Y.; Zhao, F.; Mao, B.; et al. Genotypic and Phenotypic Analysis in Chinese Cohort with Autosomal Recessive Osteogenesis Imperfecta. Front. Genet. 2020, 11, 984. [Google Scholar] [CrossRef] [PubMed]






| Patient | F1-P1 | F2-P2 | F3-P3 | F4-P4 |
|---|---|---|---|---|
| Parental consanguinity | + | − | − | − |
| Ethnicity | Armenians | Russian | Russian | Tuvans |
| Age, year | 21 | 10 | 6 | 2.5 |
| Sex, M/F | F | M | F | M |
| Age of 1st fracture, year 1 | 0.75 | 10.0 | 5.25 | i/f, at birth |
| Fracture site 2 | 2, 3, 4, 5, 6 | 5 | 5, 7 | 1, 2, 4, 5, 6 |
| Fractures total (n) | 60 | 2 | 3 | 10 |
| Number of fractures/year | 2.85 | 0.18 | 0.41 | 4 |
| Scoliosis (degree) | IV | II | I | I |
| Height, (SD Score) | −7.02 | −0.93 | −1.26 | 1.8 |
| BMD 3 (L1–L4) (g/cm2) | 0.549 | 0.195 | 0.434 | − |
| Z-score (L1–L4) | −1.5 | −5.5 | −2.1 | − |
| Blue sclera (+/−) | + | − | + | − |
| Dentinogenesis imperfecta (+/−) | − | − | − | − |
| Hearing loss (+/−) | + | − | − | − |
| Mobility (+/−) | − (wheelchair) | + (crutches) | + | − |
| Age of treatment initiation by BP 4, year | 5 | 10 | 6 | 0.16 |
| Patient | F5-P5 | F6-P6 | F6-P7 | F7-P8 | F8-P9 | F9-P10 | F10-P11 | F11-P12 | F12-P13 | F13-P14 | |
|---|---|---|---|---|---|---|---|---|---|---|---|
| Phenotype | BS-I | BS-I | BS-I | BS-I | BS-I | BS-I | BS-I | BS-I | BS-I/EB | BS-I/EB | |
| Parental consanguinity | + | − | − | − | − | − | − | − | + | + | |
| Ethnicity | Uzbeks | Russian | Russian | Russian | Russian | Tuvans | Ukrainian | Russian | Tajiks | Tajiks | |
| Age, year | 13 | 2 | 2 | 8 | 10 | 10 | 7 | 13 | 0.08 | 5 | |
| Sex, M/F | M | M | M | F | M | F | F | M | M | M | |
| Congenital contracture | + | + | + | + | + | + | + | + | + | + | |
| Talipes equinovarus | − | + | − | rt+ | + | − | + | + | + | + | |
| Knee 1 | + | rt+ | rt+ | rt+ | lt+ | − | − | + | + | + | |
| Elbow 1 | − | + | rt+ | lt+ | rt+ | + | − | + | + | + | |
| Wrist | − | − | − | − | − | − | − | + | + | − | |
| Bullous lesion | − | − | − | − | − | − | − | − | + | + | |
| 1st fracture, year 2 | 2 | i/f | i/f | 0.16 | i/f | 1.6 | at birth | at birth | − | i/f | |
| Fracture | 1–18 ys 3 | + | + | + | + | + | − | + | + | − | + |
| 0–12 m 3 | + | − | − | + | + | + | + | + | + | ||
| Fracture site 4 | 3, 4, 5, 6 | 2 | 2 | 5, 6 | 2, 3, 4, 5, 6 | 5, 6 | 2, 3, 5, 6 | 2, 5, 6 | 2, 5, 6 | ||
| Fractures total (n) 5 | 20 | 2 | 2 | 10 | >50 | 20 | 7 | 20 | mpl | ||
| Scoliosis (degree) | III | − | − | II | I | II | − | II | − | II | |
| Long bone deformities (UL, LL) 6 | LL | LL | LL | LL | UL | LL | − | − | − | LL | |
| Acetabular protrusion 7 | + | − | − | ND | + | + | + | + | ND | + | |
| Wormian bones 7 | + | + | + | ND | ND | + | + | ND | ND | ND | |
| Platybasia 7 | + | − | − | ND | ND | + | + | + | ND | ND | |
| Height, (SD Score) | −4.9 | −0.35 | −0.35 | −3.08 | −2.98 | −4.55 | −2.64 | −2.25 | 0.10 | −2.91 | |
| BMD (L1–L4) (g/cm2) | 0.362 | − | − | 0.843 | 0.543 | 0.390 | 0.394 | 0.588 | − | − | |
| Z-score (L1–L4) | −6.3 | − | − | +0.1 | 0.7 | −3.6 | −3.4 | −2.8 | − | − | |
| Mobility | − | − | − | + (crutches) | + (crutches) | − | + (crutches) | − | + (crutches) | ||
| Never able to walk | + | + | + | + | |||||||
| Lost the ability to walk | + | ||||||||||
| Age of treatment initiation by BP 8, year | 13 | − | − | 2 | 4 | 5 | − | 7 | − | 0.16 | |
| Patient | Clinical Diagnosis | Gene | DNA Change | Protein Change | Ex. | Literature/ ACMG Criteria |
|---|---|---|---|---|---|---|
| F1-P1 | OI-type XI | FKBP10 | c.831dup | p.Gly278Argfs | 5 | + |
| c.1256+1G>A | 7i | + | ||||
| F2-P2 | OI-type XI | FKBP10 | c.1016G>A | p.Arg339Gln | 6 | + |
| c.1256+1G>A | 7i | + | ||||
| F3-P3 | OI-type XI | FKBP10 | c.831dup | p.Gly278Argfs | 5 | + |
| c.1016G>A | p.Arg339Gln | 6 | + | |||
| F4-P4 | OI-type XI | FKBP10 | c.1490G>A homozygote | p.Trp497Ter | 9 | + |
| F5-P5 | BS-I | FKBP10 | c.831dup homozygote | p.Gly278Argfs | 5 | + |
| F6-P6, 7 | BS-I | FKBP10 | c.831dup | p.Gly278Argfs | 5 | + |
| c.1373C>T | p.Pro458Leu | 8 | Novel Pathogenic (PM2, PP3, PM3, PP4) | |||
| F7-P8 | BS-I | FKBP10 | c.344G>A | p.Arg115Gln | 2 | + |
| c.976del | p.Met326fs | 6 | + | |||
| F8-P9 | BS-I | FKBP10 | c.21del | p.Pro7fs | Novel Pathogenic (PM2, PVS1, PM3) | |
| c.344G>A | p.Arg115Gln | 2 | + | |||
| F9-P10 | BS-I | FKBP10 | c.1490G>A homozygote | p.Trp497Ter | 9 | + |
| F10-P11 | BS-I | FKBP10 | c.976del | p.Met326fs | 6 | + |
| c.831_832insCG | p.Gly278Argfs | 5 | Novel Pathogenic (PM2, PVS1, PM3) | |||
| F11-P12 | BS-I | FKBP10 | c.344G>A | p.Arg115Gln | 2 | + |
| c.1256+1G>A | 7i | + | ||||
| F12-P13 | BS-I/EB | FKBP10 | c.321_353del homozygote | p.Met107_Leu117del | 5 | + |
| KRT14 | c.612T>A homozygote | p.Tyr204Ter | 3 | + | ||
| F13-P14 | BS-I/EB | FKBP10 | c.321_353del homozygote | p.Met107_Leu117del | 5 | + |
| KRT14 | c.612T>A homozygote | p.Tyr204Ter | 3 | + | ||
| F14-P15 | AG | FKBP10 | c.344G>A | p.Arg115Gln | 2 | + |
| c.1016G>A | p.Arg339Gln | 6 | + |
Disclaimer/Publisher’s Note: The statements, opinions and data contained in all publications are solely those of the individual author(s) and contributor(s) and not of MDPI and/or the editor(s). MDPI and/or the editor(s) disclaim responsibility for any injury to people or property resulting from any ideas, methods, instructions or products referred to in the content. |
© 2024 by the authors. Licensee MDPI, Basel, Switzerland. This article is an open access article distributed under the terms and conditions of the Creative Commons Attribution (CC BY) license (https://creativecommons.org/licenses/by/4.0/).
Share and Cite
Merkuryeva, E.S.; Markova, T.V.; Kenis, V.M.; Agranovich, O.E.; Dan, I.M.; Kotalevskaya, Y.Y.; Shchagina, O.A.; Ryzhkova, O.P.; Fomenko, S.S.; Dadali, E.L.; et al. Presentation of Rare Phenotypes Associated with the FKBP10 Gene. Genes 2024, 15, 674. https://doi.org/10.3390/genes15060674
Merkuryeva ES, Markova TV, Kenis VM, Agranovich OE, Dan IM, Kotalevskaya YY, Shchagina OA, Ryzhkova OP, Fomenko SS, Dadali EL, et al. Presentation of Rare Phenotypes Associated with the FKBP10 Gene. Genes. 2024; 15(6):674. https://doi.org/10.3390/genes15060674
Chicago/Turabian StyleMerkuryeva, Elena S., Tatiana V. Markova, Vladimir M. Kenis, Olga E. Agranovich, Ivan M. Dan, Yulia Y. Kotalevskaya, Olga A. Shchagina, Oxana P. Ryzhkova, Sergei S. Fomenko, Elena L. Dadali, and et al. 2024. "Presentation of Rare Phenotypes Associated with the FKBP10 Gene" Genes 15, no. 6: 674. https://doi.org/10.3390/genes15060674
APA StyleMerkuryeva, E. S., Markova, T. V., Kenis, V. M., Agranovich, O. E., Dan, I. M., Kotalevskaya, Y. Y., Shchagina, O. A., Ryzhkova, O. P., Fomenko, S. S., Dadali, E. L., & Kutsev, S. I. (2024). Presentation of Rare Phenotypes Associated with the FKBP10 Gene. Genes, 15(6), 674. https://doi.org/10.3390/genes15060674

