A Study of JUN’s Promoter Region and Its Regulators in Chickens
Abstract
1. Introduction
2. Materials and Methods
2.1. Materials
2.2. Bioinformatics Analysis of Promoter
2.3. Promoter Amplification and Vector Construction
2.4. Cell Culture and Treatment
2.5. qRT-PCR
2.6. Dual-Luciferase Assay
2.7. Statistical Analysis
3. Results
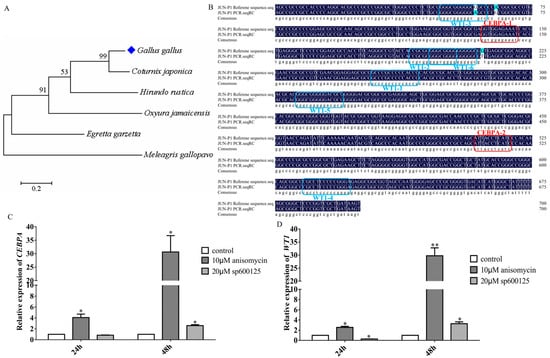
3.1. Analysis of the JUN Promoter
3.2. Anisomycin Activates JUN Transcription
3.3. Bioinformatics Analysis of −700–0 bp of the JUN Promoter
3.4. Binding Sites of WT1 and CEBPA Affect JUN Core Promoter Activity
3.5. WT1 Repressed JUN Transcription
4. Discussion
5. Conclusions
Supplementary Materials
Author Contributions
Funding
Institutional Review Board Statement
Data Availability Statement
Acknowledgments
Conflicts of Interest
References
- Hussein, M.S.; Li, Q.; Mao, R.; Peng, Y.; He, Y. TCR T cells overexpressing c-Jun have better functionality with improved tumor infiltration and persistence in hepatocellular carcinoma. Front. Immunol. 2023, 14, 1114770. [Google Scholar] [CrossRef] [PubMed]
- Zhao, X.; Bartholdy, B.; Yamamoto, Y.; Evans, E.K.; Alberich-Jorda, M.; Staber, P.B.; Benoukraf, T.; Zhang, P.; Zhang, J.; Trinh, B.Q.; et al. PU.1-c-Jun interaction is crucial for PU.1 function in myeloid development. Commun. Biol. 2022, 5, 961. [Google Scholar] [CrossRef] [PubMed]
- Wang, G.; Zhao, Z.; Ren, B.; Yu, W.; Zhang, X.; Liu, J.; Wang, L.; Si, D.; Yang, M. Exenatide exerts a neuroprotective effect against diabetic cognitive impairment in rats by inhibiting apoptosis: Role of the JNK/c-JUN signaling pathway. Mol. Med. Rep. 2022, 25, 111. [Google Scholar] [CrossRef] [PubMed]
- Alcivar, A.A.; Hake, L.E.; Hardy, M.P.; Hecht, N.B. Increased levels of junB and c-jun mRNAs in male germ cells following testicular cell dissociation. Maximal stimulation in prepuberal animals. J. Biol. Chem. 1990, 265, 20160–20165. [Google Scholar] [CrossRef] [PubMed]
- Suomalainen, L.; Dunkel, L.; Ketola, I.; Eriksson, M.; Erkkila, K.; Oksjoki, R.; Taari, K.; Heikinheimo, M.; Pentikainen, V. Activator protein-1 in human male germ cell apoptosis. Mol. Hum. Reprod. 2004, 10, 743–753. [Google Scholar] [CrossRef]
- Zhang, Y.; Su, Y.L.; Li, L.S.; Yang, Z.; Chen, S.; Xiong, J.; Fu, X.H.; Peng, X.N. Mouse dead end 1-beta interacts with c-Jun and stimulates activator protein 1 transactivation. Mol. Med. Rep. 2015, 11, 1701–1707. [Google Scholar] [CrossRef][Green Version]
- Li, P.; Tang, J.; Yu, Z.; Jin, C.; Wang, Z.; Li, M.; Zou, D.; Mang, X.; Liu, J.; Lu, Y.; et al. CHD4 acts as a critical regulator in the survival of spermatogonial stem cells in micedagger. Biol. Reprod. 2022, 107, 1331–1344. [Google Scholar] [CrossRef]
- Zhang, Z.; Elsayed, A.K.; Shi, Q.; Zhang, Y.; Zuo, Q.; Li, D.; Lian, C.; Tang, B.; Xiao, T.; Xu, Q.; et al. Crucial genes and pathways in chicken germ stem cell differentiation. J. Biol. Chem. 2015, 290, 13605–13621. [Google Scholar] [CrossRef]
- Wang, Y.; Kong, R.; Xie, K.; Hu, C.; Zhao, Z.; Wu, Y.; Zuo, Q.; Li, B.; Zhang, Y. Analysis of the Promoter Regions of gga-miR-31 and Its Regulation by RA and C-jun in Chicken. Int. J. Mol. Sci. 2023, 24, 12516. [Google Scholar] [CrossRef]
- Xiang, D.M.; Sun, W.; Zhou, T.; Zhang, C.; Cheng, Z.; Li, S.C.; Jiang, W.; Wang, R.; Fu, G.; Cui, X.; et al. Oncofetal HLF transactivates c-Jun to promote hepatocellular carcinoma development and sorafenib resistance. Gut 2019, 68, 1858–1871. [Google Scholar] [CrossRef]
- Zhou, X.; Zhang, K.; Qi, W.; Zhou, Y.; Hong, T.; Xiong, T.; Xie, M.; Nie, S. Exopolysaccharides from Lactobacillus plantarum NCU116 Enhances Colonic Mucosal Homeostasis by Controlling Epithelial Cell Differentiation and c-Jun/Muc2 Signaling. J. Agric. Food. Chem. 2019, 67, 9831–9839. [Google Scholar] [CrossRef] [PubMed]
- Lin, Y.; Xiong, F.; Zhou, Y.; Wu, X.; Liu, F.; Xue, S.; Chen, H. NANOG upregulates c-Jun oncogene expression through binding the c-Jun promoter. Mol. Carcinog. 2015, 54, 1407–1416. [Google Scholar] [CrossRef] [PubMed]
- Shin, H.M.; Han, T.H. CD28-mediated regulation of the c-jun promoter involves the MEF2 transcription factor in Jurkat T cells. Mol. Immunol. 1999, 36, 197–203. [Google Scholar] [CrossRef] [PubMed]
- Shen, X.; Cui, C.; Tang, S.; Han, S.; Zhang, Y.; Xia, L.; Tan, B.; Ma, M.; Kang, H.; Yu, J.; et al. MyoG-enhanced circGPD2 regulates chicken skeletal muscle development by targeting miR-203a. Int. J. Biol. Macromol. 2022, 222, 2212–2224. [Google Scholar] [CrossRef]
- Wang, Y.; Bi, Y.; Zuo, Q.; Zhang, W.; Li, D.; He, N.N.; Cheng, S.; Zhang, Y.N.; Li, B. MAPK8 regulates chicken male germ cell differentiation through JNK signaling pathway. J. Cell. Biochem. 2018, 119, 1548–1557. [Google Scholar] [CrossRef]
- Marinissen, M.J.; Chiariello, M.; Tanos, T.; Bernard, O.; Narumiya, S.; Gutkind, J.S. The small GTP-binding protein RhoA regulates c-jun by a ROCK-JNK signaling axis. Mol. Cell 2004, 14, 29–41. [Google Scholar] [CrossRef]
- Yu, X.; Luo, A.; Zhou, C.; Ding, F.; Wu, M.; Zhan, Q.; Liu, Z. Differentiation-associated genes regulated by TPA-induced c-Jun expression via a PKC/JNK pathway in KYSE450 cells. Biochem. Biophys. Res. Commun. 2006, 342, 286–292. [Google Scholar] [CrossRef]
- Bhargavan, B.; Kanmogne, G.D. Differential Mechanisms of Inflammation and Endothelial Dysfunction by HIV-1 Subtype-B and Recombinant CRF02_AG Tat Proteins on Human Brain Microvascular Endothelial Cells: Implications for Viral Neuropathogenesis. Mol. Neurobiol. 2018, 55, 1352–1363. [Google Scholar] [CrossRef]
- Mo, H.; He, J.; Yuan, Z.; Mo, L.; Wu, Z.; Lin, X.; Liu, B.; Guan, J. WT1 is involved in the Akt-JNK pathway dependent autophagy through directly regulating Gas1 expression in human osteosarcoma cells. Biochem. Biophys. Res. Commun. 2016, 478, 74–80. [Google Scholar] [CrossRef]
- Li, G.C.; Guan, L.S.; Wang, Z.Y. Overexpression of RbAp46 facilitates stress-induced apoptosis and suppresses tumorigenicity of neoplastigenic breast epithelial cells. Int. J. Cancer. 2003, 105, 762–768. [Google Scholar] [CrossRef]
- Anuchapreeda, S.; Rungrojsakul, M.; Tima, S.; Chiampanichayakul, S.; Krig, S.R. Co-activation of WT1 and AP-1 proteins on WT1 gene promoter to induce WT1 gene expression in K562 cells. Cell Signal. 2019, 53, 339–347. [Google Scholar] [CrossRef] [PubMed]
- Xiang, X.; An, W.; Jiang, C.; Zhao, J.; Wang, X.; Sun, G.; Li, Y.; Zhang, W. Lipopolysaccharide inhibits the expression of resistin in adipocytes. J. Mol. Endocrinol. 2013, 51, 287–299. [Google Scholar] [CrossRef] [PubMed]
- Wang, H.; Zhang, L.; Hou, M.; Wang, C.; Wang, L.; Sun, T.; He, H.; Zhong, J. Cloning and Activity Analysis of Bovine Natural Resistance Associated Macrophage Protein 1 (Nramp1) Gene Promoter. Sci. Agric. Sin. 2011, 44, 1022–1028. [Google Scholar]
- Khan, R.; Ali, Z.; Niazi, A.K.; Carolan, J.C.; Wilkinson, T.L. In silico Characterization of a Candidate Protein from Aphid Gelling Saliva with Potential for Aphid Control in Plants. Protein Pept. Lett. 2020, 27, 158–167. [Google Scholar] [CrossRef] [PubMed]
- Chen, Y.; He, X.; Cheng, F.; Li, M.; Wu, X.; Zhang, C.; Li, J.; Huang, B.; Qi, M. Angiotensin II promotes EMT of hepatocellular carcinoma cells through high mobility group protein B1 mediated by E4F1. Biochem. Biophys. Res. Commun. 2021, 547, 198–203. [Google Scholar] [CrossRef] [PubMed]
- Solovyev, V.; Kosarev, P.; Seledsov, I.; Vorobyev, D. Automatic annotation of eukaryotic genes, pseudogenes and promoters. Genome Biol. 2006, 7 (Suppl. S1), S10–S11. [Google Scholar] [CrossRef]
- Liu, X.; Chen, J.G.; Munshi, M.; Hunter, Z.R.; Xu, L.; Kofides, A.; Tsakmaklis, N.; Demos, M.G.; Guerrera, M.L.; Chan, G.G.; et al. Expression of the prosurvival kinase HCK requires PAX5 and mutated MYD88 signaling in MYD88-driven B-cell lymphomas. Blood Adv. 2020, 4, 141–153. [Google Scholar] [CrossRef]
- Angel, P.; Karin, M. The role of Jun, Fos and the AP-1 complex in cell-proliferation and transformation. Biochim. Biophys. Acta 1991, 1072, 129–157. [Google Scholar] [CrossRef]
- Kovary, K.; Bravo, R. The jun and fos protein families are both required for cell cycle progression in fibroblasts. Mol. Cell. Biol. 1991, 11, 4466–4472. [Google Scholar] [CrossRef]
- Alcivar, A.A.; Hake, L.E.; Kwon, Y.K.; Hecht, N.B. junD mRNA expression differs from c-jun and junB mRNA expression during male germinal cell differentiation. Mol. Reprod. Dev. 1991, 30, 187–193. [Google Scholar] [CrossRef]
- Lee, W.Y.; Park, H.J. T-2 mycotoxin Induces male germ cell apoptosis by ROS-mediated JNK/p38 MAPK pathway. Ecotoxicol. Environ. Saf. 2023, 262, 115323. [Google Scholar] [CrossRef] [PubMed]
- Katiyar, S.; Casimiro, M.C.; Dettin, L.; Ju, X.; Wagner, E.F.; Tanaka, H.; Pestell, R.G. C-jun inhibits mammary apoptosis in vivo. Mol. Biol. Cell 2010, 21, 4264–4274. [Google Scholar] [CrossRef] [PubMed][Green Version]
- Zhong, H.; Zhang, R.; Li, G.; Huang, P.; Zhang, Y.; Zhu, J.; Kuang, J.; Hutchins, A.P.; Qin, D.; Zhu, P.; et al. c-JUN is a barrier in hESC to cardiomyocyte transition. Life Sci. Alliance 2023, 6, e202302121. [Google Scholar] [CrossRef] [PubMed]
- Davis, R.J. Signal transduction by the JNK group of MAP kinases. Cell 2000, 103, 239–252. [Google Scholar] [CrossRef] [PubMed]
- Liu, Y.; Long, Y.; Xing, Z.; Zhang, D. C-Jun recruits the NSL complex to regulate its target gene expression by modulating H4K16 acetylation and promoting the release of the repressive NuRD complex. Oncotarget 2015, 6, 14497–14506. [Google Scholar] [CrossRef][Green Version]
- Yung, J.; Giacca, A. Role of c-Jun N-terminal Kinase (JNK) in Obesity and Type 2 Diabetes. Cells 2020, 9, 706. [Google Scholar] [CrossRef]
- Yang, L.; Orenstein, Y.; Jolma, A.; Yin, Y.; Taipale, J.; Shamir, R.; Rohs, R. Transcription factor family-specific DNA shape readout revealed by quantitative specificity models. Mol. Syst. Biol. 2017, 13, 910. [Google Scholar] [CrossRef]
- Ban, K.; Santora, R.; Kozar, R.A. Enteral arginine modulates inhibition of AP-1/c-Jun by SP600125 in the postischemic gut. Mol. Cell. Biochem. 2011, 347, 191–199. [Google Scholar] [CrossRef][Green Version]
- Natoli, T.A.; Alberta, J.A.; Bortvin, A.; Taglienti, M.E.; Menke, D.B.; Loring, J.; Jaenisch, R.; Page, D.C.; Housman, D.E.; Kreidberg, J.A. Wt1 functions in the development of germ cells in addition to somatic cell lineages of the testis. Dev. Biol. 2004, 268, 429–440. [Google Scholar] [CrossRef][Green Version]
- Rao, M.K.; Pham, J.; Imam, J.S.; Maclean, J.A.; Murali, D.; Furuta, Y.; Sinha-Hikim, A.P.; Wilkinson, M.F. Tissue-specific RNAi reveals that WT1 expression in nurse cells controls germ cell survival and spermatogenesis. Genes Dev. 2006, 20, 147–152. [Google Scholar] [CrossRef]
- Wang, X.N.; Li, Z.S.; Ren, Y.; Jiang, T.; Wang, Y.Q.; Chen, M.; Zhang, J.; Hao, J.X.; Wang, Y.B.; Sha, R.N.; et al. The Wilms tumor gene, Wt1, is critical for mouse spermatogenesis via regulation of sertoli cell polarity and is associated with non-obstructive azoospermia in humans. PLoS Genet. 2013, 9, e1003645. [Google Scholar] [CrossRef] [PubMed]
- Boublikova, L.; Bakardjieva-Mihaylova, V.; Skvarova, K.K.; Kuzilkova, D.; Dobiasova, A.; Fiser, K.; Stuchly, J.; Kotrova, M.; Buchler, T.; Dusek, P.; et al. Wilms tumor gene 1 (WT1), TP53, RAS/BRAF and KIT aberrations in testicular germ cell tumors. Cancer Lett. 2016, 376, 367–376. [Google Scholar] [CrossRef] [PubMed]
- Bhargavan, B.; Kanmogne, G.D. Toll-Like Receptor-3 Mediates HIV-1-Induced Interleukin-6 Expression in the Human Brain Endothelium via TAK1 and JNK Pathways: Implications for Viral Neuropathogenesis. Mol. Neurobiol. 2018, 55, 5976–5992. [Google Scholar] [CrossRef] [PubMed]
- Bhargavan, B.; Woollard, S.M.; Kanmogne, G.D. Toll-like receptor-3 mediates HIV-1 transactivation via NFkappaB and JNK pathways and histone acetylation, but prolonged activation suppresses Tat and HIV-1 replication. Cell. Signal. 2016, 28, 7–22. [Google Scholar] [CrossRef]
- Wang, T.; Hua, H.; Wang, Z.; Wang, B.; Cao, L.; Qin, W.; Wu, P.; Cai, X.; Chao, H.; Lu, X. Frequency and clinical impact of WT1 mutations in the context of CEBPA-mutated acute myeloid leukemia. Hematology 2022, 27, 994–1002. [Google Scholar] [CrossRef]
- Yao, Y.; Chai, X.; Gong, C.; Zou, L. WT1 inhibits AML cell proliferation in a p53-dependent manner. Cell Cycle 2021, 20, 1552–1560. [Google Scholar] [CrossRef]
- Ellsworth, P.N.; Herring, J.A.; Leifer, A.H.; Ray, J.D.; Elison, W.S.; Poulson, P.D.; Crabtree, J.E.; Van Ry, P.M.; Tessem, J.S. CEBPA Overexpression Enhances beta-Cell Proliferation and Survival. Biology 2024, 13, 110. [Google Scholar] [CrossRef]
- Guo, Z.; Sun, L.; Xia, H.; Tian, S.; Liu, M.; Hou, J.; Li, J.; Lin, H.; Du, G. Shikonin as a WT1 Inhibitor Promotes Promyeloid Leukemia Cell Differentiation. Molecules 2022, 27, 8264. [Google Scholar] [CrossRef]
- Kantzer, C.G.; Yang, W.; Grommisch, D.; Vikhe, P.K.; Mak, K.H.; Shirokova, V.; Genander, M. ID1 and CEBPA coordinate epidermal progenitor cell differentiation. Development 2022, 149, dev201262. [Google Scholar] [CrossRef]
- Lv, L.; Chen, G.; Zhou, J.; Li, J.; Gong, J. WT1-AS promotes cell apoptosis in hepatocellular carcinoma through down-regulating of WT1. J. Exp. Clin. Cancer Res. 2015, 34, 119. [Google Scholar] [CrossRef]
- Su, R.; Dong, L.; Li, C.; Nachtergaele, S.; Wunderlich, M.; Qing, Y.; Deng, X.; Wang, Y.; Weng, X.; Hu, C.; et al. R-2HG Exhibits Anti-tumor Activity by Targeting FTO/m(6)A/MYC/CEBPA Signaling. Cell 2018, 172, 90–105. [Google Scholar] [CrossRef] [PubMed]
- Huang, R.; Zhang, X.; Gracia-Sancho, J.; Xie, W.F. Liver regeneration: Cellular origin and molecular mechanisms. Liver Int. 2022, 42, 1486–1495. [Google Scholar] [CrossRef] [PubMed]





| Gene | Gene ID | Primer (5′-3′) of qRT-PCR | Tm (°C) |
|---|---|---|---|
| B-ACTIN | NM_205518.2 | qF: ACCAACTGGGATGATATGGAGAA | 60 |
| qR:TTGGCTTTGGGGTTCAGG | |||
| JUN | NM_001031289.2 | qF: CTCATCATCCAGTCCAGCAA | 60 |
| qR: TGTTCTGGTTGTGCAGTTCC | |||
| CEBPA | NM_001031459.2 | qF: TCGGCGACATCTGCGAGAAC | 60 |
| qR: TGCTTGCTGTGCTGGAAGAGG | |||
| WT1 | NM_001397547.1 | qF: GCCCCTTCATGTGTGCCTACC | 60 |
| qR: GTGTCGTCTTTGGTGCCGTTTC | |||
| MAPK8 | XM_046942979.1 | qF: CAGCCAGCCCCTTTAGGTG | 60 |
| qR: CTACAGCAACCCAGAGGTCCAG | |||
| ATF2 | NM_204904.2 | qF: CCAGGCTCCATCCTCTAACA | 60 |
| qR: AGGAATAGCAACAGGCATGG |
Disclaimer/Publisher’s Note: The statements, opinions and data contained in all publications are solely those of the individual author(s) and contributor(s) and not of MDPI and/or the editor(s). MDPI and/or the editor(s) disclaim responsibility for any injury to people or property resulting from any ideas, methods, instructions or products referred to in the content. |
© 2024 by the authors. Licensee MDPI, Basel, Switzerland. This article is an open access article distributed under the terms and conditions of the Creative Commons Attribution (CC BY) license (https://creativecommons.org/licenses/by/4.0/).
Share and Cite
Kong, R.; Shi, J.; Xie, K.; Wu, H.; Wang, X.; Zhang, Y.; Wang, Y. A Study of JUN’s Promoter Region and Its Regulators in Chickens. Genes 2024, 15, 1351. https://doi.org/10.3390/genes15101351
Kong R, Shi J, Xie K, Wu H, Wang X, Zhang Y, Wang Y. A Study of JUN’s Promoter Region and Its Regulators in Chickens. Genes. 2024; 15(10):1351. https://doi.org/10.3390/genes15101351
Chicago/Turabian StyleKong, Ruihong, Jieyao Shi, Ke Xie, Han Wu, Xu Wang, Yani Zhang, and Yingjie Wang. 2024. "A Study of JUN’s Promoter Region and Its Regulators in Chickens" Genes 15, no. 10: 1351. https://doi.org/10.3390/genes15101351
APA StyleKong, R., Shi, J., Xie, K., Wu, H., Wang, X., Zhang, Y., & Wang, Y. (2024). A Study of JUN’s Promoter Region and Its Regulators in Chickens. Genes, 15(10), 1351. https://doi.org/10.3390/genes15101351

